登录方式

方式一:
PC端网页:www.rccrc.cn
输入账号密码登录,可将此网址收藏并保存密码方便下次登录

方式二:
手机端网页:www.rccrc.cn
输入账号密码登录,可将此网址添加至手机桌面并保存密码方便下次登录

方式三:
【重症肺言】微信公众号
输入账号密码登录

注:账号具有唯一性,即同一个账号不能在两个地方同时登录。

登录
方式

为重症救治赋能

为患者康复加速

当前位置:首页 重症实战 空中大查房

病例:源于证据,重在实践:一例老年重症感染患者的救治

肖璐 津中医药大学第一附属医院 发布于2025-06-10 浏览 976 收藏

作者:肖璐

单位天津中医药大学第一附属医院急症部


病情介绍

一般情况

患者男性,71岁,退(离)休人员。主诉:咳嗽、咳痰3个月,发热1天。入院时间:2024年9月28日。

现病史

患者3个月前无明显诱因出现咳嗽,咳痰,痰黏量少,未予重视,未治疗,症状无明显缓解。1个月前患者于当地某三甲医院查肺部CT示肺部阴影,为进一步明确诊断,于本市另一专科医院查PET-CT,考虑“肺部肿物”,未行病理检查,后于我院中药调理。1天前患者无明显诱因出现发热,体温最高达38.7℃,伴乏力,无寒战,间断咳嗽少痰,微喘息,自行口服退热药物后体温下降至正常,为求进一步诊疗,由急诊收入我病区。现症见:患者神清,精神弱,呼吸稍促,暂无发热,咳嗽,咳痰,咳黄白黏痰,无鼻塞流涕,乏力,活动后气喘,偶有胸闷憋气,无胸痛不适,无腹胀腹痛,纳差,寐差,少尿,便秘,近1月体重下降3~4 kg。

既往史

冠心病病史、房颤30年,平素口服硫酸氢氯吡格雷片75 mg qd,单硝酸异山梨酯片20 mg bid,阿托伐他汀钙片20 mg qd,利伐沙班片15 mgqd,富马酸比索洛尔7.5 mg qd等药物,病情控制稳定。

糖尿病病史5年, 平素口服二甲双胍片0.5 g tid, 达格列净5 mg qd, 自诉血糖控制尚可。

阑尾炎手术30余年,具体不详。

过敏史

否认药物过敏史、食物过敏史及其他接触物过敏史。

体格检查

体温36.5℃,脉搏130次/分,呼吸18次/分,血压90/50 mmHg。神志清,发育正常,形体适中,营养中等,自动体位,查体配合,全身皮肤无黄染及出血点。眼睑无水肿,眼球无突凹,结膜无充血,双侧瞳孔等大等圆,对光反射存在。口唇苍白,颈软无抵抗,气管居中,甲状腺无肿大,颈动脉搏动对称,颈静脉无怒张。胸廓无畸形,双侧呼吸动度一致,双肺呼吸音低,可闻及湿啰音。心前区无隆起,无细震颤,心音强弱不等,心率142次/分,律不齐,各瓣膜听诊区未闻及病理性杂音。腹软,无压痛及反跳痛,肝脾肋下未及,移动性浊音阴性,肠鸣音正常,双肾区无叩击痛。脊柱四肢无畸形,双下肢不肿。生理反射存在,病理反射未引出。四肢肌力正常。SOFA评分3分。

入院化验检查(2024-09-28)

  • 血常规:WBC 10.46×109/L,NEU 8.16×109/L,NEU% 78%,LYM% 10.5%,MON% 11.4%,EOS% 0%。余指标正常。

  • 快速CRP 122.33 mg/L,超敏CRP>10 mg/L。

  • 生化指标:GLU 11.57 mmol/L,肌酸激酶25.7 U/L,乳酸脱氢酶297.3 U/L,α-羟丁酸脱氢酶214.9 U/L,总胆红素29.74 μmol/L,直接胆红素12.19 μmol/L,高密度脂蛋白胆固醇0.97 mmol/L,间接胆红素17.55 μmol/L,肾小球滤过率77 ml/(min·1.73m2)。余指标正常。

  • 凝血四项:PT 14.8 s,纤维蛋白原5.42 g/L,PT活动度65.5%。余指标正常。

  • D-二聚体0.39 mg/L。

  • 尿常规:尿白细胞(±),酮体、尿胆原、胆红素、尿蛋白均(+),尿葡萄糖(+++)、尿比重1.040。

  • 血气分析:pH 7.42,PaO2 64.68 mmHg,PaCO2 33.79 mmHg,Na+ 132.57 mmol/L,Ca2+ 1.07 mmol/L,Glu 9.68 mmol/L,氧合指数308 mmHg。

  • 细胞因子:IL-2 7.46 pg/ml,IL-4 4.30 pg/ml,IL-6 564.60 pg/ml,IL-10 9.42 pg/ml。

  • 痰培养+药敏:干燥奈瑟氏菌,草绿色链球菌,呼吸道正常菌群生长。

  • 病毒六项、真菌、支原体均为阴性;病原体六项中肺炎链球菌和肺炎克雷伯菌阳性。

影像学(2024-09-30)

双肺炎症右肺明显,少量胸腔积液肺部占位1

图片

1  患者入院胸部CT

初步诊断

脓毒症;肺部感染;肺占位性病变;胸腔积液;冠状动脉粥样硬化性心脏病,心律失常—心房颤动,心功能Ⅳ级(NYHA);2型糖尿病。

诊治经过

初步治疗

厄他培南抗感染,氨溴索注射液化痰,补液晶体2000 ml,血必净注射液治疗脓毒症,泮托拉唑抑酸,多巴胺升压。

上述治疗后患者血压升高不明显,由90/50 mmHg至100/64 mmHg;尿量少,24小时700 ml。留置中心静脉导管,去甲肾上腺素静脉泵入甲泼尼龙40 mg qd静滴。但患者去甲肾上腺素反应不佳,每小时尿量不增。

病情变化

10月1日22:09患者突发喘憋,不能平卧,间断咳嗽、咳粉红色泡沫样痰,时有谵妄,无胸痛。查体:血压100/70 mmHg,心率118~123次/分,律不齐,血氧饱和度96%,呼吸22次/分,双肺可及少量湿啰音,周身湿冷。复查心电图示房颤,ST-T较前无显著变化。考虑急性左心衰,予西地兰强心、呋塞米利尿治疗,但利尿剂效果不佳。

床旁胸水定位

患者取坐位行胸腔扫查,右侧胸腔可见液性暗区,最深处11.8 cm,左侧胸腔未见明显液性暗区。超声提示右侧胸腔积液。遂行穿刺引流胸腔积液。

床旁心脏彩超

提示:左心增大,右房饱满,左室壁运动减低,左心功能减低,二尖瓣、三尖瓣、主动脉瓣轻度反流,肺动脉高压。

复查化验

  • 心梗三联hsTn0.044 ng/ml(↑)。

  • NT-proBNP 2440 pg/ml(↑)。

  • 乳酸3 mmol/L↑)。

病因考虑

考虑患者出现心源性休克,可能原因是脓毒症心肌病。

目前尚无脓毒症心肌病的明确定义,但需符合以下5个特征:①在脓毒症发生后急性起病,通常呈现可逆性改变,一般为7~10天;②全心或单侧心室的收缩功能下降;③左心室扩张;④对液体复苏和儿茶酚胺反应性下降;⑤排除急性冠脉综合征。

调整治疗

加用新活素,未予负荷量,予0.007 μg/kg·min持续泵入调整去甲肾上腺素剂量维持血压在120/80 mmHg左右间断予西地兰强心、呋塞米利尿。患者尿量较前增加。

但患者仍有发热,考虑感染控制不佳。2024年10月3日痰NGS回报:具核梭杆菌(序列数100),咽峡炎链球菌群(序列数81);黄曲霉复合群(序列数21),EB病毒(序列数872)。

考虑患者本身可能肺癌患者免疫力较差既往糖尿病病史,所以还要考虑覆盖黄曲霉目前指南优先推荐三唑类药物用于侵袭性曲霉病的治疗。通常首选伏立康唑,但伏立康唑可能存在中枢神经系统毒性,与激素联合应用时,会发生谵妄而泊沙康唑和艾沙康唑的抗菌谱相对更广当时选择泊沙康唑抗感染治疗并且泊沙康唑具有较高的抗曲霉活性,其对常见曲霉的MIC值较艾沙康唑和伏立康唑更低。此外,泊沙康唑治疗相关的精神疾病发生率也低于伏立康唑。所以,2024年10月3日加用泊沙康唑注射液,首日加倍后维持300 mg qd。

疗效分析

加用泊沙康唑后,患者血压回升,去甲肾上腺素减停体温逐渐下降并趋于平稳(图2)。泊沙康唑静脉2周后改口服。

图片

2  治疗过程中患者体温等变化情况

治疗过程中,PCTWBC整体并未特别升高,CRP持续下降(图3)炎症因子IL-2、IL-4下降明显(图4)。此外,患者的心功能也逐渐改善尽管在病程后期NT-proBNP偏高,但较患者心衰发作时已明显降低(图5)

图片

3  治疗过程中患者感染指标变化情况

图片

4  治疗过程中患者炎症因子变化情况

图片

5  患者NT-proBNP变化情况

复查心脏彩超:射血分数由36%升至56%,主动脉硬化左心房增大,左室壁节段性运动异常,二尖瓣、三尖瓣、主动脉瓣轻度反流,心律失常。

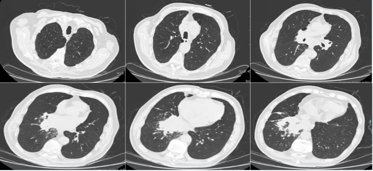
2024年10月17日复查胸部CT:炎症胸腔积液明显吸收(图6)

图片

6  复查胸部CT

小结

肿瘤患者(包括未接受放/化疗及靶向药物治疗的患者)是发生侵袭性曲霉病的高危人群。三唑类药物是侵袭性曲霉病治疗的首选。泊沙康唑为侵袭性曲霉病的一线药物,且抗菌谱广,可覆盖毛霉。泊沙康唑较伏立康唑产生精神类不良反应的发生率低,安全性佳,但整体用药经验仍有待积累。


    作者介绍    

图片

肖璐

天津中医药大学第一附属医院急症部副主任医师,硕士生导师,医学博士,学博新锐人才,中华中医药学会急诊危重症分会青年委员,中国中西医结合学会针药分会青年委员,中国老年保健协会呼吸专委会常委,天津市中医药学会急诊与危重症分会委员,天津市医疗健康学会肌病专委会委员,天津市胸痛与复苏学会急诊医学专委会委员,主持国家级课题3项,局级课题4项,参与国家级课题2项、局级课题6项,同时发表SCI 20余篇,核心论文20余篇,参编人民卫生出版社著作及教材各1部。
图片
图片
图片

全部评论 0

名院大查房「33」病例汇报

肖璐  天津中医药大学第一附属医院

名院大查房「33」学术专题

李萍  山西白求恩医院

Copyright©2020-2026 北京医麦斯科技有限公司 版权所有 京ICP备2020034400号-1 京公网安备11010502043983号