登录方式

方式一:
PC端网页:www.rccrc.cn
输入账号密码登录,可将此网址收藏并保存密码方便下次登录

方式二:
手机端网页:www.rccrc.cn
输入账号密码登录,可将此网址添加至手机桌面并保存密码方便下次登录

方式三:
【重症肺言】微信公众号
输入账号密码登录

注:账号具有唯一性,即同一个账号不能在两个地方同时登录。

登录
方式

为重症救治赋能

为患者康复加速

当前位置:首页 脏器支持 气道管理

肥胖ARDS患者机械通气策略与问题分析

胡琼琼 中日医院呼吸与危重症医学科 发布于2025-03-19 浏览 3212 收藏

作者:胡琼琼

单位:中日医院呼吸与危重症医学科


图片
一、病情介绍


一般情况
患者男性,15岁,学生,身高185 cm,体重145 kg,体重指数(BMI)42.4 kg/m2(Ⅲ级肥胖)。
图片
图1   肥胖程度分级
现病史
1周前无明显诱因出现发热、干咳,体温最高40℃,伴腹泻水样便,进食后恶心、呕吐,伴胸闷、憋气,呼吸频率增快,无胸痛、夜间阵发性呼吸困难,夜间可平卧。
5天前患者就诊于外院。病原学:肺炎支原体IgM(+)。胸部CT:双肺炎症,考虑“肺部感染”。
2天前复查胸部CT:双肺磨玻璃影较前进展,遂至我院急诊。心梗四项:肌红蛋白538 ng/ml,CK-MB 6.96 ng/ml,肌钙蛋白0.015 ng/ml,NT-proBNP 60 pg/ml。血常规+PCT+CRP:WBC 8.26×109/L,NEU 7.22×109/L,LYM 0.8×109/L,PCT 1.0 ng/ml,CRP 99.87 mg/L。心脏超声:左房轻度扩大,左室稍大,主肺动脉稍宽,左室射血分数(LVEF)正常范围内。
既往史
4年前及1年前因“心肌炎”两次住院,余无特殊。
入院查体
T 39.3°,RR 25次/min,SpO2 99%(流量40 L/min,FiO20.6),BP 141/86 mmHg,HR 106次/min;体型肥胖,发育正常,神志清楚,查体合作;胸廓无畸形,呼吸运动正常,肋间隙正常,未闻及杂音或额外心音,双肺可闻及干/湿啰音,双下肢无水肿。
入院诊断
肺部感染;Ⅰ型呼吸衰竭;心肌损伤;电解质紊乱(低钾血症、低钠血症);肝功能异常。
病情变化
入院当天,咽拭子呼吸道病毒核酸12联显示腺病毒阳性。夜间患者突发畏寒、寒战、憋喘明显,烦躁不配合,有幻视现象。
查体:T 37.8°,双肺干/湿啰音,皮肤花斑,四肢厥冷,HR 120次/min,BP 142/116 mmHg,RR 40次/min。急查血气:PaO2 80.9 mmHg,PaCO2 31.9 mmHg,SaO2 97.2%,HCO3- 24.1 mmol/L,Lac 0.7 mmol/L,PFR 101 mmHg(HFNC 60 L/min,FiO2 0.8)。予气管插管转入MICU。
入科诊断
重症社区获得性肺炎(腺病毒);ARDS;Ⅰ型呼吸衰竭;心肌损伤;电解质紊乱,低钾血症,低钠血症;肝功能异常。
完善检查
支气管镜下可见双肺气道黏膜充血红肿,少量白色稀薄分泌物。BALF NGS回报:人腺病毒7型(序列数50754)。
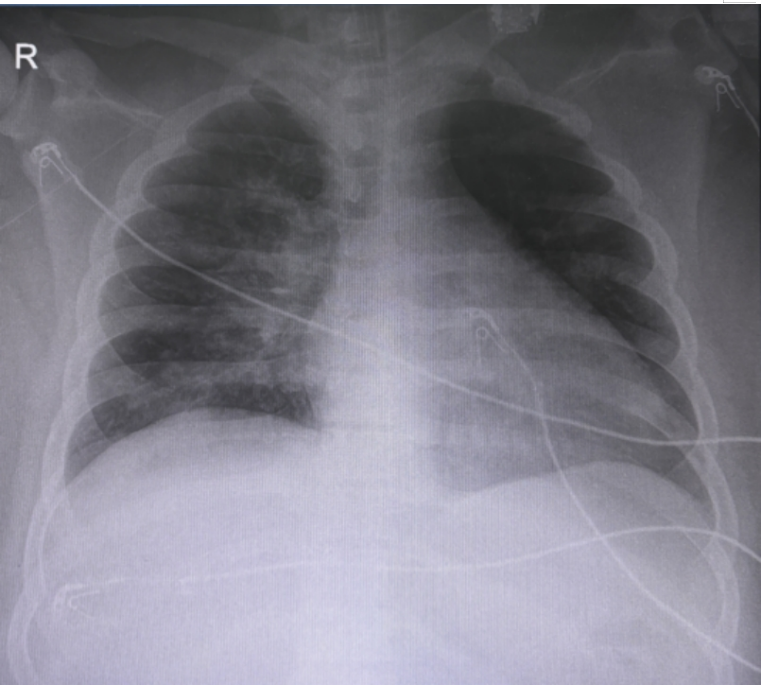
患者入MICU后胸片提示双肺炎症渗出为主(图2)。胸部CT示大面积实变,以重力依赖区为主(视频1)
图片
图2  患者入MICU后胸片



            


视频1. 患者入MICU后胸部CT


图片
二、插管后呼吸治疗


问题一:患者出现严重低氧的原因是什么?肥胖ARDS患者病理生理特点有哪些?
结合患者胸部CT和胸片可以发现,患者的肺容积明显下降,膈肌较正常人上移,双肺重力依赖区大面积实变。流行病学数据表明,肥胖患者较体重正常患者更容易患ARDS, 这往往与肥胖患者的病理生理学特点相关,图3总结了肥胖患者病理生理特点及低氧的原因。
图片


图3  肥胖患者低氧的病理生理特点


问题二:插管后 vs. 插管前,氧合指数进一步下降?
患者插管后机械通气, 适当镇静镇痛, PCV模式。FiO2 1, PEEP 12 cmH2O,PFR 73.3 mmHg。患者氧合指数较插管前进一步下降。
2017年有文献报道,对于肥胖患者,插管后给予镇静镇痛药物或肌松药物后,功能残气量(FRC)会进一步下降图4。FRC下降会导致气道关闭和肺不张形成,从而导致区域V/Q比失调及分流增多,最终的表现形式则是患者氧合进一步恶化。
图片
图4  不同临床情境下同一患者在EIT下的通气分布
为改善患者的氧合,呼吸治疗师立即给予患者行床旁肺复张(PCV法,最高PEEP 25cmH2O)+PEEP滴定,后根据最佳氧合法滴定PEEP为16 cmH2O,FiO2降至90%,PFR升高至126.6 mmHg(表1)
表1  患者呼吸支持及监测指标
图片
问题三:如何更精细地为肥胖ARDS患者设置机械通气参数?
患者插管、镇静镇痛、肺复张、PEEP滴定后,氧合改善依旧不够明显,患者仍旧存在低氧,潮气量偏大,如何优化呼吸机参数呢?
(1)关于氧合的改善
我们对患者进行了几种方法的肺可复张性评估,分别是:电阻抗成像(EIT)法、R/I等。
EIT法:在PEEP下降过程中(20→15→5 cmH2O),重力依赖区明显塌陷。黄色部分代表区域通气延迟比例(RVD)。当PEEP在20 cmH2O时,重力依赖区的肺通气区域明显增加,RVD明显增高(图5)。而RVD之所以增高,是因为在PEEP为20 cmH2O时,重力依赖区的肺泡处于没有完全张开的不稳定状态,所以该区域的时间常数相对于其他区域的时间常数是增加的,这也提示我们,之前滴定的16 cmH2O不足以打开患者重力依赖区的肺泡。
图片


图5  不同PEEP水平下患者OD/CL情况


多种指标联合:在PEEP下降过程中(20→15→5 cmH2O),我们监测了患者呼吸力学的变化,SpO2下降,VR增加,PaO2下降图6。当PEEP由15 cmH2O下降至5 cmH2O时,我们测定了患者的R/I,计算值为1.31(cut off值>0.5)(表2)。随着PEEP下调,呼吸系统的顺应性下降,驱动压逐渐增高。上述均提示患者肺的可复张性较好。
图片


图6  患者呼吸力学相关指标变化情况


2  患者生命体征、血气等指标变化情况
图片
以上结果均说明患者的肺可复张性极好,为什么首次肺复张+PEEP滴定后氧合改善没有达到预期呢?结合患者的EIT结果,当PEEP为20 cmH2O时,重力依赖区的肺泡处于开放但没有稳定开放的状态,所以第一次肺复张的效果不佳,我们考虑患者肺复张的PEEP水平过低以及肺复张后设置的PEEP水平过低。查阅文献发现,对于肥胖患者而言,肺复张联合PEEP滴定可以明显改善重力依赖区的复张情况,但此类研究中肺复张的压力普遍偏高(例如:PEEP+PC=55 cmH2O维持10 s)。所以我们将肺复张压力从25 cmH2O增加到30~35 cmH2O,之后再次进行PEEP滴定。
肥胖患者常用的PEEP滴定方法有(基于对病态肥胖患者进行的研究):①EIT法:PEEP的最佳水平为15~18 cmH2O;②食道压(呼气末跨肺压):PEEP的最佳水平为20.7±4 cmH2O;③PEEP递减试验法:PEEP的最佳水平为21.3±3.8 cmH2O。另有文献显示肥胖患者的腹腔内压一般较高,设定PEEP时可以参考腹腔内压的一半。
由于患者镇静药物代谢比较快,EIT滴定PEEP的前提是患者没有自主呼吸,但此患者的自主呼吸难以完全抑制。因此我们选择通过食道压(跨肺压)滴定PEEP,结果为:20±2 cmH2O,PLe=±2 cmH2O。此次肺复张及PEEP滴定后,患者氧合明显升高,在相同SpO2下,FiO2降至0.6。
(2)关于呼吸驱动的监测
调整PEEP后,患者氧得到明显改善,此时监测患者的呼吸频率不快,但潮气量比较大(8~10 ml/PBW),食道压变化幅度较大(△Pes=32 cmH2O)>15 cmH2O,遂加强镇静镇痛,已到达目标小潮气量。尽管肥胖患者的体重较大,但关于潮气量的设置依旧是按照理想公斤体重来设置。对于肥胖ARDS患者呼吸机参数设置应延续ARDS的原则,采取肺保护性通气策略。但临床实际应用时,肥胖ARDS患者的呼吸机参数设置有其特殊性:肺可复张性好、PEEP水平较高、监测跨肺压优于驱动压。
肺可复张性好决定了相同目标潮气量下,患者的驱动压设定值受到PEEP水平的影响。但对于肥胖患者而言,监测跨肺驱动压的价值可能高于驱动压,尽管没有充分的证据表明这一点,根据既往研究报道,在肥胖患者中,生存者和死亡者的跨肺驱动压没有明显差异。也有文献表明,跨肺驱动压不能作为肥胖患者死亡的独立危险因素。在给予患者滴定合适的PEEP以及加强镇静镇痛之后,患者的潮气量达到了目标范围,监测到患者的食道压变化值(△Pes)以及跨肺驱动压均始终<15 cmH2O。但完全镇静镇痛后患者潮气量明显下降,PaCO2明显升高(41.3~73.2 mmHg)。患者由Ⅰ型呼吸衰竭转变为Ⅱ型呼吸衰竭。
问题四:如何为肥胖的机械通气患者选择合适的体位以改善通气?
对于机械通气患者,床头抬高可以预防呼吸机相关性肺炎(VAP)。既往文献显示,床头抬高后,患者腹内压明显增加,使胸壁顺应性变差。2013年发表在Intensive Care Med杂志的研究显示:床头抬高,重力依赖区呼气末肺容积(EELV)和PFR增加,呼吸系统顺应性整体下降。2024年Chest 杂志发表的一篇文献表明,与非肥胖患者相比,床头抬高后,肥胖患者的肺和呼吸系统顺应性下降,PFR改善不明显,PaCO2增高,VR增加。
本例患者分别抬高床头0°、30°、50°、60°,患者呼气末跨肺压明显增加,胸内压明显下降。因此从第4天开始,调整患者体位为床头抬高50°~60°。PEEP同时下调后,患者呼气末跨肺压变化不是特别明显图7。调整体位后,患者PaCO2和分钟通气量显著下降,这提示死腔减少(表3)。但患者氧合并未如文献描述那样有明显改善,这究竟是为什么?回顾2013年发表的文献发现,对于单纯ARDS患者,基线水平的PEEP为10 cmH2O,患者PFR不足100 mmHg,抬高床头可以使通气更加均一,因此该研究中患者PFR改善比较明显。在2024年Chest杂志发表的这项研究中,对于合并了肥胖的ARDS患者,PEEP 8 cmH2O,患者的基线PFR为130 mmHg,床头抬高后,PaCO2反而是增高的,VR也增高,这可能是由于PEEP给的不够高,没有改善肥胖患者的区域通气,只是原先过度充气的肺泡反而充气更多。
图片
7  床头抬高不同角度下患者的食道压指标变化


3  患者呼吸支持及血气分析情况

图片


图片
三、自主呼吸试验和拔管后的呼吸治疗


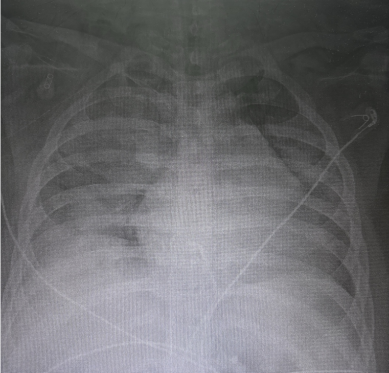
患者入科5天后复查胸片发现病变较前明显改善,肺容积明显增加,炎性渗出较前减少(图8)。感染指标整体下降,无发热(图9)。液体出入平衡(图10),循环稳定。
图片


8   复查患者胸片(2024-01-26)


图片


9   患者感染指标变化情况


图片


10  患者液体平衡情况


患者整体情况趋于好转,考虑拔管。2016年Crit Care杂志发表的一项研究表明,与其他方法相比,T管法和PSV法(PEEP=0和PS=0)时吸气努力和呼吸功最接近拔管后。在肥胖患者中,使用T管或PSV调0和PEEP调0进行脱机试验期间测量的吸气努力与拔管后吸气努力没有区别。相比之下,正压脱机试验低估了拔管后的吸气努力程度。2018年Am J Respir Crit Care Med 杂志上一篇关于肥胖患者SBT的病例报道,作者发现SBT时将PEEP调到5 cmH2O,患者的△Pes非常大,提示患者的呼吸驱动很强。此外,在EIT上出现了“钟摆效应”,最终患者SBT失败。这个病例提示我们,对于肥胖患者,SBT时强行将PEEP减到低水平,可能会导致肺泡塌陷,使呼吸功增加,最终导致SBT失败以及延迟拔管。该病例中作者后续通过食道压和EIT方法滴定了16 cmH2O PEEP,后患者SBT顺利通过(图11,视频2),最终成功拔管后序贯无创通气(NIVs)并于次日出院。
图片
图11   PEEPcmH2O和16 cmH2OSBT过程中△Pes变化
图片来源:Am J Respir Crit Care Med, 2018 Aug 15; 198(4):524-525.

    

视频2. PEEPcmH2O和16 cmH2OSBT过程中EIT的变化


视频来源:Am J Respir Crit Care Med, 2018 Aug 15; 198(4):524-525.
因此对于该患者,我们进行SBT时4并未将PEEP水平降至5 cmH2O,而是降至10 cmH2O,并在该过程中监测患者的△Pes,均在正常范围内,后患者顺利通过SBT,并成功拔管。


4   患者自主呼吸试验情况及相关指标


图片
肥胖患者拔管有一定的特殊性:①药物释放时间延长,应尽早停止镇静(较非肥胖患者);②SBT:缺少RCT研究支持,根据既往经验,患者拔管前一般有较高的PEEP水平,需要个体化监测。本例患者监测△Pes,将PEEP降至10 cmH2O,PS降至8 cmH2O,发现在SBT过程中,△Pes稍有增加,但仍在正常范围(表4)。③预防/治疗性NIV和HFNC可能有帮助。本例患者SBT成功,但其PEEP水平非常高,拔管后是直接过渡到鼻导管吸氧还是HFNC和NIV?2006年Eur Respir J杂志发表的文章显示,拔管后的前48小时内应用NIV能够降低拔管后呼吸衰竭的发生率(15.8%~7.2%)和再插管率(12.87%~7.2%)。但该研究的对照是NIV和普通氧疗。而现在临床应用时,更多比较的是HFNC。2022年Am J Respir Crit Care Med杂志发表了一项随机临床试验的事后分析,比较了NIV和HFNC交替使用以及单用HFNC,旨在根据患者BMI评估NIV效果。结果发现,拔管后的前48小时内应用NIV可以降低再插管率。
该患者在拔管后序贯NIV—采用床上坐位和床下坐位进行NIV。前48小时内,NIV的效果优于HFNC,患者的PFR和PaO2明显好转(表5)。患者在拔管2天后转到普通病房。1个月后复查胸部CT,可见双肺大面积实变明显吸收(视频3)


5  患者拔管后序贯NIV

图片

视频3. 撤机1个月后复查胸部CT


图片




   参考文献    

上下滑动阅览

[1] Jimenez JV, Weirauch AJ, Culter CA, et al. Electrical Impedance Tomography in Acute Respiratory Distress Syndrome Management[J]. Crit Care Med, 2022, 50(8):1210-1223. 
[2] Gattinoni L, Caironi P, Cressoni M, et al. Lung recruitment in patients with the acute respiratory distress syndrome[J]. N Engl J Med, 2006, 354(17):1775-1786.
[3] Reinius H, Jonsson L, Gustafsson S, et al. Prevention of atelectasis in morbidly obese patients during general anesthesia and paralysis: a computerized tomography study[J]. Anesthesiology, 2009, 111(5):979-987.
[4] Nestler C, Simon P, Petroff D, et al. Individualized positive end-expiratory pressure in obese patients during general anaesthesia: a randomized controlled clinical trial using electrical impedance tomography[J]. Br J Anaesth, 2017, 119(6):1194-1205.
[5] Pirrone M, Fisher D, Chipman D, et al. Recruitment Maneuvers and Positive End-Expiratory Pressure Titration in Morbidly Obese ICU Patients[J]. Crit Care Med, 2016, 44(2):300-307.
[6] Sarge T, Baedorf-Kassis E, Banner-Goodspeed V, et al. Effect of Esophageal Pressure-guided Positive End-Expiratory Pressure on Survival from Acute Respiratory Distress Syndrome: A Risk-based and Mechanistic Reanalysis of the EPVent-2 Trial[J]. Am J Respir Crit Care Med, 2021, 204(10):1153-1163. 
[7] Mauri T, Yoshida T, Bellani G, et al. Esophageal and transpulmonary pressure in the clinical setting: meaning, usefulness and perspectives[J]. Intensive Care Med, 2016, 42(9):1360-1373. 
[8] De Jong A, Cossic J, Verzilli D, et al. Impact of the driving pressure on mortality in obese and non-obese ARDS patients: a retrospective study of 362 cases[J]. Intensive Care Med, 2018, 44(7):1106-1114. 
[9] De Jong A, Verzilli D, Jaber S. ARDS in Obese Patients: Specificities and Management[J]. Crit Care, 2019, 23(1):74. 
[10] Cheatham ML, De Waele JJ, De Laet I, et al. The impact of body position on intra-abdominal pressure measurement: a multicenter analysis[J]. Crit Care Med, 2009, 37(7):2187-2190. 
[11] Dellamonica J, Lerolle N, Sargentini C, et al. Effect of different seated positions on lung volume and oxygenation in acute respiratory distress syndrome[J]. Intensive Care Med, 2013, 39(6):1121-1127. 
[12] Bihari S, Wiersema UF. Changes in Respiratory Mechanics With Trunk Inclination Differs Between Patients With ARDS With and Without Obesity[J]. Chest, 2024, 165(3):583-589. 
[13] Mahul M, Jung B, Galia F, et al. Spontaneous breathing trial and post-extubation work of breathing in morbidly obese critically ill patients[J]. Crit Care, 2016, 20(1):346. 
[14] Teggia Droghi M, De Santis Santiago RR, Pinciroli R, et al. High Positive End-Expiratory Pressure Allows Extubation of an Obese Patient[J]. Am J Respir Crit Care Med, 2018, 198(4):524-525. 
[15] El-Solh AA, Aquilina A, Pineda L, et al. Noninvasive ventilation for prevention of post-extubation respiratory failure in obese patients[J]. Eur Respir J, 2006, 28(3):588-595. 
[16] Thille AW, Coudroy R, Nay MA, et al. Beneficial Effects of Noninvasive Ventilation after Extubation in Obese or Overweight Patients: A Post Hoc Analysis of a Randomized Clinical Trial[J]. Am J Respir Crit Care Med, 2022, 205(4):440-449. 


    作者介绍    

图片

胡琼琼

中日友好医院呼吸与危重症医学科呼吸治疗师,毕业于四川大学呼吸治疗专业,从事呼吸治疗工作2年。主要研究方向:危重症患者呼吸支持与气道管理,肺电阻抗成像,参与发表SCI论文2篇,获实用新型专利1项。



全部评论 0
Copyright©2020-2026 北京医麦斯科技有限公司 版权所有 京ICP备2020034400号-1 京公网安备11010502043983号