登录方式

方式一:
PC端网页:www.rccrc.cn
输入账号密码登录,可将此网址收藏并保存密码方便下次登录

方式二:
手机端网页:www.rccrc.cn
输入账号密码登录,可将此网址添加至手机桌面并保存密码方便下次登录

方式三:
【重症肺言】微信公众号
输入账号密码登录

注:账号具有唯一性,即同一个账号不能在两个地方同时登录。

登录
方式

为重症救治赋能

为患者康复加速

当前位置: 首页 呼吸e站 指南共识

急性呼吸困难床旁肺超声诊断规范专家建议(2024版)

肺超声 发布于2025-01-14 浏览 4964 收藏

以下文章来源于肺超声


图片


图片

肺超声近年来发展迅速,由重症医学专业率先应用肺超声技术作为重症监护病房患者床旁诊断与评估的影像学工具,在国内外已有多年实践经验。近10年来,中国重症超声研究组(CCUSG)将重症超声技术与重症医学理念深度融合,制定一系列指南共识、操作规范和诊治流程,极大推动了我国重症超声技术的发展。在重症病房外,普通病房突发呼吸困难患者仍不少见,其早期快速诊治是临床难题。超声医师开展床旁肺超声检查是一种针对多学科、多专业疑难杂症快速诊断的有效措施,极大提升了对急性呼吸循环衰竭患者的诊治效率,为临床抢救提供指导方向。鉴于目前肺超声检查方法、诊断思路与报告书写尚未在超声专业内形成普遍共识,为进一步推动该技术的完善,河北省医学会超声分会、河北省医师协会超声医师分会、河北省超声医学质量管理与控制中心和河北省预防医学会超声专业委员会在整合国内外相关文献及多年实践经验基础上,征求国内专家意见,形成本建议。
肺超声检查基础
1.1  探头选择


使用凸阵探头(1~5 MHz)扫查深层肺组织,使用高频线阵探头(3~10 MHz)检查胸膜。


1.2  体位


检查前胸壁、侧胸壁肺区建议平卧位(床头高度0~30°),检查背部肺区建议坐位或侧卧位。无法改变体位的危重患者,取平卧位,将探头置于两侧腋后线位置并尽可能压低,最大程度扫查背部区域。

1.3  扫查手法

采取纵切和横切交替扫查,探头声束需垂直于胸壁,以获取清晰胸膜线图像作为判读肺超声征象标准。


1.4  分区


为兼顾检查全面性和时效性,建议采用十二分区法。将单侧胸壁以胸骨旁线、腋前线、腋后线和脊柱旁线作为纵轴,以乳头水平为横轴,双侧胸壁共12个区域,依次记为右肺前胸壁上区(R1区)及下区(R2区)、侧胸壁上区(R3区)及下区(R4区)、背部上区(R5区)及下区(R6区);左肺前胸壁上区(L1区)及下区(L2区)、侧胸壁上区(L3区)及下区(L4区)、背部上区(L5区)及下区(L6区)。


肺超声术语规范使用建议
2.1  彗星尾征 (comet tails sign) 与B线 (B-lines)


彗星尾征:指超声波在物体内部平行界面之间发生多重混响,其后方产生随传播距离逐渐衰减的“彗星尾”伪像

B线:指超声波遇到相邻肺泡包绕间质内液体围成四面体结构(3上1下)产生的振铃伪像,不随传播距离而衰减。二者的原理、产生机制和病理意义均不同,彗星尾征可见于健康肺的胸膜,或见于胸膜局部病变、胸膜结节等;B线多见于肺间质或小叶间隔增厚,如肺水肿、间质性肺炎等。


2.2  离散型B线、融合型B线、局灶性B线和弥漫性B线


1~2条B线无病理意义≥3条相互分离的B线为离散型B线相互融合、界限不清的B线为融合型B线B线仅见于局部1~2个肋间隙为局灶性B线B线在多个肋间隙连续出现为弥漫性B线。


2.3  胸膜搏动征(pleura pulse)和肺搏动征(lung pulse)


胸膜搏动征:指壁层胸膜随心跳呈同频率微弱搏动感,可经二维及M型超声观察,其临床意义是排除气胸。

肺搏动征: 指实变的肺叶随心脏搏动而搏动。


2.4  胸膜滑动征(lung sliding)和窗帘征(curtain sign)


胸膜滑动征:指呼吸时脏层胸膜与壁层胸膜发生滑动,代表肺通气。胸膜滑动征消失常见于气胸、胸膜粘连、严重肺通气不足、肺顺应性极低等情况。

窗帘征:指肺—肝(或肺—脾)交界区在呼吸时,肺底发生往返运动,代表肺下界移动度。


2.5  肺实变(lung consolidation)


肺实变:指肺叶呈实性组织样回声,提示肺泡腔气体几乎完全吸收。根据肺实变范围分为大叶性肺实变、局灶性肺实变等;根据肺实变病因可分为渗出性肺实变、胸腔积液压缩性肺实变、阻塞性肺不张等。


2.6  碎片征(fragment sign)、动态支气管征(dynamiCbronchial sign)和静态支气管征(statiCbronchial sign)


碎片征:指肺实变内出现不稳定的碎片状强回声,即残存肺泡气体伪像。

动态支气管征:指支气管于吸气时发生扩张或内部流动感,提示气道通畅。

静态支气管征:指支气管于吸气时无任何变化,提示阻塞性肺不张。


2.7  海岸征(coastal sign)、平流层征(stratospheriCsign)与肺点征(lung point sign)


海岸征:指健康肺呼吸时M型超声表现。

平流层征:指气胸M型超声表现。

肺点征:是胸膜滑动征存在与消失的交界点,或M型超声中海岸征与平流层征交界点,是指气胸患侧胸膜分离与贴合的边界。


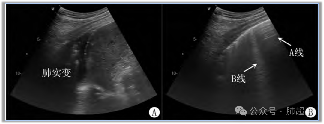
2.8   气-液往返征(gas-liquid switching sign)


肺实变随吸气可转换为B线或A线 (图1),系因气体含量增加导致肺超声征象发生变化,提示该区肺支气管—肺泡气道通畅,肺泡存在充气复张潜能,可排除阻塞性肺不张。


2.9  肺整体检查结果表述


(1) A 模式:一侧肺扫查各区域均为 A 线。

(2) B模式:一侧肺扫查以B线为主。进一步分为局灶性B模式(仅局部区域或肋间B线)、多发局灶性B模式(多个区域B线,彼此不相连)、弥漫性B模式(多个区域B线,彼此相连)等。

(3) C模式: 一侧肺扫查以肺实变为主。进一步可分为C1模式(胸膜下局灶性肺实变)、C2模式(大叶性肺实变,其内回声杂乱不均,可见较多碎片征及动态支气管征,无或少量胸腔积液,见于大叶性肺炎)、C3模式(大量胸腔积液导致肺叶压缩,呈均匀实性回声)和C4模式(肺容积减小,回声尚均匀,静态支气管征,无或少量胸腔积液,见于肺不张)。

(4) 复合型模式: 一侧肺的不同区域存在多种病理状态,超声可见多种征象并存,可酌情记录为A-B模式、B-C模式等。


图片
图1  吸气过程诱发肺超声气—液往返征示意图
注:A. 呼气末; B. 吸气末
临床常见急性呼吸困难肺超声表现与诊断建议
3.1  肺炎超声诊断


肺炎指细菌、病毒等病原体侵犯肺叶或支气管导致炎性渗出引起的病变,临床表现为发热、咳嗽、咯痰、胸痛、呼吸困难等,严重者可导致严重低氧血症甚至休克,需机械通气、血管升压药等治疗。

超声征象及诊断建议:

(1) B线:肺间质/肺泡炎性渗出产生的B线无规律性,常表现为双肺不对称、不均匀分布,离散型或融合型B线分别提示间质性、肺泡性肺炎;另重点观察胸膜线,胸膜线不均匀或连续性不完整,随呼吸运动其滑动性减弱消失,支持肺炎诊断。

(2) 肺实变:炎性渗出导致肺实变其内部回声杂乱不均,可见多发碎片征、动态支气管征等,肺叶容积正常;痰痂形成并阻塞气道导致阻塞性肺不张时其内部回声尚均匀,可见静态支气管征,肺叶容积减小。

(3) 胸膜下局灶性肺实变应与肿瘤鉴别,观察回声强弱、有无边界、支气管结构及彩色多普勒血流,必要时结合超声造影诊断。

(4) 不同病原体肺炎超声表现有所不同,多发B线常见于病毒性肺炎、支原体肺炎等;大叶性肺实变常见于细菌性肺炎(图2)

图片


图2  肺炎常见超声表现


注:A. 局部肺泡炎性渗出; B. 局灶性肺炎(B线)与周围正常肺充气(A线)并存; C. 肺炎渗出不均匀,局部小范围胸膜下肺泡塌陷呈实变; D. 大范围肺叶炎性渗出呈实变。


3.2  肺水肿超声诊断


肺水肿指肺毛细血管内液体渗漏至血管外,超出淋巴回流代偿水平,导致肺间质及肺泡液体增多。肺水肿可分为心源性肺水肿和非心源性肺水肿:心源性肺水肿继发于左心功能不全(左心室充盈压、肺静脉压及肺毛细血管静水压增高)产生的肺水肿;非心源性肺水肿根据病因可分为渗透性肺水肿、感染性肺水肿、神经源性肺水肿和高原性肺水肿等。

超声征象及诊断建议:

(1) B线:心源性肺水肿多为连续性、弥漫性B线,胸膜线清晰光滑,随呼吸可见滑动;肺源性肺水肿以急性呼吸窘迫综合征(acute respiratory distress syndrome,ARDS)常见,B线分布无规律性,呈多发局灶性或弥漫性渗出,胸膜线随病变轻重表现为轻微或明显不均匀(图3)

(2) 肺实变:心源性肺水肿出现肺实变多为胸腔漏出液压缩肺叶所致,肺叶受压,容积减小,回声尚均匀; ARDS肺实变为肺泡渗出增多导致,回声杂乱不均,可见多发碎片征及支气管征,伴少量或无胸腔积液。

(3) 联合心脏超声及下腔静脉指标可提高对二者鉴别诊断价值(表1)


图片


图3  不同肺水肿超声表现


注:A、B. 心源性肺水肿,胸膜光滑均匀,纵切面显示多肋间连续分布B线,横切面显示弥漫分布B线;C. 轻度急性呼吸窘迫综合征(ARDS),多条B线之间可见 “保留区域”,提示不均匀渗出;D .重度ARDS,大片融合B线并胸膜线不均匀。
图片
3.3  间质性肺疾病(interstitital lung disease,ILD) / 肺间质纤维化超声诊断


ILD指以弥漫性肺泡炎性反应及间质纤维化为病理基础,肺疾病反复慢性迁延和间质纤维自我修复,形成不可逆性的肺组织重塑,肺间质呈瘢痕性增厚,严重者或晚期可致肺间质呈纤维化改变。

超声征象及诊断建议: 

(1) B线:肺间质病变多以B线为主,B线密集程度、累及范围等与ILD病变程度相关。

(2) 特异性胸膜线:该病变可导致胸膜下间质呈不均匀或瘢痕性结构改变,超声可见脏层胸膜下方弥漫的、不规则的颗粒状强回声,胸膜线显示不清或连续性不完整。

(3) 轻症ILD可表现为局部(早期以肺底常见)B线,胸膜线不均匀;典型弥漫性肺间质纤维化可表现为双肺弥漫性B线及胸膜下间质异常,B线数量和胸膜线特征与ILD严重程度相关(图4)


图片


图4  间质性肺疾病及肺间质纤维化超声表现


注:A. 结缔组织病相关间质性肺疾病(ILD);B. 轻度ILD的胸膜线;C. 重度弥漫性肺间质纤维化的胸膜下间质呈典型颗粒状表现。
3.4  气胸超声诊断 气胸指胸膜腔异常气体填充


超声征象及诊断建议:

(1) 胸膜后方彗星尾征、B线及肺实变,以及胸膜滑动征、胸膜搏动征、海岸征均为排除诊断气胸的超声征象(图5A)

(2) 肺点征和平流层征为气胸的特异性征象。肺点征提示局限性气胸,患侧气胸未完全将胸膜分离;单肺完全显示平流层征及胸膜无滑动(无肺点征)提示患侧气胸完全包裹肺组织,两层胸膜完全分离(图5B)

(3) 肺超声可定位引导穿刺,发现肺点征时,无胸膜滑动征的一侧(气胸侧)为穿刺安全区;当单侧肺为完全平流层征时(该侧均为安全区),选择高位进行穿刺引流。

(4) 肺超声无法对气胸定量评估,仅能测量气胸在胸壁的投射范围,但无法确定其深度。


图片


图5  气胸超声表现


注:A. M型超声示心电图R波后胸膜同频搏动,可排除气胸;B. 气胸在M型超声显示为平流层征。
3.5  慢性阻塞性肺疾病(chronic obstructive pulmonary disease,COPD)


超声诊断COPD是一种以小气道慢性病变为基础,以肺残气量增加、肺总量增加为特点的持续性气流受限的慢性疾病。COPD急性加重期可出现喘憋、咳嗽、呼吸困难等临床表现。

超声征象及诊断建议:

(1) A线。COPD以肺气肿为主要病理特点,无渗出性病变,双肺以A线为主。与健康肺的区别在于,COPD患者由于肺容量过度膨胀和潮气量减低,其肺—肝(或肺—脾)交界区较健康人位置更低,其胸膜滑动征、窗帘征和膈肌移动度较健康人更弱。

(2) B线或肺实变: 肺部感染是COPD急性加重期主要诱发因素, 可见局部B线或肺实变(图6)


图片


图6  慢性阻塞性肺疾病超声表现


注:慢性阻塞性肺疾病(COPD)与正常肺均以A线为主。COPD的胸膜滑动征和窗帘征均减弱,肺—肝交界区下移,急性加重期合并感染时可见局部B线。
3.6  肺栓塞超声诊断


肺栓塞指各种栓子脱落致肺血管阻塞,以血栓常见。严重者可出现胸痛、咯血、呼吸困难甚至休克等临床表现。

超声征象及诊断建议:

(1) A线。肺血管通路阻塞急性期无渗出性病变,双肺以A线为主。

(2) 局部血管完全栓塞可引起其支配区域肺梗死,临近胸膜的肺梗死灶(周围型)表现为胸膜后方楔形不规则低回声区,无血流信号,应用超声造影可与肿瘤、炎性病灶鉴别;远离胸膜的肺梗死灶无法经超声发现。

(3) 肺栓塞通过短时间内增加肺动脉压力(右心室后负荷)而引起肺源性心脏病,需结合心脏超声,典型征象为右心室扩张、右心室收缩功能降低且收缩期加速时间延长、室间隔矛盾运动、左心室短轴“D字征”、肺动脉频谱异常等征象,并筛查下肢深静脉有无血栓,综合诊断。


3.7  胸腔积液超声诊断


胸腔积液指壁层和脏层胸膜之间液体积聚,根据病因可分为漏出性(见于充血性心力衰竭、肝硬化等)和渗出性(见于肺及胸膜炎性病变、恶性肿瘤、结缔组织病等)。

超声征象及诊断建议:

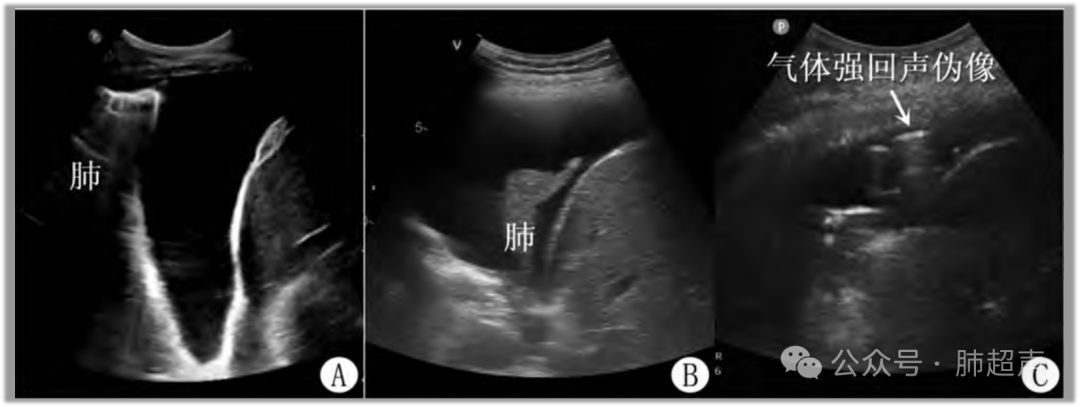
(1) 典型征象。不规则的均匀无回声,少量时仅局限性于肋间隙或肋膈角,大量时可致肺叶压缩呈实性组织回声(图7A、B)

(2) 特殊征象。渗出液可见积液内浑浊的点状回声漂浮;多个线状回声提示分隔形成;液气胸可见积液内不稳定气体强回声(图7C)

(3) 超声可定位引导穿刺,观察肺叶位置选择安全穿刺区。


图片


图7  胸腔积液超声表现

注:A. 肋膈角少量胸腔积液,未压缩肺组织;B. 大量胸腔积液致肺组织受压;C. 胸腔积液浑浊,内见气体样不稳定强回声,诊断为液气胸。


3.8  急性呼吸困难肺超声应用流程


面对床旁突发不明原因呼吸困难时,要求肺超声检查医师对体位选择、操作流程、征象解读和诊断思路有着清晰的认识,以便快速完成诊断与评估,为临床医师提供准确的诊疗决策。建议参考床旁危重呼吸困难的紧急肺超声评估(assessment of bedside critically dyspnea in emergency of lung ultrasound,ABCDE-LUS)流程图  (图8)


图片


图8  床旁危重呼吸困难的紧急肺超声评估流程图


肺超声报告书写建议


由于肺脏器官较大, 急性呼吸困难可能是单一或两种以上肺疾病并存。检查时应仔细扫查各肺区并记录局部征象, 整合十二分区做出整体诊断。


4.1  扫查区域描述


采用十二分区法进行扫查,应记录左/右侧前胸壁上/下区、侧胸壁上/下区和背部上/下区,如左侧前胸壁上区可简写为L1区、右侧背部下区可简写为R6区等。


4.2  胸膜线超声描述


胸膜线描述应包含静态和动态两部分。

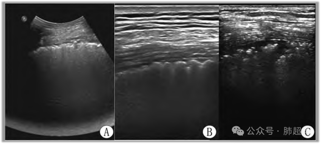
(1)静态征象:应描述胸膜线外观是否清晰光滑、有无增粗、连续性是否完整、两层胸膜是否密闭等,还应描述异常征象是局灶性或弥漫性(图9)。需注意:由于胸膜较薄,超声往往难以辨别是胸膜本身病变(胸膜结节、胸膜炎等)还是胸膜下间质病变(肺间质纤维化等)使其与胸膜线产生不均匀界面反射,因此建议使用 “胸膜线” 进行描述。

(2)动态征象:观察呼吸过程中胸膜滑动征强、弱、正常或消失;怀疑气胸时应嘱患者屏气,观察有无胸膜搏动征。


4.3  肺超声描述


(1)静态征象:A线、B线、肺实变、液性暗区等。B线应区分离散型(肺间质病变)和融合型(肺间质和肺泡均病变);各征象均需描述范围,即局灶性、弥漫性、多发性等;肺实变内应记录回声是否均匀、有无碎片征、动态/静态支气管征等。

(2)动态征象:观察呼吸时征象变化,A线应结合胸膜运动观察有无肺点征,M型超声观察有无平流层征;B线随呼吸滑动强弱与肺泡通气有关,应酌情记录;肺实变随吸气发生气—液往返征或动态支气管征提示肺炎、静态支气管征提示阻塞性肺不张,应酌情记录。


4.4  肺超声诊断书写


(1)明确诊断病例,应报告 “左侧肺炎”“符合心源性肺水肿超声表现”“右侧气胸”“双侧胸腔积液” 等。

(2)未明确诊断,可使用“考虑”“提示” 等词汇,如“双肺多发局灶性B线伴胸膜线异常(双肺渗出性病变,考虑肺炎)”“左肺下叶实变伴静态支气管征(提示阻塞性肺不张)” 等。

(3)≥2种合并肺疾病,可使用 “合并”“不除外” 等词汇,如 “右侧气胸合并左侧肺炎”“双肺弥漫性B线伴左肺下叶实变(考虑心源性肺水肿为主,合并左下肺炎)” 等。


图片


图9  胸膜线超声特征及评分

注:A. 健康肺,胸膜线清晰、光滑、连续性完整,0分; B. 胸膜线稍粗、不均匀、连续性完整,可见彗星尾征,1分; C. 胸膜线明显不均匀,局部连续性不完整,2分; D. 胸膜线明显异常,胸膜下间质呈颗粒状或结节状表现,3分。


肺超声对急性呼吸困难的适用范围和局限性
5.1  适用范围


①急性呼吸困难病因诊断,包括肺炎、肺水肿、ILD、气胸、肺栓塞、COPD、胸腔积液等;②肺通气状况评估、肺渗出定量评估、呼吸肌肉做功等;③机械通气中参数调整、指导肺复张、撤机可行性筛查等;④正向/逆向液体复苏的容量管理;⑤ 存在ILD相关危险因素疾病的定期肺超声筛查与进展评估;⑥肺外周型占位性病变性质鉴别;⑦超声引导气胸、胸腔积液、肺脓肿等介入穿刺治疗。包括但不限于以上应用。


5.2  局限性


皮下气肿;肥胖、胸部浅表组织层过厚;位于深层肺组织病变;胸腹部外伤或术后包扎;胸壁或脊柱畸形等。


展  望


床旁即时超声技术日渐成为临床诊治重要工具, 目前该技术发展呈双管齐下的趋势, 一方面临床医师接受超声技术培训并应用于本科室, 另一方面超声医师掌握临床理论知识并结合自身技术优势为诸多临床科室开展床旁检查。肺超声作为床旁即时超声的重要组成部分, 目前尚未在超声专业内广泛应用, 且未形成统一的操作、诊断及报告书写规范。本建议凝聚了国内及省内数十位专家的宝贵经验书写而成, 为同道提供参考借鉴, 尚存不足之处, 在未来实践中不断更新和深化。


图片


   专家建议编写组    



组长:薛红元(河北省人民医院),李丽(河北省人民医院)

执笔人:赵浩天(河北省人民医院)

成员:刘奕(河北省人民医院),牛慧敏(河北省人民医院),王晓娜(河北省人民医院),刘元琳(河北省人民医院),潘红然(河北省人民医院),燕亚茹(石家庄市人民医院)

参考文献略


    作者介绍    

图片

赵浩天

急危重症心肺超声领域,90后医师;重症医学硕士 → 急诊医学规培生 → 超声专业医师  三栖选手;中国重症超声研究组 (CCUSG) 全国培训师;《肺超声规范化培训班》讲师;《肺超声—理论与临床诊断规范》第一主编;《急性呼吸困难床旁肺超声诊断规范专家建议》执笔人;丁香园 “超声时间” 公众号心肺超声版块-专栏作者。


转载的文章仅用于学术信息传播和学习,版权归原作者和原出处所有,如有侵权请联系删除。

全部评论 0
Copyright©2020-2026 北京医麦斯科技有限公司 版权所有 京ICP备2020034400号-1 京公网安备11010502043983号