登录方式

方式一:
PC端网页:www.rccrc.cn
输入账号密码登录,可将此网址收藏并保存密码方便下次登录

方式二:
手机端网页:www.rccrc.cn
输入账号密码登录,可将此网址添加至手机桌面并保存密码方便下次登录

方式三:
【重症肺言】微信公众号
输入账号密码登录

注:账号具有唯一性,即同一个账号不能在两个地方同时登录。

登录
方式

为重症救治赋能

为患者康复加速

当前位置:首页 重症实战 空中大查房

致命空洞,合力围剿

中国医科大学附属第四医院 中国医科大学附属第四医院 发布于2025-10-22 浏览 529 收藏

汇报毛世涛

单位:中国医科大学附属第四医院呼吸与危重症医学科


一、病情介绍


1. 一般情况

患者,男性,38岁,主诉“反复发热、咳嗽、咳痰2周,加重伴咯血、胸痛、呼吸困难1周”。

2. 现病史

2周前无诱因出现发热,体温最高38.5℃,伴咳嗽、咳痰,黄痰,于当地医院完善胸部CT提示双肺炎症,遂于当地医院住院治疗,接受抗感染治疗(具体不详)7天,症状无改善。入院前1周于当地医院复查胸部CT提示肺部感染加重,伴空洞形成,继续于当地医院进行抗感染治疗(具体用药不详),症状逐渐恶化,伴咯血、胸痛、呼吸衰竭,为明确诊断转诊至我中心RICU治疗。

3. 既往史及其他

明确诊断2型糖尿病2周,目前正在接受二甲双胍缓释片降糖治疗,血糖控制差; 长期饮用碳酸饮品; 否认其他疾病特殊职业史及环境接触史

4. 入院查体

患者虚弱状态,体温37.7℃,脉搏111次/分,血压122/77 mmHg,呼吸28次/分;双肺呼吸音弱,闻及湿啰音,心律齐,心脏无杂音,腹软,无压痛及反跳痛,神经系统查体阴性。

5. 辅助检查

  • 血气分析(吸氧浓度50%条件下):pH 7.41,PaO2 67 mmHg,PaCO2 31 mmHg,氧合指数134 mmHg。

  • 血常规+感染指标:WBC 9.84×109/L,NEU 8.49×109/L(↑),NEU% 86.2%(↑);CRP 15.6 mg/L。

  • 生化指标:GLU 11.79 mmol/L(↑),HbA1c 11.6%(↑);钠128.9 mmol/L(↓),氯95.5 mmol/L(↓),白蛋白26.9 g/L(↓)。

  • 凝血功能:APTT 31.9 s,INR 1.47,Fib 8.08 g/L,PT 15.4 s,D-二聚体300 ng/ml。

  • 病原学初筛:呼吸道病毒检测阴性,肺炎衣原体抗体IgG检测阳性(+),但无法佐证患者近期曾感染衣原体。

  • 心电图:窦性心动过速、右心房肥大。

  • 周围静脉压:压肝前后3 cmH2O


二、初步诊断与治疗


1. 初步诊断

重症肺炎;肺部空洞,原因待查;Ⅰ型呼吸衰竭,2型糖尿病(血糖控制不佳)。

2. 鉴别诊断

该患者在外院接受抗感染治疗已达2周,但病情未得到控制,仍持续发热,且出现胸痛、咯血及呼吸困难等症状,提示病情呈进展性加重。针对此类经常规抗感染治疗无效且病情恶化的肺部感染患者,临床需优先明确病因归属,核心鉴别方向分为感染性疾病与非感染性疾病两大类。

1)感染性疾病:结合患者症状及影像学提示的肺部空洞表现,首要考虑以下可能性:①化脓性细菌感染,如肺脓肿等,此类感染常伴随典型的感染中毒症状,影像学易出现空洞性病变;②结核感染,患者近期确诊糖尿病,而糖尿病是结核感染的重要危险因素,且其既往健康状况不详,需警惕结核相关空洞形成;③真菌感染,患者病程中逐渐出现肺部空洞,且存在血糖控制不佳这一真菌感染的高危因素,该诊断需重点排查。

2)非感染性疾病,需警惕肺血管炎、肺部肿瘤等疾病。尽管患者年龄较轻,但肺部肿瘤所致空洞性病变在临床中并非罕见,且此类疾病进展隐匿,需通过进一步检查排除,避免漏诊。

3. 初始经验性治疗

1抗感染治疗:奥马环素100 mg qd静脉滴注(首剂加倍),联合美罗培南1.0 g q8h静脉滴注

2对症支持治疗:祛痰、止血、高流量湿化氧疗、降糖。

3)进一步完善相关检查。

4. 完善检查

  • 支气管镜检查及肺泡灌洗,镜下见:两侧支气管管腔内黏液痰,右肺下叶基底段黏膜局部溃疡,余支气管黏膜表面尚光滑。同时送检灌洗液(BALF)NGS和病原学培养。

  • 尿常规:WBC 24.20/μl(↑),上皮细胞51.5/μl(↑),管型4.15/μl(↑),葡萄糖(4+),酮体(2+)。

  • 炎症指标:CRP 227 mg/L↑),血沉96.00 mm/h↑),PCT 0.425 ng/ml(↑)。

  • 其他:免疫球蛋白A 4.24 g/L↑),免疫球蛋白G 18.3 g/L↑),铁蛋白>1534.5 ng/ml(↑)。肿瘤标志物(甲胎蛋白、癌胚抗原、糖链抗原125等)均在正常范围

  • BALF细菌涂片检查、抗酸杆菌检查、真菌涂片检查均未找到致病菌。

  • BALF NGS回报:白念珠菌(序列2115烟曲霉(序列375)小孢根霉(序列151)甲型流感病毒H1N1(序列39)。


该患者为青年男性,虽仅于近两周确诊糖尿病,但结合其同时感染曲霉与根霉的情况,需深入探究其感染的危险因素。

回顾相关文献,肺真菌病(包括毛霉病、曲霉病)的发生常与免疫功能受损密切相关,常见危险因素涵盖血液系统恶性肿瘤、粒细胞缺乏、器官移植、创伤以及糖尿病等,其中糖尿病与血液系统疾病是肺毛霉病最主要的危险因素。

文献表明,毛霉病多发生于免疫功能严重受损的宿主,多数出现在血糖控制不佳的糖尿病患者或创伤后免疫功能正常人群中。毛霉病常见危险因素具体包括糖尿病、血液系统恶性肿瘤、自身免疫性疾病,以及糖皮质激素、免疫抑制剂的应用,还有HIV感染、铁超载、烧伤、创伤(含手术)、腹膜透析、营养不良等,其中糖尿病是毛霉病最重要的危险因素,这也可能是本例患者感染真菌的关键致病因素。从危险因素的占比排序来看,糖尿病处于最高位。

不同基础疾病患者的肺毛霉病发病率存在差异。例如,在糖尿病及酮症酸中毒患者中,有17%~75%的毛霉病患者合并糖尿病,约20%的患者存在酮症酸中毒;血液系统恶性肿瘤及造血干细胞移植(HSCT)是毛霉病的重要危险因素,HSCT后12个月毛霉病累积发病率为0.29%,且在接受HSCT人群中发病率差异较大,为0.08%~0.69%。实体器官肿瘤及实体器官移植(SOT)患者报告的毛霉病发病率为0.6%~23%,不同器官移植受者发病率不同。在欧洲临床微生物与感染学会(ECMM)研究中,46%的毛霉病患者在诊断前一个月接受了皮质类固醇治疗,44%的患者接受了其他免疫抑制剂治疗。一项单中心研究显示,13%接受泊沙康唑预防的HSCT患者出现突破性侵袭性真菌感染,其中55%由毛霉所致;此外,COVID-19疫情期间,印度的毛霉病病例快速增加,截至2021年5月28日,至少报告了14872例毛霉病患者。

值得注意的是,本例患者还存在甲型流感病毒感染,病毒感染可能破坏了呼吸道生理屏障,进而加重了真菌的侵袭与感染。

肺毛霉病治疗难度大且致死率高。多数情况下,若不及时进行手术和抗真菌治疗,患者病情会迅速恶化并最终死亡,总体病死率高达54%,且病死率在很大程度上取决于感染部位、潜在基础疾病及真菌类型。其中,播散性感染患者病死率高达96%,肺部感染患者病死率为76%。

问题1:抗真菌药物如何选择?是否需要联合?联合治疗的策略是什么?




6. 治疗方案调整

鉴于本例患者为家庭主要劳动力,且病情危重、预后不容乐观,治疗团队参考2019年欧洲指南,选择了联合治疗方案。冯靖教授等针对肺移植患者(这类患者常出现曲霉或毛霉感染)开展的研究显示,通过支气管镜进行气道内灌注或喷药,可检测到两性霉素B在气道内达到有效浓度,且具有可靠的安全性,这也为该患者采用局部联合全身抗真菌治疗提供了文献支撑。

1)抗真菌:艾沙康唑负荷剂量200 mg q8h静脉滴注,联合两性霉素B胆固醇硫酸酯逐渐“爬坡”增量至5 mg/kg,同时予两性霉素B胆固醇硫酸酯25 mg bid雾化吸入(预处理)。

2)抗病毒:针对甲型流感病毒H1N1,加用帕拉米韦。

3)其他治疗:针对患者高热(体温39.2℃)、酮体(++),予以消酮、退热等对症支持治疗。

7. 辅助检查

  • 2025年1月26日内胸部CT示:右肺多发空洞,周围伴“树丫征”。

视频1:患者入院后胸部CT(2025-01-26)

  • 血常规:WBC 10.33×109/L(↑),NEU 8.93×109/L(↑),NEU% 86.5%(↑)。

  • 生化指标:GLU 15.62 mmol/L(↑),总蛋白56.6 g/L(↓),白蛋白24.5 g/L(↓),肌酐38 μmol/L(↓),尿酸185 μmol/L(↓)。

  • BALF G试验、GM试验均阴性。


三、病情变化与原因分析


1. 病情变化

患者入院第4天,突发呼吸心跳骤停,立即启动心肺复苏,同步行气管插管、机械通气,经过积极抢救,患者恢复自主呼吸与心跳。维持原方案继续抗感染治疗、床旁气管镜清理气道分泌物,第5天顺利脱机。


问题2:患者呼吸心跳骤停的原因是什么?


2. 原因分析

对于患者病情变化的原因,团队从多方面分析:

1)肺出血/大气道阻塞:患者抢救成功后,针对侵袭性肺真菌病(毛霉与曲霉合并感染),气道内大出血是重点担忧的致命风险。因此,气管插管后立即开展支气管镜检查。镜下未发现大量血性分泌物或新鲜出血,但可见较多脓性分泌物,结合患者每日需频繁吸引气道分泌物的情况,考虑存在气道内梗阻。

2)严重缺氧性呼吸衰竭:患者右肺存在超过50%的肺损伤,弥漫性病变呈现出类似ARDS的表现,致使氧合功能严重障碍。同时,患者有糖尿病酮症的基础疾病,本身对缺氧耐受性差,可能因失代偿引发呼吸骤停。

3)缺氧继发心律失常:严重缺氧虽可能引发室性心律失常、心室颤动等,进而导致心跳骤停,但患者心电监护期间未监测到明显的恶性心律失常,暂不支持该因素为主要原因。

4)败血症性休克: 毛霉与曲霉双重感染,且感染存在时间较长,前期治疗不够及时,可能发展为真菌性败血症,进而引发循环衰竭。

3. 辅助检查

  • 插管后血气离子分析:第1天,pH 7.43,PaO2 62 mmHg,PaCO2 36.8 mmHg,PO2(A-a,T) 391 mmHg,氧合指数88.5 mmHg。第2天,pH 7.41,PaO2 90 mmHg,PaCO2 41.3 mmHg,PO2(A-a,T) 287 mmHg,氧合指数150 mmHg。第3天,pH 7.45,PaO2 83 mmHg,PaCO2 43.7 mmHg,PO2(A-a,T) 147 mmHg,氧合指数207 mmHg。

  • 血常规+CRP(插管期间):WBC 7×109/L,NEU 5.4×109/L,LYM% 9.9%(↑),Hb 104 g/L(↓),PLT 95×109/L(↓);hs-CRP 107 mg/L。

  • 生化指标(插管期间):总蛋白60.5 g/L,白蛋白24.6 g/L(↓),钾3.37 mmol/L(↓),尿酸209 μmol/L(↓),尿素8.31 mmol/L(↑)

  • BALF真菌培养结果回报黄曲霉生长。

  • 2月5日(拔管后)复查胸部CT:左肺上叶空洞病变较前次增大,右肺病变较前改善(视频2)

视频2:患者入院后第2天胸部CT(2025-02-05)


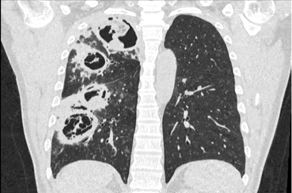
图片


1 患者胸部CT冠状面—右肺空洞样病变

心脏彩超:三尖瓣轻度反流,左室舒张功能正常。


问题3:联合治疗效果不佳,下一步的治疗方式如何进行调整?治疗时机和策略如何选择?




四、内镜干预

1. 第一次内镜清理及注药

2月6日患者病情平稳情况下进行内镜清理及注药。支气管镜示右上叶大量脓性分泌物, 气道内可见真菌菌栓形成, 主气道内可见白苔。予生理盐水灌洗, 采用1.9 mm冷冻探头取出菌栓(图2),取栓后出现大量脓性分泌物,随后经喷洒导管高压雾化注入两性霉素B胆固醇硫酸酯,覆盖病变支气管段及大气道,最后进行局部灌注(视频3)BALF送检培养。


图片


2 霉菌菌栓

视频3:第一次内镜清理及注药(2025-02-06)

BALF培养回报阴沟肠杆菌,药敏试验提示非泛耐药,继续维持美罗培南抗感染,加强气道湿化与排痰。

患者应用两性霉素B胆固醇硫酸酯,出现皮肤红肿刺痛、低钾、低白蛋白血症等情况,于是调整为两性霉素B脂质体200 mg qd静脉滴注,补充白蛋白及补钾。

2月8-9日,患者体温升高,随后呈下降趋势(图3)


图片


3 患者第一次镜下注药后体温变化情况

2. 第二次内镜清理及注药

2月13日再次行内镜清理及注药。支气管镜探查:气道内白苔消失,右侧气道黏膜肿胀减轻,脓性分泌物显著减少,无明显菌栓,予生理盐水灌洗+局部喷洒雾化注入两性霉素B胆固醇硫酸酯+气道廓清(视频4)


视频4:第二次内镜清理及注药(2025-02-13)

2月18日复查胸部CT示:右肺上叶空洞较前明显缩小,肺部病变较前明显改善(视频5)。体温控制较好(图4)


视频5:复查胸部CT(2025-02-18)


图片


4 患者第二次镜下注药后体温变化情况

3. 第三次内镜清理及注药

2月20日第三次镜下注药及清理。气管镜探查:气道内再次出现黏液栓与少量真菌菌栓,以右肺下叶背段为主。予灌洗清理,采用活检钳钳取菌栓,局部注入两性霉素B胆固醇硫酸酯(视频6)


视频6:第三次内镜清理及注药(2025-02-20)

2月24日复查胸部CT: 右肺上叶空洞样病变基本闭合, 右肺下叶基底段(前基底段和外基底段)较前明显好转, 左肺上叶空洞较前缩小(视频7)



视频7:复查胸部CT(2025-02-24)

复查病原学:BALF NGS仍提示小孢根霉(序列数3585)、烟曲霉(序列数642)、阴沟肠杆菌复合群(序列数18377)。但患者整体情况趋于好转,维持原治疗方案。

4. 第四次内镜清理及注药

3月4日第四次两性霉素B胆固醇硫酸酯注药及清理。气管镜探查: 右肺下叶背段仍有菌栓(图5), 其余气道黏膜光滑, 无脓性分泌物。用活检钳清理残留菌栓, 局部喷洒雾化注药及灌注(视频8)


视频8:第四次内镜清理及注药(2025-03-04)


图片


5 第四次镜下清理取出的霉菌菌栓


问题4:局部治疗是否继续,或者外科手术,指征和时机如何把握?


五、预后

1. 多学科会诊

胸外科及影像科医师会诊后意见:继续内科治疗,动态监测胸部CT。

2. 出院诊断

侵袭性肺毛霉病侵袭性肺曲霉病脓毒症心肺复苏后继发阴沟肠杆菌感染甲流、巨细胞病毒感染2型糖尿病血糖控制不佳糖尿病酮症离子紊乱低蛋白血症

3. 出院医嘱

1)治疗方案:抗真菌:口服艾沙康唑200 mg qd,联合抗真菌药物雾化吸入;提高免疫力、控制血糖:避免饮用碳酸饮料,定期监测糖化血红蛋白;随访:动态监测胸部CT、血常规、血糖、生化等指标,建议当地医院继续住院治疗


问题5:肺毛霉病的后续治疗、方式及疗程?肺曲霉病的后续治疗及疗程?




图片


图片
  主席  谷秀教授
  中国医科大学附属第四医院
图片
  主席  孙兵教授
  首都医科大学附属北京朝阳医院
图片
  讨论嘉宾  黄坤教授
  哈尔滨医科大学附属第二医院
图片
  讨论嘉宾  黄琳娜教授
  中日友好医院
图片
  讨论嘉宾  田桂珍教授
  北京大望路急诊抢救医院
图片
  讨论嘉宾  Doctor X
  
图片
  汇报者  毛世涛
  中国医科大学附属第四医院


  • 本文根据“重症肺言·空中大查房”第五十七期视频整理。



全部评论 0

空中大查房「57」病例汇报

毛世涛  中国医科大学附属第四医院

空中大查房「57」学术专题

张歆刚  解放军总医院第一医学中心

Copyright©2020-2026 北京医麦斯科技有限公司 版权所有 京ICP备2020034400号-1 京公网安备11010502043983号