登录方式
方式一:
PC端网页:www.rccrc.cn
输入账号密码登录,可将此网址收藏并保存密码方便下次登录
方式二:
手机端网页:www.rccrc.cn
输入账号密码登录,可将此网址添加至手机桌面并保存密码方便下次登录
方式三:
【重症肺言】微信公众号
输入账号密码登录
注:账号具有唯一性,即同一个账号不能在两个地方同时登录。
气囊漏气试验预测上气道阻塞有很好的特异性,敏感性一般。困难气道患者拔管通过气囊漏气试验进行评估,阳性患者不能作为延迟拔管的原因,拔管过程应做好充分的评估准备以及应急措施。
病例介绍
一般情况
患者,女,49岁,2020年12月9日入院。
现病史
患者1 d前由南宁飞往北京航班上出现呼吸困难、意识障碍(救治情况不详)。约90 min后送至我院机场院区,到诊时呼之不应,血氧饱和度16%,紧急气管插管,呼吸机辅助通气,血压52/27 mmHg,心率85次/min,予补液、多巴胺维持血压。经治疗后患者神志转清,生命体征平稳,完善胸部CT检查:颈部至上纵隔占位,双肺炎症。收入院治疗。
既往史
患者甲亢病史多年,曾手术2~3次,约17~18年前复发,平时口服盐酸普萘洛尔+左甲状腺素钠+维生素B4,甲状腺功能不详,近几年颈部甲状腺较前明显肿大,未诊治,近期有无肿大不详。无其他病史。
入院查体
颈软,气管偏右,甲状腺Ⅲ度肿大。甲状腺左侧有肿物,质韧,表面结节改变,界限模糊,随吞咽动作上下活动。
入院诊断
①颈部肿物,呼吸道梗阻,Ⅱ型呼吸衰竭;②甲状腺功能亢进史;③甲状腺功能减退。
实验室和CT检查结果
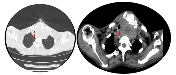
2020年12月5日,患者颈部CT可见明显肿物,并压迫气道(图1)。另外,患者胸部CT可见气道因肿物压迫已经发生了偏移(图2)。

图1 患者颈部CT(2020-12-05)

图2 患者胸部CT(2020-12-09)
患者入院后白细胞和出入量变化见图3。

图3 患者入院后白细胞和出入量变化
微生物学检查
12月22日痰培养肺炎克雷伯菌,12月24日尿培养屎肠球菌,12月26日尿培养肺炎克雷伯菌。
血气指标
患者入院后氧合情况见图4。

图4 患者入院后氧合情况变化
治疗经过
12月9日:患者于全麻下行甲状腺左叶切除术,术毕返回ICU,P 105次/min,R 20次/min,BP 140/74 mmHg,SpO2 100%。
12月10日:气管插管机械通气,P 96次/min,R 20次/min,BP 121/75 mmHg,SpO2 99%。病情平稳。
12月12日:行SBT试验通过,脱机训练8 h。P 87次/min,R 20次/min,BP 133/68 mmHg,SpO2 99%。呼吸机参数:PSV,PS 10~12 cmH2O,PEEP 5 cmH2O,氧浓度40%,VTe 450~550 ml。血气分析:pH 7.449,PaO2 155 mmHg,PaCO2 37.9 mmHg,HCO3- 25.7 mmol/L,BE 1.71 mmol/L。气囊漏气试验(CLT)阳性。A/C模式,FiO2 0.4,VT 450 ml,R 16次/min。漏气量平均35 ml。
12月13日:再次行SBT试验通过,脱机训练11 h。血气分析:pH 7.423,PaO2 218 mmHg,PaCO2 44 mmHg,HCO3- 26.9 mmol/L,BE 3.14 mmol/L。气囊漏气试验阳性。A/C模式,FiO2 0.4,VT 450 ml,R 16次/min。漏气量平均30 ml。
12月16日:病理回报甲状腺低分化癌,可见数个脉管内癌栓。全麻下行右侧甲状腺癌根治术。2次手术后患者气道基本恢复解剖位(图5)。

图5 患者术后胸部CT
12月18日:脱机10 h气囊漏气试验阳性(漏气量<40 ml)。
12月19日:脱机15 h气囊漏气试验阳性(漏气量<40 ml)。
12月20日:脱机16 h气囊漏气试验阳性(漏气量<40 ml)。
12月21日:脱机14 h气囊漏气试验阳性(漏气量<40 ml),气管镜直视下9~11点处软组织膨出。未予拔管。
12月22日:脱机9 h SBT试验通过,气管镜再次探查,无气道塌陷后拔除气管插管。拔管前,通过纤维支气管镜评估气道,将气管插管退至声门处,在退管过程中使用气管镜观察气道。联系相关科室(麻醉科,耳鼻喉科)做好紧急处理。
拔除气管插管后,患者出现吸气相喉鸣音,可能出现喉头水肿。地塞米松5 mg静脉注射。紧急使用无创通气续贯治疗,参数:S/T,IPAP 12 cmH2O,EPAP 6 cmH2O,氧浓度45%,VTe 420~510 ml。
临床转归
经上述治疗后,患者病情逐渐趋于平稳。12月24日,顺利转出ICU。
气囊漏气试验
定性方法:松开气囊,听气道是否有漏气的声音。
定量方法:呼吸模式为定容模式。患者平稳,记录6次呼出潮气量的大小。取最小3个数的平均值。
结果判读:①吸呼潮气量的差值<110 ml;②(吸气潮气量-呼气潮气量)/吸气潮气量<15%。
研究报道在100例气管插管患者中,有6%患者出现拔管后喉鸣音,气囊漏气量多的一组患者拔管后喉鸣音出现显著低[(180±157)ml vs.(360±157)ml;P=0.012],吸呼潮气量的差值<110 ml预测拔管后喉鸣的敏感度为80%,特异度为99%。
有研究选取104例机械通气患者进行测试,气管插管后测量潮气量值T0,拔除气管插管前测量潮气量值T1,7例患者出现拔管后喉鸣音,6例插管。ϫCLT=CLTT1-CLTT0(敏感度86%,特异度48%),CLT(阈值130 ml)(敏感度86%,特异度76%)。
有荟萃分析研究气囊漏气试验预测上气道阻塞有很好的特异性和中等的敏感性。
美国胸科学会2016年关于机械通气重症患者的推荐:对于存在高危风险的气管插管患者建议进行气囊漏气试验(证据确定性低)。
影响CLT结果相关因素:女性,气管插管型号和喉部直径的比值,气道阻力增加,肺顺应性下降,创伤性插管。
激素治疗可以有效减少拔管后喉鸣的发生。无创通气也可以明显改善患者氧合,支撑气道。
总结
鉴于气囊漏气试验比较低的临床敏感性,阳性患者不能作为延迟拔管的原因,但在拔管过程应做好充分的评估准备以及应急措施。
困难气道患者拔管流程见图6。

图6 困难气道患者拔管流程
*病例内容根据中国医师协会呼吸医师分会第八届中国呼吸支持技术会议暨第二届重症肺炎论坛视频整理。

后可发表评论
友情链接
联系我们
公众号
客服微信