登录方式

方式一:
PC端网页:www.rccrc.cn
输入账号密码登录,可将此网址收藏并保存密码方便下次登录

方式二:
手机端网页:www.rccrc.cn
输入账号密码登录,可将此网址添加至手机桌面并保存密码方便下次登录

方式三:
【重症肺言】微信公众号
输入账号密码登录

注:账号具有唯一性,即同一个账号不能在两个地方同时登录。

登录
方式

为重症救治赋能

为患者康复加速

当前位置:首页 重症肺炎 免疫缺陷

常见变异型免疫缺陷病合并支气管扩张症一例

周睿捷1,钟佳成2,詹丹婷1,2,王凌伟1,2 1. 南方科技大学医学院;2. 深圳市呼吸疾病研究所 发布于2023-07-20 浏览 2079 收藏

作者:周睿捷1,钟佳2,詹丹婷1,2,王凌伟1,2

单位1. 南方科技大学医学院;2. 深圳市呼吸疾病研究所

【摘要】 支气管扩张症是抗体免疫缺陷患者最常见的呼吸系统表现之一,但临床上由于抗体免疫缺陷患者相对罕见,临床医生对该类原因造成的支气管扩张症认识尚不充分。现报道1例常见变异型免疫缺陷病合并支气管扩张症的临床表现、影像学特征、基因检测结果并随访其预后,旨在强调临床医生应对支气管扩张症进行索因。

支气管扩张症(简称支扩)是由于反复发生的化脓性感染、中小支气管反复损伤和/或阻塞、支气管壁结构破坏,最终导致支气管异常和持久性扩张的一大类疾病。目前我国尚缺乏支扩的流行病学数[1]。支扩的病因多种多样,临床上对某些少见病因所致的支扩认识尚不充分,推测存在相当数量的漏诊和误诊。现报道我科收治的1例常见变异型免疫缺陷病(common variable immunodeficiency disease,CVID)合并支扩的临床表现、影像学特征、基因检测结果并随访其预后,旨在提高临床医生对支扩少见病因的诊断水平。

图片

一、病情资料
病史介绍
患者,女,36岁,因“反复咳嗽、咳痰10余年,发热1天”于2022年3月22日收住院。患者10年前无明显诱因出现咳嗽,咳黄白色痰,无胸闷、胸痛、畏寒、发热、气喘等不适。在我院诊断为“支扩并感染”,予以抗感染、止咳化痰等对症治疗后好转,但病情迁延反复。1天前发热,体温最高达42℃。一步诊院。健。以及恶性瘤病
36.7120次/min,26/min90/55 mmHg身皮双肺干/湿心腹
张症染。

图片

二、诊疗经过
入院完善各项检查。血常规:白细胞5.16×109/L,中性粒细胞比值60.6%,淋巴细比值29.7%3.02 mmol/L,钙2.04 mmol/L,磷0.79 mmol/L;C反应蛋白定量0.60 mg/L,降钙素原<0.05 ng/L,乳酸2.66 mmol/L,肌酐39 μmol/L,间接胆红素1.55 μmol/L。
球蛋白9 g/L(正常值20~40 g/L)疫球蛋白A 0.0g/L(正常0.704.5 g/L蛋白G 1.88 g/L(正常值818 g/L球蛋M 0.02 g/L(正常0.42.5 g/L)淋巴CD3-CD19+总B细胞20.33%(正5%18%,CD3-CD16+CD56+NK细3.52%常值7%40%),CD3-CD16+CD56+对计数68.221501100)
泳:克隆Alpha 215.16%(↑)Beta 17.62%(↑)Gamma 1.46%(↓),曲霉菌GM试)、IgG曲霉IgE阴球菌痰培菌培养、片均
血气分析:pH 7.398PaO2 78.3 mmHgPaCO2 36.4 mmHg,实际剩余-2.4 mmol/L,血氧饱和度93.7%,血氧分压差33 mmHgFiO21%)。
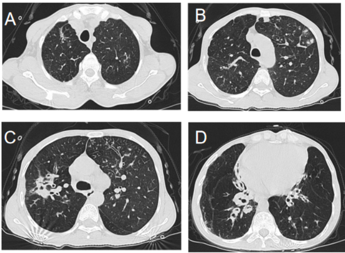
CT:双囊柱状扩片状条索增粗(图1)

图片

图1  双肺支气管囊柱状扩张,周围少许斑片状影,支气管血管束增粗。双侧肺门及纵隔未见增大淋巴结。
声:余正膝关节CT可左膝肿,左膝许积
患者自小嗽咳中免符合(predominantly antibody deficiencies, PAD)传病靶向Panel测序BTKBruton's酪氨c.1908+56A>G(内含子区突变)],TCF3(E2A,免E12/E47基因杂合突变[c.254A>C(NM_003200exon5),导致氨基酸改变p.H85P]患者父母经一Sanger发现患者BTK基因杂自父BTKc.1908+56A>G/TCF3WtTCF3杂合突变遗传BTK Wt/TCF3c.254A>C患者无呼吸道症状

图片

三、讨论

本例患者长期咳嗽咳痰,胸部CT可见支气管囊柱状扩张,诊断支扩明确。检查发现患者外周血IgAIgG和IgM水平极低,符合抗体免疫缺陷病特征。靶向Panel测序发现BTK基因内含子区及TCF3基因外显子区杂合突变。据文献报道,BTK基因和TCF3基因分别与X连锁无丙种球蛋白血症(X-linked agammablobulinemia,XLA)和E47转录因子缺陷症有关。
X连锁无丙种球蛋白血症(XLA)是抗体免疫缺陷病的经典疾病,由于BTK基因突变所致上述B细胞发育障碍,造成外周血CD19+B细胞数量严重减少,由于这些效应B细胞的前体细胞数量不足,导致Ig水平降低,引起早发的细菌感染[2]根据ESID(European Society for Immunodeficiencies, https://esid.org/Working-Parties/ Clinical-Working-Party/Resources/Diagnostic-criteria-for-PID2)的XLA诊断标准包括[3]:男性、外周血CD19+B细胞占比少于2%,以及以下任意一项证据:BTK基因突变;②中性粒细胞或单核细胞印迹杂交分析中BTK的mRNA缺失;单核细胞或血小板中缺乏BTK蛋白;母系的表兄弟、叔叔或侄子的CD19+B细胞占比少于2%。本例患者外周血CD3-CD19+总B细胞水平相较正常值升高,从这一角度而言,推测患者(BTKc.1908+56A>GTCF3c.254A>C的B细胞已经顺利地完成了从骨髓到外周血的发育,该过程似乎并未受到BTKTCF3突变的影响。同时,作为X连锁隐性遗传病,XLA患者通常为男性[4],而女性杂合突变患者一般为携带者[5]。显然,该患者并不符合X连锁无丙种球蛋白血症的诊断。
图片

图2  B细胞发育过程及CD19和CD20的表达情况

图片来源:B cell-based therapies in CNS autoimmunity: differentiating CD19 and CD20 as therapeutic targets(DOI: 10.1177/1756286418761697)

图片

图3  BTK基因参与B细胞发育过程示意图。在人和小鼠Pro-B至Pre-B细胞的发育过程中,均需要BTK基因参与。红色字体表示的基因可导致无丙种球蛋白血症患者或小鼠模型中对应节点的B细胞发育障碍。

图片来源:Involvement of SLP-65 and Btk in tumor suppression and malignant transformation of pre-B cells(DOI: 10.1016/j.smim.2005.10.002)
与BTK突变所致的X连锁无丙种球蛋白血症表型不同,TCF3基因编码两个广泛表达的碱性螺旋(bHLH)家族的成员,即E12和E47(统称为E2A蛋白),且为互斥剪切(Mutually exclusive alternative splicing,MEAS)的产物,只在bHLH区域有区别[6-11]E47转录因子缺陷症的诊断标准[12]包括低血清免疫球蛋白血症、外周血B细胞完全缺失,在排除男性患者的BTK突变后,应进行B细胞受体前体(Pre-BCR)和下游信号分子(如BLNK和p85a)突变的遗传筛查,一旦发现TCF3基因中编码E47的致病性突变即可确诊E47转录因子缺陷症。本例患者为女性且外周血B细胞未见减少,故诊断E47转录因子缺陷症依据不足。
导致低丙种球蛋白血症的另一重要疾病谱是CVID,其诊断标准包括[13]:①极低的血清IgG和IgA/IgM;出生2年后才开始表现出免疫缺陷;③缺乏同族血细胞凝集素和/或对疫苗反应差;④已排除其他低丙种球蛋白血症的明确病因。确诊的中位年龄为35岁[14],与本例患者一致。大约90%的CVID患者外周血B淋巴细胞数量正常,说明抗体缺陷发生在B细胞分化的后期[15]
综上所述,结合患者性别、发病年龄、B细胞水平、除外X连锁无丙种球蛋白血症及E47转录因子缺陷症,综合考虑患者因CVID所致低丙种球蛋白血症和支扩。
近年来,瞿介明教授和徐金富教授建立了中国支扩联盟,深圳市呼吸疾病研究所在陈荣昌所长带领下建立了支扩患者队列,对每位因支扩住院的患者进行标准化检查和规范化治疗。在此过程中,相继诊断了一定数量的少见和罕见病因所致支扩,包括变应性支气管肺曲霉病、原发性纤毛不动综合征、囊性纤维化、CVID等,提升了支扩的规范化诊治水平,促进了临床科研的开展。临床医生对支扩这一被忽视的“常见病”不能简单满足于其本身,而应积极探寻背后的病因[16]

参考文献

[1] 支气管扩张症专家共识撰写协作组,中华医学会呼吸病学分会感染学组. 中国成人支气管扩张症诊断与治疗专家共识[J]. 中华结核和呼吸杂志, 2021, 44(4):311-321.

[2] Cardenas-Morales M, Hernandez-Trujillo V P. Agammaglobulinemia: from X-linked to Autosomal Forms of Disease[J]. Clin Rev Allergy Immunol, 2022, 63(1):22-35.

[3] Rawat A, Jindal A K, Suri D, et al. Clinical and Genetic Profile of X-Linked Agammaglobulinemia: A Multicenter Experience From India[J]. Front Immunol, 2020, 11:612323.

[4] Goddard E A, Beatty D W. Beatty, X-linked agammaglobulinaemia[J]. S Afr Med J, 1989, 76(11):605-607.

[5] Mattsson P T, Vihinen M, Smith C I. X-linked agammaglobulinemia (XLA): a genetic tyrosine kinase (Btk) disease[J]. Bioessays, 1996, 18(10):825-834.

[6] Murre C, McCaw P S, Baltimore D. A new DNA binding and dimerization motif in immunoglobulin enhancer binding, daughterless, MyoD, and myc proteins[J]. Cell, 1989, 56(5):777-783.

[7] Liang J J, Peng H, Wang J J, et al. Relationship between the structure and function of the transcriptional regulator E2A[J]. J Biol Res (Thessalon), 2021, 28(1):15. 

[8] Henthorn P, Kiledjian M, Kadesch T. Two distinct transcription factors that bind the immunoglobulin enhancer microE5/kappa 2 motif[J]. Science, 1990, 247(4941):467-470.

[9] Patel D, Chinaranagari S, Chaudhary J. Basic helix loop helix (bHLH) transcription factor 3 (TCF3, E2A) is regulated by androgens in prostate cancer cells[J]. Am J Cancer Res, 2015, 5(11):3407-3421.

[10] Bain G, Maandag E C, Izon D J, et al. E2A proteins are required for proper B cell development and initiation of immunoglobulin gene rearrangements[J]. Cell, 1994, 79(5):885-892.

[11] Wöhner M, Tagoh H, Bilic I, et al. Molecular functions of the transcription factors E2A and E2-2 in controlling germinal center B cell and plasma cell development[J]. J Exp Med, 2016, 213(7):1201-1221.

[12] Perez E E. Evaluation of Suspected Immunodeficiency, Overview, in Encyclopedia of Medical Immunology: Immunodeficiency Diseases, J.S. Orange and J. Chinen, Editors. 2020, Springer New York: New York, NY. p. 300-303.

[13] Salzer U, Warnatz K, Peter H H. Common variable immunodeficiency: an update[J]. Arthritis Res Ther, 2012, 14(5):223.

[14] Slade C A, Bosco J J, Binh Giang T, et al. Delayed Diagnosis and Complications of Predominantly Antibody Deficiencies in a Cohort of Australian Adults[J]. Front Immunol, 2018, 9:694.

[15] Ahn S, Cunningham-Rundles C. Role of B cells in common variable immune deficiency[J]. Expert Rev Clin Immunol, 2009, 5(5):557-564.

[16] 徐金富. 支气管扩张症——没有得到充分重视的常见病[J]. 国际呼吸杂志, 2013, 33(21):1601-1604.

作者简介



图片

周睿捷
南方科技大学医学院2019级临床医学专业学生,南方科技大学一等奖学金获得者,多次获南方科技大学医学院优秀本科生和创新奖荣誉称号,在多次学科竞赛和英语竞赛中获奖。


图片

钟佳成
深圳市呼吸疾病研究所专职科研人员。


图片

詹丹婷
深圳市人民医院 深圳市呼吸疾病研究所住院医师,2016—2019年于深圳市人民医院住院医师规范化培训;2019—2022年于深圳市人民医院呼吸与危重症医学科完成专科医师规范化培训并择优留院,专培期间以第一或共一发表SCI论文3篇,广东省病理生理学会呼吸分会秘书兼委员。
图片
王凌伟
深圳市呼吸疾病研究所副所长,南方科技大学医学院诊断学教研室主任;博士,教授,主任医师,博士生导师;2005年入选中国卫生部国际资源后备人才库人才;2010年德国柏林Evangelische Lungenklinik医院进修;中华医学会呼吸病学分会第十一届委员会委员,中国医学装备协会呼吸病学分会副主任委员,广东省呼吸内科质控中心副主任,深圳市医师协会呼吸医师分会会长,深圳市医学会呼吸病学分会副主任委员,深圳市医防融合项目呼吸项目组组长,科技部重大专项《慢阻肺动物模型病理机制解析及新靶标的发现》课题负责人。

声明:

本文仅用于学术内容的探讨和交流,不用于任何商业和推广。临床实践需根据患者的具体情况选择适宜的处理措施。
全部评论 0
Copyright©2020-2026 北京医麦斯科技有限公司 版权所有 京ICP备2020034400号-1 京公网安备11010502043983号