登录方式

方式一:
PC端网页:www.rccrc.cn
输入账号密码登录,可将此网址收藏并保存密码方便下次登录

方式二:
手机端网页:www.rccrc.cn
输入账号密码登录,可将此网址添加至手机桌面并保存密码方便下次登录

方式三:
【重症肺言】微信公众号
输入账号密码登录

注:账号具有唯一性,即同一个账号不能在两个地方同时登录。

登录
方式

为重症救治赋能

为患者康复加速

当前位置:首页 重症肺炎 免疫缺陷

骨髓移植术后青年男性发热伴肺部阴影

卢晓雨,王凌伟 深圳市人民医院呼吸与危重症医学科 深圳市呼吸疾病研究所 发布于2023-06-28 浏览 1930 收藏

【摘要】  患者男,33岁,2021年8月确诊为“前T细胞急性淋巴细胞白血病”,2022年4月底行异基因半相合骨髓移植。出院后长期口服环孢素抗排异、泊沙康唑预防真菌感染。2022年10月因常规复查胸部CT发现“肺部感染”就诊于我院。入院期间完善血、尿巨细胞病毒核酸、痰、咽拭子、肺泡灌洗液病原体NGS等多项病原学检查均未见异常,且抗感染治疗效果欠佳,予激素、丙种球蛋白治疗后胸部病变3天内明显吸收,综合考虑患者为慢性移植物抗宿主病急性加重。本文旨在提高临床医生对移植物抗宿主病的认识及其与感染性疾病的鉴别。

图片

病情介绍

一般情况
患者男性,33岁,主因“确诊急性淋巴白血病1年半,发现双肺多发斑片影7 d”于2022年11月3日入院。
病史情况

患者2021年8月因“颈部淋巴结肿大”确诊“前T细胞急性淋巴细胞白血病”,行6次化疗(VDCLP方案)。期间患者反复出现脓毒症,病原菌包括阴沟肠杆菌、伊丽莎白菌、大肠埃希菌、白色念珠菌等。此后患者长期服用西他沙星至移植前。2022年4月底患者行骨髓移植(姐姐,异基因半相合)。出院后长期口服环孢素(200 mg bid,逐渐减量至此次入院前早50 mg,晚25 mg)抗排异、泊沙康唑口服混悬液(200 mg tid)预防真菌感染至入院。2022年5月患者出现发热、咳嗽、咳痰等不适,就诊于广州医科大学附属第一医院,诊断“巨细胞病毒肺炎”,予更昔洛韦静脉抗感染半月余,出院后继续服用缬更昔洛韦半月。2022年9月起患者每2周复查血巨细胞病毒核酸、EB病毒核酸均未见明显异常,末次复查时间为2022年10月12日。2022年10月26日复查骨髓穿刺提示完全缓解,胸部CT:双肺炎症,左肺下叶间质性改变,右肺下叶、左肺上叶多发实性结节(图1。患者自觉略有疲乏、稀便每日2~3次,入院前半月已好转。现为进一步诊治就诊于我院。既往史、个人史及家族史均无特殊。

图片

图1  患者2022年10月26日胸部CT:双肺炎症

入院查体

T 36.9℃,P 88次/min,R 20次/min,BP 110/77 mmHg。双肺叩诊清音,双肺呼吸音稍粗,未闻及明显干/湿啰音及胸膜摩擦音。

入院诊断

肺部感染:巨细胞病毒感染?真菌感染?

急性淋巴细胞白血病骨髓移植术后(异基因半相合)。

入院后予完善辅助检查

血常规:白细胞计数5.43×109/L,血红蛋白100 g/L,血小板计数216×109/L,单核细胞比值13.80%,嗜酸性粒细胞比值8.80%,单核细胞绝对值0.75×109/L,嗜酸性粒细胞绝对值0.48×109/L,中性粒细胞比值41.30%,中性粒细胞绝对值2.24×109/L。

血气分析:pH 7.455,PaCO2 30.7 mmHg,PaO2 104.4 mmHg,实际碳酸氢根21.9 mmol/L,PaO2/FiO2 519.9 mmHg(FiO2 21%)。

CRP 18.2 mg/L,KL-6 839 U/ml(参考值≤500 U/ml)。

我院及第三方机构血、尿巨细胞病毒核酸、EB病毒核酸(血、鼻咽拭子)、呼吸道病毒鼻咽拭子、痰涂片、痰培养、感染四项、G试验、GM试验、隐球菌抗原、九项呼吸道病原体抗体、血结核免疫均阴性,多次血培养阴性。

肺功能:FEV1 3.36 L,占预计值85.9%,FVC 3.59 L,占预计值77.2%。FEV1/FVC 93.46,占预计值111.9%。轻度限制性通气功能障碍。肺弥散功能重度下降(经Hb校正后,弥散量占预计值34%)。

六分钟步行试验:步行410米,最低氧饱和度84%。气管镜:黏膜光滑出血,少许白色分泌物,考虑气管支气管炎。送检支气管肺泡灌洗液(BALF)涂片、培养、真菌荧光染色、结核分枝杆菌X-pert、PJP六胺银染色均未见明显异常。

BALF:曲霉菌抗原检测0.82(正常值<1),BALF NGS报肺炎克雷伯菌(序列数43)、细环病毒(序列数109)、人类疱疹病毒4型(序列数53)。

图片
治疗经过
入院后予低流量吸氧,更昔洛韦(250 mg q12h)抗感染,环孢素抗排异、泊沙康唑抗真菌、护肝等治疗同前。眼科会诊无明显巨细胞病毒眼部受累表现,血液科会诊暂不考虑慢性移植物抗宿主病(chronic graft versus host disease,cGVHD)。考虑患者临床表现、影像与肺炎克雷伯菌感染不符,结合患者既往巨细胞病毒感染病史及胸部CT影像,仍高度怀疑巨细胞病毒感染可能。
2022年11月7日患者突发畏寒及发热,体温最高38.5℃,活动后血氧饱和度下降至91%。
复查血常规:白细胞计数6.27×109/L,血红蛋白95 g/L,血小板计数201×109/L,中性粒细胞比值55.9%,中性粒细胞绝对值3.5×109/L,单核细胞比值8.5%,单核细胞绝对值0.5×109/L,嗜酸性粒细胞比值6.1%,嗜酸性粒细胞绝对值0.4×109/L。乳酸1.58 mmol/L,降钙素原<0.05 ng/ml,白介素-6 31.46 pg/ml,C反应蛋白定量57.27 mg/L。
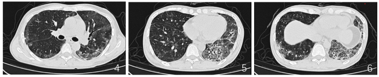
血气分析:pH 7.461,PaCO2 37.2 mmHg,PaO98.0 mmHg,实际碳酸氢根26.9 mmol/L;PaO2/FiO2 288.3 mmHg(FiO2 35%)。11月8日复查胸部CT:考虑双肺间质性肺炎可能(图2

图片

 患者2022年11月8日复查胸部CT
患者胸部CT进展明显,病情变化快,病原学暂不明确,将抗生素调整为美罗培南1 g q8h、卡泊芬净50 mg qd(首日70 mg)、磺胺1.44 g q8h、更昔洛韦250 mg q12h, V60无创辅助通气,甲泼尼龙静推(40 mg bid)、丙种球蛋白静滴(20 g qd×5 d)。
第二次气管镜检查:双肺散在片状超声低回声病变;气管支气管腔内未见异常。病理:左肺肺组织部分肺泡上皮增生,肺泡间隔略增宽,肺泡腔组织细胞聚集伴机化,局灶纤维组织增生,纤维素性渗出,少许淋巴细胞浸润,考虑继发性改变,请结合临床。
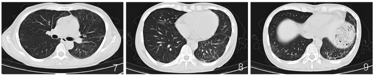
特殊染色:PAS染色(-),六胺银染色(-),抗酸染色(-)。完善BALF NGS:细环病毒(序列数260),肝炎GB病毒C型(序列数590)。血NGS:肝炎GB病毒C型(序列数604350)。鼻咽拭子NGS:肺炎克雷伯菌(序列数11933),鲍曼不动杆菌(序列数61)。患者于11月12日复查胸部CT:双肺多发感染较前明显吸收(图3

图片

3  患者2022年11月12日复查胸部CT,对比11月8日明显吸收
患者病情变化快,经短期治疗后复查影像明显吸收。各项感染及NGS检测均不符合临床表现,病情疑难。再次询问病史,患者近期有明显口干及眼干,吞咽时需饮水,伴腹泻等不适。
查体见口腔舌部有类苔藓样改变,口唇黏膜出现破损、脱屑样改变,咽后壁多发滤泡(图4。完善唾液分泌试验:0.5 ml/15 min。泪液分泌实验(Schirmer试验):左眼3 mm/5 min,右眼5 mm/5 min。

图片

4  患者口腔黏膜改变,可见舌苔苔藓样改变,咽后壁多发滤泡
我所陈荣昌教授查房后认为:①cGVHD高发时间窗多为移植后6个月[1],与患者发病时间相符;②CT可见左下肺牵拉性支气管扩张,符合cGVHD肺部影像学表现[1];③患者反复病原学检查均为阴性,未找到明确病原学证据,感染可以诱发cGVHD但难以解释整个临床过程;④肺组织病理提示机化性肺炎;⑤经激素治疗后短期复查CT见肺部病变吸收明显,亦不支持感染性疾病。综上,考虑患者慢性移植物抗宿主病诊断成立
根据上述诊断结果,停用美罗培南、卡泊芬净、更昔洛韦,改为缬更昔洛韦、复方磺胺甲噁唑、泊沙康唑预防性抗感染,继续使用甲泼尼龙80 mg qd静推、丙种球蛋白20 g qd等治疗。
治疗后复查血常规:白细胞计数4.32×109/L,血红蛋白85 g/L,血小板计数205.0×109/L,中性粒细胞比值76.9%,中性粒细胞绝对值3.3×109/L,单核细胞比值3.9%,单核细胞绝对值0.2×109/L。降钙素原0.08 ng/ml,C反应蛋白定量19.42 mg/L。
血气分析:pH 7.459,PaCO2 30.0 mmHg,PaO2 138.8 mmHg。PaO2/FiO2 689.0 mmHg(FiO2 21%)。肺功能:FEV3.84 L,占预计值98.2%,FVC 4.09 L,占预计值88.0%。FEV1/FVC 93.72,占预计值112.2%。肺通气功能在正常范围。肺弥散功能中度下降(经Hb校正后,弥散量占预计值52%)。
最终诊断
cGVHD(黏膜、肺、眼),肺部感染,急性淋巴细胞白血病骨髓移植术后。

图片

讨论
cGVHD常见于异基因造血干细胞移植(allo-HSCT)后,由于重建免疫期间供者的淋巴细胞攻击受者的脏器(包括但不限于皮肤、毛发、指甲、口腔、肝脏、眼睛、胃肠道、生殖器、关节筋膜或骨关节)的临床病理综合征[1-5]
据统计,30%~70%的异基因造血干细胞移植患者在移植后发生了cGVHD,这是一个相当庞大的数字[6-7]。研究证明,早期发生急性移植物抗宿主病(aGVHD)、年龄大、外周血干细胞移植等是患者发生cGVHD的常见原因[8-9]。早期识别以及预防cGVHD可以缓解疾病进展,改善预后。
皮肤、黏膜是cGVHD患者最常受累部位,其次为肝脏、眼睛、肺部等[1]。cGVHD的皮肤改变主要为局灶性/弥漫性空泡变性、棘细胞层水肿、表皮下裂隙及血管周围淋巴细胞浸润,可有助于与其他皮疹相鉴别[11]。cGVHD呼吸系统受累主要表现为咳嗽及活动后气促,随着病情的发展,气促可进行性加重导致患者生活质量显著下降。其发生机制主要是由于感染以及细胞毒性损伤引起组织损伤,激活固有免疫细胞以及非造血细胞如成纤维细胞和内皮细胞释放大量炎症因子如白细胞介素、脂多糖等,进一步导致成纤维细胞的活化,分泌大量细胞外基质胶原和二甘聚糖等,形成机化[11]。该患者肺活检病理可见大量纤维组织增生,呈机化改变,与文献报道相符。需要注意的是,机化性肺炎并非cGVHD的特异性改变,也可能是感染、药物、结缔组织病和肿瘤的表现,临床上需要甄别机化性肺炎的病因。
cGVHD患者实验室检查通常无特异性[1, 2]。肝脏受累可出现转氨酶、碱性磷酸酶及谷酰胺转肽酶等升高;血液系统受累可表现为淋巴细胞减少、嗜酸性粒细胞升高、血小板减少及自身免疫性溶血性贫血,但均不具有特异性。
cGVHD患者肺部受累在CT上表现为闭塞性细支气管炎综合征(Bonchiolitis Obliterans syndrome,BOS),即肺部呼气相CT可出现气体闭陷、细支气管壁增厚及支气管扩张[3]BOS患者支气管扩张发生率约为42.4%,支气管壁增厚约为73.0%[12]。该患者在此次入院前左下肺已出现牵拉性支气管扩张,是我们判断其存在cGVHD的很重要的依据。cGVHD患者出现气胸、纵隔气肿预示预后不[13]
由于cGVHD肺部受累的临床表现、实验室检查、影像学表现均并无特征性,诊断具有一定的挑战性,需要与肺部感染、支气管扩张症、药物相关肺损伤等鉴别。移植患者在免疫重建前往往处于免疫低下状态,容易继发病毒、真菌、细菌及其他非典型病原体感染。因此,感染与cGVHD往往合并存在或感染作为诱因参与cGVHD发生,这也是cGVHD容易漏诊、误诊的重要原因。
cGVHD患者的治疗周期长,一线治疗为糖皮质激素联合或不联合免疫抑制药物,推荐最低有效剂量激素联合环孢素或他克莫司等[1,14]。该方案能够有效缓解cGVHD的进展,但长期使用也增加感染风险[10, 15, 16],药物减量又容易复发。因此,cGVHD的治疗需要根据患者临床症状和实验室指标的情况进行个体化评估及决策。目前有部分新药正在研制过程中,如Rho关联含卷曲螺旋蛋白激酶2抑制剂Belumosudil通过调节Th细胞生成及B淋巴细胞的分化,有望预防cGVHD的发生[17]。吡非尼酮作为抗纤维化治疗药物,其针对cGVHD肺部受累导致BOS的疗效也在进一步研究中[18]
综上,cGVHD作为同种异体造血干细胞移植的术后并发症,部分患者以呼吸系统症状首发或为主要表现,应纳入移植术后患者发热伴肺部阴影的鉴别诊断。强调呼吸、血液、影像、病理等多学科共同诊治。该病与移植患者的长期生存及生活质量密切相关,血液科、呼吸科医生需要提高对该病的诊断意识。

参考文献

[1] 中华医学会血液学分会造血干细胞应用学组, 中国抗癌协会血液病转化委员会. 慢性移植物抗宿主病(cGVHD)诊断与治疗中国专家共识(2021年版)[J]. 中华血液学杂志, 2021, 42(4):265-275.

[1] 中华医学会血液学分会造血干细胞应用学组, 中国抗癌协会血液病转化委员会. 慢性移植物抗宿主病(cGVHD)诊断与治疗中国专家共识(2021年版)[J]. 中华血液学杂志, 2021, 42(4):265-275.

[2] Mays J W, Fassil H, Edwards D A, et al. Oral chronic graft-versus-host disease: current pathogenesis, therapy, and research[J]. Oral Dis, 2013, 19(4):327-346.

[3] Jagasia M H, Greinix H T, Arora M, et al. National Institutes of Health Consensus Development Project on Criteria for Clinical Trials in Chronic Graft-versus-Host Disease: I. The 2014 Diagnosis and Staging Working Group report[J]. Biol Blood Marrow Transplant, 2015, 21(3):389-401.e1.

[4] 雷美清, 刘立民, 吴德沛. 慢性移植物抗宿主病研究进展[J]. 中华血液学杂志, 2016, 37(1):79-82.

[5] Lee S J, Wolff D, Kitko C, et al. Measuring therapeutic response in chronic graft-versus-host disease. National Institutes of Health consensus development project on criteria for clinical trials in chronic graft-versus-host disease: IV. The 2014 Response Criteria Working Group report[J]. Biol Blood Marrow Transplant, 2015, 21(6):984-999.

[6] Ohwada C, Sakaida E, Igarashi A, et al. A Prospective, Longitudinal Observation of the Incidence, Treatment, and Survival of Late Acute and Chronic Graft-versus-Host Disease by National Institutes of Health Criteria in a Japanese Cohort[J]. Biol Blood Marrow Transplant, 2020, 26(1):162-170.

[7] Wang Y, Chen H, Chen J, et al. The consensus on the monitoring, treatment, and prevention of leukemia relapse after allogeneic hematopoietic stem cell transplantation in China[J]. Cancer Lett, 2018, 438:63-75.

[8] Lv M, Zhang X, Xu L, et al. Risk factors for chronic graft-versus-host disease after anti-thymocyte globulin-based haploidentical hematopoietic stem cell transplantation in acute myeloid leukemia[J]. Front Med, 2019, 13(6):667-679.

[9] 陈东阳, 张红宾, 汪晶, 等. 血液病患者异基因造血干细胞移植后慢性移植物抗宿主病的临床特征及其对预后的影响[J]. 白血病·淋巴瘤, 2022, 31(6):330-337.

[10] Bhatia S, Armenian S H, Landier W. How I monitor long-term and late effects after blood or marrow transplantation[J]. Blood, 2017, 130(11):1302-1314.

[11] Ramachandran V, Kolli S S, Strowd L C. Review of Graft-Versus-Host Disease[J]. Dermatol Clin, 2019, 37(4):569-582.

[12] Socié G, Ritz J. Current issues in chronic graft-versus-host disease[J]. Blood, 2014, 124(3):374-384.

[13] 柴晶晶, 柳涛, 蔡柏蔷, 等. 造血干细胞移植后闭塞性细支气管炎综合征的临床特点[J]. 中华结核和呼吸杂志, 2017, 40(7):504-508.

[14] 徐开林. 我如何治疗造血干细胞移植后慢性移植物抗宿主病[J]. 中华血液学杂志, 2018, 39(2):89-93.

[15] Wolff D, Gerbitz A, Ayuk F, et al. Consensus conference on clinical practice in chronic graft-versus-host disease (GVHD): first-line and topical treatment of chronic GVHD[J]. Biol Blood Marrow Transplant, 2010, 16(12):1611-1628.

[16] Wolff D, Schleuning M, von Harsdorf S, et al. Consensus Conference on Clinical Practice in Chronic GVHD: Second-Line Treatment of Chronic Graft-versus-Host Disease[J]. Biol Blood Marrow Transplant, 2011, 17(1):1-17.

[17] Cutler C, Lee S J, Arai S, et al. Belumosudil for chronic graft-versus-host disease after 2 or more prior lines of therapy: the ROCKstar Study[J]. Blood, 2021, 138(22):2278-2289.


[18] Hamilton B K. Updates in chronic graft-versus-host disease[J]. Hematology Am Soc Hematol Educ Program, 2021,2021(1):648-654.

作者简介



图片

卢晓雨

深圳市人民医院/深圳市呼吸疾病研究所住院医师

博士研究生

2019年毕业于浙江大学临床医学系,师从沈华浩教授


图片

王凌伟

深圳市呼吸疾病研究所副所长

南方科技大学医学院诊断学教研室主任

博士,教授,主任医师,博士生导师

2005年入选中国卫生部国际资源后备人才库人才

2010年德国柏林Evangelische Lungenklinik医院进修

中华医学会呼吸病学分会第十一届委员会委员

中国医学装备协会呼吸病学分会副主任委员

广东省呼吸内科质控中心副主任

深圳市医师协会呼吸医师分会会长

深圳市医学会呼吸病学分会副主任委员

深圳市医防融合项目呼吸项目组组长

科技部重大专项《慢阻肺动物模型病理机制解析及新靶标的发现》课题负责人

声明:
本文仅用于学术内容的探讨和交流,不用于任何商业和推广,亦不作为最终的临床决策。临床实践需根据患者的具体情况选择适宜的处理措施

全部评论 0
Copyright©2020-2026 北京医麦斯科技有限公司 版权所有 京ICP备2020034400号-1 京公网安备11010502043983号