登录方式

方式一:
PC端网页:www.rccrc.cn
输入账号密码登录,可将此网址收藏并保存密码方便下次登录

方式二:
手机端网页:www.rccrc.cn
输入账号密码登录,可将此网址添加至手机桌面并保存密码方便下次登录

方式三:
【重症肺言】微信公众号
输入账号密码登录

注:账号具有唯一性,即同一个账号不能在两个地方同时登录。

登录
方式

为重症救治赋能

为患者康复加速

当前位置:首页 脏器支持 有创通气

一例困难撤机患者的康复之路—先撤机 or 先拔管?

陶程 国家呼吸医学中心 中日友好医院 呼吸与危重症医学科 发布于2023-04-06 浏览 4677 收藏

作者:陶程

单位:国家呼吸医学中心 中日友好医院 呼吸与危重症医学科
图片

病情介绍

基本信息
患者,男性,53岁,退休,已婚。入院日期:2022年11月7日。
主诉
间断呼吸困难1年,加重伴发热、意识障碍15 d。
现病史
2021年7月,患者活动后感周身乏力、四肢无力,进行性加重,出现嗜睡、夜间阵发性呼吸困难,伴尿少、双下肢浮肿。就诊于当地医院,查血气分析示Ⅱ型呼吸衰竭,PaCO2最高可达100 mmHg,进一步经外院心脏超声示“双房大、左室厚,中心静脉压高”,心肌MR示“左室弥漫增厚”;腓肠神经活检示“重度轴索损害”,基因检查示BAG3杂合、DMD半合子、线粒体基因MT-TL1变异,肱二头肌病理示骨骼肌呈肌病样伴神经源性损害病理改变,外院结合病史及相关辅助检查诊断考虑“线粒体肌病、限制性心肌病”,经内科治疗病情好转出院,院外规律应用家庭无创通气治疗,监测PaCO2波动在60~70 mmHg,病情控制可。
2022年4月,患者自觉病情相对稳定,未继续规律进行家庭无创通气,感呼吸困难较前进行性加重,定期门诊复查PaCO2仍稳定在60~70 mmHg,未予重视。
2022年10月,患者无明显诱因出现胸闷、胸痛、呼吸困难加重,伴肢体无力,双下肢为著,无发热,就诊于北京某医院。血气分析示:pH 7.23,PaCO2 77 mmHg,PaO2 31 mmHg,TnI 1.82 ng/ml,诊断考虑“Ⅱ型呼吸衰竭,急性心肌梗死”,立即给予无创通气、抗栓及改善循环等对症治疗(具体不详)。后患者无明显诱因出现意识障碍,复测血气分析:pH 7.11,PaCO2 140 mmHg,PaO2 81 mmHg,Lac 4.8 mmol/L,予气管插管有创机械通气。外院治疗期间,患者有发热症状,体温最高达38.9℃,咳嗽、咳痰,为黄白黏痰,不易咳出,双肺痰鸣音,完善化验示WBC 15.6×109/L,NEU% 86.9%,胸部X线提示双肺弥漫性病变,右侧为著,完善痰培养病原为“头孢哌酮舒巴坦敏感铜绿杆菌”、血培养病原为“耐甲氧西林金葡菌”,予以头孢哌酮舒巴坦+万古霉素抗感染(具体用药剂量不详)。
2022年11月,患者经内科治疗病情较前好转,体温正常,感染指标及影像学均较前明显改善,予拔除气管插管,改为无创通气。拔管当日,患者无明显诱因再次出现呼吸困难,复查血气分析示PaCO2 109 mmHg,再次行气管插管,经急诊收入我科。自发病以来,精神、饮食、睡眠差,大小便正常。
既往史及家族史等
高血压病史2年余,血压最高150/90 mmHg,自服硝苯地平缓释片20 mg、美托洛尔片37.5 mg治疗,未规律用药,未系统监测血压。心功能不全病史1年余,尿少、浮肿时口服螺内酯片20 mg治疗。个人史无特殊。25岁结婚,配偶健在。育1子1女,子女均体健。父母已故,家族中外祖母辈有多名类似患者,考虑为家族性基因缺陷所致。
初步诊断
Ⅱ型呼吸衰竭;线粒体肌病;重症肺炎;急性非ST段抬高型心肌梗死,心功能不全;肝功能不全;高血压病2级;胸腔积液。
图片

入院后评估

感染方面
11月7日:WBC 21.87×109/L(↑),NEU% 89.2%(↑),LYM% 7.5%(↓),CRP 30.59 mg/L(↑),PCT <0.1 ng/ml。
11月8日:甲流快检阳性。
11月9日:BALF GM试验2.17(+)。
11月11日:BALF细菌培养结果为铜绿假单胞菌。
影像学

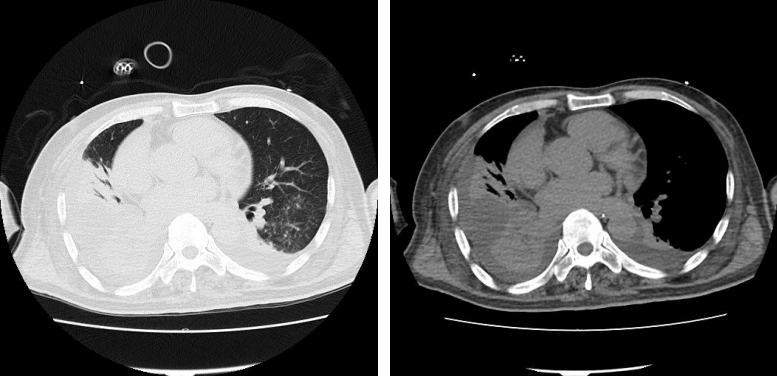
11月7日胸部CT:双肺炎性渗出,心包积液,双肺胸腔积液,右侧为著。

图片
支气管镜
11月8日行支气管镜检查:气管插管位置良好,管腔通畅,主气道内可见白色透亮黏稠分泌物,黏膜轻度充血水肿,予充分吸净;管壁无明显白苔、假膜及溃疡;隆突:光滑锐利,较多白色黏稠分泌物附壁,予吸除;双肺:左主支气管开口可见白色黏稠痰液涌出,充分吸净后管腔通畅;左肺左舌段、左下背、左下基底段较多白色黏稠分泌物涌出,予吸除,难以吸净;左肺各支气管黏膜充血水肿,未见白苔、溃疡及假膜;右肺主支气管、右下肺基底段、右下叶背段管壁大量白色黏稠分泌物,予吸除;右肺中叶外侧段可吸出较多白色黏稠分泌物,予吸净。
根据患者影像及镜下表现,将双肺吸除黏稠痰液送检病原学、细胞分类计数,共吸出65 ml。
膈肌超声
11月8日膈肌超声:右侧膈肌移动度减低。
图片
呼吸力学
11月7日呼吸力学测定:顺应性40.9 cm/cmH2O,略低;阻力11.3 cmH2O·s/L,略高。
图片
心脏功能

11月7日,测心梗四项:Myo 226.20 ng/ml(↑),CK-MB 53.01 ng/ml(↑),cTnT 0.125 ng/ml(↑),NT-proBNP 1231 pg/ml(↑)。11月8日心脏超声示:左室壁均匀明显增厚,右房扩大,下腔静脉增宽(30 mm),左室射血分数60%。

心内科会诊意见:患者肌钙蛋白升高原因考虑为心衰、感染、心肌肥厚等多种因素造成的心肌氧供需失调所致,急性冠脉综合征(ACS)可能性较低。根据患者临床表现、心脏超声及NT-proBNP,诊断考虑射血分数保留的心力衰竭(HFpEF),病因考虑线粒体心肌病可能。

图片

第一阶段:控制感染

(11月7-20日)

主要治疗
11月8日行胸腔积液穿刺引流,解除限制。抗感染方面,予头孢哌酮舒巴坦/美罗培南+奥司他韦+伏立康唑抗感染治疗,11月16日加用阿米卡星。痰液引流和气道管理方面,予支气管镜吸痰bid+俯卧位+机械辅助排痰+氨溴索化痰,11月16日行气管切开。
呼吸支持
入院后予患者的呼吸支持力度逐渐降低,氧合整体有所改善。期间氧合指数不稳定,常于俯卧位和支气管镜吸痰后明显改善,考虑与痰液引流效果相关。
图片
图片
图片
当患者俯卧位时,痰液引流效果显著,氧合改善明显。因此前期坚持每天12~14 h俯卧位,后期每天4 h左右俯卧位,仅在气切当天,考虑气切口可能不稳定,暂停了一次俯卧位。
图片
图片

气道管理

在俯卧位期间行振动排痰和支气管镜吸痰,最大程度改善痰液引流。考虑患者肌肉力量较差,咳痰无力,使用咳痰机辅助排痰。多种手段联合使用明显提高了痰液引流效果。
图片

治疗效果

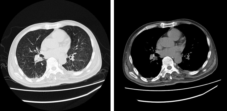
治疗1周后,于11月15日复查胸部CT示:双肺渗出实变较前明显好转,心包少量积液,双侧少量胸腔积液,双肺不张较前明显好转。
图片
尽管患者影像学改善,但感染指标仍未下降,血象、CRP较前升高。
图片
调整治疗
抗感染方面,根据药敏试验结果,更换美罗培南联合阿米卡星抗感染治疗。痰液引流和气道管理方面,患者二次插管已12 d,因原发病导致自主咳痰能力差,支气管镜下仍可见白色黏稠分泌物,短期内撤机困难,进行气管切开。继续以痰液引流为目的进行俯卧位通气,但缩短了持续时间,以促进患者清醒,为早期康复让路。继续支气管镜吸痰+机械辅助排痰。呼吸支持方面,逐渐延长压力支持通气的时长,促进自主呼吸能力恢复。
图片

调整后治疗效果

11月20日左右,患者感染指标明显下降,并且能够维持在相对稳定状态

图片

第二阶段:撤机和康复

(11月21日-12月6日)
主要治疗
做减法:11月21日抗生素降级,停止每日支气管镜吸痰。11月22日停止俯卧位。
做加法:增加脱离有创呼吸机时间;增加早期活动时长和强度。
先撤机再拔管是否可行?
11月17日第一次尝试:文丘里装置+T管脱机1 h,PaCO2由44 mmHg升至64.2 mmHg,考虑感染未完全控制,暂缓脱机。
11月21日第二次尝试:高流量+T管脱机4 h,PaCO2由37.5 mmHg升至57.9 mmHg。
即使使用流量比文丘里装置更高的高流量装置脱机,PaCO2依然快速上升。这是否意味着先撤机再拔管的策略不适合该患者?我们分析了原因:患者的原发病—线粒体肌病没有有效的治疗方法,且累及呼吸肌导致Ⅱ型呼吸衰竭,需要长期家庭无创正压通气(NPPV),而且原发病也已累及心脏导致心衰,患者既往肺功能检查提示限制性通气功能障碍,此次感染打击导致病情加重,在多种因素作用下,直接完全撤机恐难实现。因此考虑先堵管,再撤机。
未撤机即堵管效果如何?
11月21日第二次尝试:气囊漏气试验通过,气囊抽空后饮水不呛咳。改用气切堵管+NPPV,IPAP/EPAP 16/5 cmH2O,2 h后患者不耐受,PaCO2由57. mmHg升至61.4 mmHg。
11月22日第三次尝试:高流量+T管3 h、堵管+NPPV 3 h(IPAP/EPAP 18/5 cmH2O)后患者不耐受,PaCO2由41.6 mmHg升至54.2 mmHg。
患者既往长期应用家庭NPPV,为何不耐受?
通过观察,发现患者临床表现为吸气困难,有吸气相“三凹征”;询问患者,自诉“吸不到气”。考虑是否为气管套管型号过大、外径过粗导致吸气阻力升高。
11月23日第四次尝试:拔除8.0号塑料气切套管,为保证安全,换用外径更细的金属套管堵管+NPPV,IPAP/EPAP 15/6 cmH2O,连续7 h,患者耐受良好,PaCO2升高并不明显(45.4 → 47.3 mmHg)。此后逐渐延长无创通气时间,缩短有创通气时间,后续改为白天应用经鼻高流量氧疗,夜间应用无创通气。又经过一段时间,调整为白天应用鼻导管吸氧,夜间应用无创通气。
11月28日成功拔除金属气切套管,封堵气切瘘口。
图片
早期活动,康复出院
11月22日开始循序渐进地进行早期活动:床上踏车→床边座位→床边站立→绕床行走。12月6日患者顺利出院,嘱继续规律家庭NPPV。

图片

文献复习
一项单中心随机对照试验纳入32例气切后连续3 d自主呼吸试验(SBT)失败的患者,将其分为常规脱机组(脱机后经气切套管氧疗)和双模式组(抽空气囊,封堵气切套管,接受面罩NPPV)。研究结果显示:与常规组相比,双模式组患者机械通气持续时间和住ICU时间更短,脱机期间死亡率更低,肺部感染率更[1]
另有个案报道,1例82岁老年男性患者,慢阻肺急性加重,两次插管后气管切开。入院后40 d开始T管脱机,撤机困难。入院后82 d开始气切堵管+NPPV,第90天时完全过渡至NPPV[2]
采用有创-无创序贯机械通气技术的基本前提是患者必须具备较好的自主呼吸能力和气道保护能力。对于基础肺功能严重受损和有创机械通气时间过长形成呼吸机依赖的患者,可能无法通过传统的逐渐延长脱机时间的方法撤机,此时可尝试应用NPPV辅助撤机。
在操作过程中,需注意几点问题:①评估患者气道的保护能力,如果患者存在吞咽功能障碍,咳嗽咳痰能力差,此种情况可能不适合使用无创通气。②在使用无创通气过程中,应尽量减少气道阻力。针对本例患者,我们为其换用了金属套管,如果患者后续仍需使用有创通气,可首先换用较小口径的塑料套管,后期再更换为金属套管。③气切口不能有明显的漏气,如果气切口漏气过多,也会影响无创通气的人机协调性。因此,我们可以在更换较小口径的气管导管和金属套管后,间断使用有创通气,使切开的窦道有充分的回缩时间,避免气切导管周围漏气过多以及皮下气肿的形成。④无创通气时,由于气切导管的存在导致气道阻力增加,因此在设置无创通气参数时,要适当提高通气支持的压力水平,以保证通气效果。

参考文献

[1] Duan J, Guo S, Han X, et al. Dual-mode weaning strategy for difficult-weaning tracheotomy patients: a feasibility study[J]. Anesth Analg, 2012, 115(3):597-604. 

[2] 夏金根, 李洁, 罗祖金, 等. 无创正压通气辅助气管切开患者的撤机体会[J]. 中国危重病急救医学, 2008, 20(6):378.

作者简介



图片

陶程
  • 中日友好医院呼吸与危重症医学科呼吸治疗师

  • 毕业于四川大学华西临床医学院呼吸治疗专业

  • 在危重症患者的机械通气、气道管理和呼吸康复等方面积累了丰富的临床经验

【注:本文仅用于学术内容的传播和交流,不用于任何商业和推广】


全部评论 0
Copyright©2020-2026 北京医麦斯科技有限公司 版权所有 京ICP备2020034400号-1 京公网安备11010502043983号