登录方式

方式一:
PC端网页:www.rccrc.cn
输入账号密码登录,可将此网址收藏并保存密码方便下次登录

方式二:
手机端网页:www.rccrc.cn
输入账号密码登录,可将此网址添加至手机桌面并保存密码方便下次登录

方式三:
【重症肺言】微信公众号
输入账号密码登录

注:账号具有唯一性,即同一个账号不能在两个地方同时登录。

登录
方式

为重症救治赋能

为患者康复加速

当前位置:首页 睡眠与康复 康复之家

一例重症肺炎患者肺康复治疗体会

王伟 武汉大学中南医院呼吸与危重症医学科 发布于2023-10-25 浏览 5690 收藏

图片

一、病情介绍

基本信息
患者,女性,69岁。入院日期:2022年4月6日。主诉因“肺癌综合治疗4年余,呼吸困难4天”入院。
现病史
患者于2017年体检发现肺部占位,在胸外科行胸腔镜探查术,术后病检示右上肺腺癌,术后规律化疗。2019年复查提示肺癌脑转移(腺癌pT2N0M1),予放疗及靶向药物治疗(口服甲磺酸奥西替尼)。入院4天前患者于胸部肿瘤放化疗科进行治疗后出现呼吸困难、胸闷,发热,体温39.2℃。
既往史
有高血压病史,血压控制可。
入院查体
T 36.5℃,P 115次/min,R 22次/min,BP 163/72 mmHg。鼻导管吸氧,双侧瞳孔等大等圆,直径3.0 mm,对光反射存在;双肺可闻及湿啰音及痰鸣音;心率115次/min,未闻及病理性杂音;腹平软,无压痛及反跳痛,肝脾肋下未及,肠鸣音正常;四肢肌力、肌张力大致正常,双下肢不肿。
辅助检查

血气分析:pH 7.36,PaO2 59 mmHg,PaCO2 32.9 mmHg,HCO3- 19.1 mmol/L,SaO2 89.7%。

血常规:WBC 15.17×10⁹/L,PLT 104×10⁹/L,Hb 90 g/L。

其他:PCT 7.45 ng/ml,高敏肌钙蛋白I 304.8 pg/ml,BNP 520 pg/ml。胸部CT:双肺多发实变影(图1)

图片

图1  患者入院后胸部CT(2022-04-06)
入院诊断
重症肺炎;Ⅱ型呼吸衰竭;急性心肌损伤;心功能不全;右肺恶性肿瘤术后、综合治疗后;高血压病。

图片

二、治疗经过

初步治疗
患者病情较为严重,Ⅱ型呼吸衰竭,告病危,重症监护,美罗培南1.0g q8h静脉滴注抗感染,甲强龙40 mg qd静脉滴注抗炎(4月8-12日),改善心功能(利尿),支持对症治疗(白蛋白、免疫球蛋白),无创呼吸机辅助通气。
病情变化
4月7日:在无创通气情况下血氧饱和度仅能维持在75%,与家属沟通后予气管插管呼吸机辅助通气(V-A/C模式),纤支镜肺泡灌洗并送检mNGS,结果回报肺炎链球菌,加用万古霉素500 mg q8h。
4月14日:患者病情好转,拔除气管插管;无创呼吸机序贯治疗。
4月16日:BALF培养显示鲍曼不动杆菌(泛耐药)。
4月19日:血气分析,pH 7.16,PaCO2 120.8 mmHg,PaO2 63 mmHg,HCO3- 41.3 mmHg,SaO2 81.7%。考虑患者基础疾病较多,感染面积较大,建议行气管切开,但患者家属并未接受,再次行气管插管。插管后患者病情无好转,心、肝、肾功能恶化。期间调整了抗感染治疗及其他辅助治疗措施。
2022年4月22日:与家属再次沟通后行气管切开术,纤支镜检查并送BALF培养,显示鲍曼不动杆菌(泛耐药),仅对多黏菌素B敏感,遂予多黏菌素B 50万U q12h。
影像学变化
4月23日气管切开后复查胸部X线片,右侧感染有好转迹象,4月26日,感染明显好转(图2)

图片

图2  患者插管前后胸部X线片变化
病情评估
4月23日我们对患者进行了评估分析:①生命体征:T 37.3℃,P 80次/min,R 28次/min,BP 149/57 mmHg;②血气分析:pH 7.50,PaCO2 54 mmHg,PaO2 98 mmHg,HCO3- 43 mmHg,SaO2 98%;③意识状态:嗜睡状(可唤醒);④呼吸支持:气管切开,呼吸机辅助呼吸(FiO2 55%,PEEP 5 cmH2O,SaO100%);⑤影像学:双肺感染较前稍吸收;⑥血管活性药物:未使用。
康复治疗

患者当前病情相对稳定,开始进行康复治疗:①呼吸支持:日间予经鼻高流量氧疗,夜间予机械通气(V-A/C模式)。②呼吸道通畅:予祛痰剂、翻身拍背、振动排痰、纤支镜吸痰等措施清理气道;予支气管舒张剂雾化吸入(ICS+LABA+LAMA);予二羟丙茶碱解痉。③营养支持:肠内/肠外营养,低碳低糖优质蛋白饮食。④康复科会诊:指导患者进行呼吸训练、呼吸肌训练、有氧运动训练、耐力抗阻训练、放松训练等,并予体外膈肌起搏。

影像学变化
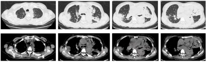
患者4月6日入院时肺部大面积实变,7月6日(气管切开封口)复查胸部CT可见病灶明显吸收(图3),7月8日患者康复出院。

图片

图3  患者从入院到康复的影像学变化
图片
三、呼吸康复
基本概念
美国胸科协会(ATS)和欧洲呼吸协会(ERS)制定的呼吸康复指南中对呼吸康复定义如下:基于全面评估、制定个性化治疗方案,包括但不限于锻炼、教育和行为改变,旨在改善呼吸道疾病患者的生理和心理状况,促进健康行为。
我国在2021年发布了《中国慢性呼吸道疾病呼吸康复管理指南》,其中也提到,我国慢性呼吸道疾病(chronicrespiratory diseases,CRD)患病率、致残率、致死率均较高,疾病负担重,其中,重症肺炎、呼吸机相关性肺炎(VAP)、慢阻肺急性加重、肺栓塞患者的呼吸康复是工作重点,呼吸康复是CRD长期管理的核心组成部分,是基于全面患者评估、为患者量身定制的综合干预措施,是最具成本效益的非药物治疗手段之一。
呼吸康复要点
呼吸康复的核心要点在于:整体性,综合性,个性化,关注心理生理,健康教育跟踪、长期促进行为。在临床工作中,单一的呼吸科很难完成呼吸康复全过程,多学科协作的临床康复一体化至关重要,其中包括了重症医学科或呼吸科医师、康复医师、物理治疗师、作业治疗师、言语治疗师、康复护士、临床营养师、心理医师和社会工作者。
呼吸康复目标
呼吸康复目标是:改善通气状况,维护现存功能,早日促进身体功能恢复。呼吸康复还能够预防重症患者出现并发症(如严重肌萎缩和肌无力,关节僵直、挛缩,内分泌系统改变,深静脉血栓,VAP等)。
呼吸康复评定及时机
在临床上一般通过观察患者的一般状况、生命体征、面容与表情、体位、皮肤、动脉血气分析、胸部影像、肺功能检查进行呼吸康复的评定

呼吸康复时机:

(1)在患者血流动力学及呼吸功能稳定后,立即开始呼吸康复。
(2)入重症医学科24~48 h后,符合以下标准:①心率>40次/min或<120次/min;②收缩压≥90 mmHg或≤180 mmHg,或/和舒张压≤110 mmHg;③平均动脉压≥65 mmHg或≤110 mmHg;④呼吸频率≤25次/min;⑤血氧饱和度≥90%;⑥机械通气(FiO≤60%,PEEP≤10 cmH2O;⑦使用小剂量血管活性药物支持,多巴胺≤10 mg/(kg·min)或去甲肾上腺素≤0.1 mg/(kg·min)。
(3)生命体征稳定的患者,可逐渐选择适当离床、坐位、站位、躯体控制、移动活动、耐力训练及适宜的物理治疗等。

呼吸康复暂停的时机:

(1)生命体征明显波动,有可能进一步恶化危及生命。
(2)心率<40次>130次/min;出现新的心律失常;急性心肌梗死;急性心衰。
(3)收缩压>180 mmHg或舒张压>110 mmHg或有直立性低血压;平均动脉压(MAP)<65 mmHg;新使用血管活性药物或使用血管活性药物剂量增加。
(4)呼吸频率<5次>30次/min或出现呼吸困难SpO2<88%;FiO2≥60%,PEEP≥10 cmH2O。
(5)镇静或昏迷,患者明显躁动,需要加强镇静剂量,RASS评分>2分;患者不能耐受活动方案。
康复/临床治疗
在康复治疗期间,临床治疗也要同步进行。①药物治疗:应依据患者的临床症状、体征、辅助检查等结果治疗原发疾病。合理选用抗菌素,可选用ICS、β2受体激动剂、M受体拮抗剂等吸入治疗。②机械通气。③氧疗。

在康复评定过程中,还需要进行如下评估:

(1)运动评估,具体包括:活动度评估,肌力评估,平衡功能评估,运动能力测试(6分钟步行试验),呼吸功能评估,感觉评估(皮肤轻触觉、针触觉及深感觉)。
(2)意识评估:可通过评估量表(GCS、FOU量表、CRS-R量表、WHIM量表、SMART量表)进行评估,也可通过脑功能检测技术(包括脑血流动力学、脑氧代谢检测)进行评估。此外,还有一些仪器如功能磁共振监测,也可进行意识评估。
(3)其他康复评估:①吞咽障碍评估:饮水试验;②肺功能评估;③呼吸肌评估:肌力评估(总呼吸肌功能和隔肌功能),呼吸肌肌耐力评估,隔肌肌电图,膈肌超声检查;④心功能评估:有创、无创血流动力学监测;⑤呼吸困难评估:mMRC问卷、Borg量表、WHO呼吸困难问卷、ATS呼吸困难评分;⑥营养状态评估;⑦心理状态;⑧睡眠评估。
呼吸康复内容
具体的呼吸康复内容包括:①运动疗法:运动训练,体位引流,神经肌肉电刺激;②氧疗和无创通气:长期氧疗,高流量/无创通气(NPPV);③呼吸训练:腹式呼吸,缩唇呼吸等;④其他:药物应用和营养健康宣教,心理和行为干预,门诊随访管理。
(1)有氧及抗阻运动训练(表1):有氧及抗阻运动训练对患者的康复很重要。有氧及抗阻运动训练包括上肢训练(上肢训练器训练,肩关节旋转运动,提重物训练)和下肢训练(被动关节活动,踝泵练习,股四头肌力量练习,下肢训练器训练,床旁站立,协助步行)。

表1  有氧训练及抗阻训练

图片
(2)吸气肌训练:吸气肌训练的主要作用为松动并移除气道中潴留的分泌物,减少气道塌陷,改善肺部通气。
(3)主动循环呼吸技术:主动循环呼吸技术主要包括三个动作,分别为呼吸控制、胸廓扩张运动、用力哈气。具体为:放松和呼吸控制(直至患者呼吸稳定并准备好开始);胸部扩张练习3~5次;放松和呼吸控制(直至患者恢复正常的呼吸频率);重复胸部扩张练习3~5次;重复放松和呼吸控制;执行1~2次用力哈气技术,取决于痰液的性状和量;重复放松和呼吸控制。
(4)呼气末正压:呼气末正压的目的是使呼气末产生一定正压,维持气道和肺泡开放,促进分泌物排出。频率为每天1~3次,每次6~12组呼吸循环。绝对禁忌证:未经引流的气胸,血流动力学不稳定,颅内压增高,近期颌面部外科手术或创伤,可疑或存在活动性咯血或鼓膜破裂。需要注意的是,呼气末正压仅用于可深呼吸并能产生足够高呼气流量的患者。
(5)震动排痰——高频胸壁震荡:高频胸壁震荡的方法是通过可充气背心,给患者外胸壁提供高频和小容量的气体脉冲,使气道分泌物聚集、松动,利于排出。频率为每天3~4次或按需,取决于分泌物量。禁忌证:胸壁不稳定,无法改变体位,不稳定的深静脉血栓或肺动脉栓塞;未经引流的气胸;血流动力学不稳定;近期胸部外科手术或创伤;可疑或存在活动性咯血。
(6)震动排痰——手法:手法排痰包括震动和叩击。震动是双手重叠放置于外胸壁,依靠操作者肩部和手臂肌肉用力,在患者呼气的同时进行振动,帮助分泌物排出。叩击是操作者通过手腕有节奏的屈曲和伸展,以一定的速度和力量叩拍患者胸壁,需要通过练习确定合适的力量和节奏。频次为每天3~4次或按需,取决于分泌物量。叩击频率为120~180次/min。禁忌证:胸壁不稳定,无法改变体位;不稳定的深静脉血栓或肺动脉栓塞;未经引流的气胸;血流动力学不稳定;近期胸部外科手术或创伤可疑或存在活动性咯血。注意事项:避免叩击创伤或外科手术部位,切勿直接在骨突起(如锁骨、椎骨)上进行叩击。
(7)体位引流:是通过体位变化在重力作用下将病变肺段的分泌物移动到大气道被清除。频次为每天3次或按需,每种体位保持3~15 min。绝对禁忌证:不稳定的头颈部损伤;活动性出血伴血流动力学不稳定。引流口诀:上坐、下倒、左右卧,前仰后趴。

图片

四、体会
对于呼吸重症及慢性气道疾病患者,呼吸康复是非常重要的治疗措施。对于每一位患者都应进行全面评估,并且制定个性化实施方案。多学科协作模式的肺康复具有更规范、更专业、更全面的作用。早期肺康复训练可促进重症患者体能、心肺功能快速恢复,但应注意避免各类并发症的发生,促进患者康复。

作者简介



图片

王 伟


  • 武汉大学中南医院呼吸与危重症医学科
  • 主任医师,硕士生导师
  • 中华医学会呼吸病学分会呼吸治疗学组委员
  • 湖北省睡眠呼吸障碍专业委员会副主任委员
  • 中国睡眠研究会睡眠呼吸障碍专业委员会委员
  • 中国老年保健医学研究会呼吸病学分会委员
  • 武汉市中青年医学骨干人才

全部评论 0
Copyright©2020-2026 北京医麦斯科技有限公司 版权所有 京ICP备2020034400号-1 京公网安备11010502043983号