登录方式
方式一:
PC端网页:www.rccrc.cn
输入账号密码登录,可将此网址收藏并保存密码方便下次登录
方式二:
手机端网页:www.rccrc.cn
输入账号密码登录,可将此网址添加至手机桌面并保存密码方便下次登录
方式三:
【重症肺言】微信公众号
输入账号密码登录
注:账号具有唯一性,即同一个账号不能在两个地方同时登录。
汇报者:耿爽
单位:武汉市中心医院呼吸与危重症医学科
本例患者为重症社区获得性肺炎伴自身免疫性肝病,因病情危重且复杂,先后两次进入RICU。患者曾一度持续高热,常规降温治疗无效,白细胞、淋巴细胞、血红蛋白偏低,究竟是感染性疾病还是其他病因所致?此病例还有哪些疑点尚未得到证实?
病历简介
一般情况
患者,女,38岁,护士。因“头痛畏寒伴全身疼痛1周,间断发热5 d”于2021年1月20日入RICU。
现病史
患者于2021年1月14日开始无明显诱因出现头痛不适,自诉未感发热,未测量体温。1月15日出现畏寒、发热等不适,测量体温38℃,在家自行口服连花清瘟胶囊后体温降至正常。4天前感全身酸痛不适,体温最高达39.8℃,无胸闷、喘息、呼吸困难,无咳嗽、咳痰,无头晕、恶心、呕吐不适。于2021年1月18日至我院发热门诊就诊,查胸部CT及核酸抗体均未见明显异常,血常规示:NEU% 90.11%,LYM 0.40×109/L。患者院外行左氧氟沙星输液治疗,效果欠佳。近2天仍间断发热,最高体温达42℃,感全身酸痛、畏寒、头痛、大汗不适,偶有咳嗽,无胸闷、心慌,无喘息、呼吸困难,无头晕、恶心、呕吐,无腹痛、腹泻等不适。自行予以双氯芬酸钠治疗,体温波动在40℃左右,为求进一步诊治来我院就诊,急诊以“发热查因:肺部感染”收住我科。
既往史及其他
2018年胸膜炎病史,2018年9月至2019年12月,规律口服抗结核药。2019年自身免疫性肝病,长期口服甲泼尼龙,近期服药方案为甲泼尼龙4 mg qd。否认糖尿病、高血压病史。2010年剖宫产手术史,否认外伤、出血史,否认食物、药物过敏史,否认高危风险地区接触史,否认冷链工作接触史,否认活禽接触史及暴露史,否认吸烟、饮酒史。
体格检查
T 39.3℃,BP 81/41 mmHg,P 128次/min,R 23次/min,SpO2 98%(经鼻高流量,流速40 L/min,FiO2 36%)。神清,皮肤巩膜无黄染,浅表淋巴结未及明显肿大,双肺呼吸音稍粗,未及明显干/湿啰音,心率128次/min,规则,各瓣膜区未闻及杂音,腹软,肝脾肋下未及,无压痛、反跳痛,双肾区无叩痛。双下肢无水肿。
辅助检查(1月20日急诊科)
血常规:WBC 3.61×109/L,Hb 100 g/L,PLT 106×109/L,NEU% 94.61%,LYM 0.13×109/L。
血浆D-二聚体:3.59 μg/L。
心肌酶谱:α-羟丁酸脱氢酶247 U/L,天门冬氨酸氨基转移酶80.9 U/L,乳酸脱氢酶380 U/L。
电解质5项:钾3.45 mmol/L,钠134.3 mmol/L。
PCT 1.08 ng/ml。
血气分析:pH 7.50,PaO2 108 mmHg(鼻导管吸氧5 L/min),PaCO2 30 mmHg,BE 3.0 mmol/L,Lac 1.7 mmol/L。
其他:肝功能、凝血常规、肾功能、胰腺炎筛查、尿常规、新型冠状病毒核酸检测(快检)及抗体未见明显异常。
影像学
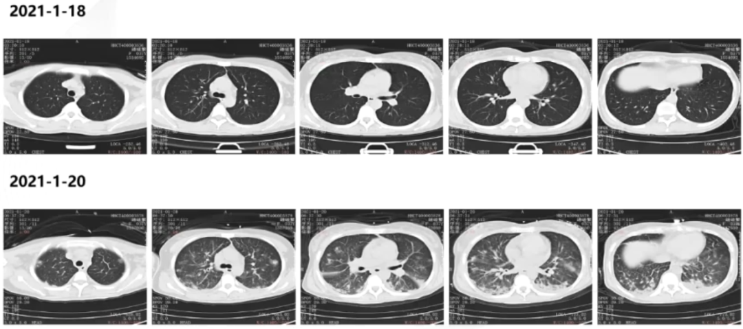
患者1月18日胸部CT基本正常,但1月20日胸部CT示两肺多发实变伴结节影(图1)。

图1 患者入RICU前后胸部CT对比
入院后初步诊断
社区获得性肺炎,重症;感染性休克;自身免疫性肝病。
第一阶段 1月20日至1月26日
实验室检查
患者入RICU前后化验检查结果如图2所示。

图2 患者入RICU前后化验检查结果
支气管镜和NGS
气管镜下可见双侧支气管腔内少许黄色稀薄样分泌物,下叶为甚。送检NGS回报金黄色葡萄球菌(序列数8)和表皮葡萄球菌(序列数13)。本院痰培养未发现致病菌,可能与当时患者BALF中病原菌序列较少有关。
免疫学及相关检查
患者体液免疫和细胞免疫功能相对较差(图3)。抗核抗体弱阳性,抗nRNP IgG抗体、抗Ro-52 IgG抗体均为阳性。ANCA阴性,类风湿全套阴性。

图3 患者淋巴细胞亚群情况
超声检查
腹部彩超提示脾大,肝脏质地不均;泌尿系统彩超提示正常;子宫附件彩超提示有子宫肌瘤的可能;心脏彩超提示三尖瓣轻度反流。
其他检查
G试验(-)。
尿常规、大便常规均正常。
BALF结核DNA(-),GM试验(-)。
T-SPOT:弱阳性,ESAT-6 8,CFP-10 13。
入RICU后治疗情况
1月20日,患者入院后给予去甲万古霉素+头孢哌酮舒巴坦+去甲肾上腺素。1月24日,检查发现去甲万古霉素血药浓度未达标,故改为盐酸万古霉素(图4)。1月26日患者体温正常,生命体征稳定,淋巴细胞较前升高,转至普通病区继续治疗。

图4 患者入院后治疗方案及体温变化情况
第二阶段 1月27日至2月6日
病情变化
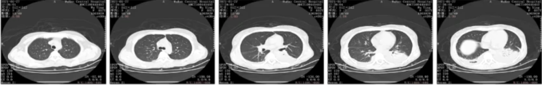
1月27日转至普通病房后,复查胸部CT:双肺实变影和结节影基本吸收,但左下肺出现明显实变和少量胸腔积液(图5)。

图5 复查胸部CT(2021-01-27)
CT检查完成回到普通病区后患者再次出现发热,给予退热药物后体温恢复正常,如此反复数次。1月28日,再次转入RICU。当日夜间最高体温超过41℃,给予退热药物,1月29日白天体温正常,但夜间再次出现发热(图6)。1月28日,患者WBC 2.82×109/L,LYM 0.34×109/L,Hb 96 g/L,PLT 236×109/L。CRP 0.2 mg/dl,PCT 0.06 ng/ml,IL-6 9.85 pg/ml(图7)。抗感染方案保留头孢哌酮舒巴坦+盐酸万古霉素。

图6 患者病情变化

图7 患者血常规和炎症指标变化情况
转入时查体体:T 38.4℃,BP 108/55 mmHg,P 120次/min,R 21次/min,SpO2 98%(鼻导管吸氧,流速2 L/min)。神清,皮肤巩膜无黄染,浅表淋巴结未及明显肿大,双肺呼吸音稍粗,未及明显干/湿啰音,心率120次/min,规则,各瓣膜区未闻及杂音,腹软,肝脾肋下未及,无压痛、反跳痛,双肾区无叩痛。双下肢无水肿。
至1月30日,患者持续发热,采取多种降温措施后效果均不理想,故给予患者CRRT,患者体温逐渐降至正常,后续未再出现发热情况。
1月30日检查可见患者炎症指标升高(图7),故调整治疗方案(图8),并进一步明确病原学,判断是否存在其他感染。

图8 患者治疗方案调整
调整治疗方案后,患者WBC、LYM、Hb呈下降趋势,炎症指标水平降低(图9)。

图9 患者血常规及炎症指标变化情况
完善检查
其他辅助检查:凝血常规及D-二聚体正常;女性肿瘤标志物全套正常;BNP 345 pg/ml,肝功能正常,ALB 28.9 g/L;ESR 42 mm/h。
支气管镜检查:镜下可见较前好转,管腔内有少量稀薄分泌物。送检血液和BALF NGS,结果回报均为阴性。
TORCH检查阴性;七项呼吸道病毒检测阴性;呼吸道四项病毒核酸检测阴性。结核分枝杆菌阴性。
血液科会诊及相关检查
行骨髓穿刺及其他检查。
患者血脂水平高(图10)。铁蛋白正常(181 ng/ml)。

图10 患者血常规及炎症指标变化情况
免疫球蛋白检查提示补体C1q轻度升高(图11)。

图11 患者血常规及炎症指标变化情况
外周血细胞形态:中性粒细胞增多,其他形态未见明显异常。
白细胞分类计数以中性粒细胞增高、淋巴细胞偏低。
淋巴细胞亚群分析可见B细胞和NK细胞比例偏低,CD细胞比例较前升高。
病理科行左侧颈部淋巴结针吸活检,提示反应性增生性淋巴结炎,其他无特殊。
全腹部CT提示脾大,左肾稍低密度灶,考虑可能是囊肿;腹壁皮下软组织水肿,腹膜后多发结节样高密度影,肿大淋巴结?双侧胸腔积液。
骨髓穿刺结果:粒系增生,可见噬血现象,异常淋巴细胞占2.5%。
NK细胞CD107a脱颗粒检测结果显示CD107a脱颗粒活化比例明显下降。
NK细胞活性检测提示NK细胞活性显著降低。
补充诊断
噬血细胞综合征。
治疗方案
给予甲泼尼龙针40 mg,静滴q12h。
调整抗感染方案:亚胺培南西司他丁钠1.0 g,静滴q12h;利奈唑胺0.6 g,静滴q12h;更昔洛韦0.25 g,静滴q12h;卡泊芬净50 mg,静滴qd。
进一步检查
送检骨髓组织学及嗜银染色检查:诊断意见为考虑淋巴瘤骨髓浸润可能性大。
流式免疫分型检测:考虑存在单克隆性异常成熟B淋巴细胞,不表达CD5/CD10,不似典型表型。
出院诊断
患者行CRRT后未再出现发热症状,由于患者血液系统情况较为复杂,家属希望转到其他医院血液科,以进一步确诊,故于2月6日出院。
出院诊断为:金黄色葡萄球菌感染性肺炎,感染性休克,噬血细胞综合征,淋巴瘤待排,自身免疫性肝病。
患者其他相关检查
外院检查
患者出院后转至华中科技大学同济医学院附属同济医院,PET/CT提示:双侧颈部、腹膜后增多淋巴结,个别稍大,代谢无明显增高;中央骨髓呈轻度代谢;右肺上叶微结节,代谢无增高;双侧胸腔积液,双肺膨胀不全;副脾;左肾囊肿,右附件区钙化影,盆腔积液;甲状腺双叶密度不均匀稍减低,代谢轻度增高。
再次行骨髓穿刺:粒系增生,淋巴细胞未见明显异常。
本院全外显子组基因突变检测
未发现原发性噬血细胞综合征的致病基因,但发现3个潜在的致病性相关突变:IL2RG、LRBA、VWF。
检测结果分析:
(1)检测到IL2RG基因突变(E171Q):目前研究表明,IL2RG基因编码多种白介素受体的共同γ链,参与调控淋巴细胞发育过程,该基因异常可导致重度联合免疫缺陷,呈X连锁隐性遗传,大多婴幼儿期发病,导致患儿夭折。临床表现为:①反复多发感染;②皮疹,红斑;③外周血T细胞缺乏、NK细胞数量减少及活性下降、体液及细胞免疫障碍;④淋巴细胞计数下降、低丙种球蛋白血症等。本例突变意义未明,不排除为良性突变。
(2)检测到LRBA基因突变(I1287V):目前研究表明,LRBA基因编码蛋白参与调控内涵体运输、免疫效应分子转运等。LRBA基因异常可导致相关免疫缺陷(常染色体隐性遗传),临床可表现为反复感染、炎症性肠病、自身免疫、EBV感染等。本例突变意义未明,不排除为良性突变。
(3)检测到VWF基因突变(D796N):目前研究表明,VWF基因编码血管性血友病因子,参与止血过程。VWF基因异常可能导致血管性血友病,多数呈常染色体显性遗传,少数为隐性遗传。本例突变意义未明。
嗜血细胞综合征
噬血细胞综合征又称噬血性淋巴组织细胞增多症(HLH),是一种免疫介导的危及生命的疾病。
是一类由原发或继发性免疫异常导致的过度炎症反应综合征,这种免疫条件异常主要shi由淋巴细胞、单核细胞和巨噬细胞系统异常激活、增殖,分泌大量炎性细胞因子而引起的一系列炎症反应,临床以持续发热、肝脾大、全血细胞减少以及骨髓、肝、脾、淋巴结组织发现噬血现象为主要特征。
原发性HLH:一种常染色体或性染色体隐性遗传病,目前已知的明确与HLH相关的基因有12种,包括家族性HLH、免疫缺陷综合征相关HLH和EBV驱动HLH。
继发性HLH:与各种潜在疾病有关,是由感染、肿瘤、风湿性疾病等多种病因启动免疫系统的活化机制所引起的一种反应性疾病,通常无家族史或已知的遗传基因缺陷,其中感染相关HLH是最常见的形式,包括病毒、细菌、真菌以及原虫感染等,可以表现为感染触发和(或)宿主免疫损害时的机会致病。无论健康人群还是免疫抑制患者的再激活,病毒感染是最常见的诱因。疱疹病毒,尤其是EBV感染是最主要的诱因。
个案报道
59岁女性患者,无基础疾病,因发热确诊为甲型流感,接受奥司他韦治疗,病情好转3 d后再发高热,血培养为MSSA。后胸部CT提示肺脓肿,三系降低,肾功能恶化,后确诊为快速进行性肾小球肾炎合并噬血细胞综合征。给予万古霉素、血液透析、糖皮质激素及综合治疗73 d后好转出院。机制:MSSA产生的中毒性休克综合征毒素-1(TSST-1)过度激化T淋巴细胞,导致细胞因子风暴,进而导致肾小球肾炎和HLH。
67岁男性患者,既往有冠心病、慢阻肺病史,因小细胞肺癌已接受6个月的化疗及放疗,因感染性休克和消化道出血入院。血培养和尿培养提示MRSA,后诊断HLH,给予糖皮质激素及丙种球蛋白治疗,但病情迅速恶化死亡。
50岁男性患者,因发热、水样腹泻和气短入院,发现发绀、晒伤样红斑,感染性休克,痰培养和血培养均为金黄色葡萄球菌。因血小板迅速下降,骨髓穿刺提示大量噬血巨噬细胞。未用HLH-2004标准疗法,采用血浆置换及静脉注射免疫球蛋白,患者病情好转。本病例的治疗通过静脉注射免疫球蛋白可以阻断吞噬细胞的Fc受体功能,改变T细胞亚群分布和功能,并通过抗菌或自身抗原抗体抑制抗原特异性免疫,而血浆置换降低了循环中细胞因子和炎症因子水平,从而有效治疗HPS。
一项研究入选了8例继发性HLH患者,探讨使用聚甲基丙烯酸甲酯膜血液过滤器(PMMA-CHDF)连续血液透析过滤去除HLH患者细胞因子的有效性,6例患者病情得以缓解,3例患者死于基础疾病恶化,在所有患者中均未观察到PMMA-CHDF相关不良事件,PMMA-CHDF可以清除细胞因子,改善疾病严重程度,因此,PMMA-CHDF可能是药物治疗难治性RHS的辅助治疗。
小结
对于自身免疫性疾病或严重感染,伴有血液系统二系或三系减低患者,应警惕噬血细胞综合征的可能。
对于确诊的噬血细胞综合征患者,应积极进行基因检测,以鉴别是否存在原发性噬血细胞综合征。
噬血细胞综合征的治疗,在炎症风暴阶段,可以尝试CRRT减少循环中炎症因子可能,辅助HLH治疗。
* 本期内容根据第八届呼吸支持技术大会视频整理。

后可发表评论
友情链接
联系我们
公众号
客服微信