登录方式

方式一:
PC端网页:www.rccrc.cn
输入账号密码登录,可将此网址收藏并保存密码方便下次登录

方式二:
手机端网页:www.rccrc.cn
输入账号密码登录,可将此网址添加至手机桌面并保存密码方便下次登录

方式三:
【重症肺言】微信公众号
输入账号密码登录

注:账号具有唯一性,即同一个账号不能在两个地方同时登录。

登录
方式

为重症救治赋能

为患者康复加速

当前位置:首页 脏器支持 呼吸监测

重症超声在急性呼吸衰竭病因鉴别中的应用

王乾辉 成都市第三人民医院呼吸与危重症医学科 发布于2024-09-19 浏览 2758 收藏

作者:王乾辉


单位:成都市第三人民医院呼吸与危重症医学科
一、呼吸衰竭现状


2021年,一位美国学者在Chest 杂志发表的一篇文章[1]对2014年至2018年急性呼吸衰竭的相关死亡率进行了回顾性分析。结果发现,5年期间有1434349例患者死于急性呼吸衰竭,且每年病死率呈递增趋势。其中年龄大于65岁、男性以及居住在非城区的患者,死亡率更高。另外一位学者发表在The Lancet Respiratory Medicine 杂志上的文章[2]显示,免疫抑制患者更易发生急性呼吸衰竭,并且急性呼吸衰竭的发病率与其基础疾病密切相关。结果表明,高达50%的血液病患者和高达15%的实体肿瘤或实体器官移植(主要是心脏或肺)患者会发生急性呼吸衰竭,而且病死率亦很高。部分血液病患者罹患呼吸衰竭后死亡率高达40%~50%,部分实体肿瘤及器官移植患者的死亡率在60%~76.5%之间。
急性呼吸衰竭患者呈现的症状和信息复杂多样。要实现急性呼吸衰竭早期快速正确的诊治仍然面临巨大挑战。在临床上遇到此类患者,一般会先获取一些临床信息,例如询问患者的现病史(发作诱因、发作时间、持续时间、缓解因素、基础疾病情况等)、伴随症状以及体征(发热、胸痛、咯血、意识障碍、面色苍白、下肢水肿、端坐呼吸等)。然后再开具相应的检查,例如心电图、床旁胸片、血气分析、心肌标志物,以此来明确诊断。但实际上床旁胸片不能马上获取,血液等检查也需要一段时间才能出结果。但有些患者的病情非常危重,不允许等待,并且我们通过问诊、查体等获取到的数据和信息,可能仅仅反映得是患者当前的一种重症状态,而无法反映其机体、器官当下的结构、功能、血流状态等病理生理改变的核心信息。医生在实施救治过程中如果没有抓住要害、判断不清方向,就会导致关键的治疗延误,甚至出现错误治疗,最终导致病情恶化。因此,笔者认为比治疗更重要的是先要将临床问题搞清楚,病因诊断是核心。那么,有没有更高效、便捷的方法?
图片
二、重症超声的优势及方案选择


重症超声研究组(CCUSG)团队编写的《中国重症超声专家共识》[3]中指出,重症超声有助于快速判断呼吸困难或低氧血症的病因。2023年华西重症超声团队发表在《中华内科杂志》上的急性呼吸循环障碍改良七步法分析及治疗流程[4]中也提到了使用“重症超声+”融合评估对急性呼吸衰竭患者进行可视化的诊疗(图1)
图片


图1  急性呼吸循环障碍改良七步法分析及治疗流程


重症超声在临床上应用已有多年,它与普通超声不同之处在于实施者以及解读者都是重症医生或临床医生,操作时往往都是带着问题去开展的。患者一旦发生病情变化,将超声仪器推到床旁就可以即刻检查,而且可以反复实施、动态观察。2015年,法国Lichtenstein教授在Chest 杂志上发表文章[5]表示,肺部超声对呼吸系统疾病诊断的敏感性、特异性均高达90%以上。
肺部超声有多种扫查方案,包括BLUE方案、BLUE-plus方案、十二分区法、八分区法、m-BLUE方案、pBLUE方案等。急性呼吸衰竭属于危重症,需要临床医生快速做出判断,快速筛查有无致命性疾病存在。2008年发表在Chest 杂志上的一篇文章[6],就BLUE方案对急性呼吸困难的超声鉴别给了我们很好的提示。这项研究指出:BLUE方案流程在3 min内通过对肺和深静脉血栓的快速筛查,可对90.5%的急性呼吸衰竭或低氧血症的病因做出快速、准确的诊断。另有学者于2019年在Am J Emerg Med 杂志发表文章[7],也对BLUE方案的准确性进行了评价,结果提示:BLUE方案对心源性肺水肿、肺炎、气胸以及肺栓塞的诊断敏感性和特异性均较高。BLUE方案的实施要点包括探头选择、操作手法、动作要领以及检查点定位【具体不赘述】(图2)


图片

图2  BLUE方案实施要点


在了解异常肺超征象之前,应该先要知道正常肺部超声征象。进行肺部超声检查时,首先要确定胸膜的位置。将探头置于两个肋骨之间时,会看到屏幕外围两侧有宽约2 cm,厚约0.5 mm的高回声曲线,即胸膜线。正常的胸膜线是清晰、锐利、光滑、连续的。胸膜线位于屏幕中央,两侧肋骨下方,其形态类似蝙蝠,故称为“蝙蝠征”。还有肺滑动征(胸膜滑动征)、A线、M超模式下的沙滩征,这些都是正常肺部超声征象(图3)
图片
图3  正常肺部超声征象
图片
三、BLUE方案如何应用于临床



1. B模式:肺滑动征存在,且一侧肺以B线为主
如果将探头置于胸壁上,可见肺滑动征,且以B线为主,提示肺水含量的增加。然而,引起肺水增加的疾病有很多,如何进行鉴别?首先我们要明确两个概念:双肺单发/多发局灶性B线指的是B线仅见于1~2个肋间/3个以上肋间,但彼此不相连;双肺弥漫性B线指的是B线见于多个肋间(>3个肋间),彼此相连。
如果超声发现双肺弥漫性B线,对称、连续,并且胸膜线清晰、锐利、光滑、连续,此时考虑存在流体性肺水肿,可能是由于心衰或容量过负荷引起肺部小静脉静水压增高所引起,其分布比较对称。这种情况我们建议做心脏彩超。如果心脏彩超发现舒张/收缩功能下降,左房压力增加,考虑为心源性肺水肿。如果B线不对称,胸膜线也不均匀,有增厚或颗粒感,心脏彩超未发现心脏问题,则考虑是肺炎和非心源性肺水肿。如果超声发现双肺单发或多发局灶性B线,则考虑肺炎或非心源性肺水肿(图4)
图片


图4  B模式的鉴别诊断


(1)心源性肺水肿:如图5所示,超声所见胸膜线非常清晰、锐利,左为侧胸壁、右为后背部改变。由于重力原因,血往低处流,所以非重力依赖区可表现为离散性B线,重力依赖区则表现为融合B线。心脏彩超可以见到心脏收缩功能降低,下腔静脉充盈固定,所以考虑是心源性肺水肿。
图片


图5  心源性肺水肿超声征象


(2)ARDS:弥漫性B线比较经典的案例就是ARDS,其主要特点是弥漫性肺损伤、不均一性。通过胸部CT可以看到,在非重力依赖区(患者平卧位时前胸壁区域)可能肺组织正常或仅胸膜下有病变。随着重力的增加,在侧胸壁以及后背部,可能就会逐渐出现磨玻璃影,出现肺炎或肺不张,甚至有胸腔积液的改变。超声上表现为:前胸壁可能是充气良好的A线,随着重力的增加,肺水逐渐增多,B线也会从离散型B线逐渐转为融合性B线,甚至会出现肺实变、肺不张或胸腔积液等改变。胸膜滑动征在非重力依赖区可能是正常的,随着探头向重力依赖区移动,胸膜滑动征会逐渐减弱,甚至消失。
(3)间质性肺疾病(ILD)及肺间质纤维化:ILD最大的超声特点是胸膜的改变。图6A为ILD的典型超声征象——双肺弥漫性B线伴胸膜粗糙,有颗粒感。图6B图为轻度ILD的超声征象,B线连续感不强,有增厚,形态不规则。图6C图为重度弥漫性肺间质纤维化,其胸膜下间质呈典型颗粒状表现,胸膜线不连续,呈弥漫表现。
图片


图6  间质性肺疾病及肺间质纤维化超声表现


2. A 模式:肺滑动征存在+双侧前胸壁A线
如果超声下可见肺滑动征,并在两侧前胸壁发现A线,则提示胸膜线以下的肺组织含气良好。此时考虑可能是肺栓塞、慢阻肺、支气管哮喘、肺炎等疾病。建议行下肢血管彩超检查:①如果下肢血管彩超发现下肢静脉血栓(异常回声团),考虑肺栓塞可能。此时如果有条件,可行肺动脉CTA检查进一步明确诊断;如果没有条件,可以完善血气分析、心脏彩超、心肌标志物等检查,逐一排查可能的病因。②如果下肢血管彩超无异常,看一下PLAPS点,如果也正常,则全肺没有阳性发现,进而考虑可能是气道疾病,如慢阻肺、哮喘。如果在后背部PLAPS点发现碎片征/肺不张征象,则肺炎的可能性较大。
             

A模式


3. A/B模式+C模式
超声没有发现肺滑动征,一侧肺为A线,一侧肺为B线,即A/B模式(图7),提示为肺炎改变。如果出现C模式,考虑为肺炎征象。
图片
图7  A/B模式
图片


C模式


了解一下肺炎常见的几种超声征象。图8A为局部肺泡炎性渗出,可见少量胸腔积液,在正常肺和病变肺之间有一些融合的B线,局部有小实变。图8B为局灶性肺炎:B线与A线并存,被称为气液往返征,即靠近胸膜的一些炎性渗出可能并没有阻塞气道,支气管是通畅的,当吸气时,此处的含气就恢复了,我们看到的是A线;当呼气时,气体被排出,可能就出现了B线,这是靠近胸膜的小范围肺炎的征象。在临床中,如果患者的肺部超声一直表现为A线征象,病程中如果出现B线,且存在病情变化,如发热等,则应警惕医院获得性肺炎(HAP)的可能。图8C为炎性渗出不均匀,胸膜下局部小范围的肺泡塌陷呈实变征象,这是肺炎经典的碎片征。图8D为大范围肺叶炎性渗出呈实变的征象。其中点状、条状征象就是动态支气管充气征,说明气管相对通畅,可以看到有气流进出,在正常肺和异常肺的交界处可以看到碎片征。军团菌肺炎患者就会出现典型的大叶性肺肺炎实变。
图片


图8  肺炎典型超声表现


4. B模式:肺滑动征消失+B线


肺滑动征消失+B线是肺炎的征象。


5. A’模式肺滑动征消失+A线


肺滑动征消失说明双层胸膜之间没有相对运动。一种情况是双层胸膜被分开了,另一种情况就是胸膜粘连了。A线说明胸膜以下肺组织含气良好。如果出现A’模式,最常见的就是气胸。所以我们进行肺部超声检查时,首先要看胸膜线的位置,其次要看肺滑动征。如果肺滑动征存在,肯定要排除气胸;如果肺滑动征不存在,再看一下B线,如果有B线,则排除气胸;如果没有B线但发现了肺点,就是气胸;如果没有B线也没有肺点,是否为实变或者不张?再看有无肺搏动征,如果有,则排除气胸;没有,则考虑气胸。

正常情况下,随着呼吸,双层胸膜之间有相对运动,通过超声可以看到肺滑动征。当发生气胸时,双层胸膜之间没有运动,只有胸壁在动,肺滑动征消失。

              


正常肺滑动征



                                                    

              



气胸:肺滑动征消失


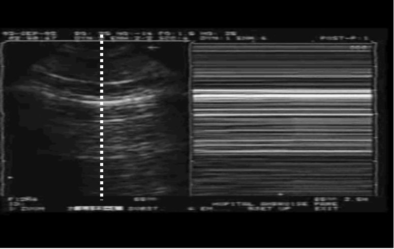
我们在M超放一个取样线,可以看到条码征(图9,也叫平流层征


图片


图9  条码征或平流层征


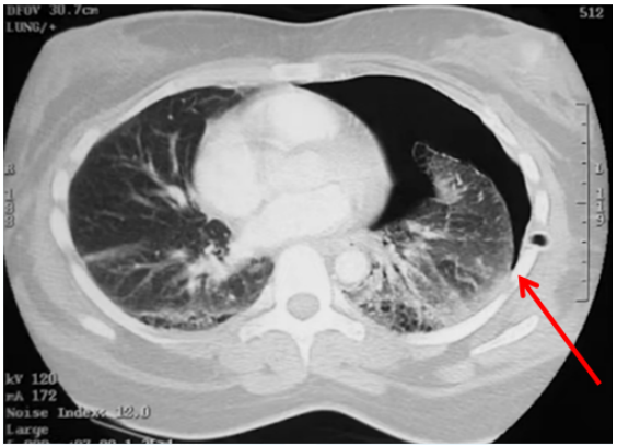
肺点是诊断气胸的金标准。CT图像箭头所指就是胸膜被分离之处(图10)。为什么会出现肺点?在超声图像中,我们可以看到,在分离点的下侧,也就是患者背侧,两个胸膜挨在一起,随着呼吸运动,胸膜有相对滑动,但在分离点以上,超声可以看到壁层胸膜,看不到脏层胸膜,因为它被气体挡住了,超声无法穿透气体,所以我们看到的是没有胸膜滑动的A线,这就是经典的肺点表现。
图片


图10  胸膜分离


                                           
        视频详情              


肺点


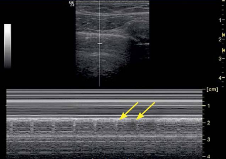
肺搏动征就是当肺含气不良时,比如出现不张、实变,在靠近心脏处,实变或不张的肺会随着心脏跳动而出现搏动,胸膜也会出现一致的征象(图11黄色箭头所指),该征象出现可以排除气胸。
图片


图11  肺搏动征

超声只是一种辅助检查手段,气胸的诊断一定要结合患者的临床表现。例如ARDS患者,胸膜炎症很重时,肺滑动征也会消失,有些患者胸膜粘连、胸膜固定术后,也会出现肺滑动征消失。有些患者有巨大肺大泡、哮喘急性发作,含气量明显增加,肺滑动征也会消失。所以气胸的超声诊断一定要结合临床进行判断。


图片
四、小结



超声使临床医生对重症患者的诊治从听诊转为可视化的精细管理。需要强调的是,质控应贯穿于整个诊疗过程,包括临床信息收集、检查方案的选择、图像的获取、切面的质控、切面评估与解读、治疗后的评估,这些过程都要做好质控,以保证超声诊断的准确性。



   参考文献    

上下滑动阅览

[1] Parcha V, Kalra R, Bhatt SP, et al. Trends and Geographic Variation in Acute Respiratory Failure and ARDS Mortality in the United States[J]. Chest, 2021, 159(4):1460-1472. 
[2] Azoulay E, Mokart D, Kouatchet A, et al. Acute respiratory failure in immunocompromised adults[J]. Lancet Respir Med, 2019, 7(2):173-186. 
[3] 王小亭, 刘大为, 于凯江, 等. 中国重症超声专家共识[J]. 中华内科杂志, 2016, 55(11):900-912. 
[4] 周然, 尹万红, 杨吕, 等. 急性呼吸循环障碍的改良七步法分析及治疗流程[J]. 中华内科杂志, 2023, 62(12):1423-1429. 
[5] Lichtenstein DA. BLUE-protocol and FALLS-protocol: two applications of lung ultrasound in the critically ill[J]. Chest, 2015, 147(6):1659-1670. 
[6] Lichtenstein DA, Mezière GA. Relevance of lung ultrasound in the diagnosis of acute respiratory failure: the BLUE protocol[J]. Chest, 2008. 134(1):117-125. 
[7] Bekgoz B, Kilicaslan I, Bildik F, et al. BLUE protocol ultrasonography in Emergency Department patients presenting with acute dyspnea[J]. Am J Emerg Med, 2019, 37(11):2020-2027. 


    作者介绍    

图片

王乾辉
成都市第三人民医院呼吸与危重症医学科主治医师,中国医科大学医学硕士。中国医师协会呼吸医师分会危重症医学工作委员会青年委员,四川省医学科技创新研究会肥胖与代谢性疾病分会委员,四川省重症超声与可视化诊疗协作组成员;擅长呼吸系统常见疾病诊治及危重症疾病救治,掌握重症超声、床旁CRRT等高级生命支持技术;发表论文数篇,参与编写《全身性疾病在呼吸系统中的并发症》。



全部评论 0
Copyright©2020-2026 北京医麦斯科技有限公司 版权所有 京ICP备2020034400号-1 京公网安备11010502043983号