登录方式
方式一:
PC端网页:www.rccrc.cn
输入账号密码登录,可将此网址收藏并保存密码方便下次登录
方式二:
手机端网页:www.rccrc.cn
输入账号密码登录,可将此网址添加至手机桌面并保存密码方便下次登录
方式三:
【重症肺言】微信公众号
输入账号密码登录
注:账号具有唯一性,即同一个账号不能在两个地方同时登录。
病例介绍
一般资料
患儿,男性,9岁,2020年10月4日转入我院。
简要病史
2020年10月2日因颈部疼痛、乏力、呼吸困难,于外院急诊就诊时意识障碍加重,叹气样呼吸,予以气管插管。
入科基本情况
意识:昏睡。T 38.7℃,HR 176次/min,BP 138/91 mmHg。神经肌肉系统:四肢肌力下降,左侧0级,右侧1~2级。需要呼吸机辅助通气(模式:AC/PC),在此参数下,患儿仍有明显的二氧化碳潴留和低氧血症。血气分析:pH 7.12,PaCO2 97.8 mmHg,PaO2 61 mmHg。
入科诊断
呼吸衰竭;急性播散性脑脊髓炎,自身免疫性脑病和颅内感染待排。
针对此例患儿,呼吸治疗师能够做什么?
呼吸治疗经过
进一步评估呼吸功能
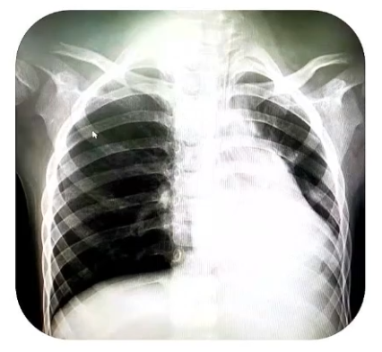
2020年10月4日,①床旁超声评估膈肌功能(更换为PSV模式):膈肌移动度明显减弱,呼吸频率增快;②咳嗽功能明显减弱:吸痰刺激无咳嗽反射,咳嗽功能0级,痰液量多,稀薄;③床旁胸部X线片:右肺上叶不张或实变,右侧膈面稍抬高。
成人患者如果出现上述情况,可以选择床旁纤维支气管镜治疗,但对于儿童患者,床旁纤维支气管镜的开展仍不广泛。
没有床旁纤维支气管镜,呼吸治疗能做什么?
——支气管卫生治疗
(1)翻身:每2小时。
(2)针对右上肺体位引流:45°仰卧位2~4小时/天,左侧卧位2~4小时/天。
(3)机械辅助排痰:缩短每次治疗时间,增加治疗频率——每天4次(白班3次,夜班1次),每次5~8 min。
(4)吸痰:按需吸痰。

第二次评估:“呼”明“呼”暗
患儿两肺病变交替变化,咳嗽功能未恢复,且通气功能障碍未能得到改善,短期撤机不可能,那么此时是否考虑气管切开?但儿童呼吸治疗面临的又一困境出现了——儿童气管切开的临床应用有限。

没有气管切开怎么办?
调整治疗方案——辅助咳嗽
2020年10月8日,患儿心率及血压稍稳定。①尝试MIE,辅助患儿咳嗽,每天2次;②多体位引流,加强吸引;③体外膈肌起搏;④早期被动肢体运动。
2020年10月15日,患儿双肺无明显实变不张,膈面恢复正常,PaCO2基本降至正常水平,痰液量少,2小时1次吸痰。但患儿咳嗽功能无明显改善,四肢肌力未恢复,自主呼吸功能未恢复。10月13日经小儿神经科会诊,开始激素冲击治疗。
2020年10月20日,患儿床旁超声显示膈肌活动度较前改善;床旁胸部X线片显示肺部感染较前加重,右侧膈面抬高;体温正常。咳嗽功能明显改善,1~2级,痰液量较前减少,每3小时需吸痰1次。根据患儿能量代谢测定结果调整肠内外营养,将镇静药物咪达唑仑改为右美托咪定,加强气道管理,继续使用咳痰机和体位治疗。调整呼吸机模式,间断使用PSV模式进行呼吸锻炼。在康复方面加用了穴位针灸治疗。

2020年10月24日,患儿胸部X线片明显实变不张,透光度良好。PSV模式下患儿耐受良好,呼吸节律正常,呼吸频率稍快。痰液量明显减少,TCPaCO2正常。此时拔出气管插管换用无创BiPAP。拔管后,继续辅助咳痰+ACBT,每日1次,增加离床活动,使用诱发性肺量计。

4天后再次评估,患儿膈肌功能基本恢复正常,双肺无明显实变不张。10月28日,撤离无创呼吸支持。

转出ICU
左侧肢体肌力稍弱,在治疗师的帮助下可以站立,无需氧疗,咳嗽功能2~3级,痰液量少,无需咳痰机辅助。
心得体会
以患者为中心多学科协作,互为表里。
量身定制治疗计划,拍、吸、咳三部分。
支气管卫生疗法需要起始评估与持续评估。
人文关怀,做有温度的呼吸治疗师。

* 病例内容根据中国医师协会呼吸医师分会第八届中国呼吸支持技术会议暨第二届重症肺炎论坛视频整理。
后可发表评论
友情链接
联系我们
公众号
客服微信