作者:上官红
单位:山东大学齐鲁医院呼吸与危重症医学科
急性呼吸衰竭是某些突发的致病因素, 如严重肺疾病、创伤、休克、电击、急性气道阻塞等, 使肺通气和/或换气功能迅速出现严重障碍, 短时间内即可发生呼吸衰竭。急性呼吸衰竭病情凶险, 因机体不能很快代偿, 若不及时治疗, 可迅速导致全身多脏器功能损害, 甚至危及患者生命。俯卧位通气常用于插管的有创机械通气患者, 其在COVID-19流行期间得到了广泛应用, 尤其在急性呼吸衰竭应用方面积累了丰富的经验。
俯卧位通气是指患者保持俯卧姿势进行呼吸治疗,通过改变体位来改善肺部通气和灌注情况,从而缓解呼吸衰竭症状。1974年,Bryan首次提出俯卧位通气可以改善麻醉患者肺通气功能。1976年首次报道了急性呼吸窘迫综合征(ARDS)患者的俯卧位,描述了患者从仰卧位转为俯卧位后氧合的显著改善。
在实施清醒俯卧位治疗时,需要确保患者处于清醒状态,能够自主调整呼吸和体位。医护人员应密切监测患者的生命体征和呼吸状况,及时调整治疗方案。
研究清醒俯卧位是为了探讨其在急性呼吸衰竭中的应用效果,分析其对患者呼吸功能、血流动力学及预后的影响,为临床提供新的治疗思路和方法。急性呼吸衰竭是临床常见的危重症之一,其治疗难度大、病死率高。对清醒的急性呼吸衰竭患者实施俯卧位治疗,可以显著改善其氧合,降低气管插管率,延缓疾病恶化,降低死亡风险。
研究发现,急性呼吸衰竭患者每天俯卧位时间超过18 h,氧合指数较平卧位时明显上升。俯卧位改善氧合的机制主要在于:①减少肺泡萎陷:俯卧位有助于使塌陷的肺泡复张,增加肺泡的通气量,提高肺部的氧合效果;②改善通气/血流比例,减少分流:俯卧位可使肺组织在胸腔内的位置发生变化,改善肺重力依赖区的通气血流比例,减少分流及无效腔气量;③减少肺压迫:俯卧位可使心脏压迫在胸骨上,从而消除心脏对背侧肺区域的压力;④形状匹配:由于胸腔(圆柱形)和肺(锥形)之间的形状差异,腹侧肺(锥形的较小部分)扩张以适应更宽的胸腔,导致更大的肺泡扩张,背侧肺(锥形的较大部分)受到压缩,导致更小的肺泡单位,这被称为形状匹配效应。仰卧位时,形状匹配和重力的作用叠加,促进背侧肺的过度扩张。
一项来自墨西哥的临床研究纳入827例非插管COVID-19患者,其中清醒俯卧位505例,仰卧位322例,俯卧位组森林图显示清醒俯卧位可降低患者的气管插管率。来自我国的一项临床研究纳入79例COVID-19患者,其中10例为重症COVID-19患者,均接受早期清醒俯卧位联合经鼻高流量氧疗(HFNC),俯卧位时间>16 h或最大耐受时间。结果显示:清醒俯卧位后患者氧合指数明显改善,所有患者的病情均未进展至危重症或需要气管插管。由此可见,清醒俯卧位延缓了疾病的恶化。5项全国性随机、对照、开放标签试验纳入1126例COVID-19所致急性呼吸衰竭患者,随机分配到清醒俯卧位组的564例患者中有223例(40%)和随机分配到标准护理的557例患者中的257例(46%)在入组后28 d内出现治疗失败(插管或死亡)的主要终点。所以,清醒俯卧位也降低了死亡风险。(1)SpO2/FiO2≤315或PaO2/FiO2≤300 mmHg。(2)未经氧疗情况下,SpO2≤0.93,或氧流量≥3 L/min但不需要机械通气;呼吸频率>30次/min或心率>120次/min。(3)经鼻导管、氧气面罩、非重复呼吸面罩或无创正压通气进行氧疗的患者,FiO2达0.3~0.6,SpO2>0.94。(4)ARDS患者肺部影像:有双侧重力依赖区浸润影表现。(5)患者意识清楚,能自主翻身或配合翻身,可自主识别不适及在最少帮助下改变体位,且能在呼吸窘迫时进行呼救。(6)清醒孕妇妊娠4~8周,在对孕妇姿势和胎儿监测下可使用俯卧位治疗。(1)绝对禁忌证:①创伤:不稳定的颈椎、胸椎、腰椎、骨盆、颅骨等骨折;②面部:颌面部严重创伤、骨折;眼压升高或眼科手术≤15 d;③神经系统:高颅内压、脑水肿、癫痫频繁发作或精神状态改变。(2)相对禁忌证:①循环系统:血流动力学不稳定(心率≤40次/min或≥130次/min);疑似心肌梗死;应用血管活性药物后平均动脉压≤65 mmHg或≥110 mmHg;心脏起搏器植入≤2 d,主动脉内球囊泵。②气道:气道管理困难、咯血、气管切开术≤24 h。③腹部:妊娠中晚期、腹部严重扩张、腹部软组织损伤。④肌肉骨骼:胸壁异常(如胸廓创伤)、脊柱后凸畸形或晚期关节炎。⑤体重指数>40 kg/m2或体重>135 kg。⑥存在明显的肺栓塞高危风险;治疗深静脉血栓≤2 d。⑦其他:无他人帮助时无法自主调整位置或不能耐受俯卧位姿势;相关部位存在严重压力性损伤。
图源:中华传染病杂志, 2022, 40(9):513-521.
2023年发表在Crit Care Med 杂志的一项多中心研究纳入1126例COVID-19所致急性呼吸衰竭患者,其中567例患者接受了清醒俯卧位。结果显示:每天清醒俯卧位累计时间>8 h的患者获益明显增加。《非气管插管患者清醒俯卧位实施策略中国专家共识(2023)》推荐: 清醒俯卧位的持续时间应根据患者氧合改善和耐受情况调整, 最短持续30 min, 最长可达4 h, 每天可重复2~4次, 建议每天总治疗时间尽可能>12 h。
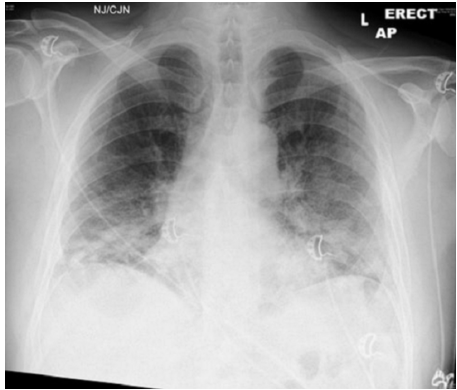
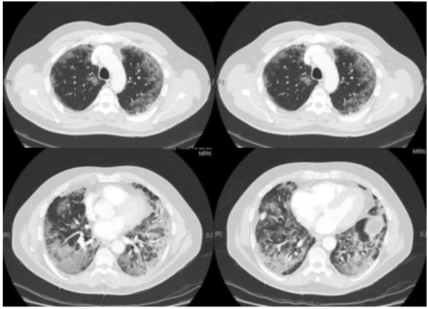
病例1::60岁男性,不吸烟,无其他疾病病史。感染新冠病毒后胸闷憋喘,遂至医院急诊就诊,测指氧饱和度为88%,动脉血气分析(FiO2 35%):pH 7.50,PaO2 51 mmHg,PaCO2 31.5 mmHg,HCO3- 26.6 mmol/L,BE 2.5 mmol/L,Lac 2.2 mmol/L。胸片示双下肺广泛磨玻璃影(图2)。入院1天后,患者氧合下降明显,需氧量增加,完善CT肺动脉造影(CTPA)检查未发现肺栓塞,广泛的磨玻璃改变及小叶间隔增厚(图3)。予地塞米松6 mg/d;病房清醒俯卧位,时间超过18 h/d,仰卧位时,患者反复出现低至82%的血氧饱和度,在不改变吸氧浓度情况下继续俯卧位,就能将其纠正至94%。患者最终好转出院,出院时血氧饱和度达到95%。病例2::35岁男性,轻度持续性哮喘、肥胖、阻塞性睡眠呼吸暂停(OSA)病史,因胸闷憋喘3 d入院,无发热、咽痛等不适。入院后因氧合不能维持行气管插管,同时予静脉糖皮质激素、利尿、扩张支气管治疗,7 d后顺利拔管。拔管后出现需氧量上升,但无其他感染征象及证据,氧合指数80 mmHg,吸氧浓度约80%。由于焦虑及不适,患者俯卧位仅能持续5 min,予阿普唑仑和俯卧位后,患者第2天可俯卧位2 h,俯卧位1 h时,吸氧量可将至40%,且在仰卧位后需氧量未再增加。
病例3::42岁男性,无慢性病史,因“发热、咽痛1周”入院,入院后查SpO2 88%(未吸氧),新冠病毒核酸阳性,胸部影像学示双肺斑片状浸润影。入院时说话成句,鼻导管吸氧2 L/min时,SpO2>90%。予羟氯喹和阿奇霉素治疗,患者需氧量增加,应用HFNC(FiO2 50%,30 L/min)效果差,FiO2逐渐升至70%。俯卧位数小时后,SpO2由92%升至98%,FiO2降至50%,间断俯卧位3 d后,患者可应用鼻导管吸氧3 L/min。
清醒俯卧位能有效改善患者的氧合状况,增加肺泡通气量,从而提高血氧饱和度,缓解呼吸衰竭症状。通过清醒俯卧位,患者能更好地配合呼吸治疗,减少呼吸机使用时间,降低呼吸机相关并发症的发生风险。患者采用清醒俯卧位后,由于呼吸功能得到改善,能够更好地进行日常活动,提高生活质量。清醒俯卧位有助于患者更快地恢复呼吸功能,加快康复进程,缩短康复时间,从而减少住院天数。采用清醒俯卧位能够降低患者并发症的发生风险,如肺部感染、呼吸机相关性肺炎等,进一步缩短住院时间。由于住院时间的缩短和并发症的减少,患者所需支付的医疗费用也会相应降低,减轻了经济负担。清醒俯卧位作为一种舒适且有效的治疗方式,能够提升患者对医疗服务的满意度。采用清醒俯卧位治疗急性呼吸衰竭,有助于医院更合理地分配医疗资源,如呼吸机、床位等,提高医疗资源的利用效率。此外,清醒俯卧位的应用需要多学科团队的协作,包括呼吸科、重症医学科、护理团队等,这种协作模式有助于提高医疗服务质量和效率,促进多学科协作。清醒俯卧位在急性呼吸衰竭中的应用尚存在一些争议。北美一项随机试验纳入15家医院257例清醒的COVID-19所致急性呼吸衰竭患者,将其分配接受俯卧位(126例)或标准治疗(122例),两组的临床结局相似,包括死亡率、机械通气需求和呼吸衰竭恶化。卡塔尔一项临床研究纳入61例COVID-19急性呼吸衰竭患者,31例行清醒俯卧位,30例设为对照。结果显示两组的主要研究终点无差异,清醒俯卧位组7例(22.6%)患者和对照组9例(30.0%)患者需要增加氧支持[OR 0.68(0.22~2.14),P=0.51]。两组的任何次要研究终点(气管插管和机械通气、入住ICU、ICU住院时长、总住院时长、30 d存活率)均无显著差异,清醒俯卧位并未改善氧合。所以,清醒俯卧位可能适用于部分急性呼吸衰竭和氧合不佳的患者,一种治疗方式并非适用于所有患者,所以不同研究得出的结论可能不一,个体化的临床评估非常重要。对于清醒俯卧位,我们也要仔细判别这些循证研究中纳入患者的自身特点、感染情况、共患病、心肺功能等。在给患者选择清醒俯卧位时,有更多的临床考量,患者是否能有更多获益。清醒俯卧位当前面临的主要挑战:①患者依从性:清醒俯卧位需要患者主动配合,但在急性呼吸衰竭情况下,患者可能因不适或恐惧而难以保持俯卧姿势。②医护人员技能:实施清醒俯卧位需要医护人员具备专业的技能和经验,以确保操作正确且安全,相关培训和教育仍需加强。③监测与评估:在清醒俯卧位治疗过程中,对患者呼吸、循环等生理指标的实时监测和评估至关重要。然而,现有的监测手段可能存在一定的局限性和误差。针对上述问题的改进建议:①针对患者依从性问题,可以通过加强患者教育、心理支持和舒适度管理来提高患者依从性。同时,医护人员应密切关注患者反馈,及时调整治疗方案。②针对医护人员技能问题,建议加强相关培训,提高对清醒俯卧位操作的熟练度和准确性。此外, 可以制定标准化的操作流程和指南, 以便医护人员参考和执行。③针对监测与评估问题, 可以引入更先进的监测设备和技术, 提高数据的准确性和可靠性。同时, 加强对监测数据的解读和分析能力, 以便及时发现潜在问题并采取相应干预措施。
清醒俯卧位可通过减少肺泡萎陷、改善通气/血流比例,减少分流、减少肺压迫等机制改善急性呼吸衰竭患者的氧合。目前多数的循证医学证据支持清醒俯卧位可以降低气管插管率,延缓疾病恶化,降低死亡风险。临床医生应掌握清醒俯卧位的适应证和禁忌证,确保清醒俯卧位安全、有效的实施。需要注意的是,清醒俯卧位在急性呼吸衰竭中的应用尚存争议,仍需要进一步探索。
[1] Froese AB, Bryan AC. Effects of anesthesia and paralysis on diaphragmatic mechanics in man[J]. Anesthesiology, 1974, 41(3):242-255. [2] Piehl MA, Brown RS. Use of extreme position changes in acute respiratory failure[J]. Crit Care Med, 1976, 4(1):13-14. [3] Guérin C, Albert RK, Beitler J, et al. Prone position in ARDS patients: why, when, how and for whom[J]. Intensive Care Med, 2020, 46(12):2385-2396. [4] Scholten EL, Beitler JR, Prisk GK, et al. Treatment of ARDS With Prone Positioning[J]. Chest, 2017, 151(1):215-224. [5] Paul V, Patel S, Royse M, et al. Proning in Non-Intubated (PINI) in Times of COVID-19: Case Series and a Review[J]. J Intensive Care Med, 2020, 35(8):818-824. [6] Koulouras V, Papathanakos G, Papathanasiou A, et al. Efficacy of prone position in acute respiratory distress syndrome patients: A pathophysiology-based review[J]. World J Crit Care Med, 2016, 5(2):121-136. [7] Paul V, Patel S, Royse M, et al. Proning in Non-Intubated (PINI) in Times of COVID-19: Case Series and a Review[J]. J Intensive Care Med, 2020, 35(8):818-824.[8]Perez-Nieto OR, Escarraman-Martinez D, Guerrero-Gutierrez MA, et al. Awake prone positioning and oxygen therapy in patients with COVID-19: the APRONOX study[J]. Eur Respir J, 2022, 59(2):2100265.[9] 上海市新型冠状病毒肺炎临床救治专家组. 新型冠状病毒肺炎患者俯卧位治疗上海专家建议[J]. 中华传染病杂志, 2022, 40(9):513-521.[10] 米元元, 蔡喆燚, 刘静, 等. 非气管插管患者清醒俯卧位实施策略中国专家共识(2023)[J]. 中华危重病急救医学, 2023, 35(4):337-351.[11] Danzer E, Massey SL, Flohr SJ, et al. Extracorporeal Membrane Oxygenation for Neonates With Congenital Diaphragmatic Hernia: Prevalence of Seizures and Outcomes[J]. Pediatr Crit Care Med, 2023, 24(5):e224-e235.[12] Whittemore P, Macfarlane L, Herbert A, et al. Use of awake proning to avoid invasive ventilation in a patient with severe COVID-19 pneumonitis[J]. BMJ Case Rep, 2020, 13(8):e236586. [13] Harris TRE, Bhutta ZA, Qureshi I, et al. A randomised clinical trial of awake prone positioning in COVID-19 suspects with acute hypoxemic respiratory failure[J]. Contemp Clin Trials Commun, 2024, 39:101295.
山东大学齐鲁医院呼吸与危重症医学科副主任,医学博士,主任医师;2004—2006年瑞典卡罗林斯卡医学院访问学者;中华医学会呼吸病学分会危重症学组委员;中国医师协会呼吸医师分会危重症医学工作委员会委员 ;山东省医师协会呼吸介入医师分会副主任委员;山东省抗癌协会肺癌分会副主任委员;山东省医学会教育技术分会副主任委员;山东省临床肿瘤学会非小细胞肺癌副主任委员;山东省医学会肺结节多学科联合委员会副主任委员。
