登录方式

方式一:
PC端网页:www.rccrc.cn
输入账号密码登录,可将此网址收藏并保存密码方便下次登录

方式二:
手机端网页:www.rccrc.cn
输入账号密码登录,可将此网址添加至手机桌面并保存密码方便下次登录

方式三:
【重症肺言】微信公众号
输入账号密码登录

注:账号具有唯一性,即同一个账号不能在两个地方同时登录。

登录
方式

为重症救治赋能

为患者康复加速

当前位置: 首页 呼吸e站 文献学习

Good综合征合并新型冠状病毒持续感染、肺腺癌一例并文献复习

樊俊玲,陈亚娟 重庆医科大学附属第一医院呼吸与危重症医学科 发布于2025-05-19 浏览 1154 收藏

作者:樊俊玲,陈亚娟

单位:重庆医科大学附属第一医院呼吸与危重症医学科

文章来源:中国呼吸与危重监护杂志2025年第24卷第3期


图片

Good综合征(Good'ssyndrome,GS)是一种罕见的获得性免疫缺陷病,以成人胸腺瘤合并B、T细胞免疫缺陷为特征,常导致各种机会性感染和并发自身免疫性疾病。新型冠状病毒(新冠病毒)持续感染是指患者在感染病毒后体内病毒载量持续存在,并在一定时间内保持可检测水平,免疫功能低下的患者由于无法启动强有力的免疫反应,更容易受到持续的病毒感染。国内外关于GS合并新冠病毒感染(COVID-19)报道不超过20例,且结局不一。本文报道1例新冠病毒持续感染,最终确诊为GS且合并浸润性肺腺癌的病例,给予康复期血浆疗法,最终同时手术切除纵隔及肺部病变,以增加对GS合并COVID-19及免疫缺陷与肿瘤发生的认识。

病例介绍

一般资料

患者男性,61岁,因“反复发热、咳嗽6月余”于2023年8月30日入院。

病史情况

患者入院6个月前无明显诱因出现发热、咳嗽,伴活动后气促。于当地医院完善新冠病毒核酸检测及胸部CT后考虑新冠肺炎、纵隔占位病变、肺部病变,给予甲泼尼龙抗炎、阿兹夫定抗感染治疗后好转出院。出院后仍反复发热、咳嗽咳痰,新冠病毒核酸持续阳性(图1), 为求进一步诊治多次就诊于重庆医科大学附属第一医院。其病情复杂, 临床资料较多, 具体诊疗经过见表1。

图片
图1  新冠病毒核酸检测及抗体检测情况
表1  患者诊治经过
图片

既往有高血压病史20余年,近期未服用降压药物;有糖尿病病史3个月,服用二甲双胍控制血糖;耶氏肺孢子菌肺炎2月余,口服复方磺胺甲噁唑抗真菌治疗;胸腺瘤病史1月余,未予特殊治疗。否认肝炎、结核病、冠状动脉粥样硬化性心脏病、慢性阻塞性肺疾病病史,否认吸烟史及饮酒史。

入院查体

体温36.4℃,脉搏81次/分,呼吸20次/分,血压105/69 mmHg,神志清楚,精神可,皮肤巩膜无黄染,浅表淋巴结未扪及肿大,双肺呼吸音清,双下肺闻及少许湿啰音。心腹查体未见明显异常,双下肢无水肿。

辅助检查

  • 血常规:白细胞计数4.44×109/L,红细胞计数3.56×1012/L,血红蛋白95 g/L,淋巴细胞绝对值0.95×109/L。

  • 超敏C反应蛋白103.88 mg/L,降钙素原0.09 ng/ml。

  • 新冠病毒核酸检测阳性,新冠病毒IgG+IgM抗体检测阴性。

  • 机体免疫功能检测(流式细胞仪): 总淋巴细胞1020个/μl, 总T淋巴细胞901个/μl, 辅助/诱导T细胞188个/μl, B淋巴细胞0个/μl。

  • G试验、GM试验、人免疫缺陷病毒抗体和P24抗原、梅毒螺旋体特异性抗体、丙型肝炎IgG抗体均阴性。

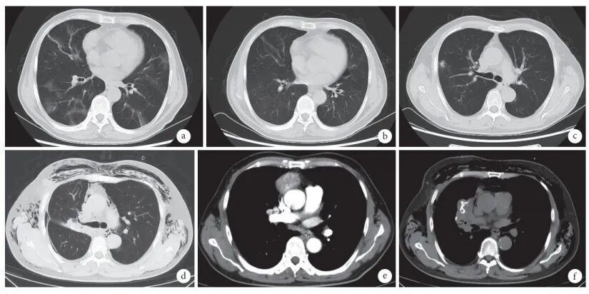
  • 胸部CT(图2):双肺多发炎症,考虑病毒性肺炎可能,炎症指数分级Ⅲ级;右肺上叶前段胸膜下混合磨玻璃结节,PNI-RADS Ⅲ级;双肺多发小结节因肺部炎症遮挡显示不清;双肺气肿伴肺大疱;前纵隔肿块,考虑肿瘤性病变。

图片
图2  患者胸部CT检查
注:a. 新冠肺炎治疗前:双肺多发磨玻璃影;b. 新冠肺炎治疗后:病变吸收减少;c. 右肺上叶前段胸膜下不规则结节;d. 肺结节切除术后并发气胸;e. 前纵隔肿块;f. 纵隔肿物切除术后并发气胸。
诊疗经过

患者新冠病毒持续感染,且既往诊断明确存在胸腺瘤及耶氏肺孢子菌肺炎病史,考虑存在免疫缺陷可能。完善机体免疫功能检测提示B淋巴细胞完全缺失,CD4+T细胞减少,CD4+/CD8+比例倒置(表2), 查阅相关文献后符合GS主要特征。患者新冠病毒持续感染且肺部病变性质不明, 期望有外科手术机会, 故治疗上调整抗病毒药为来瑞特韦、甲泼尼龙抗炎, 与患者沟通后采用康复期血浆疗法, 于9月4日和6日分别输注康复期新冠患者血浆600 ml。9月6日复查新冠病毒IgG+IgM抗体检测阳性。后复查肺部CT提示病灶明显吸收, 患者症状好转出院。

表2  患者免疫功能检测

图片

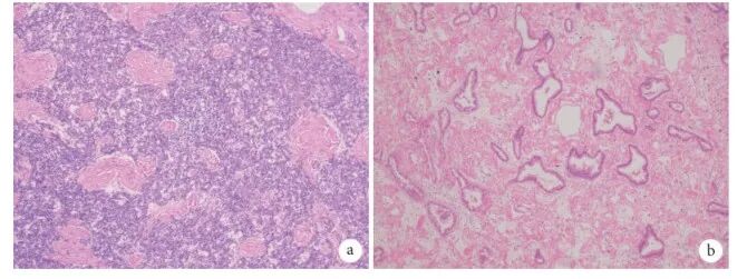
2023年11月6日于我院胸心外科行胸腔镜下右肺S2b+S3aS4b+S5b切除术+胸腔镜下右前上纵隔肿物切除术+胸腔镜下右肺大疱切除术,手术顺利。病理检查结果(图3)[右肺上叶结节1] 浸润性腺癌,腺泡生长方式约占60%,贴壁生长方式约占40%;[纵隔肿物] 符合A型胸腺瘤。免疫组化结果:CK(+),EMA(–),CD3散在(+),CD5(–),CD20部分(+),CD1a(–),TDT(–),CK19部分(+),P63部分(+),Ki-67约5%(+),CD117(–),CK7(–)。近期随访患者机体免疫功能稍好转,病情稳定,无新发感染迹象,患者因自身原因暂未开始免疫球蛋白替代治疗。

图片
图3  病理检查(HE×100)
注:a. 胸腺瘤病理: <纵隔肿物>符合 A型胸腺瘤;b. 肺腺癌病理:浸润性腺癌,腺泡生长方式约占 60%,贴壁生长方式约占 40%。
文献复习

我们检索了Pubmed、中国知网、中华医学期刊等数据库关于GS合并COVID-19的报道,共计17例,涉及多个国家(意大利、法国、西班牙、葡萄牙、瑞典、比利时、阿根廷、巴西、墨西哥、印度、新加坡、中国、伊朗等),见表3,暂未见GS合并肺癌的报道。通过文献汇总分析发现17例患者的平均年龄为57岁,好发于40~60岁(58.8%),男性相较于女性发病率更高,胸腺瘤主要病理类型为AB型(55.6%),这与既往的研究结果相一致,但目前没有研究表明特定的病理学亚型与GS相关。完善了新冠病毒抗体检测的5例报告中检测结果均为阴性,17例中仅3例采用了康复期血浆疗法,大部分患者给予了免疫球蛋白治疗,在欧洲及美洲地区使用瑞德西韦抗病毒,在中国及新加坡则是给予奈玛特韦/利托那韦抗病毒。在17例患者中有7例因病情进展死亡,死亡原因大多为呼吸衰竭、脓毒性休克。

表3  国内外有关GS合并COVID-19病例汇总

图片
讨论

GS是一种罕见的获得性免疫缺陷病,主要特征为胸腺瘤合并包括低丙种球蛋白血症、外周血B淋细胞减少或缺如、CD4+T淋巴细胞减少、CD4+/CD8+T细胞比例倒置等在内的T、B淋巴细胞联合免疫缺陷。反复感染和腹泻是最主要的临床表现,其中呼吸道的反复机会性感染最为常见。关于GS发病机制尚未明确,目前有两种假说,一是骨髓基质细胞分泌的细胞因子影响T、B细胞的生长和分化;二是胸腺瘤中的T细胞或自身抗体会抑制B细胞产生免疫球蛋白及前B细胞生长。本例患者未检测到新冠抗体,考虑是由于B细胞缺乏无法产生免疫球蛋白及抗体,同时启动体液免疫所需要CD4+T细胞减少,细胞免疫缺陷的患者比体液免疫缺陷的患者更容易发生病毒感染。新冠病毒持续感染与免疫缺陷密切相关,但详细的免疫致病机制或许是未来值得重点讨论的问题。本例患者新冠病毒持续感染且无抗体产生,通过外源性输注康复期血浆,帮助患者建立起被动免疫,给患者争取到了手术机会。因此,在无法对新冠病毒产生特异性体液反应的个体中,使用新冠病毒抗体的康复期血浆替代疗法可能是一种有治疗前景的方法。

肿瘤免疫监视是指在没有外部治疗的情况下,免疫系统具有识别和消除正在发生的肿瘤的能力。当免疫功能减弱或缺陷时可能会使机体错综复杂的生理平衡和功能稳态的维持变得不稳定,从而降低其免疫监视能力,甚至主动促进肿瘤的形成。并且机体的免疫功能状况决定肿瘤的发展速度,免疫缺陷已被证明与癌症患者的不良预后有关。尽管没有观察到原发性免疫缺陷病患者中常见的实体肿瘤恶性肿瘤(肺、乳腺、结肠、前列腺)的发病率增高,但原发性免疫缺陷病患者发生肿瘤总的相对风险性增加。文献报道胸腺瘤可使胸腺外恶性肿瘤的发生风险增加。胸腺瘤与肿瘤之间关联的机制尚不清楚,推测胸腺瘤存在胸腺上皮功能缺陷,使其不能在T细胞的选择及自体免疫耐受建立的过程中发挥作用,导致免疫缺陷和肿瘤发生率增加;也有推测是由于胸腺瘤上皮细胞具有刺激T细胞的潜在能力,这种持续的刺激易导致肿瘤的发生。本例患者存在胸腺瘤及免疫缺陷情况,尽管肺癌肿瘤标志物增高不明显,支气管镜灌洗液未找到癌细胞,但仍高度怀疑肺部病变为恶性,通过恢复期血浆疗法使患者新冠核酸转阴,呼吸道及全身症状明显好转,为患者争取了外科手术机会,最终病理证实为肺腺癌。

总之,目前对GS合并新冠病毒持续感染、胸腺瘤合并肿瘤的了解较少。对于有胸腺瘤病史伴反复感染的患者,临床医生应想到GS的可能,早诊断、早治疗,胸腺切除和免疫球蛋白替代是主要的治疗策略;同时对存在免疫缺陷、胸腺瘤的患者要警惕恶性肿瘤的发生。

参考文献略

声明:

本公众号转载的文章仅用于学术信息传播和学习,版权归原作者和原出处所有,如有侵权请联系删除。


全部评论 0
Copyright©2020-2025 北京医麦斯科技有限公司 版权所有 京ICP备2020034400号-1 京公网安备11010502043983号