登录方式

方式一:
PC端网页:www.rccrc.cn
输入账号密码登录,可将此网址收藏并保存密码方便下次登录

方式二:
手机端网页:www.rccrc.cn
输入账号密码登录,可将此网址添加至手机桌面并保存密码方便下次登录

方式三:
【重症肺言】微信公众号
输入账号密码登录

注:账号具有唯一性,即同一个账号不能在两个地方同时登录。

登录
方式

为重症救治赋能

为患者康复加速

当前位置:首页 重症实战 前线战疫

夏金根:COVID-19患者需要警惕气压伤

夏金根 国家呼吸医学中心 中日友好医院 呼吸与危重症医学科 发布于2023-04-26 浏览 2339 收藏

作者:夏金根

单位:国家呼吸医学中心 中日友好医院 呼吸与危重症医学科

一、病例

病例1
患者,男性,74岁, 2022年12月19日入院。反复发热、咳嗽、咳痰、呼吸困难12天,加重4天。诊断:新冠肺炎,ARDS。肾移植术后4个月,糖尿病病史20年,高血压病史30年。治疗:抗病毒、抗感染(细菌+真菌)、激素、托珠单抗。
第1~10天,HFNC+清醒俯卧位。第2天,HFNC 50 L/min,FiO2 0.5,PFR 155 mmHg,RR 22~25 bpm。第8天,HFNC 50 L/min,FiO2 0.8,PFR 95 mmHg,RR 25~30 bpm。第10天,ET+IMV(因呼吸窘迫,PFR<100 mmHg)。
图片
第11天,气管切开+IMV。第13天,出现明显纵隔气肿。PCV:PC 12 cmH2O,PEEP 10 cmH2O,FiO2 0.55,PFR 154 mmHg,VT 7~9 ml/kg,RR 25~28 bpm,MV 12~14。顺应性(C)18 ml/cmH2O。第21天,家属放弃治疗。
图片
病例2
患者,男性,48岁。发热、呼吸困难13天,2022年12月28日入普通病房住院。诊断:新冠肺炎。既往高血压病史14年。经抗感染、抗炎、抗凝治疗后好转。第7天胸部CT提示纵隔气肿+皮下气肿,转入ICU。HFNC 40 L/min,FiO2 0.6,PFR 260 mmHg。予抗病毒、抗感染、激素、抗凝治疗。第21天转出ICU。

图片

图片
基于临床实践中遇到的病例,我们也提出了一些问题:COVID-19患者气压伤的实际发生率高吗?是否会影响患者预后?影响气压伤发生的可能因素有哪些?如何预测和预防?本文将就COVID-19患者气压伤相关问题进行阐述,与同道共同探讨学习。

二、导致COVID-19患者气压伤的原因

气压伤(barotrauma)通常指的是机械通气患者使用的压力过大之后导致的肺泡破裂,表现为肺泡外气体,其最早期的改变即为“Macklin effect”,也就是所谓的肺间质气肿(PIE)。肺泡破裂后,气体最先进入间质,并在间质中堆积,气体积聚逐渐增多,它会沿着气管支气管束走行至肺门及纵隔,随着压力的增大,气体可以通过颈部扩散至皮下、心包、腹膜后等处,如此也导致气压伤的表现形式多种多样,而最早期的表现就是PIE。
肺应力(stress)和应变(strain)能直接反映肺组织的力学变化,应力或应变过大可使肺泡破裂,继而出现肺泡外气体,导致气压伤。早在20世纪90年代就有研究发现机械通气患者整体气压伤的发生率高24.5%(34/139),一旦发生气压伤,患者的病死率会明显增高,尤其ARDS患者气压伤的发生率甚至达到66%[1]
Gattinoni教授[2]1994年发表的文章显示,84例ARDS患者气胸总体发生率为48.8%,早期、中期和晚期ARDS患者分别为30%、46%和87%,且重度ARDS患者预后不良。此后,机械通气相关的病理生理研究逐渐开展,2000年提出了“肺保护性通气策略”。机械通气的管理影响患者预后。小潮气量通气策略的应用使ARDS患者气压伤的发生率显著降低(<10%)[3-6]
然而研究发现,COVID-19相关ARDS患者肺部气压伤的发生率竟有15%~19%[7-9]!而SARS和MERS所致气压伤的发生率与COVID-19相差不多,均远高于普通ARDS患者气压伤的发生率。
几项大样本研究也在同期非COVID-19患者与COVID-19患者之间进行了对比,结果发现COVID-19患者气压伤发生率显著高于非COVID-19患者,且病死率也明显增高[7, 10, 11]
图片

COVID-19患者气压伤发生率为何如此之高?我们分析这可能与下列因素有关:①患者因素:COVID-19 ARDS发生率高?COVID-19疾病本身特性?病变的不均一性?②人为因素:呼吸机参数设置问题?③医疗资源的限制。其中,COVID-19 ARDS发生率增加是重要原因。据统计,在COVID-19期间ARDS人数较非COVID-19期间增加了将近20倍[12]。此外,在后COVID-19时代,即使COVID-19患病人数下降,ARDS的长期损害预计也会增加[13]因此,ARDS的疾病负担显著增加。一项全球文献调查显示,ICU中,COVID-19患者ARDS的发生率可以达到75%(47%~100%)病死率高达45%(20%~89%)[14]。由于ARDS本身导致肺组织病变不均一,更易出现气压伤。

2000年“肺保护性通气策略”提出以后,临床医生对这一理念的认识逐渐加深。保护性通气成为COVID-19患者常用的通气策略。荷兰一项全国性、多中心、观察性队列研究在553例有创通气的COVID-19患者中,有创通气时PFR为158 mmHg,顺应性为31.9,28 d病死率为35%[15]。患者的驱动压及VT均不高,且PEEP水平也没有明显增高,患者为何还会出现气压伤?是呼吸机参数设定的问题,还是肺组织本身(lung frailty)的问题?

一项研究提示我们COVID-19相关ARDS与普通ARDS是有区别的。虽然该研究纳入患者的呼吸机压力水平偏高,但仍然在肺保护性通气策略的范围之内,然而COVID-19与非COVID-19患者气压伤发生率分别为13.6%和1.9%。将所有气压伤(包括纵隔气肿和皮下气肿)进行队列分析发现,发生气压伤与未发生气压伤的COVID-19患者呼吸机参数设定是相同的,二者之间没有区别[16]。所以“lung frailty”可能是很重要的一个因素,如同SARS和MERS,尽管报道不多,但仅有的一些文献会发现其气压伤的发生率仍然可以达到20%。

也有研究也发现,如果予以COVID-19患者过高的PEEP和平台压,气压伤的发生率也会明显增高[17]。因此,不当的呼吸机参数设置亦会增加气压伤的发生风险。所以,无论是COVID-19患者还是非COVID-19患者,机械通气的管理都是需要关注的重要问题。

三、COVID-19患者气压伤的预防

1. PEEP的选择

对于COVID-19患者,如果PEEP从0增加至10或15 cmH2O,患者的氧合的确改善,但从呼吸力学的角度分析,结果并非如此,增加PEEP后,虽然氧合指数增加,但肺顺应性下降,PaCO2也降低。通过胸部CT可以发现,增加PEEP后,复张的肺组织很多,但过度充气的肺组织也会增加,当增加PEEP时,复张的肺容积每增加1 ml,同时会伴随1.1 ml肺组织的过度充气。所以,PEEP可能并不适合COVID-19患者[18]

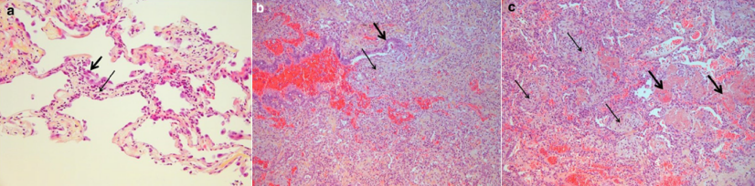
2000年一项COVID-19患者的尸检报告发现,在6例死亡患者中有5例出现了机化性肺炎,在肺泡腔及细支气管中都填充着纤维素样渗出[19]此时增加PEEP并不会产生任何作用,相反,正常肺泡过度膨胀,患者气压伤和呼吸机相关性肺损伤的发生率显著增加。

图片

注:a. 肺泡壁被大量淋巴细胞浸润和水肿(细箭头);b. 支气管内的松散结缔组织(细箭头);c. 肺泡管内的组织性肺炎(细箭头)与纤维蛋白球(粗箭头)共存。

图源:Intensive Care Med, 2020, 46(6):1124-1126.
肺间质性改变也是管理ICU患者时需要考虑的问题,否则为了改善氧合而一味地增加PEEP,可能会给患者带来一些风险。意大利一项研究也发现,对于COVID-19患者,PEEP增高后,患者死亡风险也增加[20]。该研究共纳入3988例COVID-19患者,将PEEP<10 cmH2O的患者作为参考,如果PEEP增高到10~12 cmH2O,患者死亡风险有一定的下降趋势,但如果PEEP增高到13~15 cmH2O或>15 cmH2O,患者死亡风险明显增高。COVID-19患者对PEEP的反应性似乎并不是很好,因此,临床中对于PEEP的调节其实没有必要过于积极。即使是普通的ARDS患者,也没有循证医学证据说明高PEEP一定优于低PEEP,相反,研究发现两者之间并没有很大差异。甚至增加PEEP可能引起肺损伤。
2. 机械通气方式的选择
对于COVID-19患者的机械通气,需要考虑选择何种通气方式。COVI-MIX研究发现,与普通氧疗和高流量相比,接受无创通气的COVID-19患者气压伤的发生风险更高,这一结果与有创通气类似[21]。目前并不推荐使用无创通气治疗严重的低氧性呼吸衰竭,因为此类患者的呼吸驱动通常都非常强,表现为呼吸急促。
3. 避免过强的自主呼吸
P-SILI(Patient-self inflicted lung injury)[22]这一概念指的是患者自身诱发的肺损伤,主要来自于呼吸驱动增强导致跨肺压力增高,加之伴有肺部基础病变,此类患者即使是高流量也可能会导致P-SILI,一旦加入无创通气,肺泡压力会更大,再加上自主吸气努力过强,跨肺压会更大,肺容积也会进一步增加,如此便极大地增加了肺损伤的发生风险。研究发现,呼吸驱动越强的COVID-19患者,拔管后再发呼吸衰竭的情况明显增高,该研究推荐判断COVID-19患者呼吸驱动的指标为P0.1和ΔPocc,当P0.1>4 cmH2O,或者ΔPocc<-15 cmH2O,此类患者再次发生呼吸衰竭的情况明显增多[23]
预测COVID-19患者肺炎进一步加重的指标中,肺的应力是很重要的一个指标[24],肺的应力是通过食道压力监测去测量跨肺压的改变,与氧合无关。与无创正压通气失败相关的是应力的变化趋势,无创通气效果好的患者,应力会下降,无创通气效果不好最终插管的患者,应力没有下降甚至增高。所以,P-SILI也是我们在临床中需要关注的问题。
4. 关注早期气压伤征象—Macklin effect
也有研究发现通过自发性纵隔气肿来反映P-SILI的发生,一旦出现自发性纵隔气肿,患者预后往往不良[25]
前文提及的Macklin effect(PIE)预测患者出现纵隔气肿和皮下气肿是非常好的指标。如下图所示,在气管支气管束周围有明显的透亮带,即为PIE[26],一旦出现PIE,后续发生气胸或者纵隔气肿的情况明显增多。

图片

图源:Clin Imaging, 2023, 97:50-54.
还有学者将PIE作为判断患者是否需要启动ECMO的指征,他们对患者氧合指数很差且CT发现有PIE的5例患者实施了清醒ECMO,结果发现这些患者均成功撤离ECMO并出院[27]。该研究也提示我们,或许PIE可以作为ICU中监测气压伤进一步加重的参考指标。

、小结

在临床工作中,一定要警惕重症COVID-19患者的气压伤。COVID-19患者的气压伤发生率高于非COVID-19患者,其可能的影响因素包括原发病因素、呼吸机参数因素及医疗资源受限因素。预防气压伤的发生需要考虑:①肺保护性通气策略:尽可能降低Pplat、驱动压;②慎用过高PEEP(>10~12 cmH2O);③避免过强的自主呼吸:VT8 ml/kg,Δpes<10 cmH2O,Ptp20 cmH2O等;④关注早期气压伤征象:Macklin effect(PIE);⑤氧合改善不明显应及时考虑俯卧位通气和ECMO。

参考文献

[1] Gammon R B, Shin M S, Buchalter S E. Pulmonary barotrauma in mechanical ventilation. Patterns and risk factors[J]. Chest, 1992, 102(2):568-572. 

[2] Gattinoni L, Bombino M, Pelosi P, et al. Lung structure and function in different stages of severe adult respiratory distress syndrome[J]. JAMA, 1994, 271(22):1772-1779.

[3] Brower R G, Lanken P N, MacIntyre N, et al. Higher versus lower positive end-expiratory pressures in patients with the acute respiratory distress syndrome[J]. N Engl J Med, 2004, 351(4):327-336. 

[4] Meade M O, Cook D J, Guyatt G H, et al. Ventilation strategy using low tidal volumes, recruitment maneuvers, and high positive end-expiratory pressure for acute lung injury and acute respiratory distress syndrome: a randomized controlled trial[J]. JAMA, 2008, 299(6):637-645. 

[5] Mercat A, Richard J C, Vielle B, et al. Positive end-expiratory pressure setting in adults with acute lung injury and acute respiratory distress syndrome: a randomized controlled trial[J]. JAMA, 2008, 299(6):646-655. 

[6] Writing Group for the Alveolar Recruitment for Acute Respiratory Distress Syndrome Trial (ART) Investigators; Cavalcanti AB, Suzumura ÉA, et al. Effect of Lung Recruitment and Titrated Positive End-Expiratory Pressure (PEEP) vs Low PEEP on Mortality in Patients With Acute Respiratory Distress Syndrome: A Randomized Clinical Trial[J]. JAMA, 2017, 318(14):1335-1345. 

[7] McGuinness G, Zhan C, Rosenberg N, et al. Increased Incidence of Barotrauma in Patients with COVID-19 on Invasive Mechanical Ventilation[J]. Radiology, 2020, 297(2):E252-E262.

[8] Shrestha D B, Sedhai Y R, Budhathoki P, et al. Pulmonary barotrauma in COVID-19: A systematic review and meta-analysis[J]. Ann Med Surg (Lond), 2022, 73:103221.

[9] Umbrello M, Venco R, Antonucci E, et al. Incidence, clinical characteristics and outcome of barotrauma in critically ill patients with COVID-19: a systematic review and meta-analysis[J]. Minerva Anestesiol, 2022, 88(9):706-718. 

[10] Knox D B, Brunhoeber A, Peltan I D, et al. Comparison of radiographic pneumothorax and pneumomediastinum in COVID-19 vs. non-COVID-19 acute respiratory distress syndrome[J]. Intensive Care Med, 2022, 48(11):1648-1651. 

[11] Belletti A, Todaro G, Valsecchi G, et al. Barotrauma in Coronavirus Disease 2019 Patients Undergoing Invasive Mechanical Ventilation: A Systematic Literature Review[J]. Crit Care Med, 2022, 50(3):491-500. 

[12] Wick K D, McAuley D F, Levitt J E, et al. Promises and challenges of personalized medicine to guide ARDS therapy[J]. Crit Care, 2021, 25(1):404. 

[13] Palakshappa J A, Krall J T W, Belfield L T, et al. Long-Term Outcomes in Acute Respiratory Distress Syndrome: Epidemiology, Mechanisms, and Patient Evaluation[J]. Crit Care Clin, 2021, 37(4):895-911. 

[14] Tzotzos S J, Fischer B, Fischer H, et al. Incidence of ARDS and outcomes in hospitalized patients with COVID-19: a global literature survey[J]. Crit Care, 2020, 24(1):516. 

[15] Botta M, Tsonas AM, Pillay J, et al. Ventilation management and clinical outcomes in invasively ventilated patients with COVID-19 (PRoVENT-COVID): a national, multicentre, observational cohort study[J]. Lancet Respir Med, 2021, 9(2):139-148. 

[16] Lemmers D H L, Abu Hilal M, Bnà C, et al. Pneumomediastinum and subcutaneous emphysema in COVID-19: barotrauma or lung frailty?[J]. ERJ Open Res, 2020, 6(4):00385-2020. 

[17] Knox D B, Brunhoeber A, Peltan I D, et al. Comparison of radiographic pneumothorax and pneumomediastinum in COVID-19 vs. non-COVID-19 acute respiratory distress syndrome[J]. Intensive Care Med, 2022 , 48(11):1648-1651. 

[18] Protti A, Santini A, Pennati F, et al. Lung Response to a Higher Positive End-Expiratory Pressure in Mechanically Ventilated Patients With COVID-19[J]. Chest, 2022, 161(4):979-988. 

[19] Copin M C, Parmentier E, Duburcq T, et al. Time to consider histologic pattern of lung injury to treat critically ill patients with COVID-19 infection[J]. Intensive Care Med, 2020, 46(6):1124-1126.

[20] Grasselli G, Greco M, Zanella A, et al. Risk Factors Associated With Mortality Among Patients With COVID-19 in Intensive Care Units in Lombardy, Italy[J]. JAMA Intern Med, 2020, 180(10):1345-1355.

[21] Vetrugno L, Castaldo N, Fantin A, et al. Ventilatory associated barotrauma in COVID-19 patients: A multicenter observational case control study (COVI-MIX-study)[J]. Pulmonology, 2022 Nov 24:S2531-0437(22)00260-4. 

[22] Grieco D L, Maggiore S M, Roca O, et al. Non-invasive ventilatory support and high-flow nasal oxygen as first-line treatment of acute hypoxemic respiratory failure and ARDS[J]. Intensive Care Med, 2021, 47(8):851-866. 

[23] Esnault P, Cardinale M, Hraiech S, et al. High Respiratory Drive and Excessive Respiratory Efforts Predict Relapse of Respiratory Failure in Critically Ill Patients with COVID-19[J]. Am J Respir Crit Care Med, 2020, 202(8):1173-1178.

[24] Coppola S, Chiumello D, Busana M, et al. Role of total lung stress on the progression of early COVID-19 pneumonia[J]. Intensive Care Med, 2021, 47(10):1130-1139.

[25] Elabbadi A, Urbina T, Berti E, et al. Spontaneous pneumomediastinum: a surrogate of P‑SILI in critically ill COVID‑19 patients[J]. Crit Care, 2022, 26(1):350.

[26] Maccarrone V, Liou C, D'souza B, et al. The Macklin effect closely correlates with pneumomediastinum in acutely ill intubated patients with COVID-19 infection[J]. Clin Imaging, 2023, 97:50-54.

[27] Paternoster G, Bertini P, Belletti A, et al. Venovenous Extracorporeal Membrane Oxygenation in Awake Non-Intubated Patients With COVID-19 ARDS at High Risk for Barotrauma[J]. J Cardiothorac Vasc Anesth, 2022, 36(8 Pt B):2975-2982. 

作者简介



图片

夏金根
  • 中日友好医院呼吸中心呼吸与危重症医学科副主任呼吸治疗师

  • 中华医学会呼吸病学分会呼吸治疗学学组委员

  • 中国医师协会呼吸医师分会呼吸相关职业发展工作委员会委员

  • 中国医学装备协会呼吸病学装备专业委员会第一届委员

  • 中国病理生理学会危重病专业委员会第一届呼吸治疗学组委员

  • 中国康复医学会呼吸康复委员会委员

  • 中国医学救援协会重症医学分会理事会理事


【注:本文仅用于学术内容的传播和交流,不用于任何商业和推广】

全部评论 0
Copyright©2020-2026 北京医麦斯科技有限公司 版权所有 京ICP备2020034400号-1 京公网安备11010502043983号