登录方式

方式一:
PC端网页:www.rccrc.cn
输入账号密码登录,可将此网址收藏并保存密码方便下次登录

方式二:
手机端网页:www.rccrc.cn
输入账号密码登录,可将此网址添加至手机桌面并保存密码方便下次登录

方式三:
【重症肺言】微信公众号
输入账号密码登录

注:账号具有唯一性,即同一个账号不能在两个地方同时登录。

登录
方式

为重症救治赋能

为患者康复加速

当前位置:首页 脏器支持 营养支持

慢阻肺急性加重期患者肠内营养实施流程

耿爽 武汉市中心医院呼吸与危重症医学科 发布于2022-08-17 浏览 2840 收藏

作者:耿爽

单位:武汉市中心医院呼吸与危重症医学科


图片

病情介绍


一般情况

患者,男性,78岁。主因“发热、咳痰伴呼吸困难加重1周”于2021年4月9日9:00左右入住RICU。


现病史

患者近1周前受凉后出现间断发热,体温最高38.5℃左右。伴咳嗽、脓性痰,痰液无力咳出。伴喘息,且进行性加重,活动明显受限,以半靠位为主,难以平卧。近几日有进食呛咳表现。无咯血、胸痛等其他不适。在家自服“头孢克洛、盐酸氨溴索片”,病情无明显好转。起病以来,精神状态差,食欲差,近1周余进食量少,近期体重无明显变化。


既往史

慢性支气管炎病史20年,慢阻肺病史4年,平素规律吸入沙美特罗替卡松吸入粉雾剂治疗,2020年因慢阻肺急性发作住院1次。有冠状动脉性心脏病病史,平素口服阿司匹林。阿尔茨海默病病史1年余,近3个月以卧床为主,活动量少。吸烟史30年,10支/日,已戒烟10余年。无药敏史。


入RICU后体格检查

身高165 cm,体重50 kg,BMI 18.4 kg/m2T 38.3℃,P 120次/minR 23次/minBP 80/44 mmHg,SpO2 85%(未吸氧)。精神萎靡,四肢末梢湿冷,体型消瘦,肺气肿体征。双肺可闻及湿啰音及散在哮鸣音。心脏及腹部查体未见明显异常。双下肢无明显水肿。


入RICU后辅助检查

血气分析(鼻导管吸氧6 L/min):pH 7.34,PaCO2 67 mmHg,PaO2 65 mmHg。血生化:白蛋白29.0 g/L。肝、功能正常。

血常规:WBC 12.10×109/L,HGB 108 g/L,PLT 243×109/L,NEU% 83.4%。

炎症指标:IL-6 443 pg/ml,全程C反应蛋白10.78 mg/dl,PCT 3.87ng/ml。

BNP 171 pg/ml。
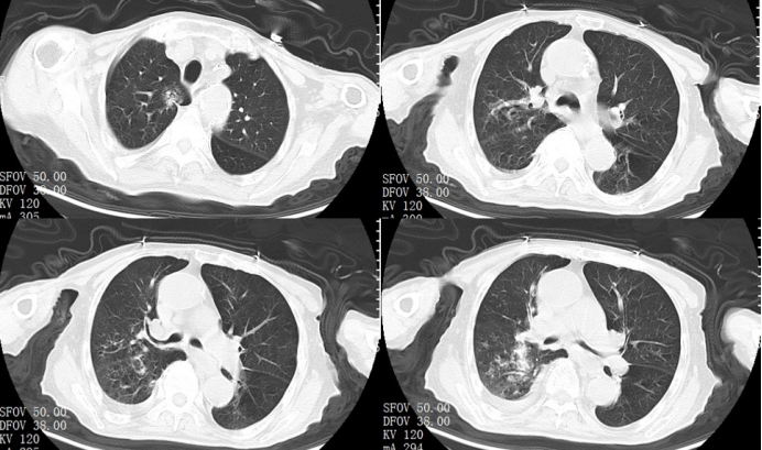
肺部CT提示:慢性支气管炎、肺气肿;两肺新发感染,右下叶明显;右侧少许胸腔积液;右下肺斜裂小结节(图1)


图片

图片

1  患者胸部CT


临床诊断

慢阻肺伴急性下呼吸道感染;Ⅱ型呼吸衰竭;脓毒症休克;冠状动脉粥样硬化性心脏病;阿尔兹海默症。


疾病危重评分

APACHE Ⅱ评分:18分;SOFA评分:4分。


营养史

患者自此次发病以来,进食量减少,进食有呛咳。患者有下肢肌肉萎缩表现。


治疗并完善相关检查

入院后给予常规抗感染(头孢哌酮舒巴坦针3.0 g ivdrip q12h)、祛痰(溴己新针静滴、乙酰半胱氨酸雾化)、平喘(多索茶碱针、复方异丙托溴氨雾化)等药物治疗,给予经鼻高流量氧疗(氧流量40 L/min,氧浓度50%)。支气管镜检查提示双侧支气管黏膜炎性改变,右下叶基底段及背段支气管内较多黄色脓性分泌物,予以肺泡灌洗并留取标本送检病原学。


图片

营养支持策略及实施


营养风险筛查评分

按呼吸危重症患者喂养流程,入科后先行营养风险筛查评分:NRS-2002 评分7分,NUTRIC评分5分。按NRS-2002评分量表,患者存在高营养风险,此类患者推荐早期进行营养支持。


评价患者肠内营养可行性

按照急性胃肠损伤(AGI)分级量表,患者评分0分。排查患者是否存在需要延迟肠内营养的特殊情况,如:活动性消化道出血患者;明显的肠缺血患者;血流动力学不稳定,组织灌注目标无法达到;胃肠道压力过高;腹腔间隔室综合征患者;腹内压进行性升高;肠麻痹;胃残余量>500 ml/6 h;肠动力障碍—顽固性呕吐;未控制的威胁生命的低氧血症/高碳酸血症或者酸中毒;急性肝功能衰竭伴威胁生命的代谢紊乱。该患者目前不存在以上情况,肠内营养可行。


评价患者的血流动力学状态

患者入院时存在休克表现,血流动力学不稳定,对于此类患者,建议待血流动力学稳定后尽早开始肠内营养,初始剂量为10~20 kcal/h,同时需警惕胃肠道并发症的风险。患者此时不宜启动肠内营养治疗。给予充分液体复苏后3小时后,并予小剂量去甲肾上腺素维持,血压可以维持在100~115/50~60 mmHg (MAP 66~78 mmHg),四肢末梢逐渐复温。


观察患者是否存在误吸高风险

对于既往有误吸史、意识水平降低(镇静、颅内压升高)、神经肌肉疾病或呼吸系统及消化道结构异常、呕吐、机械通气或需要长时间水平仰卧、年龄>70岁、医护比不足、口腔护理不佳的呼吸危重症患者应考虑存在误吸高风险。患者存在2个误吸高风险因素,入院前有进食呛咳,考虑误吸史,年龄>70岁。因此,患者存在误吸高风险,应选择幽门后喂养,给予患者盲插鼻空肠管置入,并经胸部X线片验证,空肠管位置良好。此时可准备启动肠内营养治疗。


图片

2  胸部X线片验证鼻空肠管位置


肠内营养配方的选择

根据《中国呼吸危重症患者营养支持治疗专家共识》推荐,高脂低糖的营养配方不推荐用于伴有高碳酸血症的慢阻肺急性加重患者。与标准配方制剂相比,具有免疫调节功能的肠内营养制剂不能使脓毒症患者额外获益。目前证据尚不能对脓毒症患者常规使用益生菌做出推荐。目前拟选择临床常用的整蛋白配方肠内营养,不特别使用添加免疫调节剂及益生菌的配方。


制定患者肠内营养的目标剂量

患者为脓毒症休克患者,根据《中国呼吸危重症患者营养支持治疗专家共识》推荐,24~48 h内启动滋养型/低热卡肠内营养,1周逐步过渡至足量即可。目前拟给予滋养型喂养,能量目标为10~20 kcal/h或不超过500 kcal/d,蛋白质目标仍为1.2~2.0 g/(kg·d),即60~100 g/d。按500 kcal/d给予肠内营养,持续营养泵输入,即20 ml/h匀速泵入。计算每日给予的肠内营养中所含蛋白质含量为35 g/d,拟额外补充蛋白粉25 g/d,温开水冲匀后分次鼻饲注入。


评估肠内营养耐受性

每日观察患者腹部张力、肠鸣音、排便排气,以及有无呕吐、误吸等情况,评估肠内营养的耐受性。


给予充分抗感染及液体复苏等治疗后,患者4月12日体温正常,停用血管活性药物。气管镜下BALF培养提示大肠埃希菌(+)。

血气分析(经鼻高流量氧疗,氧流量40 L/min,氧浓度40%):pH 7.39,PaCO2 60 mmHg,PaO2 88 mmHg。
血生化:白蛋白31.0g/L;肝肾功能正常。
血常规:WBC 8.06×109/L,HGB 106 g/L,PLT 186×109/L,NEU% 79.4%。
IL-6 56 pg/ml,全程C反应蛋白5.56 mg/dlPCT 0.74ng/ml。


逐步将肠内营养加至750 kcal/d,蛋白质总量维持不变。患者曾出现轻度腹泻,给予蒙脱石散+枯草杆菌二联活菌肠溶胶囊对症处理后腹泻好转。4月15日肠内营养逐渐加至1500 kcal/d,计算每日给予因肠内营养内所含蛋白质75 g/d,未再额外添加蛋白质粉。4月19日患者精神好转,洼田饮水试验评估2级,开始锻炼自主进食并肢体功能康复锻炼,逐步减量肠内营养。4月26日患者咳嗽少,咳痰减少。精神好转,拔除胃管,可自主进食半固体饮食。复查血常规、CRP、PCT均正常。血气分析(鼻导管流量2 L/min)提示:pH 7.41,PaCO2 51 mmHg,PaO2 75 mmHg。复查胸部CT提示肺部感染较前吸收,予以出院。


作者简介



图片

耿爽


  • 医学博士,副主任医师,江汉大学硕士生导师
  • 武汉市中心医院呼吸与危重症医学科监护病区组长
  • 中华医学会结核病学分会重症专委会委员
  • 中国康复医学会呼吸康复专业委员会危重症康复学组委员
  • 中国抗癌协会肿瘤呼吸病学专业委员会委员
  • 湖北省中西医结合学会呼吸病专业委员会委员
  • 湖北省营养学会临床营养专委会委员
  • 武汉市医学会呼吸科医师分会委员
  • 武汉市卫健委第三批中青年骨干培养对象
  • 主持国家自然科学基金青年基金项目1项,武汉市卫健委科研课题1项
  • 发表SCI论文10余篇
  • 专业方向为呼吸危重症及支气管哮喘
  • 擅长呼吸危重症患者的救治,尤其是ARDS、COPD患者机械通气、危重症患者营养支持等


全部评论 0
Copyright©2020-2026 北京医麦斯科技有限公司 版权所有 京ICP备2020034400号-1 京公网安备11010502043983号