登录方式
方式一:
PC端网页:www.rccrc.cn
输入账号密码登录,可将此网址收藏并保存密码方便下次登录
方式二:
手机端网页:www.rccrc.cn
输入账号密码登录,可将此网址添加至手机桌面并保存密码方便下次登录
方式三:
【重症肺言】微信公众号
输入账号密码登录
注:账号具有唯一性,即同一个账号不能在两个地方同时登录。
2019新型冠状病毒(2019 novel coronavirus,2019-nCoV),因2019年12月发生在中国武汉的不明原因病毒性肺炎病例而被发现,并于2020年1月12日被世界卫生组织(World Health Organization,WHO)命名。在之后的一个月内,2019-nCoV在湖北省内、中国甚至其他国家传播,造成了数以千计病例的出现,同时也引起了民众一定程度的恐慌。
本指南的制定希望能够从疾病流行病学、病因学、诊断、治疗、护理、医院感染控制等方面给临床医生、社区居民等提供医疗护理及居家照护的相关指导。
本指南制订过程主要依照WHO针对紧急公共卫生事件的快速风险评估手册提供的快速建议指南(Rapid Advice Guidelines)方法学进行。
1.1 组建指南制订小组
本快速建议指南由一线诊治医师和护师、行政管理协调安排人员、指南制订方法学专家、系统评价及文献检索专业人员共同组成。
1.2 指南的目标用户
发热门诊、急诊科、重症医学科、呼吸科等诊治与护理2019-nCoV感染肺炎患者的医师、护士,社区居民,公共卫生人员以及科研工作者。
1.3 指南的目标人群
2019-nCoV疑似病例、确诊病例、聚集性病例、密切接触者及可疑暴露者。
1.4 快速评估利益冲突
首次会议口头询问利益冲突情况,共识会议进行所有参与者的利益冲突调查,均表明不存在利益冲突。
1.5 指南结构的确定
本指南属于应对突发传染性疾病的快速指南,由于时间所限,并未进行指南 PICOS(Patient,Intervention,Control,Outcomes,Study)问题的调研,而是由本院多位一线临床医师进行讨论确定指南结构及涵盖的范围与主题。
1.6 证据来源与评价
1.6.1 一般性说明
考虑到新爆发的疫情没有直接证据,故参考学习严重急性呼吸综合征(severe acute respiratory syndrome,SARS)、中东呼吸综合征(the Middle East respiratory syndrome,MERS)和流感相关指南及相应高级别证据,并同时参考国家卫生健康委发布的2019-nCoV感染的肺炎诊疗方案以及WHO的2019- nCoV感染肺炎指南。另外,本指南制订也进行了指南外高质量证据的查找。高级别证据包括治疗性相关问题查找高质量系统评价、Meta分析、随机对照试验(randomized controlled trials,RCTs);诊断性研究查找高质量系统评价、诊断准确性研究等。如果没有发现可用的RCTs,则依次查找高质量的观察性研究。因SARS研究的发表集中在疫情发生后的几年,近期研究数量不足,故本次指南制定暂不限制检索年份。
1.6.2 检索资源
本指南检索的数据库为:PubMed、Embase和Cochrane library。本指南检索的网站有:WHO(https://www.who.int/)、CDC(Centers for Disease Control and Prevention;https://www.cdc.gov/)、 NICE(National Institute for Health and Clinical Excellence;https://www.nice.org.uk/)、中华人民共和国国家卫生健康委员会(http://www.nhc.gov.cn/)和国家中医药管理局(http://www.satcm.gov.cn/)。
1.6.3 本次疫情一手资料的收集与汇总
武汉大学中南医院在本次新型冠状病毒感染的肺炎诊疗过程中共筛查11500例,疑似276例,明确诊断170例(其中危重患者33例)(截至2020年1月29日24:00)。在此过程中积累了一定的诊疗经验,整理病例170份,可以以专家证据(Expert Evidence)的形式成为指南重要证据资料。呈现形式:医生共识过程参与及典型案例报告(见本指南附1和附2)。此过程严格区分专家证据及专家意见。基于专家证据仍然可以制订循证指南。
1.7 证据及推荐意见分级标准
本指南参考GRADE系统的一般原则,并结合本次指南的特殊性综合确定证据等级与推荐意见的确定方法。当临床问题没有高质量系统评价或Meta分析支持时,依次选用高质量的RCTs、观察性研究或系列病例报告,同时参考本院专家证据及已有SARS等指南证据,此时原始研究不进行不一致性降级。
1.8 推荐意见确定
在所有证据收集并评估后,本指南制订通过指南制订小组面对面会议达成共识。分歧较大的采用投票的方法最终确定。指南文本用“建议”“提供”等反映强推荐,用“考虑”反映弱推荐。强推荐并不意味着有足够的干预有效性,推荐意见的制订结合疾病的严重程度、患者意愿、安全性、经济性等因素综合考虑(表1、2)。参考表2的内容,根据此次指南制订的实际情况,进行一定的调整,本次指南制订过程中高度重视专家证据,共识过程中一线诊治医生对待推荐意见的一致性超过70%的专家证据设定为高质量证据。


1.9 指南撰写和发布
本指南将以中、英文同时发布,当前版本为标准版,由于篇幅限制未把证据描述放入其中。完整版刊于《医学新知》2020年第30卷第1期。
2.1 爆发范围
2019年12月以来,湖北省武汉市部分医院陆续发现了多例有华南海鲜市场暴露史的不明原因肺炎病例,现已证实为一种2019-nCoV感染引起的急性呼吸道传染病。截至目前搜集到的病例,显示无华南市场暴露史的病例在增加,并出现了聚集性病例和无武汉旅行史的确诊病例,而且在境外多个国家和地区发现了来自武汉的无明确市场暴露史的确诊病例。
截至1月26日24时,国家卫生健康委收到30个省(区、市)累计报告确诊病例2744例,现有重症病例461例,累计死亡病例80例,累计治愈出院51例。现有疑似病例5794例。目前累计追踪到密切接触者32799人,当日解除医学观察583人,现有30453人正在接受医学观察。累计收到港澳台地区通报确诊病例:香港特别行政区8例,澳门特别行政区5例,台湾地区4例。另外,累计收到国外通报确诊病例:泰国7例,日本3例,韩国3例,美国3例,越南2例,新加坡4例,马来西亚3例,尼泊尔1例,法国3例,澳大利亚4例。
2.2 宿主
野生动物,可能为蝙蝠。2019-nCoV感染的肺炎是由蝙蝠直接传播还是通过中间宿主传播, 需要进一步确认,它将有助于确定人畜共患传播模式。
目前研究显示此新型病毒与蝙蝠SARS样冠状病毒(bat-SL-CoVZC45)同源性达85%以上。
2.3 传播途径
目前所见传染源主要是新型冠状病毒感染的肺炎患者。经呼吸道飞沫传播是主要的传播途径,亦可通过接触传播。虽然病毒来源和人群间传播能力等许多细节仍然未知,但越来越多的病例似乎是由人际传播引起。
2.4 病因学及发病机制
从武汉市不明原因肺炎患者下呼吸道分离出的冠状病毒2019-nCoV为一种属于β属的新型冠状病毒,有包膜,颗粒呈圆形或椭圆形,常为多形性,直径60~140 nm。其基因特征与SARSr- CoV和MERS-CoV有明显区别。目前研究显示与蝙蝠SARS样冠状病毒(bat-SL-CoVZC45)同源性达85%以上。体外分离培养时,2019-nCoV在96h左右即可在人呼吸道上皮细胞内发现,而在VeroE6和Huh-7细胞系中分离培养约需6 d。
病毒的来源、感染后排毒时间、发病机制等目前尚不明确。
2.5 分子流行病学
需要获得尽可能多的时间和地理上无关的临床分离株,以评估病毒突变的程度,并评估这些突变是否表明对人类宿主的适应性。尚未发现病毒变异的证据。
2.6 潜伏期和感染期
基于目前的流行病学调查,潜伏期一般为3~7d,最长不超过14d。与SARS有很大不同,2019-nCoV在潜伏期具有传染性。
2.7 影响预后的因素
人群普遍易感。老年人及有基础疾病者感染后病情较重,儿童及婴幼儿也有发病。从目前收治的病例情况看,多数患者预后良好,儿童病例症状相对较轻,少数患者病情危重。死亡病例多见于老年人和有慢性基础疾病者。
一项纳入2019年12月16日至2020年1月2日期间在武汉市入院的首批41例确诊感染2019-nCoV的病例分析发现,患者发生急性呼吸窘迫综合征12例(29%),接受重症监护13例(32%),其中6人死亡。
3.1 病例定义
3.1.1 疑似病例
符合以下临床表现任意2条,并具有任何一项流行病学史的患者。①临床表现:发热;具有肺炎影像学特征;发病早期白细胞总数正常或降低,或淋巴细胞计数减少;②流行病学史:发病前14d内有武汉地区或其他有本地病例持续传播地区的旅行史或居住史;发病前14d内曾接触过来自武汉市或其他有本地病例持续传播地区的发热或有呼吸道症状的患者;有聚集性发病或与新型冠状病毒感染者有流行病学关联。
3.1.2 确诊病例
具备以下病原学证据之一者:①呼吸道标本或血液标本实时荧光RT-PCR检测2019-nCoV核酸阳性;②呼吸道标本或血液标本病毒基因测序,与已知的2019-nCoV高度同源。
3.1.3 聚集性病例
疑似聚集性病例是指14d内在小范围(如一个家庭、一个工地、一个单位等)发现1例确诊病例,并同时发现1例及以上发热或呼吸道感染病例。
在上述情形下,发现2例及以上确诊病例,且病例间可能存在因密切接触导致的人际传播的可能性或因共同暴露而感染的可能性,则判定为聚集性病例。
3.1.4 密切接触者
与病例发病后有如下接触情形之一,但未采取有效防护者,包括:①与病例共同居住、学习、工作,或其他有密切接触的人员,如与病例近距离工作或共用同一教室或与病例在同一所房屋中生活;②诊疗、护理、探视病例的医护人员、家属或其他与病例有类似近距离接触的人员,如直接治疗及护理病例、到病例所在的密闭环境中探视或停留,病例同病室的其他患者及其陪护人员;③与病例乘坐同一交通工具并有近距离接触人员,包括在交通工具上照料护理过病人的人员;该病人的同行人员(家人、同事、朋友等);经调查评估后发现有可能近距离接触病人的其他乘客和乘务人员;④现场调查人员调查后经评估认为符合其他与密切接触者接触的人员。
3.1.5 可疑暴露者
可疑暴露者是指暴露于新型冠状病毒检测阳性的野生动物、物品和环境,且暴露时未采取有效防护的加工、售卖、搬运、配送或管理等人员。
3.2 人员预防
(1)密切接触者及可疑暴露者:密切接触者及可疑暴露者均应有14 d的健康观察期。观察期从与患者接触或环境暴露的最后1d算起。一旦出现任何症状,特别是发热、呼吸道症状如咳嗽、呼吸短促或腹泻, 应马上就医。对偶然接触,低暴露于疑似或确诊感染的接触者,要实行接触监测,即进行日常活动的同时,检查伴随的症状情况。详细内容见表3。

(2)疑似nCoV感染患者:疑似感染患者应尽快前往医院进行诊疗。医生根据患者情况进行判断,轻微症状疑似感染患者可考虑居家隔离,进行家庭护理(弱推荐),症状较重的疑似感染者及经医生判断后需要留观的疑似患者按照疑似患者隔离指引要求进行在院隔离。
另需注意:①决定是否进行家中隔离,需要谨慎的临床判断,并且需要专业人员参与评估病人留在家里的安全性。②疑似患者居家隔离期间症状未有改善或加重,需前往医院就诊。③在家中隔离期间,患者用药及临床症状观察需密切观察,其照顾家属需要每天测量体温进行自我观察。在整个家庭护理期间,卫生保健人员应参与通过电话和(理想情况下,如果可行的话)定期(例如每天)面对面的访问,审查症状的进展情况,必要时进行特定的诊断测试,详见表4、5。


(3)旅行人群的预防(强推荐):国际旅客进出受影响地区时,采取常规预防措施,包括:避免与急性呼吸道感染者产生密切接触;勤洗手,尤其是与患病者或其周边环境接触后;遵从适当的咳嗽礼节;避免与活或死的农场或蝙蝠和其他野生动物产生密切接触。
旅客需避免不必要的旅行,如果在过去14 d内前往中国湖北省(包括武汉市),并且感到发烧,咳嗽或 呼吸困难,则应立即就医;生病时不旅行;咳嗽或打喷嚏时,用纸巾或袖子(而不是手)遮住口鼻;经常用肥皂和水洗手至少20 s。如果没有肥皂和水,请使用酒精类洗手液。
4.1 临床表现
有发热、乏力、干咳、呼吸困难等症状,伴或不伴鼻塞、流涕等上呼吸道症状。尽管病例报告有不典型症状,但钟南山院士在2020年1月28日接受新华社专访时讲,发热仍然是2019-nCoV感染的典型症状。
4.2 体格检查
轻症患者可无阳性体征;重症患者可出现呼吸急促,双肺闻及湿啰音,呼吸音减弱,叩诊呈浊音,触觉语颤增强或减弱等。
4.3 影像学检查
4.3.1 CT影像学检查(强推荐)
因患者年龄、免疫力、扫描时所处的病程节段、基础疾病及药物干预而异,其影像学表现病灶主要分布胸膜下、沿支气管血管束为主)、数量(3个以上多发病灶多见、偶有单发或双病灶)、形状(斑片状、大片状、结节状、团状、蜂窝样或网格状、条索状等)、密度(多不均匀,呈磨玻璃密度与小叶间隔增厚混杂铺路石样改变、实变及支气管壁增厚等)及伴发征象(充气支气管征、极少数病例出现少量胸腔积液和纵膈淋巴结肿大等)各异。
4.3.2 武汉大学中南医院一线数据分享
4.3.2.1 典型CT/X线影像表现
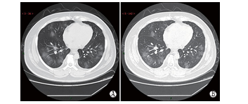
(1)双肺多发、斑片状、亚段或节段性磨玻璃密度影,被细网格状或小蜂窝样小叶间隔增厚分隔成“铺路石样”改变,CT扫描层厚越薄,磨玻璃密度影与小叶间隔增厚显示越清晰;高分辨率CT(high-resolution computed tomography,HRCT)呈现细网格状或小蜂窝样小叶间隔增厚内稍高密度磨玻璃密度改变、边缘模糊(图1,45例,54.2%,共计83例)。X线分辨较CT差,基本上表现为边缘模糊的磨玻璃密度影(图2,9例,10.8%,共计83例)。

图1 典型CT/X线影像表现(例1)
男性,38岁,无明显诱因发热(39.3℃)、干咳和气短3 d。实 验室检查,WBC:6.35×109/L(正常),LYMPH%:4.1(减低), LYMPH:0.31×109/L(减低),EO:0(减低),CRP:170.91 mg/L(升高),PCT:0.45 ng/ml(升高)。A(SL:6 mm)和B(HRCT)示双肺 多发斑片状+小叶网格状小叶间隔增厚,呈典型“铺路石”征象。

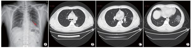
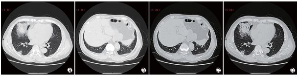
图2 典型CT/X线影像表现(例2)
男性,51岁,全身酸痛、乏力1周,发热1d(39.1℃),贫血。实验室检查,WBC:9.24×109/L(正常),LYMPH%:5.1(减低), LYMPH:0.47×109/L(减低),EO:0(减低),CRP:170.91 mg/L(升高),PCT:0.45 ng/ml(升高),ESR:48 mm/h(升高)。A示左肺下叶外带斑片影;B示左肺下叶背段大片磨玻璃密度影;C示右肺上叶后段和左肺上叶下舌段胸膜下斑片状磨玻璃密度影;D示左肺下叶外基底段大片磨玻璃密度影。
(2)双肺多发、斑片状或大片状实变,并少许网格样或蜂窝状小叶间隔增厚,以中下叶为著(图3,26例,31.3%,共计83例),老年人或重症患者多见。

图3 典型CT/X线影像表现(例3)
男性,65岁,发热4 d(38.7℃)。实验室检查,WBC:3.72×109/L(正常),LYMPH:0.90×109/L(减低),CRP:53.0 mg/L(升高), PCT:0.10 ng/ml(升高),肝功能减低,低蛋白血症,轻度贫血。A、B示右肺中叶大片实变和下叶后基底段斑片状实变、内见充气支气管征,3C示左肺下叶外基底段斑片状实变,右侧胸腔少量积液。
4.3.2.2 不典型CT/X线影像表现
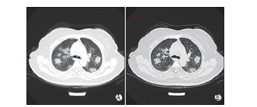
(1)双肺单发、多发或广泛胸膜下网格样或蜂窝样小叶间隔增厚、支气管壁增厚、迂曲粗条索影,可见散在数个斑片状实变、偶尔可伴有少量胸腔积液或纵膈淋巴结增大(图4,6例,7.2%,共计83例),多见于老年人。

图4 不典型CT/X线影像表现(例1)
女性,83岁,发热(最高体温达38.8℃)、咳嗽、畏寒,伴咽痛、干咳1周,胸闷和气短加重1周。实验室检查,WBC:4.6×109/L (正常),Neu%:65.8(正常),LYMPH%:19.9(减低)。A、B示双肺弥漫性小叶间隔增厚形成网格影、支气管壁增厚、左肺下叶片状实 变,4C胸片示双肺弥漫网格影、左肺为著。
(2)单发或多发小叶中心实性结节或实变、周围围绕磨玻璃密度影(图5,5例,6.2%,共计83例)。

图5 不典型CT/X线影像表现(例2)
女性,56岁,发热3d。实验室检查,WBC:4.87×109/L(正常),LYMPH%:10.1(减低),LYMPH:0.49×109/L(减低),EO:0(减 低),EO%:0(减低);TP:54.0 g/L(减低),ALB:35.5 g/L(减低),GLB:18.5 g/L(减低)。
4.3.2.3 CT影像分期因发病时间及机体对病毒反应而不同可以分为5期。
(1)超早期:通常指曾暴露于病毒污染环境中(与患者接触史、家庭、单位或医务人员聚集性发病环境内)1~2周内尚无有任何临床表现、实验室检查阴性和咽拭子2019-nCoV阳性。主要影像表现为单发、双发或散在数个局灶性磨玻璃密度影、小叶中心结节及周围环绕斑片状磨玻璃密度影、斑片状实变影及其内见支气管充气征等,以中下叶胸膜下为著(图6,7例,8.4%,共计83例)。

图6 超早期CT影像
A. 女性,33岁,职业暴露,斑片状磨玻璃密度影;B. 男性,67岁,与患者有过接触史,大片磨玻璃密度影;C. 女性,35岁,职 业暴露,大片实变影、内见充气支气管征
(2)早期:指出现临床表现(发热、咳嗽、干咳等)后1~3 d,此期病理学机制为肺泡间隔毛细血管扩张充血、肺泡腔内液体渗出和小叶间隔间质水肿。表现为单发或散在多发斑片状或团状磨玻璃密度影,被蜂窝样或网格样增厚小叶间隔分隔(图7,45例,54.2%,共计83例)。

图7 早期CT影像
男性,38岁,无明显诱因发热(39.3℃)、干咳和气短3d。实 验室检查,WBC:3.01×109/L(减低),LYMPH:0.81×109/L(减 低),CRP:60.8 mg/L(升高),PCT:0.16 ng/ml(增高)。影像学检查示双肺多发片团影较淡实变及网格样增厚小叶间隔。
(3)快速进展期:出现临床表现后第3~7 d左右,此期病理学机制为肺泡腔内聚集大量富细胞渗出液、 间质内血管扩张渗出、二者均导致肺泡及间质水肿进一步加重,纤维素样渗出经肺泡间隔将每个肺泡联通起来形成融合态势。CT表现为融合大片较淡的实变影、其内可见充气支气管征(图8,17例,20.5%,共计 83例)。

图8 快速进展期CT影像
女性,50岁,纳差、乏力、肌肉酸痛、鼻塞流涕1周、咽痛咽痒2d。实验室检查,WBC:4.08×109/L(正常)、LYMPH:0.96×109/L (减低)、CRP:60.8 mg/L(升高)、ESR:25 mm/h(升高)。影像学检查,双肺多发片团影较淡实变及网格样增厚小叶间隔。
(4)实变期:出现临床表现7~14 d左右,此期主要病理机制应该是肺泡腔纤维素性渗出、肺泡壁毛细血管充血消退。CT影像学表现为多发斑片状实变密度、范围较上一期稍缩小(图9,26例,31.2%,共计83例)。

图9 实变期CT影像
男,65岁,发热4 d(体温最高39℃)。实验室检查,WBC:3.72 × 109 /L( 减低), LYMPH:0.90 × 109 /L( 减低), PCT:0.10 ng/ml(升高),CRP:53.0 mg/L(升高);低蛋白血症[TP:62.2 g/L(减低),ALB:35.7 g/L(减低)]、肝功异常 [ALT:79 U/L (升高),AST:72 U/L(升高)]、轻度贫血[RBC:4.10×1012/L (减低),HGB:131.1 g/L(减低),HCT:39%(减低)]。影像学检查,CT表现为右肺中叶、下叶后基底段及左肺下叶外基底段多发斑片状和大片实变、内见充气支气管征象。
(5)消散期:出现临床表现2~3周内、病变范围进一步缩小。CT表现为斑片状实变或条索影,随着时 间延长、可见网格状增厚小叶间隔、支气管壁增厚扭曲成条索状及少许散在斑片状实变(图10,17例, 20.5%,共计83例)。

图10 消散期CT影像
女性,79岁,间断发热6 d,综合治疗3 d后,实验室检查, RBC:3.73×1012/L(减低)、HB:107g/L(减低),HCT%:31.8(减低),LYMPH%:13.9(减低),LYMPH:0.62×109/L(减低),EO%:0(减低)、EO:0(减低),ALT:46U/L(升高),TP:56.8g/L (减低),ALB:33.5g/L(减低),CRP和PCT正常。A. CT示左肺上叶舌段斑片状磨玻璃密度影及网格状小叶间隔增厚和右肺中叶及 下叶背段斑片状实变影;B.9d后复查CT右肺中叶病变吸收、右肺下叶病变范围缩小、左肺上叶舌段病变吸收呈条索影样变。
4.4 鉴别诊断
主要与流感病毒、副流感病毒、腺病毒、呼吸道合胞病毒、鼻病毒、人偏肺病毒、SARSr-CoV等其他已知病毒性肺炎鉴别,与肺炎支原体、衣原体肺炎及细菌性肺炎等鉴别。此外,还要与非感染性疾病,如血管炎、皮肌炎和机化性肺炎等鉴别。
4.5 实验室检测技术
4.5.1 血液学检查
发病初期白细胞总数大部分降低或正常,淋巴细胞计数减少,单核细胞增加或正常。淋巴细胞绝对值如果小于0.8×109/L,或出现CD4及CD8T细胞计数明显下降者需要高度关注,一般建议3 天后复查血液常规变化。
4.5.2 呼吸道病原学检测
(1)流感抗原:目前常规检测的流感抗原有甲型、乙型、H7N亚型等,咽拭子采样,检测结果较快,有利于流感早期快速筛查,但是假阴性率偏高;
(2)呼吸道病毒核酸:临床常用于其他常见呼吸道病毒和支原体及衣原体感染的检测确诊,如腺病毒、副流感病毒、呼吸道合胞病毒、支原体、衣原体、甲型、乙型流感病毒等;
(3)2019-nCoV核酸检测:准确的2019-nCoV的RNA检测具有诊断意义(强推荐)。采用荧光定量PCR方法在排除样本质量、样本收集时机、污染和技术问题的情况下,从咽拭子或其他呼吸道样本中检测出2019-nCoV的RNA,尤其多次、多种标本和多种检测试剂盒的2019-nCoV的RNA阳性,对病原学诊断有重要支持意义;
(4)其他实验检查项目:其他还有血气分析、肝肾功能、心肌酶、肌红蛋白、血沉、CRP、PCT、乳 酸、D-二聚体、凝血像、尿液常规、炎症因子(IL-6,IL-10,TNF-α)、TB亚群11项、补体、抗酸染色等。其中血气分析有助于判断中、重症患者的氧合情况,结合其中乳酸的升高可以筛查高危的氧合障碍患者,部分感染患者出现肝酶、肌酶、血沉和肌红蛋白高,CRP和PCT的检测对鉴别是否合并肺部的细菌感染有一定价值,本次疫情中发现大部分重症患者D-二聚体明显升高,同时出现凝血功能的障碍,外周血管的微血栓形成,其他的炎症因子等检查可以初步评估患者的免疫功能状态。
4.5.3 武汉大学中南医院一线数据分享
发病早期外周血白细胞总数正常或减低,淋巴细胞计数减少,部分患者可见肝酶(转氨酶)、肌酸激酶(CK和肌红蛋白增高。多数患者CRP、血沉和IL-6升高,PCT正常。严重者D-二聚体升高。
搜集我院前期38例2019-nCoV患者数据发现,患者WBC平均值为5.45(2.3~13.82)×109/L,PLT平均值 为164.5(47~317)×109/L,淋巴细胞平均值为0.87(0.24~2.27)×109/L,单核细胞0.38(0.12~0.62)×109/L。ALT平均值为37.6(6~128) U/L,AST为53.3(18~169) U/L。CK平均值为315(33~3051) U/L,血沉平均值29.3(8~67) mm/h,CRP平均值61.8(3~170.91) mg/L,IL-6平均值57(3.1~134.4) pg/ml,D-二聚体 400(46~3330) ng/ml。
经与120例健康体检人员相比,发现2019-nCoV患者淋巴细胞绝对值(0.87 vs. 2.13)×109/L和淋巴细胞百分比(19.5% vs. 33.7%),嗜酸细胞百分比(0.13% vs. 2.16%)和绝对值(0.0061 vs. 0.1417)×109/L显著降低 (P<0.05)。中性粒细胞绝对值(4.2 vs. 3.7)×109/L和百分比(72% vs. 57%)升高(P<0.05),单核细胞百分比相对升高(8.1% vs. 6.8%),而单核细胞绝对数改变不明显(0.38 vs. 0.44)×109/L。
4.6 其他早期诊断方法
临床能用的二代测序(next generation sequencing,NGS)技术、电子显微镜技术能 起到早期诊断作用,但随着特异性核酸检测技术的发现其诊断价值已减弱,但NGS检测技术能用于病原体是否突变。
5.1 治疗原则
疑似及确诊病例应在具备有效隔离条件和防护条件的定点医院隔离治疗。疑似病例应单间隔离治疗,确诊病例可收治在同一病室。危重症病例应尽早收入ICU治疗。
5.2 治疗方案
(1)卧床休息,监测生命体征(心率、指脉氧饱和度、呼吸频率、血压),加强支持治疗,保证充分热量,维持水、电解质及酸碱平衡等内环境稳定(强推荐)。
(2)根据病情监测血常规、C-反应蛋白(C-reactive protein,CRP)、降钙素原(procalcitonin,PCT)、脏器功能(肝酶、胆红素、心肌酶、肌酐、尿素氮、尿量等)、凝血功能、动脉血气分析,胸部影像学(强推荐)。
(3)有效氧疗,包括鼻导管、面罩给氧、经鼻高流量氧疗(high flow oxygen therapy,HFNO)、无创(noninvasive mechanical ventilation,NIV)或有创机械通气等(强推荐)。① 严重呼吸道感染、呼吸窘迫、低氧血症或休克患者氧疗。起始流速5 L/min,滴定流速以达到目标氧饱和度为准(成年人:非怀孕患者SpO2≥90%,怀孕患者SpO2≥92%~95%;儿童:存在阻塞性呼吸困难、呼吸暂停、严重呼吸窘迫、中心性发绀、休克、昏迷或抽搐患儿SpO2≥94%,其他患儿≥90%);②缺氧性呼吸衰竭和急性呼吸窘迫综合征患者呼吸支持。当鼻导管或面罩氧疗无效或患者出现低氧性呼吸衰竭时可选择HFNO或NIV。但当患者出现高碳酸血症(慢性阻塞性肺疾病急性加重、心源性肺水肿)、血流动力学不稳定、多器官功能衰竭、精神状态异常时不常规采用HFNO氧疗。在使用HFNO或NIV短时间(1 h)内呼吸衰竭无改善或持续恶化,应立即插管。③ 有创机械通气采用小潮气量(4~8 ml/kg)和低吸气压(平台压<30 cmH2O)。中重度急性呼吸窘迫综合征(acute respiratory distress syndrome,ARDS)患者建议使用高呼气末正压PEEP,需根据FiO2滴定PEEP维持SpO2,以改善肺泡不张和减少吸气末肺泡过度扩张和肺血管阻力。严重ARDS患者,建议俯卧位通气,且时间大于12 h/d。
(4)经过肺保护性通气仍难以纠正的难治性低氧血症可考虑体外膜肺氧合(extracorporeal membrane oxygenation,ECMO)(强推荐)。
5.3 药物治疗
5.3.1 抗病毒药物治疗
(1)目前尚无来自RCT的证据支持特异的抗新型冠状病毒治疗疑似或确诊病例的药物;(2)可考虑试用α-干扰素雾化吸入(成人每次500万U,加入灭菌注射用水,2次/d)(弱推荐);可考虑洛匹那韦/利托那韦口服,2粒/次,2次/d(弱推荐)。
证据级别较低的研究如回顾性队列研究、历史对照研究、病例报告或系列案例报道证实单用洛匹那韦/利托那韦或与抗病毒药联合使用在治疗SARS和MERS感染时有一定的治疗优势,如减少了ARDS的发生或死亡率。一篇刚刚发表的系统评价显示洛匹那韦/利托那韦抗冠状病毒效果主要显现于早期应用,可降低患者病死率和减少糖皮质激素用量。但若错过了早期治疗窗,晚期应用则其并无显著疗效;仍需开展真实世界临床研究,进一步探索其早期用2019-nCoV感染的肺炎的临床效应。
抗病毒药之间联合使用的效果仍有较大争议。
5.3.2 抗菌药物治疗
(1)避免盲目或不恰当使用抗菌药物,尤其是联合使用广谱抗菌药物。加强细菌学监测,有继发细菌感染证据时及时应用适宜的抗菌药物;
(2)根据患者临床表现,如不能排除合并细菌感染,轻症患者可口服针对社区获得性肺炎的抗菌药物,如阿莫西林、阿奇霉素或氟喹诺酮类;重症患者经验性治疗需覆盖所有可能的病原体,病原菌明确后降阶梯治疗。
5.3.3 激素治疗
激素用于严重急性呼吸窘迫综合征存在争议,全身性使用糖皮质激素应谨慎。病情进展快或重症患者可酌情使用甲泼尼龙,根据病情严重程度,可考虑每日给予40~80 mg,每日总剂量不超过 2 mg/kg(弱推荐)。
SARS的研究中显示在肺部阴影增多和呼吸困难加重时,及时采用无创持续气道正压通气和皮质激素是有效的方案。适量使用糖皮质激素能明显改善SARS患者的临床症状,减轻病变进展程度,加快肺部病变的吸收,但不能缩短住院时间。激素治疗有一定的不良反应发生率。
5.3.4 其他药物治疗
(1)发热对症治疗:体温大于38.5℃,退热可使用布洛芬(口服,每次0.2 g,持续发热可间隔4~6 h使用,24 h不超过4次),体温降到38℃以下即可,过低不利于抗病毒;
(2)营养支持治疗:住院患者入院时即根据NRS2002评分进行营养风险筛查,对不同营养风险评分患者推荐方案如下:①总评分<3分,推荐进食高蛋白质食物(如鸡蛋、鱼、瘦肉、奶制品)和含碳水化合物的饮食。摄入目标能量为25~30 kcal/(kg.d)和蛋白质量为15 g/(kg.d)。②总评分≥3分,尽早给予营养支持。推荐口服营养补充强化蛋白质摄入,2~3次/d,≥18 g蛋白质/次。为达到18 g蛋白质/次,在标准整蛋白制剂基础上额外添加蛋白粉。当患者不能通过口服方式补充营养时,应放置肠内营养管;
(3)减少应激性溃疡和胃肠道出血发生率:对有胃肠道出血危险因素患者使用H2受体拮抗剂或质子泵抑制剂。危险因素包括机械通气≥48 h,凝血功能障碍,肾脏替代治疗,肝脏疾病,多种并发症,器官衰竭评分较高;
(4)减少肺部腺体分泌和改善呼吸功能:对于因呼吸道腺体分泌增加出现呼吸困难,咳嗽、喘息加重,呼吸窘迫综合征患者,推荐使用选择性(M1、M3)受体抗胆碱类药物,减少肺部腺体分泌松弛气道平滑肌,解除气道痉挛,改善肺通气功能;
(5)减少静脉栓塞发生率:评估患者静脉栓塞风险,对无禁忌证高危患者预防使用低分子肝素或肝素。
5.4 中医中药治疗
5.4.1 指导原则
辨证施治、三因治宜、防大于治。
5.4.2 预防
(1)环境:执行国家相关规定,强调病源隔离,同时积极消毒环境,加强卫生管理。
(2)个人:饮食有节、起居有常、合理膳食、不妄作劳、适度锻炼。
(3)心理:情志相胜。
(4)药物:①室内活动环境熏艾,艾叶按1~5 g/m2,熏30 min,1次/d。②佩戴中药香囊(丁香、荆芥、 紫苏、苍术、肉桂、辛夷、细辛、白蔻仁各2 g粉碎装袋外用,10 d更换1))。③中药足浴方(艾叶10 g、红 花10 g、干姜6 g)将药物用热开水浸泡后,加入凉水至适宜温度,浸泡20 min左右。④中药预防方:黄芪 12 g、炒白术10 g、防风10 g、贯众10 g、金银花10 g、陈皮6 g、佩兰10 g、甘草10 g。正常成人连续5 d为一 疗程(儿童减半)。⑤代茶饮:苏叶6 g、藿香叶6 g、陈皮9 g、煨草果6 g、生姜3片,频泡服。⑥中成药:藿 香正气软胶囊(水),剂量减半。
5.4.3 治疗
(1)医学观察期:①临床表现1:乏力伴胃肠不适。推荐中成药:藿香正气胶囊(丸、水、口服液)。② 临床表现2:乏力伴发热。推荐中成药:金花清感颗粒、连花清瘟胶囊(颗粒)、疏风解毒胶囊(颗粒)、防风通圣丸(颗粒)。
(2)临床治疗期:
①初期:寒湿犯表。临床表现:恶寒无汗,头痛身重,肢体烦疼,胸膈痞满,渴不欲饮,便溏不爽,溺短而黄。治法:散寒除湿。推荐处方:藿香正气散加减(《全国名医验案之类编》之阴湿伤表案)。组成:紫苏叶10 g、苍术15 g、白芷10 g、陈皮10 g、羌活10 g、藿香10 g(后下)、厚朴10 g、防风10 g、茯苓皮 15 g、通草10 g。推荐中成药:藿香正气胶囊,藿香正气水。
②初期:寒湿郁肺。临床表现:恶寒发热或无热,干咳,咽干,倦怠无力,胸闷,脘痞或呕恶,便溏。舌质淡或淡红,苔白腻,脉濡。治法:散寒解郁。推荐处方:苍术15 g、陈皮10 g、厚朴10 g、藿香 10 g(后下)、草果6 g、生麻黄6 g、羌活10 g、生姜10 g、槟榔10 g(后下)、蝉蜕10 g、僵蚕10 g、片姜黄10 g。
③中期:疫毒闭肺。临床表现:身热不退或往来寒热,咳嗽痰热,或有黄痰,腹胀便秘。胸闷气促,咳嗽憋喘,动则气喘,舌质红,苔黄腻或黄燥,脉滑数。治法:清热解毒。推荐处方:杏仁10 g、生石膏 30 g(先煎)、瓜蒌30 g、生大黄6 g(后下)、生炙麻黄各6 g、葶苈子10 g、桃仁10 g、草果6 g、槟榔10 g、苍 术10 g。推荐中成药:喜炎平注射液,血必净注射液。
④重症期:热毒生瘀。临床表现:身体壮热,胸闷气促,面色紫黑,唇色瘀黑焦肿,神志昏迷。舌绛紫苔黄燥,脉洪大弦数。治法:化瘀解毒。推荐处方:三黄石膏汤合升降散合解毒活血汤。组成:炙麻黄10 g、杏仁10 g、生石膏20-30 g、蝉衣10 g、僵蚕10 g、姜黄10 g、酒大黄10 g、黄芩10 g、黄连5 g、连翘 15 g、当归10 g、桃仁10 g、赤芍15 g、生地15 g。推荐中成药:喜炎平注射剂、血必净注射剂、清开灵注射液、安宫牛黄丸。
⑤重症期:内闭外脱。临床表现:呼吸困难,动辄气喘或需要辅助通气,伴神昏,烦躁,汗出肢冷,舌质紫暗,苔厚腻或燥,脉浮大无根。治法:回阳救逆。推荐处方:人参15 g、黑顺片10 g(先煎)、山茱萸 15 g,送服苏合香丸或安宫牛黄丸。推荐中成药:血必净注射液、参附注射液、生脉注射液。
⑥恢复期:肺脾气虚。临床表现:气短,倦怠乏力,纳差呕恶,痞满,大便无力,便溏不爽,舌淡胖,苔白腻。治法:补益脾肺。推荐处方:法半夏9 g、陈皮10 g、党参15 g、炙黄芪30 g、茯苓15 g、藿香 10 g、砂仁6 g(后下)。推荐中成药:香砂六君子丸。
⑦恢复期:气阴两伤。临床表现:身热多汗,心胸烦热,气逆欲呕,气短神疲倦,舌红少苔,脉虚数。治法:益气养阴。推荐处方:竹叶石膏汤加白茅根、芦根。组成:竹叶15 g、石膏15 g(先煎)、党参 15 g、麦冬10 g、半夏9 g、白茅根15-30 g、芦根20 g、甘草10 g、粳米30 g。
推荐中成药:生脉饮。
5.5 重症患者治疗
5.5.1 低氧性呼吸衰竭与急性呼吸窘迫综合征(ARDS)的救治
治疗原则:在对症治疗的基础上,积极防治并发症,治疗基础疾病,预防继发感染,及时进行器官功能支持。
(1)识别ARDS:
立即对呼吸窘迫患者行补氧治疗,密切监测是否出现快速进行性呼吸衰竭等症状恶化迹象。当常规补氧治疗无效时,应识别是否出现严重的低氧性呼吸衰竭。通过面罩及储氧氧气袋吸氧(流速为10~15 L/min,FiO2为0.60~0.95),患者仍出现持续呼吸频率增加(>30次/min)及低血氧状态(SpO2<90% 或血氧分压<60 mmHg),应考虑为低氧性呼吸衰竭。
ARDS为一种严重的急性低氧性呼吸衰竭,是由于某些诱因导致的肺毛细血管通透性增加及肺泡上皮 细胞损伤引起的渗出性肺泡水肿。根据ARDS柏林定义标准,可分为轻、中、重度(表6)。

(2)高流量鼻导管吸氧(HFNO):
在传统氧疗支持下,SpO2仍难以维持在93%以上,呼吸频率增快,则需考虑启动HFNO。HFNO可提供60 L/min的气流速及高达1.0的FiO2,一般初始设置为30~40 L/min的气流速,50%~60%的氧浓度,再根据患者氧合状况进行调节,具有较好的耐受性及协调性,与标准氧疗相比,HFNO可减少气管插管的需要。但高碳酸血症(阻塞性肺疾病加重,心源性肺水肿加重)、血流动力学不稳定、多器官功能衰竭或精神状态异常者不应接受HFNO。HFNO对于轻、中度及无恶化高碳酸血症患者可能是安全的,但FiO2>70%,气流速>50 L/min持续1 h,呼吸窘迫仍然存在甚至急剧恶化,则考虑HFNO支持无效,需改变呼吸支持方式。
(3)无创机械通气(NIV):
NIV可通过密闭面罩形成的正压达到一定的正压通气效果。HFNO间断联合短时NIV(1~2 h)支持,对于降低呼吸功耗,改善氧合可能有帮助。但指南并不推荐应用于低氧血症性呼吸衰竭或病毒性疾病大流行时的呼吸支持治疗,有限的数据表明,MERS患者接受NIV治疗失败率高。如NIV 过程中(约1 h),呼吸窘迫仍然存在甚至急剧恶化,需考虑有创机械通气治疗。但血流动力学不稳定,多器官功能衰竭或精神状态异常的患者不应接NIV。
(4)有创机械通气:
在HFNO(FiO2>70%,气流速>50 L/min)或NIV支持下,呼吸窘迫仍然存在甚至恶化,则需尽快实施有创机械通气。
实施有创机械通气需进行气管内插管。由于气管插管为可能产生大量气溶胶的操作,因此,此时的气管内插管应由经过培训的、经验丰富的人员进行,并做好充分防护,预防空气传播。
有创机械通气应采取ARDS肺保护性通气策略:小潮气量(4~6 ml/kg)和低平台压力(<30 cmH2O),恰当的PEEP。对于中重度ARDS(氧合指数:PaO2/FiO2<150)患者,建议使用较高的PEEP,并每天进行超过12 h 的俯卧位通气治疗,在机械通气最初48 h内进行深镇静、镇痛、肌松策略。对于严重急性低氧性呼吸衰竭患者,应该在机械通气后关注并预防呼吸机相关性肺损伤。
(5)体外生命支持(extracorporeal life support,ECLS):
有创机械通气过程中,尤其在实施肌松及俯卧位治疗后,患者仍处于低氧合状态,合并PaCO2升高(排除通气功能障碍前提下,PaCO2>60 mmHg),需考虑实施ECLS。但建议ECLS治疗须在具有收治足够案例的专业中心并保证专业知识支持的情况下进行。目前,ICU的ECLS可分为仅支持呼吸的VV-ECMO(血泵经股静脉引血,经膜氧合器氧合后,血液经颈内静脉回血入右心房)及同时支持呼吸、循环的VA-ECMO(血泵经股静脉引血,经膜氧合器氧合后,血液经股动脉直接进入主动脉系统)。对于重度ARDS特定患者(严重的难治性低氧血症患者),应用神经肌肉阻滞剂可以改善供氧,尤其是在使用镇静药物后仍有人机抵抗的情况下,但不应对中重度ARDS患者常规持续输注神 经肌肉阻滞药物;在可行的情况下,可考虑采用ECMO联合小潮气量机械通气治疗常规疗法治疗失败的、严重的、难治性低氧血症患者;尽管常规使用高频振荡通气(high frequency oscillatory ventilation,HFOV)对中重度ARDS患者可能无益且有害,但仍可考虑将HFOV作为重度ARDS合并难治性低氧血症患者的挽救治疗手段。对于部分严重ARDS患者(因非代偿性高碳酸血症致肺损伤评分>3分或pH值<7.2),可行ECMO,但不建议对所有ARDS患者常规使用。在未来有更多研究证据支持的情况下,可考虑对ARDS患者采用体外二氧化碳清除通气治疗。
对没有组织灌注不足的ARDS患者可以使用保守的液体管理策略:应用血管活性药物改善微循环;对疑似潜在感染进行经验性抗生素治疗,但同时应避免盲目或不恰当地联合使用广谱抗菌药物。除非特殊原因,否则应避免常规使用皮质类固醇,可根据患者呼吸困难程度、胸部影像学进展情况,酌情短期内(3~5d)使用糖皮质激素,建议剂量不超过相当于甲泼尼龙1~2 mg/(kg·d)。同时,应加强对危重症患者的支持治疗,包括防止深静脉血栓形成及应激性消化道出血、控制血糖等。可给予肠内营养,不推荐ω-3脂肪酸及抗氧化剂。不推荐应用吸入或静脉β肾上腺素能受体激动剂促进肺泡液清除及缓解肺水肿。
5.5.2 感染性休克的处理
(1)识别感染性休克:若怀疑或确认感染状态,在充分液体复苏基础上,仍需要使用缩血管药物维持平均动脉压(MAP)≥65 mmHg且乳酸≥2 mmol/L时,应考虑感染性休克存在。如不能监测乳酸,合并以下 3项表现(神志状态改变、少尿、末梢灌注差-毛细血管充盈时间延长),也应考虑感染合并低灌注表现。
(2)脓毒性休克复苏:对成年人脓毒性休克进行复苏时,应在前3h内至少注入30 ml/kg等渗晶体。对儿童脓毒性休克进行液体复苏时,快速推注剂量为20 ml/kg,在急救时剂量可增至40~60 ml/kg。初始复苏完成后根据容量反应性评估并调整液体治疗策略。
(3)复苏方案:推荐用等渗晶体液进行复苏,前1 h请勿使用低渗晶体、淀粉或明胶进行复苏。白蛋白可以考虑作为复苏液体,但这是基于低质量的证据在一定条件下的推荐。若在液体复苏后仍存在休克,应使用缩血管药物,首选去甲肾上腺素。初始血压目标为:成人MAP≥65 mmHg或适合儿童年龄的目标。
(4)其他:如果无条件放置中央静脉导管,可以通过外周静脉输注升压药,但应使用大静脉,并密切监测渗出及局部组织坏死的迹象。如果发生渗出,应停止输液。血管加压剂也可以通过骨内针给药。
5.6 阶段评估及治疗效果评估
5.6.1 撤离ECLS的标准
(1)撤离VV-ECMO:ECMO空氧混合器氧浓度降至21%,气流速降为0,呼吸机支持力度不高,观察 2~3 h,呼吸频率<25次/min,SpO2>92%,PaCO2正常,可考虑撤离VV-ECMO。
(2)撤离VA-ECMO:血流速从3 L/min开始,以每5~6 h下调0.2~0.5 L/min的速度进行,并观察血流动力学状况是否平稳,在24 h内血流速降至1.5 L/min。如有桥接管,可将动静脉端用桥接管连接,形成ECMO
管路自循环,使机体血流动力学均由心脏泵血完成,观察至少6 h,如血流动力学平稳,可考虑撤机。
5.6.2 撤离有创呼吸的标准
患者意识清楚,吸痰呛咳反射明显,血流动力学平稳,呼吸机参数接近脱机参数时,进行自主呼吸试验(spontaneous breathing trial,SBT),通过后即可考虑停止有创呼吸,拔除气管插 管。
5.6.3 转出ICU的标准
患者不需要高级呼吸支持(HFNO、NIV、MV、ECLS等),血流动力学及组织灌注稳定,器官功能无明显障碍,不需要器官支持治疗(CRRT、人工肝等)。可考虑启动转出ICU程序。
5.7 出院标准
体温恢复正常3 d以上,呼吸道症状明显好转,肺部影像学显示炎症明显吸收,连续2次呼吸道病原核酸检测阴性(采样时间至少间隔1 d),可解除隔离出院。
6.1 患者/疑似患者隔离与限制指引
详见表7(强推荐)。

6.2 个人防护指引
根据标准预防及三级防护的原则,对全体人员进入不同分区,根据暴露风险等级进行个人清单表评估,选择不同级别的个人防护用品,个人防护用品严格按照说明书要求进行佩戴,一次性使用(表8,强推荐)。
7.1 居家隔离患者的护理
患者的居家隔离方案见表5。
居家自行监测体温和病情变化,如体温持续高于38℃,或呼吸困难进行性加重,应及时就医。家庭照顾者除做好自身防护外,也应密切监测体温。
7.2 普通住院患者的护理
7.2.1 氧疗护理
轻症患者一般采取鼻导管给氧及面罩给氧。根据患者病情及医嘱调节合适的氧流量,密切观察患者呼吸情况及血氧饱和度,如氧疗持续达不到既定目标应引起警惕,全面分析原因,及时通知医师。
7.2.2 用药护理
轻症患者一般使用抗病毒药物、抗菌药物(有感染证据时)及对症治疗。根据医嘱准时、 准确给药,观察用药效果及不良反应。奥司他韦的不良反应主要有:恶心、呕吐、腹泻、腹痛及支气管炎、咳嗽等,干扰素的不良反应主要是发热、疲乏、肌痛、头痛等流感样症状,其次是轻度骨髓抑制。应 注意鉴别患者的临床表现是属病情变化还是药物的不良反应。
7.2.3 营养支持
根据患者的需求提供高蛋白、高维生素、含碳水化合物的饮食(如鸡蛋、鱼、瘦肉、奶类等),补充足够营养,提高机体的抵抗力。
7.2.4 心理护理
关心重视患者,及时解答患者的疑问。合理应用积极的心理学手段,鼓励患者,减轻患者的焦虑、恐惧心理。
7.3 危重症患者的护理
7.3.1 病情监测
动态监测患者的生命体征、水电解质、酸碱平衡及各器官功能,监测患者的感染指标,判断有无急性呼吸窘迫综合征、感染性休克、应激性溃疡、深静脉血栓等并发症的发生。
7.3.2 序贯氧疗护理
危重症患者主要采用高流量鼻导管吸氧、无创机械通气及有创机械通气等氧疗方式。在序贯使用各种氧疗方式时,应保持呼吸道和呼吸管路通畅,动态监测氧疗效果,同时合理使用皮肤护理产品避免鼻面部、口唇的压力性损伤。使用高流量鼻导管吸氧时应注意调节合适的氧流量及温、湿度。使用无创机械通气时应做好患者的健康教育,教会患者用鼻吸气,压力设置从低到高,逐渐达到目标值,最大化提高人机配合度,密切观察患者的意识情况及呼吸功能的改善情况。建立人工气道的患者应使用密闭式吸痰管吸痰,减少病毒播散,同时佩戴护目镜或防护面屏,避免职业暴露。
7.3.3 特殊治疗护理
如患者出现中重度ARDS,需采取有创机械通气联合俯卧位治疗,应遵循俯卧位标准操作流程,采取轴翻的方式变换体位,同时要预防压疮、坠床、管路滑脱、眼部受压等并发症。使用 ECMO治疗的患者应严密监测氧合器的性能,观察氧合器的凝血情况,如氧合器颜色变深提示可能存在凝 血情况,应报告医师,酌情调节肝素剂量,必要时重新更换氧合器。应动态监测凝血功能,包括凝血象及弥散性血管内凝血(DIC)全套、活化部分凝血活酶时间等,密切观察患者有无出血征象,如皮肤黏膜有无 青紫,鼻腔、口腔有无出血,是否有血性痰液,是否有尿血、便血,腹部是否有膨隆、移动性浊音,双侧瞳孔是否等大等。应确保ECMO管路连接紧密,固定牢靠,预防空气栓塞和管路滑脱。
7.3.4 感染预防
做好患者的口腔护理、皮肤护理、各种留置管路的护理、大小便护理等,严格执行无菌操作及消毒隔离规范,预防呼吸机相关性肺炎、导管相关性血流感染、导尿管相关性尿路感染及其他继发感染等。
7.3.5 营养支持
动态评估患者的营养风险,及时给予营养支持。能经口进食者推荐进食高蛋白、含碳水化合物的饮食。不能经口进食、无肠内营养禁忌证者应尽早开放肠内营养。不能开放肠内营养者及时给予肠外营养,力争尽快达到目标能量。
7.3.6 心理护理
对清醒患者应高度重视心理护理及人文关怀,可采用积极心理学如正念减压等手段,缓解患者焦虑、恐慌的情绪,树立战胜疾病的信心。
本快速建议指南具有以下局限性:第一,时间紧迫,不能充分考虑所有临床问题。第二,所查找获得的证据存在较大的间接性。第三,因为部分推荐意见基于现有参考指南和专家经验的证据,故有低质量证据或极低质量证据产生强推荐的情况,因此当高质量的依据出现后,这些强推荐很可能需要修改。
致谢:本指南感谢武汉大学中南医院新型冠状病毒感染肺炎防治课题组的所有成员,感谢所有纳入证据的作者们,感谢Military Medical Research编辑部老师们辛勤工作,感谢南京中医药大学针灸推拿学院针灸临床教研室陈昊博士给予的帮助。
顾问专家组:王行环,王永炎,黄璐琦,曾宪涛,赵剡,林丽开。共识专家组(按姓氏首字母排序):蔡林,程真顺,程虹,范逸品,胡波,胡芬,李一荣,梁科,马晶,彭志勇,潘运宝,潘振宇,孙慧敏,韦超洁,吴东方,夏剑,熊勇,徐海波,袁玉峰,张笑春,张莹雯,张银高,张华敏。
证据综合组(按姓氏首字母排序):邓通,方程,黄笛,黄桥,李柄辉,罗丽莎,马琳璐,王云云,翁鸿,赵明 娟,訾豪。
方法学专家:靳英辉,姚晓梅(加拿大),任学群。秘书:王莹,韩勇。
撰写组:靳英辉,曾宪涛,全体证据综合组成员。
伦理批准:不适用。利益冲突声明:所有参与人员均没有与本指南所推荐方案直接相关的利益冲突。
附1 武汉大学中南医院新型冠状病毒感染的重症患者案例分析
1 病例救治经过
1.1 患者入院经过
患者,男,52岁,既往有高血压病史。自2019年12月1日以来,在黄冈长期从事菜市场贩卖海鲜工作,无华南海鲜市场工作及接触史。3 d前从菜市场返家后出现寒战、发热,体温最高 39.0℃,伴干咳。在当地医院治疗3 d后行肺部CT检查,提示双肺为磨玻璃样改变。患者临床表现为呼吸困 难、言语不连续,面罩给氧流量8~10 L,指脉氧维持在92%~94%,血气分析SpO2 66%、PCO2 43 mmHg。
当地医院考虑:重症肺炎、Ⅰ型呼吸衰竭,转至我院后查血淋巴细胞明显降低,胸部CT提示双肺散在多发条片、细网格样磨玻璃密度影,经多学科会诊后,考虑病毒性肺炎收治入院,入院后检测冠状病毒核酸(+),给予抗病毒、激素等对症支持治疗。本次患者因“发热3 d”于2020年1月5日晚收治急诊隔离病房。
1.2 患者在我院诊疗经过概述
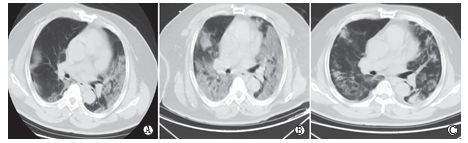
入院后予以抗病毒治疗,予以传统氧疗进行呼吸支持,但病情呈进展趋 势。入院第3天,患者出现呼吸困难及憋喘症状加重,伴血氧饱和度下降至65%,呼吸频率在40次/min以 上,无创通气1 h无改善,指脉氧维持在80%~85%,血气分析SpO2 56%、PCO2 61 mmHg,然后行气管插管 连接呼吸机辅助通气,复查CT(图1)提示:双肺病变斑片明显增大并出现双肺部大部分实变,俯卧位通气等复查CT明显进展,遂气管插管行有创机械通气,采取肺保护性通气策略,联合俯卧位通气但效果仍不明显,出现二氧化碳蓄积(PaCO2 75 mmHg)。

图1 患者肺部CT影像学变化
A. 2020年1月5日;B. 1月7日;C. 1月21日
诊疗团队立即行ECMO上机指征评估及生存率RESP评估。危险评级为Ⅲ级,生存率约为57%,与家属沟通后行ECMO治疗,武汉大学中南医院急危重症移动ECMO支持中心团队于20 min内成功上机运转。
VV-ECMO运行(图2)后,ECMO管理团队进行常规抗凝、氧流量、血流量、血氧(膜前、膜后)等监测,逐步降低ECMO支持氧浓度,每日复查床边胸片,5 d后关闭ECMO氧流,观察6 h,评估撤机指征,患者氧合可维持正常,予以拔管撤机。呼吸机维持治疗,次日评估呼吸机参数后,行呼吸机撤机试验,拔除气管插管,患者神志清醒,后逐步下床活动无障碍,鼻导管吸氧氧流量维持在2~3 L,氧合维持正常,至第7天成功撤离ECMO,第8天清醒后撤离呼吸机,第12天转出ICU,转入感染科继续隔离观察,复查新型冠状病毒(2019-nCoV)核酸2次阴性,第20天考虑治愈予以出院。

图2 VV-ECMO上机过程
2 病例成功救治经验分享
2.1 及时复查肺部影像学是病情评估必不可少的手段
新型冠状病毒感染的肺炎进展迅速,有时影像学进展与症状严重程度并不一致,需及时复查肺部CT或X线,一般为3 d左右,病情变化时应随时复 查。该患者入院3 d出现呼吸困难和憋喘,复查CT 显示感染明显加重,为ECMO的早期评估奠定了基础。
2.2 ECMO的早期评估及运用是危重症病毒性肺炎的重要治疗手段
如该病例,危重症患者肺部病灶面积广、感染重,可能迅速导致呼吸及循环衰竭,一般氧疗支持效果差时,ECMO团队的早期评估、迅速集结和及时上机时机很重要。治疗及时可避免缺氧带来的多器官功能衰竭,极大地改善了患者的预后。ECMO上机后需及时调整支持力度,每日仔细评估撤机指征,争取早日撤机以减少并发症,该患者上机5 d后及时拔管撤机,未出现出血、血流感染及肢体缺血等并发症。
2.3 抗凝管理是ECMO正常运行的关键
该患者ECMO期间采用肝素抗凝,密切监测凝血功能,做好抗凝管理,未出现全身及管道出血、凝血等并发症。
2.4 做好个人防护是医护人员自我保护的重要保障
防护设备的穿戴为ECMO上机时的穿刺置管带来了一定困难,ECMO患者吸痰、翻身等护理操作会导致体液飞溅,增加医护人员的暴露风险,尤其是呼吸机排气、ECMO的排气孔均可能导致医护人员暴露,因此,医护人员应做好个人防护,减少感染。
本病例中有护理该患者的护士感染,这是一个惨痛的教训。
附2 新型冠状病毒感染的肺炎医院救护经验与教训
1 病例在发现并集中时应立刻响应医院的应急方案,从组织、信息、流程、诊疗、救治、防控、保障等迅速反应。
在此次事件中,应急反应能力及形势判断能力应该是大型公立医院的必备能力。医院应有一套较为完 整的应急预案,应急预案从组织架构、信息对接、流程梳理、诊疗救治、感染防控、后勤保障等均应该有 迅速的反应能力及流畅的渠道。
2 标准预防原则,尤其是非隔离区域医务人员的防护措施保障。
在此次事件中,尚不明确传染源及病毒传染力的时候,应该在全院内强制要求标准预防,尤其是非隔离区医务人员标准预防的执行。这是在早期预防医务人员感染的重要途径之一。
3 对潜伏期疑似患者应引起足够重视。
在此次事件中,后期呈现出社区爆发现象,因患者潜伏期较长,起初症状不明显,医务人员容易忽视,在无标准预防的情况下,极易发生职业暴露。因此,对发热患者可以扩大初筛范围,对处于潜伏期的疑似患者应引起足够重视。
4 对医务人员的防护应行及时、充分必要的培训。
突发公共卫生事件到来,医务人员需要紧急培训,培训内容包括但不限于流程、救治及个人防护。培训可以根据梯队进行,优先对重点科室、高风险科室进行培训,随后扩大培训范围至全院。
5 对患者应给予及时、充分必要的科普宣教。
在疫情来临时,患者往往出现焦虑情绪,应通过多种方式对患者进行科普宣教,尤其是个人防护、居家隔离及咳嗽礼仪等。宣教形式可以为候诊区域的多媒体,也可以采用微信推送等。
6 保证后勤保障物资通道顺畅。
在疫情发生后,后勤物资保障应响应预案,根据形势判断物资需求量,尽可能多的提前准备物资。在物资供应时,须及时梳理流程、建立工作小组以确保物资供应充足。
7 常规治疗 包括氧疗、抗病毒药物、抗菌药物、糖皮质激素及对症治疗。
7.1 氧疗
轻症患者给予鼻导管吸氧,重症患者给予高流量(20 L/min)鼻导管吸氧,氧浓度40%开始,并 根据氧合调整;危重症患者行气管插管、有创呼吸机辅助通气,VCV模式,根据血气监测结果调整呼吸机 参数。
7.2 抗病毒药物选择
早期使用奥司他韦+炎琥宁,近期加用洛匹那韦/利托那韦。
7.3 抗菌药物的选择方案
①阿莫西林、氟氯西林+莫西沙星;②头孢曲松他唑巴坦+莫西沙星;③比阿培南+莫西沙星。若患者持续发热不缓解,复查血象提示白细胞及中性粒细胞比值、降钙素原明显升高时,考虑将莫西沙星更换为利奈唑胺或万古霉素,抗生素使用时间过长时注意真菌感染,必要时行真菌检测及培养,及时加用抗真菌药物。
7.4 糖皮质激素
重症患者早期使用糖皮质激素,根据病情严重程度及体重选择甲强龙40~80 mg,常规3 d减量,疗程一般为5 d,根据病情及影像学表现酌情延长疗程。
8 疾病进展较快,应密切观察、复查指标、调整治疗方案。
需密切关注患者生命体征变化(尤其是呼吸频率与血氧饱和度),常规3 d复查肺CT及血常规、电解 质、降钙素原等相关化验指标评估病情,及时调整治疗方案,病情发生变化时及时与家属沟通病情。
9 疑似患者可居家隔离。
在医院资源告急、排查患者较多时,建议轻、中度疑似患者在家自行治疗及隔离,不去医院排队候诊,以免增加被传染的机会,从疑似变成真正的患者。确诊患者激增时,对于年轻且无明显基础疾病的轻 症患者也可以居家隔离,并应遵医嘱服药,一般经常规药物治疗及充分休息后,转归及预后相对较好。
参考文献(略)
来源:解放军医学杂志,2020,45(1):1-20.
后可发表评论
相关推荐
1
雾化吸入疗法在呼吸疾病中的应用专家共识
4.9w
2
【规范与指南】人感染H7N9禽流感诊疗方案(2017年第一版)
3.4w
3
【最新】新型冠状病毒肺炎诊疗方案-试行第五版
2.6w
4
雾化吸入疗法合理用药专家共识(2024版)
2.3w
5
重磅 | 急性呼吸窘迫综合征患者机械通气指南(试行)(一)
1.8w
6
成人体外膜肺氧合技术操作规范(2024年版)
1.8w
7
儿童肺炎支原体肺炎诊疗指南(2023年版)
1.6w
8
2015新版GOLD COPD指南摘译和解读
1.6w
9
成人气管切开拔管中国专家共识
1.5w
10
【指南共识】2014年欧洲危重病医学会休克及血流动力学监测共识
1.4w
友情链接
联系我们
公众号
客服微信