登录方式

方式一:
PC端网页:www.rccrc.cn
输入账号密码登录,可将此网址收藏并保存密码方便下次登录

方式二:
手机端网页:www.rccrc.cn
输入账号密码登录,可将此网址添加至手机桌面并保存密码方便下次登录

方式三:
【重症肺言】微信公众号
输入账号密码登录

注:账号具有唯一性,即同一个账号不能在两个地方同时登录。

登录
方式

为重症救治赋能

为患者康复加速

当前位置:首页 脏器支持 呼吸监测

重症肺癌的呼吸介入治疗

梁志科,孙诚 华南理工大学附属第二医院 广州市第一人民医院 呼吸与危重症医学科 发布于2026-02-10 浏览 3431 收藏

作者:梁志科,孙诚

单位华南理工大学附属第二医院 广州市第一人民医院 呼吸与危重症医学科

肺癌的高发病率和高死亡率已成为全球公共卫生领域的重大难题。尽管靶向治疗、免疫治疗等新兴疗法显著改善了部分肺癌患者的预后,但重症肺癌患者仍面临诸多危及生命的并发症,如严重气道梗阻、大咯血窒息、重症感染、多器官功能障碍等,其治疗难度大、预后差。呼吸介入治疗以呼吸危重症支持技术为依托,通过支气管镜等微创手段,在重症肺癌的紧急处理、病因诊断及症状缓解等方面发挥着不可替代的作用,为重症肺癌患者争取进一步治疗机会、改善生存质量提供了有力保障。


一、困难气道的建立与管理

困难气道是重症肺癌患者常见的危急情况,若处理不及时或不当,极易导致患者窒息死亡。呼吸介入技术在困难气道的建立与管理中具有精准、微创、高效的优势,主要包括以下关键技术及应用。

1. 支气管镜引导下经皮扩张气管造口术(FBPDT

1985年Ciaglia发明了用锥形的钝性扩张器扩张颈前组织和气管前壁的逐步扩张法Ciaglia法,经改进后成为单步扩张技术而支气管镜引导下的FBPDT进一步提升了操作的安全性和准确性。笔者中心目前已成功实施FBPDT逾300例。

1)操作准备与要点:术前需完善知情同意、禁食、备皮等准备工作,常规检查血常规、凝血功能、输血前八项等指标。操作需在呼吸RICU床旁进行,由2名医生和1~2名护士协作完成,主要器械包括一次性气管切开导入器和纤支镜。穿刺点选择2~3软骨环之间纤支镜可实时确定穿刺位置和深度,同时及时清除分泌物,避免误穿和窒息风险。

2)技术优势:相较于传统外科气管造口术,FBPDT具有显著优势,微创、安全:手术器械采用亲水膜及渐尖设计,插入过程省力,减少颈部组织和气管损伤,术后瘢痕小,患者恢复快;操作快速,熟练操作者仅需2~3 min即可完成,尤其适用于喉源性呼吸困难及需高呼吸机参数支持的危重患者;适用范围广,对脖子短、凝血功能障碍等特殊患者具有独特优势,甚至不可替代。

临床案例——支气管镜引导下经皮扩张气管造口术

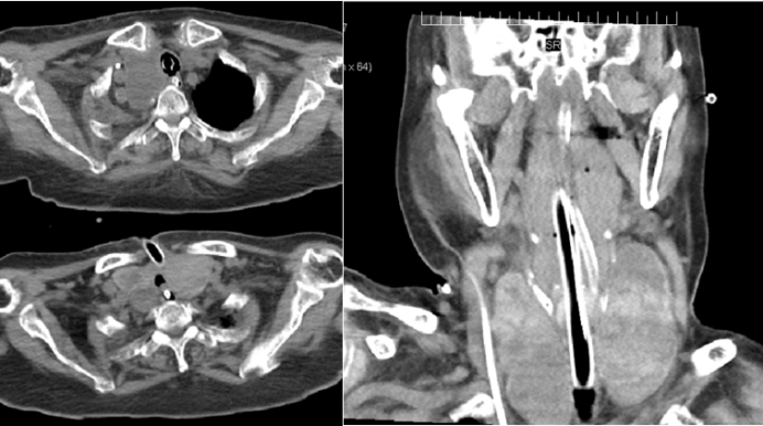
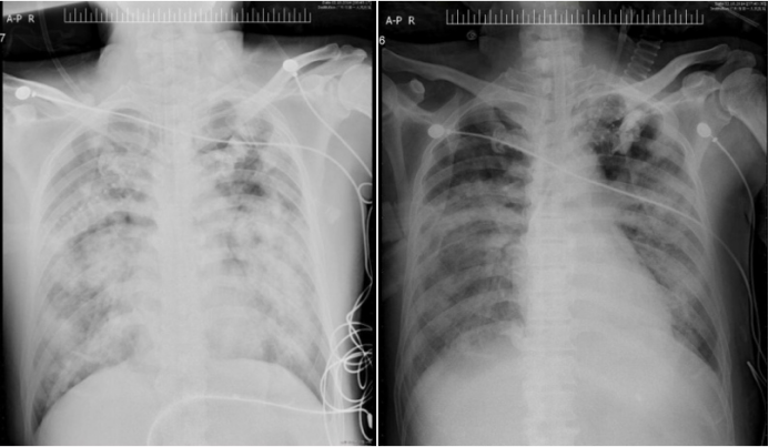
病例1:65岁男性患者,因“发热伴咳嗽、咳痰、气促5天,加重10小时”入院。诊断为危重症人感染H7N9禽流感并发重症肺炎、重度ARDS、急性肾衰竭及多器官功能障碍综合征,同时合并2型糖尿病及高血压3级。在呼吸机高度参数支持下行FBPDT,快速建立气道通路,为后续治疗赢得时间,患者经积极治疗后康复。患者入院胸部CT见图1,治疗前后胸片对比见图2。

图片

1  患者胸部CT

图片

2  患者治疗前后胸片对比

病例2:78岁女性患者,因“进行性呼吸困难10年,加重1天”入院。诊断为气道重度狭窄胸骨后巨大甲状腺肿压迫导致(图3)Ⅱ型呼吸衰竭低通气综合征;同时合并2型糖尿病及高血压3级。患者年龄大、手术风险高,选择FBPDT建立气道(图4),短期有效缓解了气道梗阻,保障了生命体征稳定。

图片

3  患者影像学

图片

4  FBPDT手术过程

2. 困难气封管评估及介入处理

随着气管造口术的广泛应用,众多患者在病情稳定后需进行封管以回归社会,但部分患者因喉头水肿、气道狭窄、肉芽组织增生等并发症,导致封管困难,尤其是重症肺癌治疗后患者。笔者中心建立了完善的困难气切封管评估与介入治疗体系,近五年已为近百例困难气切封管患者成功封管。

【临床案

病例3:69岁女性患者,脑出血术后并发吸入性肺炎,经气管切开抢救后,因喉头重度水肿、气道上段及切开处管周极重度狭窄并大量肉芽生长,多次封管失败。经笔者团队专业评估后,采用支气管镜下无水酒精注射术、电圈套套扎术等介入治疗(图5),清除肉芽组织、缓解狭窄,最终成功封管拔管,患者好转出院并回归家庭和社会。

图片

5  患者治疗过程

3. 危及生命大咯血的紧急处理

大咯血是重症肺癌患者的致命并发症,窒息是最主要的死亡原因。临床处理的主要原则是保持气道通畅、保障健侧肺通气。

紧急处置流程:立即采取患侧卧位,防止血液吸入健侧肺;若氧合或通气无法维持,需紧急气管插管,优先选择大直径单腔气管插管(男性8.5~9 mm,女性8.0~8.5 mm),便于气道清除和支气管镜操作;必要时可插入双腔气管插管DETT来完成肺隔离,但因技术挑战以及随后无法进行气道清除或支气管镜治疗,单腔气管插管是推荐的管理策略;有条件可使用支气管内阻断器EBB),例如Arndt endobronchial blocker (Cook®)Rusch EZ Blocker (Teleflex®)等

笔者团队的临床经验是:保持气道通畅、健侧通气(核心关键)分日多次纤支镜下处理血栓;在患者能够耐受的情况下尽早行责任血管栓塞术

临床案例——右肺肝样腺癌并大咯血窒息成功抢救

病例459岁男性患者,因“确诊右肺肝样腺癌2月余,气促2天”入院诊断:右肺肝样腺癌并双侧肺门及纵隔多发淋巴结转移住院第3天突发大咯血窒息。紧急插管予呼吸机支持后,床边纤支镜发现气管下段、右主支气管血凝块堵塞,右中、下肺新生物及血凝块导致管腔狭窄(图7)。予纤支镜下药物治疗+射频消融术+钳检等综合介入处理,历经约5小时抢救后生命体征稳定,转介入室行支气管动脉栓塞术,最终成功控制出血,患者病情逐步稳定。

图片

6  患者胸部CT

图片

7  镜下见血凝块及新生物堵塞

二、肺癌并重症肺炎、呼吸衰竭的病理/病原诊断及治疗

重症肺癌患者常合并重症肺炎、呼吸衰竭,重症肺炎的病原学诊断则决定感染控制效果,有时也直接决定患者的转归和预后,重症肺癌的病理诊断直接指导抗肿瘤治疗方案的制定。所以,病原学诊断病理诊断均是解除危重状态的关键。呼吸介入技术通过支气管肺泡灌洗术(BAL)经支气管肺活检术(TBLB/TBCB)等手段,为精准诊断提供了可靠保障。

BAL通过支气管镜向肺泡内注入生理盐水并回收灌洗液,获取感染部位的体液或分泌物标本,结合快速现场评价(ROSE)技术、新型病原抗原抗体检测及宏基因组二代测序(mNGS)技术,可快速明确病原学诊断,为抗感染治疗提供依据。该技术操作相对安全,呼吸衰竭患者在呼吸机支持下即可实施,避免了传统痰标本易受污染的弊端。

经支气管肺组织钳夹活检术(TBLB):操作简便,出血风险低,但获取的肺组织样本量较少,可能影响病理诊断的全面性。

经支气管肺组织冷冻活检术(TBCB):优势在于获得的肺组织标本量大,能充分满足病理分型、免疫组化及基因检测等需求,目前已基本取代外科开胸肺活检术,尤其适用于重症患者无法耐受开胸手术的情况。

呼吸介入技术如今已成为重症肺癌诊疗的“利器”,在重症肺癌亚专科领域发展迅速它不仅是传统的诊断工具,更是关键的诊疗手段,尤其在肺癌引发的恶性中央气道狭窄治疗方面效果显著,为后续抗肿瘤治疗奠定了基础。具体应用包括:在呼吸机支持下完成高危活检、毛刷、BAL等诊断操作;经支气管镜用高频电圈套切除气道肿物;通过电凝电切、激光联合冷冻技术处理大气道肿瘤性梗阻;还可借助氩等离子体凝固(APC、高频电刀、圈套多种介入手段改善气道阻塞狭窄,最终完成支架入,有效缓解重症肺癌患者的气道危机。

临床案例—在呼吸机支持下完成活检毛刷、支架置入等诊治措施

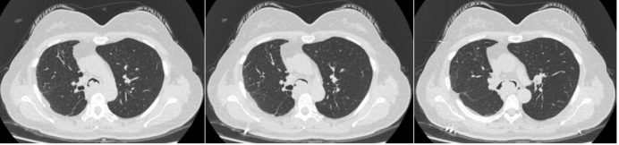
病例5:63岁女性患者,因呼吸困难20天、加重1天入院患者20天前无明显诱因出现活动性气促,伴心悸、咳嗽、咳白痰;1天前患者呼吸困难症状加重,稍行走5米后即气促严重;指脉氧饱和度72%,氧合指数64.2 mmHg(HFNC:流量55 L/min,吸氧浓度95%),查肿瘤指标CEA>1000 ng/ml予气管插管机械通气。床旁纤支镜可见气管膜稍充血,未见明确新生物,分泌物少病理提示红细胞背景中见大量腺癌细胞,免疫组化符合肺腺癌。患者诊断为肺腺癌伴纵隔淋巴结、双肺内及胸腰椎多发转移。基因检测结果提示存在EGFR经典突变(19外显子缺失)。给予靶向治疗联合抗感染、营养支持及免疫调节等治疗,患者气促明显改善,胸部CT示双肺多发病灶显著吸收(图8)1周后拔管脱机,2周后出院,逐步恢复居家生活,目前仍在长期门诊随访

图片

8  患者治疗前后胸部CT对比

病例6:68岁男性患者,发现肺部占位1年,气促1月,加重伴吞咽困难2天入院。外院胸部CT提示右肺下叶背段占位,双侧肺门及纵隔多发肿大淋巴结,气管、食管中下段明显受压(图9),肿瘤指标NSE 213 ng/ml。入院次日憋喘加重、呼吸衰竭,转入RICU插管上机。纤支镜检查示隆突粗钝,左下叶支气管开口外压性重度狭窄,右主支气管及右中间支气管外压性中度-重度狭窄,管腔内大量白色泡沫状分泌物。予活检、毛刷及右主支气管+右中间支气管镍钛记忆合金覆膜支架置入,同时经超细胃镜引导鼻空肠管置入改善营养;后续完善病理诊断为右肺小细胞肺癌并肺门、纵淋巴结转移免疫治疗联合化疗,支架入后2天拔管,序贯高流量湿化氧疗,4天后转至普通病房,7天后纤支镜检查示(图10):左下叶支气管开口外压性重度狭窄, 支气管镜可进入背段及基底段, 右主支气管、右中间支气管支架在位, 其近端平隆突, 远端平中下叶支气管开口, 管腔通畅, 支架内黏附较多黄白色稠分泌物, 右上叶支气管开口被支架遮挡10天后好转出院, 目前定期返院治疗。

图片

9  患者治疗前胸部CT

图片

10  支架置入1周后纤支镜检查所见

4. 危重症患者肺活检实施要点

需严格排除禁忌证,包括循环不稳定、无法纠正的凝血异常、中高风险急性肺栓塞、消化道大出血、中风急性期及主动脉夹层、重度肺气肿等。操作中需控制出血风险,根据患者呼吸支持方式(HFNC/NPPV/IPPV)采用适当镇痛镇静,IPPV患者建议采用压力控制模式,吸氧浓度100%,PEEP降至0或维持SpO2≥90%的最低水平,以降低操作中缺氧风险。

三、肺癌导致中心气道阻塞的快速解除

中心气道阻塞是重症肺癌的严重并发症, 可由气道内肿瘤组织堵塞、气道壁浸润或管腔外压迫引起, 患者常表现为严重呼吸困难、窒息风险高, 需快速解除梗阻。

中心气道阻塞的病因主要分为三类:气道内异物(分泌物、积血及其他异物等)、良性病变所致(感染、良性肿瘤/增生、气道支撑结构破坏等)及恶性病变所致(包括气道内肿瘤组织堵塞、气道壁浸润以及管腔外的压迫)。如果是气道内异物,一般采用治疗型支气管镜予以清理或摘除即可快速解除,但而对于良/恶性病变所致的重度气道狭窄,往往需要在RICU监护、呼吸支持下进行经纤支镜介入治疗,改善通气后再进一步处理原发病。

经支气管镜综合介入治疗是解除中心气道阻塞的关键,包括CO2冷冻、APC、球囊扩张、电圈套套扎、支架置入、镜下注药等技术。其中,支气管镜直视下金属支架置入术是最简单有效的方法,可快速建立通畅气道,维持患者生命体征稳定,为后续抗肿瘤治疗创造条件。待患者病情平稳后,可转至呼吸介入中心或手术室进行腔内病变的后续处理。

【临床案例】—快速解除中心气道阻塞

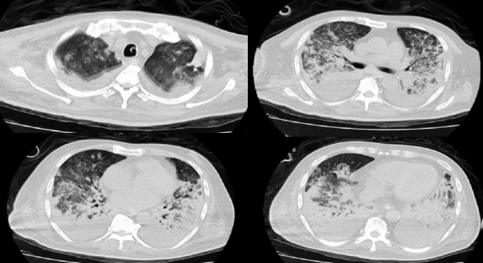
病例7:49岁女性患者,因反复咳嗽咳痰1年、咳血丝痰伴气促20余天入院,入院后需端坐呼吸,气促明显,高流量氧疗情况下SpO2仍低于80%。胸部CT提示右肺上叶尖段周围型肺癌伴全身多发转移;支气管镜检查示气管下段肿瘤外压性狭窄并侵犯黏膜,双侧支气管开口狭窄,进镜后患者呼吸困难加重,紧急气管插管机械通气,随后在左主支气管入金属支架(图11),快速解除气道阻塞。左主支气管支架入术后反复大量脓血痰病理诊断为低分化腺癌,ALK基因变异。患者反复发热、低氧发作,需反复纤支镜吸痰;双上肢、颜面部浮肿明显,需反复心包、双侧胸腔抽液;白细胞明显升高、贫血,间断需升压药维持血压;停机不耐受(3~5 min)。患者经过积极的抗感染及基因靶向治疗后,病情逐渐好转,成功拔管并脱离呼吸机支持,顺利转出RICU。复查纤支镜提示气道通畅、炎症明显改善(图12),影像学改善(图13)体力状况PS评分显著下降,达到临床稳定水平,随后接受后续抗肿瘤综合治疗

图片

11  患者胸部CT及纤支镜下置入支架

图片

12  出院前复查纤支镜

图片

13  治疗前后胸部CT对比

病例8:53岁女性患者,因反复活动后气促12年、再发5月余入院,胸部CT(图14)+气道重构示气管隆突部结节样软组织密影(27 mm×20 mm×21 mm),食管可疑受累。RICU监护下支气管镜检查见气管下段、隆突前巨大新生物,管腔堵塞,遮挡双主支气管(图15)。在气管插管呼吸机支持下行电圈套套扎术+射频消融术+钳取等介入处理(图16),成功解除气道阻塞。病理诊断为肺上皮-肌上皮癌,免疫组化提示CK7及CD117(腺上皮成分+),SMA、p63及Calponin(肌上皮成分+)等,为后续治疗提供了依据。

图片

14  患者胸部CT

图片

15  RICU监护下纤支镜检查

图片

16  呼吸机支持下介入治疗

四、肺癌等导致气管、支气管瘘的腔内封堵

ICU患者如果合并难治性气胸或气管、支气管瘘时,往往给相关治疗和脱机带来诸多困难,而这些患者大多又难以耐受外科手术治疗,此时支气管腔内介入治疗就成为了唯一可供选择的方法。

1. 治疗技术与策略

难治性气胸腔内封堵术:采用选择性支气管封堵术(SBO),步骤包括责任引流支气管定位、暂时性封堵(常用自体血+凝血酶、专用医用胶/封堵材料、支气管内活瓣置入等)及封堵效果评价,当胸腔闭式引流无气体溢出时,提示封堵成功。

气管、支气管瘘的腔内封堵术:对于气管及左、右主支气管的瘘,采用气道硅酮或金属覆膜支架进行封堵;对于周围型支气管胸膜瘘,可采用专用硅胶塞、气道内支架或凡士林纱条等材料封堵。CHARTIS肺评估系统可辅助精准定位责任气道,提高封堵成功率。

【临床案例】—肺鳞癌右肺全切除术后右支气管残端胸腔瘘封堵术

病例9:55岁男性患者,因“肺癌术后反复发热、咳嗽、咳痰伴呼吸困难1个月,加重3天”于2022年1月由某大型肿瘤医院转入。患者1个月前因肺鳞癌行右肺全切除术,术后出现右支气管残端胸腔瘘(图17),并发右侧脓胸、呼吸衰竭、脓毒性休克及重度低蛋白血症。支气管镜检查明确瘘口位置后,采用覆膜金属支架(封堵用L型)进行腔内封堵(图18),同时加强抗感染、营养支持及休克纠正,患者肺部感染逐渐控制,呼吸功能改善,最终好转出院,定期门诊随访

图片

17  右支气管残端胸腔瘘

图片

18  覆膜金属支架封堵

五、总结

呼吸介入治疗以其微创、精准、高效的特点, 在重症肺癌的诊疗中发挥着不可替代的作用, 涵盖困难气道管理、病理/病原诊断、中心气道阻塞解除及气管支气管瘘封堵等关键领域。通过支气管镜引导下的各类介入技术, 可快速缓解重症肺癌患者的危急症状, 为明确诊断和后续治疗争取时间, 显著改善患者的生存质量和预后。

随着技术的不断革新,如新型支架材料的研发、mNGS等诊断技术与呼吸介入的深度融合、机器人辅助支气管镜的应用等,呼吸介入治疗将更加精准、安全、高效。未来,需进一步加强多中心临床研究,完善诊疗规范,推广适宜技术,为更多重症肺癌患者带来生存希望。

点我观看视频.jpg


作者介绍

图片

梁志科

广州市第一人民医院呼吸与危重症医学科,主任医师,医学博士,广州医科大学副教授;英国国立心肺研究所、皇家布朗普顿医院访问学者;获评广州“实力中青年医生”;中国研究型医院学会呼吸病学专业委员会常委,中国中西医结合学会营养专业委员会常委,中国医师协会呼吸医师分会(CACP)危重症学组青委,广东省医学会呼吸病学分会委员,广东省医学会内科学分会委员,广东省医学会呼吸病分会呼吸危重症与呼吸治疗学副组长,广东省医师协会呼吸科医师分会感染与重症专业组成员,广东省临床医学会呼吸病学专业委员会常委,广东省预防医学会呼吸病预防与控制专业委员会常委,广东省精准医学应用学会抗感染分会常委,广东省医疗行业协会呼吸病管理分会常委,广州市医学会呼吸病学分会常委,广州市医学会结核病学分会常委,广州市医学会内科学分会常委兼秘书,广东省基础与应用基础研究基金项目评审专家。



图片

孙诚

广州市第一人民医院呼吸与危重症医学科,主治医师,在读医学博士;中国罕见病联盟/北京罕见病诊疗与保障学会呼吸病学分会第二届委员,广东省医学会呼吸病学分会第十届青年委员,广东省医学会内科学分会第六届青年委员,广东省呼吸与健康学会呼吸康复专委会委员,广东省呼吸与健康学会肺血管介入诊治专委会委员,广州市医学会内科学分会第二届委员,广州抗癌协会第一届肿瘤综合诊疗专委会青年委员,2023年病例入选为中国医师协会呼吸医师年会(CACP 2023)“典型病例”报告2022、2023年参加广东省医学会呼吸病学学术会议优秀病例汇报比赛获得三等奖。

图片


团队介绍

图片

广州市第一人民医院呼吸危重症监护病房(RICU)始建于1993年,是国内最早建立的呼吸专科ICU之一。在赵子文、钟维农、赵祝香、魏树全等主任持续引领下逐步发展壮大,历经非典、新冠疫情洗礼,不断夯实基础,在急性呼吸窘迫综合征(ARDS)、呼吸衰竭、心力衰竭、多器官功能障碍综合征(MODS)、危重型哮喘、重症肺癌及重症感染等各类危重症的救治方面积累了丰富经验。常规开展PICCO有创血流动力学监测、B超无创评估、连续性肾脏替代治疗(CRRT)、血浆置换等器官功能监测与支持技术。同时在呼吸机等生命支持技术下开展危重症微创经皮气管切开术、经支气管镜肺活检(TBLB)、肺组织冷冻活检术(TBCB)、超声引导下经支气管针吸活检EBUS-TBNA、气道支架入、球囊扩张、射频消融、内科肺减容术、支气管热成型术、硬质气管镜、内科胸腔镜、大容量肺泡灌洗等呼吸介入诊治工作,为危重症患者提供系统、专业的生命支持与治疗保障。目前为国家级呼吸危重症监护(MICU/RICU)、介入呼吸病学和呼吸治疗单修基地,广东省医学会呼吸病分会呼吸危重症与呼吸治疗学副组长单位。

近年来,针对日益增多的合并严重并发症和/或基础疾病的重症肺癌患者,科室以RICU为核心救治平台,依托肺部肿瘤亚专科、呼吸内镜中心,在科主任直接领导下建立了以李裕军、谭锦文、张梅春、刘俊、梁志科主任医师以及郭伟鸿、孙诚主治医师叶美凤医师为核心团队的重症肺癌诊治体系,系统开展重症肺癌的临床诊疗与科研工作。在呼吸危重症救治技术加持下结合动态基因检测开展放化疗、靶向治疗及免疫治疗等综合治疗,并整合经皮射频消融、内科胸腔镜手术等微创介入技术,开展个体化、多学科协助诊疗,致力于实现重症肺癌精准控制与患者生存质量的共同提升。






声明:

本文仅用于学术领域的理论探讨与专业交流,不涉及任何商业推广、产品宣传等非学术用途,亦不作为临床诊疗活动中最终决策的依据。临床实践需根据患者的具体情况选择适宜的处理措施。


全部评论 0
Copyright©2020-2026 北京医麦斯科技有限公司 版权所有 京ICP备2020034400号-1 京公网安备11010502043983号