登录方式

方式一:
PC端网页:www.rccrc.cn
输入账号密码登录,可将此网址收藏并保存密码方便下次登录

方式二:
手机端网页:www.rccrc.cn
输入账号密码登录,可将此网址添加至手机桌面并保存密码方便下次登录

方式三:
【重症肺言】微信公众号
输入账号密码登录

注:账号具有唯一性,即同一个账号不能在两个地方同时登录。

登录
方式

为重症救治赋能

为患者康复加速

当前位置:首页 脏器支持 无创通气

经验分享|无创通气患者的气道管理

秦浩 海军军医大学第一附属医院呼吸与危重症医学科 发布于2023-12-22 浏览 5071 收藏

作者:秦浩

单位:海军军医大学第一附属医院呼吸与危重症医学科

无创通气和慢阻肺急性加重

病史资料

患者“反复咳嗽咳痰不适伴胸闷憋气7年,加重1周”。7年前受凉后出现咳嗽咳痰伴胸闷气促,痰液为白色黏痰,量少,无发热、胸痛等伴随症状。就诊于上海市某医院,诊断为慢性阻塞性肺疾病,给予噻托嗅铵吸入治疗,后患者每年急性加重2~3次,给予药物吸入及无创通气治疗(家用无创呼吸机),病情维持稳定。2021年5月25日因急性阑尾炎住院,保守治疗1周后患者胸闷气喘逐渐加重,活动耐力明显下降,给予无创通气(家用无创呼吸机)、喘定、糖皮质激素等对症治疗,未见明显好转。入院当天中午出现昏迷,急诊收入我科。入院前10天左右患者很少进食,腹胀,少量肠内营养,肠外营养补充治疗。

入院后诊断

慢阻肺急性加重,Ⅱ型呼吸衰竭,肺性脑病,房颤。

无创通气
家用无创呼吸机S/T模式,压力16/6 cmH2O,呼吸频率14~16次/min,呼吸机监测界面显示潮气量约为600 ml。鼻导管接面罩氧10 L/min。入室血气分析:pH 7.086,PaCO2 119.6 mmHg,PaO2 50.2 mmHg。
查体

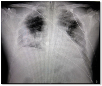
胸片显示患者肺部情况尚可,查体发现患者意识模糊,双肺可闻及哮鸣音,腹胀明显。心率130次/min,呼吸频率12次/min,BP 160/90 mmHg。

图片
下一步治疗

考虑气管插管。但对于很多终末期慢阻肺患者,一旦插管之后可能面临气管切开、肺部反复感染、呼吸机相关性肺炎等问题。因此我们希望能够避免气管插管。

需要注意的问题是:①引起二氧化碳分压升高的原因是什么?②呼吸支持方式:继续使用无创通气还是进行有创通气?③是否还有其他可以改善病情的治疗方法?

(1)二氧化碳分压升高的原因:氧气和二氧化碳的交换是弥散的过程,二氧化碳的弥散是氧气的20倍,所以肺泡内二氧化碳分压(PACO2)约等于动脉血二氧化碳分压(PaCO2)。从下列公式可以发现,PACO2与二氧化碳产生量有关(VCO2),而VCO2与体温以及代谢有关,此外,PACO2还与肺泡通气量(VA)有关,升高VAPACO2即可下降。假定VCO2为200 ml/min,VA为4.315 L/mim情况下,PACO2约为40 mmHg。高碳酸血症与VA呈正线性关系。


【K为常数,在标准条件下为0.863】
图片

该患者二氧化碳分压如此高,其VA一定是下降的。但VA≠分钟通气量(VE)。虽然该患者呼吸机参数显示潮气量为600 mL左右,但其死腔很大。

图片

【VE:分钟通气量(VT×RR),VT:潮气量;VD:生理死腔,包括解剖死腔和肺泡死腔】

分钟通气量及潮气量与患者的呼吸形式直接相关,呼吸加深加快时分钟通气量明显增加,但并不代表有效肺泡通气量的增加。保证有效的肺泡通气量,还需要保证气道通畅,死腔不增加。

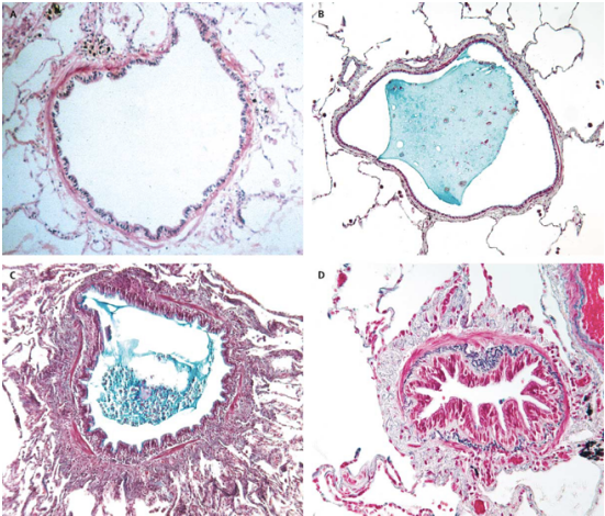
小气道没有软骨环的支撑,反复感染后,吸气相胸腔内有负压,气道可以张开,然而在呼气相,小气道会提前陷闭。因此,慢阻肺患者在每一次呼气时可能都呼不完全,肺泡内残气量逐渐增加,这也是导致慢阻肺患者出现肺气肿、肺大泡以及二氧化碳潴留的原因。慢阻肺患者小气道陷闭会使远端肺泡扩张,导致内源性PEEP和死腔增加以及肺循环阻力增加。所以。相当一部分慢阻肺患者最终都会出现低氧、高碳酸血症、膈肌无力的表现。

图片
A为正常小气道;B为黏液阻塞的小气道;C为急性炎症的气道——气道壁增厚;D为反复炎症感染后,气道结构劈坏。
图源:Lancet, 2004, 364:709-721.
对于慢阻肺患者出现的上述问题,可以通过无创通气改善。无创通气的作用主要体现在:①通过呼气末压力来开放小气道,减少残气量,降低内源性PEEP,降低二氧化碳分压。②通过吸气相压力发挥辅助呼吸作用,同时增加通气量。在不增加死腔量的情况下,使分肺泡通气量升高,进而降低二氧化碳分压。

临床抉择

分析引起二氧化碳分压升高的原因:通气不足。感染(口腔/鼻腔干燥,咳黄脓痰,且咳痰费力)?心功能?压力支持不足?气道湿化问题/气道痉挛?患者外院静脉使用激素类药物,如果雾化吸入,是否效果更好?

呼吸支持方式:继续无创通气。观察患者血气指标,如无好转,随时插管。

气道问题

(1)湿化不足:家用无创呼吸机与医用无创呼吸机的湿化器功能完全不同。家用呼吸机有多个湿化档位,患者居家使用过程中会根据舒适度自我调节,有时会将其调低,甚至撤掉湿化器,虽然呼吸机仍然可以送气,但失去了湿化功能,短时间应用可能没有问题(如OSAS患者),但如何患者合并感染或慢性气道疾病,则风险会增加。医用无创呼吸机的湿化功能优势很明显。因此,如果该患者换用主动的加温加湿器,是否会有好转。

2014年发表的一项多中心随机对照试验纳入了200多例患者,研究不同湿化装置[加热湿化器(HH)和人工鼻(HME)]对ICU呼吸机无创通气期间插管率的影响。结果显示:在无创通气持续时间、ICU和医院住院时间或ICU死亡率方面并无显著差异。该研究中无创通气的时间为3~4天,时间太短,不足以体现湿化的重要性。因此,该研究结果仍然值得商榷。

2010年发表的一篇文献比较了家庭无创通气或短时间无创通气使用的湿化装置与有创通气使用的湿化装置之间鼻腔干燥、出血、味觉丧失等的发生率。结果显示主动湿化的效果更好,发生上气道干燥的情况更少。该文章就“是否在无创通气中常规使用湿化”进行了辩论。正方列举了一系列有益的证据:增加患者的舒适性,改善气道的顺应性,降低气道阻力,有利于清除气道分泌物,提高无创通气成功率。因此,目前国内外指南均推荐:无创通气过程中,尤其是住院患者,急性期一定要使用主动加热湿化器,不主张无创通气患者进行被动湿化。而反方则认为:短时间没有必要使用加热湿化器,而且费用比较高。

长期住院的慢阻肺患者,长时间无创通气会使鼻腔黏膜很干燥甚至出血。2012年发表的一项研究将这类患者的鼻腔黏膜进行了活检,发现鼻黏膜变形和角化,这会影响鼻黏膜以及鼻黏膜下的血管,长时间就可能引起鼻腔出血。

综上,湿化在无创通气中非常重要。对于该患者,我们为其更换了医用无创呼吸机,同时换用了主动湿化器。

(2)痰液引流:该患者既往在外院反复吸痰,鼻腔由于吸痰管的刺激,容易出血。如何解决这一问题?有文献报道,无创通气患者可以在通气过程中放置鼻咽通气道或口咽通气道,借此来进行吸痰操作,能够降低鼻黏膜损伤及形成血痂或焦痂的风险。

(3)气道痉挛:该患者有明显的气道痉挛,既往静脉用激素效果欠佳。静脉用激素对气道局部炎症的控制相对较差。在不戴无创呼吸机的情况下,雾化吸入药物在肺部的沉积率较低,尤其是肺性脑病患者。建议将雾化器连接在面罩和吸气阀之间,效果会更好。

临床治疗
  • 药物及支持治疗:全身用糖皮质激素联合布地奈德雾化吸入,抗生素抗感染治疗,胃肠减压,营养支持,利尿治疗。

  • 呼吸支持:增加压力,加强湿化,通过鼻咽通气道改善分泌物引流,减少肺性脑病患者上气道的塌陷。

  • 护理措施:气道护理,意识状态变化,翻身拍背。
后续转归

经过治疗,患者pH逐渐恢复正常,PaCO2下降,PaO2升高,病情好转。患者转出ICU时的血气指标基本恢复正常。患者康复出院后继续家庭无创通气治疗。

图片

无创通气和急性肺源性心脏病

病史资料

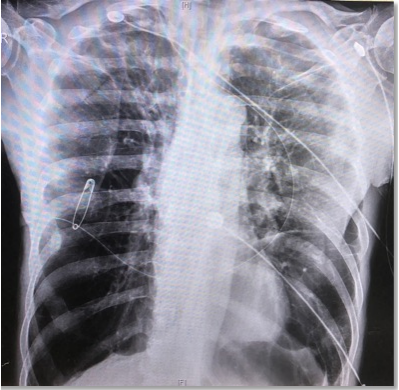
患者主诉“发作性胸痛8个月,加重2周,胸闷气促1周”。8个月前无明显诱因感心前区疼痛,针刺样,持续时间短。无放射痛,口服麝香保心丸可缓解。2022年6月至我院心内科就诊,冠脉造影提示冠脉狭窄,拒绝支架植入,近2周胸痛加重,双下肢水肿加重,1周前出现胸闷气急进行性加重,不能平稳,咳嗽咳血性分泌物,外院给予无创通气治疗,1天前急诊收治我院心内科监护室。入院诊断“冠心病,高血压病3级,2型糖尿病,脑梗死后遗症”。胸片显示心脏增大,两肺渗出明显。
图片
予无创通气治疗,加强湿化。然而患者肺部渗出愈加明显,氧合变差,于当晚气管插管。一般来说,对于急性左心衰,无创通气能够减少静脉回流,降低前负荷;增加左室跨室壁压力,降低后负荷;增加跨肺压,改善间质水肿;减少呼吸做功,改善氧合。然而,为何该患者病情加重?
后续检查及预后
通过气管镜肺泡灌洗发现气道远端大量血性分泌物。考虑对于长期心衰患者,在合并感染情况下,血性分泌物淤积在远端小气道或肺泡腔内,改善湿化以后,可能使这些淤积的分泌物被“泡开”,使氧后变得更差。插管吸痰及造影后拔管,复查患者胸片可见明显好转。
所以,对于无创通气患者,一定要关注其分泌物情况,避免发生痰堵。
图片

无创通气和ARDS

病史资料

高龄女性患者,入院6天前受凉后出现发热,体温最高39℃,伴有咳嗽咳痰,3天前出现痰中带血及活动后呼吸困难,且呼吸困难症状逐渐加重。急诊收治我科。血气分析:pH 7.48,PaCO2 29 mmHg,PaO2 55 mmHg。入科查体:急性病容,三凹征明显。HFNC后氧合稍好转,但胸闷气急仍明显。
无创通气
患者拒绝气管插管,继续无创通气治疗,吸氧浓度80%。镇痛镇静,床旁支气管镜下吸痰,每日1次,维持氧合。1周后好转(甲流合并VAP)。
图片
我们研究发现,在全脸面罩下,如果无创通气患者出现了PaCO2升高或气道分泌物引流障碍,可以通过气管镜进行分泌物吸除。镇痛镇静及分泌物引流障碍不是无创通气的绝对禁忌证。可以通过气道管理手段恢复气道通畅,部分患者可以避免插管。
图片
注:a为无创全脸面罩;b为气管镜经全脸面罩进入气道;C为电子支气管镜
国外也有很多无创机械通气期间通过全脸面罩、鼻罩等进行支气管镜检查的报道。对于氧合较差的危重患者,无法耐受气管镜检查,或只能通过气管插管才可进行气管镜检查,也可以用无创通气进行气管镜检查过程中的呼吸支持。
2020年发表的一篇文献报道了一例急性呼吸衰竭的高龄女性患者在双管路无创通气情况下使用一种特殊的装置,其中有两根导管,一根导管连接胃管,另一根导管是气管插管的引导丝,该引导丝置于气道中。予患者镇痛镇静,并备紧急气管插管。该患者体重很大,属于困难气道。经过上述无创通气治疗1周后,病情改善。
对于无创通气气道管理中可能出现的一系列问题,如果有良好的预判、全面的风险预防和处理措施,很多患者可以避免气管插管。

无创通气和呼吸介入

病例介绍

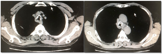
患者男性,65岁,肺鳞癌,气管中段外压性狭窄,气管金属支架置入术后13天,胸闷气急进行性加重,端坐位,指脉血氧饱和度80%~85%。
图片
支架植入术后7天,肿瘤已长入支架腔,清理后缓解。
图片
胸闷气促原因
  • 支架下端肉芽阻塞气管?

  • 支架内痰液附着?

  • 其他原因:继发感染?肺栓塞?
下一步治疗

如果行支气管镜下介入治疗,需考虑氧合问题及转运风险。如果行气管插管,患者有出现免疫抑制或呼吸机相关性肺炎(VAP)的风险。

综合评价后,予行无创通气辅助+支气管镜检查,患者病情很快得到缓解。

小结

通过上述病例,我们进行了总结:①无创通气的管理主要在于两方面,一是气道的问题,二是胃肠道的管理。对于需要长期无创通气的患者,可以放置空肠管持续胃肠减压,降低反流的风险。随着临床治疗手段的增多,无创通气的临床应用适应证也逐渐扩大。②气道问题是决定无创成败的重要因素。气道管理不好,无创通气失败率会明显增加。③无创通气过程中应关注湿化、雾化、患者自身、护理、呼吸治疗等细节问题,需要仔细斟酌处理。④支气管镜是气道管理中强有力的工具,不单单在呼吸介入诊疗过程中,在危重患者气道管理中,支气管镜也发挥了很大作用。

参考文献

[1] Hogg JC. Pathophysiology of airflow limitation in chronic obstructive pulmonary disease[J]. Lancet, 2004, 364(9435):709-721. 

[2] Krieger BP. Hyperinflation and intrinsic positive end-expiratory pressure: less room to breathe[J]. Respiration, 2009, 77(3):344-350.

[3] Lellouche F, L'Her E, Abroug F, et al. Impact of the humidification device on intubation rate during noninvasive ventilation with ICU ventilators: results of a multicenter randomized controlled trial[J].  Intensive Care Med, 2014, 40(2):211-219. 

[4] Branson RD, Gentile MA. Is humidification always necessary during noninvasive ventilation in the hospital?[J]. Respir Care, 2010, 55(2):209-16; discussion 216.

[5] Esquinas Rodriguez AM, Scala R, Soroksky A, et al. Clinical review: humidifiers during non-invasive ventilation--key topics and practical implications[J]. Crit Care, 2012, 16(1):203. 

 作者介绍


图片

秦 浩

海军军医大学第一附属医院呼吸与危重症医学科主管呼吸治疗师。专业方向为机械通气、危重症监护及呼吸介入。中国医学装备协会呼吸病学装备技术专业委员会委员,中国康复医学会呼吸康复专委会第二届委员会呼吸治疗学组委员,中国医师协会内镜医师培训学院呼吸内镜资深讲师,上海市医学会呼吸病学专科分会呼吸治疗学组(筹)委员兼秘书,上海呼吸治疗联盟核心成员,长海医院微创精品课程导师。发表SCI及核心期刊8篇,参与制定专家共识2项,参编参译多部著作。获实用新型专利3项;参与国家级课题1项,省部级课题3项,校级课题2项。

全部评论 0
Copyright©2020-2026 北京医麦斯科技有限公司 版权所有 京ICP备2020034400号-1 京公网安备11010502043983号