登录方式

方式一:
PC端网页:www.rccrc.cn
输入账号密码登录,可将此网址收藏并保存密码方便下次登录

方式二:
手机端网页:www.rccrc.cn
输入账号密码登录,可将此网址添加至手机桌面并保存密码方便下次登录

方式三:
【重症肺言】微信公众号
输入账号密码登录

注:账号具有唯一性,即同一个账号不能在两个地方同时登录。

登录
方式

为重症救治赋能

为患者康复加速

当前位置:首页 脏器支持 呼吸监测

“双重武器”攻破“双重挑战”:一例双原发重症肺癌的双介入救治实践

满宁 武汉亚心总医院呼吸与危重症医学科 发布于2026-04-15 浏览 436 收藏

作者满宁

单位武汉亚心总医院呼吸与危重症医学科

双原发肺癌临床较为少见,合并肺鳞状上皮细胞癌患者常因肿瘤进展迅速、气道梗阻严重、合并基础肺部疾病等因素,给晚期重症肺癌的救治工作带来极大挑战。本文结合1例双原发重症肺癌患者的诊疗经过,系统阐述靶支气管动脉栓塞联合支气管镜下介入的双介入治疗模式在重症肺癌救治中的应用价值,为临床同类病例提供参考。








一、病例资料

1. 基本信息

患者为65岁男性。主诉:间断咳嗽1年,加重伴胸闷喘气1个月,于2025年2月25日入院。

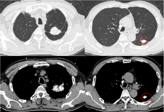
既往有肺结核病史2022年3月31日胸部CT示左肺上叶尖后段及下叶背段条片状密度增高影伴多发斑点状钙化灶(图1),结合病史考虑为陈旧性结核;患者有长期吸烟史,未戒烟。

图片

1  患者2022年3月31日胸部CT

2. 入院查体

入院时生命体征:体温36.6℃,呼吸20次/分,脉搏88次/分,血压151/80 mmHg,未吸氧状态下指脉氧饱和度91%。肺部查体示双肺呼吸音粗,未闻及明显干/湿啰音;心率88次/分,律齐,心脏各瓣膜听诊区未闻及明显杂音;腹软,无压痛,无反跳痛,肝脾肋下未及,双下肢无水肿。

3. 影像学与内镜检查

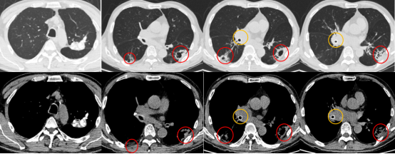
胸部CT2025年2月24日):双肺下叶新发结节团块影,较2022年3月31日新发;右肺门区结节,考虑增大的淋巴结可能(图2)

图片

2  患者2025年2月24日胸部CT

支气管镜检查(2025年2月27日):右中间段支气管下段见新生物,右中叶、右下叶支气管开口重度狭窄(图3);术中行活检、电凝及球囊扩张,快速开通狭窄气道。右中叶开口新生物活检病理提示恶性肿瘤,倾向于低分化癌或上皮样肉瘤。
图片

3  患者2025年2月27日支气管镜检查

PET-CT检查(2025年3月6日):双肺下叶背段软组织团块影代谢增高,考虑双原发恶性肿瘤;右侧肺门肿块代谢增高,提示淋巴结转移并侵犯右肺中下叶支气管; 双侧肾上腺结节代谢增高, 考虑转移瘤; 同时合并双肺上叶肺气肿、左肺陈旧性结核、脊柱退行性变等基础病变(图4)
图片

4  患者2025年3月6日PET-CT检查








二、诊疗经过

1. 首次诊疗与病理确诊

患者3月10日首次入住院后,经气管镜介入及抗感染对症治疗症状好转出院3月13日患者于省肿瘤医院行左下肺团块影穿刺活检,病理结果提示左肺下叶鳞状细胞癌。3月20日确诊为双原发肺恶性肿瘤,左肺下叶鳞状细胞癌Ⅳ期(cT3N1M1),右肺下叶肉瘤样癌Ⅳ期(cT4N3M1c)。

2. 化疗不良反应与病情恶化

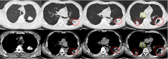
3月21日患者在外院接受奈达铂化疗时出现过敏性休克,后续间断咯血(痰中带血,量6~10 ml),伴胸闷、气喘加重;更换为卡铂40 mg化疗1周期后出院。2025年4月5日复查胸部CT示:右肺门区结节及双肺下叶结节团块影,其中右肺门区结节,较前明显变大;右主支气管内结节,较前新发(图5)
图片

5  患者2025年4月5日胸部CT

3. 重症入院与紧急评估

2025年4月6日患者再次入院,呼吸困难症状明显,血气分析示氧分压43.3 mmHg,提示呼吸衰竭;PS评分4分,无法耐受常规化疗。4月7日支气管动脉CTA提示:支支肋共干的右侧支气管动脉增粗,一支左右共干的支气管动脉异常,右肺门占位血供丰富(图6)

图片

6  患者2025年4月7日支气管动脉CTA








三、多学科协作与双介入治疗

1. MDT诊疗策略

呼吸内科牵头组织肿瘤科、胸外科、麻醉科等多学科会诊, 针对患者严重气道梗阻、肿瘤血供丰富、呼吸衰竭等核心问题, 制定双介入解除气道梗阻的个体化方案: 采用支气管动脉造影及支气管动脉栓塞肿瘤供应血管联合支气管镜下电凝圈套、冷冻、支气管球囊扩张+支气管支架置入

2. 双介入治疗实施

血管介入(靶支气管动脉栓塞): 精准栓塞右肺门肿瘤滋养血管, 减少肿瘤血供, 降低术中出血风险, 抑制肿瘤快速生长。

 

视频:血管介入栓塞右肺门占位血管

气道介入(支气管镜下治疗):依次行高频电凝电圈套切除、冷冻消融、球囊扩张,彻底清除气道内肿瘤组织(图7)2025年4月18日再次清理坏死组织,并于左下叶开口置入覆膜支架(图8),以保障气道通畅。

图片

7  气管镜下电圈套+冷冻+球囊扩张打通气道

图片

8  再次清理气道+置入覆膜支架

3. 治疗效果

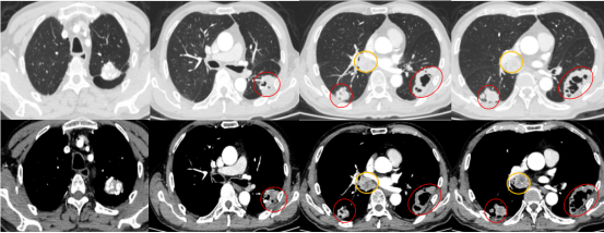
术后患者呼吸困难迅速缓解,PS评分由4分降至1分,再次予卡铂化疗。2025年5月12日复查胸部CT示:右肺门区结节、双肺下叶结节团块影,较前减小,气道支架通畅(图9), 肺通气功能显著改善。

图片

9  2025年5月12日复查胸部CT








四、病例分析与临床启示

1. 肺部钙化病灶癌变的警示

陈旧性结核钙化灶并非绝对安全,长期吸烟、高龄等高危人群,肺内钙化病灶由于持续慢性炎症刺激存在癌变风险。本例患者2022年发现肺部钙化灶后未规律随访,2025年进展为双原发肺癌,提示肺部钙化病灶需长期动态监测。临床发现钙化灶周围出现新发结节、团块影时,应及时行增强CT、穿刺活检、PET-CT等检查,以明确诊断,避免误诊漏诊。

2. 双介入治疗的核心价值

1)血管介入作用:阻断肿瘤血供,促使肿瘤缺血坏死,减少出血风险,为气道介入提供安全保障。本例中通过血管介入为化疗提供更好条件。

2)气道介入作用:直接处理气道内肿瘤组织,打通气道,缓解患者呼吸困难症状,挽救生命。本例中直接处理气道内肿瘤堵塞也起到降低全身肿瘤负荷作用。

3)联合化疗优势:双介入治疗联合化疗,能从不同角度对肿瘤进行治疗,提高治疗效果,本例经此治疗后肿瘤减小。

3. 重症肺癌救治体会

1)治疗复杂性:肺肉瘤样癌合并鳞状细胞癌的治疗是复杂过程,病理类型差异大、进展快,单一治疗手段效果有限,需要多学科团队协作。

2)治疗顺序:肺血管栓塞联合呼吸内镜综合介入治疗首当其冲,通过血管介入栓塞肿瘤滋养血管,再实施呼吸内镜气道介入打通气道,安全性更高、疗效更确切,患者PS评分改善,为后续全身化疗提供保障。

3)团队协作:多学科团队全程参与肿瘤患者的救治,制定个体化方案,团队通力配合,是救治成功的关键。







五、总结

本病例为双原发重症肺癌伴严重气道梗阻的典型案例,其诊疗过程为临床提供了重要启示:临床医生需提高对肺部陈旧性钙化病灶癌变的警惕性,对长期吸烟、高龄、慢性呼吸道疾患等高危人群应建立长期动态随访机制,避免将钙化灶周围新发结节单纯归因于陈旧性结核而延误早期诊断。在治疗层面,合理运用支气管动脉栓塞联合支气管镜下介入的双介入模式,并协同系统化疗,可从局部与全身层面双重控制肿瘤进展,快速解除气道梗阻、纠正呼吸衰竭,为重症肺癌患者改善PS评分创造治疗条件。同时,多学科协作诊疗是实现个体化精准治疗的核心保障,呼吸内科、麻醉科、肿瘤科等科室紧密配合,能够有效应对复杂病例的诊疗挑战,显著提升多原发肺癌患者的治疗效果与生存期。未来,需进一步优化双介入治疗的时机与方案,探索更多联合治疗策略,为重症肺癌患者带来更优的生存获益。

点我观看视频.jpg


作者介绍

图片

满宁

武汉亚心总医院呼吸与危重症医学科科主任、肿瘤医学中心副主任;世界内镜医师学会呼吸内镜分会理事,中国医药教育协会介入微创治疗专业委员会呼吸介入分会常务委员,中国非公立医疗机构协会睡眠专业委员会常务委员,湖北省医师协会呼吸医师分会委员,湖北省临床肿瘤学会介入呼吸病学专家委员会常务委员,湖北省医学会结核病学分会呼吸内镜介入学组委员,武汉医师协会呼吸医师分会副主任委员,武汉医学会呼吸病学分会委员;擅长肺部疑难危重症疾病的诊治、各种原因导致的难治性咳嗽、咯血、肺部肿瘤、肺结节、胸膜疾病的呼吸介入治疗;参与“十三五”国家科技重点项目、部级重点项目各一项;参与主编多部学术专著,发表SCI论文、核心期刊发表专业论文及各类学术论文10余篇。

图片




声明:

本文仅用于学术领域的理论探讨与专业交流,不涉及任何商业推广、产品宣传等非学术用途,亦不作为临床诊疗活动中最终决策的依据。临床实践需根据患者的具体情况选择适宜的处理措施。


全部评论 0
Copyright©2020-2026 北京医麦斯科技有限公司 版权所有 京ICP备2020034400号-1 京公网安备11010502043983号