登录方式

方式一:
PC端网页:www.rccrc.cn
输入账号密码登录,可将此网址收藏并保存密码方便下次登录

方式二:
手机端网页:www.rccrc.cn
输入账号密码登录,可将此网址添加至手机桌面并保存密码方便下次登录

方式三:
【重症肺言】微信公众号
输入账号密码登录

注:账号具有唯一性,即同一个账号不能在两个地方同时登录。

登录
方式

为重症救治赋能

为患者康复加速

当前位置:首页 脏器支持 呼吸监测

ECMO支持下的呼吸介入治疗

李洋 西安交通大学第一附属医院呼吸与危重症医学科 发布于2026-02-10 浏览 1347 收藏

作者李洋

单位西安交通大学第一附属医院呼吸与危重症医学科

支气管镜介入治疗是呼吸系统疾病(如中央气道阻塞、肺泡蛋白沉积症等)的重要治疗手段,但严重呼吸衰竭或高风险气道操作患者常因无法维持通气氧合而限制治疗策略的实施。体外膜肺氧合(ECMO)作为高级生命支持技术,可通过有效的呼吸和循环支持为支气管镜介入治疗提供安全保障。本文结合临床实践与相关研究,系统阐述ECMO支持下支气管镜介入治疗的应用背景、适应证、技术要点及疗效,为该技术的临床实践提供参考。



一、现状与困境


支气管镜介入治疗是呼吸系统疾病治疗中常用、直接且有效的手段。但对于大气道狭窄、肺泡蛋白沉积症等严重肺部疾病患者,常合并严重呼吸衰竭,此类患者即使接受气管插管等处理,气道阻塞问题仍较为突出,既难以耐受全麻,在气道内操作过程中也无法保障通气安全,这使得支气管镜介入治疗的实施受到极大限制。

ECMO作为体外生命支持技术,可提供有效的呼吸和/或循环支持,预防或克服围手术期致命的低氧血症和高碳酸血症,为支气管镜介入治疗创造安全条件,能够保障手术顺利进行。


二、中央气道阻塞的相关研究


1. 中央气道阻塞(CAO)病因分类

CAO的病因复杂多样,主要包括以下几类:

1)肿瘤相关:囊性癌、支气管类癌瘤、气管原发性鳞状细胞癌、气管腺癌、原发性肺癌、转移瘤。

2)创伤相关:气管插管后、气管切开术后瘢痕增生、外伤、热损伤、化学腐蚀伤等

3)感染相关:结核、梅毒、伤寒、白喉、真菌感染等

4)系统性疾病:肉芽肿性多血管炎、淀粉样变性、结节病、系统性红斑狼疮、复发性多软骨炎

5)外源性压迫:气道外组织/器官病变压迫气道,包括主动脉弓异常、胸腺肿瘤、淋巴瘤、纵隔/肺门淋巴结增大、进展期食管癌等肿瘤/解剖异常、弥漫性甲状腺肿、肺切除术后综合征、血肿/脓肿/脓胸等。

6)其他原因:特发性、胃食管反流等

2. 肺癌相关CAO的临床特征

肺癌是CAO的最主要病因之一,临床数据显示:20%~30%的肺癌患者可能出现中央气道阻塞相关并发症;13%的患者在首次诊断肺癌时即合并CAO症状,5%的肺癌患者在诊断后4年内出现CAO;CAO的影像学漏诊率高达31%,部分患者因气短、胸闷症状被误诊为哮喘等疾病;15%的恶性中央气道阻塞(MCAO)患者会出现呼吸衰竭,10%的MCAO患者需气管插管辅助呼吸。小细胞肺癌是导致CAO的常见病理类型,其引起的淋巴结肿大常压迫气道,导致气道狭窄或外压性改变,临床症状更为隐匿且进展迅速。

3. CAO的临床症状

呼吸困难是CAO最常见的症状,气道直径<8 mm时,患者出现劳力性呼吸困难;气道直径<5 mm时,表现为静息呼吸困难;呼吸困难严重程度与气道狭窄程度及患者基础心肺功能相关合并慢性阻塞性肺疾病(COPD)的肺癌患者更易并发呼吸衰竭;其他伴随症状包括咳嗽、咯血、端坐呼吸、胸痛等。

4. CAO的治疗现状

MCAO的治疗方案包括定向药物治疗、外照射和手术干预,支气管镜是主要治疗手段,尤其是在需要紧急缓解症状的情况下。支气管镜下治疗CAO的成功率达到90%以上美国麻醉医师协会(ASA)评分>3、肾衰竭、原发性肺癌、气管食管瘘和左主干病变等因素与气道再通率<50%相关。急性吸气性呼吸困难和呼吸窘迫是严重CAO的急症表现,需及时干预,但在治疗干预期间确保患者安全,特别是维持充足的氧合,仍然是一项巨大的挑战


三、ECMO支持下的气道狭窄治疗


1. ECMO的应用类型

挽救性ECMO:适用于呼吸介入治疗前,患者已存在常规呼吸支持手段无法维持的严重呼吸衰竭,ECMO作为对症支持手段挽救患者生命,为进一步开展呼吸介入治疗(病因治疗)争取时间。其优势是保证通气,为气道内治疗提供基础条件,但同时也面临着ECMO置管和抗凝/出血的挑战。

预防性ECMO:适用于患者不存在严重呼吸衰竭,但预计在呼吸介入治疗期间,由于介入治疗过程中气道短时间阻塞(譬如球囊扩张、支架释放等)、介入治疗对气道刺激及可能出现的并发症(如出血和肿物脱落阻塞气道)等,常规通气支持手段可能难以维持通气和氧合,麻醉风险极高,而在呼吸介入治疗开始前预先安置ECMO来保障手术安全。

对于恶性肿瘤患者,当需同时实施ECMO和呼吸介入治疗这两项干预时,需经过系统且审慎的综合评估,这类患者的病情复杂程度、身体耐受限度均具有特殊性,因此需在全面研判风险与获益的基础上,再个体化制定后续的治疗策略。

国外研究数据(基于已发表文献的病例汇总)显示,在ECMO支持下接受介入治疗的气道梗阻患者中,气道内肿物所致梗阻是最常见病因;其次为甲状腺肿物与纵隔肿物压迫,这三类病变是ECMO辅助下气道介入治疗的主要适用疾病类型。

2. ECMO支持选择的时机

如果气道管腔直径减少至<8 mm,会出现活动性呼吸困难;气道管腔直径<5 mm,则喘鸣症状明显加重。多数患者的气道直径<5 mm,且呼吸驱动增强,严重的呼吸困难导致无法耐受仰卧位,增加了插管难度与操作风险。在紧急置管过程中,呼吸骤停可能导致快速氧合不足,从而增加操作风险,但ECMO可以有效规避该风险。Kim等研究建议,当支气管镜或CT检查显示气道狭窄5 mm时,应考虑ECMO支持。

3. 麻醉方式选择

ECMO支持下支气管镜介入治疗的麻醉方式包括局部麻醉、静脉麻醉和全身麻醉。笔者中心均采用全身麻醉,通过充分镇静肌松抑制自主呼吸,使患者在治疗过程中更安全,同时便于术者操作。

4. ECMO管路选择与置管技术

管路类型:首选股静脉-颈静脉插管或股静脉-股静脉插管方案。尽管股静脉-股静脉插管可能因回流导管位置导致氧合不足,引流导管置于下腔静脉与右心房交界处,并将回流导管推进至三尖瓣附近,优化回流。在插管过程中使用超声引导,以提高血管穿刺和导管尖端定位的精准性与安全性。

5. ECMO抗凝管理

ECMO上机前采用肝素管路预充。ECMO流量维持在2~3 L/min, 保证氧合维持在90%~100%。无全身抗凝。文献表明, 在没有全身抗凝的情况下, ECMO的中位安全时间在70~114小时之间。


四、临床病例分析


病例1:气管中段瘢痕狭窄(良性气道狭窄)

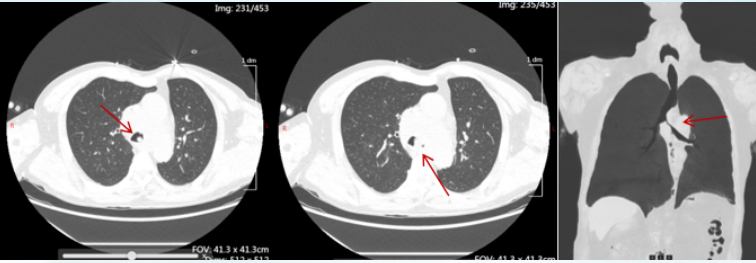
患者男性,55岁,因“气管切开术后2个月,呼吸困难10天”入院。CT检查提示气管环形狭窄(图1),最窄处仅1.53 mm,狭窄周围伴肉芽组织增生。

治疗方案:采用VV-ECMO辅助支持,经右颈内静脉-右股静脉置管建立通路,正常全身抗凝。在全身麻醉下进行支气管镜介入治疗(图2),气管镜检查期间暂时停用全身抗凝,气管镜检查后恢复全身抗凝。ECMO累计支持时间为33小时,患者未出现ECMO相关并发症

图片

1  患者CT检查

图片

2  支气管镜下治疗

治疗结果:1个月后复查支气管镜,显示气管中段管腔保持通畅(图3)

图片

3  1个月后复查支气管镜

病例2:气管腺样囊性癌所致气道狭窄

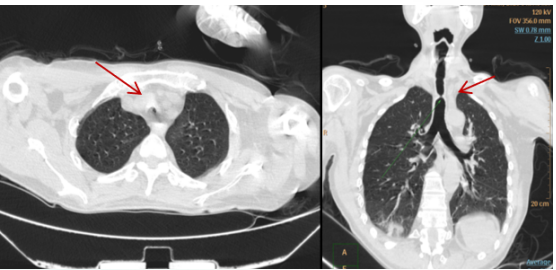
患者男性,56岁,确诊气管腺样囊性癌2年,气短3天。胸部CT提示气管声门下2 cm处狭窄(图4),最窄处4.6 mm。 

图片

4  患者胸部CT

治疗方案:采用VV-ECMO辅助支持,经右颈内静脉-右股静脉置管,ECMO转机前给予25 IU/kg全身抗凝,转机后未继续全身抗凝。在全身麻醉下实施支气管镜介入治疗(图5)支气管镜下治疗结束ECMO下机,ECMO支持时间为2小时,患者未出现ECMO相关并发症

图片

5  支气管镜下治疗

治疗结果:治疗后管腔明显通畅,治疗1周后复查胸部CT(图6),显示气管狭窄部位通畅,无明显阻塞性改变。

图片

6  治疗1周后复查胸部CT

病例3:肺泡蛋白沉积症

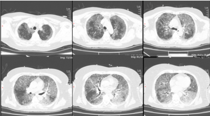
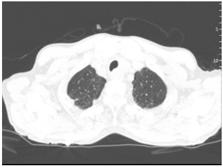
患者男性,42岁,因“痰中带血、气短3月余”入院。胸部CT提示双肺多发渗出影7),支气管镜病理检查确诊肺泡蛋白沉积症,血气分析结果:pH 7.38,PaO2 53 mmHg,PaCO2 40 mmHg,BE -1.3 mmol/L。 

图片

7  患者治疗前胸部CT

治疗方案:采用VV-ECMO辅助支持,经右颈内静脉-右股静脉置管,正常全身抗凝,全身麻醉下大容量肺泡灌洗期间停用全身抗凝,治疗后恢复全身抗凝。ECMO支持时间为40.5小时,患者未出现ECMO相关并发症。灌洗液从初始浑浊状态逐渐转为清亮。

治疗结果: 1月后复查胸部CT, 双肺多发渗出影较治疗前显著吸收(图8)。后续二次灌洗时无需ECMO支持即可耐受治疗。 

图片

8  治疗1月后复查胸部CT

病例4:肺泡蛋白沉积症合并严重低氧血

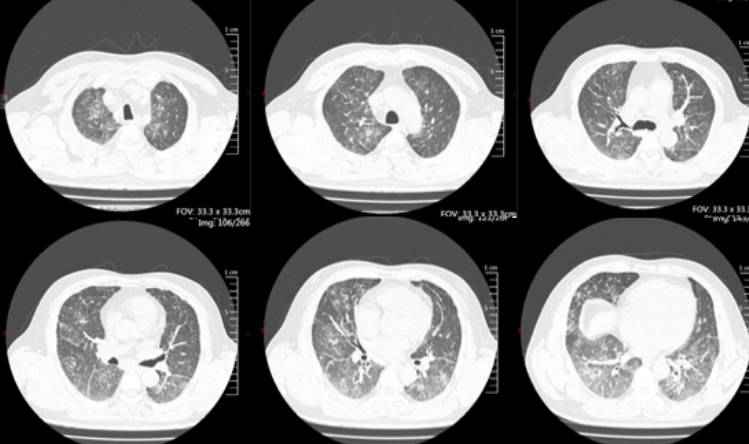
患者女性,53岁,因“间断气短半年,加重10天”入院。胸部CT提示双肺弥漫片状磨玻璃影,边缘模糊(图9)。支气管镜病理确诊肺泡蛋白沉积症,血气分析结果:pH 7.39,PaO2 31 mmHg,PaCO2 51 mmHg,BE -4.8 mmol/L。 

图片

9  患者治疗前胸部CT

治疗方案:首次尝试全麻下大容量肺泡灌洗,术中注入37℃生理盐水500 ml后,患者指脉氧饱和度降至77%,遂停止治疗返回病房。次日采用VV-ECMO辅助支持,经右颈内静脉-右股静脉置管,正常全身抗凝,全身麻醉下行大容量肺泡灌洗术,灌洗期间停用全身抗凝,治疗后恢复全身抗凝。ECMO支持时间为24小时,患者未出现ECMO相关并发症;灌洗过程顺利。灌洗液从浑浊逐渐转为清亮(图10) 

图片

10  治疗前后灌洗液对比

病例5:气管腺样囊性癌复发所致气道狭窄

患者男性, 61岁, 确诊气管腺样囊性癌8年, 气短加重2月余, 端坐呼吸。胸部CT提示气管下段狭窄(图11), 最窄处4 mm。 

图片

11  患者治疗前胸部CT

治疗方案:采用VV-ECMO辅助支持,经右颈内静脉-右股静脉置管,ECMO转机前给予25 IU/kg全身抗凝,转机后未继续全身抗凝。在全身麻醉下支气管镜治疗(图12)。治疗结束ECMO下机,ECMO支持时间为3小时,患者未出现ECMO相关并发症 

图片

12  支气管镜下治疗

治疗结果:治疗10天后复查支气管镜,管腔通畅(图13) 

图片

13  治疗10天后复查支气管镜

病例6:小细胞肺癌所致中央气道狭窄

患者男性,56岁,因“咳嗽、咳痰、气短20天”入院,端坐呼吸状态。胸部CT提示隆突处气管狭窄(图14),左主支气管最窄处1.8 mm。

图片

14  患者治疗前胸部CT

治疗方案:采用VV-ECMO辅助支持,经右颈内静脉-右股静脉置管,ECMO转机前给予25 IU/kg全身抗凝,转机后未继续全身抗凝。全身麻醉下支气管镜治疗(图15)。治疗结束ECMO下机, ECMO支持时间为2小时, 患者未出现ECMO相关并发症。支气管镜病理提示为小细胞肺癌。 

图片
15   支气管镜下治疗


五、小结


ECMO桥接为气管镜介入治疗提供安全的生命支持保障,尤其是VV-ECMO(常采用右颈内静脉-股静脉或双侧股静脉置管方案)。在支气管镜操作期间,此类ECMO支持通常采用无肝素抗凝策略,以平衡操作安全性与凝血管理需求。

向下滑动查看


参考文献

[1] Ernst A, Feller-Kopman D, Becker HD, et al. Central airway obstruction[J]. Am J Respir Crit Care Med, 2004, 169:1278-1297.

[2] Daneshvar C, Falconer WE, Ahmed M, et al. Prevalence and outcome of central airway obstruction in patients with lung cancer.[J] BMJ Open Respir Res, 2019, 6:e000429

[3] Harris K, Alraiyes AH, Attwood K, et al. Reporting of central airway obstruction on radiology reports and impact on bronchoscopic airway interventions and patient outcomes[J]. Ther Adv Respir Dis, 2016, 10:105-112.

[4] Verma A, Goh SK, Tai DYH, et al. Outcome of advanced lung cancer with central airway obstruction versus without central airway obstruction[J]. ERJ Open Res, 2018, 4(2):00173-2017. 

[5] Mudambi L, Miller R, Eapen GA. Malignant central airway obstruction[J]. J Thorac Dis, 2017, 9:S1087-110.

[6] Oberg CL, Holden VK, Channick CL. Benign Central Airway Obstruction[J]. Semin Respir Crit Care Med, 2018, 39:731-746.

[7] Freitas C, Serino M, Cardoso C, et al. Predictors of survival and technical success of bronchoscopic interventions in malignant airway obstruction[J]. J Thorac Dis, 2021, 13:6760-6768.

[8] Ost DE, Ernst A, Grosu HB, et al. Therapeutic bronchoscopy for malignant central airway obstruction: success rates and impact on dyspnea and quality of life[J]. Chest, 2015, 147:1282-1298.

[9] Kim CW, Kim DH, Son BS, et al. The feasibility of extracorporeal membrane oxygenation in the variant airway problems[J]. Ann Thorac Cardiovasc Surg, 2015, 21(6):517-522.

[10] Olson SR, Murphree CR, Zonies D, et al. Thrombosis and bleeding in extracorporeal membrane oxygenation (ECMO) without anticoagula_x0002_tion: a systematic review[J]. ASAIO J, 2021, 67:290-296.

[11] Wood KL, Ayers B, Gosev I, et al. Venoarterial-extracorporeal mem_x0002_brane oxygenation without routine systemic anticoagulation decreases adverse events[J]. Ann Thorac Surg, 2020, 109:1458-1466.



作者介绍

图片

李洋

西安交通大学第一附属医院呼吸与危重症医学,科室副主任,博士,副主任医师;中华医学会呼吸病学分会危重症学组委员,陕西省中青年科技领军人才,陕西省医学会呼吸结核病学分会委员,陕西省医师协会内科医师分会总干事,陕西省中西医结合学会肺康复专业委员会副主任委员、肺康复专业青年委员会主任委员及风湿病专业委员会常务委员,陕西省基层呼吸疾病防治联盟委员,陕西省防痨协会呼吸内镜委员会委员;THORAX中文版青年编委。

图片



声明:

本文仅用于学术领域的理论探讨与专业交流,不涉及任何商业推广、产品宣传等非学术用途,亦不作为临床诊疗活动中最终决策的依据。临床实践需根据患者的具体情况选择适宜的处理措施


点我观看视频.jpg

全部评论 0
Copyright©2020-2026 北京医麦斯科技有限公司 版权所有 京ICP备2020034400号-1 京公网安备11010502043983号