登录方式
方式一:
PC端网页:www.rccrc.cn
输入账号密码登录,可将此网址收藏并保存密码方便下次登录
方式二:
手机端网页:www.rccrc.cn
输入账号密码登录,可将此网址添加至手机桌面并保存密码方便下次登录
方式三:
【重症肺言】微信公众号
输入账号密码登录
注:账号具有唯一性,即同一个账号不能在两个地方同时登录。
41岁女性患者,因“肢体麻木、乏力11天,呼吸困难10天”入院,右肺实变明显,且右侧膈肌“瘫痪”,考虑何种检查帮助明确诊断?后续采取哪些治疗措施?如何做好患者的康复?让我们跟随此病例,寻找答案。
病例介绍
一般资料
患者,女性,41岁,已婚,自由职业者。入院时间:2020年11月23日。
主诉
肢体麻木、乏力11天,呼吸困难10天。
现病史
入院前11天,由贵州乘飞机至江西乘,到家约6 h后自觉右颈肩疼痛。于当地理疗店行按摩理疗后出现右侧肢体麻木、乏力,无肢体活动障碍。于当地市医院就诊,CT示颅内及胸部未见异常;CTA示右侧椎动脉较左侧稍细。入院前10天,患者肢体乏力加重,呼吸困难,气管插管。于当地医院ICU行脑脊液检查:生化无异常;常规示微红,有小凝块,潘氏试验1+,胸部CT示双侧胸腔少量积液,痰培养提示肺炎克雷伯菌。入院前8天,患者由南昌转回贵州某县医院,反复发热,最高体温39℃,抗感染效果不佳。为进一步治疗转至本院急诊科,胸部CT示左肺下叶和右肺实变,右侧少量胸水,头部CT未见异常,WBC 15.62×109/L,NEU% 86.5%,PCT 0.2 ng/ml,BNP 581 ng/L。床旁气管镜检查示左肺通畅,右侧大量黄脓痰;痰培养提示鲍曼不动杆菌和肺炎克雷伯菌。患者有磺胺类药物过敏史,有吸烟史,约20年,平均4支/天。
入科基本情况
T 36.5℃,P 98次/min,R 15次/min,BP 106/69 mmHg,SpO2 97%。
气管插管,有创机械通气,容量控制通气(VCV),Vt 420 ml,F 12次/min,PEEP 5 cmH2O,FiO2 0.4。左下肺及右肺呼吸音弱,右侧呼吸动度弱。
查体:镇痛镇静状态,可唤醒,部分遵嘱,RASS评分-1分。双瞳等大,直径约2.5 mm。双侧对光反射均灵敏。双肺呼吸音粗,双下肺闻及湿啰音,无哮鸣音,心界不大,律齐,心脏各瓣膜区无杂音。触诊全腹柔软,全腹压痛、反跳痛查体不能配合。肠鸣音正常,双下肢无水肿。右上肢肌力Ⅱ级,右下肢肌力Ⅰ级,肌张力降低,左侧肢体肌力及肌张力正常。病理征阴性。
原发病诊断
肢体麻木、乏力待诊:脊髓炎?格林巴利综合征?其他?
诊治经过
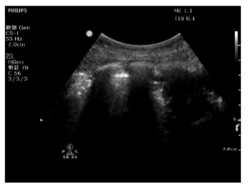
辅助检查:入科第2天行气管镜检查示左肺通畅,右肺大量黄色脓痰(35 ml)(图1)。再行肺部超声检查示右肺点有明显的碎片征,提示右肺实变(图2)。膈肌超声检查示患者右侧膈肌不动,对EDP无反应(图3)。

图1 气管镜检查

图2 肺部超声检查

图3 膈肌超声检查
各项检查均提示患者右肺存在问题,且患者右侧膈肌对EDP无反应,是何原因?
查阅文献发现,高位颈髓病变可导致肺实变和肺不张,机制为:①外周交感兴奋性降低;②呼吸肌力降低;③咳嗽反射降低(图4)。故进一步考虑此例患者为外周神经疾病病变引起的单侧膈肌不动,目标为气道管理、改善肺充气、膈肌管理。

图4 高位颈髓病变致肺实变/肺不张的机制
处理措施
(1)气道清洁:改善分泌物性状,控制痰液处于2-的黏度(使用加热型呼吸管路,沐舒坦po+乙酰半胱氨酸in.h);左侧卧位引流痰液3×20 min,辅以胸部叩击;按需进行支气管镜吸引。
(2)促进和保持肺充气。①体位管理:左侧卧位3×20 min,高坐卧位1 h,转移训练30 min,改善肺容积。②正压通气:6~8 cmH2O的PEEP维持肺充气。
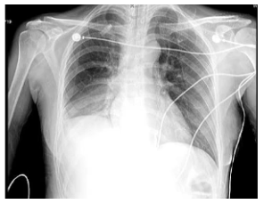
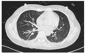
治疗6天后,患者右肺复张,直至转科前,患者肺部未出现任何问题(图5,图6)。于我科有创机械通气30天,未出现呼吸机相关性肺炎。

图5 患者治疗6天后胸部X线片

图6 患者治疗3周后胸部CT
第3天患者行增强MRI检查:C2~C5平面脊体稍粗,内见条片状稍长T2信号影,颈段脊髓(约C2~C3平面)内见片状长T1长T2信号影,未见强化。椎旁软组织未见异常信号。胸段脊髓局部有T2稍高信号影,未见强化。
经多学科讨论后修正诊断为:视神经脊髓炎。
患者入科2周肌力变化如图7所示。

图7 患者入科2周肌力变化情况
(3)促进膈肌缓慢恢复:第1周,夜间给予酒石酸布托啡诺镇痛、右美托咪定镇静,RASS评分-1~0分;膈肌不动,对EDP无反应。第2~3周,SIMV——PSV(14~16 cmH2O),EDP 2×30 min;7天后PSV模式下,膈肌有收缩。第4周,PSV——T管,EDP 2×30 min;SBT开始时膈肌移动度达到2 cm。
为了促进撤机,将目标集中于腹肌锻炼方面,另外指导患者掌握咳嗽技巧(图8)。

图8 促进撤机方案
重症康复——占据主动
从第1周开始逐渐开展重症康复,帮助患者树立信心,建立与医护之间的信任,增强患者治疗依从性。经过4周的康复治疗,患者成功撤机,并于病房活动,维持肺充气和四肢肌力(图9)。

图9 重症康复治疗
治疗结局
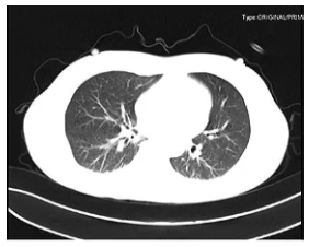
30天后拔管,34天后转科,43天后好转出院,右上肢肌力5-级,右下肢肌力5级。转科当日,平静呼吸,膈肌动度1.35 cm,出院时胸部CT结果正常(图10)。

图10 患者出院时胸部CT
心得体会
以患者的问题为导向制订呼吸治疗方案,并结合循证医学证据。
动态监测患者病情,进行气道管理、呼吸支持、早期康复。
杜绝并发症,占据主动权。
Q&A 1
右侧膈肌开始“瘫痪”的原因什么?为何之后又恢复了?
因为患者右侧C2~C5有水肿,我们考虑是膈神经水肿或被压迫,中枢无法支配膈肌。患者对EDP无任何反应,说明患者膈神经的下行通路有问题,考虑由炎症所致。之后患者膈肌肌力恢复,是源于原发病的治疗,我们采用了激素和免疫球蛋白冲击治疗,减轻炎症,患者膈神经下行通路逐渐恢复。
Q&A 2
从患者右肺病变至视神经脊髓炎的诊断,如何安排检查和后续处理?
患者入科时神经内科会诊初步考虑为脊髓炎或格林巴利综合征,建议患者行增强MRI检查。检查结果提示C2~C5平面脊体稍粗、条片状稍长T2信号影(水肿),追问患者病史发现其曾在理疗店做过按摩,可能导致局部出现炎症。经讨论认为患者可能为视神经脊髓炎,因为格林巴利综合征不表现为单侧,结合其他表现,视神经脊髓炎的诊断可能性最高。
点评嘉宾


参赛选手

*病例内容根据中国医师协会呼吸医师分会第八届中国呼吸支持技术会议暨第二届重症肺炎论坛视频整理。
后可发表评论
友情链接
联系我们
公众号
客服微信