登录方式

方式一:
PC端网页:www.rccrc.cn
输入账号密码登录,可将此网址收藏并保存密码方便下次登录

方式二:
手机端网页:www.rccrc.cn
输入账号密码登录,可将此网址添加至手机桌面并保存密码方便下次登录

方式三:
【重症肺言】微信公众号
输入账号密码登录

注:账号具有唯一性,即同一个账号不能在两个地方同时登录。

登录
方式

为重症救治赋能

为患者康复加速

当前位置:首页 重症实战 前线战疫

重症COVID-19病例分享-7

冯莹莹,牛宏涛 国家呼吸医学中心 中日友好医院呼吸与危重症医学科 发布于2023-02-21 浏览 3819 收藏

病例1. COVID-19合并曲霉感染一例

作者:冯莹莹

单位:国家呼吸医学中心 中日友好医院呼吸与危重症医学科

 病情介绍 

一般情况

患者,男性,48岁,入院时间为2022年12月27日,入ICU时间为2023年1月2日。主诉:异体肾移植术后7月,发热伴胸闷12天。

现病史

患者7月前因慢性肾功能不全尿毒症期于我院行同种异体肾移植术,术后恢复可,出院后规律口服他克莫司、吗替麦考酚酯分散片抗排异治疗。12前(12月15日)接触新冠抗原阳性家属后出现低热,伴流涕、咳嗽、咳少许白黏痰,新冠抗原自测阳性,居家予以退热、中成药等对症治疗,仍有间断发热。2前(12月25日)出现胸闷、气短,影响日常活动,症状进行性加重,12月27日静息状态下即感气短,就诊于我院急诊。

血常规:WBC 2.8×109/L,NEU 2.1×109/L,LYM 0.33×109/L,Hb 123 g/L,PCT阴性,快速CRP 71.74 mg/L。新冠核酸阳性(O:19.23,N:19.848)。血气分析提示Ⅰ型呼吸衰竭,遂收入泌尿外科。

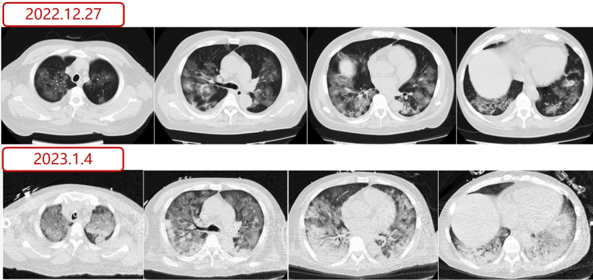
急诊胸部CT(12月27日)示双肺弥漫多发磨玻璃影,心包及双侧胸腔少量积液。小叶中心型肺气肿。

注:下图3月3日为评估肾移植时,12月27日为本院急诊时
既往史、个人史家族史
高血压病史25年,最高收缩压达200 mmHg,口服阿罗洛尔、硝苯地平控释片、非洛地平缓释片,血压控制于145/95 mmHg左右。发现血肌酐升高4年,因“慢性肾功能不全,尿毒症期”于2022年5月22日行同种异体肾移植术,术后尿量好,肌酐波动于200 μmol/L左右。否认糖尿病史,否认心脏病、脑血管疾病病史,否认神经精神疾病史,无药物及食物过敏史。
生于北京市海淀区,久居本地,无疫区疫水接触史,无放射性物质、有毒物质接触史,无吸烟、饮酒史。未婚。未接种新冠疫苗。
入院查体
体温36.5℃,脉搏102次/min,呼吸24次/min,血压172/104 mmHg。SpO2 94%面罩吸氧9 L/min)。发育正常,营养中等,自主体位,神智清楚。全身皮肤无皮疹、黄染、瘀点及瘀斑;双侧呼吸运动对称,呼吸音粗,双下肺可闻及Velcro啰音心音有力,未闻及明显杂音。右下腹可见一长约30 cm手术瘢痕。双下肢无浮肿。无杵状指/趾。
入院血气分析(面罩吸氧,9 L/min)pH 7.45,PaO2 58.8 mmHg,PaCO2 32.5 mmHg,BE -1.8 mmol/L,Lac 1.0 mmol/L。
外科诊治经过
患者在泌尿外科治疗时,体温不高,从12月27日入院距起病已12天。12月27日急诊血常规示WBC偏低,LYM降低为主,予重组人粒细胞刺激因子100 μg皮下注射后WBC总数恢复正常,LYM仍持续偏低;经过治疗后,快速CRP前期稍有下降,后续进行性升高。
图片
图片
药物治疗:①抗病毒:奈玛特韦1片+利托那韦1片q12h(12月28日-1月1日),口服5天;②抗炎:甲强龙40 mg(1月1日-2日);③抗排异:FK506 3 mg q12h+MMF 360 mg q12h(12月28日起停用);④抗细菌:头孢哌酮舒巴坦1.5 g q12h(12月27日-1月2日);⑤调节免疫:人免疫球蛋白5 g qd(12月27日-30日)。

呼吸支持:面罩吸氧由9 L/min升至15 L/min,血氧仍难以维持,2023年1月2日气管插管转入MICU。

转入MICU诊疗经过 

入MICU时情况(1月2日)
体温36.4℃,脉搏140次/min,呼吸17次/min,血压141/76 mmHg。经口气管插管机械通气:PCV,PC 12 cmH2O,PEEP 10 cmH2O,RR 15次/min,FiO2 0.8,潮气量700 ml左右,分钟通气量11 L/min左右。
镇静状态,RAMSAY评分5分;双侧呼吸运动对称,呼吸音粗,双下肺可闻及Velcro啰音,靠背侧为著。心音有力,未闻及明显杂音。右下腹可见一长约30 cm手术瘢痕。双下肢无浮肿。无杵状指/趾。
入MICU血气分析(FiO2 0.8)pH 7.43,PaO2 67.4 mmHg,PaCO2 29.2 mmHg,BE -4.2 mmol/L,Lac 1.5 mmol/L,SaO2 93.8%。APACHEⅡ评分27分,预测死亡率60.46%;SOFA评分5分。
病例特点及初步诊疗思路
青年男性,急性起病,否认肺部疾病病史,有长期使用抗排异药物的免疫抑制基础;有新冠病毒感染患者接触史,自测新冠抗原阳性;以发热、咳嗽咳白黏痰、进行性呼吸困难为主要表现,迅速进展至Ⅰ型呼吸衰竭;查体双下肺可闻及Velcro啰音;初始WBC总数偏低、以LYM降低为主,PCT阴性,头孢类及Paxlovid治疗效果欠佳;胸部影像学表现为双肺多发磨玻璃伴双侧胸腔积液。
该患者除了病毒性肺炎为主,似乎也有合并液体过负荷表现,因此,在加强抗炎治疗基础上,预防院感和气压伤(如加深镇静,早期气切),加强液体管理(前期利尿,后期CRRT)。
入MICU第1情况1月3日
完善气管镜检查:镜下可见气管内管腔通畅,隆突锐利,右主支气管管腔通畅,右下叶基底段支气管开口可见白色黏稠分泌物附着,充分吸引后见基底段远端有较多痰栓吸出,余右侧各叶段支气管管腔通畅。左主支气管管腔通畅,左下叶基底段支气管开口可见淡粉色稀薄分泌物涌出,充分吸引后见左侧各叶段支气管管腔通畅。灌洗:右下叶前基底段,注入60 ml,回收30 ml。
药物治疗:地塞米松5 mg qd+托珠单抗480 mg st抗炎。亚胺培南西司他丁0.5 g q8h抗细菌感染。磺胺1片qd预防PCP。
入MICU第2天情况1月4日
BALF病原学:NGS回报:粪肠球菌(序列数54),细小脲原体(序列数20),金黄色葡萄球菌(序列数44),烟曲霉(序列数232160),细环病毒(序列数859),新型冠状病毒(序列数34002)。BALF涂片发现真菌菌丝,G+球菌成对偶见,G-杆菌偶见,抗酸染色阴性。GeneXpert、CMV、PCP阴性。nCOV阳性,O:26.293,N:26.535。BALF GM 9.44。
炎性指标:血清铁蛋白1308.3 ng/ml,血沉110.59 mg/dl。
免疫指标:CD4+T细胞145 cells/μl(参考范围:395~1264 cells/μl),CD8+T细胞85 cells/μl(参考范围:270~1059 cells/μl)。
发病21天,住院第9天、入ICU第2天。予Paxlovid(2022年12月28日至2023年1月1日)+激素(1月1日起)+托珠单抗(1月3日)治疗后调整抗感染方案,加用利奈唑胺0.6 g q12h+伏立康唑200 mg q12h;亚胺培南西司他丁0.5 g q8h+磺胺1片qd维持。
心功能:左房稍大,室间隔增厚,升主动脉稍宽,主动脉瓣反流(轻度);加强利尿治疗。
预计短期内难以脱机,行气管切开术。复查影像学:肺部磨玻璃影的范围和密度较前加重。
图片
入MICU第3~4情况1月5日-6日
患者氧合差,PFR 70~80 mmHg,潮气量700~800 ml,俯卧位时PFR 84 mmHg,改善不明显;多重混合感染,炎症反应重,行血浆置换治疗2次。消化道出血(胃管引出血性胃液),转入后Hb明显下降,予以静脉营养支持。
1月6日复查气管镜:双肺各叶段支气管黏膜轻度充血,右下叶开口可见较多白色黏痰。无白苔、糜烂等典型的支气管肺曲霉菌病表现。
入MICU第5天情况1月7日
患者氧合仍差,PFR 40~70 mmHg,潮气量700~800 ml。与家属充分沟通后行VV-ECMO治疗:股静脉23 F引流,颈内静脉17 F灌注,转速3570 rpm,流量4.68 L/min,呼吸机PCV:PC 12 cmH2O,PEEP 8 cmH2O,RR 15次/min,FiO2 0.5,实测潮气量300 ml左右、RR 20次/min左右。
小剂量抗凝,凝血指标维持可:入ICU后予以低分子肝素0.4 ml qn皮下注射抗凝。ECMO建立后改为肝素380~520 IU/h,APTT 45~55 s,ACT 128~149 s。
入MICU第68情况1月8日-10日
呼吸机PCV:PC 12 cmH2O,PEEP 8 cmH2O,RR 12次/min,FiO2 0.4~0.6,实测潮气量350~600 ml,RR波动于20次/min左右。
ECMO:转速2500~3000 rpm,流量2.9~3.9 L/min,气流量3 L/min。
多次查血气分析:PaO70~100 mmHg,PaCO2正常范围内。肝功能正常,CRRT治疗中,肌酐等指标相对稳定。
1月9日复查胸部X线片可见双肺密度较前增高。
截止1月10日,在ICU期间液体总正平衡2776 ml。BNP入院后在300~400 pg/ml之间波动。
患者在外科治疗期间,整体CRP呈上升趋势,入ICU后予地塞米松+托珠单抗治疗,CRP下降明显。血清铁蛋白在1300~1400 ng/ml之间波动,变化并不特别明显,WBC在患者入院时相对偏低,注射升白针一次,后期WBC升高,1月6日-7日患者予行血浆置换及ECMO治疗,此时WBC水平最高,在撤除血浆置换、ECMO相对稳定之后,患者WBC逐渐下降。LYM整体偏低,PCT入院时稍高,后期经过积极治疗,也呈下降趋势。

图片

图片


 第1~8天治疗汇总 

新型冠状病毒肺炎方面

BALF nCOV(1月9日):阳性,O 29.137,N 28.879

抗炎:地塞米松5 mg×7天(1月3日-9日)+托珠单抗480 mg(1月3日)。

其他感染方面

治疗:亚胺培南西司他丁0.5 g q8h+利奈唑胺0.6 q12h+伏立康唑400 mg/200 mg;

预防:磺胺+更昔洛韦预防机会性感染。

原发病方面

自12月28日停用他克莫司和霉酚酸,后期监测他克莫司浓度仍偏高。

1月10日BALF培养出烟曲霉和土曲霉,因此新冠病毒合并曲霉感染诊断明确。

当前阶段,在抗感染、抗炎、抗排异三者之间如何权衡?

 诊疗反思 

1. 新冠病毒+真菌混合感染
CAPA(COVID-19 associated pulmonary aspergillosis)发病率可能高达1/3,可能与临床检验是否积极、真菌感染定义所有不同有关。而CT早期很难发现典型的曲霉感染征象,因此难以在第一时间发现曲霉感染并积极予以药物治疗。此外,高达85% CAPA的曲霉血清标志物为阴性,支气管镜检查和BALF是诊断利器。
下图是发表于Lancet Infect Dis上的关于CAPA的诊断流程,其中也强调了气管镜和BALF检查的重要性,并且建议使用唑类抗真菌药物进行治疗,并且建议临床早期识别耐三唑类药物曲霉感染的存在。

图片

图源:Lancet Infect Dis, 2021, 21(6):e149-e162.

图片

图源:Lancet Infect Dis, 2021, 21(6):e149-e162.
2. 移植患者的药物相互作用
移植患者药物之间相互作用极为常见,本例患者从12月28日停用他克莫司,但后期多次血药浓度监测仍可以测到一定浓度的他克莫司,这可能与治疗期间使用Paxlovid(奈玛特韦/利托那韦)和伏立康唑有关。有研究建议使用Paxlovid时应停用他克莫司,在停用Paxlovid后再继续使用他克莫司,如果再加用伏立康唑,会使药物相互作用更加复杂。
利托那韦对细胞色素P450系同工酶CYP3A具有强力的抑制作用,其对伏立康唑的药代动力学影响取决于利托那韦剂量,高剂量利托那韦使伏立康唑暴露量显著降低,低剂量利托那韦对伏立康唑的影响不明显且不一致,伏立康唑本身也呈非线性药代动力学改变,加之基因型的问题,所以伏立康唑和利托那韦在联用时充满了变数,并非绝对禁忌。因此,临床上监测药物浓度非常重要!
3. 新冠对出凝血影响

抗栓治疗是贯穿全程的主要治疗之一,但部分患者可以表现为出血、凝血功能紊乱甚至DIC。COVID-19患者消化道出血总发生率为1.1%,可累及全消化道,包括胃、十二指肠、小肠、结直肠,上消化道病变包括溃疡、糜烂性病变、充血/出血性病变,下消化道以缺血性结肠炎为主。因此,早期肠内营养可能有助于保护黏膜和肠道菌群。

 回顾诊治过程 

回顾整个诊治过程发现,首先,混合感染并不少见;其次,院感防控仍是重中之重,尤其是在积极使用激素、JAK抑制剂、单抗制剂情况下,也会加重院感风险。最后,合并症和并发症增加了治疗难度,药物之间的相互作用非常复杂,都会影响最终的治疗效果,或者增加患者风险,如何权衡利弊,也是摆在临床医生面前的一道难题。

病例2. 重症COVID-19病例分享



作者:牛宏涛

单位:国家呼吸医学中心 中日友好医院呼吸与危重症医学科

 病情介绍 

一般情况

患者,男性,64岁,BMI 26.2 kg/m2,2023年1月3日入院,2023年1月5日入ICU。主诉:间断发热、咳嗽伴气短10天,加重6天。

现病史

第一阶段(当地医院呼吸科+我院发热门诊

入院10天前(12月24日)因与感染“新冠病毒”家属同住,接触后发热,体温最高39.2℃,伴咳嗽、咳白痰、气短、胸闷及肌肉酸痛,自服“对乙酰氨基酚”“洛索洛芬钠”后效果欠佳,每日体温峰值38.5℃左右,未进一步诊治。

入院6天前(12月28日)气短加重,就诊于当地医院,指脉氧饱和度80%(未吸氧),新冠病毒抗原自测(+)。血常规:WBC 1.99×109/L,LYM 0.71×109/L,hsCRP>5 mg/L;胸部CT:双肺多发条索影(图1)。予甲强龙40 mg、抗细菌感染及阿兹夫定治疗3天效果欠佳,转入我院。

图片

图1  外院胸部CT(2022年12月28日)

入院4天前(12月31日)就诊于我院发热门诊。复查血常规:WBC 6.05×109/L,NEU 4.94×109/L,LYM 0.7×109/L,CRP 86 mg/L。予“莫西沙星+泼尼松30 mg”治疗3天后,效果欠佳,收住感染科病房。

第二阶段(我院感染科病房)

1月3日化验检查:WBC 4.76×109/LNEU 4.07×109/LLYM 0.46×109/LCRP 112.76 mg/L;D-二聚体0.65 mg/L;Fet 747.9 ng/ml,IL-6 267.53 pg/ml,新冠核酸阳性(CT值25)。予“Paxlovid(1月4日)”“甲强龙40 mg”“托珠单抗(1月5日)”治疗。1月5日患者气短加重,查血气分析(高流量FiO2 0.8):pH 7.42,PaCO2 30.5 mmHg,PaO2 62.3 mmHg,HCO3- 25 mmol/L,Lac 1.6 mmol/L,PFR 77.87 mmHg。1月3日胸部CT示双肺多发斑片影,磨玻璃影,以胸膜下和右肺为著(图2)
图2  我院胸部CT(2023年1月3日)

1月5日我科会诊,气管插管后转MICU监护治疗,发病以来,食欲差、睡眠欠佳。

既往史、个人史、婚育史家族史

10年前确诊“IgA肾病”,口服激素(具体不详)3年时(2016年)停用,肾功能正常;否认高血压、冠心病、脑血管病、糖尿病;否认外伤、输血、食物、药物过敏、吸烟、酗酒史;未接种新冠疫苗;23岁结婚,育有1子2女,家族史无特殊。

体格检查(转入MICU)

T 37.3℃,HR 76次/min,RR 20次/min,BP 116/55 mmHg。IPPV:PC,PC 12 cmH2O,PEEP 12 cmH2O,FiO2 1.0,f 35 bpm,SpO2 93%。RAAS评分-3分;APACHEⅡ12分。双肺呼吸音粗,双下肺可闻及湿啰音;心界无明显扩大,心律齐;腹软,无压痛、反跳痛及肌紧张,肠鸣音4次/min,双下肢无凹陷性水肿。

初步诊断

新型冠状病毒肺炎(危重型),Ⅰ型呼吸衰竭,IgA肾病

病例特点

老年男性,急性病程,新冠感染第10天;

以发热、咳嗽、气短为主要表现;

激素治疗1周、托珠单抗1剂次,Paxlovid第2天,呼吸困难加重,氧合难以维持;

胸部影像:双肺多发磨玻璃、斑片影(下肺及胸膜下为著),肺容积缩小;

炎症指标升高,淋巴细胞明显减少;

既往患IgA肾病,未接种疫苗。

 MICU诊疗过程 

诊疗计划

①病情监测及评估;②呼吸/ECMO支持;③抗病毒、抗炎;④抗凝治疗;⑤其他支持

病情监测及评估

新冠感染评估:危重型,BALF:CT值26,序列数16488,奥密克戎变异株BA5.2。

共感染初始评估:①患者为非免疫抑制人群;②血常规(1月5日)WBC 6.49×109/L,NEU 4.94×109/L,LYM 0.3×109/L;③PCT阴性;④气管镜下可见气道炎性改变,黏膜充血水肿(图3)

图片

图3  气管镜下表现

呼吸功能评估:患者呼吸支持由HFNC到IPPV,氧合指数进行性下降,监测呼吸力学,Crs 24 ml/cmH2O,R 10 cmH2O/(L·s),IPPV,肺复张效果差,氧合未见改善。

图片

凝血功能评估:D-D 5.56 mg/L。

心脏功能评估:心电图示Ⅰ导联深Q波;心肌标志物均明显升高;超声心动图示左室节段性室壁运动异常。心脏科会诊意见:病毒性心肌炎可能性大,心脏收缩功能尚可,继续观察。

初始治疗(支持+三抗)

呼吸支持:V-V ECMO+IPPV(1月6日2PM),PC 12 cmH2O,f 15次/min,PEEP 12 cmH2O。

抗病毒:Paxlovid延用满5天

抗炎(“三板斧”):甲强龙40 mg q12h,托珠单抗8 mg/kg第2剂,巴瑞替尼4 mg qd(托珠单抗后次日)。

抗凝:肝素泵入,APTT目标50~55 s。

其他:头孢哌酮舒巴坦,PPI,磺胺预防量,预防骨质疏松,营养支持,控制血糖。

评估呼吸功能:启动ECMO后,FiO2 1.0,pH 7.34,PaCO2 32.3 mmHg,PaO2 90.9 mmHg,Lac 0.9 mmol/L。影像学表现较前加重,实变影增多(图4)

图4  我院床旁胸片(2023年1月6日)

ECMO期间评估、监测及治疗

ECMO第1天评估(1月6日)

①Fet 950.9 ng/ml,CRP 130.23 mg/dl;②细胞免疫:CD4+T细胞182 cells/μl;③体液免疫:免疫球蛋白、补体大致正常;④感染指标:T 37.5℃,WBC 13.98×109/L,PCT 0.01 ng/ml。

ECMO期间治疗策略

①抗炎治疗(早期、足量、联合、果断):甲强龙+托珠单抗(2剂)+巴瑞替尼(托珠后);②呼吸支持:IPPV+VV-ECMO,保护性肺通气策略,插管后第3天予以气管切开;③感染监测:共感染,VAP,ECMO相关感染;④凝血平衡:PT/APTT/ACT/DD/ATⅢ,Fib,Plt,Hb;⑤其他支持:心、肝、肾、胃肠道管理,营养支持。

ECMO期间抗炎评估

①炎症指标:抗炎治疗后,患者CRP明显下降、Fet、IL-6水平持续上升。
图片
②氧合/影像学:胸部X线片可见ECMO第3天,炎症反应有所吸收(图5),在同等条件下,PaO2初始呈上升趋势,呼吸支持条件也逐渐下调。
图片
图片
图5  胸片复查对比

共感染管理及监测

早期气切(插管后第3天):气囊上吸引并观察分泌物性状,气管镜早期获取病原,必要时气管镜吸痰及评估。ECMO每日换药。
入ICU后共做3次气管镜,镜下无明显改变,主要表现为充血水肿,体温最高37.8℃,WBC、PCT、CRP处于相对稳定状态。BALF病原学监测,目前仅培养出新冠病毒,1次细菌涂片见G+球菌。当前体温正常,感染指标稳定,抗生素治疗暂未调整。

出凝血监测

ECMO第2天,D-二聚体>20 mg/L,因气切暂停肝素泵入10小时(气切前后)。ECMO第4天,双侧小腿肌间静脉、右侧胫后静脉血栓形成。

脏器功能及支持

①心功能:心肌酶学回落,心电图无动态改变;②肝功能:异甘草酸镁保肝;③胃肠道:抑酸,早期开启肠内营养,监测血糖、排便情况;④营养支持:NRS 2002评分5分,早期肠内营养。

 反思与讨论  

反思

患者非免疫抑制人群,自起病至进入ICU的时间较短(约10天)。“三联”抗炎后暂无院感迹象。三板斧(抗炎强度),尤其是在“巴瑞替尼”应用情况下,如何权衡共感染防控策略?是否需提前采取措施?

新冠病毒感染后,如何把握气管切开适应证和时机?

文献回顾
瑞典一项研究纳入3家医学中心共150例成人新冠病毒感染、预计需持续插管14天以上的患者,排除“插管后7天内行气管切开可能会危及生命、颈部不适合手术”患者,随机分为早期气切组(插管后7天内气切,72例)和晚期气切组(插管后10天以上气切,78例),主要结局指标为机械通气时间。结果显示:两组机械通气时间无明显差异,气管切开类型、ICU住院总天数、需要重新插管、从插管到ICU死亡的天数、90天内死亡以及并发症方面无显著差异;重症监护期间的总死亡率为32.7%;晚期气切组的危重症肌病、肺栓塞发生率较高,尽管两组间无统计学意义

 病例随访  

患者ECMO支持第7天时,经评估后顺利撤除ECMO。此后逐步下调呼吸机支持条件,开始脱机锻炼,最终顺利脱机并拔除气切套管,于1月25日转入呼吸与危重症医学科普通病房治疗。患者于2月2日出院返家,恢复情况良好。

综上,该患者在MICU监护治疗19日,我院住院治疗30日后出院。

专家讨论 

耿爽教授:

个人感觉临床中有1/3左右的COVID-19患者合并曲霉感染,G+球菌包括粪肠球菌、屎肠球菌、金黄色葡萄球菌的比例均较高。关于曲霉的问题,血清GM试验的意义可能不是很高,而BALF GM试验阳性和曲霉培养阳性的结果较为一致,此类患者一旦检出曲霉,必须尽早治疗。是否能够尽早进行曲霉感染的预防,可能是需要我们深入思考的问题,一旦发生曲霉感染,可能会导致病情加重且病程多迁延,增加了风险性。对于有高危因素患者(如肾移植或使用免疫抑制剂者),可以尽早启动预防性抗曲霉治疗。在治疗中涉及抗病毒、抗炎和抗感染的交叉,这种情况确实很难权衡。抗炎力度太强,我们会担心继发感染(包括院内感染),但个人认为还应以不同阶段的主要矛盾为导向。例如患者病情加重,炎症风暴较强,氧合持续下降,各种炎症指标持续升高,这种情况下应以抗炎治疗为主,同时密切监测感染的发生情况。对于有高危因素者,可予预防性抗感染治疗,尽量避免继发感染。如果炎症风暴不能得到控制,患者病情可能会恶化甚至危及生命。关于气切时机,新冠病毒一旦导致肺部弥漫性损伤后,肺的修复时间较其他病毒性肺炎似乎更长。所以,如果患者有希望能够救治,早期气切可能更好,首先便于管理,其次患者的舒适性会更好,而且也有利于观察患者的意识情况。临床中有哪些措施能够缩短患者肺自身修复的时间,需要我们探讨。

 梁瀛教授:

在ICU中,COVID-19患者由于存在血液系统疾病或肾移植等免疫抑制状态以及使用大剂量激素等,出现真菌感染的情况并不少见。我们近期收治一例患者,有骨髓瘤,长期化疗,入院时除新冠病毒阳性外,血G试验和GM试验均为阳性,当时考虑单次G/GM试验阳性不一定有意义,也可能是假阳性。7天后复查G/GM试验水平更高,且氧合恶化,体温升高,肺内病灶有加重趋势。当时考虑可能是病毒感染后肺内炎症反应较重,另外也能不排除曲霉感染,但因当时患者在亚重症病房住院,条件不如ICU完备,未能完善气管镜检查。考虑患者有基础疾病,给予激素治疗,经验性予以伏立康唑,后续患者体温逐渐恢复正常,氧合也有明显改善。从这一病例也看出,曲霉感染确实是新冠病毒感染后不可忽视的一个问题。对于此类患者,有无必要预防性抗真菌治疗?目前抗真菌治疗药物相对较贵,另外,此类药物可能也与其他药物存在相互作用。在没有明确真菌感染情况下,预防性抗曲霉这种治疗方式在以往的临床经验中确实较少。新冠病毒感染后发生曲霉菌感染的比例其实并不低,在这种情况下,对于某些特殊人群,如血液系统疾病、实体器官移植术后、使用免疫制剂或大剂量使用激素人群,能否采取预防性抗真菌治疗或调整剂量使用抗真菌药物,可以作为今后临床研究的方向。在第二个病例中提出了有关共感染的防控问题,这也是让临床医生非常困惑的问题。国外专家也提到,在新冠病毒感染早期(3~5天),是病毒复制阶段,此时应积极抗病毒治疗,但在感染中后期(5~7天后),感染后的全身炎症反应会越来越强烈,病毒复制量往往逐渐下降,病程超过1周,抗病毒药物的使用会相对更慎重,甚至不用,因为他们认为此时应抑制炎症风暴,减轻炎症反应引起的肺损伤以及对机体其他器官的损伤。个人认为需要具体问题具体分析。我们之前收治了一例慢性淋巴细胞白血病患者,初始用阿兹夫定抗病毒、激素抗炎,1周左右病情没有明显好转,体温进一步升高,肺内磨玻璃影明显扩大,两次新冠病毒核酸CT值较前明显下降(低于30)。我们考虑患者体内病毒载量比较高,由此导致肺内的炎症反应可能也会加重,将阿兹夫定改为Paxlovid,激素加量,调整治疗后,患者体温第二天恢复正常,氧合情况明显改善,后续复查病毒核酸转阴。所以,即使病程超过1周,对于病毒载量仍然较高,特别是CT值小于30的患者,我们仍然可以考虑使用抗病毒药物进行治疗。对于激素和抗感染问题,仍需整体分析。就第二个病例来讲,如果后期病情加重,发热同时伴有血象升高或PCT升高,出现脓性分泌物,痰培养出可疑致病菌,还应以抗感染为主。如果是单纯的病毒感染引起的炎症反应,以抗炎为主;如果考虑病程中后期出现了继发的细菌感染或真菌感染,应尽可能将激素减量,尽早停掉,应积极进行抗细菌治疗。

 陈文慧教授:

对于免疫抑制人群,尤其是器官移植患者的管理,我个人有三个字的体会:早,少,细。首先,“早”是指抗病毒和抗炎一定要早。一旦感染,早期使用有循证医学证据的抗病毒药物非常重要。在我们的肺移植病区,只要病房中出现新冠病毒感染患者,我们第一时间都会启动Paxlovid治疗,但此类免疫抑制患者,复阳的机率非常高,核酸转阴的时间也非常长,大部分可能会持续1个月左右才能转阴,而且中间会出现核酸拷贝数的增高和再发症状,需要我们启动第二轮抗病毒治疗,症状才能好转。抗炎治疗的早是要早期阻断炎症通路,有利于患者的预后,临床也有很多循证医学证据。其次,是“少”。对于器官移植患者尤其是肺移植患者,免疫抑制剂的联合应用会导致继发感染风险非常高。在我们的肺移植病区,重型/危重型患者曲霉感染发生率至少在90%以上,我们的激素用量已经很小,相当一部分患者也没有联用其他免疫抑制剂,即使如此,继发感染也会在3~5天开始出现。对于器官移植患者来说,继发感染尤其是混合感染非常常见,所以,当此类患者出现肺炎时,所有的免疫抑制剂都会停用,再根据炎症情况,启动激素治疗,部分危重患者可能会加用巴瑞替尼或托珠单抗。器官移植患者的激素最高用量为40 mg,剂量给到80 mg的患者基本都会出现继发感染。最后是“细”。对于器官移植患者,尤其是重型/危重型患者,需要非常精细的管理。这些患者一旦出现炎症反应,容量控制、抗凝、血糖控制、营养等一系列措施更多是支持患者度过最为困难的时期,这些支持治疗要相对全面,可能一点疏漏都会使患者结局发生显著改变。肾移植患者免疫抑制的强度可能与肺移植患者略有差别。关于气切时机问题,插管后需评估患者病情的稳定程度,一旦进展至危重程度,大部分患者很难在短时间内拔管,第二例患者采取三联抗炎治疗阻断炎症通路,可能更早气切对于防止VAP有所帮助。

参考文献 

[1] Koehler P, Bassetti M, Chakrabarti A, et al. Defining and managing COVID-19-associated pulmonary aspergillosis: the 2020 ECMM/ISHAM consensus criteria for research and clinical guidance[J]. Lancet Infect Dis, 2021, 21(6):e149-e162. 

[2] Lemaitre F. Yes We Can (Use Nirmatrelvir/Ritonavir Even in High Immunological Risk Patients Treated with Immunosuppressive Drugs)![J]. Clin Pharmacokinet, 2022, 61(8):1071-1073

[3] Devresse A, Briol S, De Greef J, et al. Safety, Efficacy, and Relapse of Nirmatrelvir-Ritonavir in Kidney Transplant Recipients Infected With SARS-CoV-2[J]. Kidney Int Rep, 2022, 7(11):2356-2363.

[4] Asakura H, Ogawa H. COVID-19-associated coagulopathy and disseminated intravascular coagulation[J]. Int J Hematol, 2021, 113(1):45-57.

[5] Vanella G, Capurso G, Burti C, et al. Gastrointestinal mucosal damage in patients with COVID-19 undergoing endoscopy: an international multicentre study[J]. BMJ Open Gastroenterol, 2021, 8(1):e000578.

[6] Negro A, Villa G, Rolandi S, et al. Gastrointestinal Bleeding in COVID-19 Patients: A Rapid Review[J]. Gastroenterol Nurs, 2022, 45(4):267-275.

[7] Marasco G, Maida M, Morreale G C, et al. Gastrointestinal Bleeding in COVID-19 Patients: A Rapid Review[J]. Can J Gastroenterol Hepatol, 2021, 2021:2534975.

[8] Eeg-Olofsson M, Pauli N, Hafsten L, et al. TTCOV19: timing of tracheotomy in SARS-CoV-2-infected patients: a multicentre, single-blinded, randomized, controlled trial[J]. Crit Care, 2022, 26(1):142.


作者介绍 

图片

冯莹莹


中日友好医院呼吸与危重症医学科,中华医学会呼吸病学分会与美国胸科医师学会认证PCCM专科医师,THORAX青年编委,主要研究领域为ARDS、肺康复、重症营养,参与国家级科研项目1项及省部级课题3项,以第一/通讯作者发表SCI多篇,参编或编译书籍5部

图片

牛宏涛


中日友好医院呼吸与危重症医学科医师,中国毒理学会呼吸毒理专业委员会青年委员


*本文根据“Omicron变异株所致重症Covid-19临床救治实战系列”第七期视频整理,感谢冯莹莹医师和牛宏涛医师予以审核。

全部评论 0
Copyright©2020-2026 北京医麦斯科技有限公司 版权所有 京ICP备2020034400号-1 京公网安备11010502043983号