登录方式

方式一:
PC端网页:www.rccrc.cn
输入账号密码登录,可将此网址收藏并保存密码方便下次登录

方式二:
手机端网页:www.rccrc.cn
输入账号密码登录,可将此网址添加至手机桌面并保存密码方便下次登录

方式三:
【重症肺言】微信公众号
输入账号密码登录

注:账号具有唯一性,即同一个账号不能在两个地方同时登录。

登录
方式

为重症救治赋能

为患者康复加速

当前位置:首页 重症实战 前线战疫

重症COVID-19病例分享-4

王诗尧,吴小静等 国家呼吸医学中心 中日友好医院呼吸与危重症医学科 发布于2023-02-13 浏览 3359 收藏

病例1. 难治性危重症Omicron变异株新型冠状病毒肺炎一例 

作者:王诗尧,蔡莹,周国武,赵玲,詹庆元


单位:国家呼吸医学中心 中日友好医院呼吸与危重症医学科

 一、病情介绍 

一般情况


患者,女性,58岁,30.04 kg/m2,农民,发热伴咳嗽、气促9天,加重2天。


现病史


家属代诉患者8天前(2022-12-11)无防护状态下接触新冠患者,7天前(12-12)出现发热,Tmax 39.0℃,伴畏寒、周身疼痛、咳嗽、咳黄白黏痰、难咳出,同时出现轻微气促、言语时明显,未诉咽痛、无鼻塞流涕、无胸痛咳血,自服感冒清热颗粒、连花清瘟(具体用量叙述不详),未使用退热药物,6天前(12-13)自测新冠抗原阳性。发热持续2天后体温下降,每日Tmax波动在37.5℃左右,自行加用阿奇霉素,上述症状未见缓解。2天前(12-17)不明原因出现气促加重,不能平卧,伴乏力、纳差、恶心,腹泻(4~5次/天),无呕吐,无尿量减少。

1天前(12-18)至延庆区医院就诊,查胸部CT提示双肺多发磨玻璃及实变影。查新型冠状病毒核酸阳性。遂收入延庆区医院ICU,诊断“重症肺炎,Ⅰ型呼吸衰竭,ARDS”,入院后给予经鼻高流量氧疗(FiO2 1.0),患者气促症状无明显改善,SpO2 80%,查血气分析:pH 7.45,PaCO2 35.8 mmHg,PaO253.6 mmHg,HCO324.3 mmol/L,BE 0.75 mmol/L,Lac 1.4 mmol/L,K+ 3.33 mmol/L。给予气管插管、有创呼吸机辅助,PSV模式,PS 18 cmH2O,PEEP 12 cmH2O,FiO2 0.8。复查血气分析:pH 7.46,PaO2 75 mmHg,PaCO2 32 mmHg(PFR 94 mmHg)。同时间羟胺4 mg/h泵入维持血压,常规镇静镇痛治疗。现为求进一步诊治收入我科。患者镇静状态,二便可,近期体重无明显增减。


既往史、个人史家族史


既往高血压病史20年,收缩压最高165 mmHg,平素口服降压药(具体叙述不详),血压维持在130/85 mmHg左右;“慢性支气管炎”病史7年,未曾系统诊治;抑郁症病史7年,规律口服劳拉西泮半片/天;2型糖尿病病史5年,曾皮下注射胰岛素,因血糖波动停药,现口服阿卡波糖降糖,空腹血糖13 mmol/L左右、餐后血糖不详。否认手术、外伤及输血史。个人史、婚育史及家族史均无特殊。


体格检查


T 37.0℃,HR 60次/min,RR 15次/min(机控),BP 110/60 mmHg(NE 0.5 μg/kg/min),SpO2 96%(PCV PC 12 cmH2O,PEEP 10 cmH2O,FiO2 1.0),镇静状态,体型肥胖;双肺呼吸音粗,未闻及干/湿啰音;心律齐,未闻及杂音;腹软,肝脾未及,双下肢不肿。


入院诊断


新型冠状病毒肺炎(危重型),Ⅰ型呼吸衰竭;

急性呼吸窘迫综合征;

高血压2级(很高危);

2型糖尿病伴血糖控制不佳;

慢性支气管炎;

抑郁症;

肥胖。


常规检查


动脉血气:(PCV PC 12 cmH2O,PEEP 15 cmH2O,FiO2 0.85,俯卧位2 h),pH 7.35,PaCO2 40.2 mmHg,PaO2 92.1 mmHg,BE -2.5 mmol/L,Lac 1.0 mmol/L,PFR 108 mmHg。

血常规+CRP+PCT:WBC 5.24×109/L,NEU 4.50×109/L,LYM 0.59×109/L,HGB 116 g/L,PLT 164×109/L,CRP 165 mg/L,PCT 0.48 ng/ml。

生化:ALT 35 U/L,AST 44 U/L,ALB 34.9 g/L,Urea 4.56 mmol/L,SCr 41.0 μmol/L,LDH 502 U/L,Glu 14.3 mmol/L,K 4.7 mmol/L,Na 138 mmol/L,Cl 102 mmol/L。

凝血六项:Fib 5.37 g/L,APTT 54.3 s,D-Dimer 1.24 mg/L,PT、FDP正常。

心梗四项(T):NT-proBNP、TnT正常。

尿便常规:阴性。


病例特点


中年女性,基础高血压、慢性支气管炎、糖尿病伴血糖控制不良病史。

急性病程,以发热、进行性气促为主要表现。

体格检查示体型肥胖,双肺呼吸音粗。

辅助检查示新冠抗原及核酸阳性,胸部CT提示双肺多发磨玻璃及实变影,PFR最低53.6 mmHg,LYM减低,CRP、D-Dimer升高,氧合对PEEP及俯卧位有反应。



 二、诊疗思路及经过 

诊治思路


原发病—COVID-19危重型:①抗病毒:需评估新冠核酸CT值;②抗炎:需评估是否有活动性感染?炎症指情况?③抗凝:D-Dimer水平升高。

呼吸支持:①保护性肺通气,Vt 6 ml/kg理想体重;②高PEEP:滴定后14 cmH2O;③俯卧位:每天12~16 h;④肺复张(RM):必要时。


再次评估


新冠核酸:阳性(O 23.4,N 23.8)。

G试验、GM试验均阴性。

T-SPOT.TB:阴性。

ESR 15 mm/h。

血清CRP:22.5 mg/dl。

血清铁蛋白:801.5 ng/ml。

细胞因子:IL-6 42.87 pg/ml(<5.4),余正常。

淋巴细胞亚群:CD3+ 403 cells/μl,CD3+CD4+ 195 cells/μl,CD3+CD8+ 89 cells/μl,NK细胞57 cells/μl,CD19+ 64 cells/μl。

免疫球蛋白+补体结果正常。

ANA+ANCA:阴性。

支气管镜:镜下无明显气道分泌物,BALF细菌、真菌涂片染色及培养、抗酸染色、弱抗酸染色、MTB/RFP-Xpert、CMV、PJP核酸、GM试验均阴性,mNGS回报SARS-CoV-2(序列数20063)。

入院后1~3 d体温39~42℃;血培养3次,结果均阴性。


治疗策略


针对原发病:①抗病毒:奈玛特韦/利托那韦300 mg/100 mg鼻饲;②抗炎:MP 40 mg/d iv,联合巴瑞替尼4 mg qd鼻饲;③抗凝:4000 IU qn sc。

呼吸支持:①保护性肺通气:Vt 6 ml/kg理想体重;②高PEEP:滴定后14 cmH2O;③俯卧位每天12~16 h;④RM:必要时。


病情变化


治疗1周后,患者体温有下降趋势,CRP、WBC和PCT呈下降趋势,炎症状态较前有所改善。


图片
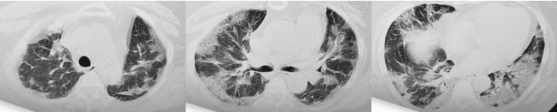
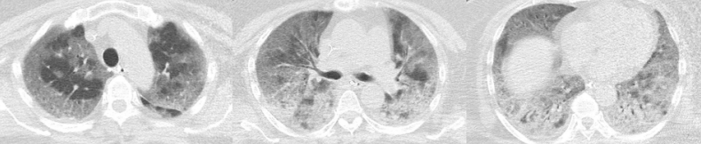
1周后复查胸部CT可见双上肺新发磨玻璃影,双下肺实变为著,影像学较前进展。


图片


2022年12月18日


图片


2022年12月26日
再次评估患者情况


体温再次升高(38.9℃),PFR 110→180 mmHg,血清铁蛋白801.5→806.4 ng/ml,IL-6 42.87→18.97 pg/ml,LYM 0.59×109/L→0.77×109/L。支气管镜镜下见左肺下叶少许黄黏痰;BALF细菌培养结果为CRAB,纹带棒杆菌,真菌涂片染色及培养、CMV、PJP核酸、GM试验均阴性。


调整抗菌药


治疗VAP:①针对CRAB,将哌拉西林他唑巴坦替换为替加环素+多黏菌素+舒巴坦;②针对纹带棒杆菌,给予万古霉素。

预防真菌感染:给予伏立康唑,短暂暂停抗炎治疗后再次启动。


病情变化


第8天,患者CRP升高,体温未明显下降,PCT有下降趋势;再次加用甲强龙和巴瑞替尼。院感基本得到控制。


图片
治疗第二周的变化情况


VAP得到控制;

CRP、PCT变化考虑与VAP有关;

炎症指标:血清铁蛋白801.5→644.9 ng/ml,IL-6 18.97→41.71 pg/ml;

新冠核酸转阴;

呼吸支持:患者对俯卧位和RM无效;PFR由180 mmHg降至75 mmHg。


下一步怎么办?


原发病—COVID-19:①核酸转阴,抗病毒治疗不需要;②是否继续抗炎治疗?是否联合托珠单抗?③抗凝:4000 IU qn sc。

呼吸支持:是否需要VV-ECMO?


进一步探索


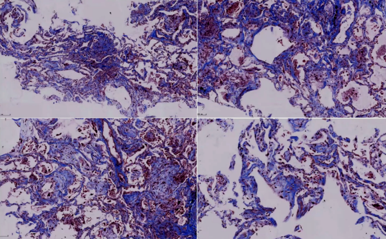
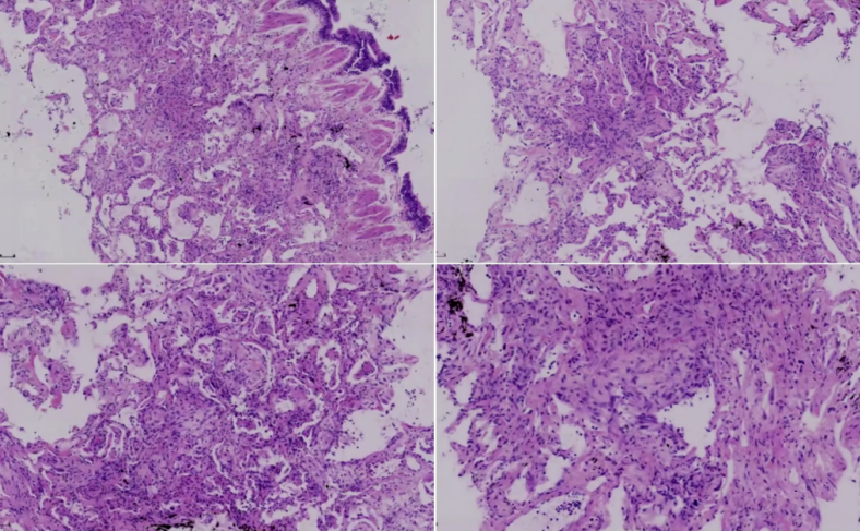
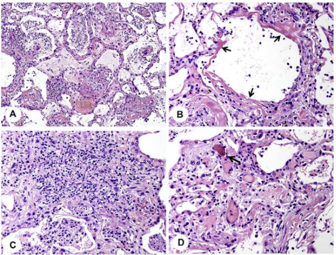
与患者家属充分沟通后,启动VV-ECMO。2023年1月3日在VV-ECMO支持下行经支气管冷冻肺活检,病理结果:右上后TBCB,肺组织大部分肺泡间隔增宽,间质疏松水肿,纤维细胞及纤维母细胞增生,少量淋巴细胞、组织细胞及个别中性粒细胞浸润,局灶细支气管周上皮化生,伴鳞化,部分肺泡上皮增生,肺泡腔内见组织细胞聚集,少量纤维素、淋巴细胞及个别中性粒细胞渗出,伴机化,较多Masson小体填充,可见透明膜,伴透明膜纤维化;小气道黏膜偶见个别中性粒细胞浸润。符合急性肺损伤增殖期及纤维化期改变。

图片


HE染色


图片

弹力染色

图片

Masson染色



 三、病理诊断弥漫性肺泡损伤的提示 

弥漫性肺泡损伤(DAD)的病程变化


急性渗出期:肺泡上皮细胞坏死;肺泡腔内透明膜形成;肺泡间质破坏;弥漫性肺泡出血(部分病例)。

机化增殖期:透明膜机化;气腔内肉芽组织形成并逐渐致密化;鳞状上皮化生。

纤维化期:严重间质破坏伴显著纤维化;间质样肉芽组织。


图片


图源:RadioGraphics, 2013, 33(7):1951-1975.
DAD的期相并非单一存在,透明膜期、机化期和纤维化期此消彼长。


图片


图源:The Lancet Respiratory Medicine, 2013, 1(5):395-401.
COVID-19病理与传统DAD存在一定的差异:①Ⅱ型肺泡上皮显著增生(尸检发现);②肺泡腔内渗出(部分患者表现为AFOP);③广泛的血管增生、血管内皮炎症、微血栓形成。


图片


图源:Hum Pathol, 2020, 101:82-88.
本例危重型COVID-19致DAD特征:①Ⅱ型肺泡上皮脱落明显,显著增生少见;②肺泡腔内渗出少;③透明膜吸收不良;④成纤维细胞增殖活跃,新鲜胶原沉积—纤维化速度快。
总结中日医院MICU既往TBLC诊断的DAD时相发现,如果已经出现纤维化,大多基础有间质性疾病;此外,起病时间长(37~50天)患者也进入DAD的纤维化期。与本例患者匹配的,在3周左右出现纤维化的患者既往仅有1例AIP患者。
图片
既往报道COVID-19活/尸检诊断DAD时相如下图所示,3周左右以渗出和增殖期为主,至34天后才会出现纤维化期,同时患者可能伴有微血栓(本例患者不明显)。既往文献显示,无论是原始毒株,还是Delta毒株,本例患者出现纤维化的速度似乎更快。


图片



 四、调整治疗方案 

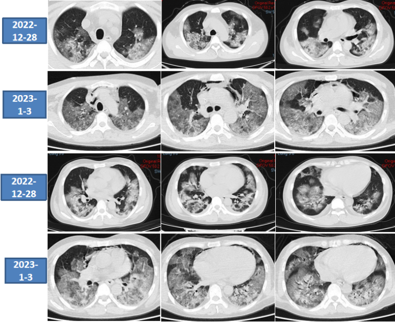
2023年1月6日复查患者胸部CT,已经完全呈“白肺”表现。
图片
调整治疗方案:


原发病——COVID-19危重型:①抗病毒:不需要;②抗炎:巴瑞替尼2 mg qd鼻饲;③抗纤维化:尼达尼布150 mg bid鼻饲;④备肺移植。

呼吸支持:VV-ECMO,警惕气压伤。


尼达尼布能否用于重症COVID-19?国外研究报道3例在ECMO期间使用尼达尼布的重症病例,结果显示患者病情好转。考虑患者本身存在自我修复功能,尼达尼布在治疗中发挥决定性作用,还是辅助作用,目前仍不清楚。日本一项关于尼达尼布的研究纳入重症COVID-19患者(30例),结果显示患者28天病死率无显著差异,无呼吸机支持天数似乎有所获益。




 五、小结 

危重型COVID-19标准治疗(抗病毒+激素+JAKi/托珠单抗)不能为所有患者带来良好预后,其原因目前尚不知晓,原因之一可能与DAD迅速进展为纤维化有关。治疗方面,在标准治疗基础上能否有其他治疗?如小剂量抗炎维持,或早期抗纤维化干预?目前尚无定论,未来仍需更多研究予以阐明。


病例2. 重症Omicron肺炎的救治





作者:吴小静

单位:国家呼吸医学中心 中日友好医院呼吸与危重症医学科



 一、病情介绍 


一般情况


患者,男性,42岁,BMI 29 kg/m2,2022年12月28日入院。主诉:间断发热伴胸闷14天,呼吸困难5天。


现病史


患者14天前(2022-12-15)接触家中新冠阳性家属后出现发热,体温最高38.3℃,伴胸闷、咽痛、全身乏力、后背肌肉酸痛、食欲减退及干咳,自服“感冒宁”后体温可降至正常。1天后自测新冠抗原阳性,随后发热次数逐渐减少。
10天前(2022-12-19)患者自觉症状减轻,夜间洗澡后,第二天出现再次发热,伴畏寒、寒战,体温最高38.5℃,伴乏力、咽痛、干咳,自服美林后体温能降至正常,但仍反复发热。
7天前于当地诊所输注头孢类抗感染药物,自觉症状有所好转。
3天前患者出现呼吸困难,恶心、呕吐2次,腹泻3次,再次于当地诊所输注头孢类药物,呼吸困难症状逐渐加重,并伴有咳嗽、咯血痰2口。
1天前就诊于我院急诊,查WBC 10.62×109/L,LYM 0.30×109/L,Hb 86 g/L,hs-CRP >200 mg/L;ABG(经鼻高流量FiO2 1.0):pH 7.33,PaCO219 mmHg,PaO2 76 mmHg,HCO3- 13.7 mmol/L,BE -15.9 mmol/L,K 6.0 mmol/L。
急诊胸部CT:双肺多发斑片影,胸膜下渗出为主。
图片
既往史、个人史、婚育史家族史


2009年因肾小球肾炎出现少尿、血肌酐升高开始规律透析治疗,2011年于北京大学第一医院行肾移植手术(父供),术后口服他克莫司(不详)+吗替麦考酚酯片0.5 mg q12h+醋酸泼尼松5 mg qd抗排异治疗。无吸烟史,未注射新冠疫苗。


入院查体


T 36.7℃,HR 103次/min,RR 34次/min,BP 154/58 mmHg,SpO2 91%(经鼻高流量FiO2 1.0)。神志清,喘憋貌,双肺呼吸音稍粗,未闻及明显干/湿性啰音,心律齐,各瓣膜未闻及明显杂音,腹部查体无异常。


初步诊断


重症肺炎;急性呼吸窘迫综合征,Ⅰ型呼吸衰竭;高钾血症;代谢性酸中毒;异体肾移植状态。


病例特点


中年男性,肾移植术后(免疫抑制人群);

急性起病,入ICU时已起病14天

新冠病毒感染后反复发热,伴咳嗽,近3天呼吸困难迅速加重

CRP、IL-6、Fet显著升高;

LYM、CD4+细胞显著降低

PCT轻度升高;

胸部CT提示双肺对称分布的多发斑片影

PFR<100 mmHg,代酸合并呼碱。

纽约某肾移植中心随访的1475例肾移植受体,SARS-CoV-2感染率为23.4%,感染患者住院死亡率37.8%,23%的住院患者需要肾脏替代治疗,高龄、糖尿病、IL-6水平与死亡率相关。另外一篇Meta分析显示器官移植受体面临更高的患重症COVID-19的风险,病死率增加;肾移植术后合并COVID-19的患者病死率在30%~60%之间

图片

图源:Clin Infect Dis, 2021, 72(2):340-350.


 二、入ICU时情况及相关检查结果 

入ICU时情况


入ICU后立即气管插管接呼吸机辅助通气

血气分析(PC,FiO2 1.0):pH 7.26,PaCO2 19.6 mmHg,PaO2 104 mmHg,BE -17 mmol/L,Lac 1.4 mmol/L。予以补液,CRRT纠正酸中毒和电解质紊乱

入ICU 8小时后复查血气(PC,FiO2 0.5):pH 7.45,PaCO2 28.6 mmHg,PaO2 76.6 mmHg,BE -3.3 mmol/L,Lac 2.0 mmol/L。


ICU时化验


WBC 10.73×109/L,NEU 10.32×109/L,LYM 0.14×109/L,Hb 82 g/L,PLT 243×109/L,hsCRP 186 mg/L。

PCT 4.43 ng/ml。

ALT 24 IU/L,AST 45 IU/L,K 6.5 mmol/L,Na 117 mmol/L,Crea 498 mmol/L,BUN 50.81 mmol/L,LDH 461 mmol/L,CK 297 mmol/L。

BNP 65 mmol/L。

D-D 2.3 mg/L,FDP 6.84 mg/L。

血清铁蛋白1207.7 ng/ml。

IL-6 98.53 pg/ml(<5.4),IL-8 46.98 pg/ml(<20.6),IFN-α 41.27 pg/ml(<8.5)。

CD4+T细胞40 cells/μl。

新冠病毒核酸(+),CT值17

G试验(-),GM试验(-)。


支气管镜检查


左主支气管可见少许透明拉丝黏痰,吸净后见各叶段支气管开口通畅,左上叶舌段、左下叶黏膜稍充血,未见溃疡,未见狭窄及新生物。于左上叶下舌段注入0.9%氯化钠60 ml,回吸淡血性浑浊液体约35 ml,可见少许小痰栓漂浮。


病原学检查


BALF NGS回报:耶氏肺孢子菌(序列数29),CMV(序列数69),新型冠状病毒(序列数52308)。


呼吸支持


机械通气:PC 12 cmH2O,PEEP 12 cmH2O,FiO2 0.5

呼吸力学:气道阻力9,肺顺应性50, PEEPi 0。

PFR 150~160 mmHg。

图片



 三、入院后治疗 

抗感染


Paxlovid(12.29-),磺胺3片q8h(12.30-),更昔洛韦0.15 qd(12.30-),哌拉西林他唑巴坦2.25 q6h(12.28-),伏立康唑200 mg q12h(12.29-)。


抗炎


甲强龙40 mg q12h(12.28-),托珠单抗480 mg st(12.29)。


抗凝


依诺肝素2000 U qn(12.28-)。

【上述治疗药物均根据患者肾功能进行了适当的减量】

研究发现:Paxlovid(奈玛特韦/利托那韦)能减少有症状的COVID-19患者进展为重症的风险【该数据主要在德尔塔变异株流行期间获取】。一项回顾性分析在Omicron激增期使用Paxlovid患者的临床数据,在Omicron变异株的分析中,65岁以上患者口服Paxlovid获得了临床获益。但这两项研究均排除了中至重度肾功能不全患者,Omicron流行期分析数据排除了eGFR<60 ml/min的患者。


说明书中的推荐:① eGFR≥60 ml/min,奈玛特韦300 mg(2片)+利托那韦100 mg(1片)q12h;② eGFR 30~60 ml/min,奈玛特韦150 mg(1片)+利托那韦100 mg(1片)q12h;③eGFR≤30 ml/min,不建议使用。


超说明书用药推荐,对于eGFR<30 ml/min和透析/不透析患者,第1天予负荷量:奈玛特韦300 mg(2片)+利托那韦100 mg(1片)qd;之后予维持量:奈玛特韦150 mg(1片)+利托那韦100 mg(1片)qd。


肾移植受者感染SARS-CoV-2后合并感染较多见,尤其是合并CMV感染。文献显示,肾移植合并COVID-19患者,使用大剂量激素及IL-6拮抗剂患者的死亡率更高。


初始治疗反应
初始治疗后1~4天,患者状态趋于好转,体温、WBC较稳定,CRP和铁蛋白下降,淋巴细胞计数明显升高。
图片
病情变化
治疗第5天,患者体温升高(在CRRT情况下),WBC显著增加,PFR明显下降,呼吸频率增快。
图片
气管镜检查(第二次)


左主支气管通畅,可见少量白色脓性分泌物附着,吸净后见各叶段支气管开口通畅,未见溃疡,未见狭窄及新生物。于左上叶下舌段注入0.9%氯化钠50 ml,回吸淡血性浑浊液体约25 ml,可见少许小痰栓漂浮。


病原学结果


BALF细菌培养结果为阴沟肠杆菌—CRE(计数>1×10cfu/ml)。

BALF GM试验结果:3.27。

新型冠状病毒核酸阳性。


调整治疗方案


延长抗病毒疗程(Paxlovid);

甲强龙减量为40 mg qd;

加强抗感染治疗:阿米卡星+多黏菌素;

气管切开;

呼吸支持:俯卧位通气。


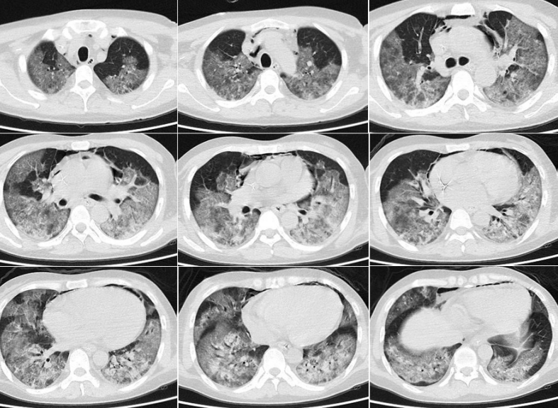
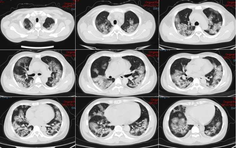
复查胸部CT


病变范围较前扩大,且出现气压伤、纵隔气肿。


图片
图片
患者淋巴细胞再次下降,IL-6显著升高(>10000 pg/ml),CD3+CD4+T细胞绝对计数减低。


图片



 四、面临的问题 


气管插管12天,PFR 110~120 mmHg,双肺弥漫性病变较前加重,出现纵隔气肿,呼吸支持陷入困境。
双肺弥漫性磨玻璃影,符合COVID-19的特点,但已合并明确的细菌和真菌感染,抗炎治疗进退维谷。

入院时使用伏立康唑预防性抗真菌治疗,在用药的过程中出现了真菌感染,下一步抗真菌治疗茫无头绪。


专家讨论 

程真顺教授:


对于COVID-19患者,早期抗病毒、抗炎以及有效评估后的针对性呼吸支持都非常重要。临床中有部分出现肺浸润的患者实施了清醒俯卧位,结果发现,有些年轻、能够配合的患者,实施清醒俯卧位后氧合状况最终得以改善,避免了气管插管。如果患者不能耐受俯卧位,或俯卧位后氧合指数改善达不到预期,需尽早插管,避免出现VAP。此外,对于插管患者,深镇静以及肌松下俯卧位也非常重要。但临床中不同患者的个体差异性很大。第一个病例,及时采取了有效的干预和治疗,但其影像学仍然出现进展,这样的病例临床不在少数,初始影像学有些可能是实变或机化性改变,当病情再次反弹时,会出现更广泛的磨玻璃影。该病例也给我们很大的启发,发病进入第3周后,纤维化很明显。对于这类患者,我们是不是可以延长激素的治疗时间,继续发挥其抗纤维化的作用,减少继发感染并发症?激素剂量不需要多高,例如初始甲强龙40~80 mg,进入纤维化期之后,是否可以选择甲强龙10~20 mg,进行较长时间的治疗。对于炎症引起的纤维化,从某种角度来说,具有机化性肺炎的特征,通常对激素治疗有一定的反应。另外,针对这类患者是否需要早期抗纤维化?个人认为早期抗纤维化仍然存在争议,为什么?因为抗纤维化药物尼达尼布主要针对纤维化表型的具有UIP特征的纤维化患者,对于炎症后肺纤维化,尼达尼布能够发挥多少作用,目前还不确定。另外,对于重症患者,早期激素用量能否更高,这也是值得探讨的问题。第二个病例是肾移植术后患者,此类免疫抑制患者在感染新冠病毒之后,核酸转阴的时间会比较长,这例患者也经历了炎症风暴,接受了抗炎治疗及呼吸支持,当前出现了纵隔气肿以及继发感染,这类患者更强调早期干预,缩短有创机械通气时间。其次,这例患者使用激素期间应停用他克莫司,否则更容易继发感染。患者对继发感染治疗的反应取决于多种影响因素,该患者非常及时地做了气切,如果发生了纵隔气肿,在呼吸支持方面也可考虑ECMO,降低平台压和跨肺压。抗感染方面,考虑BALF NGS监测,再进行抗感染方案的调整。对于免疫抑制人群的真菌感染,是否考虑联合治疗也值得思考。


李丹教授:


第一个病例具有典型的病毒性肺炎特点,也很规范地使用了抗炎治疗和抗病毒治疗,患者前期反应很好,但后来病情突然变化,出现了与大多数患者病情转归不同的变化,患者最初的胸部CT似乎已经开始出现实变,接下来可能会是纤维条索状变化,但复查胸部CT可见原来的实变影变淡,但病变范围增大。患者氧合指数下降,而且对俯卧位也不再敏感。分析肺活检病理表现可能趋近于急性间质性肺炎(AIP)。因为AIP本身的发病率很低,目前尚未明确其病因,但其发病机制中可能包括病毒感染、细胞损伤等。所以,该患者是否以新冠病毒感染为触发点,进而启动了AIP的病理过程。如果不是系统性疾病,仅为累及肺的严重的间质性改变,可能激素冲击治疗的效果不理想。对于这例患者的纤维化病变,是否考虑大剂量激素治疗,如160 mg bid或120 mg bid?第二个病例是典型的免疫抑制宿主,治疗过程中出现继发感染,炎症反应强烈。对于COVID-19患者,临床医生会积极用激素抗炎,是因为大家认为新冠病毒对人体的损伤远不及它所引起的炎症反应更严重,所以选择激素治疗,控制炎症反应。但第二个病例在第一个阶段的治疗效果非常好,后来病情加重系VAP所致,BALF病原学除了有新冠病毒,还有CMV、耶氏肺孢子菌、CRE。个人认为这一阶段的治疗重点应该是抗感染,抗炎的力度可以小一些。


翟振国教授:


大家可能注意到这样一个现象,对于收入普通病房的中重度患者,各大指南都推荐治疗量抗凝,而对于ICU住院患者,建议预防量抗凝。目前有明确的循证医学证据证实,与预防量抗凝相比,治疗量抗凝可以显著改善普通病房住院中重度COVID-19患者病情加重的情况,出血无显著增加,患者总体是获益的。对于ICU住院的重度COVID-19患者,治疗量抗凝与预防量抗凝相比没有获益,患者无需脏器支持的时间和生存率均没有得到改善,反而增加了出血的发生率。收入普通病房的患者,刚开始发病时,发生血栓的风险非常高,在这种情况下,如果患者本身血栓风险就比较高,D-二聚体水平也很高,此时给予治疗量抗凝,患者能够获益。一旦进入重症阶段(ICU),患者可能出现急性肺损伤、ARDS,很多患者会合并肺泡出血,并且出现凝血系统及功能紊乱,在这种情况下,再启动治疗量抗凝,效果并不理想。2022年的一项荟萃分析针对中重度患者,另一项荟萃分析针对ICU患者,两项研究最终分析的结果相同:中重度患者,治疗量抗凝有效;ICU患者,治疗量抗凝没有取得很好的效果,甚至不如预防量抗凝的效果。无论中重度患者,还是ICU患者,中等剂量抗凝(介于治疗量抗凝和预防量抗凝之间的剂量)没有体现出很好的效果,与预防量抗凝类似。


我们面临三种临床情况:①普通病房COVID-19患者:个人建议,第1天收住院,在对患者血栓情况尚无完全把握时,如果考虑没有出血风险,可以尽早启动预防量抗凝,第2天再根据患者的化验结果全面评估有无血栓和出血风险,如果认为血栓风险很高,而出血风险相对较低,建议治疗量抗凝,尤其在D-二聚体水平非常高的情况下。如果患者出血风险不好把握或者出血风险较高,这种情况可以不预防,或者用常规预防剂量即可。需要强调的是,当患者D-二聚体水平很高,有呼吸困难和气短症状,尽早启动DVT和PE相关检查。②ICU COVID-19患者:使用预防量抗凝。因为一旦进入ICU开始气管插管、机械通气、CRRT、ECMO等支持治疗时,指南也非常明确地推荐预防量抗凝,这可以在很大程度上防止新的血栓形成。但也需要强调,有些ICU患者如已经高度怀疑PE和DVT,或者已经有明确的DVT和PE,排除出血风险后,也应尽早启动治疗量抗凝。大家也不要一味照搬指南,有些收入ICU的患者已经合并了DVT和PE,我们需要尽快给患者进行相关检查,明确之后启动治疗量抗凝。③出院人群:如果出院时患者D-二聚体水平仍然很高,仍有呼吸困难和气短症状,我的建议是,如果患者没有做下肢静脉超声或CTPA,基于临床可能性评估,建议完善CTPA或下肢静脉超声检查,如果明确有血栓,按照PE和DVT予以治疗量抗凝;如果没有血栓,D-二聚体水平很高,仍有残余症状,基于Padua评分或IMPROVE评分,应予以预防量抗凝。因为在“Long COVID”中,除了咳嗽咳痰、胸痛、憋气、呼吸困难、气短之外,血栓形成也是其中非常重要的因素,病毒长期在体内复制导致了凝血功能的紊乱和内皮的损伤,其修复也需要一段时间。对于肿瘤患者、外科手术患者、消化系统疾病患者、心血管疾病患者等合并轻型或普通型COVID-19患者,《柳叶刀》杂志最近发布了新的指南,针对这些患者的预防和治疗方案,不必考虑新冠问题,而是主要针对原发病进行治疗,其预防和治疗方案与常规预防方案相同。大家一定要很清晰地了解,在不同层面应该采取什么措施。

参考文献 

[1] Elicker B M, Jones K T, Naeger D M, et al. Imaging of Acute Lung Injury[J]. Radiol Clin North Am, 2016, 54(6):1119-1132. 

[2] Kligerman S J, Franks T J, Galvin J R. From the radiologic pathology archives: organization and fibrosis as a response to lung injury in diffuse alveolar damage, organizing pneumonia, and acute fibrinous and organizing pneumonia[J]. Radiographics, 2013, 33(7):1951-75.

[3] Thille A W, Esteban A, Fernández-Segoviano P, et al. Chronology of histological lesions in acute respiratory distress syndrome with diffuse alveolar damage: a prospective cohort study of clinical autopsies[J]. Lancet Respir Med, 2013, 1(5):395-401. 

[4] Shao C, Liu H, Meng L, et al. Evolution of severe acute respiratory syndrome coronavirus 2 RNA test results in a patient with fatal coronavirus disease 2019: a case report[J]. Hum Pathol, 2020, 101:82-88. 

[5] Bussolari C, Palumbo D, Fominsky E, et al. Case Report: Nintedaninb May Accelerate Lung Recovery in Critical Coronavirus Disease 2019[J]. Front Med (Lausanne), 2021, 8:766486.

[6] Umemura Y, Mitsuyama Y, Minami K, et al. Efficacy and safety of nintedanib for pulmonary fibrosis in severe pneumonia induced by COVID-19: An interventional study[J]. Int J Infect Dis, 2021, 108:454-460. 

[7] Azzi Y, Parides M, Alani O, et al. COVID-19 infection in kidney transplant recipients at the epicenter of pandemics[J]. Kidney Int, 2020, 98(6):1559-1567. 

[8] Fung M, Babik J M. COVID-19 in Immunocompromised Hosts: What We Know So Far[J]. Clin Infect Dis, 2021, 72(2):340-350. 

[9] Hammond J, Leister-Tebbe H, Gardner A, et al. Oral Nirmatrelvir for High-Risk, Nonhospitalized Adults with Covid-19[J]. N Engl J Med, 2022, 386(15):1397-1408.

[10] Arbel R, Sagy Y W, Hoshen M, et al. Nirmatrelvir Use and Severe Covid-19 Outcomes during the Omicron Surge[J]. N Engl J Med, 2022, 387(9):790-798. 

[11] Hiremath S, McGuinty M, Argyropoulos C, et al. Prescribing Nirmatrelvir/Ritonavir for COVID-19 in Advanced CKD[J]. Clin J Am Soc Nephrol, 2022, 17(8):1247-1250. 


作者介绍 


图片


王诗尧

中日友好医院呼吸与危重症医学科(PCCM)临床专科医师,主诊医师,毕业于北京协和医学院临床医学(八年制)专业,北京2022年冬奥会和冬残奥会医疗保障队员,参与国家科技重大专项课题1项,第一作者或通讯作者发表SCI论文4篇,中文核心论文2篇,主攻方向为间质性肺疾病及罕见疑难呼吸系统疾病



图片


吴小静


中日友好医院呼吸与危重症医学科,美国南加州大学医学院访问学者,亚专业为呼吸危重症,擅长严重呼吸衰竭患者的救治,主要研究方向为重症肺炎和血流感染的诊治及发病机制,第一作者发表文章10余篇,参与多项国家“十三五”“十四五”重大研发项目、国家自然科学基金、省部级课题


*本文根据“Omicron变异株所致重症Covid-19临床救治实战系列”第四期视频整理,感谢王诗尧医师和吴小静医师予以审核。

全部评论 0
Copyright©2020-2026 北京医麦斯科技有限公司 版权所有 京ICP备2020034400号-1 京公网安备11010502043983号