登录方式

方式一:
PC端网页:www.rccrc.cn
输入账号密码登录,可将此网址收藏并保存密码方便下次登录

方式二:
手机端网页:www.rccrc.cn
输入账号密码登录,可将此网址添加至手机桌面并保存密码方便下次登录

方式三:
【重症肺言】微信公众号
输入账号密码登录

注:账号具有唯一性,即同一个账号不能在两个地方同时登录。

登录
方式

为重症救治赋能

为患者康复加速

当前位置:首页 脏器支持 无创通气

无创正压通气患者的气道管理

张伟 海军军医大学第一附属医院呼吸与危重症医学科 发布于2023-12-22 浏览 4991 收藏

作者:张伟

单位:海军军医大学第一附属医院呼吸与危重症医学科

无创正压通气(NPPV)的并发症主要包括:①与连接方式相关的并发症:漏气,面部压伤,幽闭恐惧,眼部刺激。②与气道维护相关的并发症:痰液引流不畅,口鼻发干,鼻充血,痰痂、痰堵,胃胀气,误吸。③与正压通气相关的并发症:血压降低,气压伤,人机不协调,耳鸣、耳痛。研究显示,在NPPV气道并发症中,鼻腔/口腔黏膜充血发生率约为50%,鼻腔/口腔干燥发生率为30%~50%,胃胀气发生率为30%~40%,误吸发生率<5%,黏液堵塞气道偶尔发生。但误吸和黏液堵塞气道是最常见的导致NPPV失败后插管的原因。


病例1:男性,81岁,既往慢阻肺病史。入院前3天摔倒,左侧2~5肋骨骨折。予NPPV,IPAP 10 cmH2O,EPAP 4 cmH2O,FiO40%。血气分析示:pH 7.439,PaCO2 38 mmHg,PaO2 53 mmHg。第4天行气管插管(图1),插管后发现气管内大量痰液积聚无法咳出。分析认为是由于初始行NPPV时左侧2~5肋骨形成连枷胸,患者咳嗽无力,左肺痰不易咳出。因此,此类患者行NPPV时应考虑:是否需要引流痰液,是否需要尽早插管,是否行气管镜检查。

图片

图1 患者胸部X线片
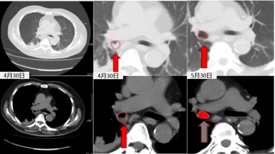
病例2:患者,男性,71岁。主诉“双下肢麻木、力弱4月余,再发1月”。诊断:慢性炎性脱髓鞘性多神经根神经病。4月23-26日予甲强龙1.0 g冲击治疗,患者自觉症状明显缓解。4月26日予甲强龙0.5 g治疗,2天后喘憋加重,出现Ⅱ型呼吸衰竭。4月28日转入ICU,深吸气量为450~500 ml,给予NPPV治疗,1天后气管插管,可吸出大量痰液。4月30日,胸部CT提示右肺中间支气管痰栓形成。4月30日CT:纵隔窗无明显异常,但在肺窗可见右下支气管痰栓堵塞。治疗好转后复查胸部CT(5月30日)发现痰栓消失(图2)。该患者的气道问题主要包括:口干、鼻干;痰液黏稠、不易咳出;痰栓、痰痂形成;气道阻力增加;胃胀气,肺通气量下降。

图片

图2  患者胸部CT

NPPV患者的气道管理

预防NPPV气道相关并发症,通常采取以下措施:气道湿化,气道雾化,清除气道内分泌物,预防胃胀气。

1. NPPV患者气道湿化
正常情况下,鼻腔是人体的加温加湿器。吸入气体在声门口处时,温度为37℃,相对湿度为100%。在NPPV治疗时,通气量明显增加,吸入的空氧混合气较为干燥,其含水量相对较低,此种情况就需要加温加湿,避免鼻腔黏膜干燥。
影响NPPV气道湿化的因素有:①漏气;②流经湿化器的气体流量大小;③人机连接方式;④呼吸机类型:家用或者医用;⑤室温;⑥吸入气体温度;⑦湿化系统类型。
漏气会降低吸入气体湿度。无论是经鼻CPAP还是经鼻CPAP+湿化,只要存在漏气,其相对湿度就会降低。漏气量大(>40 L/min),影响治疗效果;漏气量小,容易出现“雾气”,对于佩戴口鼻全面罩的患者,出现“雾气”会降低患者的舒适度。
NPPV患者气道湿化不足会导致:①人机配合度下降,需要注意的是,NPPV耐受性降低是治疗失败的独立预测因素;②困难气管插管;③鼻腔/口腔干燥;④上气道阻力增加(可增加3倍);④气道黏膜纤毛上皮细胞坏死,不利于痰液排出;⑤鼻腔黏膜充血;⑤呼吸系统顺应性下降。
NPPV患者如何进行气道湿化?首先,需要选择合适的湿化装置,例如加热湿化器(HH),人工鼻(HME)。其次,要选择适当的温度和湿度。对于外科手术后拔管4~6小时内的患者,用人工鼻和加热湿化器均可;对于外科手术后拔管24小时或接受NPPV治疗的患者,人工鼻无法达到预期的湿化效果。因此,短时间(12小时内)可以使用人工鼻进行气道湿化,长时间气道湿化,尤其是有呼吸系统疾病的患者,建议使用加热湿化器。NPPV患者首选加热湿化器。很多OSAS患者居家管理并不需要加热湿化器,但很多肺部疾病(如哮喘、ARDS等)患者,则需要使用加热湿化器。
NPPV湿化的推荐意见:建议NPPV患者进行主动湿化,改善舒适性;湿化温度和湿度主要根据患者的耐受性来决定,一般经气管插管的温度为37℃,而NPPV的温度约为34℃;不主张NPPV患者进行被动湿化。
2. NPPV患者气道雾化治疗
在呼吸科,雾化是非常重要的呼吸治疗方式。NPPV时雾化治疗的关键在于呼气阀的位置,雾化器要接在呼气阀之前。同理,MDI+Spacer也要接在呼气阀之前(图3)
图片
图3  雾化治疗装置连接位置
3. NPPV患者痰液引流
NPPV患者痰液引流措施有:①体位引流,是做好气道管理的基本措施;②加强气道的湿化;③主动咳嗽咳痰,帮助患者进行咳嗽训练;④常规气道内吸引,如放置口咽通气道,经鼻或经口气道内吸痰;⑤物理治疗,如采用体位引流、振动排痰、咳痰机;⑥雾化治疗。
图4A为早期(2005—2006年)自制支气管镜面罩,用于一例巨细胞病毒感染并ARDS的肾移植患者。图4B为REAPIRONICS支气管镜面罩,有了专门的支气管镜接头,便于进行气管镜操作。图4C为麻醉面罩,可用于NPPV情况下的纤支镜诊疗。
图片
图4  支气管镜面罩
4. NPPV患者预防胃胀气
胃胀气是NPPV时气体流向改变所致。在NPPV过程中,胃胀气发生率较高,为30%~40%常见原因包括:吸气压力升高;潮气量增加;呼吸系统阻力增大;食道括约肌张力下降(正常为20~25 cmH2O);体位改变。根据我们的经验,尽管在高压、高龄情况下发生反流误吸的概率大一些,但在低龄/年轻患者,低压情况下也可发生反流及误吸。
胃胀气会对NPPV患者造成一定的危害,例如导致NPPV患者通气功能下降,出现呕吐、误吸,腹腔高压,食道和胃破裂,甚至心跳骤停等。预防胃胀气的方法包括:①体位:30°~45°半卧位;②避免NPPV吸气压超过20 cmH2O;③减少人机对抗的发生;④鼻胃管减压;⑤餐后保持坐位1~1.5小时。

NPPV患者镇静镇痛的选择

2002年,《中华结核和呼吸杂志》发表了《无创正压通气临床应用中的几点建议》,其中提出NPPV不能应用镇静剂,但在2009年发表的《无创正压通气临床应用专家共识》中回避了NPPV中能否使用镇痛镇静的问题,这是因为有越来越多的证据使我们看到了在NPPV中使用镇痛镇静的可能性。

2007年一项对于13例已经因不耐受或拒绝而导致NPPV失败的患者进行的研究发现,应用基于瑞芬太尼的镇痛镇静治疗,1小时后氧合指数从(134±69)mmHg上升至(187±43)mmHg;ARDS患者呼吸频率从(34±12)次/min下降到(25±4)次/min,慢阻肺患者PaCO2从(69±7)mmHg下降到(42±5)mmHg;4例患者气管插管,12例患者治疗成功。该研究得出结论:对于NPPV不耐受的患者,基于瑞芬太尼的镇静治疗是安全有效的。

2005年,Nava教授发表文章显示右美托咪啶(选择性α受体激动剂)在NPPV过程中是一种比较有应用前景的镇静药物。2015年的一项前瞻性、国际性、多中心、观察性研究分析了NPPV期间镇静和镇痛对患者结局的影响,结果发现,单独使用镇痛或镇静药物与NPPV失败无关,但联合使用与NPPV失败相关。该研究起初纳入了842例患者,其中,677例患者未使用镇痛和镇静药物,88例患者单用镇痛药物,44例患者单用镇静药物,33例患者镇痛和镇静药物都使用。最终发现,未使用镇痛或镇静药物的患者28 d死亡率为23%。单用镇痛药物患者28 d死亡率为35%,单用镇静药物患者28 d死亡率为27%,镇痛和镇静药物都使用患者的28 d死亡率是47%。在入组时,在使用镇静药物和不使用镇静药物的患者中,使用镇静药物的患者病情更重。其次,该研究回顾性分析了某一时间段ICU中有使用NPPV的患者例数,以及其中使用镇痛和镇静药物的患者数量,并没有对镇痛和镇静进行干预,该研究中使用最多的镇静药物是地西泮(安定)。而我们在NPPV期间基本不用地西泮,而是使用右美托啶或瑞芬太尼。因为地西泮的镇静程度较深,发生呼吸抑制和二氧化碳潴留等情况不可控;而右美托啶和瑞芬太尼可以精准把控。因此,该研究结果具有一定的局限性。

NPPV期间是否使用镇静和镇痛治疗尚存争议。目前一些小样本研究显示给予瑞芬太尼镇静治疗在NPPV中是安全有效的。也有研究提示,在NPPV中使用镇静和镇痛增加患者死亡率,但该研究对镇静和镇痛方案的使用方法没有统一。如患者因不耐受而不接受NPPV,可以尝试在严密监测及准备好气管插管基础上使用镇静及镇痛。

小结

综上,对于NPPV而言,无论是气道管理、胃肠道管理,还是镇痛镇静、压力调控、痰液清除、医患沟通等,其中任何一项工作没有做到位,都可能导致NPPV失败。所以,细节决定NPPV的成败,尽量做好每一项工作,避免不良事件的发生。

参考文献

[1] Gay P C. Complications of noninvasive ventilation in acute care[J]. Respir Care, 2009, 54(2):246-257.

[2] Carron M, Freo U, BaHammam AS, et al. Complications of non-invasive ventilation techniques: a comprehensive qualitative review of randomized trials[J]. Br J Anaesth, 2013, 110(6):896-914.

[3] Esquinas Rodriguez AM, Scala R, Soroksky A, et al. Clinical review: humidifiers during non-invasive ventilation--key topics and practical implications[J]. Crit Care, 2012, 16(1):203. 

[4] Martins De Araújo M T, Vieira S B, Vasquez E C, et al. Heated humidification or face mask to prevent upper airway dryness during continuous positive airway pressure therapy[J]. Chest, 2000, 117(1):142-147.

[5] Carlucci A, Richard JC, Wysocki M, et al. Noninvasive versus conventional mechanical ventilation. An epidemiologic survey[J]. Am J Respir Crit Care Med, 2001, 163(4):874-880. 

[6] Jaber S, Chanques G, Matecki S, et al. Comparison of the effects of heat and moisture exchangers and heated humidifiers on ventilation and gas exchange during non-invasive ventilation[J]. Intensive Care Med, 2002, 28(11):1590-1594. 

[7] Lellouche F, Maggiore SM, Deye N, et al. Effect of the humidification device on the work of breathing during noninvasive ventilation[J]. Intensive Care Med, 2002, 28(11):1582-1589.

[8] American Association for Respiratory Care; Restrepo R D, Walsh B K. Humidification during invasive and noninvasive mechanical ventilation: 2012[J]. Respir Care, 2012, 57(5):782-788. 

[9] Luria O, Reshef L, Barnea O. Analysis of non-invasive ventilation effects on gastric inflation using a non-linear mathematical model[J]. Resuscitation, 2006, 71(3):358-364.

[10] Carron M, Freo U, BaHammam AS, et al. Complications of non-invasive ventilation techniques: a comprehensive qualitative review of randomized trials[J]. Br J Anaesth, 2013, 110(6):896-914.

[11] De Keulenaer BL, De Backer A, Schepens DR, et al. Abdominal compartment syndrome related to noninvasive ventilation[J]. Intensive Care Med, 2003, 29(7):1177-1181. 

[12] Van de Louw A, Brocas E, Boiteau R, et al. Esophageal perforation associated with noninvasive ventilation: a case report[J]. Chest, 2002, 122(5):1857-1588. 

[13] 中华医学会呼吸病学分会临床呼吸生理及ICU学组. 无创正压通气临床应用中的几点建议[J]. 中华结核和呼吸杂志, 2002, 25(3):130-134. 

[14] 中华医学会呼吸病学分会呼吸生理与重症监护学组,《中华结核和呼吸杂志》编辑委员会. 无创正压通气临床应用专家共识[J]. 中华结核和呼吸杂志, 2009, 32(2):86-98. 

[15] Constantin J M, Schneider E, Cayot-Constantin S, et al. Remifentanil-based sedation to treat noninvasive ventilation failure: a preliminary study[J]. Intensive Care Med, 2007, 33(1):82-87. 

[16] Nava S, Ceriana P. Patient-ventilator interaction during noninvasive positive pressure ventilation[J]. Respir Care Clin N Am, 2005, 11(2):281-293. 

[17] Muriel A, Peñuelas O, Frutos-Vivar F, et al. Impact of sedation and analgesia during noninvasive positive pressure ventilation on outcome: a marginal structural model causal analysis[J]. Intensive Care Med, 2015, 41(9):1586-600. 


 作者介绍


图片

张  伟

  • 海军军医大学第一附属医院呼吸与危重症医学科副主任,兼任重症医学中心副主任

  • 副主任医师,副教授,硕士生导师

  • 上海市医学会呼吸病学专科分会委员兼呼吸治疗学组(筹)组长

  • 中华医学会呼吸病学分会呼吸危重症医学学组委员

  • 中华医学会结核病学分会重症专业委员会副主任委员

  • 中国医师协会呼吸医师分会危重症医学工作委员会委员

  • 中国医师协会呼吸内镜医师分会青委会常委兼秘书长

  • 中国医学装备协会呼吸病学装备技术专业委员会常委

  • 《中华医学杂志》第29届编委会通讯编委

  • 近五年以第一/通讯(含共同)在JAMA、JITC、CHEST等杂志发表13篇论著,累计IF超过150分,他引超过2400次

  • 荣获教育部科技进步一等奖、军队科技进步一等奖各1项

  • 入选上海市“医苑新星”杰出青年医学人才计划



全部评论 0
Copyright©2020-2026 北京医麦斯科技有限公司 版权所有 京ICP备2020034400号-1 京公网安备11010502043983号