登录方式

方式一:
PC端网页:www.rccrc.cn
输入账号密码登录,可将此网址收藏并保存密码方便下次登录

方式二:
手机端网页:www.rccrc.cn
输入账号密码登录,可将此网址添加至手机桌面并保存密码方便下次登录

方式三:
【重症肺言】微信公众号
输入账号密码登录

注:账号具有唯一性,即同一个账号不能在两个地方同时登录。

登录
方式

为重症救治赋能

为患者康复加速

当前位置:首页 脏器支持 ECMO

VAV、VVA等混合模式的应用(指征、耗材等)

李绪言 首都医科大学附属北京朝阳医院呼吸与危重症医学科 发布于2024-06-18 浏览 5402 收藏

作者:李绪言

单位:首都医科大学附属北京朝阳医院呼吸与危重症医学科


图片
一、什么是VAV-ECMO和VVA-ECMO?


体外膜肺氧合(ECMO)最经典的两种模式是VV和VA模式,但在一些情况下,需要切换为VAV或VVA模式。VV-ECMO的引血导管位于股静脉,回血导管位于颈内静脉。也有文献报道从颈内静脉引血,从股静脉回血。VA-ECMO的引血导管则位于股静脉,回血导管位于股动脉。

VAV-ECMO的引血导管仍在股静脉处,经过人工泵充分氧合后,一部分血回输到颈内静脉,进行呼吸支持;另一部分血回输到股动脉,进行循环支持。VAV-ECMO较常规VV-ECMO和VA-ECMO多了1个Y型管、1个流量传感器和1个Hoffman管钳。Y型管主要作用是连接增加的管路,用于分流;流量传感器主要用于监测分支血流量;Hoffman管钳主要用来限制静脉端的管径,增加一定的阻力,达到限制流量的目的。

VVA-ECMO是利用引血导管汇集颈内静脉和股静脉的血液, 充分氧合后通过回血导管输入股动脉, 以提供有效的氧合和血流动力学支持。


图片
二、VAV-ECMO的启动时机

1. VV-ECMO辅助中血流动力学异常(VV转VAV)
VV-ECMO转为VAV-ECMO我们通常参考体外生命支持组织(ELSO)指南中的指标两项指标,即血流动力学指标和脏器灌注指标。
(1)血流动力学指标:收缩压<90 mmHg或平均动脉压<65 mmHg超过30 min;应用大剂量血管活性药物;心功能指数(CI)<2 L;肺毛细血管楔压(PCWP)>18 mmHg;应用主动脉内球囊反搏(IABP)后血流动力学仍不稳定。
(2)脏器灌注指标: 乳酸水平升高>5 mmol/L; 代谢性酸中毒; 混合静脉血氧饱和度<55%; 丙氨酸转氨酶(ALT)/天冬氨酸转氨酶(AST)升高>1000; 肌酐水平超过基线2倍; 末梢苍白, 湿冷; 末梢再灌注时间延长; 精神状态改变; 少尿或无尿; 肺水肿; 快速心律失常。
文献报道,对于急危重呼吸衰竭(如ARDS)患者,初始建立VV-ECMO最常见,但有部分患者内环境紊乱或处于低氧状态,导致血流动力学异常。此类患者首先需要评估其心脏功能(包括左心和右心功能)。建立VV-ECMO后监测4~6小时,观察血管活性药物的疗效和循环系统情况,如果血流动力学趋于平稳,可继续使用VV-ECMO支持,如果血流动力学不稳定或灌注不佳,再切换为VAV-ECMO。
VV-ECMO转VAV-ECMO病例:

患者53岁男性,因“喘憋2天、加重1天”于2021年2月11日入院。

病史:入院2天前醉酒后意识障碍,后恢复意识后出现高热(体温39.2℃),急诊期间出现呼吸困难进行性加重,因氧合不能维持予气管插管,后收住RICU。

既往史:乙型肝炎10年,高血压5年。

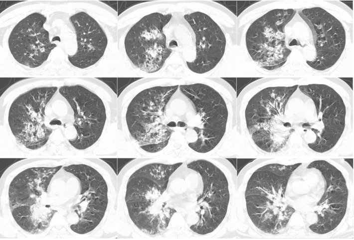
体格检查:T 39℃,P 145次/分,R 28次/分,BP 73/47 mmHg(去甲肾上腺素18 μg/min);镇静状态,四肢末梢花斑;双肺呼吸音粗,可闻及湿啰音,右肺呼吸音减低;腹软,肝脾肋下未及,移动性浊音阴性,双下肢无水肿。2月11日胸部CT见图1。

图片

图1  病例1入院胸部CT

建立ECMO前,患者血流动力学不稳定,氧合较差,P/F 55 mmHg(P-A/C:Pi 10 cmH2O,PEEP 14 cmH2O,FiO2 1.0),感染指标异常升高。呼吸力学:Crs 35 ml/cmH2O,R 16 cmH2O/(L·S)。建立ECMO后完善病原学检查,并予抗感染治疗(表1)
表1  患者相关指标变化情况及抗感染治疗情况
图片
患者血流动力学仍然不理想,血管活性药物加量,乳酸水平逐渐升高(表2)。可见VV-ECMO并未解决患者血流动力学不稳定的问题。所以考虑切换为VAV-ECMO(左颈内静脉、右股静脉、左股动脉——侧支灌注导管),切换后患者血流动力学趋于平稳(表3)。患者最终成功救治。
表2  VV-ECMO支持下患者血流动力学及其他指标变化情况
图片
表3  转换为VAV-ECMO后患者血流动力学及其他指标变化情况
图片


2. VA-ECMO辅助中“南北综合征”(VA转VAV)


VA-ECMO的患者一旦出现“南北综合征”,就要考虑转为VAV-ECMO辅助。如果VA-ECMO支持患者肺损伤依然严重,肺功能差,心脏排出的低氧顺行血流与ECMO提供的持续高氧逆行血流(经股动脉逆行通过主动脉)在主动脉相撞,导致主动脉(分水岭区域)出现动态混合区。临床表现为发绀的上半身与灌注良好的下半身形成对比,即为“南北综合征”。这种情况我们更关注患者上半身的缺氧,需要监测患者右侧桡动脉的血氧饱和度。如果右侧桡动脉血氧饱和度>88%,可暂不考虑VAV-ECMO。一旦患者右侧桡动脉血氧饱和度<88%,则要考虑切换为VAV-ECMO。
VA-ECMO转VAV-ECMO病例:

患者60岁女性,因“咳嗽、咳痰20余年,喘息10余年,加重2天”于2016年2月25日入院。

病史:支气管扩张症20余年,受凉后咳嗽、咳痰及喘息症状反复发作;14年前和12年前两次气管插管有创机械通气;长期家庭无创正压通气;入院2天前受凉后出现高热,体温39.6℃,呼吸困难加重。

既往史:高血压10年。

入院时血气分析(吸氧2 L/min):pH 7.32,PaCO2 73 mmHg,PaO2 61 mmHg,HCO3- 30.9 mmol/L,BE 11.5 mmol/L。

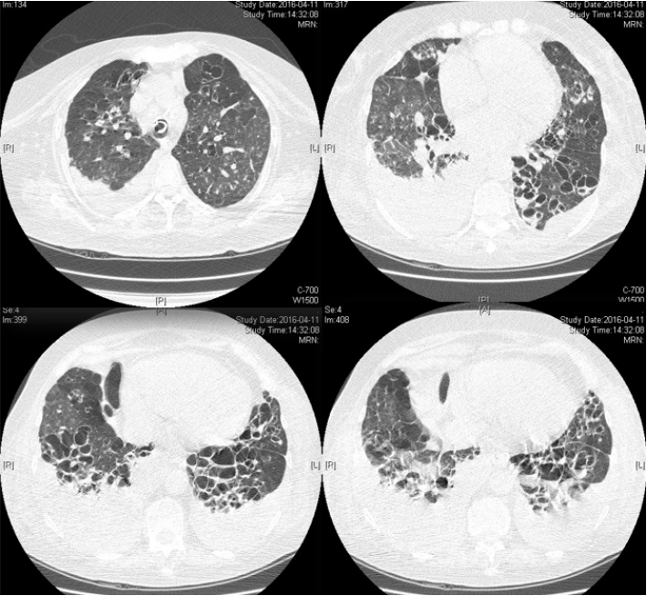
入院当天因意识障碍,气管插管后转入RICU。胸部CT见图2。

图片

图2  病例2入院后胸部CT

先后多次调整呼吸机参数及模式(V-A/C模式,Vt由350 ml上调至550 ml;P-A/C模式,压力由24 cmH2O上调至28 cmH2O),PaCO2波动于100~130 mmHg,PaO2波动于60~80 mmHg;拟行肺移植。等待肺移植过程中,患者逐渐出现少尿,尿量最少至475 ml/24h,NT-proBNP最高升至24332 pg/ml,心脏彩超示右心明显增大,肺动脉收缩压估测60 mmHg,予利尿、扩血管、改善心功能等治疗无明显改善,考虑右心功能不全加重。

建立VA-ECMO,患者血氧饱和度仅为75%。胸外科医师考虑于VA-ECMO辅助下行肺移植术的安全性及可行性小,因此一直未实施移植手术。VA-ECMO支持18天,患者心功能改善,周身浮肿消退。将VA-ECMO更换为VAV-ECMO,过渡肺移植。术后1天撤离VV端,转为VA-ECMO辅助。术后4天撤离ECMO。
VAV-ECMO目前临床应用仍然较少,相关研究也多为病例系列报道。2023年发表的一项系统综述和荟萃分析仅纳入了VAV-ECMO使用相关研究5项共计77例患者,其中VA-ECMO转VAV-ECMO患者占55%(42/77),VV-ECMO转VAV-ECMO患者占36%(28/77),仅9%(7/77)的患者直接使用VAV-ECMO。这些患者的平均住院时间为42.3天,ICU病死率为46%,ECMO成功撤离率为33%。美国马里兰大学医院2022年发表了一项单中心VAV-ECMO救治经验总结,研究纳入2016年6月至2019年12月14例接受VAV-ECMO治疗的患者,其中79%成功撤离ECMO,存活率达到64%。但患者初始多建立VA-ECMO,后续切换为VAV-ECMO。另外一项美国俄克拉荷马大学医院单中心VAV-ECMO救治经验总结纳入2016年11月至2019年11月23例接受混合VAV-ECMO治疗的患者,最终有39.1%(9/23)的患者撤离存活。
2023年我中心研究团队发表VAV-ECMO在危重症呼吸衰竭合并难治性休克患者中的应用研究,纳入2016年2月至2022年2月共15例患者,中位年龄53岁,其中12例患者由VV-ECMO改为VAV-ECMO,主要原因为心源性休克58.3%(7/12)和脓毒性休克33.3%(4/12);2例患者因肺移植手术直接建立VAV-ECMO,1例患者因肺炎并发脓毒性休克初始为VA-ECMO,后因氧合难以维持更换为VAV-ECMO。VV-ECMO或VA-ECMO切换为VAV-ECMO的中位时间为3天,VAV-ECMO中位支持时间为5天;总ICU病死率为53.3%,合并脓毒性和心源性休克患者的病死率分别为100%(4/4)和42.8%(3/7)。
图片
三、VVA-ECMO的启动时机

VVA-ECMO启动时机:①VA-ECMO时静脉引流导管直径较小,或因高流量发生溶血时,可切换VVA-ECMO;②VA-ECMO时,左心室膨胀。通过增加一个静脉引血导管,减少右心回流,进而降低左心室压力。③在心内分流和肺动脉高压情况下,VVA-ECMO可以增强右心卸载,帮助逆转分流和减少持续性低氧血症。
2022年发表的文章中描述了一例55岁男性患者,因ARDS、脓毒症心肌病、心源性休克予VA-ECMO辅助,出现南北综合征伴右心功能不全。VA-ECMO切换为VAV-ECMO后,循环恶化,这可能是由于通过回血导管分流后,使得右心室负荷增加。之后更换为VVA-ECMO,情况得以改善。更换为VVA-ECMO可使右心室充分减压,改善了右心室功能。从病理生理角度分析,如果VAV-ECMO临床效果不佳,转换为VVA-ECMO进行充分的右心卸载,减少右心负荷,是否会帮助更多患者,这是值得我们思考的问题。


无论VAV-ECMO还是VVA-ECMO都是多增加了一个置管,并且在这一过程中,由于阻力发生变化,流量也在逐渐增加。混合模式ECMO的应用也会出现一些并发症。在不同ECMO模式切换过程中,感染是最常见的并发症。因此在进行模式切换时,一定要严格遵循无菌操作原则。其次,消化道出血、深静脉血栓、导管局部感染、肝素诱导的血小板减少症(HIT)等并发症也时有发生。


图片
四、注意事项



VAV-ECMO和VVA-ECMO主要的耗材是Y型管、流量监测器和Hoffman管钳。VAV-ECMO是对充分氧合的血液进行分流,VVA-ECMO是对静脉血的汇集,因此,Y型管是VAV-ECMO和VVA-ECMO的必备耗材。在VAV-ECMO支持下,需要流量传感器监测侧支的流量。此外,对于VV回血端,需要利用Hoffman管钳进行限流。VAV-ECMO和VVA-ECMO的启动时机,需要结合患者的病理生理学特点选择合适的模式。在操作过程中一定要注意细节的管理,避免院感及导管相关感染的发生。



   参考文献    

上下滑动阅览

[1] Mihu MR, Mageka D, Swant LV, et al. Veno-arteriovenous extracorporeal membrane oxygenation-A single center experience[J]. Artif Organs, 2021, 45(12):1554-1561.‘

[2] Saxena A, Curran J, Ahmad D, et al. Utilization and outcomes of V-AV ECMO: A systematic review and meta-analysis[J]. Artif Organs, 2023, 47(10):1559-1566.

[3] Kukielski C, Jarrett Davis C, Saberi A, et al. Veno-arteriovenous (V-AV) ECMO configuration: A single-center experience[J]. Card Surg, 2022, 37(5):1254-1261.

[4] 李影, 李绪言, 唐晓, 等. 静脉-动脉-静脉体外膜氧合在危重症呼吸衰竭合并难治性休克患者中的应用[J]. 中华结核和呼吸杂志, 2023, 46(6):565-571.

[5] Wilson J, Fisher R, Caetano F, et al. Managing Harlequin Syndrome in VA-ECMO-do not forget the right ventricle[J]. Perfusion, 2022, 37(5):526-529. 


    作者介绍    

图片

李绪言
首都医科大学附属北京朝阳医院呼吸与危重症医学科 主任医师,北京呼吸疾病研究所办公室副主任,中华医学会内科学分会青年委员,中国医师协会呼吸医师分会危重症工作委员会青年委员,中国老年医学学会呼吸病学分会呼吸治疗与肺康复学术工作委员会委员,中国心胸血管麻醉学会体外生命支持分会委员,中国医师协会体外生命支持专业委员会青年委员会委员,北京医学会呼吸病学分会呼吸治疗学组副组长、内科学分会委员。主要研究方向:呼吸危重症、呼吸支持技术。


点我观看视频.jpg

全部评论 0
Copyright©2020-2026 北京医麦斯科技有限公司 版权所有 京ICP备2020034400号-1 京公网安备11010502043983号