登录方式

方式一:
PC端网页:www.rccrc.cn
输入账号密码登录,可将此网址收藏并保存密码方便下次登录

方式二:
手机端网页:www.rccrc.cn
输入账号密码登录,可将此网址添加至手机桌面并保存密码方便下次登录

方式三:
【重症肺言】微信公众号
输入账号密码登录

注:账号具有唯一性,即同一个账号不能在两个地方同时登录。

登录
方式

为重症救治赋能

为患者康复加速

当前位置:首页 重症实战 前线战疫

COVID-19抗凝治疗—基于循证证据的推荐意见

张帅 国家呼吸医学中心 中日友好医院呼吸与危重症医学科 发布于2023-02-13 浏览 2600 收藏

作者:张帅

单位:国家呼吸医学中心 中日友好医院呼吸与危重症医学科

图片

一、COVID-19患者VTE高发的证据

2020年Eur Heart J杂志发表了一个病例[1],为75岁女性COVID-19患者,因发热10天、新发呼吸困难入院,无明确VTE危险因素。WBC 11.36×109/L(↑),CRP 180 mg/L(↑),cTnI 3240.4 ng/ml(↑),D-dimer 21 μg/ml(↑);吸氧状态下动脉血气分析示PaO2 78.0 mmHg,PaCO2 25.1 mmHg,SaO2 95.6%。超声心动图示右室扩大,右室收缩功能严重减低,估测肺动脉平均压60 mmHg;下肢静脉超声未见血栓;CTPA示双肺动脉分支多发肺栓塞。该病例提示我们:严重的COVID-19肺炎可能是急性VTE的危险因素。

图片

图源:Eur Heart J, 2020, 41(19):1858.
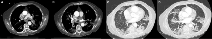
流行病学数据显示,在美国546 656例COVID-19住院患者中,ICU患者占20.1%,年龄≥60岁者占62.8%,男性占51.5%。COVID-19住院患者与ICU患者VTE发生率显著高于同期非COVID-19患者(住院:4.4% vs 2.7%,P<0.0001;ICU:8.3% vs 5.2%,P<0.0001)[2]。另一项研究发现,COVID-19 ICU患者VTE发生率为15%~85%,COVID-19非ICU住院患者VTE发生率为3%~46%[3]。一项前瞻性队列研究纳入12例COVID-19患者,中位年龄73岁,8例患者为男性。尸检结果显示:7例(58%)患者发现DVT(生前并未怀疑VTE),4例患者直接死于PE[4]。这也提示我们COVID-19患者出现血流动力学恶化时,应排除PE。临床如遇到患者氧合突然恶化,不能用肺部病变来解释,需要结合其凝血指标、超声心动图的变化乃至CTPA,判断有无PE。
图片
图片
二、COVID-19患者VTE危险因素与发病机制
COVID-19患者进展为重症的危险因素包括高龄、肥胖、卧床、妊娠状态、吸烟、强烈的炎症反应、细胞因子风暴、肺损伤、激素的使用、入住ICU等[5],这些也是静脉血栓的危险因素。众所周知,静脉血栓有三大类危险因素(Virchow‘s triad),即血流瘀滞、内皮功能障碍、高凝状态,而新冠病毒感染后会在不同程度上引起上述三个因素的改变,导致VTE的发生[6]
图片
COVID-19患者中存在两种形式的肺部血栓,一种是大血管病变,如肺血栓栓塞症,另一种需要引起关注的是微血管病变,如原位血栓形成[7]。很多研究着眼于COVID-19患者凝血功能的改变,其中D-二聚体水平升高最常见(76%),临床中有一些患者的D-二聚体水平甚至会超过检测上限。研究也发现,D-二聚体水平升高与血栓形成发生率及预后相关,且此种状态下的凝血功能异常不同于DIC及脓毒症引起的凝血功能异常,其D-二聚体水平升高,但血小板可以在正常范围,也可以升高或降低,PT和APTT可以在正常范围,也可以延长,Fib一般升高,凝血因子的变化也不同于DIC及脓毒症引起的凝血功能异常。
对于普通的COVID-19住院患者,可能已经出现了D-二聚体水平的升高(大部分为正常上限的3~6倍),Fib轻度升高,此时血小板可能还在相对正常范围内,但已出现明显的炎症反应,有大血栓和微血栓形成风险,随着病情进展,入ICU后D-二聚体水平可能超过正常上限的6,Fib明显增高,血小板有所下降,血栓发生风险明显增加[8]
图片
三、COVID-19的抗栓治疗药物及强度
2022年发表于J Am Coll Cardiol杂志的一篇文章显示,COVID-19各阶段均可能从抗栓治疗中获益,无论是在病毒复制播散阶段,还是在系统过度活化阶段,乃至内皮明显损伤、血栓形成阶段,抗栓治疗都有可能获益[9]
1. 抗栓药物
抗栓药物主要包括两大类—抗凝药物和抗血小板药物。
(1)抗凝药物:①肝素类:普通肝素,低分子肝素,磺达肝癸钠;②维生素K拮抗剂:华法林;③直接口服抗凝药(DOACs):Xa直接抑制剂:利伐沙班、艾多沙班、阿哌沙班;ⅡIa直接抑制剂:达比加群;④其他抗凝药物:阿加曲班、比伐卢定。
(2)抗血小板药物:①血栓素A2抑制剂:阿司匹林;②ADP P2Y12受体拮抗剂:氯吡格雷、噻氯匹定;替格瑞洛;③GPⅡb/Ⅲa受体抑制剂:替罗非班;④磷酸二酯酶抑制剂:西洛他唑,双嘧达莫。
目前针对COVID-19预防的抗栓药物研究主要集中于普通肝素和低分子肝素,也有少量研究聚焦于直接口服抗凝药或者阿司匹林、氯吡格雷等抗血小板药物。整体而言,对于COVID-19患者血栓事件预防的循证医学证据更倾向于普通肝素和低分子肝素,这类药物优于口服抗凝药和抗血小板药物,低分子肝素优于普通肝素。
2. 抗凝强度
在抗凝强度方面,肝素类药物有预防剂量、中间剂量和治疗剂量,直接口服抗凝药有预防剂量、治疗剂量。ISTH关于COVID-19抗血栓治疗指南提到了对预防剂量、中间剂量和治疗剂量的界定[10]。对于普通肝素,预防剂量为5000 U皮下注射bid或tid,中等剂量为7500 U皮下注射bid或tid,治疗剂量为静脉泵入,根据APTT或抗Xa活性调节肝素剂量。对于低分子肝素,依诺肝素的预防剂量是4000 U皮下注射qd,中间剂量是4000 U皮下注射bid,或者8000 U皮下注射qd,治疗剂量是按公斤体重计算,例如每10公斤体重1000 U依诺肝素皮下注射bid。
图片
四、COVID-19患者抗凝治疗主要临床研究

近年来一些高质量临床研究主要着眼于非ICU住院患者、ICU住院患者,以及门诊患者这三大类人群的抗凝治疗研究。

1. COVID-19非ICU住院患者的抗凝治疗研究

有三项高质量临床研究比较了治疗剂量和预防剂量肝素对于COVID-19非ICU住院患者的效果,包括ATTACC/ACTIV-4a/REMAP-CAP研究、RAPID研究和HEP-COVID研究。

(1)TTACC/ACTIV-4a/REMAP-CAP研究[11]:是一项开放标签、多平台、对照研究,入组COVID-19非ICU住院患者,中位年龄59岁,59%为男性,随机分为治疗量肝素抗凝组(治疗量LMWH或UFH抗凝14天或直至出院,n=1171)和预防量抗凝组(n=1048)。主要终点为无需器官支持日,次要终点包括出院时生存率、住院日、血栓或大出血事件。根据D-二聚体水平进行的亚组分析显示,高水平是指D-二聚体水平升高超过2倍上限,低水平是指D-二聚体水平升高1~2倍,可以看到,高水平D-二聚体组患者有获益。研究结果显示:与预防量抗凝相比,治疗量肝素抗凝增加了出院时生存的可能性,降低了循环或呼吸支持的使用;治疗量肝素抗凝组大出血发生率为1.9%,预防量抗凝组大出血发生率为0.9%,差异无统计学意义。

该研究得出结论:治疗量肝素抗凝延长了无需器官支持日,减少了对循环或呼吸支持的需要。但该研究存在一定的局限性,主要在于:①开放标签;②对照组抗凝强度不同,包括中间剂量抗凝组与预防剂量抗凝组;③不同研究间需判定入住ICU、预期住院日的标准不同;④仅入组了17%经筛选的患者。

(2)RAPID研究[12]:该研究入组了D-二聚体水平升高的非ICU、未应用机械通气、不需马上应用机械通气或重症监护的COVID-19住院患者。随机分组:治疗剂量LMWH或UFH(应用UFH者予负荷量后持续输注,监测APTT或抗Xa活性),预防剂量LMWH或UFH(根据体重与肌酐清除率调节剂量)。研究发现:两组间主要终点(28天内需入住ICU、无创或有创机械通气或死亡的复合终点)无显著差异。治疗剂量肝素降低了全因死亡风险(次要终点)。

(3)HEP-COVID研究[13]:该研究入组了需要氧疗、D-二聚体>4倍正常上限或脓毒症诱发的凝血异常评分(sepsis-induced coagulopathy score)≥4分的ICU或非ICU住院患者,随机分组:预防剂量或中间剂量LMWH或UFH,治疗剂量依诺肝素[Ccr≥30 ml/(min·1.73m2)者1 mg/kg bid、Ccr 15~29 ml/(min·1.73m2)者0.5 mg/kg皮下注射bid]。非ICU住院患者中,治疗剂量LMWH组在32天内包括VTE、动脉血栓、全因死亡在内的复合终点发生率显著降低;两组间32天死亡率、大出血发生率无显著差异。

(4)ACTION研究[14]:一项开放标签(盲法判定)的多中心(巴西31家中心)、随机、对照研究,入组了年龄≥18岁、D-二聚体升高、随机前14天内有COVID-19症状的住院患者。随机分组:①治疗量利伐沙班抗凝组:a. 临床稳定者住院期间口服利伐沙班20 mg或15 mg bid;b. 临床不稳定者初始应用依诺肝素1 mg/kg皮下注射bid或普通肝素静脉输注(目标抗Xa活性0.3~0.7 IU/ml),稳定后序贯利伐沙班口服直至第30天;②预防量肝素抗凝组:住院期间应用预防剂量依诺肝素或普通肝素。主要有效性终点为包括30天内发生死亡时间、住院日、氧疗日在内的复合终点,主要安全性终点为30天内大出血或临床相关非大出血。研究结果显示:与预防量肝素抗凝相比,利伐沙班治疗量抗凝未改善临床转归,且增加出血风险。因此,不推荐将利伐沙班作为COVID-19住院患者的抗凝选择。

2. COVID-19住院患者的抗凝研究治疗

有三项高质量的大型临床研究比较了治疗剂量/中间剂量与预防剂量肝素用于COVID-19 ICU住院患者的效果,包括REMAP-CAP/ACTIV-4a/ATTACC研究、INSPIRATION研究和COVID-PACT研究。

(1)REMAP-CAP/ACTIV-4a/ATTACC研究[15]:一项开放标签、多平台、对照研究,入组COVID-19重症患者(需应用HFNC、机械通气、ECMO或血管活性药物),随机分组为治疗剂量UFH或LMWH组(n=534)、常规治疗组(肝素剂量不同,n=564)。主要终点为无需器官支持日,次要终点包括出院时生存率、血栓事件、严重血栓和死亡复合终点、出血事件。

研究结果显示:与常规治疗相比,治疗量肝素抗凝组无需器官支持日无显著差异(aOR 0.83,95%CI 0.67~1.03),治疗量肝素抗凝组、常规治疗组生存率分别为62.7%、64.5%,大出血发生率分别为3.8%、2.3%。研究得出结论:在重症COVID-19患者中,治疗量肝素抗凝不能减少对循环或呼吸支持的需要及病死率;虽无显著差异,但治疗量肝素抗凝组出血事件增多。分析导致这样结果的原因,首先可能是由于重症COVID-19患者应用治疗量抗凝已然太迟,无法改变疾病进程;其次,COVID-19合并ARDS的患者尸检结果显示微血栓形成与肺泡出血;在存在明显肺部炎症反应时,治疗量抗凝可能加重肺泡出血,导致预后更差。

该研究的主要局限性:①开放标签;②对照组抗凝强度不同,包括中间剂量抗凝(51%)、亚治疗量抗凝(2%)抗凝;③不同研究间需判定需入住ICU、预期住院日的标准不同;④三项研究均因为治疗量抗凝未显示有效性而终止。

(2)INSPIRATION研究[16]:一项多中心随机研究,2×2 因素设计,入组COVID-19 ICU成人患者(2020-07-29至2020-11-19),中位年龄62岁,58%为男性患者,随机分为中间剂量抗凝组(依诺肝素1 mg/kg qd,n=276)、标准预防剂量抗凝组(依诺肝素40 mg qd,n=286)和他汀治疗组、安慰剂组,依据体重、肌酐清除率调节LMWH剂量。主要有效性终点为包括动静脉血栓、需要ECMO、30天内全因死亡在内的复合终点,次要有效性终点包括全因死亡、VTE,安全性终点包括大出血、严重血小板减少(PLT<20×109/L)。结果显示:与预防剂量抗凝组相比,中间剂量抗凝组主要有效性终点发生率无显著差异(45.7% vs. 44.1%;OR 1.06;95%CI 0.76~1.48)。预防剂量抗凝组、中间剂量抗凝组大出血发生率分别为1.4%、2.5%,差异无统计学意义(P=0.33);大出血和临床相关非大出血发生率分别为3.1%、6.2%,差异无统计学意义(P=0.08)。

该研究结论为:在COVID-19 ICU成人患者中,与标准剂量预防性抗凝相比,中间剂量的预防性抗凝不能减少包括动静脉血栓、需要ECMO、30天内全因死亡在内的复合终点的发生率。不支持在COVID-19 ICU成人患者中常规经验性应用中间剂量进行预防性抗凝。研究的主要局限性:①开放标签;②并非所有患者都接受了ICU级别的照护。

(3)COVID-PACT研究[17]:一项多中心、2×2因素设计研究,入组COVID-19 ICU患者,随机分为治疗剂量抗凝组(FDAC,静脉UFH或皮下LMWH)、标准预防剂量抗凝组(SDPAC,皮下UFH或LMWH),同时随机分组为氯吡格雷抗血小板治疗组与无抗血小板治疗组。主要有效性终点为包括28天或住院期间因动静脉血栓而死亡、肺栓塞、临床证实的DVT、1型心肌梗死、缺血性卒中、体循环栓塞性事件、急性下肢缺血、临床无症状DVT在内的等级性复合终点。主要安全性终点为致死性或危及生命的出血,次要安全性终点为中至重度出血。但由于入住ICU的COVID-19患者减少、入组困难,于2022年3月提前终止,入组了计划量的大约50%的患者。

研究结果显示:治疗剂量抗凝组(FDAC)、标准预防剂量抗凝组(SDPAC)主要有效性终点发生率分别为9.9%(19/191)、15.2%(29/191)(P=0.046)。FDAC、SDPAC组主要安全性终点发生率分别为2.1%、0.5%(P=0.19);次要安全性终点发生率分别7.9%、0.5%(P=0.002)。FDAC、SDPAC组间全因死亡率无显著差异(P=0.70)。氯吡格雷组与无抗血小板组间主要有效性、安全性终点发生率均无显著差异。

研究结论:在COVID-19 ICU患者中,足量治疗量抗凝治疗而非氯吡格雷抗血小板治疗可减少血栓性并发症,但增加出血风险,对病死率无明显影响。该研究的主要局限性:①开放标签;②疫情期间入组缓慢提示患者选择可能影响本研究结果的普适性;③因入住ICU的COVID-19患者减少、入组困难,提前终止。

除了上述几项大规模临床研究,还有一些COVID-19住院患者抗血小板治疗的研究。ACTIV-4a研究入组非ICU住院患者,比较治疗量肝素+P2Y12抑制剂×14天(或直至出院)与治疗量肝素的效果,结果显示21天内无需器官支持日、28天内大出血事件均无显著差异。RECOVERY研究比较了阿司匹林150 mg qd抗血小板治疗(直至出院)与抗血小板治疗在住院患者中的临床疗效,结果发现28天全因死亡率、28天内需机械通气或死亡、血栓事件均无显著差异,且阿司匹林组28天大出血发生率增加。REMAP-CAP研究在ICU患者中比较了阿司匹林75~100 mg qd或P2Y12抑制剂×14天(或直至出院)与无抗血小板治疗的临床效果,结果显示21天内无需器官支持日、住院期间死亡率均无显著差异,抗血小板治疗组90天生存率、14天内大出血增加。COVID-PACT研究纳入ICU患者,在氯吡格雷300 mg随机当天→75 mg qd×28天(或直至出院)与无抗血小板治疗进行了比较,结果发现28天或住院期间动静脉血栓、出血事件无显著差异。整体而言,抗血小板药物用于COVID-19患者的血栓的预防并无明显获益。

3. COVID-19门诊患者的抗凝治疗研究

对于COVID-19门诊患者,积极的抗凝治疗能否给患者带来获益?OVID研究和ETHIC研究均入选了症状性、非住院门诊患者,预防性抗凝组均使用依诺肝素,对照组无抗凝。这两项研究发现,门诊患者使用预防性肝素抗凝,虽然没有导致明显的出血,但并不能带来获益,因此也不推荐对门诊患者常规使用预防剂量的肝素进行抗凝治疗。

4. 小结

在非ICU住院患者中,治疗量肝素抗凝可以带来获益,因此推荐对于在非ICU的普通病房住院患者,如果没有明显的抗凝禁忌和高出血风险,可给予治疗量肝素抗凝。对于ICU患者,治疗量和中间量的肝素抗凝并不能带来获益,而且可能导致出血风险增加,因此对于这部分患者,推荐预防量肝素抗凝。对于门诊患者,预防量肝素抗凝没有获益,因此不做推荐。

各大指南都推出了关于COVID-19患者预防血栓的抗凝治疗意见,并且根据最新的临床研究结果不断进行更新,下表是目前相关指南的一些总结,供参考。
图片
图片
五、基于循证证据的推荐意见
无论是流行病学证据,还是尸检的客观依据,COVID-19患者静脉血栓栓塞症等血栓事件风险升高,所以推荐对COVID-19住院患者进行积极的抗凝治疗,无抗凝禁忌证者均推荐应用抗凝治疗,也需要根据患者不同情况选择抗凝强度。在抗凝药物选择方面,肝素类药物优于口服抗凝药,低分子肝素优于普通肝素。对于需低流量氧疗、不需入住ICU的住院成年、非妊娠患者,若D-二聚体水平升高、无额外出血风险,推荐应用治疗剂量的肝素。对于需入住ICU或需高流量氧疗的成年患者,除非存在禁忌证,均推荐应用预防剂量的肝素。
在决定抗凝强度前,需对患者进行血栓-出血风险的个体化评估,如年龄、基础病(肾功能不全、近期脑卒中、出血性疾病病史、遗传性或活动性获得性出血性疾病等)、合并用药(激素、抗血小板药等),出血高风险患者酌情降低抗凝强度。

参考文献

[1] Danzi G B, Loffi M, Galeazzi G, et al. Acute pulmonary embolism and COVID-19 pneumonia: a random association?[J]. Eur Heart J, 2020, 41(19):1858.

[2] Deitelzweig S, Luo X, Nguyen J L, et al. Thrombotic and bleeding events, mortality, and anticoagulant use among 546,656 hospitalized patients with COVID-19 in the United States: a retrospective cohort study[J]. J Thromb Thrombolysis, 2022, 53(4):766-776.

[3] Marchandot B, Trimaille A, Curtiaud A, et al. Thromboprophylaxis: balancing evidence and experience during the COVID-19 pandemic[J]. J Thromb Thrombolysis, 2022, 53(4):799-808.

[4] Wichmann D, Sperhake J, Lütgehetmann M, et al. Autopsy Findings and Venous Thromboembolism in Patients With COVID-19: A Prospective Cohort Study[J]. Ann Intern Med, 2020, 173(4):268-277.

[5] Schulman S, Hu Y, Konstantinides S. Venous Thromboembolism in COVID-19[J]. Thromb Haemost, 2020, 120(12):1642-1653. 

[6] Talasaz A H, PSadeghipour P, Kakavand H, et al. Recent Randomized Trials of Antithrombotic Therapy for Patients With COVID-19: JACC State-of-the-Art Review[J]. J Am Coll Cardiol, 2021, 77(15):1903-1921. 

[7] Poor H D. Pulmonary Thrombosis and Thromboembolism in COVID-19[J]. Chest, 2021, 160(4):1471-1480. 

[8] Leentjens J, van Haaps T F, Wessels P F, et al. COVID-19-associated coagulopathy and antithrombotic agents-lessons after 1 year[J]. Lancet Haematol, 2021, 8(7):e524-e533. 

[9] Farkouh M E, Stone G W, Lala A, et al. CAnticoagulation in Patients With COVID-19: JACC Review Topic of the Week[J]. J Am Coll Cardiol, 2022, 79(9):917-928. 

[10] Schulman S, Sholzberg M, Spyropoulos A C, et al. ISTH guidelines for antithrombotic treatment in COVID-19[J]. J Thromb Haemost, 2022, 20(10):2214-2225. 

[11] ATTACC Investigators, ACTIV-4a Investigators, REMAP-CAP Investigators, et al. Therapeutic Anticoagulation with Heparin in Noncritically Ill Patients with Covid-19[J]. N Engl J Med, 2021, 385(9):790-802.

[12] Sholzberg M, Tang G H, Rahhal H, et al. Effectiveness of therapeutic heparin versus prophylactic heparin on death, mechanical ventilation, or intensive care unit admission in moderately ill patients with covid-19 admitted to hospital: RAPID randomised clinical trial[J]. BMJ, 2021 Oct 14;375:n2400. doi: 10.1136/bmj.n2400.

[13] Spyropoulos A C, Goldin M, Giannis D, et al. Efficacy and Safety of Therapeutic-Dose Heparin vs Standard Prophylactic or Intermediate-Dose Heparins for Thromboprophylaxis in High-risk Hospitalized Patients With COVID-19: The HEP-COVID Randomized Clinical Trial[J]. JAMA Intern Med, 2021, 181(12):1612-1620.

[14] Lopes R D, Pedro Gabriel Melo de Barros E Silva, Furtado R H M, et al. Therapeutic versus prophylactic anticoagulation for patients admitted to hospital with COVID-19 and elevated D-dimer concentration (ACTION): an open-label, multicentre, randomised, controlled trial[J]. Lancet, 2021, 397(10291):2253-2263.

[15] REMAP-CAP Investigators, ACTIV-4a Investigators, ATTACC Investigators, et al. Therapeutic Anticoagulation with Heparin in Critically Ill Patients with Covid-19[J]. N Engl J Med, 2021, 385(9):777-789.

[16] INSPIRATION Investigators, Sadeghipour P, Talasaz A H, et al. Effect of Intermediate-Dose vs Standard-Dose Prophylactic Anticoagulation on Thrombotic Events, Extracorporeal Membrane Oxygenation Treatment, or Mortality Among Patients With COVID-19 Admitted to the Intensive Care Unit: The INSPIRATION Randomized Clinical Trial[J]. JAMA, 2021, 325(16):1620-1630.

[17] Bohula E A, Berg D D, Lopes M S, et al. Anticoagulation and Antiplatelet Therapy for Prevention of Venous and Arterial Thrombotic Events in Critically Ill Patients With COVID-19: COVID-PACT[J]. Circulation, 146(18):1344-1356.

作者简介



图片

张帅


  • 中日友好医院呼吸与危重症医学科主治医师、医疗组长

  • 长期致力于肺栓塞、肺动脉高压等肺血管疾病的临床与转化医学研究

  • 入选中日友好医院“菁英计划”人才培育工程

  • 第一作者发表SCI论文10篇,核心期刊论文多篇

  • 参编/译呼吸与危重症医学专著2部


*本文根据“Omicron变异株所致重症Covid-19临床救治实战系列”第四期视频整理,感谢张帅医师予以审核。

全部评论 0
Copyright©2020-2026 北京医麦斯科技有限公司 版权所有 京ICP备2020034400号-1 京公网安备11010502043983号