登录方式

方式一:
PC端网页:www.rccrc.cn
输入账号密码登录,可将此网址收藏并保存密码方便下次登录

方式二:
手机端网页:www.rccrc.cn
输入账号密码登录,可将此网址添加至手机桌面并保存密码方便下次登录

方式三:
【重症肺言】微信公众号
输入账号密码登录

注:账号具有唯一性,即同一个账号不能在两个地方同时登录。

登录
方式

为重症救治赋能

为患者康复加速

当前位置:首页 重症肺炎 免疫缺陷

原发性免疫缺陷病的成人呼吸系统表现

钟佳成,王凌伟 深圳市人民医院呼吸与危重症医学科 深圳市呼吸疾病研究所 深圳市呼吸系统疾病临床研究中心 发布于2023-06-28 浏览 1597 收藏

作者:钟佳成,王凌伟

单位:深圳市人民医院呼吸与危重症医学科  深圳市呼吸疾病研究所  深圳市呼吸系统疾病临床研究中心

摘要  原发性免疫缺陷病(PID)是一组由遗传缺陷导致免疫系统发育和功能障碍的先天性疾病。患者可出现反复感染、淋巴细胞增殖性疾病、自身免疫性疾病、自身炎症性疾病或恶性肿瘤。呼吸是最常见受累系统之一,包括感染性和非感染性病变。由于这类疾病较为罕见,加之临床医生对其认识尚不充分,很多患者直至成年仍未被诊断。深入了解PID在呼吸系统的表现将有助于提高此类疾病的诊断率。

原发性免疫缺陷病(primary immunodeficiency diseases,PID)又称人类免疫出生错误(human inborn errors of immunity,IEI),通常被认为是由生殖细胞单基因缺陷引起的,表现为严重和/或反复发作的感染性疾病、自身免疫疾病、特应性皮炎以及造血系统和/或实体恶性肿瘤的易感性增加[1]。呼吸系统是PID患者常见的受累部位[2]。本文将综述PID在成人呼吸系统非感染性疾病的表现,旨在提高呼吸科医生对此类疾病的诊断意识。

图片

一、PID的分类

PID可分为以下10种类型[3]:①联合免疫缺陷病:是以T细胞发育或功能障碍为特征的免疫缺陷[4]。②伴有典型症状的免疫缺陷综合征:基因缺陷不仅累及免疫系统,还涉及其他系统。因此在前者的基础上伴随着多种非免疫性的缺陷,如血小板减少症、维生素B12和叶酸代谢缺陷等[5]。③抗体免疫缺陷病(predominantly antibody deficiencies,PADs):由于B细胞缺陷或B细胞与T细胞交互障碍导致的抗体产生受损。由于反复感染,患者常伴随严重的过敏反应和自身免疫性疾病[6],PADs中又以常见变异型免疫缺陷病(common variable immunodeficiency,CVID)为主。CVID是由于B细胞先天缺陷导致的一种或多种免疫球蛋白减少和/或抗体反应受损[7]。④免疫失调性疾病:可表现为自身免疫性疾病(免疫系统过度激活所致的自身反应性淋巴细胞和高滴度自身抗体的产生)、过敏或淋巴细胞增殖[8]。⑤吞噬细胞缺陷病:吞噬细胞功能或数量异常,可导致严重的细菌/真菌感染[9]。⑥天然免疫缺陷病:包含IFN-γ、Toll-IL1R、IRAK1等多种参与天然免疫细胞组分的缺陷[10]。⑦自身炎症性疾病:主要由先天免疫系统紊乱所引起,较少涉及获得性免疫系统中的T细胞或B细胞,其特征是在没有微生物感染的情况下反复发作的发热和全身性炎症[11]。⑧补体缺陷病:维持免疫稳态和免疫监控的补体系统受损,导致全身/局部炎症性和血栓性疾病的风险增加[12]。⑨骨髓衰竭性疾病:包括一系列遗传性和获得性血液病,造成血细胞产生不足,导致严重的并发症,包括贫血、免疫系统功能减弱、凝血功能受损和癌症风险增加[13]。⑩IEI的拟表型是由于体细胞突变或者自身中和抗体造成与胚系IEI类似的表型[14]

图片

二、PID在成人呼吸系统中的表现
2.1 支气管哮喘
除了感染性疾病外,PID患者也经常出现呼吸系统过敏性疾病。2018年Lyons和Milner提出了PAD(primary atopic disorders,原发性特应性疾病)这一术语,旨在描述表现为过敏反应的遗传性单基因疾病[15]。遗传关联研究支持“几种引起PAD的突变基因均可导致相同的过敏性疾病”这一假说[16]。例如CARMIL2(RLTPR)缺陷通过减少IFN-γ、TNF、IL-17A/F及IL-22的水平影响T细胞的功能[17],而CARD14缺陷降低了NF-κB信号通路活性及皮肤特定种类抗菌肽的产生[18]。上述这两种基因缺陷的部分患者最终都可出现支气管哮喘(简称哮喘)[17]。Bjelac等[19]在一项包含160例患者的CVID回顾性队列研究中,发现相当比例的CVID患者合并哮喘(60例,37.5%)、过敏性鼻炎(89例)、食物过敏(18例)、青霉素过敏(34例)等IgE介导的过敏性疾病,但哮喘患者中仅10%发现过敏原。由于CVID和哮喘均可以表现为长期咳嗽、咳痰、甚至支气管扩张,导致CVID的诊断相当具有挑战性。Ibrahim等[20]报道的1例诊断为“哮喘”患者(图1),免疫球蛋白水平极低(IgG、IgM和IgA)、无明显T细胞缺陷/免疫球蛋白缺陷及获得性免疫缺陷等证据,支持CVID的诊断。

图片

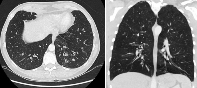
图1  CVID合并哮喘的患者肺部CT:弥漫性气道增厚和支气管扩张,小气道黏液嵌塞,伴远端小叶中心性结节[20]

图片来源:Recurrent asthma exacerbations: co-existing asthma and common variable immunodeficiency (DOI: 10.1080/02770903.2021.1922913)
2.2  支气管扩张症
支气管扩张症是抗体免疫缺陷病患者最常见的慢性气道疾病,约47%的成年抗体免疫缺陷病患者合并支气管扩张症[21],这与促炎细胞因子表达以及黏附分子的积累有关。随着时间的推移,炎症导致气道高反应性,加重气道重塑和支气管扩张[22, 23]。在抗体免疫缺陷病患者中,免疫缺陷和失衡进一步加剧了这种恶性循环[24]。X-连锁无丙种球蛋白血症(XLA)是经典的抗体免疫缺陷病,是由Bruton酪氨酸激酶突变导致B细胞、浆细胞的数量以及血清免疫球蛋白水平显著下降[25],XLA所致支气管扩张症影像上可出现黏液嵌顿及肺部气体潴留等(图2)

图片

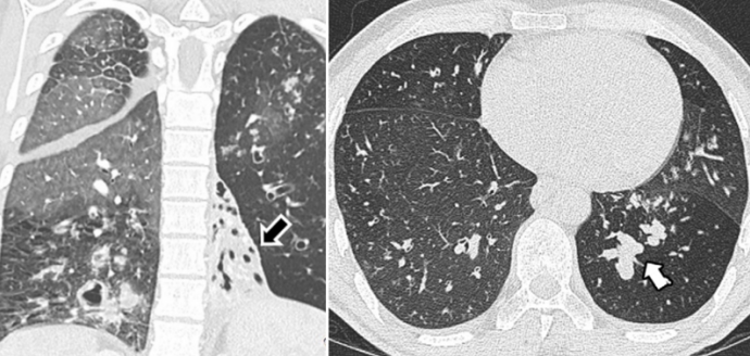
图2  左:XLA患者肺部CT显示右下叶支气管扩张、马赛克征左下叶肺不张伴支气管扩张(白框箭头)[26];右:34岁XLA男性患者,肺部CT显示左下叶支气管扩张,大量的黏液阻塞(白实箭头)并导致左下叶肺气体滞留[26]

图片来源:Imaging Features of Primary Immunodeficiency Disorders (DOI: 10.1148/ ryct. 2021200418)

2.3 间质性肺疾病(ILD)
间质性肺疾病也是原发性免疫缺陷病的肺部表现之一,临床上10%~20%的CVID患者仅仅被诊断为ILD[27],而忽视了其背后真正的病因。在一项针对CVID的研究中,患者经肺活检证实均患有ILD,近2/3的患者存在脾大和淋巴结肿大。影像上所有患者都有大量的肺部结节(图3)[27]。在针对CVID伴非感染性肺部并发症的研究中,患者被分为无肺部疾病组、慢性呼吸道症状且无弥漫性影像学异常组、肉芽肿性淋巴细胞性间质性肺病(granulomatous lymphocytic interstitial lung disease,GLILD)组和ILD组,其中GLILD组相较于其他组别预后更差,且GLILD与呼吸困难、肺实变、玻璃影、网状影及低CD3+/CD8+细胞亚群相关[28]

图片

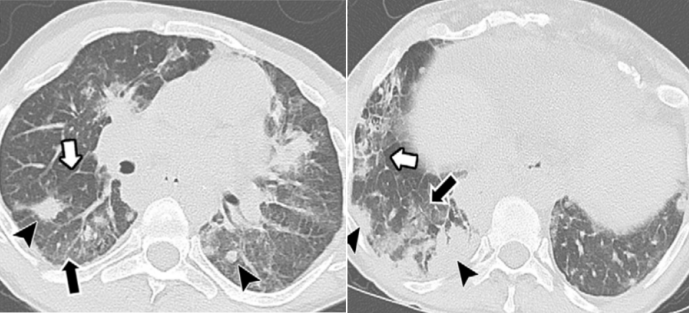
图3  45岁男性患者,CVID(肉芽肿性淋巴细胞间质性肺疾病)。肺部CT提示上叶(左)和下叶(右)实变灶和边界不清的结节(楔形箭头),小叶间隔增厚(白实箭头)和磨玻璃影(黑实箭头)[26]

图片来源:Imaging Features of Primary Immunodeficiency Disorders (DOI: 10.1148/ ryct. 2021200418)

2.4  慢性阻塞性肺疾病
甘露糖结合凝集素(MBL)是一种先天免疫成分,与微生物结合后,MBL与丝氨酸蛋白酶结成复合物激活补体系统,介导调理吞噬清除病原体[29]。具有某些MBL2基因特异性单核苷酸多态性(SNP)的个体由于蛋白产物氨基酸序列改变,不能形成稳定的多聚体形式,易于降解,导致全身性的MBL蛋白缺乏[30];由于MBL参与补体系统(通常识别抗体-抗原复合物或外源性多糖)的激活[31],MBL缺陷属于先天性补体缺陷病[32]。在一项大规模慢阻肺(n=1796)研究中,970例(54%)属于血清MBL充足型,586例(32.6%)及240例(13.4%)分别属于MBL中等水平型及MBL缺陷型[33]。MBL在慢阻肺气道氧化应激的微环境中被氧化,氧化后的MBL会严重影响巨噬细胞对流感嗜血杆菌的吞噬功能[34]。随访发现,MBL缺陷型肺部微生物群更加多样化,嗜血杆菌属难以定植,且与急性加重的频率呈负相关。研究证明MBL可与嗜血杆菌属结合(但无法结合铜绿假单胞菌及肺炎链球菌),推断经氧化的MBL可特异性地抑制吞噬细胞对流感嗜血杆菌的清除作用,由于嗜血杆菌主导的微生物群多样性丧失与气道炎症加重有关,在慢阻肺的气道环境中,MBL的缺乏甚至可能是有益的[33]
2.5  更加严重表型的SARS-CoV-2
约10%的SARS-CoV-2肺部感染中会引发低氧血症,3%的病例出现重症[35]。60岁以下的SARS-CoV-2重症肺炎患者中,1%~5%存在Ⅰ型IFN相关的天然免疫缺陷,包括常染色体TLR3和X-连锁TLR7缺陷[36]型IFN具有三种主要功能:①在受感染细胞及其周边区域诱导细胞固有的抗微生物状态,限制病原体尤其是病毒性病原体的播散;②通过“稳态”方式调节先天免疫反应,促进抗原呈递和自然杀伤细胞功能,抑制促炎途径和细胞因子的产生;激活适应性免疫系统,促进高亲和力抗原特异性T细胞和B细胞的反应及免疫记忆的形成[37]
Bastard等[38]报道987例危重型SARS-CoV-2肺炎患者中,有101例产生针对IFN-ω(13例)、IFN-α(36例)或针对两者(52例)的IgG自身抗体(auto-Abs);随后的体外研究发现auto-Abs可中和相应IFN阻断SARS-CoV-2感染的能力,正是这种机制造成了IFN缺陷的拟表型。
图片

三、结语与展望

综上所述,PADs(尤其是CVID)可以出现多种常见的非感染性呼吸系统疾病,包括ILD、支气管扩张和慢性气道疾病等。由于临床上病例较为罕见,患者可能直至成年都未被诊断,临床医生需要提高对PADs的认识。

参考文献

[1] Notarangelo L D, Bacchetta R, Casanova J L, et al. Human inborn errors of immunity: An expanding universe[J]. Sci Immunol, 2020, 5(49):eabb1662.

[2] Hurst J R, Warnatz K. Interstitial lung disease in primary immunodeficiency: towards a brighter future[J]. Eur Respir J, 2020, 55(4):2000089.

[3] 陈然, 罗颖, 杨军, 等. 免疫出生错误分类更新(2022版)解读[J]. 中华儿科杂志, 2022, 60:1262-1265.

[4] Aranda C S, Guimarães R R, de Gouveia-Pereira Pimentel M. Combined immunodeficiencies[J]. J Pediatr (Rio J), 2021, 97 Suppl 1(Suppl 1):S39-S48. 

[5] Sharifinejad N, Azizi G, Chavoshzadeh Z, et al. Autoimmunity in monogenic combined immune deficiencies with associated or syndromic features[J]. Front Immunol, 2022, 13:1023127.

[6] Vilela M. Human Inborn Errors of Immunity (HIEI): predominantly antibody deficiencies (PADs): if you suspect it, you can detect it[J]. J Pediatr (Rio J), 2021, 97 Suppl 1(Suppl 1):S67-S74.

[7] Emmaneel A, Bogaert D J, Van Gassen S, et al. A Computational Pipeline for the Diagnosis of CVID Patients[J]. Front Immunol, 2019, 10:2009. 

[8] Long A, Kleiner A, Looney R J. Immune dysregulation[J]. J Allergy Clin Immunol, 2023, 151(1):70-80. 

[9] Bogaert D J, Haerynck F. Congenital Defects of Phagocytes[M]. In: D'Elios MM, Baldari CT, Annunziato F, eds. Cellular Primary Immunodeficiencies. Cham: Springer International Publishing; 2021:97-176.

[10] Alsina L, Rodriguez-Gallego C, Esteve-Solé A, et al. Defects in Intrinsic and Innate Immunity[M]. In: D'Elios MM, Baldari CT, Annunziato F, eds. Cellular Primary Immunodeficiencies. Cham: Springer International Publishing; 2021:177-212.

[11] Ozkurede V U, Franchi L. Immunology in clinic review series; focus on autoinflammatory diseases: role of inflammasomes in autoinflammatory syndromes[J]. Clin Exp Immunol, 2012, 167(3):382-390.

[12] Schröder-Braunstein J, Kirschfink M. Complement deficiencies and dysregulation: Pathophysiological consequences, modern analysis, and clinical management[J]. Mol Immunol, 2019, 114:299-311.

[13] Malouf C, Loughran S J, Wilkinson A C, et al. Translational research for bone marrow failure patients[J]. Exp Hematol, 2022, 105:18-21.

[14] Tangye S G, Al-Herz W, Bousfiha A, et al. Human Inborn Errors of Immunity: 2022 Update on the Classification from the International Union of Immunological Societies Expert Committee[J]. J Clin Immunol, 2022, 42(7):1473-1507. 

[15] Lyons J J, Milner J D. Primary atopic disorders[J]. J Exp Med, 2018, 215(4):1009-1022. 

[16] Vaseghi-Shanjani M, Smith K L, Sara R J, et al. Inborn errors of immunity manifesting as atopic disorders[J]. J Allergy Clin Immunol, 2021, 148(5):1130-1139. 

[17] Wang Y, Ma C S, Ling Y, et al. Dual T cell- and B cell-intrinsic deficiency in humans with biallelic RLTPR mutations[J]. J Exp Med, 2016, 213(11):2413-2435. 

[18] Peled A, Sarig O, Sun G, et al. Loss-of-function mutations in caspase recruitment domain-containing protein 14 (CARD14) are associated with a severe variant of atopic dermatitis[J]. J Allergy Clin Immunol, 2019, 143(1):173-181.e10. 

[19] Bjelac J A, Blanch M B, Fernandez J. Allergic disease in patients with common variable immunodeficiency at a tertiary care referral center[J]. Ann Allergy Asthma Immunol, 2018, 120(1):90-92. 

[20] Ibrahim H, Walsh J, Casey D, et al. Recurrent asthma exacerbations: co-existing asthma and common variable immunodeficiency[J]. J Asthma, 2022, 59(6):1177-1180. 

[21] Brent J, Guzman D, Bangs C, et al. Clinical and laboratory correlates of lung disease and cancer in adults with idiopathic hypogammaglobulinaemia[J]. Clin Exp Immunol, 2016, 184(1):73-82.

[22] Spagnolo P, Fabbri LM, Bush A. Long-term macrolide treatment for chronic respiratory disease[J]. Eur Respir J. 2013 Jul;42(1):239-51.  

[23] Khan T Z, Wagener J S, Bost T, et al. Early pulmonary inflammation in infants with cystic fibrosis[J]. Am J Respir Crit Care Med, 1995, 151(4):1075-1082. 

[24] Mooney D, Edgar D, Einarsson G, et al. Chronic lung disease in common variable immune deficiency (CVID): A pathophysiological role for microbial and non-B cell immune factors[J]. Crit Rev Microbiol, 2017, 43(4):508-519. 

[25] Taneja A, Muco E, Chhabra A. Bruton Agammaglobulinemia. StatPearls. Treasure Island (FL): StatPearls Publishing Copyright © 2023, StatPearls Publishing LLC.; 2023.

[26] Rodriguez J A, Bang T J, Restrepo C S, et al. Imaging Features of Primary Immunodeficiency Disorders[J]. Radiol Cardiothorac Imaging, 2021, 3(2):e200418. 

[27] Lopes J P, Ho H E, Cunningham-Rundles C. Interstitial Lung Disease in Common Variable Immunodeficiency[J]. Front Immunol, 2021, 12:605945. 

[28] Bates C A, Ellison M C, Lynch D A, et al. Granulomatous-lymphocytic lung disease shortens survival in common variable immunodeficiency[J]. J Allergy Clin Immunol, 2004, 114(2):415-421. 

[29] Turner M W. The role of mannose-binding lectin in health and disease[J]. Mol Immunol, 2003, 40(7):423-429.

[30] Garred P, Honoré C, Ma Y J, et al. MBL2, FCN1, FCN2 and FCN3-The genes behind the initiation of the lectin pathway of complement[J]. Mol Immunol, 2009, 46(14):2737-2744. 

[31] Beinrohr L, Dobó J, Závodszky P, et al. C1, MBL-MASPs and C1-inhibitor: novel approaches for targeting complement-mediated inflammation[J]. Trends Mol Med, 2008, 14(12):511-521. 

[32] Chung W Y, Pollard C A, Stover C, et al. Pilot study: deficiency of mannose-binding lectin-dependent lectin pathway, a novel modulator in outcome from pancreatic islet auto-transplantation[J]. Ann Transl Med, 2020, 8(5):170. 

[33] Dicker A J, Crichton M L, Cassidy A J, et al. Genetic mannose binding lectin deficiency is associated with airway microbiota diversity and reduced exacerbation frequency in COPD[J]. Thorax, 2018, 73:510-518.

[34] Tran H B, Ahern J, Hodge G, et al. Oxidative stress decreases functional airway mannose binding lectin in COPD[J]. PLoS One, 2014, 9(6):e98571. 

[35] García-García A, Pérez de Diego R, Flores C, et al. Humans with inherited MyD88 and IRAK-4 deficiencies are predisposed to hypoxemic COVID-19 pneumonia[J]. J Exp Med, 2023, 220(5):e20220170. 

[36] Zhang Q, Bastard P, Cobat A, et al. Human genetic and immunological determinants of critical COVID-19 pneumonia[J]. Nature, 2022, 603(7902):587-598. 

[37] Ivashkiv L B, Donlin L T. Regulation of type I interferon responses[J]. Nat Rev Immunol, 2014, 14(1):36-49. 

[38] Bastard P, Rosen LB, Zhang Q, et al. Autoantibodies against type I IFNs in patients with life-threatening COVID-19[J]. Science, 2020, 370(6515):eabd4585. 

作者简介



图片

钟佳成
  • 深圳市呼吸疾病研究所专职科研人员


图片

王凌伟
  • 深圳市呼吸疾病研究所副所长

  • 南方科技大学医学院诊断学教研室主任

  • 博士,教授,主任医师,博士生导师

  • 2005年入选中国卫生部国际资源后备人才库人才

  • 2010年德国柏林Evangelische Lungenklinik医院进修

  • 中华医学会呼吸病学分会第十一届委员会委员

  • 中国医学装备协会呼吸病学分会副主任委员

  • 广东省呼吸内科质控中心副主任

  • 深圳市医师协会呼吸医师分会会长

  • 深圳市医学会呼吸病学分会副主任委员

  • 深圳市医防融合项目呼吸项目组组长

  • 科技部重大专项《慢阻肺动物模型病理机制解析及新靶标的发现》课题负责人


声明:

本文仅用于学术内容的探讨和交流,不用于任何商业和推广,亦不作为最终的临床决策。临床实践需根据患者的具体情况选择适宜的处理措施。

全部评论 0
Copyright©2020-2026 北京医麦斯科技有限公司 版权所有 京ICP备2020034400号-1 京公网安备11010502043983号