登录方式

方式一:
PC端网页:www.rccrc.cn
输入账号密码登录,可将此网址收藏并保存密码方便下次登录

方式二:
手机端网页:www.rccrc.cn
输入账号密码登录,可将此网址添加至手机桌面并保存密码方便下次登录

方式三:
【重症肺言】微信公众号
输入账号密码登录

注:账号具有唯一性,即同一个账号不能在两个地方同时登录。

登录
方式

为重症救治赋能

为患者康复加速

当前位置:首页 脏器支持 ECMO

ECMO患者镇静镇痛策略

赵志刚 河南省人民医院呼吸与危重症医学科 发布于2024-06-24 浏览 4017 收藏

作者:赵志刚


单位:河南省人民医院呼吸与危重症医学科
图片
一、ECMO镇静镇痛的必要性

体外膜肺氧合(ECMO)是一种机械心肺支持形式,临床应用愈发普遍,主要为呼吸衰竭和心力衰竭患者提供体外气体交换和循环支持,根据病情需要可以采取静脉-静脉ECMO(VV-ECMO)和静脉-动脉ECMO(VA-ECMO)支持,在改善患者预后方面发挥了重要作用。然而,ECMO的实施是一个非常复杂的过程,一台ECMO无论成功与否,都有很多问题值得我们去思考,诸如:延迟上机势必会导致不良预后,何时才是最佳的上机时机,在ECMO管理过程中,镇静镇痛药物的选择、抗凝与出血的矛盾、原发病的识别与诊治、脏器功能的恢复、置管处的感染预防等一系列问题,以及撤机适应证和撤机后的管理、患者的康复、管路的再感染等问题,这些都值得我们深思和讨论。


重症患者对氧气的需求较高,但其生理功能无法满足这一需求,氧供与氧耗严重不匹配,此类患者往往存在血流动力学紊乱,心肺状态不稳定。此外,ECMO管路留置、气管插管等各种有创操作势必为患者带来疼痛,而且外界因素刺激也会导致患者出现焦虑、躁动、谵妄、睡眠障碍等问题,因此,ECMO患者镇痛镇静非常必要。


图片
二、病例实战

病情介绍
患者男性,56岁,医生(中医方向),以"发热、胸闷17天, 加重2天"为代主诉急诊入院。
现病史:17天前无明显诱因出现发热,未监测体温,活动后胸闷加重,伴畏寒、咳嗽、咳痰,以白色痰为主,偶有黄色痰,量中等、不易咳出,无咯血、胸痛,自服药物治疗(具体用药不详),仍间断发热,胸闷、咳嗽进行性加重,未正规治疗,2天前上述症状明显加重。2023年12月25日于当地县中医院就诊,测体温39.3℃,给予吸氧、抗炎、退热治疗,体温恢复正常,呼吸困难加重,指脉氧饱和度50%63%(储氧面罩吸氧15 L/min),伴血压下降,转ICU予紧急气管插管呼吸机辅助呼吸(FiO2100%),血氧饱和度波动于70%左右,去甲肾上腺素[0.58 μg/(kg·min)8 mg/50 ml以速度13 ml/h泵入]+多巴胺[8.89 μg/(kg·min)200 mg/50 ml以速度8 ml/h泵入),为求进一步诊治,家属同意并签字,我院ECMO团队在当地行ECMO支持后转入我科。患者自发病以来,精神、饮食、睡眠差,大小便正常,体重无变化。
既往史:高血压病2年,血压最高160/90 mmHg,口服硝苯地平缓释片20 mg qd,血压控制可,余无特殊。
查体
体温36.3℃,脉搏99次/min,呼吸20次/min,血压51/32 mmHg。
镇静镇痛状态;全身皮肤黏膜无黄染、皮疹、皮下出血等;经口气管插管接呼吸机辅助呼吸(PCV模式,PC 17 cmH2O,PEEP 10 cmH2O,FiO2 100%),双肺呼吸音粗,左下肺呼吸音减低,双肺听诊可闻及湿啰音;右侧颈内及右侧股静脉留置ECMO导管(血流量4.4 L/min,转速2550转/min,气流量4 L/min,氧浓度100%);心率99次/min,心前区无隆起,心尖搏动正常,各瓣膜听诊区未闻及明显杂音;腹部平坦,无明显包块,肝脏未触及,无移动性浊音,肠鸣音减弱,约1次/min。双下肢无水肿。SOFA评分12分,GCS评分 E1+VT+M1。
辅助检查
血气分析:pH 7.156,PaCO2 31 mmHg,PaO2 77.8 mmHg,Na+ 139 mmol/L,K+ 3.8 mmol/L,Ca2+ 0.98 mmol/L,HCO3- 12 mmol/L,BE -17 mmol/L,Lac 16 mmol/L。
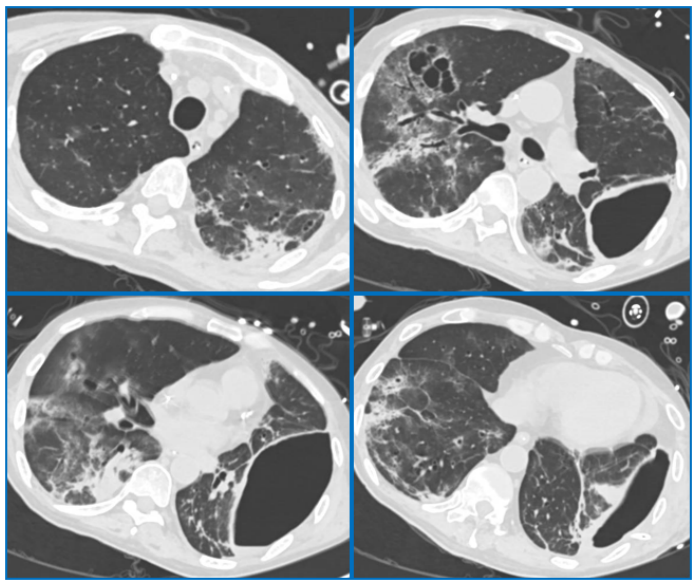
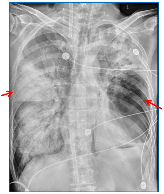
影像学:2023年12月27日床旁胸片示:右肺和左肺上叶透亮度明显下降,大片实变和渗出;左肺下叶有空泡影(图1)。ECMO上机第3天复查胸部CT示双肺多发渗出和实变,左肺下叶有脓腔形成(图2)
图片
图1  患者入院当天胸部X线片
图片
图2  患者ECMO上机第3天胸部CT


感染指标:WBC 4.9×109/L,NEU 4.37×109/L,NEU% 89.1%,LYM 0.39×109/L,LYM% 8.0%,Hb 102 g/L,PLT 384×109/L,CRP 117.44 mg/L,PCT 54.82 ng/ml。

肝功能:谷丙转氨酶63.2 U/L,谷草转氨酶59.1 U/L,总胆红素16.45 μmol/L,直接胆红素12.6 μmol/L。

心肌酶:肌钙蛋白I 158.3 ng/ml,肌红蛋白71.1 ng/ml,肌酸激酶40 U/L,肌酸激酶同工酶1 U/L,Pro-BNP 1360 pg/ml。

凝血功能:凝血酶原时间18.6 s,PT活动度45.4%,国际标准化比值1.65,活化部分凝血活酶时间44 s,凝血酶时间15.8 s,纤维蛋白原5.44 g/L,D-二聚体测定4.21 μg/ml,纤维蛋白原降解产物 17.39 μg/ml。

淋巴细胞:淋巴细胞 674/μl,白介素12P70 5.15 pg/ml,CD4+T淋巴细胞344/μl,CD8+T淋巴细胞217/μl。

阴性结果:肾功能,甲/乙流抗原,ANA+ENA,ANCA,G试验、GM试验,肿瘤标志物,血培养。

心脏超声:射血分数41%,每搏量62 ml,左室壁运动减低,左室收缩功能减低。


主要诊断


重症肺炎,急性呼吸窘迫综合征(ARDS),脓毒症,脓毒性休克,脓毒性心肌病,肝功能异常,高血压。


镇痛镇静的评估


在实施镇静镇痛之前首先需要充分评估,尽量做到“无监测,勿镇静”。

镇静镇痛的评估方法分为主观和客观方法。客观方法主要为监测脑电双频指数(BIS)。这种方法在神经外科和麻醉科使用比较普遍。对于呼吸危重症患者,临床更多采用简单实用的评估量表,包括:①数字疼痛评分(NRS):分值范围0~10,0代表不痛,10代表疼痛难忍,由患者选择数字描述疼痛程度;②行为疼痛量表(BPS):通过患者的面部表情、上肢运动、机械通气顺应性判断疼痛程度;③重症监护疼痛观察量表(CPOT):通过患者的面部表情、动作、肌张力、发声/机械通气顺应性判断疼痛程度;④躁动镇静评分:包括Richmond躁动-镇静评分(RASS)和镇静-躁动评分(SAS)。


ECMO不同阶段镇痛镇静需求


  • 上机阶段,要充分镇静、镇痛,便于操作。
  • ECMO初期,要充分镇静、镇痛,维持呼吸和血流动力学稳定。
  • ECMO维持阶段,要适度镇静、镇痛,保留自主呼吸,为撤机做准备。
  • 撤机之前,要减少甚至停用镇痛镇静药物,应减轻药物对机体的影响。


镇痛镇静药物在ECMO中的应用


早期提出的eCASH理论对于ECMO患者依然适用。该理论强调以患者为核心,强调早期、舒适、简化并改进以患者为中心的护理;强调镇痛是起点,阿片类药物是镇痛的核心;强调减少不必要的过度镇静。

在ECMO支持过程中,我们也需要考虑影响药物浓度的因素,包括:①ECMO管路,例如膜式氧合器和聚氯乙烯管(PVC)管;②药物理化特性,包括亲脂性,蛋白结合力,分子大小,电离程度;③患者自身因素,例如年龄、血流动力学、肝肾功能等。

我们用logP【某物质在正辛醇(油)和水中的分配系数比值的对数值】来评估药物的亲脂性,logP越大代表药物亲脂性越高。文献表明,高亲脂性(logP>2)和高蛋白结合(>70%)的药物吸附在管路中,降低有效循环浓度,然而可以从管路中释放,在停止给药后继续发挥作用,此类药物需要调整给药剂量。低亲脂性(logP<1)和低蛋白结合(<30%)的药物不易受管路影响。介于二者之间的药物亲脂性(1<logP<2)低蛋白结合(30%~70%)需要进一步研究管路对药物剂量的影响。

研究显示,药物亲脂性由高到低依次为芬太尼、咪达唑仑、丙泊酚、劳拉西泮、右美托咪定、氢吗啡酮、吗啡。蛋白结合率由高到低依次为丙泊酚、咪达唑仑、右美托咪定、劳拉西泮、芬太尼、吗啡、氯胺酮、氢吗啡酮。按照logP<1、蛋白结合率<30%来看,氢吗啡酮无疑是镇痛药中的最佳选择。有研究比较了氢吗啡酮与芬太尼在ECMO患者中的镇痛效果,结果显示氢吗啡酮组7天内发生谵妄的天数短于芬太尼组,同时氢吗啡酮组的药物剂量也低于芬太尼组。另有研究评估肥胖患者接受VV-ECMO治疗时对镇静镇痛药物需求的特点。结果显示:7天内有31例患者的镇痛药物由芬太尼更换为氢吗啡酮,其中肥胖组有20例患者,非肥胖组有11例患者。研究认为,如果芬太尼剂量达到400 μg/h仍未达到镇痛效果,可考虑更换为氢吗啡酮。

氢吗啡酮在欧美国家也是首选的镇痛药物。但在我们国家目前还是芬太尼、瑞芬太尼应用比较广泛。在使用阿片类镇痛药物的同时, 也要警惕阿片类药物带来的不良反应, 例如免疫抑制、呼吸抑制、痛觉过敏、慢性疼痛综合征、成瘾依赖、抑制胃肠道蠕动等, 如果大剂量阿片类药物仍然不能满足患者的镇痛需求, 建议联合非阿片类药物, 如非甾体抗炎药、加巴喷丁、氯胺酮等。

Hohlfelder等研究探讨了丙泊酚在成人ECMO患者中的安全性。该研究纳入了43例患者,其中16例选用了丙泊酚。结果发现,丙泊酚组膜肺使用时间更长。因此认为丙泊酚对ECMO患者是安全的。这一结论可能与我们预想的不同。由于丙泊酚具有很强的亲脂性,在用药过程中,尤其是在后期,要减少其使用剂量,以预防丙泊酚输注综合征。Bakdach等研究分析了丙泊酚在ECMO期间抗凝和非抗凝患者中的安全性。研究纳入63例患者,29例(46%)患者接受丙泊酚作为镇静方案。结果表明丙泊酚与膜肺故障无关,即使在未抗凝情况下,丙泊酚也不会增加膜肺故障风险,膜肺故障唯一的预测因子为ECMO支持期间肝素诱导的血小板减少。

Patel等研究评估了VV-ECMO和VA-ECMO患者在初始ECMO插管期后每日镇痛和镇静药物剂量的需求。纳入26例患者,13例VV-ECMO,13例VA-ECMO。结果显示:VV组比VA组需要更高剂量的芬太尼,两组右美托咪定和丙泊酚使用剂量无显著差异。ECMO支持下芬太尼、右美托咪定和丙泊酚的中位日剂量在整个时间内并未显著增加,RASS评分-1~0的轻度镇静策略可行。也有文献列出了常用阿片类、非苯二氮卓类和苯二氮卓类等药物的蛋白结合率和亲脂性的对比,以及在ECMO支持期间是否需要增减药物,同时也强调了ECMO期间的注意事项——警惕这些药物的不良反应。


本例患者的镇痛镇静策略


上机第1天:瑞芬太尼+咪达唑仑±右美托咪定,CPOT评分0~1分,RASS评分-5~-3分。此阶段镇痛镇静的目的是为了辅助完善气管镜及左侧胸腔穿刺,明确病原学。后经证实患者前期合并病毒感染,从灌洗液和左肺下叶引流的脓液中培养出口腔来源的链球菌。

上机第2~3天, 根据镇静镇痛评分加用丙泊酚; CPOT评分0~1分, RASS评分-5~-3分。此时患者采取俯卧位或高侧卧位, 加强引流。

上机第3~6天,必要时加入肌松剂。CPOT评分0~1分,RASS评分-2~0分。气管切开。患者病情逐渐稳定,逐渐降低镇静深度。

经过引流、抗感染、营养支持、康复锻炼等治疗和干预后,患者病情明显好转。

上机第7~8天, 减少咪达唑仑剂量, 丙泊酚过渡。CPOT评分0~1分, RASS评分-2~0分。

ECMO上机8天后成功撤离。使用右美托咪定减少患者谵妄和情绪波动, RASS评分0分。


疗效评价


经过治疗,患者乳酸水平逐渐下降,撤机后乳酸水平趋于正常(表1)。炎症指标如WBC、CRP、PCT下降并恢复正常(图3)

表1  入院后患者血气分析指标变化情况


图片
图片


图3  患者炎症指标变化情况


ECMO撤机第2天复查胸部CT可见双肺多发实变、渗出较前明显吸收,脓腔较前明显缩小(图4)
图片
图4  ECMO撤机第2天患者胸部CT
鼓励患者积极进行康复训练,首先进行床上肌力锻炼,然后带着语音阀进行上下楼梯训练,增加肌力。患者最终顺利出院。
图片
三、ECMO患者镇静镇痛策略


结合相关文献,ECMO患者的镇静镇痛策略可分为以下步骤:


步骤一、镇静目标。选择适合临床情况的最浅镇静目标,浅镇静适用于外周插管的VA-ECMO患者。某些VV-ECMO或中央插管的VA-ECMO患者可能需要更深的镇静。
步骤二、镇痛。一线静脉用药为氢吗啡酮;二线静脉用药为芬太尼,可添加氯胺酮以减少阿片类药物的需求和痛觉过敏;一线肠内用药为羟考酮;二线肠内用药为氢吗啡酮,可在患有神经性疼痛或心脏手术后的患者中添加加巴喷丁。
步骤三、镇静。一线用药:右美托咪定用于轻度镇静,丙泊酚用于深度镇静。二线用药:根据需要间歇性使用苯二氨卓类药物(劳拉西泮静脉注射);计划性使用苯二氨卓类药物(氢硝西泮肠内给药,如果肠内吸收不足,则肌注劳拉西泮)。三线用药:持续输注苯二氨卓类药物(咪达唑仑静脉注射,如果需要高剂量咪达唑仑,则改用劳拉西泮静脉注射),如果需要可以添加氯胺酮进行额外的镇静。
步骤四、谵妄。一线用药:右美托咪定、喹硫平或氟哌啶醇用于受谵妄症状困扰的患者。
步骤五、重新评估。每天重新评估分析镇静的目标和状态;如果临床允许且未接受神经肌肉阻滞剂,则进行每日镇静中断和护士主导镇静;如果达到镇静目标或更深且未接受神经肌肉阻滞剂,则应尝试每天稍微停止使用镇静剂。


步骤六、肌松。如果深度镇静(例如,Richmond躁动镇静等级4或5)且伴有严重缺氧,可考虑开始使用神经肌肉阻滞剂而不是进一步增加镇静剂;在有恢复证据停止使用神经肌肉阻滞剂之前,不要减少镇静剂。


图片
四、小结



ECMO上机过程中药物影响因素很多,包括患者自身因素、药物因素和ECMO设备因素。不同文献的结果差异较大,临床实践与理论之间仍然存在一定的差距。迄今为止,还没有公认的ECMO镇静镇痛临床指南,目前大部分研究为单中心且样本量小,期望今后有更多多中心、大样本的临床研究来提供强有力的循证医学证据。另外,在药物选择过程中,药物可及性差异较大。因此,对于ECMO患者,我们更倾向于以目标为导向的个体化镇静镇痛策略。



   参考文献    

上下滑动阅览

[1] Vincent JL, Shehabi Y, Walsh TS, et al. Comfort and patient‑centred care without excessive sedation: the eCASH concept[J]. Intensive Care Med, 2016, 42:962-971.
[2] Patel JS, Kooda K, Igneri LA. A Narrative Review of the Impact of Extracorporeal Membrane Oxygenation on the Pharmacokinetics and Pharmacodynamics of Critical Care Therapies[J]. Ann Pharmacother, 2023, 57(6):706-726.
[3] ADzierba AL, Abrams D, Muir J, et al. Ventilatory and Pharmacotherapeutic Strategies for Management of Adult Patients on Extracorporeal Life Support[J]. Pharmacotherapy, 2019, 39(3):355-368.
[4] Landolf KM, Rivosecchi RM, Goméz H, et al. Comparison of Hydromorphone versus Fentanyl-based Sedation in Extracorporeal Membrane Oxygenation: A Propensity-Matched Analysis[J]. Pharmacotherapy, 2020, 40(5):389-397. 
[5] Verkerk BS, Dzierba AL, Muir J, et al. Opioid and Benzodiazepine Requirementsin Obese Adult Patients ReceivingExtracorporeal Membrane Oxygenation[J]. Ann Pharmacother, 2020, 54(2):144-150. 
[6] Hohlfelder B, Szumita PM, Lagambina S, et al. Safety of Propofol for Oxygenator Exchange in Extracorporeal Membrane Oxygenation[J]. ASAIO J, 2017, 63(2):179-184. 
[7] Bakdach D, Akkari A, Gazwi K, et al. Propofol Safety in Anticoagulated and Nonanticoagulated Patients During Extracorporeal Membrane Oxygenation[J]. ASAIO J, 2021, 67(2):201-207. 
[8] Patel M, Altshuler D, Lewis TC, et al. Sedation Requirements in Patients on Venovenous or Venoarterial Extracorporeal Membrane Oxygenation[J]. Ann Pharmacother. 2020 Feb;54(2):122-130.
[9] Crow J, Lindsley J, Cho SM, et al. Analgosedation in Critically III Adults Receiving Extracorporeal Membrance Oxygenation Support[J]. ASAIO J, 2022, 68(12):1419-1427.


    作者介绍    

图片

赵志刚

河南省人民医院呼吸与危重症医学科,主治医师,硕士研究生毕业于解放军总医院,主要从事重症感染、呼吸衰竭、脓毒症等危重症的诊断和治疗。


点我观看视频.jpg

全部评论 0
Copyright©2020-2026 北京医麦斯科技有限公司 版权所有 京ICP备2020034400号-1 京公网安备11010502043983号