登录方式

方式一:
PC端网页:www.rccrc.cn
输入账号密码登录,可将此网址收藏并保存密码方便下次登录

方式二:
手机端网页:www.rccrc.cn
输入账号密码登录,可将此网址添加至手机桌面并保存密码方便下次登录

方式三:
【重症肺言】微信公众号
输入账号密码登录

注:账号具有唯一性,即同一个账号不能在两个地方同时登录。

登录
方式

为重症救治赋能

为患者康复加速

当前位置:首页 重症实战 空中大查房

专题:“长毛”的气道:1例肺移植术后侵袭性真菌病诊治分享

赵丽,陈文慧 中日友好医院 发布于2025-06-11 浏览 1093 收藏

作者:赵丽,陈文慧

单位国家呼吸医学中心 呼吸和共病全国重点实验室 国家呼吸疾病临床研究中心 中国医学科学院呼吸病学研究院 中日友好医院呼吸中心肺移植科

病史情况

1. 基本情况

患者女性,67岁(起病约50岁),曾就职于面粉厂/警察局。身高160 cm,体重45 kg,BMI 17.6 kg/m2

2. 背景

60年代曾患猩红热,后治愈;同年因阑尾炎行阑尾切除术;2012年曾患带状疱疹,后治愈;19741986年,工作于面粉厂,长期接触面粉粉尘;1986年至退休,工作于公安局,从事扫黄工作;否认吸烟、饮酒史;否认食物及药物过敏史;适龄婚育,育有一女,配偶及女儿体健;父亲患膀胱癌,母亲患乳腺癌,姐姐和弟弟体健。

3. 现病史

17年前(2006年底),患者体检时胸CT发现“双肺以肺门为中心呈蝶翼状分布的片状实变影,向外延伸,可见支气管充气征及肺间质改变”(图1),无发热、咳嗽、咳痰、呼吸困难、胸闷等不适。就诊于北京某三甲医院,行支气管镜检查(2006-12-21),镜下未见异常,于右肺中叶灌入生理盐水100 ml,回收40 ml,灌洗液外观乳白色浑浊,静置20 min可见沉淀;BALF(右肺中叶)细胞学:符合肺泡蛋白沉积症,PAS(+);左下肺基底段经支气管肺活检(TBLB)病理:少许支气管黏膜、软骨及肺组织,PAS(-)。综上考虑诊断“肺泡蛋白沉积症”,但因患者无明显临床症状,未进一步治疗,嘱其密切随访。

图片

1  患者2006年12月胸部CT

10年前(2013年),患者间断出现活动后呼吸困难,偶咳白痰,无发热胸痛,未予重视。

9年前(2014年),患者呼吸困难逐渐加重,不能爬山或剧烈活动,爬2层楼梯后自觉憋气,伴咳嗽、咳痰加重,晨起为著,无发热、咯血、胸痛。再次就诊于北京某三甲医院,动脉血气分析(2014-08-27,未吸氧):pH 7.41,PaCO2 35.5 mmHg,PaO2 49.1 mmHgSaO2 82.4%;胸部CT示:双肺野可见弥漫性斑片状高密度影,部分呈铺路石样改变(图2);肺功能示:限制性通气功能障碍伴弥散功能减低(表1)2014年9月22日行全麻下全肺灌洗术,双肺均灌洗生理盐水10000 ml,分别回收淘米水样灌洗液10300 ml(左肺)及10750 ml(右肺),术后呼吸困难症状好转不明显,鼻导管吸氧5 L/min时,指脉氧饱和度可维持95%左右。出院后规律门诊随访,呼吸困难症状未减轻,需氧疗,加用粒细胞-巨噬细胞集落刺激因子(GM-CSF)150 μg 2次/日(用1周、停1周)雾化吸入治疗数月,患者症状略改善。

图片

2  患者2014年9月胸部CT

1  患者2014年肺功能检查结果

图片

8年前(2015年3月),患者症状再次加重,停用GM-CSF吸入治疗寻求中医,就诊于北京某三甲中医院,开始服用中药汤剂(具体不详),起初疗效良好,自觉症状较前明显好转,可完全脱氧,安静不吸氧状态下指脉氧饱和度为95%,后效果逐渐减退。治疗期间胸部CT如图3所示。

图片

3  患者2015年3月27日胸部CT

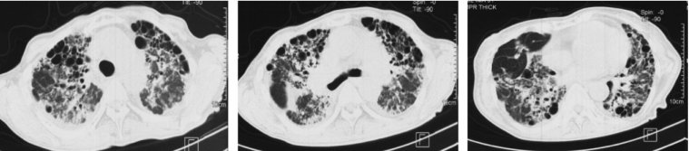
4年前(2019年4月),在北京某三甲中医院应用两次利妥昔单抗(500 mg),症状仍不见好转,患者病情再次恶化,活动后呼吸困难再次加重,活动耐力显著下降,安静不吸氧状态下指脉氧饱和度最低约为80%,需持续家庭氧疗,鼻导管吸氧3 L/min时,指脉氧饱和度可维持在95%。2019年9月5日胸部CT示:斑片实变影进展为蜂窝网格影,出现双肺纤维化及牵拉支扩改变(图4)2019年11月,患者于我院评估后考虑特发性肺泡蛋白沉积症(PAP),抗GM-CSF抗体19.4 μg/ml,建议肺移植。

图片

4  患者2019年9月5日胸部CT

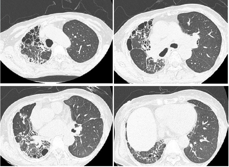
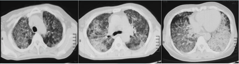
3年前(2020年12月),患者受凉后出现发热,Tmax 37.8℃,伴咳嗽、咳白痰增多,呼吸困难加重,呼吸频率最快可达40次/分左右,平地行走50米即喘憋明显,进食量下降,夜间休息极差,体重5年下降约20 kg;胸部CT如图5所示。为寻求肺移植手术行术前评估。

图片

5  患者2020年12月3日胸部CT

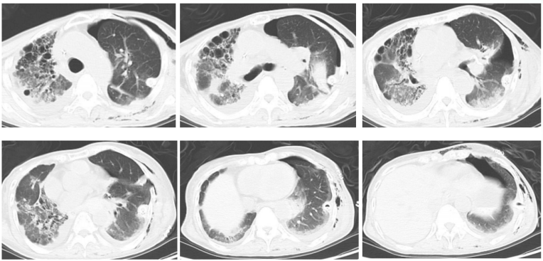
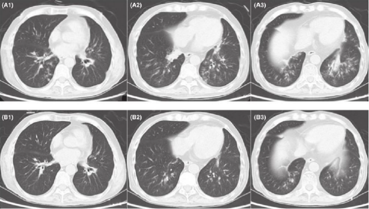
6所示为患者从2006年发现肺部病变到2020年12月胸部CT的演变。

图片

6  患者术前胸部CT演变

4. 肺移植指征—间质性肺疾病(ILD)

1)肺移植评估指征(即ILD患者何时需要转诊至肺移植中心):①组病理类型为普通型间质性肺炎(UIP),或影像学为确很可能的UIP,诊断应推荐评估;②任何形式的肺纤维化,伴用力肺活量(FVC80%预计值,一氧化碳弥散量(DLCO小于40%预计值任何形式肺纤维化,在过去2年随访中符合以下任一条:FVC相对下降10%DLCO相对下降≥15%,FVC相对下降≥5%伴呼吸系统症状加重或影像学进展;④需要氧疗对于炎症表现为主的ILD,在接受治疗情况下疾病仍持续进展(包括影像及肺功能);对于家族性纤维化或结缔组织病相关间质性肺疾病(CTD-ILD同时考虑肺外疾病表现,推荐更早接受肺移植评估。

2)肺移植手术指征(即ILD患者何时应接受肺移植手术):①任何形式的肺纤维化,经过适当的治疗,在过去6个月的随访中符合以下任一条:FVC绝对下降>10%,DLCO绝对下降>10%,FVC绝对下降>5%且伴影像学进展;②6分钟步行试验(6MWT):SpO2低于88%,或过去6个月步行距离下降>50米;③右心漂浮导管或心脏彩超提示存在肺动脉高压(无左室收缩功能异常);④因呼吸功能下降、气胸或急性加重需住院治疗。

ILD是肺移植的最主要适应证,以特发性肺纤维化(IPF)、纤维化型非特异性间质性肺炎(fNSIP)、CTD-ILD居多,其他少见疾病包括LAM、尘肺、PAP、结节病等。在CTD-ILD中,以类风湿关节炎、干燥综合征、硬皮病、皮肌炎等最为常见。PAP终末期行肺移植非常少见,报道亦少,自身免疫性PAP为常见受者。

术前评估和诊断

1. 体格检查

T 36.4℃,P 95次/分,RR 35次/分,BP 135/75 mmHg;发育正常,体型瘦弱,面容焦虑,口唇轻度发绀;呼吸浅快,双下肺可闻及少许吸气相Velcro啰音;心律齐,P2A2,各瓣膜听诊区未闻及病理性杂音;腹部查体(-);双手可见杵状指,双下肢无水肿。

2. 呼吸系统

动脉血气分析(FiO2 0.33):pH 7.4,PaCO2 60.7 mmHg,PaO2 61 mmHg,BE 10.3 mmol/L,Lac 0.42 mmol/L。

高分辨率CT(HRCT)和CT肺动脉造影(CTPA)检查如图7所示。

图片

7  患者术前HRCT和CTPA检查

3. 常规化验

  • 血常规(2020-12-21):WBC 5.35×109/L,LYM 0.29×109/L(↓↓),Hb 115 g/L(↓),PLT 280×109/L。

  • 尿/便常规均正常;肝肾功正常;甲状腺功能正常。

  • 凝血功能:Fib 6.16g/L(↑),D-D 1.38 mg/L(↑),FDP 5.25 μg/ml(↑),余阴性。

  • ESR 79 mm/h(↑)。

4. 心功能

  • 心梗四项:cTnI、CK-MB、Myo未见异常,BNP 110.11 pg/ml(↑)。

  • 心电图:窦性心律。

  • 冠脉造影:未见异常。

  • 心脏彩超:肺动脉高压(T1估测肺动脉收缩压约103 mmHg); 肺动脉及分支增宽; 三尖瓣反流(轻度); 右室收缩功能尚正常; 心包积液(局部少量); 主动脉瓣反流(轻度)。

5. 感染情况

  • PCT:阴性

  • 术前:HIV梅毒螺旋体、乙肝五项、丙肝均阴性

  • 痰病原学:均阴性

  • 病毒:血CMV-IgG+,血EBV-IgG+CMV-DNA、EBV-DNA均阴性

  • 结核相关:均阴性

  • 真菌G试验阴性,血GM试验阴性

6免疫功能

  • 自身免疫疾病相关:血管炎抗体谱p-ANCA 1:32阳性,MPO 74 U/ml,余阴性;抗核抗体谱、自免肝抗体谱、类风湿关节炎抗体谱均阴性

  • 免疫球蛋白+补体:IgG 2360 mg/dl),IgA 400 mg/dl),IgM 94.6 mg/dlC3 90.3 mg/dlC4 23.2 mg/dl

  • 淋巴细胞亚群:CD3+T细胞269 cell/μl),CD3+CD4+T细胞156 cells/μl),CD3+CD8+T细胞110 cells/μlNK细胞35 cells/μl),CD5+CD19+B细胞1.8%),CD5-CD19+B细胞9.45%B1细胞6 cells/μlB2细胞33 cells/μl

  • GM-CSF抗体(2020-07-11,北京某三甲医院):18(正常<5)

7. 术前诊断

肺泡蛋白沉积症(PAP),Ⅱ型呼吸衰竭,肺动脉高压(重度),慢性肺源性心脏病,低钠血症,阑尾切除术后。

术前情况及手术

经鼻高流量吸氧,氧浓度0.5,SpO2波动于95%~99%,无发热,间断咳嗽,干咳为主,咳少许白黏痰,活动后喘憋明显。

术前用药:头孢哌酮舒巴坦3 g q8h,复方异丙托溴铵2.5 ml q12h吸入,盐酸氨溴索90 mg qd静点,多索茶碱0.3 g qd静点,那屈肝素0.3 ml皮下注射qd预防性抗凝。

2020年12月30日,患者于VA-ECMO辅助下行左单肺移植术。

术后情况

1. 呼吸支持

2020年12月31日(术后第1天),撤除ECMO。2021年1月1日(术后第2天),拔除气管插管。2021年1月4日(术后第5天),转出ICU,予无创呼吸机辅助通气与经鼻高流量氧疗(HFNC)交替吸氧,血气分析如表2所示。

2  患者手术前后动脉血气分析情况

图片

2. 排异方面

术中免疫诱导:考虑患者较消瘦,予甲强龙250 mg ivgtt;未用巴利昔单抗。

术后抗排异方案:激素+他克莫司,霉酚酸酯(MMF)视感染情况尽早加用。

术后持续监测他克莫司(FK506)血药浓度,目标浓度8~10 ng/ml(图8)

图片

8  他克莫司血药浓度监测

3. 感染方面

对于肺移植受者采取的抗感染策略遵循广覆盖G+球菌,G-杆菌,真菌,巨细胞病毒,PJP)原则。

术后早期抗感染方案:哌拉西林他唑巴坦4.5 g q8h ivgtt预防G-杆菌感染;万古霉素0.5 g q8h ivgtt预防G+球菌感染;更昔洛韦250 mg qd ivgtt预防CMV感染(根据肌酐清除率调整,预防至术后1年);卡泊芬净50 mg qd ivgtt预防侵袭性念珠菌感染(预防至术后3周);两性霉素12.5 mg bid雾化吸入预防气道曲霉菌感染(预防至术后3个月)。

术后第1天:患者无发热,气管镜下示左肺下叶各基底段和背段管腔内少量黄白色黏痰;PCT 0.58 ng/ml(↑),血常规:WBC 12.9×109/L,NEUT% 81.3%,LYM 0.52×109/L。复查胸部CT:左侧移植肺肺野相对清晰,肺外带胸膜下可见少量斑片状磨玻璃(图9)

图片

9  患者左肺移植术后第1天胸部CT(2020-12-31)

术后早期BALF培养提示碳青霉烯类敏感的铜绿假单胞菌,继续哌拉西林他唑巴坦4.5 g q8h ivgtt治疗,加用阿米卡星0.2 g q12h雾化吸入。经治疗,患者无发热、咳嗽、咳痰,可逐步完全脱氧行走。术后第8天,复查胸片示左侧移植肺肺野较前清晰(图10)

图片

10  患者肺移植术后第1天和第8天胸片对比

2021年1月11日(术后约2周)回报BALF GM试验6.38(↑),血GM试验阴性;BALF真菌涂片及培养均阴性;BALF CMV核酸检测阳性(CT值26.2);BALF细菌培养提示碳青霉烯敏感的铜绿假单胞菌。胸片如图11所示,气管镜下可见黏膜充血明显。

图片

11  患者肺移植术后第12天胸片及气管镜下所见

虽然此时没有BALF真菌培养阳性结果,但BALF GM试验显著升高,且该患者属于侵袭性真菌病IFD高危人群单肺移植CMV核酸阳性,淋巴细胞绝对值减低,早期使用广谱抗生素12因此给予IFD抢先治疗,调整抗真菌方案停卡泊芬净,调整为伏立康唑200 mg q12h起始(首剂400 mg)同时进行伏立康唑血药浓度监测13继续哌拉西林他唑巴坦静点+阿米卡星雾化铜绿假单胞菌治疗。

图片

12  各指南提及的肺移植受者IFD的高危因素

对于器官移植的真菌预防,有几个重要概念需要了解:

1)普遍预防(universal anti-fungal prophylaxis):移植术后在分离出任何真菌病原之前所有受者给予抗真菌药物。

2)靶向预防(targeted anti-fungal prophylaxis):移植术后在分离出任何真菌病原或血清真菌标志物阳性之前IFD风险的高危受者(囊性纤维化、移植术前真菌定植/感染、强化免疫抑制治疗等)给予抗真菌药物。

3)抢先治疗(preemptive anti-fungal prophylaxis):移植术后在分离出真菌病原或血清真菌标志物阳性之后,同时缺乏IFD证据时给予抗真菌药物。

图片

13  伏立康唑血药浓度监测

4. 抢先治疗后病情演变

IFD抢先治疗后患者无发热,但咳嗽逐渐加重,以干咳为主,咳少许白痰,无咯血及胸闷喘憋,静息不吸氧状态下SpO2 99%,查体左肺未闻及干/湿性啰音

复查感染指标WBC 4.91×109/L,LYM 0.87×109/L,Hb 107 g/L,PLT 284×109/L;PCT阴性;血G试验、GM试验均阴性

支气管镜下见左主吻合口愈合良好,左肺各叶段管腔膜充血较前继续加重,触之易出血,管腔内未见明显分泌物。

BALF病原学细菌涂片及培养阴性,真菌涂片及培养阴性,BALF GM试验0.16

复查胸片示左侧移植肺肺野清晰,未见新发结节或实变影。

血气分析提示氧合指数476 mmHg。

核心问题及处理策略

1. 核心问题

核心问题——频繁干咳原因为何

再次复查胸部CT术后1天相比左侧移植肺肺野非常清晰无新发病变(图14)

图片

14  复查胸部CT

2021125日再次复查气管镜:左肺上叶开口侧壁膜可见片状灰黑色坏死物附着,表面见白色霉菌斑15,余各叶段膜充血,管腔内无明显分泌物。

BALF真菌涂片:可见真菌菌丝;BALF GM阴性;真菌培养结果未归。

图片

15  复查气管镜(2021-01-25,术后第26天)

由此,找到干咳元凶——气道真菌感染!

2. 存在的疑问

1抢先治疗为何效果差?2021年111日BALF GM升高,即开始伏立康唑抢先治疗,但患者新发咳嗽症状且日益加重,125日镜下发现左肺上叶开口侧壁新发霉菌斑。原因是:伏立康唑浓度偏低?伏立康唑耐药?其他真菌感染(如非曲霉

2是否合并其他问题比如移植肺水肿、排斥反应?术后监测FK506浓度波动于7.3~10 ng/ml复查群体反应性抗体确定试验(PRA阴性移植肺排斥证据不足心脏功能评估结果稳定没有移植肺水肿表现

3. 应对之策

沟通:积极与微生物室沟通,等待2021125BALF真菌培养结果观察:没有阳性病原结果之前,暂时继续应用伏立康唑抗真菌治疗,维持浓度达标,密切观察患者症状及体征变化,择期复查气管镜③治疗:观察期间,患者仍频繁干咳,少痰,无发热、胸闷、喘憋、咯血予复方甲氧那明、孟鲁司特等药物积极对症止咳治疗;哌拉西林钠他唑巴坦已停,继续阿米卡星雾化。

202125复查气管镜: 左肺上叶开口侧壁片状灰黑色霉菌斑, 范围较前扩大, 有累及吻合口趋势, 局部气道膜呈溃疡状改变, 伴少许渗血, 余各叶段管腔膜充血, 触之易出血

4. 确诊及治疗调整

后续微生物室BALF真菌培养回报小囊菌属/帚霉属。根据ISHLT诊断标准患者最终确定诊断真菌性气管支气管炎(小囊菌属/帚霉属)。

调整抗真菌治疗方案:米卡芬净150 mg qd静点2月6日-20日);泊沙康唑混悬液200 mg q6h口服2月6日-6月18日),同时监测血药浓度(图16)特比萘芬250 mg qd口服2月6日-6月18日)。

图片

16  监测泊沙康唑血药浓度

同时,适当下调抗排异强度醋酸泼尼松20 mg po qd → 10 mg po qd他克莫司0.5 mg po q12h→FK506目标浓度下调至7~8 ng/ml吗替麦考酚酯胶囊500 mg po q12h→减250 mg q12h

5. 随访复查

经上述治疗,患者康复出院,回归家庭,生活质量良好半年复查胸部CT(2021-06-17)左侧移植肺情况良好(图17。患者无任何呼吸系统症状

图片

17  随访胸部CT(2021-06-17)

文献复习

小囊菌属(Microascus)属于子囊菌门、真子囊菌纲、小囊菌目、小囊菌科,存在于自然环境中。小囊菌目包含帚霉属(Scopulariopsis)和它的小囊菌(Microascus)有性型。帚霉属(Scopulariopsis)隶属于真菌界,有性期隶属于子囊菌门、真子囊菌纲、小囊菌目、小囊菌科。无性期隶属于半知菌门、丝孢纲、丛梗孢目、丛梗孢科,属内包括短帚霉、顶孢帚霉、念珠帚霉、布朗帚霉等。小囊菌属为帚霉属的有性期。

帚霉菌是具有隔膜的菌丝,可以形成分生孢子链18,菌落正面为白色,柔软、有褶皱,背面为棕褐色。

图片

18  帚霉菌镜下表现

侵袭性小囊菌属/帚霉属感染,通常发生于免疫抑制人群,如血液系统恶性肿瘤、造血干细胞移植受者等。可导致心内膜炎、鼻窦炎、脑脓肿、深部皮肤软组织感染、支气管和肺部感染以及全身播散性感染。

小囊菌属/帚霉属为天然耐药定植菌,对常用抗真菌药物具有内在耐药性,包括伏立康唑、泊沙康唑、棘白菌素类、两性霉素B等。临床症状和实验室检查均不特异,早期诊断非常困难,致死率很高(~80%)。肺移植术后3~6月为感染高峰期,中位时间为术后106天(19~131天)。可能的高危因素为长期应用伏立康唑等抗真菌药物

2019年笔者团队在Mycoses杂志发表侵袭性小囊菌属/帚霉属感染的病例报告及文献回顾,纳入了本院肺移植中心所有下呼吸道标本或支气管黏膜活检组织培养出小囊菌属/帚霉属的阳性病例3例(2017—2018年),并补充了文献中的确诊病例4例(1990—2018年),共7例患者。其中6例为肺移植患者,1例为心肺联合移植患者,均为男性,平均年龄(53±17)岁,中位诊断时间为术后106(19~131)天,57.1%(4/7)在诊断前曾分离出真菌,57.1%(4/7)在诊断前曾接受过系统抗真菌治疗。此类患者特点是临床症状不典型可表现为热(4/7)、呼吸困难5/7)、胸腔积液3/7)、心包积液(1/7)等本文所述患者主要症状是干咳此类患者的实验室检查结果也缺乏特异性,可以表现为白细胞总数升高1/7)、BALF GM试验阳性(1/7)或血培养阳性1/7侵袭性小囊菌属/帚霉属感染的临床预后不佳,病死率高达80%如果临床医生对该病缺乏警惕性,诊断与治疗延迟,则很可能导致患者的不良结局。

例如文献报道中的Case 3:男性,61岁,2018年3月4日行双肺移植术;移植前3个月曾发生烟曲霉菌感染,应用伏立康唑治疗。移植术后67天出现夜间呼吸困难、伴咳嗽、黄黏痰、双下肢水肿,需应用无创呼吸机辅助呼吸。胸部CT如图19所示。

图片

19  文献报道小囊菌属/帚霉属感染患者的胸部CT

注:A:2018年5月22日胸部CT显示双肺下叶沿气道分布的多发小结节影。B:2018年8月30日胸部CT相对正常。

气管镜下示大量灰黄黏痰附着于双主支气管吻合口附近及右肺上叶、中叶开口,无法完全清除(图20)

图片

20  文献报道小囊菌属/帚霉属感染患者气管镜下表现

注:A:2018年5月22日支气管镜检查发现各叶段均有大量黄脓性黏液痰,在主支气管吻合口和右肺上、中叶开口处均观察到大量黄棕色假膜,无法完全清除。B:2018年8月30日支气管镜检查结果正常。

2019年美国移植学会发布了《实体器官移植受者少见真菌感染临床实践指南》,其中对小囊菌属/帚霉属感染的治疗建议是特比萘芬+伏立康唑/泊沙康唑, 或卡泊芬净+伏立康唑/泊沙康唑既往文献报道的4例患者均采用此种推荐方案,但结局不佳(死亡)。笔者团队报道的3例患者采用了“泊沙康唑+米卡芬净+特比萘芬”的三联治疗方案存活。所以, 泊沙康唑+米卡芬净+特比萘芬可能是针对侵袭性小囊菌属/帚霉属感染的有效治疗方案, 能够改善患者的生存率。

小结

肺移植术后IFD以曲霉菌和念珠菌感染多见, 但见真菌感染同样不容忽视。真菌性气管支气管炎是肺移植后IFD的常见感染形式, 很多患者并没有胸部影像学异常, 此时不要放松警惕,如果患者(尤其是免疫抑制宿主)持续呼吸系统症状, 经过三唑类抗真菌治疗没有缓解或缓解不明显, 应考虑到少见真菌感染可能, 建议进一步行支气管镜检查, 以免漏诊小囊菌属/帚霉属对常见抗真菌药物高度耐药, 推荐2种或3种药物联合, 其中泊沙康唑+米卡芬净+特比萘芬的三药联合方案可能是针对侵袭性小囊菌属/帚霉属感染的有效治疗方案, 能够改善患者预后。

图片
图片
图片


   参考文献    

上下滑动阅览

[1] Leard LE, Holm AM, Valapour M, et al. Consensus document for the selection of lung transplant candidates: An update from the International Society for Heart and Lung Transplantation[J]. J Heart Lung Transplant, 2021, 40(11):1349-1379. 

[2] Husain S, Camargo JF. Invasive Aspergillosis in solid-organ transplant recipients: Guidelines from the American Society of Transplantation Infectious Diseases Community of Practice[J]. Clin Transplant, 2019, 33(9):e13544. 

[3] 中华医学会器官移植学分会. 器官移植受者侵袭性真菌病临床诊疗技术规范(2019版)[J]. 器官移植, 2019, 10(3):227-236.

[4] Pascual A, Csajka C, Buclin T, et al. Challenging recommended oral and intravenous voriconazole doses for improved efficacy and safety: population pharmacokinetics-based analysis of adult patients with invasive fungal infections[J]. Clin Infect Dis, 2012, 55(3):381-390. 

[5] Huang L, Chen W, Guo L, et al. Scopulariopsis/Microascus isolation in lung transplant recipients: A report of three cases and a review of the literature[J]. Mycoses, 2019, 62(10):883-892. 

[6] Shoham S, Dominguez EA; AST Infectious Diseases Community of Practice. Emerging fungal infections in solid organ transplant recipients: Guidelines of the American Society of Transplantation Infectious Diseases Community of Practice[J]. Clin Transplant, 2019, 33(9):e13525. 


    作者介绍    

图片
陈文慧

中日医院呼吸与危重症医学科副主任兼肺移植科副主任,主任医师,硕士生导师;2016年在美国杜克大学习肺移植;国家卫健委肺移植专业质控中心副主任,中国康复医学会呼吸康复专业委员会副主任委员,中华医学会呼吸危重症学组委员,THORAX中文版副主编。


图片

赵丽

中日医院肺移植科,副主任医师;中国健康促进基金会呼吸病学专家委员会委员,中国研究型医院学会糖尿病学专业委员会委员;THORAX杂志中文版编委;主要研究方向为肺移植术前评估与术后管理。

图片
图片
图片

全部评论 0

名院大查房「34」病例汇报

肖坤  解放军总医院第八医学中心

名院大查房「34」学术专题

赵丽  中日友好医院

Copyright©2020-2026 北京医麦斯科技有限公司 版权所有 京ICP备2020034400号-1 京公网安备11010502043983号