登录方式

方式一:
PC端网页:www.rccrc.cn
输入账号密码登录,可将此网址收藏并保存密码方便下次登录

方式二:
手机端网页:www.rccrc.cn
输入账号密码登录,可将此网址添加至手机桌面并保存密码方便下次登录

方式三:
【重症肺言】微信公众号
输入账号密码登录

注:账号具有唯一性,即同一个账号不能在两个地方同时登录。

登录
方式

为重症救治赋能

为患者康复加速

当前位置:首页 重症实战 前线战疫

詹庆元教授:重症新冠感染救治的几个关键问题

蔡莹,詹庆元 国家呼吸医学中心 中日友好医院 呼吸与危重症医学科 发布于2023-04-06 浏览 3846 收藏

作者:蔡莹,詹庆元

单位:国家呼吸医学中心 中日友好医院 呼吸与危重症医学科


2022年底,奥密克戎变异株所致新型冠状病毒感染(COVID-19)席卷全国,由其导致的重症患者的救治也面临极大的挑战。在此背景下,我们组织编写了《奥密克戎变异株所致重症新型冠状病毒感染临床救治专家推荐意见》(以下简称「推荐意见」),对病情分级、初始评估、抗病毒治疗、抗炎治疗、抗凝治疗、合并感染及呼吸支持等关键环节进行了具体推荐,该「推荐意见」一经发表,即获得广泛关注和肯定,但仍然存在一些问题,其中抗病毒治疗、抗炎治疗、合并感染和呼吸支持这几方面需要引起高度重视。

一、重症COVID-19的抗病毒治疗

对于重症COVID-19的抗病毒治疗,目前仍缺乏充分的循证医学证据。Paxlovid/Molnupiravir主要针对起病5 d内有高危因素的患者,可以预防病情加重。对于重型COVID-19患者,仅瑞德西韦有条件被推荐(弱)[1],但目前国内尚无此药。而对于危重型COVID-19患者,并无推荐的抗病毒药物。我们在「推荐意见」中推荐的重症COVID-19的抗病毒治疗,实际上是借用了预防有高危因素的轻症患者转为重症的治疗措施,这必然存在一定问题。重症COVID-19要经过病毒复制→免疫应答→炎症反应过激→重症的病理生理过程。抗病毒治疗最关键的时期是早期,即病毒复制期,此时抗病毒治疗效果最佳。一旦病毒开始大量复制,加之炎症反应的出现,再使用抗病毒治疗的效果可能无法达到预期。因此我们推荐抗病毒治疗在早期进行,但对于重症患者,就诊时已处于免疫应答甚至过度炎症反应阶段,此时抗病毒治疗的效果将大打折扣。
1. 重症COVID-19患者病毒负荷重,排毒时间长
42岁男性患者,未接种新冠疫苗,肾移植术后11年,长期服用抗排异药物。2022年12月15日起病,12月28日进展为重症COVID-19,2023年2月10日新冠核酸转阴,病毒排毒时间为57 d,病程期间间隔使用3次Paxlovid。当时考虑对于重症COVID-19患者,降低病毒载量可能会减少病毒持续复制引起的炎症风暴。因此,即使病程超过5 d,我们仍然加用了抗病毒治疗。
对于重症COVID-19患者,无论其有无合并基础疾病或疾病种类如何,其病毒负荷都要重于轻症患者,重症患者平均病毒载量是轻症患者的60倍,而且是高水平、长时间复制。重症COVID-19患者病毒排毒时间更长,90%的轻症患者排毒时间少于10 d,而重症患者排毒时间往往超过10 d[2]。对于发病5 d后的重症COVID-19患者,是否需要抗病毒治疗,这是值得我们思考的问题。尤其对于特殊人群,如免疫抑制患者,其病毒负荷更重,排毒时间更长,多数排毒时间在25 d以内,少数超过30 d,甚至超过100 d[3-5]。对于此类病毒持续高水平复制的患者,需不需要抗病毒治疗?
2. Paxlovid存在“反弹现象”
使用Paxlovid会出现“反弹现象”,即病毒转阴和症状消失数天后出现病毒复阳,并重新出现感冒症状[6]。尽管均为个案报道,文献报道症状均较轻,无需特殊处理,但确实存在。在RA患者的队列研究中,反弹现象高达8%。对于严重免疫抑制患者,更需警惕病毒反弹,但延长抗病毒治疗,尚无循证医学证据。对于出现“反弹现象”的患者,需不需要抗病毒治疗?
3. 抗病毒治疗存在的问题

目前对于重症COVID-19患者的抗病毒治疗仍然存在一些问题,①没有针对重症患者的严格证据;②疗程不明确:对于重症、免疫抑制患者,是否适当延长抗病毒治疗时间?③Paxlovid抗病毒治疗后的“反弹现象”,是否需要延长或重启抗病毒治疗?其他药物:如阿兹夫定、单克隆抗体在重症患者中的疗效如何?

重症COVID-19的抗炎治疗

大量循证医学证据证实,对于重型及危重型COVID-19,早期、足量、足疗程抗炎治疗能够改善患者预后。「推荐意见」也对抗炎治疗进行了重点推荐,治疗药物包括激素、巴瑞替尼及托珠单抗,但临床实践更为复杂。
1. 病例一
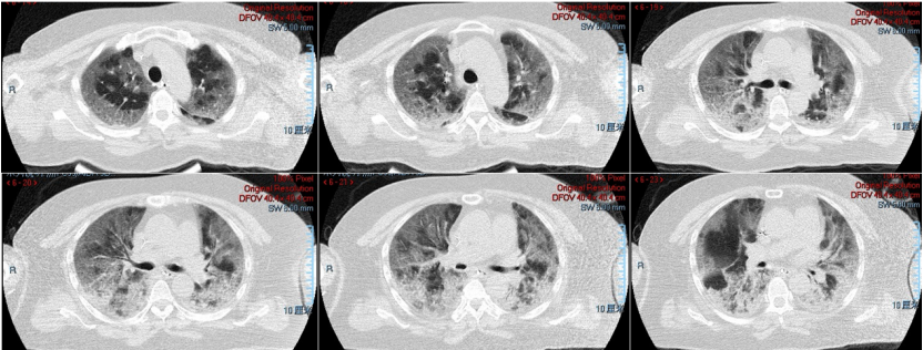
58岁女性患者,高血压、慢性支气管炎病史,发热伴咳嗽9 d,加重2 d,2022年12月19日入ICU(D9)。12月13日新冠抗原(+),12月17日新冠核酸(+)。入院后给予经口气管插管及机械通气,PEEP 12 cmH2O,FiO1.0,俯卧位通气。血气分析:pH 7.396,PaCO2 38.5 mmHg,PaO2 68.9 mmHg,同时予以其他脏器支持,去甲肾上腺素维持血压。下图为患者发病第8天的胸部CT。

图片

患者2022年12月18日胸部CT
入院后予其标准抗炎治疗,甲强龙40 mg 1周,巴瑞替尼4 mg连用6 d,Paxlovid连用5 d。患者PCT、WBC和CRP均明显下降。
图片
发病第16天(2022年12月26日)复查胸部CT发现病变加重。

图片

患者2022年12月26日胸部CT

患者病变加重无法用继发感染解释。病变的性质和分布更像原发病(病毒感染)所致。所以继续甲强龙(40 mg qd)和巴瑞替尼(4 mg qd)治疗,炎症指标逐渐下降,但影像学仍在进展。遂于VV-ECMO支持下行冷冻肺活检,结果示:肺组织大部分肺泡间隔增宽,间质疏松水肿,纤维细胞及纤维母细胞增生,少量淋巴细胞、组织细胞及个别中性粒细胞浸润,局灶细支气管周上皮化生,伴鳞化,部分肺泡上皮增生,肺泡腔内见组织细胞聚集,少量纤维素、淋巴细胞及个别中性粒细胞渗出,伴机化,较多Masson小体填充,可见透明膜,伴透明膜纤维化;小气道黏膜偶见个别中性粒细胞浸润。符合急性肺损伤增殖期及纤维化期改变。

图片
发病第26天胸部CT示“白肺”。患者最终未能救治成功。
图片
为何影像及氧合加重,出现肺纤维化?我们分析原因,①可能存在抗炎治疗延迟:RECOVERY研究抗炎治疗时间为发病8~9 d(5~13 d)[7],我们的抗炎时间为发病11 d(9~14 d)甚至更长;②可能存在抗炎剂量不足:RECOVERY研究中地塞米松用量为6 mg/d,CoDEX研究中(中重度ARDS)地塞米松用量为10~20 mg/d[8];我们推荐地塞米松6 mg或甲强龙40 mg,但对于重症患者,这种推荐剂量是否合适?③联合:单用激素不能完全抑制炎症反应,需联合托珠单抗和/或巴瑞替尼,具体应如何实施?
2. 病例二
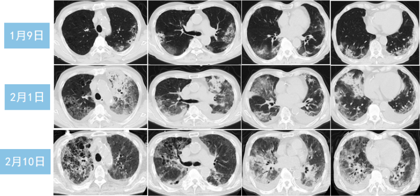
84岁男性患者,既往冠心病、陈旧性心肌梗死,未接种新冠疫苗。2022年12月15日起病,12月27日诊断为COVID-19,Paxlovid治疗5 d停用,同时抗炎。2023年1月9日肺部病变吸收,予以出院。
1月26日再次发热、呼吸困难加重,铁蛋白513.5 ng/ml,IL-6 3834.49 pg/ml。入院后细菌、真菌、病毒的病原学检查均为阴性,未找到继发感染的证据。ANCA+ANA、肌炎抗体谱均阴性。予甲强龙80 mg qd 3 d,后改为40 mg qd。治疗后炎症指标逐渐下降,影像学吸收。

图片

患者影像学变化
该患者第一次出院后应继续抗炎治疗,可能由于抗炎疗程不足,导致出现了炎症的“反弹”。
3. 病例三
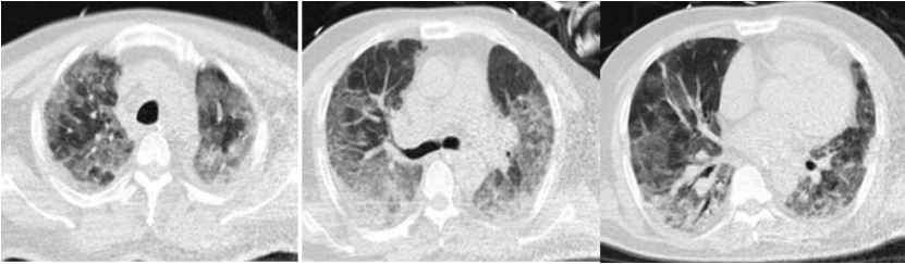
58岁男性患者,糖尿病病史,由于病情较重,2022年12月23日(起病14 d)胸部CT如下图所示。

图片

患者2022年12月23日胸部CT

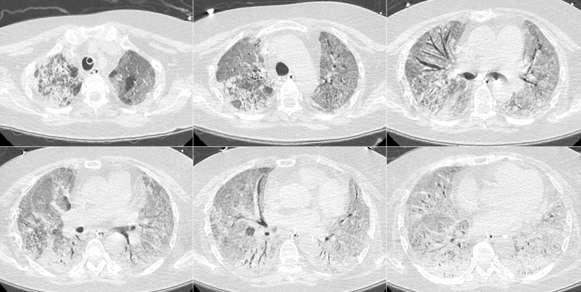
于起病16 d行气管插管机械通气,但氧合仍难以维持,12月25日启动ECMO。
图片
予地塞米松10 mg qd,同时予巴瑞替和托珠单抗治疗,患者CRP明显下降。1月4日因患者循环不稳,担心管路相关血流感染引起感染性休克,撤离ECMO。在ECMO期间,患者临床指标和氧合均得到明显改善,影像学明显吸收。
图片

图片

患者胸部CT变化情况
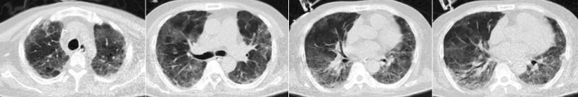
1月9日4:00患者血压下降[60/40 mmHg,去甲肾上腺素1.4 μg/(kg·min)],心率120~130次/min,PFR由200 mmHg降至106 mmHg。调整治疗策略:更换PICC、动脉/拔除血滤管,多黏菌素+替加环素+阿米卡星+万古霉素抗感染,补液:2023年1月9日和10日共补液11000 ml,去甲肾上腺素剂量由1.4下调至1.0 μg/(kg·min)。1月10日胸部CT示:肺内渗出增多,符合COVID-19特点。

图片

患者2023年1月10日胸部CT

2023年1月10日BALF NGS阴性,WBC/PCT无继续升高,新冠核酸CT值35,IL-6 3090 pg/ml。予甲强龙(80 mg qd)联合托珠单抗治疗,去甲肾上腺素逐渐减量,至1月13日停用,1月16日患者影像学明显改善。

图片

患者2023年1月16日胸部CT

这例患者在最初病情好转后,我们将抗炎药物减量,但后期出现了较严重的炎症“反弹”。
4. 抗炎治疗存在的问题

从上述几个病例可以发现,重症COVID-19患者的抗炎治疗仍存在诸多问题,如抗炎治疗的时机如何把握?药物使用剂量是多少?疗程多久?是否需要联合治疗?是否需要减量?此外,抗炎治疗存在的最大问题是如何平衡其与感染之间的关系及其处理对策。

重症COVID-19合并感染


对于重症COVID-19患者,如存在高龄、多种合并症、严重免疫功能受损、大量应用抗生素及抗炎药物、ICU相关因素(如气管插管、镇静等)均是导致合并感染高发的危险因素。我们对入ICU早期(<48 h)的123例重症COVID-19患者的BALF标本进行分析,发现共感染细菌占22%,共感染曲霉占17.9%,免疫抑制宿主共感染:CMV为4.9%,PCP为2.4%。入ICU后(>48 h),细菌感染发生率为40.3%,曲霉感染发生率为13%。此类患者的抗炎治疗风险很大,对于临床医生也是非常棘手的问题。


合并感染存在的问题包括:
(1)如何预防:在使用有创机械通气的患者中,需不需要早期气切(气管插管3~5 d内)?
(2)如何早期诊断:由于炎症指标不特异,血清GM试验不敏感,影像学难以鉴别,如PCP、CMV、IPA,无典型的影像学特征。我们的经验是,入ICU 48 h内送BALF mNGS,入ICU第5~8天常规复查BALF病原学。


(3)如何早期治疗:根据入院前治疗场所选择抗菌药;对于免疫抑制宿主,经验性覆盖PCP及CMV;若具备IPA危险因素,预防性予以抗真菌药物。但效果如何,仍未可知。


重症COVID-19的ECMO支持


73岁男性患者,糖尿病、肺气肿病史,接种3针新冠疫苗。2022年12月15日起病,12月20日诊断为COVID-19主诉:发热10 d,呼吸困难5 d。经鼻高流量FiO1.0,PFR 74 mmHg,RR 33次/min。12月28日气管插管有创机械通气,PC模式,PC 18 cmH2O,PEEP 10 cmH2O,FiO2 0.9,Vt 300 ml,MVe 10.7 L/min。血气分析(FiO2 0.9):pH 7.03,PaCO2 128 mmHg,PaO2 128 mmHg,cLac 0.8 mmol/L,PFR 146 mmHg。氧合难以维持,遂于12月28日建立VV-ECMO。考虑患者恢复需要很长时间,又需大量抗炎治疗,为了防止院感,于12月29日行气管切开。对于ECMO的建立,除了考虑早期原发病的治疗,还要兼顾后期并发症的防治,早期一些策略的组合,例如早期气切是非常重要的。


该患者于2023年1月7日撤离ECMO,2月25日脱离呼吸机,3月7日转出ICU。期间病情一直反复,ICU住院1月余。ECMO从建立到撤机,中间需要投入大量的人力和物力,管理ECMO也是一项非常复杂的工作。因此,临床医生一定要严格把握ECMO的适应证。


ECMO是一项高风险的临床救治技术,其对过程管理要求高,而且占用大量的医疗资源,建议在临床经验丰富及人力资源相对充足的单位实施。早期使用ECMO,能使肺得到充分休息,促进恢复。特别推荐准清醒ECMO,不使用镇静剂。所以ECMO的指征把握非常重要。


小结


对于重症COVID-19的抗病毒治疗,目前的证据仍不充分,疗程亦不明确,而且有“反弹现象”。在抗炎治疗方面,时机的选择、剂量的把握、疗程的确定、是否联合及减量都是需要我们思考的问题。此外,还应注意抗炎治疗与感染的平衡及处理。对于重症COVID-19合并感染,如何预防及早期诊断,以及治疗时机的选择,也是需要重点关注的问题。重症COVID-19患者的呼吸支持至关重要,ECMO的应用需严格把握适应证与管理。重症COVID-19的救治仍有很多未知需要我们进一步探索。


参考文献

[1] Lamontagne F, Agarwal A, Rochwerg B, et al. A living WHO guideline on drugs for covid-19[J]. BMJ, 2020, 370:m3379. doi: 10.1136/bmj.m3379.

[2] Liu Y, Yan L M, Wan L, et al. Viral dynamics in mild and severe cases of COVID-19[J]. Lancet Infect Dis, 2020, 20(6):656-657.

[3] Alshukairi A N, Tolah A M, Dada A, et al. Test-based de-isolation in COVID-19 immunocompromised patients: Cycle threshold value versus SARS-CoV-2 viral culture[J]. Int J Infect Dis, 2021, 108:112-115. 

[4] Marinelli T, Ferreira V H, Ierullo M, et al. Prospective Clinical, Virologic, and Immunologic Assessment of COVID-19 in Transplant Recipients[J]. Transplantation, 2021, 105(10):2175-2183. 

[5] Jefferson T, Spencer E A, Conly J M, et al. Viral cultures, cycle threshold values and viral load estimation for assessing SARS-CoV-2 infectiousness in haematopoietic stem cell and solid organ transplant patients: a systematic review[J]. J Hosp Infect, 2023, 132:62-72. 

[6] Akinosoglou K, Schinas G, Gogos C. Oral Antiviral Treatment for COVID-19: A Comprehensive Review on Nirmatrelvir/Ritonavir[J]. Viruses, 2022, 14(11):2540. 

[7] RECOVERY Collaborative Group; Horby P, Lim W S, et al. Dexamethasone in Hospitalized Patients with Covid-19[J]. N Engl J Med, 2021, 384(8):693-704. 

[8] Tomazini B M, Maia I S, Cavalcanti A B, et al. Effect of Dexamethasone on Days Alive and Ventilator-Free in Patients With Moderate or Severe Acute Respiratory Distress Syndrome and COVID-19: The CoDEX Randomized Clinical Trial[J]. JAMA, 2020, 324(13):1307-1316. 

作者简介



图片

詹庆元

博士研究生导师;中日友好医院呼吸与危重症医学科副主任;中国医师协会内科医师分会副会长;中国医师协会呼吸医师分会危重症医学工作委员会主任委员;教育部人才项目特聘教授;全国杰出专业技术人才人社部百千万人才工程有突出贡献中青年专家


图片

蔡莹

医学博士,毕业于北京大学医学部临床医学(八年制)专业;中日友好医院呼吸与危重症医学科主治医师;国家认证PCCM专科医师;主要研究方向为重症感染;参与多项横向课题、重大专项;发表文章多篇;参编/译呼吸与危重症医学专著4部


【注:本文仅用于学术内容的传播和交流,不用于任何商业和推广】
全部评论 0
Copyright©2020-2026 北京医麦斯科技有限公司 版权所有 京ICP备2020034400号-1 京公网安备11010502043983号