登录方式

方式一:
PC端网页:www.rccrc.cn
输入账号密码登录,可将此网址收藏并保存密码方便下次登录

方式二:
手机端网页:www.rccrc.cn
输入账号密码登录,可将此网址添加至手机桌面并保存密码方便下次登录

方式三:
【重症肺言】微信公众号
输入账号密码登录

注:账号具有唯一性,即同一个账号不能在两个地方同时登录。

登录
方式

为重症救治赋能

为患者康复加速

当前位置:首页 脏器支持 无创通气

机械通气中的EIT监测:原理与临床应用

刘学松 广州医科大学附属第一医院 发布于2025-09-17 浏览 4727 收藏

作者刘学松

单位:呼吸疾病国家重点实验室 国家临床研究中心 广州医科大学附属第一医院 国家呼吸医学中心 广州呼吸健康研究院

图片


机械通气作为危重症患者生命支持的关键技术,在挽救生命的同时,也面临呼吸机相关性肺损伤(VILI)的风险。肺不均一性及个体差异导致传统通气策略难以实现精准肺保护。电阻抗断层成像(EIT)技术通过实时监测肺部电阻抗变化,动态反映区域通气分布,为个体化通气管理提供了创新手段。本文系统阐述EIT的技术原理,分析其在肺复张评估、PEEP滴定、不同呼吸疾病中的应用价值,并与传统监测方法对比,探讨其在精准呼吸支持中的临床意义。



一、机械通气的临床挑战


1. 机械通气的里程碑意义

机械通气在危重症救治中具有里程碑式的意义。回溯其发展历程,1952年脊髓灰质炎疫情中,首批31例因呼吸肌麻痹接受治疗的患者,在缺乏呼吸机支持的情况下,3天内死亡27例,死亡率高达87%。而到了1953年,随着呼吸机的应用,同类患者的死亡率显著降至15%。这一数据深刻体现了机械通气在挽救生命方面的关键作用。机械通气一方面可能引发呼吸机相关性肺损伤(VILI);另一方面,在合理使用的情况下,也能发挥肺保护作用。导致VILI的因素有多种:高气道压力可造成压力伤,大潮气量会引发容量伤,肺泡的反复开放与闭合可能导致剪切伤,细胞介导的肺部或全身炎症反应会形成生物伤,此外,机械能还可能带来能量伤。

2. VILI的流行病学与风险因素

研究显示,在因ARDS以外原因接受机械通气的患者中,高达24%会发生VILI。肺不均一性是VILI的重要诱因:通气正常区域、过度充气区域与塌陷区域在机械通气后呈现动态变化,气体分布失衡可加重肺损伤。

3. ARDS通气策略的争议

2017年JAMA杂志刊载的研究表明,针对中重度急性呼吸窘迫综合征(ARDS)患者,采用肺复张(RM)联合呼气末正压(PEEP)滴定(最大顺应性法),相较于低PEEP策略,会增加患者28天全因死亡率以及气压伤发生风险。受此影响,当前ARDS相关指南对常规开展肺复张已不再做推荐。这一调整的关键依据在于,不同ARDS患者的肺可复张性存在显著个体差异,气道压力需实施个体化设定。具体而言,可通过特定气道压力(5 cmH2O与45 cmH2O)下可充气肺组织比例,界定肺可复张性:当该比例≤9%时,判定为低可复张性患者;当比例>9%时,则为高可复张性患者。

2006年,Gattinoni教授团队借助CT研究发现,对低可复张性患者进行肺复张操作后,肺组织未实现有效开放,且影像学呈现心脏缩小表现,间接提示心输出量下降;而对于存在弥漫性病变的高可复张性患者,肺复张能够使部分塌陷肺组织重新复张。

ARDS患者肺部损伤并非局限单一区域,常存在肺泡通气相关损伤。如1复张前背侧肺气体含量极少。理想状态下,复张后腹侧与背侧肺应实现均衡通气,可实际是原本扩张的肺区进一步过度扩张,造成肺内气体分布紊乱。基于此,依据ARDS患者影像学分型等精准采取通气策略,对改善预后意义重大。临床需重视个体化评估不同肺区通气状态,挖掘常规监测易忽略的区域肺现象(如肺泡过度膨胀、周期性开闭、局部肺不张等),让呼吸治疗更精准。


图片


1  ARDS患者复张前后的理想与实际情况

不同肺区域对通气的需求存在差异。在PEEP升高与降低的过程中,患者的吸气压会随之改变。因此,在实施肺复张操作前,需先开展肺复张评估。临床中,可借助多种手段评估,比如监测肺顺应性、观察氧合指标等方法,判断患者对肺复张操作的反应,区分“有反应者(肺复张后通气改善)”与“无反应者(肺复张效果不佳)”,为后续精准通气策略制定提供依据。




二、EIT技术原理及参数和曲线


1. 技术原理

EIT的原理是以人体内部的生物电阻率分布为目标重建体内组织图象。胸部EIT成像已经排除了心脏、血流等电阻抗的影响,反映肺局部通气情况。与其他组织不同,肺组织的生物导电性会因含气量改变而变化较大。吸气末时,肺内气体增多,电阻较呼气末显著升高,可达300%,且呈潮汐性波动。EIT技术可实现个体化区域肺通气监测,其利用通气过程中,电极平面内肺部电阻抗值的改变,实时呈现气体分布情况与呼气末肺容积的动态变化。EIT的敏感区(即电极平面)与绑带位置相关,推荐固定于第4~5肋间,在此位置可监测到20%~30%的肺内通气变化。每张EIT图像由16个电极产生的208个电压信号构成,成像速度可达每秒10~50张,能够对肺通气进行动态监测。当前,EIT主要有2D成像和3D成像两种模式,可满足不同临床场景的监测需求。

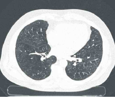
2. EIT与CT的互补性

CT和EIT在应用中各具优缺点,但也有一定的互补性(表1,图2,视频1)

1  胸部CT与EIT优缺点比较


图片


图片

2  CT解剖成像显示含气组织


视频1  EIT功能性呈像:显示气体进出变化的区域

EIT通过不同分区方式可将肺部分为多个感兴趣区(ROI): 一种是纵向划分, 包括ROI 1腹外侧、ROI 2腹内侧、ROI 3背内侧和ROI 4背外侧; 另一种是象限划分, 包含ROI 1右上区、ROI 2左上区、ROI 3右下区和ROI 4左下区。


图片


3. EIT的各种参数和曲线

参数:低位像素带(LPB),高位像素带(HPB),呼气末肺阻抗(EELI),呼气末肺阻抗(EILI),感兴趣区(ROI),切点频率。

曲线:全局肺通气阻抗曲线,区域肺通气阻抗曲线,全局肺灌注阻抗曲线。

PEEP滴定曲线:过度膨胀/顺应性(OD/CL),全局不均一指数(GI)EELI,区域通气延迟(RVD),EIT时间常数(τ-EIT),低/高(L/H)。

图像:胸部阻抗肺通气断层成像(动态成像、状态成像、ΔEELI),胸部阻抗肺灌注断层成像(动态成像与状态成像),PEEP滴定视图,趋势视图。




三、EIT在机械通气管理中应用


1. EIT评估肺可复张性和指导PEEP滴定

EIT技术能够在自主呼吸试验(SBT)期间,对潮气量的空间分布进行可视化呈现与定量化分析。GI升高或EELV下降(提示肺塌陷发生)时,可作为预测SBT失败的指标。如图3所示,在实施肺复张操作前后,肺部通气状况呈现出显著差异,借助EIT可清晰捕捉并直观展现这种变化,为评估肺复张效果、指导呼吸治疗提供有力依据。


图片


3  肺复张前后肺部通气的分布情况

评估肺的可复张性,可通过对比两个不同时间点潮气图像的阻抗差值实现。将差值以图像形式呈现(差值图像)4,能够精准判别肺内通气阻抗变化的部位,明确是哪些区域的阻抗增加(提示通气改善等可能),又或是哪些区域的阻抗减少(可能存在肺塌陷等情况),从而为判断肺复张效果、分析肺通气功能状态提供直观依据。


图片
图片


4  阻抗差值图像

肺可复张性评估参考流程如下:①设置ROI:采用分层模式,将肺部分为腹侧与背侧区域;②实施肺复张并对比分析:在实施肺复张操作后,对比复张前与复张过程中的肺通气分布状态,核心评估指标为通气分布的均一性是否改善;③判定可复张患者:对于背侧区域(ROI 4)的通气量较复张前出现明显增加的患者,可判定为具备可复张性的患者。图5-7所示为经EIT评估的肺可复张性。


图片


5  有可复张性


图片


6  部分可复张性

图片

7  无可复张性

ARDS等呼吸疾病的机械通气管理中,基于过度膨胀与塌陷(OD/CL)平衡的PEEP选择是优化肺保护通气的关键策略。若重点关注肺塌陷,需筛选满足“塌陷率≤10%或≤15%”条件,且过度膨胀率最低的PEEP水平,让塌陷肺泡复张同时减少过度膨胀风险;若更在意过度膨胀,可将“过度膨胀率≤10%”作为目标确定PEEP;也可直接选取塌陷与过度膨胀曲线交点对应的PEEP,此点PEEP常与略微增加(约+2 cmH2O)相契合,实现二者的临床平衡,为个性化呼吸支持提供依据(图8)


图片


8  基于过度膨胀与塌陷(OD/CL)的PEEP选择

2022年《中华医学杂志》发表了《肺电阻抗成像技术在重症呼吸管理中的临床应用中国专家共识》,推荐EIT指导ARDS患者个体化PEEP滴定有助于更好地实施肺保护,可能有助于改善ARDS患者预后。

2. EIT在特殊人群中的应用

9是一名接受有创机械通气单侧左肺炎患者的EIT PV曲线。A图显示单侧左肺炎患者左右两肺EIT得出的PV曲线。该图显示了左肺的气道开放压(AOP),在同时分析两个肺时无法捕捉到该压力。B图显示PEEP为5 cmH2O(即低于左肺的气道开放压)时,左肺的潮气通气量仅占总潮气通气量的10%,PaO2/FiO2173 mmHg。C图显示PEEP为14 cmH2O(即高于左肺的AOP)时,左肺的潮气通气量增加到总潮气通气量的20%,PaO2/FiO2达到245 mmHg。


图片


9 有创机械通气的单侧左肺炎患者EIT-PV曲线

10为肥胖志愿者(BMI=35 kg/m2,左)和体重正常志愿者(BMI= 21 kg/m2,右)EIT肺通气图像对比,肥胖可导致EIT肺通气图像呈“左右肺融合单一类圆型轮廓”,但不影响EIT连续动态的肺通气监测。


图片


10  肥胖志愿者与体重正常志愿者EIT肺通气图像对比

3. 临床监测

1)气胸:能够识别低至20 ml的气胸区域,且敏感性高(图11)


图片


11  EIT识别气胸

2)通气缺损:实时监测单侧肺炎或肺栓塞导致的区域通气下降(图12)


图片


11  EIT识别通气缺损

3)肺大血管栓塞:如果血流缺损,通气也会产生变化,可以据此推断肺血管栓塞可能。

视频2  EIT辅助肺大血管栓塞的诊断和治疗评估

4)肺肿瘤切除术后监测:如图12所示,胸片虽显示肺外观结构未严重毁损,仍有部分肺组织显影,但结合EIT影像可见,部分肺区通气功能近乎丧失,通气功能异常会直接导致氧合水平下降,且随着病情的进展,肺通气障碍若持续加重,氧合恶化将更加显著。通过EIT监测及时发现这类通气异常,并给予针对性干预,可促进肺复张,恢复有效通气。


图片


12  EIT用于肺肿瘤切除术后监测

5)俯卧位通气监测:俯卧位通气在临床中备受关注且展现出显著效果,借助EIT技术可以清晰阐释其作用机制:随着俯卧位通气时间的延长,EIT监测显示肺内气体分布逐渐趋于均匀,同时血流灌注也得到改善(图13)。当气体分布与血流灌注二者协同优化,通气血流比值(V/Q)愈发匹配,呼吸功能随之改善。EIT能够实时、精准捕捉肺内通气与血流的动态变化。


图片


13  俯卧位对患者通气-灌注匹配的影响

图源:Crit Care, 2022, 26(1):154.







四、EIT的临床应用


1. EIT在COPD中的应用

合并慢性阻塞性肺疾病(COPD)的ARDS患者,其肺内病理改变的不均一性及气体分布特点更为复杂。在机械通气中应用PEEP时,此类患者面临肺容积过度增加、肺泡过度膨胀及心功能受抑制的风险,而肺泡过度膨胀也是导致VILI的重要诱因。因此,合并COPD的ARDS患者应用PEEP的潜在不良风险相对更高,其通气策略(尤其是PEEP的选择)目前尚未明确。研究表明,与不合并COPD的ARDS患者相比,合并COPD的ARDS患者所需滴定的PEEP水平更低。具体而言,在合并COPD的ARDS患者中,采用EIT技术滴定的PEEP水平低于依据ARDSNet方案设定的PEEP水平。这一策略有助于改善通气比例、降低机械能消耗、提高心脏指数及氧输送效率,同时对血流动力学的不利影响更小。

EIT在COPD治疗中具有多元应用价值:①评估内源性呼气末正压(PEEPi):可动态呈现不同临床场景下COPD患者的通气与肺容积信息,助力医生精准补充适度的外源性PEEP,降低VILI发生风险;②分析不同体位对肺通气的影响:借助EIT实时监测肺部气体分布,为医生筛选优化氧合的通气体位提供依据,指导体位干预改善呼吸功能;③指导高流量鼻导管氧疗(HFNC):一方面,通过EIT观察HFNC对EELI的作用;另一方面,可追踪HFNC对非重力依赖区通气及氧合的改善效果,优化该治疗手段的应用;④评价肺康复疗效:能以床旁监测形式直观反馈物理治疗等肺康复措施对COPD患者肺部通气状态的改善情况,辅助康复方案调整。

2. EIT指导ECMO患者机械通气设置

研究显示,重度ARDS接受ECMO患者的理想PEEP存在异质性,EIT可作为评价这些患者PEEP效应的床旁无创监测工具。进行ECMO治疗的重度ARDS患者的最佳PEEP存在广泛差异,更需要个体化PEEP滴定等呼吸治疗设置。

3. 肺灌注评估

在肺灌注评估中,经典方法是推注高渗盐水。高渗盐水经肺循环(右心→肺动脉→肺静脉→左心)时,遵循首过原理产生特征性稀释波形。当高渗盐水流经肺内区域,会使该区域电阻抗下降,电阻抗下降越显著,提示对应区域血流灌注越丰富;反之,灌注相对较少。借助分析不同肺区的电阻抗波形变化,可定量评估区域肺灌注状态,为判断肺血流分布、识别灌注异常区提供精准数据。具体操作流程见表2。

2  利用EIT进行肺灌注评估的操作流程


图片






五、EIT使用注意事项


EIT操作关键参数与注意事项:

1)电极带定位(2D模式):水平位需贴合锁骨中线4~6肋间,确保电极与皮肤直接接触,保障信号采集的稳定性。

2)扫描层厚(2D模式):以电极带为中心,上下各延伸5 cm范围(覆盖约50%肺脏区域),呈现平均断层扫描结果,反映该层面肺功能信息。

3)信号质量与监测区域:信号质量从低到高变化时,低位像素带(LPB)监测不受干扰;但高位像素带(HPB)监测需信号质量为“高”才具备准确性,建议HPB监测时配合使用电极膏,优化信号传导。

4)切点频率设置:默认设定为55次/min,需依据患者的心率动态调节。若心率<3倍呼吸频率,HPB监测易出现图像失真、数据不准确,需特别关注参数适配性。

5)图像稳定时间:机器启动后,通气图像约30 s趋于稳定;血流图像受电极带信号质量、患者自身状态(如循环动力学)影响更大,存在延迟性,临床曾出现等待5 min才获得稳定血流图像的情况,操作中需预留充足的观察时间。

6)信号干扰规避:HPB信号易被心电监护仪的呼吸频率监测功能干扰,建议关闭该监护功能或移除心电电极贴片,保证EIT血流信号采集的纯净度。




六、EIT聚焦热点话题


EIT作为精准呼吸监测工具,聚焦众多临床热点。在呼吸治疗中,可辅助实现肺复张/PEEP滴定,借压力-容积曲线优化通气;支持自主呼吸监测,助力脱机预测;用于肺灌注评估,结合高渗盐水注射洞察血流;还覆盖俯卧位通气效果追踪、高流量氧疗响应分析,以及与ECMO、气道压力释放通气(APRV)等特殊呼吸支持手段的协同应用。从跨肺压研究到气体摆动、神经调节辅助通气等可变压力支持场景,EIT持续为ARDS等重症呼吸管理提供创新视角,推动个性化呼吸治疗迈向精准化。




七、总结


EIT作为一种无创、实时的功能成像技术,突破了传统监测的局限,为机械通气的精准化管理提供了“可视化”工具。通过动态评估区域通气分布,指导肺复张与PEEP滴定,EIT有望降低VILI风险,改善危重症患者预后。未来需进一步探索其在复杂临床场景中的应用,推动呼吸支持技术从经验医学向精准医学跨越。

附表  呼吸衰竭低氧血症患者最常用的EIT指数的定义、临床应用和局限性


图片

向下滑动查看


【参考文献】

[1] IBSEN B. The anaesthetist's viewpoint on the treatment of respiratory complications in poliomyelitis during the epidemic in Copenhagen, 1952[J]. Proc R Soc Med, 1954, 47(1):72-74. 

[2] Gajic O, Dara SI, Mendez JL, et al. Ventilator-associated lung injury in patients without acute lung injury at the onset of mechanical ventilation[J]. Crit Care Med, 2004, 32(9):1817-1824. 

[3] Writing Group for the Alveolar Recruitment for Acute Respiratory Distress Syndrome Trial (ART) Investigators; Cavalcanti AB, Suzumura ÉA, et al. Effect of Lung Recruitment and Titrated Positive End-Expiratory Pressure (PEEP) vs Low PEEP on Mortality in Patients With Acute Respiratory Distress Syndrome: A Randomized Clinical Trial[J]. JAMA, 2017, 318(14):1335-1345. 

[4] Gattinoni L, Caironi P, Cressoni M, et al. Lung recruitment in patients with the acute respiratory distress syndrome[J]. N Engl J Med, 2006, 354(17):1775-1786. 

[5] Bellani G, Messa C, Guerra L, et al. Lungs of patients with acute respiratory distress syndrome show diffuse inflammation in normally aerated regions: a [18F]-fluoro-2-deoxy-D-glucose PET/CT study[J]. Crit Care Med, 2009, 37(7):2216-2222. 

[6] Constantin JM, Jabaudon M, Lefrant JY, et al. Personalised mechanical ventilation tailored to lung morphology versus low positive end-expiratory pressure for patients with acute respiratory distress syndrome in France (the LIVE study): a multicentre, single-blind, randomised controlled trial[J]. Lancet Respir Med, 2019, 7(10):870-880.

[7] Trenk F, Mendes L, Carvalho P, et al. Evaluation of lung ventilation distribution in chronic obstructive pulmonary disease patients using the global inhomogeneity index[J]. Annu Int Conf IEEE Eng Med Biol Soc, 2016, 2016:5286-5289. 

[8] Costa EL, Borges JB, Melo A, et al. Bedside estimation of recruitable alveolar collapse and hyperdistension by electrical impedance tomography[J]. Intensive Care Med, 2009, 35(6):1132-1137. 

[9] Karagiannidis C, Waldmann AD, Róka PL, et al.  Regional expiratory time constants in severe respiratory failure estimated by electrical impedance tomography: a feasibility study[J]. Crit Care, 2018, 22(1):221.

[10] 中国卫生信息与健康医疗大数据学会重症医学分会标准委员会, 北京肿瘤学会重症医学专业委员会, 中国重症肺电阻抗工作组. 肺电阻抗成像技术在重症呼吸管理中的临床应用中国专家共识[J] . 中华医学杂志, 2022, 102(9):615-628. 

[11] Costa EL, Chaves CN, Gomes S, et al. Real-time detection of pneumothorax using electrical impedance tomography[J]. Crit Care Med, 2008, 36(4):1230-1238. 

[12] Wang YX, Zhong M, Dong MH, et al. Prone positioning improves ventilation-perfusion matching assessed by electrical impedance tomography in patients with ARDS: a prospective physiological study[J]. Crit Care, 2022, 26(1):154. 

[13] Liu X, Liu X, Meng J, et al. Electrical impedance tomography for titration of positive end-expiratory pressure in acute respiratory distress syndrome patients with chronic obstructive pulmonary disease[J]. Crit Care, 2022, 26(1):339.

[14] 许魏娜, 冯慧, 开绍江, 等. 电阻抗成像在慢性阻塞性肺疾病中的研究进展[J]. 慢性病学杂志, 2022, 3:332-334, 338.

[15] Puel F, Crognier L, Soulé C, et al. Assessment of electrical impedance tomography to set optimal positive end-expiratory pressure for veno-venous ECMO-treated severe ARDS patients[J]. J Crit Care, 2020, 60:38-44.

[16] Hellige G, Hahn G. Cardiac-related impedance changes obtained by electrical impedance tomography: an acceptable parameter for assessment of pulmonary perfusion?[J]. Crit Care, 2011, 15(3):430. 

[17] Nguyen DT, Jin C, Thiagalingam A, et al. A review on electrical impedance tomography for pulmonary perfusion imaging[J]. Physiol Meas, 2012, 33(5):695-706.

[18] Zhao Z, Chang MY, Chang MY, et al. Positive end-expiratory pressure titration with electrical impedance tomography and pressure-volume curve in severe acute respiratory distress syndrome[J]. Ann Intensive Care, 2019, 9(1):7. 

[19] Zhou Y, Jin X, Lv Y, et al. Early application of airway pressure release ventilation may reduce the duration of mechanical ventilation in acute respiratory distress syndrome[J]. Intensive Care Med, 2017, 43(11):1648-1659.

[20] Franchineau G, Bréchot N, Lebreton G, et al. Bedside Contribution of Electrical Impedance Tomography to Setting Positive End-Expiratory Pressure for Extracorporeal Membrane Oxygenation-treated Patients with Severe Acute Respiratory Distress Syndrome[J]. Am J Respir Crit Care Med, 2017, 196(4):447-457. 


作者介绍

图片

刘学松

广州医科大学附属第一医院 广州呼吸健康研究院 国家呼吸医学中心 重症医学科病区主任,博士副主任医师硕士生导师中国老年医学学会呼吸病学分会委员,中国心胸血管麻醉协会体外生命支持分会委员中国医师协会体外生命支持专业委员会青年委员中国医师协会呼吸医师分会危重症青年委员广东省医学会重症医学分会委员广东省器官医学与技术学会重症专委常务委员广东省医院协会重症医学管理分会常务委员广州市康复医学会重症康复分会副主任委员广州市临床用药质控中心临床专家组副组长广州市医学会重症医学分会委员,广东省医师协会呼吸医师分会呼吸治疗专业委员会常委广东省医院协会医院重症监护中心管理专业委员会青年委员广东省药学会重症医学用药委员会委员广东省呼吸康复专业委员会委员广东省健康管理学会重症医学专业委员。



点我观看视频.jpg

本文仅用于学术内容的探讨和交流,不用于任何商业和推广,亦不作为最终的临床决策。临床实践需根据患者的具体情况选择适宜的处理措施。

全部评论 0
Copyright©2020-2026 北京医麦斯科技有限公司 版权所有 京ICP备2020034400号-1 京公网安备11010502043983号