登录方式

方式一:
PC端网页:www.rccrc.cn
输入账号密码登录,可将此网址收藏并保存密码方便下次登录

方式二:
手机端网页:www.rccrc.cn
输入账号密码登录,可将此网址添加至手机桌面并保存密码方便下次登录

方式三:
【重症肺言】微信公众号
输入账号密码登录

注:账号具有唯一性,即同一个账号不能在两个地方同时登录。

登录
方式

为重症救治赋能

为患者康复加速

当前位置:首页 脏器支持 ECMO

ECMO治疗弥漫性肺泡出血综合征所致严重ARDS

刘红梅 河南省人民医院呼吸与危重症医学科 发布于2022-08-31 浏览 2708 收藏

作者:刘红梅

单位:河南省人民医院呼吸与危重症医学科


图片

病情介绍


一般情况

患者,男性,80岁,80 kg。以“头晕、乏力半月余,咯血、胸闷12小时”为代主诉入院。入院时间:2020年10月9日。


现病史

半月前无明显诱因出现头晕、乏力、纳差,当地医院诊断为“脑梗死”,药物治疗后乏力、纳差症状进行性加重;1周前出现流涕,低热37.1℃,给予复方氨酚烷胺片,症状缓解。12小时前无明显诱因出现咯血,痰中带血,为鲜红色,量为10~20 ml,伴胸闷、气喘,活动明显受限,急来我院就诊。自发病以来神志清,精神、睡眠、饮食均较差,大小便可,体重较前变化不明显。


既往史及其他

20余年前因“前列腺增生”于我院行手术治疗;脑梗死10余年,间断住院治疗,无明显后遗症;高血压病史3年余,服用苯磺酸左旋氨氯地平降压,具体血压控制不详。吸烟50余年,20支/天,已戒烟10余年。婚育史、家族史无特殊。


入院查体

体温37.2℃,脉搏79次/min,呼吸35次/min,血压152/71 mmHg。神志清,精神差,口唇发绀,呼吸急促,双肺呼吸音粗,听诊可闻及湿啰音。心率79次/min,心前区无隆起,心尖搏动正常,各瓣膜听诊区未闻及明显杂音。


入RICU后辅助检查

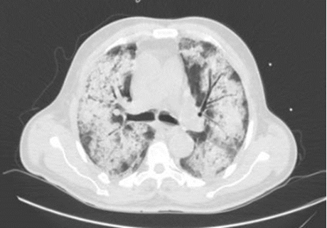
  • 胸部CT:2020年10月9日胸部CT示双肺多发渗出高密度实变阴影(图1)


图片

1  胸部CT:双肺多发渗出高密度阴影(2020年10月9日)


血气分析:pH 7.431,PaCO2 28.3 mmHg,PaO283.6 mmHg,BE -5.1 mmol/L,Glu 7.6 mmol/L,Lac 1.39 mmol/L,氧合指数83.6 mmHg(无创呼吸机辅助呼吸,FiO100%,PC 12 cmH2O,PEEP 5 cmH2O)。

血常规:白细胞计数11.42×109/L,中性粒细胞计数10.69×109/L,淋巴细胞计数0.36×109/L,红细胞计数2.62×1012/L,血红蛋白76.0 g/L。

C反应蛋白129.82 mg/L,降钙素原定量0.82 ng/ml。

生化:血钠131 mmol/L,尿素14.5 mmol/L,肌酐154 μmol/L,葡萄糖7.00 mmol/L。

PT活动度64%,纤维蛋白原6.00 g/L,纤维蛋白原降解产物15.30 μg/ml,D-二聚体4.18 mg/L。

尿常规:蛋白质(++),白细胞(+),隐血(+++)。


图片

诊治经过


入院诊断

重症肺炎,急性呼吸窘迫综合征;
凝血功能异常;
贫血;
电解质紊乱,低钠血症;
肾功能不全;
高血压。


初步治疗

患者入院后因呼吸困难、氧合低给予无创呼吸机辅助呼吸,ST模式IPAP 12 cmH2O,EPAP 5 cmH2O,吸氧浓度100%,血氧饱和度87%~93%。复查血气分析:pH 7.348,PaCO2 37.7 mmHg,PaO2 43.4 mmHg,氧合指数43.4 mmHg。


入院4小时气管插管接有创呼吸机辅助呼吸,PCV模式PC 16 cmH2O,PEEP 10 cmH2O,吸氧浓度100%,指脉氧饱和度87%。立刻行气管镜检查发现双侧主支气管及各叶段支气管内中等量血性分泌物,给予凝血酶粉、去甲肾上腺素及冰盐水局部灌洗止血效果不佳,考虑弥漫性肺泡出血综合征。因有感冒病史,考虑病毒及细菌感染诱发,予哌拉西林他唑巴坦4.5 g q8h静滴、替考拉宁400 mg qd静滴(首日加倍)、莫西沙星0.4 g qd静滴抗感染,帕拉米韦0.3 g qd静滴抗病毒,伏立康唑200 mg q12h静滴(首日加倍),甲泼尼龙80 mg q12h抗炎,卡络磺钠等止血对症治疗。


入院12小时,患者氧合低,予以呼吸机辅助通气、镇静镇痛肌松、俯卧位通气仍不能改善氧合,最低指脉氧饱和度43%,血气分析示pH 7.193,PaCO2 56.4 mmHg,PaO2 38 mmHg,HCO3- 18.5 mmol/L,BE -6.6 mmol/L,乳酸1.7 mmol/L。心率54次/min,血压84/51 mmHg(多巴胺200 mg/50 ml,80 ml/h泵入),心脏彩超:左室松弛功能减退,三尖瓣中度反流,主动脉瓣退行性变并轻度反流。补充血浆及红细胞同时即可给予V-V ECMO治疗(图2),右侧股静脉21F导管置入40 cm,右侧颈内静脉置管17F导管15 cm,血流量3.96 L/min,转速2486转/min,氧浓度100%,气流量3 L/min,上机后SpO2 90%,血压128/58 mmHg(多巴胺200 mg/50 ml,1.5 ml/h泵入)。床旁血滤降低炎症因子水平,维持内环境稳定。因患者弥漫性肺泡出血,予以无肝素V-V ECMO治疗。复查血气分析:pH 7.34,PaCO34 mmHg,PaO2 73 mmHg,BE -6.6 mmol/L,乳酸3.7 mmol/L。


图片

图2  V-V ECMO


10月10日发热九项联检、自身抗体谱抗核抗体1:100。BALF、血清GM试验、G试验均阴性。凝血功能:PT活动度68%,纤维蛋白原4.47 g/L,纤维蛋白原降解产物19.00 μg/ml,D-二聚体7.24 mg/L。


10月11日抗中性粒细胞胞质抗体(antineutrophil cytoplasmic antibody,ANCA)定性:抗中性粒细胞胞浆抗体核周型阳性,抗中性粒细胞胞浆抗体胞浆型阴性,抗肾小球基底膜抗体阴性,血沉16 mm/h。复查气管镜仍见气道内弥漫性出血。


修正诊断

弥漫性肺泡出血综合征,显微镜下多血管炎microscopic polyangiitis,MPA);
重症肺炎;
急性呼吸窘迫综合征;
贫血;
凝血功能异常;
肾功能不全;
低蛋白血症;
电解质紊乱:低钠血症;

高血压。


后续治疗

请风湿免疫科会诊后,予以甲强龙500 mg qd,静脉应用,4天后减量为60 mg/d,丙种球蛋白20 g/(L·d),静脉应用。


10月12日气道内仍有新鲜出血,ANCA定量提示抗髓过氧化物酶抗体300 RU/ml。气道抽吸物mNGS DNA测序提示副流感嗜血杆菌(序列数30)。血红蛋白63 g/L,纤维蛋白原1.09 g/L,纤维蛋白原降解产物93.2 μg/ml,D-二聚体24.95 mg/L。考虑出血、微血栓形成,继发性纤溶亢进,输注冷沉淀、血浆、红细胞。有创呼吸机辅助呼吸,PCV模式,PC 16 cmH2O,PEEP 8 cmH2O,吸氧浓度50%,血流量4 L/min,转速2600转/min,氧浓度100%,气流量2 L/min,复查血气分析示pH 7.49,PaCO2 34 mmHg,PaO2 98 mmHg,BE 3 mmol/L,乳酸2.2 mmol/L。


10月14日气道内活动性出血量减少,膜前管路接头处血栓,针对MAP的治疗继续予以甲强龙500 mg冲击,丙种球蛋白20 g/d联合3000 ml血浆置换治疗,患者肺顺应性改善,影像学提示双肺渗出性病变密度较前减轻(图3)


图片

图3  胸部X线片(2020年10月10-11日)

注:双肺渗出性病变持续进展。


有创呼吸机辅助呼吸,PCV模式,PC 16 cmH2O,PEEP 8 cmH2O,吸氧浓度40%,血流量4.12 L/min,转速2600转/min,氧浓度80%,气流量2 L/min,复查血气分析示pH 7.44,PaCO2 45 mmHg,PaO2 91 mmHg,BE 5.3 mmol/L,乳酸2.73 mmol/L。因使用大剂量激素,抗生素调整为美罗培南联合替考拉宁,伏立康唑。因气道出血及管路血栓,就是否加用肝素抗凝问题请中日友好医院詹庆元教授会诊,詹教授建议补充血制品改善凝血功能,同时小剂量给予肝素抗凝,抗凝目标下调,密切观察气道出血及血栓形成问题。


10月17日ANCA:抗髓过氧化物酶抗体82.13 RU/ml,甲强龙冲击4天后改为60 mg/d(以后甲强龙逐步减量到维持剂量),持续血浆置换(3后间断血浆置换)联合丙种球蛋白冲击治疗后,气道无明显新鲜出血。有创呼吸机辅助呼吸,PCV模式,PC 12 cmH2O,PEEP 8 cmH2O,吸氧浓度40%,ECMO空转2小时,血气分析示pH 7.39,PaCO2 41.8 mmHg,PaO2 86.4 mmHg,BE -0.4 mmol/L,乳酸0.99 mmol/L。故撤除ECMO。


10月18日,血气分析(FiO260%):pH 7.348,PaCO2 49.9 mmHg,PaO2 97.8 mmHg,HCO325.1 mmol/L,BE 0.7 mmol/L,乳酸1.86 mmol/L,氧合指数163 mmHg,BNP 145 pg/ml。血常规:白细胞计数11.09×109/L,中性粒细胞计数10.58×109/L,淋巴细胞计数0.23×109/L,红细胞计数2.89×1012/L,血红蛋白88.0 g/L,血小板计数92×109/L,C反应蛋白20.64 mg/L,降钙素原定量0.24 ng/ml。凝血功能:纤维蛋白原降解产物19.50 μg/ml,D-二聚体7.41 mg/L。因患者不能耐受气管插管,镇静镇痛药物剂量大,但咳痰能力差,予以气管切开。肾功能不全,尿量少,CRRT治疗(图4)


图片

图4  ECMO联合CRRT及血浆置换


10月19日血滤时出现寒战,血压降低,夜间最高体温38.2℃。胸部CT示双肺多发渗出阴影较前好转(图5)


图片

图5  胸部CT(10月19日)


10月20日气管镜检查提示暗红色脓血性分泌物,量少。下午再次发热,体温37.7℃,抽取导管血及外周血培养。考虑院感常见病原学为泛耐药鲍曼不动杆菌及肺炎克雷伯杆菌感染,加用替加环素100 mg q12h。


10月21日患者神志清楚,呼吸机模式PCV,PC 12 cmH2O,PEEP 6 cmH2O,FiO2 40%,呼吸频率20次/min,血气分析(FiO40%):pH 7.444,PaCO2 41.9 mmHg,PaO2 105.7 mmHg,HCO3- 28.1 mmol/L,BE 3.7 mmol/L,钠137.8 mmol/L,钾4.39 mmol/L,乳酸1.35 mmol/L,氧合指数211.4 mmHg,BNP 463 pg/ml。ANCA定量:抗髓过氧化物酶抗体304.68 RU/ml。


BALF mNGS提示:肺炎克雷伯杆菌(序列数308580),人类疱疹病毒Ⅰ型(序列数96729)。气道分泌物培养提示耐碳青霉烯类肺炎克雷伯杆菌(替加环素、头孢他啶阿维巴坦、多黏菌素、四环素敏感),导管血同样为耐碳青霉烯类肺炎克雷伯杆菌。调整抗生素为头孢他啶阿维巴坦2.5 g q8h泵入+多黏菌素B 50万IU q12h泵入+阿米卡星0.2 g q8h压缩雾化抗感染,卡泊芬净50 mg qd静滴预防真菌感染,阿昔洛韦500 mg qd泵入抗病毒,并给予乌司他丁抗全身炎症。ANCA定量指标较前升高,为避免再次气道出血给予甲强龙40 mg qd静推,并再次给予免疫球蛋白25 g冲击治疗。


10月24日痰中血性分泌物增多,血红蛋白再次降低(71 g/L),考虑感染诱发或激素减量引起显微镜下血管炎再次加重,请免疫风湿科会诊后给予甲强龙240 mg/d(以后逐步减量),丙种球蛋白冲击及每日血浆置换。


10月28日抗感染联合针对MAP治疗后,体温正常,血压平稳,痰为白色黏稠状。ANCA定量:抗髓过氧化物酶抗体29.18 RU/ml,血气分析pH 7.474,PaCO2 39.1 mmHg,PaO2 89.4 mmHg,HCO328.2 mmol/L,BE 4.2 mmol/L,乳酸1.37 mmol/L,氧合指数223 mmHg,BNP 319 pg/ml。患者呼吸功能改善,间断呼吸机及文丘里湿化吸氧,加强康复治疗(图6)。患者髓过氧化物酶抗体变化见图7


图片

图6  患者康复治疗


图片

图7  髓过氧化物酶抗体变化趋势


2020年11月4日血气分析(经气管切开处文丘里湿化FiO2 40%):pH 7.468,PaCO2 42.8 mmHg,PaO2 94.5 mmHg,HCO3- 29.9 mmol/L,BE 6.0mmol/L,乳酸1.13 mmol/L,氧合指数236 mmHg。ANCA定量(2020年11月3日):抗髓过氧化物酶抗体38.69 RU/ml。BALF培养为凝固酶阴性溶血葡萄球菌,中等量,抗生素调整为替考拉宁400 mg qd静滴+注射用美罗培南1.0 g q8h静滴。


11月10日经气切面罩加温湿化吸氧,吸氧浓度为35%,血氧饱和度维持在93%~100%,转至普通病房继续治疗。


图片

预后


后续随访,2020年11月17日在普通病房给予激素40 mg qd静滴(激素逐步减量),继续丙种球蛋白5g qd静滴,利妥昔单抗100 mg针对血管炎治疗。12月8日经口进食蛋黄后晚上咳痰中带有黄色颗粒样固体物质,考虑误吸,继续抗感染治疗,12月22日复查ANCA定量恢复正常,甲泼尼龙20 mg qd维持治疗,但因再发肺部感染、消化道出血自动出院。


图片

讨论


老年男性患者,乏力半个月,有感冒病史,咯血胸闷12小时。入院后4小时因呼吸衰竭给予气管插管呼吸机辅助呼吸,镇静镇痛肌松等治疗后仍不能维持,血压下降,予以大剂量升压药维持。患者有咯血,气管镜下提示弥漫性肺泡出血,血红蛋白24小时内降至63 g/L,肺部影像学提示双肺弥漫性高密度阴影,符合弥漫性肺泡出血综合征表现。


弥漫性肺泡出血是一种罕见但危及生命的疾病,当需要机械通气时,据报道死亡率高达77%。病因检查需要考虑药物、感染及系统性疾病,此患者既往有高血压病史,应用降压药物,无抗凝药物及特殊药物使用史,超声及心肌酶谱检查排除心脏疾病,自身抗体谱ANA 1:100,ANCA检测提示抗髓过氧化物酶抗体明显增高(>300 RU/ml),血肌酐增高(154 μmol/L),尿蛋白(++),尿潜血(+++)。支持MPA诊断,该病是ANCA相关血管炎(ANCA-associated vasculitis,AAV)中的一种类型,主要累及小血管(即毛细血管、微静脉或微动脉),临床表现包括咳嗽、咯血(肺泡出血和/或气管支气管疾病所致)、呼吸困难以及较少见的胸膜炎性胸痛。症状和体征的严重程度差异非常大,轻则无症状(1/3的患者),重则为急性暴发性肺泡出血伴呼吸衰竭。MPA最常表现为肺纤维化和肺泡出血,10%~30%的患者会出现弥漫性肺泡出血,在肺、肾均受累的活动性MPA患者中,超过90%在血清中存在ANCA,主要是针对髓过氧化物酶[MPO;核周型ANCA(P-ANCA)]。


在原发病尚未明确时,弥漫性肺泡出血综合征导致ARDS发病急,进展迅速,在常规ARDS机械通气支持策略不能改善氧合时,仅ECMO可以支持呼吸和循环。此患者在入院12小时因氧合难以维持,给予V-V ECMO支持。但存在问题,患者年龄偏大(80岁),而且为出血性疾病,弥漫性肺泡出血,应用ECMO支持后抗凝是禁忌,高龄患者预后差。文献报道,部分免疫相关弥漫性出血综合征患者应用ECMO治疗,死亡率达47%,死亡原因为脓毒症休克、颅内出血及难治性ARDS,因此推测血管炎患者内皮细胞损伤和炎症反应导致出血易感性,在行ECMO治疗时,部分患者在活动性出血初期给予无肝素抗凝或减少肝素剂量降低抗凝目标。此病例早期因肺泡出血量大,未给予肝素抗凝的ECMO支持,后期积极治疗原发病,肺泡出血减少,而且管路出现血栓,给予小剂量肝素抗凝、降低抗凝目标的策略,使ECMO支持得以进行。


查阅文献及本病例均提示,在常规肺保护性机械通气失败的免疫相关弥漫性肺泡出血综合征引起的严重ARDS中,ECMO支持是一种可行且合理的治疗策略。考虑出血并发症的高风险,ECMO支持的启动需要仔细评估和限制性抗凝策略。


此患者MPA引起重度弥漫性肺泡出血伴严重的呼吸衰竭,给予大剂量激素冲击治疗、丙种球蛋白冲击及血浆置换后,肺泡出血症状得到良好控制。分析两次肺泡出血的诱因,第一次因大量弥漫性肺泡出血,症状凶猛,不能给予大量肺泡灌洗取标本检测,不能除外感染诱因。第二次肺泡出血,可能因激素减量或感染加重诱发。给予呼吸支持、治疗原发病及控制诱因后,咯血及呼吸衰竭症状均得以改善。


作者简介



图片

刘红梅


河南省人民医院呼吸与危重症医学科呼吸ICU主任医师

2014—2015年多伦多总医院访问学者

研究方向为呼吸重症、重症康复、呼吸衰竭、重症感染等的诊治以及肺移植术后管理、机械通气技术等相关技术

参与并完成河南省卫生厅、科技厅课题8项及国内多中心临床研究多项

发表国家级核心期刊论文30余篇,获河南省科技成果奖5项

2018年荣获河南省康复医学会“年度优秀医师”奖

2020年河南省新冠肺炎专家组成员,荣获“抗疫先锋”称

全部评论 0
Copyright©2020-2026 北京医麦斯科技有限公司 版权所有 京ICP备2020034400号-1 京公网安备11010502043983号