登录方式
方式一:
PC端网页:www.rccrc.cn
输入账号密码登录,可将此网址收藏并保存密码方便下次登录
方式二:
手机端网页:www.rccrc.cn
输入账号密码登录,可将此网址添加至手机桌面并保存密码方便下次登录
方式三:
【重症肺言】微信公众号
输入账号密码登录
注:账号具有唯一性,即同一个账号不能在两个地方同时登录。
本例为47岁女性,咳嗽、气短18 d,伴咯血半个月;胸部CT示弥漫性肺泡出血,对症止血治疗后病情依然进行性加重,应考虑哪些疾病?如何进行鉴别诊断?疾病进展过程中出现休克及血胸,考虑哪些原因?此病例的鉴别诊断和ECMO支持为我们带来了新的思路。
病例介绍
一般情况
患者,女性,47岁,护士。住院日期:2021年2月2日。主诉:咳嗽、气短18 d,伴咯血半个月。
现病史
18 d前,患者误吸含氯消毒剂后夜间出现咳嗽、喘憋、胸闷。
15 d前,少量咯血,喘憋加重;当地医院行胸部CT后考虑“弥漫性肺泡出血,肺炎”,行支气管镜检查,BALF送检mNGS检测出阴沟肠杆菌序列,予派拉西林他唑巴坦静脉滴注抗感染治疗。
14 d前,给予甲强龙(40 mg bid,8 d;80 mg qd,3 d;500 mg,1 d;120 mg,1 d),丙种球蛋白(20 g qd,2 d);对症止血治疗,咯血及呼吸困难进行性加重。
1 d前,就诊于我院急诊。排查新冠肺炎后,为进一步诊治收入RICU。
既往史及其他
否认冠心病、糖尿病、脑血管病、精神病病史;否认外伤、输血史;否认肝炎、疟疾病史;左氧氟沙星过敏。月经史:14岁初潮,经期3~5 d,周期26~30 d,末次月经时间为2020年12月31日。婚育史:适龄结婚,G2P1,24年前自然分娩一女,3年前人工流产,配偶及女儿体健康。个人史:生于河北,否认疫水、疫区接触史;否认烟酒史;否认家族性遗传病病史。
入RICU后体格检查
T 36.7℃,P 85次/min,R 22 次/min,BP 123/60 mmHg。神志清楚,贫血貌,自主体位,平车入室;胸廓正常,胸式呼吸,双侧对称,呼吸急促,节律规整;胸廓扩张度双侧对称,未触及胸膜摩擦感;双肺叩诊呈清音,双肺呼吸音粗,可闻及少量湿啰音。
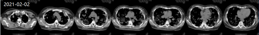
胸部影像学
患者外院胸部CT(图1)和入本院当日胸部高分辨率CT(图2)均提示双肺多发团块影,肺泡积血表现,且进行性加重。

图1 患者外院胸部CT检查结果


图2 患者胸部高分辨率CT检查结果(2021-02-02)
病例特点
中年女性,既往否认慢性病史,G2P1。
吸入含氯消毒剂后,咳嗽、气短、咯血,外院抗感染及激素治疗后,症状持续加重,进展至呼吸衰竭。
贫血貌,呼吸急促,双肺呼吸音粗,可闻及湿啰音。
WBC及N%升高,P/F下降。
胸部CT示双肺多发结节、团块伴磨玻璃影。
初步诊断
弥漫性肺泡出血;Ⅰ型呼吸衰竭;中度贫血;低钠血症。另外,考虑患者是否合并自身免疫病、特殊感染、肿瘤及中毒(吸入含氯消毒剂)等。
第一阶段(D1-2)—诊断和治疗过程
完善相关检查
血常规:WBC 24.82×109/L,NE% 84%,LYM% 9.3%,RBC 2.87×109/L,Hb 81.0 g/L,HCT 25.3%,PLT 297×109/L。
凝血四项+纤溶二项:Fbg 133.7 mg/dl,D-D 0.6 mg/L,其余未见明显异常。
血栓弹力图:R 4.3 min,MA 63.8 nm,Angle 74.6 deg。
生化:白蛋白32.4 g/L,前白蛋白0.34 g/L,AST 25 U/L,ALT 44 U/L,TBIL 10.5 μmol/L,DBIL 2.0 μmol/L,IBIL 8.5 μmol/L,肌酐30.5 μmol/L;钾3.8 mmol/L,心肌酶、肌钙蛋白、BNP均正常。
ESR 2 mm/h,CRP 0.27 mg/dl。
体液免疫:IgG 744 mg/dl,IgA 79.4 mg/dl,IgM 33.3 mg/dl,C3 62.6 mg/dl,余项正常。
细胞免疫:T淋巴细胞CD3# 869个/μl,CD4阳性T细胞# 604个/μl,CD8阳性T细胞# 202个/μl;NK细胞154个/μl,B淋巴细胞CD19# 530个/μl。
尿β2-微球蛋白1.29 mg/L。
ANA、dsDNA抗体、自身抗体十二项、ANCA、RF、CCP、GBM抗体均阴性。
肿瘤标志物:鳞状上皮细胞癌抗原2.9 ng/ml,细胞角蛋白19片段10.45 ng/ml,神经元烯醇化酶23.7 ng/ml,余CEA、AFP、CA125、CA199、CA153、CA724、胃蛋白酶原组合均阴性。
辅助检查
痰涂片:白细胞>25/低倍,上皮细胞<10/低倍,G+球成链偶见。痰培养少量念珠菌。PCT<0.05 ng/ml,血GM 0.16,血G试验19.1 pg/ml;BALF GM 0.7。
痰、BALF、血培养均阴性。
EBV-IgG阴性,CMV-IgG阳性;EBV-DNA、CMV-DNA均阴性。
毒物检测:有机未知物鉴定(血),未检出14种挥发性有机物和抗凝血杀鼠剂。
心脏超声:EF 75%,心包积液(微量)。
腹部超声:脂肪肝。
双下肢静脉超声:未见异常。
骨髓穿刺:M/E 7.29/1。粒系占76.5%,红系占10.5%,巨核2个/2.5×3 cm2。建议追踪观察,必要时复查骨髓。
治疗过程(D1-2)
入院第1天:HFNC,流速60 L/min,FiO2 0.6。血气分析:pH 7.43,PaCO2 37 mmHg,PaO2 72 mmHg,Lac 3.5 mmol/L。液体复苏,垂体后叶素、氨甲环酸静滴。
入院第2天:5 am,呼吸困难进行性加重,氧合不能维持,给予经口气管插管,P-A/C模式,Pi 14 cmH2O,PEEP 16 cmH2O,FiO2 1.0,PaO2/FiO2 109 mmHg。8 am,氧合进行性恶化,持续经气道内吸出大量暗红色血痰,复查血气分析:pH 7.31 ,PaCO2 46 mmHg,PaO2/FiO2 53 mmHg,Lac 2.7 mmol/L。
2月2日胸部X线片显示双肺渗出影较前明显增加(图3)。遂于当晚8点建立VV-ECMO,维持患者氧合。

图3 患者胸部X线片(2021-02-02)
明确诊断
血β-HCG:10297.5 mIU/ml。
尿HCG:阳性。
妇科超声:宫腔内未见明显胎囊,子宫内膜回声欠均匀,双侧附件区未见明显肿物。
全院会诊(2021-02-04 1pm):确诊绒毛膜癌;患者病情危重,尽快化疗(顺铂+依托泊苷);警惕溶瘤综合征等相关并发症;脏器支持。
第二阶段(ECMO+化疗)
原发病治疗:顺铂30 mg qd+依托泊苷100 mg qd(2月4日开始)。
呼吸支持:有创呼吸机辅助通气,P-A/C模式,Pi 10 cmH2O,PEEP 14 cmH2O,FiO2 0.3。VV-ECMO,血流量4~4.5 L/min,氧流量4 L/min,FiO2 1.0。
抗感染治疗:头孢哌酮舒巴坦+万古霉素。
肾脏方面:CRRT(2月4日开始)。
营养支持、VTE预防等。
经过5天的治疗,患者病情相对稳定,但咯血量仍然较大(>100 ml/d,粗略估算)。2021年2月7日,患者出现休克(VV-ECMO第5天,化疗第4天)。心率增快130~140次/min,血压82/40 mmHg;液体复苏;去甲肾上腺素泵入,0.5 μg/(kg·min)→0.7 μg/(kg·min);乳酸增高,6.9 mmol/L→12.1 mmol/L;血钾增高,5.4 mmol/L。
究竟是感染性休克,还是心源性休克?导致休克的原因是什么?是否由于溶瘤综合征引发炎症因子风暴,进而导致休克?
心脏彩超提示患者心脏结构、功能及血流均未见明显异常,EF 63%,排除心源性休克。
为了进一步维持患者的循环,将支持方式由VV-ECMO改为VAV-ECMO,之后患者循环和氧合逐渐稳定,期间给予氢化可的松治疗(3 d)。患者咯血量逐渐减少,胸部X线片显示双肺渗出影逐渐吸收,遂将支持方式由VAV-ECMO改为VV-ECMO支持。
VV-ECMO阶段(2021年2月10-13日)
呼吸支持:P-A/C模式,Pi 14 cmH2O,PEEP 6 cmH2O,FiO2 0.3。VV-ECMO,血流量2.3 L/min,氧流量2 L/min。
循环稳定,无血管活性药物。
2021年2月11日8pm,俯卧位通气(目的:促进引流,改善氧合)。
循环、氧合恶化:液体复苏,去家肾上腺素0.4 μg/(kg·min);ECMO血流量上调至3.1 L/min,氧流量3 L/min。
患者胸部X线片提示双肺透过度明显变差。床旁彩超提示双侧大量胸腔积液(图4)。行双侧胸腔引流,左侧引流血性液体1830 ml,右侧1050 ml。将引流血性液体送检血常规、胸水常规及生化,胸水常规示:李凡试验(++++),细胞总数2591895/μl,白细胞数895/μl,单个核细胞43%,多个核细胞57%。胸水生化:总蛋白30.6 g/L,ADA 3 U/L,血糖8.19 mmol/L,Cl- 107.6 mmol/L,LDH 1474 U/L。

图4 患者床旁超声结果
经对症治疗后,患者情况再次稳定。考虑患者化疗1周后,出现骨髓抑制,WBC水平下降,为了降低血流感染风险,计划撤离ECMO。
ECMO撤离
撤离前评估:夹闭ECMO氧气管路1 h,P-A/C模式,Pi 22 cmH2O,PEEP 6 cmH2O,FiO2 0.7。血气分析:pH 7.46,PaCO2 39 mmHg,PaO2 69 mmHg,Lac 0.9 mmol/L。
ECMO过程中的抗凝与出血
患者存在咯血情况,ECMO过程中给予患者低剂量抗凝,同时积极给予输注悬浮红细胞、血浆和血小板,维持患者凝血功能稳定,ECMO过程中未出现与患者原发病以外相关的出血(如消化道出血、穿刺点出血等)情况。患者ECMO过程中抗凝与出血的管理见图5。

图5 患者ECMO过程中抗凝与出血的管理
第三阶段(骨髓抑制与感染)
ECMO撤离后患者出现严重的骨髓抑制和感染,但未培养出阳性病原菌。骨髓抑制后患者WBC水平持续升高,根据ICU流行病学特点给予头孢哌酮舒巴坦+替加环素+卡泊芬净抗感染治疗,随着治疗的推进,患者咯血量逐渐减少(图6)。

图6 患者撤离ECMO后病情变化及用药方案
患者肾功能一直未恢复,撤离ECMO后,持续给予血滤。双下肢静脉彩超提示发生DVT,故给予阿加曲班治疗(2月14—19日)。
与入院前相比,2月23日患者胸部CT示团块影未见明显减少,但肺泡积血明显改善(图7)。




图7 患者胸部CT变化情况
腹部CT及超声提示右侧宫旁异常所见——来源于子宫后壁基层滋养细胞病合并动静脉瘘、血管湖形成(图8)。

图8 患者腹部CT及超声
第四阶段(化疗与康复)
调整抗感染治疗方案后,患者WBC、PCT及体温均逐渐下降(图9),期间完成了2次化疗,但强度较前降低;患者氧合逐渐改善(图10)。化疗后,患者胸部影像学亦有明显改善(图11)。

图9 患者抗感染治疗方案及体温、感染指标变化情况

图10 患者氧合及HCG变化情况

图11 患者胸部CT变化情况
最终诊断
绒毛膜癌;咯血;Ⅰ型呼吸衰竭;肺炎;血胸;贫血;骨髓抑制;急性肾功能不全;肝功能异常;凝血功能异常。
绒毛膜癌
妊娠滋养细胞疾病(GTD)是一组来源于胎盘滋养细胞的疾病。
妊娠滋养细胞肿瘤包括:胎盘部位滋养细胞肿瘤(PSTT)、上皮样滋养细胞肿瘤(ETT)、绒毛膜癌(绒癌)。
绒癌是一种高度恶性的滋养细胞肿瘤,发病率低且难以估算,约为(1~9)/4万次妊娠。
常见症状为葡萄胎、流产或足月产后出现阴道持续不规则出血;发生肺转移者可出现咯血、胸痛及憋气等症状;发生脑转移后可出现头痛、呕吐、抽搐、偏瘫甚至昏迷等。
滋养细胞肿瘤可以没有组织学诊断,而仅根据临床作出诊断,hCG水平是临床诊断的主要依据。
治疗原则以化疗为主,辅以手术和放疗等其他治疗手段。
* 本期内容根据第八届呼吸支持技术大会视频整理。
讲者简介

后可发表评论
友情链接
联系我们
公众号
客服微信