登录方式

方式一:
PC端网页:www.rccrc.cn
输入账号密码登录,可将此网址收藏并保存密码方便下次登录

方式二:
手机端网页:www.rccrc.cn
输入账号密码登录,可将此网址添加至手机桌面并保存密码方便下次登录

方式三:
【重症肺言】微信公众号
输入账号密码登录

注:账号具有唯一性,即同一个账号不能在两个地方同时登录。

登录
方式

为重症救治赋能

为患者康复加速

当前位置:首页 脏器支持 ECMO

VV-ECMO撤机策略

程真顺 武汉大学中南医院呼吸与危重症医学科 发布于2026-02-10 浏览 1518 收藏

作者程真顺

单位汉大学中南医院呼吸与危重症医学科

体外膜肺氧合(ECMO)作为高级呼吸支持的重要手段, 在重症呼吸衰竭患者的救治中发挥着关键作用。随着临床认知的深化、技术理念的革新及操作经验的积累, VV-ECMO已成为挽救重症患者生命的核心支撑技术。然而, VV-ECMO的应用不仅追求救治成功, 更需最大限度降低并发症风险, 因此撤机策略的科学制定与规范实施至关重要。撤机时机的选择、试验流程的优化、围撤机期的管理及并发症防控等环节, 直接影响患者的预后。本文结合临床实践与相关研究证据, 系统阐述VV-ECMO的撤机策略, 为临床应用提供参考。



一、VV-ECMO成功的关键要素


VV-ECMO的救治成功并非单纯依赖技术操作,而是取决于适应证选择、干预时机把控及团队综合救治能力三者的有机结合,这也是撤机策略制定的重要前提。

1. 适应选择

VV-ECMO的适用对象满足“病情危重、疾病可逆”的条件。患者需面临严重呼吸衰竭或肺功能衰竭,若不采取高级呼吸支持,可能导致肺部损伤加重及多器官功能衰竭。传统适应证相对严格,要求患者年龄不宜过大、无不可逆性疾病(如晚期肺纤维化、恶性肿瘤等严重基础疾病)。但随着技术的精进和救治成功率的提升,适应证已逐渐拓展,部分以往视为禁忌的病例,在具备强大ECMO团队支持的单位可谨慎开展治疗。

从疾病类型来看,VV-ECMO主要适用于重症肺炎、急性呼吸窘迫综合征(ARDS)、重症支气管哮喘、慢性阻塞性肺疾病急性加重等呼吸系统疾病;此外,大气道阻塞、肺移植围手术期支持等也属于其适用范畴。值得注意的是,对于晚期特发性肺间质纤维化(IPF)等不可逆疾病患者,若已纳入肺移植等待名单且供体有望近期获得,VV-ECMO可作为过渡支持手段。

此外,经济因素也是适应证评估需要考量的方面。尽管目前ECMO相关治疗已逐步纳入医保,但初始管路等费用仍较高,需结合患者经济承受能力综合判断。

2. 干预时机

VV-ECMO的上机时机需精准把握,过早干预可能造成医疗资源浪费且增加并发症风险,过晚则会错失最佳救治窗口,导致患者因严重缺氧或氧化损伤引发不可逆的多器官功能障碍。

对于ARDS患者,目前公认的上机标准PaO₂/FiO₂<50 mmHg超过3 h,或PaO₂/FiO₂<80 mmHg超过6 h;动脉血pH<7.25且PaCO₂>60 mmHg超过6 h,同时呼吸频率>35次/分;呼吸频率>35次/分时,动脉血pH<7.2且平台压>30 cmH₂O;机械通气时间7 d。强调上述时间阈值,是为了排除心源性呼吸衰竭等可快速逆转的因素,避免过早或过度干预。

若患者持续处于严重低氧状态,不仅会导致全身器官衰竭,还可能因高浓度氧疗引发氧化损伤;而对于高碳酸血症型ARDS,患者肺容积显著减少、呼吸驱动过强,机械通气易造成气压伤,此时及时启动VV-ECMO可有效规避进一步损伤。需注意的是,机械通气时间过长会增加呼吸机相关肺炎(VAP)等并发症风险,进而影响ECMO救治成功率,因此需严格把握上机时机。

3. 团队综合救治能力

VV-ECMO的实施需要多学科团队的协同配合,包括医师、呼吸治疗师、护士等专业人员,形成“有心有力”的救治体系。团队需具备扎实的理论基础、熟练的操作技能及应急处理能力,能够全程保障ECMO系统的稳定运转,及时处理报警信息,预防和控制并发症,并保障患者院内外转运安全。团队的综合救治能力是VV-ECMO成功实施及顺利撤机的核心保障。


二、VV-ECMO撤机时机的评估


VV-ECMO的撤机时机目前尚无统一标准,主要以专家意见为参考,评估指标包括原发病得到控制、呼吸功能显著恢复VV-ECMO撤离试验

1. 原发病控制

患者引发呼吸衰竭的基础疾病(如感染、气道阻塞等)需呈现明确的好转迹象,无需依赖ECMO持续支持即可控制病情进展。对于感染性疾病,无需等待感染完全控制,只要病情稳定且有改善趋势即可作为评估依据。

2. 呼吸功能恢复

1)肺顺应性显著改善,这是呼吸功能恢复的直观解剖学指标

2)胸部影像学检查显示肺部病变明显好转

3)患者自主通气、氧合及CO₂清除能力显著提高,可通过血气分析、呼吸力学监测等指标综合判断。

3. VV-ECMO撤离试验

VV-ECMO撤离试验有三种思路, 分别为基于氧合能力评估的撤机思路基于CO₂清除能力的撤机思路清醒ECMO患者的撤机思路。撤机思路及流程见图1。 

图片

1  VV-ECMO撤机流程


三、VV-ECMO试验性脱机的实施


试验性脱机是VV-ECMO撤机过程中的关键环节,目的是评估患者在脱离VV-ECMO支持后,能否依靠自身肺功能及呼吸机辅助维持良好的氧合与通气。

1. 脱机时ECMO血流速的选择

ECMO血流速的设定需兼顾血栓风险与血液剪切力:①血流速维持在3 L/min以上时,血栓风险较低,但血液剪切力较高,可能对红细胞等血细胞造成损伤;②血流速下调至2 L/min以下时,血液剪切力降低,但血栓风险显著升高;③推荐血流速维持在2~3 L/min,可在血栓风险与血液剪切力之间达到平衡。

2. 试验性脱机的具体方法

1)调整呼吸机参数至可接受水平:呼吸频率(RR)10~30次/min、吸入氧浓度(FiO₂40%~60%、潮气量<6 ml/kg、平台压(Pplat)<30 cmHO、呼气末正压(PEEP)<12 cmH₂O

2)维持VV-ECMO血流量不变,抗凝方案保持不变,关闭ECMO气流。

3)持续监测指标:包括SaO₂PaCO₂、气道压力、RR、潮气量等,监测时间为2~4 h。

4)脱机成功标准:SaO₂95%、PaCO₂50 mmHg,患者无呼吸窘迫,血流动力学稳定,可考虑撤离ECMO。

3. 临床案例

患者男性,74岁,因发热、喘息5天,加重2 h于2023年6月4日入院,诊断为重症肺炎、呼吸衰竭、急性肾衰竭。给予VV-ECMO+CRRT+有创机械通气+俯卧位治疗。VV-ECMO应用后第7天,ECMO泵转速3750转/分,血流量3.8 L/min,空氧混合器浓度1.0,气体流量3.8 L/min;呼吸机条件为FiO₂ 0.35,PEEP 10 cmH₂O,PC 10 cmH₂O,RR 12次/分;血气结果:pH 7.413、PaCO₂ 41.8 mmHg、PaO₂ 98 mmHg。

6月11日进行试验性脱机:调节呼吸机参数FiO₂ 0.45,PC 24 cmH₂O,PEEP 8 cmH₂O;维持VV-ECMO血流量3.8 L/min,关闭ECMO气流。脱机期间生命体征平稳,监测结果如下(表1)。患者脱机试验成功,顺利撤离VV-ECMO。

1  ECMO脱机试验期间监测指标情况

图片

ECMO临床操作流程如图2所示。

图片

2  ECMO临床应用流程


四、VV-ECMO撤机前准备与拔管后处理


1. 撤机前准备

1)患者准备:与患者充分交流沟通,消除其恐惧心理,争取积极配合;拔管前2 h逐渐减停肝素泵入,控制活化凝血时间(ACT)小于150秒;适当上调机械通气支持力度,保持良好的氧合状态(SpO₂95%),为拔管后的呼吸功能维持提供保障。

1)用物准备:备好消毒用品、拆线工具、拔管后缝合材料或压迫装置等,确保拔管操作顺利进行。

2. 拔管操作流程

1)消毒、铺巾,必要时对穿刺口进行麻醉。

2)停机的同时夹闭ECMO管路,避免血液反流或气体栓塞。

3)缓慢拔出血管内置管,允许少量出血,注意观察导管有无血栓附着,拔出时避免强力按压,防止血栓脱落。

4)拔管后立即进行压迫止血:手压20~30 min,随后用沙袋压迫4~6 h,期间保持肢体制动。

3. 拔管后护理

拔管后6 h内:保持患者平卧,减少曲腿、翻身动作,翻身时采用平板滚动法;前2 h内每半小时检查伤口渗血情况,之后每小时检查1次。

拔管后24 h内:通过超声检查评估静脉血栓形成情况,及时发现并处理血栓并发症。


五、VV-ECMO撤机后的并发症防控与呼吸支持调整


1. 血栓并发症防控

ECMO患者血栓发生率极高,尸检结果显示,59/78例(75.6%)患者存在临床未识别的术后并发症,其中静脉血栓形成25例,全身性血栓栓塞事件24例,血栓发生率达39.7%,上肢血栓28.2%,下肢血栓17.9%,临床评估显著低估了血栓栓塞事件的真实发生率。另一项针对48例VV-ECMO患者的研究显示,拔管后常规筛查深静脉血栓(DVT),41例(85.4%)患者存在中心静脉导管相关性深静脉血栓(CaDVT),34例(76%)右颈内静脉插管患者在套管部位出现CaDVT,25例(61%)患者下肢发生CaDVT,18例(44%)患者同时合并上肢和下肢CaDVT,且CaDVT发生率与VV-ECMO运转时间、是否抗凝等因素无明显关联。

因此,VV-ECMO撤离后,需继续应用低分子肝素序贯抗凝,同时严密监测呼吸、循环相关指标,警惕血栓栓塞事件引发的病情反复。

2. 呼吸支持方式的调整

VV-ECMO撤机后,需合理调整呼吸支持方式,明确ECMO与机械通气的撤离顺序:

1)先撤离ECMO:优点是减少ECMO相关并发症(如血栓、出血等);缺点是病情变化时需增加呼吸机支持力度,可能加重呼吸负荷。

2)先撤离有创通气:优点是减少VAP、呼吸机相关肺损伤(VALI)、呼吸机诱导的膈肌功能障碍(VIDD),减少镇静剂的使用,同时可以提供充足的通气和氧合保障;缺点是增加ECMO运行风险,且患者失去气道保护。

目前临床推崇清醒ECMO模式,该模式可融合两种撤离方式的优点,避免部分缺点。清醒ECMO无需或减少镇痛镇静药物使用,可提高患者舒适度,促进经口进食和胃肠功能恢复,便于早期活动与康复锻炼,同时维持血流动力学稳定,减少VAP发生,充分保证自主通气和换气需求,降低VIDD风险。

3. 清醒ECMO的适用人群

清醒ECMO并非适用于所有患者,其适用人群需满足:原发病已控制;意识清楚;气道保护能力强;血流动力学稳定;VAP发生率高(如免疫抑制患者);气压伤发生风险高;辅助通气模式下峰压≤20 cmH₂O,PEEP≤10~12 cmH₂O,FiO₂≤0.5。

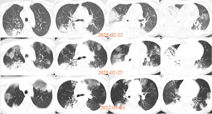
临床案例:患者女性,15岁,诊断为重症支原体肺炎、ARDS,低氧高碳酸血症,气管插管接呼吸机辅助通气,采用肺保护性通气策略及俯卧位通气后效果不佳。2022年2月22日启动VV-ECMO治疗,2月25日转为清醒ECMO,最终患者病情好转出院。

图片

3  清醒EMO前后患者胸部CT对比


六、VV-ECMO的拓展应用


VV-ECMO的应用已不再局限于传统的呼吸衰竭救治,还可作为综合介入治疗的保驾手段。例如,某63岁男性患者,活动后气喘1周,胸部CT提示左肺、右肺中叶感染性病变,左肺门区肿块影伴左主支气管闭塞,左侧大量胸腔积液,诊断为食管癌晚期。在VV-ECMO保驾下实施介入治疗,开放气道并植入支架(图4),术后患者顺利恢复。该病例体现了VV-ECMO在复杂重症患者救治中的拓展价值。但此类应用需严格评估患者病情及团队救治能力,权衡利弊后谨慎实施。

图片

4  患者在ECMO支持下行介入治疗


七、小结


VV-ECMO的撤机需采用科学的撤机试验流程,规范围撤机期的准备与护理,加强血栓等并发症的防控,并合理调整呼吸支持方式。清醒ECMO作为一种新型模式,在减少并发症、促进患者康复方面具有显著优势,但其应用需严格把握适用人群。未来,随着临床研究的深入和技术的不断优化,VV-ECMO撤机策略将更加精准、个体化,为重症呼吸衰竭患者的救治提供更有力的保障。

向下滑动查看


参考文献

[1] Brodie D, Slutsky AS, Combes A. Extracorporeal Life Support for Adults With Respiratory Failure and Related Indications: A Review[J]. JAMA, 2019, 322(6):557-568.

[2] Vasques F, Romitti F, Gattinoni L, et al. How I wean patients from veno-venous extra-corporeal membrane oxygenation[J]. Crit Care, 2019, 23(1):316. 

[3] 李凡, 赖巍, 康焰. 静脉-动脉体外膜肺氧合撤机成功的预测及流程[J]. 中华医学杂志, 2022, 102(25):1878-1881. 

[4] 中国医师协会呼吸医师分会危重症医学专业委员会, 中华医学会呼吸病学分会危重症医学学组. 体外膜式氧合治疗成人重症呼吸衰竭推荐意见[J]. 中华结核和呼吸杂志, 2019, 42(9):660-684.

[5] Rastan AJ, Lachmann N, Walther T, et al. Autopsy findings in patients on postcardiotomy extracorporeal membrane oxygenation (ECMO)[J]. Int J Artif Organs, 2006, 29(12):1121-1131. 

[6] Menaker J, Tabatabai A, Rector R, et al. Incidence of Cannula-Associated Deep Vein Thrombosis After Veno-Venous Extracorporeal Membrane Oxygenation[J]. ASAIO J, 2017, 63(5):588-591. 



作者介绍

图片

程真顺

武汉大学中南医院呼吸与危重症医学科,科主任一级主任医师,教授,博士生导师教育部“长江学者奖励计划“特岗学者中华医学会呼吸病学分会委员间质性肺病学组委员武汉医学会呼吸病学分会主任委员中国医师协会呼吸医师分会委员危重症学组委员中国抗癌协会肿瘤呼吸病学专委会常委湖北省医学会呼吸病学分会副主任委员湖北省医学会内科学分会副主委湖北省医师协会呼吸医师分会副主任委员国家卫健委医疗应急工作专家组成员主持国家自然科学基金项目4项、湖北省重大创新群体项目1项
图片






声明:

本文仅用于学术领域的理论探讨与专业交流,不涉及任何商业推广、产品宣传等非学术用途,亦不作为临床诊疗活动中最终决策的依据。临床实践需根据患者的具体情况选择适宜的处理措施


点我观看视频.jpg

全部评论 0
Copyright©2020-2026 北京医麦斯科技有限公司 版权所有 京ICP备2020034400号-1 京公网安备11010502043983号