登录方式

方式一:
PC端网页:www.rccrc.cn
输入账号密码登录,可将此网址收藏并保存密码方便下次登录

方式二:
手机端网页:www.rccrc.cn
输入账号密码登录,可将此网址添加至手机桌面并保存密码方便下次登录

方式三:
【重症肺言】微信公众号
输入账号密码登录

注:账号具有唯一性,即同一个账号不能在两个地方同时登录。

登录
方式

为重症救治赋能

为患者康复加速

当前位置: 首页 呼吸e站 指南共识

慢性阻塞性肺疾病伴肺曲霉病诊治和管理专家共识

中华医学会呼吸病学分会 中华医学会呼吸病学分会 发布于2024-07-30 浏览 3242 收藏

以下文章来源于中华结核和呼吸杂志 ,作者中华医学会杂志社

作者:中华医学会呼吸病学分会

通信作者:瞿介明(上海交通大学医学院附属瑞金医院呼吸与危重症医学科);陈荣昌(深圳市呼吸疾病研究所 深圳市人民医院呼吸与危重症医学科)

引用本文::中华医学会呼吸病学分会. 慢性阻塞性肺疾病伴肺曲霉病诊治和管理专家共识 [J] . 中华结核和呼吸杂志, 2024, 47(7) : 604-622. DOI: 10.3760/cma.j.cn112147-20231228-00399.

【摘要】在慢性阻塞性肺疾病(简称慢阻肺)人群中,肺曲霉病的发病率不断上升,可表现为侵袭性感染、慢性肺曲霉病、变应性支气管肺曲霉病等多种形式;随着免疫功能等个体状态的变化,各种形式之间可互相转换甚至并存。同时,慢阻肺伴侵袭性肺曲霉病多缺乏典型表现,且部分患者有创检查受限,给诊断和治疗带来了挑战。为此,本共识基于循证证据和我国临床实践情况,对慢阻肺伴肺曲霉病诊治中的重要问题提出推荐意见,构建临床诊疗路径,期待为改善疾病管理提供参考和指引。
图片

感染并发症是慢性阻塞性肺疾病(简称慢阻肺)患者面临的巨大挑战。由于患者上皮屏障破坏、广谱抗菌药物和糖皮质激素应用等危险因素的叠加,慢阻肺(尤其是疾病终末期)患者已经成为侵袭性肺真菌病的潜在高危人群,其中曲霉是最常见的致病真菌。曲霉能以定植的形式存在于下呼吸道,也可引起肺曲霉病(又称“支气管肺曲霉病”)。不同于粒细胞减少、器官移植、重症病毒性肺炎等人群,肺曲霉病在慢阻肺患者的表现涵盖了全部临床类型,包括侵袭性肺曲霉病(invasive pulmonary aspergillosis,IPA)、慢性肺曲霉病(chronic pulmonary aspergillosis,CPA)、变应性支气管肺曲霉病(allergic bronchopulmonary aspergillosis,ABPA)等(图1)。诊治不当将影响患者预后。随着研究的不断深入,对慢阻肺和肺曲霉病的认知都在发生变化,其定义、分型、诊治策略也历经数次更新。为此,中华医学会呼吸病学分会感染学组和慢阻肺学组发起,梳理慢阻肺伴肺曲霉病临床诊治中广受关注的问题,综合现有国内外流行病学和临床研究数据,提出共识意见,构建慢阻肺人群罹患肺曲霉病的风险评估体系和临床诊疗路径,期待为改善疾病管理提供参考和指引。

图片

图1  慢阻肺伴肺曲霉病的类型示意图

本共识参照《牛津循证医学中心分级2001版》(附件1)对临床证据进行评判,结合医疗干预的利弊平衡、证据质量、价值观和偏好、成本与资源消耗等因素对推荐强度进行分级(附件2)。在共识意见中,强推荐用“推荐”表述,弱推荐用“建议”表述,不再列出证据等级和推荐级别。
1
慢阻肺伴肺曲霉病的类型及流行病学现状

曲霉孢子进入下呼吸道后,发病与否以及疾病形式往往与短时间内吸入的曲霉量、患者免疫状态和使用抗真菌药物情况密切相关,例如免疫功能显著受损时可发生IPA,免疫亢进时可发生ABPA,处于两者之间则往往表现为亚急性侵袭性曲霉病(subacute invasive aspergillosis,SAIA),也称慢性坏死性肺曲霉病(chronic necrotizing pulmonary aspergillosis,CNPA),以及其他类型的CPA(图1);也可为定植而无临床表现。

慢阻肺(尤其是重度慢阻肺)患者是侵袭性曲霉病(invasive aspergillosis,IA)的高危人群,合并高龄、低体重、鳞状细胞癌、结核及非结核分枝杆菌感染、糖尿病、全身应用糖皮质激素、广谱抗菌药物使用、重症流感或重症COVID-19等因素时发病风险进一步升高。我国广东省的一项研究提示,在住院慢阻肺患者中,IA的发生率为3.9%,结合慢阻肺的流行病学数据推测我国慢阻肺伴IA的患者超过100万。IPA是此类人群IA的主要表现形式,多为急性加重期继发于广谱抗菌药物和/或全身糖皮质激素治疗后,也有部分患者起病于社区。IPA可分为血管侵袭性曲霉病(angio-invasive aspergillosis,AGIA)和气道侵袭性曲霉病(airway invasive aspergillosis),后者根据累及的部位又可分为气管支气管炎、细支气管炎等。不同于持续粒细胞减少人群,慢阻肺伴IPA以气道侵袭性更为多见。慢阻肺患者发生IPA病死率高。在一项早期研究中,即便接受了抗真菌治疗,病死率仍高达77%,这与延误诊断和治疗有关。

慢阻肺是CPA最常见的基础疾病之一。慢阻肺伴CPA可表现为简单型肺曲霉球、慢性空洞性肺曲霉病(chronic cavitary pulmonary aspergillosis,CCPA)、慢性纤维化性肺曲霉病、曲霉结节和SAIA等类型,这些类型之间可有交叉和演变。其中,SAIA是慢阻肺患者伴发曲霉侵袭另一种常见形式,具有肺大疱等结构异常并长期吸入或间断口服糖皮质激素的慢阻肺患者多表现为SAIA而非病程更急剧的IPA。CPA是慢阻肺患者低体重指数(BMI)值、肺功能恶化和生活质量低下的重要原因。在英国一项CPA队列研究中,387例患者的1、5、10年生存率分别为86%、62%和47%,而慢阻肺是死亡的危险因素。中国一项CPA队列研究显示,SAIA患者1、5、10年生存率分别为82.3%、66.6%和51.8%,合并慢阻肺是预后不佳的危险因素。

慢阻肺合并曲霉致敏包括ABPA日益受到关注。北京一项研究提示,在273例稳定期慢阻肺患者中,曲霉特异性IgE抗体阳性患者为41例,其中符合ABPA诊断标准者8例。慢阻肺合并曲霉致敏的患者呼吸困难和肺功能障碍更显著,影像学支气管扩张的发生率也更高。

慢阻肺合并曲霉定植并不少见。研究发现,应用PCR方法可以在10%左右的慢阻肺患者检出曲霉,约1/3的稳定期或急性加重期慢阻肺患者下呼吸道标本可检出曲霉。曲霉定植与患者肺功能加速恶化以及急性加重风险增加相关;在急性加重期,伴有曲霉定植的慢阻肺患者住院时间也明显延长。有研究提示,在下呼吸道曲霉定植的慢阻肺患者中,有26%最终发生肺曲霉病,其中重度慢阻肺比轻中度患者演变为感染的风险更高。

不同类型的肺曲霉病在免疫状态变化时可互相转化,例如APBA合并曲霉球、曲霉球和SAIA的互相演变、ABPA继发IPA/SAIA等,也可合并存在(即“重叠综合征”)。在慢阻肺患者的诊治过程中特别是急性加重期常应用糖皮质激素,因此在病情评估和治疗中应警惕不同类型肺曲霉病的转化。

2
慢阻肺伴IPA的危险因素

慢阻肺患者发生IPA的危险因素可分为慢阻肺本身相关和治疗相关,多种危险因素同时存在者发病风险更高。

(1)疾病本身相关的危险因素

慢阻肺患者肺部表面活性物质的缺乏或异常,气道上皮细胞和肺泡巨噬细胞表面Toll样受体、C型凝集素受体、PTX3受体等的数量或功能不足,以及肺泡巨噬细胞数量减少等因素可降低对曲霉的识别和清除能力,从而有利于曲霉孢子在气道内的定植和感染。肺功能差的慢阻肺患者更容易发生IPA。过去3个月内发生重度急性加重是慢阻肺伴曲霉侵袭的危险因素。

(2)慢阻肺治疗相关危险因素

糖皮质激素:全身性使用激素者发生IPA的风险上升,且IPA风险与激素剂量、疗程相关,泼尼松日剂量>0.3 mg·kg-1·d-1(或相当剂量的其他糖皮质激素)、疗程>3周的患者需特别加以关注。国外研究显示,3个月内泼尼松累积剂量>700 mg是慢阻肺患者发生IPA的危险因素。在我国学者建立的预测模型中,3个月内泼尼松累积剂量>265 mg是慢阻肺急性加重患者继发IPA的独立危险因素。

使用广谱抗菌药物及入住ICU:广谱抗菌药物的应用可增加气道真菌定植,近1个月内使用广谱抗菌药物超过10 d或过去3个月内使用过广谱抗菌药物是慢阻肺急性加重患者发生IPA的独立危险因素。入住ICU亦是慢阻肺急性加重患者罹患IPA的独立危险因素。
3
慢阻肺伴IPA的临床和影像学特点

慢阻肺伴IPA表现主要为咳嗽、咳痰、呼吸困难、发热等,肺部听诊可及干湿性啰音。慢阻肺急性加重的治疗中常应用糖皮质激素,因此伴IPA者出现发热仅占1/3;部分患者表现为初始呼吸道症状改善后再次加重,患者往往痰液黏稠不易咳出,喘息和呼吸困难加重更为多见;痰以黏稠白色或灰黑色痰较为多见,但黄色脓稠痰不能作为排除曲霉感染的依据。少数患者可出现咯血和胸痛,咯血是IPA较为特异的临床表现,但在慢阻肺患者其发生率低于粒细胞减少患者。大部分患者起病初期较隐匿,易被基础疾病掩盖,继而发展迅速,重症者可出现呼吸衰竭和血流动力学不稳定。对于经支气管舒张剂、抗菌药物和/或糖皮质激素充分治疗无效或一度好转而再次加重的慢阻肺急性加重的患者,需考虑伴发IPA的可能。

慢阻肺伴IPA的影像学表现往往缺乏晕轮征、新月征等血管侵袭性肺曲霉病的典型表现,而更多表现为气道侵袭性肺曲霉病。在气管支气管炎期,X线胸片检查通常无异常发现,或仅表现为肺门周围的“渗出”改变。胸部CT可显示气管或支气管管壁增厚,伴有管腔狭窄;支气管管壁增厚以大气道为著,通常为多叶段受累,偶见局限的叶段受累;肺实质可以不受累,或仅有少量的磨玻璃或实性小叶核心结节(图2)。薄层胸部CT扫描有助于观察支气管管壁增厚情况。值得特别关注的是患者常常出现与影像学改变不匹配的呼吸困难。

图片
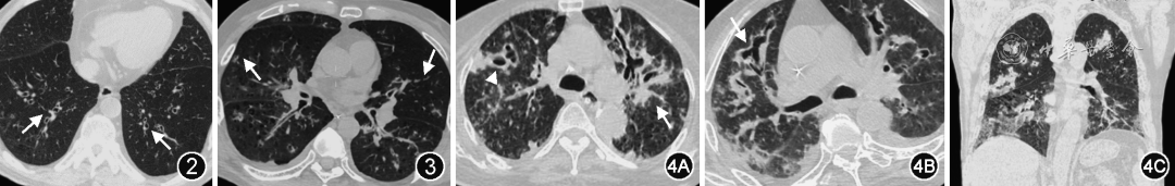
图2  气道侵袭性肺曲霉病支气管炎期患者胸部CT典型表现。患者男,84岁,诊断慢阻肺20余年,受凉后喘息加重入院。胸部CT显示双下肺支气管管壁显著增厚(白箭头),临近肺实质内可见少量小叶核心结节和小叶中心型肺气肿改变
图3  气道侵袭性肺曲霉病支气管肺炎期患者胸部CT典型表现。患者男,74岁,诊断慢阻肺10余年,受凉后发热伴痰中带血。胸部CT显示支气管管壁弥漫显著增厚,周围肺实质内可见小叶核心结节,部分融合成小片状实变(白箭头)。双肺内可见小叶中心型肺气肿

图4  气道侵袭性肺曲霉病坏死性支气管肺炎期患者胸部CT典型表现。患者男,84岁,诊断慢阻肺10余年,淋巴瘤化疗后。胸部CT显示双肺支气管管壁弥漫增厚,支气管管壁可见不规则扩张,支气管周围可见实变(白箭头),右肺上叶空洞形成(白三角),空洞内可见丝状分隔(图4A、4B),冠状重建图像显示双上肺小叶中心型肺气肿改变(图4C)

支气管肺炎期可见在增厚的支气管周围出现斑片状致密实变或结节,病灶边界模糊,其内可见支气管气相,周围可见小叶核心结节和/或“树芽征”(图3)

在坏死性支气管肺炎期,实变和结节病灶内形成空洞,空洞早期为厚壁不规则空洞,其内可见分隔,可快速进展为薄壁空腔,腔内可见分隔或网状线样结构;支气管管壁增厚可减轻,可出现不规则的支气管扩张改变,扩张的支气管与空腔延续或相通(图4)
4
慢阻肺伴IPA的分级诊断

EORTC/MSG、Bulpa、ICU Algorithm、重症IAPA、ISHLT等多个学术团体先后制定了IPA的诊断标准,其中,Bulpa标准更适用于慢阻肺人群。结合我国情况,本共识制定慢阻肺伴IPA的分级诊断如表1。

图片

5
慢阻肺伴IPA的诊断方法选择

  • 【共识意见1】推荐对怀疑IPA的患者早期进行胸部高分辨率CT(HRCT)平扫检查。当CT平扫观察到结节、肿块或实变影靠近大血管时,建议进行增强CT检查。
  • 【共识意见2】当不能排除IPA时,推荐进行痰液、BALF的曲霉病原学检查。建议对已使用了广谱抗菌药物和全身糖皮质激素但仍存在呼吸困难等症状、胸部CT观察到肺部浸润影的慢阻肺患者进行支气管镜检查,镜下观察管腔内病变情况,留取BALF进行直接涂片镜检、培养、半乳甘露聚糖(galactomannan,GM)及聚合酶链式反应(PCR)检测。
  • 【共识意见3】当对临床诊断的IPA患者有疑问时,推荐进行组织活检开展真菌染色、培养、PCR检测和组织病理检查。
  • 【共识意见4】在急性感染病程超过10 d的慢阻肺患者中,建议检测外周血曲霉特异性IgG抗体辅助诊断IPA,尤其是对于无法留取BALF的患者。不建议曲霉特异性IgM抗体用于慢阻肺伴IPA的诊断。

慢阻肺急性加重患者在充分治疗(包括使用了支气管舒张剂、广谱抗菌药物和全身糖皮质激素)的情况下,仍存在呼吸困难等症状时,应进行胸部CT检查。胸部CT在检测早期病变时较X线胸片更敏感,推荐对怀疑IPA的患者早期进行胸部CT平扫检查,不建议常规进行胸部增强CT检查。当CT平扫观察到结节或肿块靠近大血管时,建议使用增强CT进行对比辨别。

当出现肺部浸润影等表现而不能排除IPA时,推荐进行痰液、BALF的曲霉病原学检查。直接涂片镜检较常规培养能够更快明确样本中是否存在曲霉,这对危重感染患者尤为重要。为了提高直接镜检的诊断敏感度,可采用钙荧光白染色等真菌染色方法。慢阻肺患者伴有较高的气道曲霉定植率,气道标本曲霉培养阳性可能为曲霉定植,建议增加痰标本的送检次数,如反复曲霉培养阳性则更提示为曲霉感染而非定植。目前全球治疗曲霉的唑类药物耐药率仍较低,初次治疗患者不推荐常规进行药敏检测。但如果出于流行病学和耐药监测目的,可对IPA病例中分离的菌株进行药敏检测。治疗失败时,推荐进行药敏检测。

慢阻肺患者肺功能较差且临床症状较重,在组织活检后出现气胸的风险较大,特别是危重症患者,不建议常规进行组织活检(针吸或切片)。当对临床诊断的IPA患者在诊断上有疑问时,推荐进行组织活检(针吸或切片)进行真菌染色、培养、组织病理检测,有条件的单位同时进行PCR检测,选择活检部位时应尽量避开肺大疱,尽可能降低发生气胸的风险。

疾病早期,曲霉对于肺部的侵袭可以局限在支气管腔内,建议对已使用了广谱抗菌药物和高剂量的糖皮质激素后仍存在呼吸困难等症状、胸部CT观察到肺部浸润影无法留取痰标本的慢阻肺患者进行支气管镜检查,镜下观察管腔内有无板块样病变、溃疡、结痂、脓液、红肿、充血等,并留取BALF进行直接涂片镜检、培养检查以及GM检测。

GM试验是诊断IPA的重要手段。不同样本的GM试验判定阈值不同,单次血清或血浆GM值≥1.0;或BALF的GM值≥1.0;或单次血清或血浆GM值≥0.7并且BALF的GM值≥0.8可作为IPA的阳性诊断标准。动态监测连续2次以上出现GM阳性的诊断提示意义更大。对于不伴中性粒细胞缺乏的慢阻肺患者,发生IPA时曲霉抗原较少释放到外周血,因此血清GM的敏感度较低,血清GM阴性不足以排除IPA;相较而言,BALF中GM较血清GM具有更高的敏感度和特异度。在非中性粒细胞缺乏患者中,曲霉特异性IgG抗体对IPA的诊断价值优于血清GM,但略低于BALF GM;特别是在急性感染病程超过10 d的慢阻肺患者中,曲霉IgG检测对IPA的诊断具有一定价值。对于肺功能较差,无法留取肺泡灌洗液患者,可进行曲霉IgG抗体检测。

EORTC-MSG已将曲霉PCR纳入到诊断标准中。怀疑IPA时,推荐进行BALF的曲霉荧光qPCR检测。尽管已经有关于二代测序手段用于慢阻肺患者伴发IPA的诊断案例报道,但诊断效率及其与其他诊断方法的对照验证尚未完成。建议对怀疑曲霉感染但当地微生物实验室诊断阴性的患者进行宏基因组二代测序(mNGS),但结果的解释需结合胸部CT等进行综合评估。

6
对于拟诊IPA的慢阻肺患者,是否启动经验性抗曲霉治疗

  • 【共识意见5】不推荐对慢阻肺患者常规进行基于临床症状(如咳嗽、发热、呼吸困难等)的经验性抗曲霉治疗。
  • 【共识意见6】对于广谱抗菌药物治疗无效且伴有IPA影像学表现的危重症(如入住ICU、呼吸衰竭)或呼吸困难无法缓解患者、HRCT或支气管镜检查符合气道曲霉病表现的患者、近3个月有口服或静脉糖皮质激素使用史的患者、既往有气道曲霉感染或定植史的患者,可在充分评估曲霉感染风险的情况下开始经验性抗曲霉治疗,并尽早启动病原学检查。

慢阻肺患者伴发IPA需要及早诊治,否则短期内病死率会显著升高。然而,由于慢阻肺患者下呼吸道曲霉定植率高于健康人群,且其伴发IPA在影像学上往往缺乏血管侵袭性IPA的典型表现,而有创采样在合并呼吸衰竭的重度慢阻肺人群中的可实施性差,这给兼顾早期治疗和避免过度治疗带来了挑战。值得指出的是,慢阻肺伴IPA患者在影像学上虽然缺乏晕轮征等表现,但对比细菌性肺炎或病毒性肺炎仍有相对特异的改变,并且大部分患者可争取通过无创甚至有创方法获取到微生物学诊断证据。因此,不推荐在慢阻肺患者常规进行基于临床症状的经验性抗曲霉治疗。对于大部分慢阻肺患者,应结合临床特点、影像学表现和微生物学检测结果实施诊断驱动治疗,推荐积极开展病原学诊断,包括合格下呼吸道标本的涂片、培养、分子诊断、GM试验(图5)

图片图5  慢阻肺伴IPA的诊治流程
对于病情危重的慢阻肺伴IPA的患者,早期抗真菌治疗可取得更好的临床预后。因此,对于伴有典型症状和肺部影像学表现的重症患者(如入住ICU、呼吸衰竭)、呼吸困难无法缓解患者、HRCT或气管镜检查符合气道侵袭性曲霉病患者、既往有呼吸道曲霉感染或定植病史的患者,可在启动病原学诊断的同时,开始经验性抗曲霉治疗。基于危险因素的慢阻肺伴IPA发病预测模型有助于临床医生决策是否启动经验性抗曲霉治疗。
7
慢阻肺伴IPA治疗的抗真菌药物选择

  • 【共识意见7】推荐慢阻肺伴IPA起始治疗首选伏立康唑、艾沙康唑以及泊沙康唑。伏立康唑为治疗IPA的经典方案;艾沙康唑、泊沙康唑与伏立康唑疗效相似,安全性和耐受性更好。使用泊沙康唑时,推荐根据患者情况使用注射液或肠溶片。
  • 【共识意见8】不推荐棘白菌素类用于慢阻肺伴IPA的初始单药治疗。棘白菌素类联合伏立康唑、艾沙康唑或泊沙康唑可作为耐药、难治或进展型IPA补救治疗的选择。棘白菌素类可作为唑类不耐受患者的备选。
  • 【共识意见9】对唑类耐药的患者,推荐使用两性霉素B脂质体作为替代方案。结合我国国情及药物的可及性,两性霉素B胆固醇硫酸酯复合物和两性霉素B脱氧胆酸盐也可作为治疗选择。在治疗危及生命的慢阻肺伴IPA时,两性霉素B脱氧胆酸盐可使用3~5 d快速加量疗法(即在3~5 d内将剂量加至治疗剂量),但需密切监测药物不良反应。

IDSA与ESCMID-ECMM-ERS发布的曲霉病诊治指南中推荐伏立康唑及艾沙康唑作为IPA一线治疗方案。一项关于艾沙康唑(258例)对比伏立康唑(258例)一线治疗IA的非劣效性随机对照Ⅲ期临床研究结果证实,艾沙康唑与伏立康唑疗效相当,其42 d全因病死率与伏立康唑差异无统计学意义,且艾沙康唑的肝毒性和神经毒性的发生率更低。

一项泊沙康唑(288例)对比伏立康唑(287例)一线治疗IA的Ⅲ期临床非劣效研究结果显示,泊沙康唑静脉剂型及口服缓释片的42 d全因病死率非劣效于伏立康唑,且泊沙康唑耐受性良好;拟诊IA患者组的42 d全因病死率明显低于伏立康唑。鉴于泊沙康唑口服混悬液的生物利用度个体差异大,同时肠溶片的口服生物利用度为54%,因此,如使用泊沙康唑治疗IPA,推荐根据患者情况选用注射液或肠溶片,危重症、进食困难患者的初始治疗应选择注射液。

伏立康唑最低抑菌浓度(MIC)≥2 μg/ml的菌株会增加伏立康唑治疗IA失败的风险。对于耐药菌株所致的IPA推荐使用两性霉素B脂质体作为替代治疗方案。两性霉素B胆固醇硫酸酯复合物和两性霉素B脱氧胆酸盐也可作为唑类不耐受、耐药、难治或进展的IA的治疗选择。

法国一项多中心回顾性研究分析了424例临床诊断和确诊为IA患者的临床资料,显示初始治疗中是否有伏立康唑是影响IPA临床预后的关键因素,有伏立康唑组12周总病死率显著低于无伏立康唑组(卡泊芬净、两性霉素B脂质体)。初始单药治疗失败、无法耐受、耐药或多部位感染的难治性IPA患者,可考虑采用棘白菌素类(米卡芬净或卡泊芬净)联合伏立康唑或两性霉素B脂质体作为挽救治疗,以提高临床疗效。

慢阻肺伴IPA治疗的抗真菌药物选择见表2。

图片
8
慢阻肺伴IPA初始治疗的疗效判断

  • 【共识意见10】推荐以临床症状(包括发热、喘息等)为评估慢阻肺伴IPA抗曲霉疗效的首要指标。对于抗曲霉治疗期间未出现临床恶化的患者,建议间隔2周以上复查胸部CT或X线胸片。对于基线血清GM试验阳性的慢阻肺伴IPA患者,建议随访GM试验以帮助评估治疗。

慢阻肺伴IPA患者的一般情况改善或恶化通常早于影像学和微生物学改变。疗效判断的首要观测指标是临床症状,包括发热、咳嗽、咳痰、喘息和呼吸困难等。临床症状改善与抗真菌疗效相关。

影像学是评价IPA患者抗真菌治疗改善的重要参考,但影像学改变滞后于临床症状改善,不建议仅根据治疗初期病灶的扩大判定治疗无效。开始抗真菌治疗15 d后,在免疫状态未发生改变的情况下原肺部病灶增加≥25%提示疾病进展。在治疗2周时病灶扩大患者治疗失败风险显著增加。开始抗真菌治疗8~14周时CT影像学发现新发病灶,且与患者临床的恶化相符,在排除其他病理因素后常提示难治性疾病或突破性感染,应进行病原学检测。PET-CT在早期评估IPA患者抗真菌治疗反应方面有潜在价值,但用于评价治疗反应的糖摄取量(TLG)和代谢总量(MV)诊断标准尚未建立。

对于基线血清GM阳性的患者,血清滴度的改变与治疗反应和治疗结局存在相关性。治疗后患者在前2周血清GM滴度值的降低与第6周时的治疗反应率和生存率相关,患者血清GM持续检出阴性与良好预后相关。如基线血清GM阴性,则无法评价滴度值在该人群中疗效评价的价值。目前无临床证据支持将曲霉特异性IgG抗体作为疗效判断标准。

BALF标本中GM滴度值和PCR拷贝数量间接表达了患者肺部感染的真菌负荷,在高真菌负荷情况或严重真菌侵袭情况下增加了不良预后的风险。目前尚缺少基于BALF标本GM或PCR检测用于评价抗真菌治疗的研究。BALF-GM滴度值的改变可能来自于标本采集差异。

9
慢阻肺伴IPA的抗真菌疗程

  • 【共识意见11】对于慢阻肺伴IPA患者,推荐抗曲霉治疗至少6~12周。推荐基于临床症状、肺部影像学和微生物学检测结果决定抗真菌疗程,病灶显著吸收并趋于稳定和脱离相关危险因素是停药的重要参考。

由于IPA患者基础状态与基础疾病的治疗存在异质性,抗真菌疗程跨度较大。慢阻肺伴IPA应给予至少6~12周的抗真菌治疗。治疗终点应基于患者临床症状、肺部影像学和微生物学诊断改善,病灶显著吸收并趋于稳定、免疫功能恢复、相关危险因素去除是停药的重要参考。停药前原则上患者应无发热、无活动感染症状及无活动性肺部浸润。疗程不足可能导致IPA复发,研究显示抗真菌治疗疗程短于9周和影像学未吸收是IPA复发的独立危险因素。
10
慢阻肺伴CPA的临床和影像学特点

CPA的发生常以各种病因导致的不规则空腔和空洞结构(例如肺大疱、支气管扩张、结核空洞等)为基础,患者以反复或长期乏力、体重下降、食欲减退等慢性消耗症状相对常见,可伴有慢性咳嗽、不明原因咯血、胸闷等非特异性症状。CPA的起病隐匿,病情进展较慢,在慢阻肺患者尤其难以察觉,通常患者只有在出现咯血或急性加重时才就诊,漏诊、误诊率高。

CCPA是慢阻肺合并CPA的最常见类型,在胸部CT上表现为多个或一个肺空洞/空腔结构,可含有一个或多个曲霉球或不规则内容物;常伴有临近胸膜的增厚。胸部影像可缓慢进展(图6)

图片
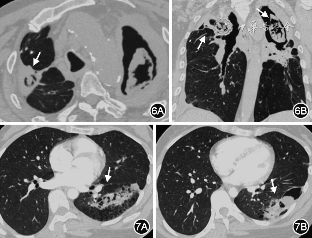
图6  CCPA典型表现。患者,男,64岁,慢阻肺和陈旧结核病史,咳嗽加重半年伴消瘦。双肺上叶可见多发不规则空洞,空洞内可见曲霉球形成(白箭头)。双肺可见肺气肿改变

图7  SAIA典型表现。患者,男性,50岁,慢阻肺病史,反复咳嗽、咳痰伴发热2个月余。胸部CT显示左肺下叶不规则空洞,空洞内见球样结构,空洞周围肺组织实变(白箭头)

当患者免疫功能受损加重时,CCPA可演进为SAIA。SAIA也被称为半侵袭性(semi-invasive)肺曲霉病或CNPA。尽管在分类上属于CPA,但SAIA在病程和临床表现方面更倾向于IPA,以亚急性或慢性咳嗽、咳痰以及发热等全身症状为特征。15%的SAIA患者出现咯血症状。SAIA的影像表现多样,包括空洞、结节、进展性实变伴空洞形成,空洞周围可伴有实变、小叶核心结节,临近胸膜可见增厚,增强扫描曲霉球或内容物不强化,空洞壁可见强化(图7)

11
慢阻肺伴CPA的诊断

  • 【共识意见12】推荐对怀疑慢阻肺伴CPA的患者行胸部CT平扫检查及动态观察。怀疑慢阻肺伴CPA的患者推荐进行外周血曲霉特异性IgG抗体检测以及其他曲霉检测。对于常规方法难以诊断或需要进一步鉴别诊断者,推荐进行肺组织病理学检查。

本共识参照CPA的临床证据结合慢阻肺的疾病特征提出相关诊断和治疗建议,慢阻肺患者如符合如下标准可诊断为CPA:①不能完全用慢阻肺解释的咳嗽、咳痰、咯血等慢性呼吸系统临床症状,持续≥3个月;②胸部影像学显示1个或多个空洞,伴或不伴曲霉球;③曲霉感染的微生物学证据,包括呼吸道标本涂片见菌丝和/或曲霉培养阳性、BALF GM试验阳性,或曲霉特异性IgG抗体阳性;或病理学证据,包括肺活检标本见菌丝或无菌标本培养见菌丝。应注意和其他真菌感染、肺结核病、肿瘤、血管炎等疾病鉴别(图8)

图片
图8  慢性阻塞性肺疾病合并慢性肺曲霉病(CPA)的诊治流程

推荐对怀疑慢阻肺伴CPA的患者行胸部CT平扫检查及动态观察,当肺部影像学改变怀疑CPA时推荐常规进行痰真菌镜检和培养,但痰培养敏感度较低,阳性率仅为30%左右。曲霉特异性IgG抗体检测是CPA最可靠的微生物学诊断方法,其敏感度和特异度均>80%,且有助于区分感染和定植,是CPA疾病活动与预后的重要指标。PCR检测痰液曲霉的敏感度高于培养,PCR检测BALF曲霉的敏感度可达87.18%,而CPA患者血清曲霉PCR检测敏感度低,所以疑似慢阻肺伴CPA的患者推荐采集BALF行PCR检测曲霉,当不能区分定植和感染时,建议结合曲霉IgG抗体检测。由于CPA患者罕见血管侵袭,因此血清GM试验通常为阴性,其敏感度低于40%,而BALF GM试验敏感度和特异度均>75%,因此推荐BALF GM试验用于慢阻肺患者伴CPA的诊断。对于诊断慢阻肺伴CPA的患者,建议依据患者的免疫状态和其他基础疾病、临床和影像学表现及动态变化,以及实验室检查结果进行分型(图8)

12
慢阻肺伴CPA的抗真菌治疗及药物选择

  • 【共识意见13】慢阻肺患者因CPA出现呼吸道症状加重或咯血等并发症且伴有血清学及影像学进展依据时推荐抗真菌治疗。对于无相关症状且稳定的合并单纯型曲霉球或曲霉结节的慢阻肺患者,不建议常规抗真菌治疗,但应定期随访。
  • 【共识意见14】推荐口服伊曲康唑口服液或伏立康唑片剂作为慢阻肺伴CPA的首选治疗方案。若伊曲康唑或伏立康唑产生耐药性或出现不良反应,推荐口服艾沙康唑胶囊或泊沙康唑肠溶缓释片剂作为替代药物。建议静脉输注棘白菌素类或两性霉素B(脱氧胆酸盐或脂质制剂)作为三唑类治疗失败、出现耐药性或患者不耐受情况下的二线治疗方案。

抗真菌治疗的目的是控制感染、阻止肺纤维化的进行性发展,预防咯血,改善生活质量。应综合患者所患CPA的种类、临床表现和有无外科手术适应证等情况来决定是否进行抗真菌治疗。慢阻肺患者的呼吸道症状常持续存在,若因CPA出现发热及呼吸道症状加重或咯血等并发症且伴有血清学及影像学进展依据时建议抗真菌治疗。对于无症状且稳定的合并单纯型曲霉球或曲霉结节的慢阻肺患者,可以持续随访而无需抗真菌治疗,除非为无法耐受手术切除的有症状患者或免疫功能低下或存在血清学及影像学进展的患者。

口服三唑类药物是慢阻肺伴CPA的一线方案。首选口服伊曲康唑口服液(200 mg,2次/d)或伏立康唑片剂(150~200 mg,2次/d)。氟康唑没有抗曲霉活性。在随访过程中应进行下呼吸道标本真菌培养及药敏试验。一项回顾性研究显示,在低三唑类耐药的医院内接受长疗程抗真菌治疗的CPA患者,三唑类耐药菌株的分离率可高达8.3%。若在抗真菌治疗期间出现曲霉培养阳性也提示存在唑类耐药。

若伊曲康唑或伏立康唑产生耐药或出现不良反应,可选择艾沙康唑胶囊(200 mg,1次/d)或泊沙康唑口服肠溶缓释片剂(300 mg,1次/d)作为替代药物,但目前缺乏用于治疗慢阻肺患者合并CPA的高质量证据。一项随机对照Ⅲ期临床研究比较艾沙康唑(52例)与伏立康唑(27例)在治疗CPA上的临床疗效和安全性,两组患者的总体反应率差异无统计学意义,且艾沙康唑表现出更好的安全性。泊沙康唑口服耐受性也较好。

静脉输注棘白菌素类或两性霉素B可作为三唑类治疗失败、出现耐药或患者不耐受情况下的二线治疗方案。有研究表明棘白菌素类作为诱导治疗或与口服三唑类药物序贯治疗的策略对合并CPA患者预后差异无统计学意义。

不建议对合并CPA的慢阻肺患者常规使用联合抗真菌治疗方案。在症状严重、唑类治疗失败或出现耐药等情况下,可考虑使用联合抗真菌治疗方案。

CPA的局部抗真菌治疗见“十八”。
13
慢阻肺伴CPA初始治疗疗效判断

  • 【共识意见15】推荐通过呼吸道症状和影像学检查综合评估临床反应。

目前尚未有普遍认可的治疗疗效定义。一般治疗有效是指在3、6个月评估时临床改善和影像学稳定或改善,下呼吸道标本真菌培养转为阴性多提示治疗有效,血清学不作为评价疗效的指标。治疗失败是指在3、6个月评估时表现出临床恶化或影像学恶化,且下呼吸道标本的微生物检测提示为CPA所致,排除任何其他原因导致的临床或影像学恶化。

CPA患者接受抗真菌治疗后血清曲霉特异性IgG水平缓慢降低,过程可能持续数月,甚至1年后仍可测得特异性抗体。不建议将血清学检测作为评价整体疗效的常规监测指标,但可作为评价病情变化的参考依据。
14
慢阻肺伴CPA的抗真菌疗程

  • 【共识意见16】推荐慢阻肺伴CPA的抗真菌治疗持续至少6个月,其中CCPA患者的疗程至少9个月。

目前CPA的抗真菌疗程尚无明确共识,推荐治疗持续时间≥6个月,并基于风险和收益评估确定是否停药。部分初始疗效不理想的患者可能在9个月后出现反应,特别是合并CCPA的患者初始疗效观察期建议为9个月。有研究表明将抗真菌治疗疗程延长至12个月以上有助于降低CPA的复发率。

约有1/3的患者在停药后会出现复发,其中多叶受累的风险更高。因此推荐疗程完成后继续监测随访,需要结合患者的临床特征、免疫功能状态、肺功能状况、抗真菌药物耐受性、药物相互作用以及社会经济成本等综合因素进行个体化管理。
15
慢阻肺患者曲霉致敏的评估

  • 【共识意见17】慢阻肺患者出现难治性喘息和/或肺功能快速下降时推荐进行曲霉致敏评估,包括曲霉特异性IgE、皮肤曲霉抗原试验、曲霉特异性IgG、血总IgE、血嗜酸粒细胞计数和痰液检查。

慢阻肺中2%~15%的患者发生曲霉致敏,平均患病率约为9.8%。临床症状主要表现为更加严重的慢性咳嗽、咳痰、喘息,夜间因咳嗽觉醒次数增加。曲霉致敏与慢阻肺频繁急性加重和肺功能差(FEV1占预计值%下降)相关。室内环境的真菌过敏原负荷,与慢阻肺症状和肺功能相关,说明环境暴露对慢阻肺曲霉致敏的重要性。慢阻肺患者曲霉致敏可发展为ABPA。合并曲霉致敏可能存在不同程度的支气管扩张,慢阻肺伴支气管扩张的患者更容易发生ABPA。

曲霉致敏相关检查包括曲霉特异性IgE、曲霉抗原皮试、曲霉特异性IgG、血清总IgE、血和痰液嗜酸粒细胞计数等。慢阻肺患者曲霉致敏表现出较高的血清总IgE,血清总IgE水平升高是慢阻肺曲霉致敏诊断的主要标准之一,也是随访中观察治疗效果和疾病复发的关键指标。慢阻肺患者合并曲霉致敏可有外周血嗜酸粒细胞计数升高。痰液(特别是痰栓)显微镜检查可发现曲霉菌丝,偶尔可见到分生孢子,嗜酸粒细胞常见,有时可见夏科-莱登(Charcol-Leyden)结晶。痰培养检出曲霉具有辅助诊断价值,多次检出有助于排除污染。
16
慢阻肺伴曲霉致敏或ABPA是否需要抗真菌治疗

  • 【共识意见18】慢阻肺伴曲霉致敏不建议常规抗真菌治疗,但符合ABPA诊断标准的患者建议使用抗真菌治疗。最常用药物为伊曲康唑口服溶液,也可选择其他唑类如伏立康唑、艾沙康唑及泊沙康唑肠溶片等药物。抗真菌治疗一般疗程3~6个月。

慢阻肺伴曲霉致敏通常不需要抗真菌治疗,但符合慢阻肺伴ABPA诊断标准的患者应用三唑类抗真菌药可减少糖皮质激素使用、降低血清总IgE水平及痰嗜酸粒细胞数目。尽管抗真菌药物尚未在患有慢阻肺的ABPA患者中研究,但在哮喘以及囊性纤维化伴ABPA患者中的研究提示,抗真菌治疗可能会为慢阻肺伴ABPA的患者带来益处。

治疗ABPA的最常用的抗真菌药物是伊曲康唑口服溶液。临床上,伊曲康唑用于减少真菌负担和炎症,同时也是一种类固醇保留剂,以减少皮质类固醇的长期使用。多个临床研究和病例系列表明,伊曲康唑在治疗ABPA方面有益处,包括患有囊性纤维化或者支气管哮喘的ABPA患者。其他唑类如伏立康唑、泊沙康唑肠溶片也具有同样的疗效,也有艾沙康唑用于ABPA的个案报道。一般抗真菌疗程3~6个月;如需继续用药,可考虑减量使用,延长4~6个月。
17
慢阻肺伴肺曲霉病的糖皮质激素使用策略

  • 【共识意见19】慢阻肺急性加重继发IPA或SAIA的患者建议控制糖皮质激素的使用。仅在支气管舒张治疗后喘息等症状仍持续和/或外周血嗜酸粒细胞计数、IgE等指标升高提示重叠曲霉致敏的慢阻肺急性加重继发IPA或SAIA患者,推荐在抗真菌治疗的同时个体化应用糖皮质激素,建议联合雾化吸入以减少全身糖皮质激素的剂量和疗程。
  • 【共识意见20】合并CPA的慢阻肺患者出现以喘息为主的急性加重时,建议在抗真菌治疗的基础上考虑使用短期、低剂量糖皮质激素以控制症状。建议根据外周血嗜酸粒细胞计数指导急性加重期全身糖皮质激素的使用。
  • 【共识意见21】合并CPA的稳定期慢阻肺患者推荐避免使用全身糖皮质激素,避免长期或高剂量吸入糖皮质激素(ICS)。
  • 【共识意见22】合并曲霉致敏且经过规范慢阻肺治疗后仍有持续性喘息的患者或合并ABPA的慢阻肺患者推荐给予全身糖皮质激素联合抗真菌治疗,可考虑联合ICS以减少全身糖皮质激素的用量。治疗中应密切监测疾病向IPA或SAIA的转化。

在慢阻肺伴肺曲霉病的管理中,应参照我国指南给予慢阻肺的规范化治疗,特别是糖皮质激素的合理使用。慢阻肺稳定期患者不推荐单用ICS,长期、高剂量ICS可增加稳定期慢阻肺患者发生IPA的风险;同时,这也是CPA的危险因素。因此,应权衡支气管舒张剂基础上联用ICS在稳定期慢阻肺患者中应用的获益风险比,并定期随访评估伴发IPA、CPA的风险。

一项在慢阻肺急性加重继发IPA的住院患者中的回顾性研究显示,超过90%的患者在抗真菌的同时接受了≥20 mg/d泼尼松相当剂量的全身糖皮质激素治疗,病死率高达58.3%。应用糖皮质激素(特别是全身性使用时)不利于曲霉感染的控制,因此推荐仅在支气管舒张治疗后喘息等症状仍持续和/或外周血嗜酸粒细胞计数、IgE等指标升高提示曲霉致敏的患者,推荐在抗真菌治疗的同时应用糖皮质激素,建议联合雾化吸入以减少全身糖皮质激素的剂量和疗程。

全身性糖皮质激素治疗是CPA进展或播散的重要风险因素。对于合并CPA的慢阻肺急性加重患者,只有在充分接受抗真菌药物治疗前提下,才考虑小剂量激素(泼尼松<30 mg/d)用于慢阻肺气道炎症及症状控制;目前尚无高质量临床研究证据支持全身糖皮质激素治疗的净获益,建议谨慎用药。一项多中心、随机、双盲安慰剂对照试验证实按照EOS是否大于2%使用糖皮质激素可安全地减少慢阻肺急性加重期的全身性激素用量。

口服糖皮质激素是ABPA的基础治疗,慢阻肺伴ABPA的患者应参照我国ABPA专家共识给予激素治疗。联合抗真菌药物治疗有助于减少全身性激素用量、减少IPA或SAIA的发生风险。经曲霉特异性IgE检查证实合并曲霉致敏且经过充分的慢阻肺治疗后仍有持续性喘息的患者或口服激素依赖的患者,糖皮质激素联合抗真菌治疗有助于控制症状。单用ICS对控制ABPA无临床获益;稳定期慢阻肺伴曲霉致敏或ABPA患者伴顽固性喘息时可考虑联合ICS治疗以控制症状并减少激素用量。激素依赖性ABPA患者应用抗IgE单克隆抗体有助于控制症状、减少激素用量、减少急性加重和住院次数,也有小样本研究提示靶向阻断2型炎症反应的生物制剂有相似作用,这些药物在慢阻肺合并ABPA患者中的作用有待临床研究验证。
18
慢阻肺伴肺曲霉病的局部抗真菌治疗

  • 【共识意见23】当慢阻肺伴CPA患者肺部有与支气管腔相通的局限性空洞,且全身性抗真菌治疗无效或因不良反应无法应用、又不能耐受外科手术时,为控制反复咯血,建议考虑雾化吸入两性霉素B及于曲霉球空洞内注射两性霉素B或唑类(伏立康唑、伊曲康唑)抗真菌药物。

对于伴发以气道侵袭性感染为主的慢阻肺患者,当静脉或口服抗真菌治疗效果不佳时,可考虑加用两性霉素B脱氧胆酸盐或两性霉素B脂质制剂雾化吸入治疗。使用雾化吸入两性霉素B脂质体(L-AmB)雾化吸入治疗IPA还需更多大型临床研究加以验证。

CPA患者局部使用抗真菌药物的证据较为充分。当肺部病灶与支气管相通的局限性空洞、肺曲霉球、无法耐受手术、系统性抗真菌治疗无效或因不良反应无法应用时,建议经支气管局部注入抗真菌药物;两性霉素B具有较好的耐受性,是局部病灶、腔内注射及雾化吸入的首选药物。一项气管镜局部注射伏立康唑治疗肺曲霉球患者(82例)的回顾性研究结果显示,30.5%的患者在第1次局部注射后咯血明显好转,68.3%在第2次治疗后咯血明显好转,随访中位无咯血时间长达12个月;54%的患者曲霉球体积较前缩小;雾化后短暂的咳嗽(46.3%)是其最常见的不良事件。一项随机对照临床研究在全身使用伏立康唑治疗基础上,评估是否联合伏立康唑局部注射(每组各30例)在无法耐受手术的肺曲霉球患者中的疗效及安全性,结果表明联合伏立康唑局部注射组治疗咯血及减少曲霉球体积的效果明显优于单一全身治疗组(P<0.05)。

慢阻肺伴肺曲霉病的局部抗真菌治疗方案见表3。治疗中应密切关注咳嗽、气道痉挛、胃肠道反应、味觉异常、超敏反应等不良反应。

图片
19
慢阻肺伴肺曲霉病的介入治疗或手术治疗

  • 【共识意见24】慢阻肺伴CPA患者出现中度或重度咯血时,建议考虑行支气管动脉栓塞术紧急止血,术后仍需高度警惕再发咯血的风险。
  • 【共识意见25】简单型曲霉球患者为避免进展为危及生命的咯血,或以治愈为目的,建议在充分评估后考虑行肺叶或肺段切除;或在可视胸腔镜下清除病灶(应评估病灶,避免曲霉的外溢)。对于难治性CCPA或伴随危及生命咯血的患者,可考虑在经验丰富外科团队支持下行肺叶或全肺切除;围手术期推荐给予至少6个月的抗真菌药物治疗;术后定期随访胸部CT和血IgG抗体水平。

慢阻肺伴CPA患者出现中度或重度咯血时,可考虑行支气管动脉栓塞术紧急止血,但术后仍需高度警惕再发咯血的风险。需要注意的是,动脉栓塞术前应常规行胸部血管CTA检查,以免遗漏左锁骨下动脉及右肋间动脉的出血。支气管动脉栓塞的材料主要包括明胶海绵、聚乙烯醇(polyvinylalcohol)、氧基丙烯酸正丁酯(nbutyl-2-cyanoacrylate)及明胶交联丙烯酸微球等。

慢阻肺伴肺曲霉病患者手术的决定是个体化的,应进行全面的术前评估(功能状态、营养评估、心肺功能、合并症等),以减少术后并发症。

合并单纯肺曲霉球患者为避免进展为危及生命的咯血,或以治愈为目的,可行肺叶或肺段切除,通常预后较好;分布于外周而无肺门旁浸润的肺曲霉球患者可考虑在可视胸腔镜下微创手术治疗,简单型肺曲霉球在无真菌溢出风险下可不给予抗真菌药物治疗。对于慢阻肺伴CCPA患者,若长期抗真菌治疗无效、不耐受或耐药,应考虑在经验丰富外科团队支持下行肺叶或全肺切除,并行胸廓成形;术后应密切关注气胸、支气管胸膜瘘、呼吸衰竭等并发症的风险,并给予个体化的抗真菌治疗。由于CCPA手术切除病灶后仍伴随较高的复发率,围手术期应给予至少6个月的抗真菌药物治疗,其中术前可考虑强化抗真菌治疗2~4周,术后随访CT影像学和血IgG抗体水平。多数SAIA患者可通过抗真菌药物治疗完全治愈,手术指征应限于难治性疾病和伴有严重出血风险患者。

慢阻肺伴支气管内曲霉球(endobronchial aspergilloma)的患者,可尝试通过支气管镜直接钳除曲霉球,且建议曲霉球取出后口服抗真菌药物至少6个月;此操作需注意继发咯血的风险。

20
慢阻肺患者还需警惕哪些其他侵袭性肺霉菌病

慢阻肺患者下呼吸道黏膜屏障受损为霉菌孢子进入肺部进而产生感染创造了条件,同时糖皮质激素治疗作为慢阻肺的主要疗法之一也是多种侵袭性霉菌感染(IMI)的共同危险因素。由于近年来逐渐认识到慢阻肺伴IPA和CPA的较高发病率以及随之而来的抗真菌治疗增加,因此有必要关注三唑类药物长期暴露下出现的罕见霉菌的突破性感染。一项澳洲的非曲霉IMI流行病学研究显示,16%(26/162)的患者伴随慢性肺部疾病。在非曲霉IMI的致病真菌中,毛霉最常见;一项回顾性研究显示,肺毛霉病中最常见的基础疾病为糖尿病(58%)和慢性肺部疾病(32%)。慢阻肺患者中也有尖端赛多孢、多育节荚孢霉病等罕见霉菌感染案例报道。

肺毛霉病的诊断有赖于综合分析患者免疫状态、症状、影像学表现和病原微生物检查。当患者合并糖尿病或严重的病毒性肺炎(如新型冠状病毒或流感病毒感染)、初始抗真菌治疗失败或出现突破性感染时应进行不同霉菌间的鉴别。

在药物治疗方面,两性霉素B具有抗毛霉活性,推荐使用脂质制剂。L-AmB在毛霉病治疗中需采用高于IA的治疗剂量。短链三唑类抗真菌药物(如伏立康唑)对毛霉目真菌天然耐药。长链三唑类抗真菌药物(如艾沙康唑、泊沙康唑等)具有抗毛霉活性。两性霉素单药治疗赛多孢子菌病、受多育孢子虫病成功率较低。

手术干预是肺毛霉病治疗的重要组成部分,尤其是对于局限病灶患者。病灶的清除能够降低毛霉感染病灶向毗邻组织或器官的侵袭,减少毛霉侵袭肺动脉血管带来的严重出血风险。多个研究提示手术联合药物干预能够显著改善患者预后,但重症感染患者可能无法耐受手术治疗、或多发病灶无法通过手术彻底清除。

21
展望

尽管对慢阻肺伴肺曲霉病的认识不断加深,但是无论在已有诊断工具、治疗手段的合理应用方面,还是新型诊断方法和干预措施的研发方面,都有大量工作有待开展。第一,在慢阻肺稳定期、急性加重期的不同状态下伴肺曲霉病不同病谱的流行病学以及相应的风险因素资料较少,有待开展大规模、前瞻性、多中心队列研究加以明确,以助早期诊断策略的制定。第二,在慢阻肺伴肺曲霉病的诊疗中存在较多问题有待回答,例如慢阻肺伴IPA患者的GM试验阳性判定标准、伴CPA特别是重叠曲霉致敏患者的ICS使用、伴ABPA患者的生物制剂使用、曲霉特异性IgG抗体在抗真菌治疗疗效判定中的作用等。第三,为了提升快速诊断的效率,应进一步管理和扩展真菌参考数据库,以便更好地利用真菌参考基因组。新型生物学标志物的研发和使用将促进早期诊断和治疗,也是研究的热点之一。第四,有必要研究慢阻肺患者肺部炎症和曲霉免疫应答的相互影响,及其和其他器官的相互作用,从而为干预提供新靶点。总之,肺真菌病仍是慢阻肺进展或病死率增加的重要因素,亟需深入了解慢阻肺伴肺曲霉病的风险和干预手段,促进早诊早治和规范化疾病管理,最终改善慢阻肺人群的生活质量、延长生存期。

图片

图片

共识审稿专家组(按姓氏拼音排序):曹彬(中日友好医院),陈荣昌(深圳市呼吸病研究所)黄怡(海军军医大学第一附属医院)康健(中国医科大学附属第一医院)刘晓菊(兰州大学第一医院),瞿介明(上海交通大学医学院附属瑞金医院)施毅(南京大学医学院附属金陵医院)孙德俊(内蒙古自治区人民医院)孙永昌(北京大学第三医院)文富强(四川大学华西医院),杨汀(中日友好医院),阎锡新(河北医科大学第二医院)

共识执笔专家组(按姓氏拼音排序):陈燕(中南大学湘雅二医院),高莉(北京大学第一医院),沈宁(北京大学第三医院),苏欣(南京大学医学院附属鼓楼医院),王玮(中国医科大学附属第一医院),徐金富(同济大学附属上海市肺科医院),叶枫(广州医科大学附属医院),张静(复旦大学附属中山医院),张巧(重庆松山医院),周华(浙江大学医学院附属第一医院),朱迎钢(复旦大学附属华东医院)

方法学专家:夏君(宁波诺丁汉大学GRADE中心、英国诺丁汉大学医学院)

文献秘书:刘莉(复旦大学附属中山医院)


参考文献(略)

声明:

本公众号转载的文章仅用于学术信息传播和学习,版权归原作者和原出处所有,如有侵权请联系删除。



全部评论 0
Copyright©2020-2026 北京医麦斯科技有限公司 版权所有 京ICP备2020034400号-1 京公网安备11010502043983号