登录方式

方式一:
PC端网页:www.rccrc.cn
输入账号密码登录,可将此网址收藏并保存密码方便下次登录

方式二:
手机端网页:www.rccrc.cn
输入账号密码登录,可将此网址添加至手机桌面并保存密码方便下次登录

方式三:
【重症肺言】微信公众号
输入账号密码登录

注:账号具有唯一性,即同一个账号不能在两个地方同时登录。

登录
方式

为重症救治赋能

为患者康复加速

当前位置:首页 重症肺炎 免疫缺陷

免疫抑制宿主相关肺炎诊治策略

李园园 中南大学湘雅医院 发布于2022-04-01 浏览 8219 收藏

免疫抑制宿主是一组特殊人群,对病原微生物极度易感,肺是最常见的感染靶器官。免疫抑制宿主相关肺炎的临床决策主要从高危因素、临床症状、诊断方法、呼吸支持、药物治疗方面考虑。


1. 宿主高危因素

  • AIDS(CD4+T细胞<200/UL),约占90%;
  • 肿瘤;
  • 器官移植;
  • 使用免疫抑制剂、糖皮质激素。
  • 其他。

2. 临床症状

  • 进行性呼吸困难,伴胸闷—低氧血症、Ⅰ型呼吸衰竭、弥散障碍(主要死因)。
  • 发热、干咳,合并细菌或病毒感染时出现高热、脓痰等,病变迅速进展。
  • 耶氏肺孢子菌肺炎(PJP)严重者易引起气胸、纵膈气肿。
  • 淋巴细胞绝对计数低,肌酶中LDH可升高。
  • PJP患者G试验结果明显增高,隐球菌肺炎患者G试验结果增高相对不明显。
  • 隐球菌感染易全身播散,须高度警惕颅内感染的可能。

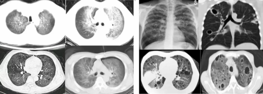
3. 影像学特点(肺孢子菌肺炎)

最常见的肺孢子菌肺炎的影像学表现为双肺对称的磨玻璃影,有部分患者可出现囊状改变、实变或肺纤维化,有时合并气胸。这些影像学变化可以出现在同一患者的不同病程中,或者在同一时间段同时出现。


图片


4. 诊断方法

对于重症不明原因肺炎,尽早启动含BALF-mNGS的联合检测非常有必要。直接涂片染色(六胺银)、抗原抗体反应(隐球菌荚膜抗原)、PCR检测、透射电镜检测、现场快速评价(m-ROSE)、质谱分析联合二代测序技术(mNGS)构成了较完善的快速诊断体系,提供较精准的病原菌线索。

中南大学湘雅医院RICU团队对其收治的非HIV的PJP病例进行了为期2年的回顾性研究,纳入60例患者,其中28例患者送检全血,53例送检BALF,21例送检全血+BALF。mNGS结果分析显示:肺孢子菌序列数有个体化差异,77.4%的患者BALF序列数>10。绝大多数患者肺孢子菌序列占所有真菌序列的85%以上,序列数排名前5位。肺孢子菌的序列数与血清G试验水平呈正相关。

图片


60例患者中,21例同时送检BALF与血mNGS,BALF与血mNGS的肺孢子菌检测达到100%的一致率。mNGS对PJP的诊断敏感度为100%,特异度达到96.3%。
 

图片


混合感染病原体前3位:巨细胞病毒、EB病毒、人单纯疱疹病毒1型。7例患者BALF和/或血mNGS发现结核分枝杆菌,值得注意。

图片


mNGS结果对抗感染治疗具有指导意义。本研究中,71.7%的PJP患者在mNGS结果回报后调整抗感染方案,36.7%的患者加用TMP-SMZ,18.3%的患者加用卡泊芬净,21.7%的患者减少抗感染药物,26.7%的患者加用抗感染药物。

  • 肺孢子菌肺炎可能的临床诊断模型

患者如果存在以下情况,可作为PJP的临床诊断模型:①免疫抑制病史;②渐进性呼吸困难为主要症状,表现为不同程度的低氧血症;③外周血淋巴细胞绝对计数低(尤其是CD4+T细胞<200);④血G试验结果高(越高越有意义),LDH高;⑤影像学主要表现为弥漫性磨玻璃影(肺水肿)。


  • 隐球菌肺炎的诊断依据

(1)确诊诊断依据:主要依靠组织病理检查和病灶内脓液穿刺标本的病原学涂片和培养。通常取自无菌部位如经皮肺组织穿刺活检标本等真菌涂片、培养阳性,有确诊意义。
(2)疑似诊断依据:取自痰、咽拭子或支气管肺泡灌洗液的标本涂片或培养阳性,以及血清隐球菌荚膜多糖抗原乳胶凝集试验阳性。有临床疑似诊断的价值。
(3)临床诊断依据:需结合病史、呼吸道症状和胸部影像学证据,同时合格痰液或支气管肺泡灌洗液直接镜检或培养新生隐球菌阳性或血液、胸腔积液标本隐球菌荚膜多糖抗原呈阳性。
若仅有宿主危险因素而无临床症状和病原学检查支持,则为拟诊病例。


5. 呼吸支持方式


  • 经鼻高流量氧疗(加温加湿)。
  • 无创呼吸机(CPAP)。
  • 有创呼吸机(插管+镇静—防气胸、减轻呼吸肌疲劳、减轻心肌耗氧等)。
  • 俯卧位(镇静/清醒):改善通气血流失调、减轻坠积。
  • 高PEEP减轻肺水肿(同时静脉限水,液体管理达负平衡,酌情CRRT)。
  • ECMO。

6. 抗感染治疗

  • 肺孢子菌肺炎:SMZ-TMP+卡泊芬净(重症)。

  • 隐球菌肺炎:氟康唑(400 mg/d)、两性霉素B+氟胞嘧啶。

  • 效果评估:通过血气分析和影像学改善情况进行评价。

  • 疗程:指南推荐,肺孢子菌肺炎疗程至少3周,隐球菌肺炎疗程6~12个月。临床实际:重症患者随影像学改变决定疗程,密切随访。

7. 小结

免疫抑制宿主相关肺炎诊治策略:
(1)早识别:尽早识别宿主因素、临床特点、影像学特征,进而做出临床诊断。
(2)早诊断:通过多种方法联合查找病原学依据,做到快速、精准地判断。
(3)早治疗:一线+二线联合治疗。
(4)足量、足疗程:无论磺胺类药物还是氟康唑都要足量、足疗程使用,以达到影像学改善及免疫状态稳定。
(5)重支持:在患者低蛋白、呼吸衰竭或多器官功能障碍综合征状态下,积极给予呼吸支持、营养支持及器官保护,也可以保证药物治疗的起效时间。

医疗、护理、呼吸治疗、康复、营养支持构成“五位一体”的综合救治模式,才能最大程度地救治患者。


⭐  作者介绍


图片

李园园

中南大学湘雅医院


  • 医学博士副教授、副主任医师,硕士研究生导师

  • 中南大学湘雅医院呼吸与危重症医学科呼吸重症监护专科(RICU)主任

  • 中华医学会呼吸病学分会青年委员

  • 中国医师协会呼吸医师分会青年委员

  • 中华医学会呼吸病学分会感染学组委员

  • 中国医师协会内镜医师分会呼吸内镜青年常委

  • 湖南省呼吸系统疾病防治办公室副主任

  • 湖南省医学会/医师协会呼吸分会青年委员

  • 《中国感染控制杂志》青年编委、审稿人

  • 主攻方向:感染、呼吸危重症

  • 主持/参与国家级课题6项

  • 第一作者/通讯作者发表SCI论文16篇,其中1区6篇

  • 担任多项全国多中心临床研究项目PI




全部评论 0
Copyright©2020-2026 北京医麦斯科技有限公司 版权所有 京ICP备2020034400号-1 京公网安备11010502043983号