登录方式

方式一:
PC端网页:www.rccrc.cn
输入账号密码登录,可将此网址收藏并保存密码方便下次登录

方式二:
手机端网页:www.rccrc.cn
输入账号密码登录,可将此网址添加至手机桌面并保存密码方便下次登录

方式三:
【重症肺言】微信公众号
输入账号密码登录

注:账号具有唯一性,即同一个账号不能在两个地方同时登录。

登录
方式

为重症救治赋能

为患者康复加速

当前位置:首页 重症实战 空中大查房

病例:IAPA—流感相关性肺曲霉病

段智梅 解放军总医院第一医学中心 发布于2025-06-03 浏览 1178 收藏

作者:段智梅

单位:解放军总医院第一医学中心呼吸与危重症医学科

图片

流感在每年11月末到次年1月份流行,每年历时接近3个月。全球每年估计有多达65万人死于流感。流感重症的发病率约为20%,流感相关性肺曲霉病(influenza-associated pulmonary spergillosis,IAPA)所导致的ICU死亡率是流感死亡率的2倍。尽管早在1952年就有文献描述了流感重症患者因真菌Aspergillus(曲霉)引起侵袭性肺曲霉病的超级感染病例,但IAPA作为一个独立的疾病实体,是在2009年H1N1流感大流行后的10年间才被识别出来。随着对IAPA认识的加深,相应的文献报道也越来越多。

IAPA的流行病学

IAPA定义为重症或危重症流感病毒性肺炎患者于流感确诊后3周内诊断为侵袭性肺曲霉病(invasive pulmonary aspergillosis,IPA),其病死率高达51%,明显高于单纯重症流感患者的病死率(约28%)。

2024年Chest发表的一项系统评价和荟萃分析纳入了10篇文献,其中包括4篇中国文献以及欧洲等国家的文献,结果发现,IAPA的发病率从6.3%到60%不等。同年,Lancet Respir Med 发表的一篇综述也分析了IAPA的流行病学情况,结果表明IAPA在ICU住院期间的发病率差异很大,这可能与固有的地理差异,真菌相关因素(如曲霉的环境负担或毒力因子差异)、宿主相关因素(如宿主人群基因背景、疫苗接种率的差异或其他未知原因)有关;此外,还与临床中相应真菌学检测有关。IAPA的诊断高度依赖支气管肺泡灌洗取样,取样的使用增加会导致病例检测增加,漏诊减少;报告频繁进行支气管肺泡灌洗取样的研究观察到的IAPA和COVID-19相关肺曲霉病(CAPA)的中位发病率为19%,而那些报告不频繁取样的为9%,没有报告取样频率的为5%。在北美发表的研究中,没有任何一项具有高频率的支气管肺泡灌洗取样,这在解释IAPA和CAPA发病率的地理差异时是一个重要的警告。这一点在前瞻性观察性CAPA研究中得到了进一步证明,这些研究报告的发病率高于回顾性研究。

IAPA的危险因素

IAPA的危险因素:①经典的免疫抑制患者是IAPA的高危因素;②ICU中高危的基础疾病:例如慢阻肺、肝炎、肝硬化、艾滋病、糖尿病、营养不良,血液系统恶性肿瘤等;③ICU高危合并症:例如重症流感/新冠、细菌性肺炎,ARDS。

2018年Lancet Respir Med杂志发表了一项回顾性队列研究,研究纳入2009年1月1日至2016年6月30日7个三甲医院的ICU(2个来自比利时,5个来自荷兰)7个流感季的432例重症流感患者,结果发现:流感病毒、高龄、男性、高APACHEⅡ评分是IPA的独立危险因素;经典的免疫抑制宿主、血液系统恶性肿瘤、实体器官移植、中性粒细胞减少(粒缺)、慢性阻塞性肺疾病(COPD)、入ICU前糖皮质激素的使用也是IPA相关的危险因素。IPA流感患者90天病死率为51%,非IPA流感患者90天病死率为28%。由此可见,流感病毒感染是IPA的独立危险因素,并与高死亡率相关。研究还发现,IPA会显著影响流感患者在ICU的治疗情况及预后,且在诊断检测方面,IPA流感患者与非IPA流感患者存在明显差异。IPA流感患者使用呼吸机以及支持天数、一氧化氮或高频振荡通气的使用、ECMO支持、肾脏替代治疗的情况显著多于非IPA流感患者;此外,IPA流感患者ICU住院时间、ICU病死率、住院病死率也显著高于非IPA流感患者,在BALF标本检测、BALF-GM试验和血清GM试验方面,IPA流感患者也显著高于非IPA流感患者。

2018年Curr Opin Infect Dis杂志和2024年Chest杂志发表的文献也都提及IAPA的危险因素涉及既往基础疾病,包括肝硬化、COPD、住院前使用糖皮质激素、糖尿病、血液系统恶性肿瘤、造血干细胞移植、免疫抑制、粒缺、实体器官恶性肿瘤、实体器官移植。荟萃分析表明,IAPA患者中器官移植、恶性肿瘤、血液系统恶性肿瘤、免疫抑制、入住ICU前应用激素治疗较单纯流感重症肺炎患者更多见。

IAPA的发病机制

我们每个人每天吸入100~1000个曲霉孢子(分生孢子),我们的免疫系统与这种真菌共同进化,以防止发生IPA。宿主对曲霉的防御涉及多种免疫作用:第一层防御层是气道上皮的防御作用,气道中先天免疫屏障的完整性对于防止曲霉进入肺实质的侵袭性生长至关重要,因此流感和COVID-19引起的气道损伤使患者易患与病毒性肺炎相关的IPA。第二层是肺泡巨噬细胞和中性粒细胞的吞噬作用。这些细胞通过吞噬和释放活性氧(ROS)以及产生细胞因子和趋化因子来消除分生孢子。流感病毒已被证明可以抑制肺泡巨噬细胞和中性粒细胞中还原型烟酰胺腺嘌呤二核苷磷酸(NADPH)氧化酶依赖的ROS的产生,影响其杀菌能力。第三层是中性粒细胞杀死菌丝,中性粒细胞脱颗粒和产生ROS的能力下降可能会影响这一过程。第一层受到影响的是上皮屏障的破坏,这阻碍了对曲霉分生孢子的黏膜纤毛清除,并为菌丝侵入组织铺平了道路。曲霉菌识别能力降低(例如,通过曲霉菌特异性IgG的消耗)、对IFN-γ的反应降低以及肺泡巨噬细胞消耗并招募促炎但未完全分化的单核细胞可能与这一过程有关。第二层受影响的是肺泡巨噬细胞和中性粒细胞对孢子和菌丝的清除能力明显下降,为IPA的形成创造了有利条件。

IAPA的病理和临床特征

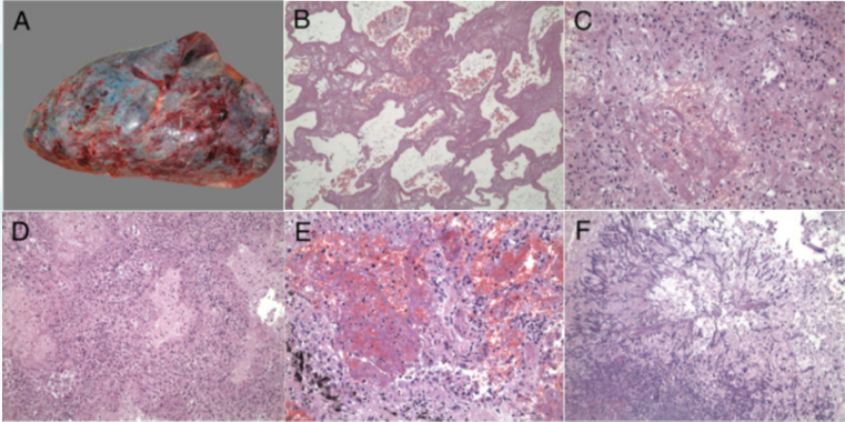
1所示为重症IAPA患者尸检情况:肺组织大体检查充血和实变,质量增加;显微镜下可见:肺泡内水肿和/或纤维变性、坏死性细支气管炎、出血;弥漫性肺泡损伤、透明膜形成;组织内大量曲霉菌丝、小脓肿灶;气道微环境破坏与曲霉侵袭。

图片

1  IAPA死亡病例肺组织样本的组织病理学变化

图源:Chest, 2011, 139(5):1156-1164.

病毒进入人体会导致气道生物屏障被破坏,而人体对抗真菌的免疫功能也会随着病毒的侵袭逐渐减弱,病毒复制会随之明显增强,此种情况很容易导致IPA的形成。IAPA大多在入住ICU 48小时内确诊。2024年Chest 杂志发表的一项荟萃分析发现,IAPA患者中SOFA评分、APACHEⅡ评分更高,伴发ARDS患者更多,而发热及咯血两者之间无差别。此外,IAPA患者较单纯重症流感肺炎患者病情更重,需要机械通气及机械通气时间更长,需要肾脏替代治疗、ECMO支持、血管活性药物使用的患者更多。

IAPA的诊断和治疗

1. 影像学

IAPA的影像学表现为血管侵袭型和气道侵袭型。血管侵袭型包括晕征、楔形实变影、实变中的低密度坏死灶、空气新月征、空洞,多见于粒细胞缺乏患者。气道侵袭型包括小叶中心型结节影、沿气道分布的结节及斑片影、支气管壁增厚、“树芽征”等,多见于非粒细胞缺乏的免疫抑制患者。

图片

2  IAPA影像学表现

图源:中华结核和呼吸杂志2020年5月第43卷第5期.

2. 气管镜

IAPA气管镜下的典型表现为假膜、溃疡、结节样的病损、斑块等(55%),当重症流感患者在气管镜下出现上述典型表现时应高度怀疑曲霉感染的可能。

图片

3  IAPA气管镜下表现

图源:中华结核和呼吸杂志2020年5月第43卷第5期.

3. 抗原检测、涂片和培养

IAPA的诊断具有挑战性,主要由于影像学特征通常不特异(与中性粒细胞减少症患者相比),血清半乳甘露聚糖的低敏感性以及上呼吸道定植。支气管镜检查及BALF采样是诊断过程的基石,因能够采样下呼吸道。气管插管患者的气管镜检查相对容易,而重症未插管患者的支气管镜检查相对困难。临床中我们通常采用GM试验进行辅助判断。对于粒缺患者,血清GM试验(>0.5 μg/L)的敏感性相对更高,但对于免疫功能正常或免疫功能轻度损伤患者,BALF GM试验的敏感性和特异可能要优于血清GM试验,BALF GM试验>1 μg/L,敏感性为79.7%,特异性为93.8%,阳性预测值为85.5%,阴性预测值为91%。此外,呼吸道标本的快速现场微生物学评价技术(M-ROSE)、涂片和培养也可以帮助我们进行判断。

4. 基因检测

检测曲霉DNA的PCR检测在BALF中的使用越来越多。应使用定量循环阈值进行曲霉PCR检测,因为高循环阈值可能反映的是定植而非侵袭性疾病。一些PCR检测可以同时检测曲霉CYP51A基因中的某些唑类抗性突变。曲霉PCR可在血浆或血清中进行,但在重症病毒性肺炎中的研究较少。

NGS是一种基于高通量测序的分子诊断方法,通过直接检测临床样本(如BALF、血液或组织)中的真菌基因组片段,快速识别曲霉感染并明确菌种分型。相较于传统培养、GM试验PCR技术,NGS能够辅助鉴别混合感染或罕见菌种,并识别耐药基因突变,为精准抗真菌治疗提供依据。在IAPA和CAPA的临床场景中,NGS技术可在数小时内完成检测,尤其适用于ICU患者病情危重、传统检测假阴性率高或影像学表现不典型的情况。但需注意其局限性,如检测成本较高、需结合临床背景解读结果,并警惕环境或样本污染导致的假阳性。

5. 诊断标准和诊断流程

2018年,Schauwvlieghe及其同事提出的修订AspICU标准现今广泛使用的IAPA诊断标准,其中准入标准流感样疾病+流感PCR抗原阳性+时间关系;诊断方面分为确诊和临床诊断(表1)

1  修订AspICU诊断标准

图片

2020年Verweij等在文献复习的基础上提出了IAPA诊断标准的专家共识强调重症流感本身即为IAPA的危险因素:诊断标准中不包含其他宿主因素,只需要符合入ICU重症流感患者的纳入条件;明确区分了流感相关曲霉性气管支气管炎(aspergillus tracheobronchitis,ATB)和IPA:有助于早期识别;强调了气管镜的重要性:研究表明高达50%的IAPA都是曲霉性气管支气管炎,无论是气管镜镜下的典型表现还是气管镜获取BALF标本行GM试验或真菌培养都是诊断标准的重要条目;未获得高质量下呼吸道标本时的处理流程:若未取得BALF标本而只是痰或气管内吸引物培养阳性时的影像学标准必须严格,一定要出现典型空洞才能诊断;而当GM试验结果和痰培养结果矛盾时应该以GM试验结果为主。

IAPA诊断流程如图4所示。

图片

4  IAPA诊断流程图

图源:中华结核和呼吸杂志, 2021, 44(7):651-655.

6. 治疗、结局及预后因素

1)抗病毒治疗:早期(48 h内)应用奥司他韦(成人剂量每次150 mg,每天2次,可能不止5天的疗程)对于治疗IAPA有帮助。

2)抗真菌治疗:对于强烈怀疑IPA的患者,有必要在进行诊断性评估的同时,尽早开始抗真菌治疗。

3)免疫调节治疗:妥珠单抗、抗IL-6药物、IL-1受体抑制剂。

4)支持治疗:多次气管镜下吸痰、俯卧位治疗、机械通气等通过改善痰液引流及肺通气、ECMO、CRRT可辅助早期清除炎性介质、抑制过度炎症反应,从理论上讲可能辅助IAPA的治疗。

IAPA患者中ICU死亡率、全因死亡率、ICU住院时间及住院时间较单纯重症病毒性肺炎患者有显著性差异。诊断和治疗延迟明显增加IAPA患者的死亡率。

病例分享

病例1

一般资料:患者男性,49岁,农民;既往糖尿病病史,胰岛素控制血糖,但血糖控制不佳,高血压病史,有外伤史。入ICU时间:2022-01-11。出院时间:2022-02-21。

病史:主诉"鼻塞20天, 发热、咳嗽15天, 气管插管术后1天"。发病到ICU时间为20天。APACHEⅡ评分10分, SOFA评分3分, PaO2/FiO2 135 mmHg(↓)。甲/乙流核酸阴性, 血GM试验0.27 μg/L, 血G试验92.3 pg/ml。入院前使用抗生素: 哌拉西林他唑巴坦、莫西沙星、利奈唑胺、亚胺培南西司他丁等。

化验检查:WBC 10.158×109/L(↑),NEU% 24.2%(↓),LYM% 11%(↓),PCT 0.537 ng/ml(↑),CRP 11.358 mg/L(↑),CD3 88.19%,CD4+T 473.13 /μl(↓),CD8+T 236.97 /μl(↓)。IL-1 9.01 pg/ml,IL-2 2124 U/ml,IL-6 129.30 mg/dl,IL-8 125 pg/ml,IL-10 5 pg/ml,TNF-α 14.10 pg/ml。

BALF检测(2022-01-12):巨噬细胞23%,淋巴细胞5%,中性粒细胞72%,嗜酸性粒细胞0,细胞总数6.9×106GM试验阴性。BALF培养结果为烟曲霉、嗜麦芽窄食假单胞菌。BALF NGS回报烟曲霉(序列数1092),黄曲霉(序列数2),乙型流感病毒(序列数39)。ROSE镜下可见大量曲霉菌丝。

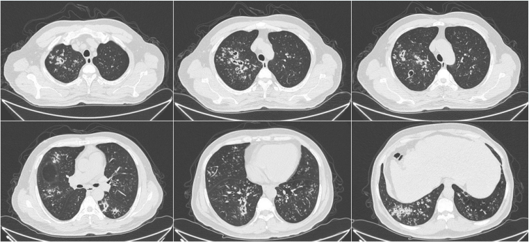
胸部CT(2022-01-10):沿支气管血管束分布的大片状实变影及结节影,胸膜下楔形影和空洞影,可见支气管充气征(图5)

图片

5  病例1胸部CT

气管镜(2022-01-12):气道狭窄明显,气管内黏膜白斑、假膜、斑块、结节等,黏膜触之易出(图6)

图片

6  病例1气管镜下表现

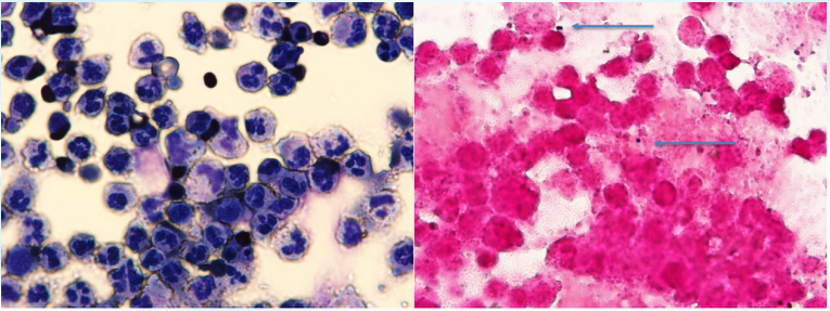
ROSE:纤维镜下见大量菌丝,锐角分叉,可见分隔,结合形态考虑曲霉菌丝(图7)

图片

7  病例1 ROSE表现

曲霉药敏检测如图8所示。

图片

8  曲霉药敏检测

治疗:①抗真菌治疗:伏立康唑负荷剂量后200 mg q12h(2022-01-13至2022-01-21),300 mg bid(2022-01-21至2022-02-21)+两性霉素B(2022-01-13至2022-02-21)10 mg bid雾化。监测伏立康唑血药浓度:1.282 mg/dl(2022-01-19),4.013 mg/dl(2022-01-26),3.39 mg/dl(2022-02-16)。②抗细菌治疗:左氧氟沙星+美罗培南+利奈唑胺。

临床结局:好转出院。

病例2

一般资料:患者男性,35岁,农民;既往体健。入ICU时间:2022-01-12。出院时间:2022-02-08。

病史:主诉"发热2周,胸闷、喘憋1周,气管插管术后4天"。发病到ICU时间为12天。APACHEⅡ评分12分,SOFA评分5分,PaO2/FiO2 178 mmHg(↓)。乙型流感病毒RNA检测阳性, 血GM试验0.345 μg/L, 血G试验119.5 pg/ml。入院前使用抗生素: 头孢哌酮舒巴坦、左氧氟沙星、奥司他韦、伏立康唑等。

化验检查:WBC 30.07×109/L(↑),NEU% 94.4%(↑),LYM% 1.5%(↓),PCT 3.32 ng/ml(↑),CRP 21.29 mg/L(↑),CD3 77.56%,CD4+T 288.62 /μl(↓),CD8+T 225.61 /μl(↓)。IL-1 26.2 pg/ml,IL-2 1277 U/ml,IL-6 921.9 mg/dl,IL-8 86.4 pg/ml,IL-10 12.1 pg/ml,TNF-α 19.4 pg/ml。

BALF检测(2022-01-12):巨噬细胞30%,淋巴细胞1%,中性粒细胞69%,嗜酸性粒细胞0,细胞总数0.001×106GM试验>5 μg/L。BALF培养结果为烟曲霉、鲍曼不动杆菌。BALF NGS回报烟曲霉(序列数310),乙型流感病毒(序列数990)。ROSE镜下偶见曲霉菌丝。

胸部CT(2022-01-10):沿支气管血管束和胸膜下分布的结节影和斑片影(图9)

图片

9  病例2胸部CT

气管镜(2022-01-12):气道狭窄明显,黏膜充血,黏膜大量糜烂溃疡、假膜、斑块等,黏膜触之易出血(图10)

图片

10  病例2气管镜下表现

ROSE:显微镜下见菌丝,锐角分叉,结合培养及NGS考虑曲霉菌丝(图11)

图片

11  病例1 ROSE表现

曲霉药敏检测如图12所示。

图片

12  曲霉药敏检测

治疗:①抗真菌治疗:伏立康唑负荷剂量后200 mg q12h(2022-01-12至2022-01-25),300 mg bid(2022-01-26至2022-02-08)+卡泊芬净负荷剂量后(2022-01-12至2022-02-08)50 mg qd+两性霉素B 10 mg bid雾化。监测伏立康唑血药浓度:0.907 mg/dl(2022-01-19),0.563 mg/dl(2022-01-28),5.625 mg/dl(2022-02-07)。②抗病毒治疗:奥司他韦75 mg bid×7天。③抗细菌治疗:左氧氟沙星+头孢哌酮舒巴坦。

临床结局:好转出院。

病例3

一般资料:患者男性,47岁,农民;既往有糖尿病、乙肝、肝硬化病史,有外伤史。入ICU时间:2022-01-21。出院时间:2022-02-28。

病史:主诉“间断发热2周,咳嗽伴咯血1周”。发病到ICU时间为14天。APACHEⅡ评分20分,SOFA评分4分,PaO2/FiO2 188 mmHg(↓)。甲/乙流核酸阴性,血GM检测<0.25 μg/L,血G试验862.6 pg/ml。入院前使用抗生素:哌拉西林他唑巴坦、帕拉米韦、比阿培南等。

化验检查:WBC 17.43×109/L(↑),NEU% 89.3%(↑),LYM% 4.6%(↓),PCT 0.631 ng/ml(↑),CRP 12.37 mg/L(↑),CD3 69.83%,CD4+T 280/μl(↓),CD8+T 245/μl(↓)。IL-1 11.5 pg/ml,IL-2 2185 U/ml,IL-6 171 mg/dl,IL-8 16.8 pg/ml,IL-10 7.2 pg/ml,TNF-α 15 pg/ml。

BALF检测(2022-01-21):巨噬细胞32.5%,淋巴细胞5%,中性粒细胞62.5%,嗜酸性粒细胞0,细胞总数2.14×106GM试验1.874 μg/L。BALF培养结果为烟曲霉、鲍曼不动杆菌。BALF NGS回报烟曲霉(序列数86),乙型流感病毒(序列数35)。ROSE镜下见中性粒细胞占比升高,可见阳性球菌属,未见曲霉菌丝。

胸部CT(2022-01-20):结节影,树芽征,支气管壁增厚(图13)

图片

13  病例3胸部CT

气管镜(2022-01-21):气管管腔内可见大量脓痰,吸引后可见黏膜充血水肿,黏膜溃疡、假膜、结节及斑块等,黏膜触之易出血(图14)

图片

14  病例3气管镜下表现

ROSE:镜下见大量中性粒细胞,可见阳性球菌属(图15)

图片

15  病例1 ROSE表现

曲霉药敏检测如图16所示。

图片

16  曲霉药敏检测

治疗:①抗真菌治疗:伏立康唑400 mg q12h(2022-01-21至2022-01-28)+卡泊芬净(2022-01-26至2022-01-28)首剂70 mg,后50 mg qd+两性霉素B(2022-01-23至2022-01-28)10 mg bid雾化;两性霉素B脂质体250/300 mg qd(2022-01-28至20022-02-24);泊沙康唑肠溶片300 mg qd。监测伏立康唑血药浓度:7.027 mg/dl(2022-01-28),出现幻觉。②抗细菌治疗:左氧氟沙星+比阿培南+利奈唑胺。

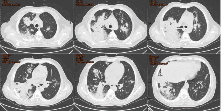
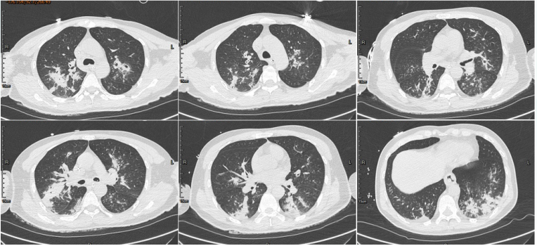
患者胸部CT动态变化如图17所示。临床结局:好转出院。

图片

17  病例3胸部CT动态变化

小结

IAPA发病率与病死率均处于较高水平,这一严峻态势迫切需要临床医师给予高度且密切的关注。临床医师在日常诊疗过程中,要凭借专业知识与丰富经验,利用症状表现、影像学特征、气管镜检查结果以及微生物学检测数据等多方面信息,尽早对IAPA进行精准识别。一旦确诊或高度疑似,应争分夺秒启动规范有效的治疗措施,以最大程度改善患者预后。未来针对IAPA,应着眼于多中心、大样本、高质量的临床研究,深入探索IAPA的流行病学特征,明确其危险因素,挖掘更精准、更便捷的早期诊断方法,并精准确定抗真菌治疗的最佳时机,为临床诊疗提供更科学、更有力的依据。

图片
图片
图片


   参考文献    

上下滑动阅览

[1] Lu LY, Lee HM, Burke A, et al. Prevalence, Risk Factors, Clinical Features, and Outcome of Influenza-Associated Pulmonary Aspergillosis in Critically Ill Patients: A Systematic Review and Meta-Analysis[J]. Chest, 2024, 165(3):540-558.

[2] Feys S, Carvalho A, Clancy CJ, et al. Influenza-associated and COVID-19-associated pulmonary aspergillosis in critically ill patients[J]. Lancet Respir Med, 2024, 12(9):728-742.

[3] Blot S, Rello J, Koulenti D. Diagnosing invasive pulmonary aspergillosis in ICU patients: putting the puzzle together[J]. Curr Opin Crit Care, 2019, 25(5):430-437. 

[4] Vanderbeke L, Spriet I, Breynaert C, et al. Invasive pulmonary aspergillosis complicating severe influenza: epidemiology, diagnosis and treatment[J]. Curr Opin Infect Dis, 2018, 31(6):471-480. 

[5] Bai L, Gu L, Cao B, et al. Clinical features of pneumonia caused by 2009 influenza A(H1N1) virus in Beijing, China[J]. Chest, 2011, 139(5):1156-1164.

[6] Lu LY, Lee HM, Burke A, et al. Prevalence, Risk Factors, Clinical Features, and Outcome of Influenza-Associated Pulmonary Aspergillosis in Critically Ill Patients: A Systematic Review and Meta-Analysis[J]. Chest, 2024, 165(3):540-558. 

[7] Verweij PE, Rijnders BJA, Brüggemann RJM, et al. Review of influenza-associated pulmonary aspergillosis in ICU patients and proposal for a case definition: an expert opinion[J]. Intensive Care Med, 2020, 46(8):1524-1535. 

[8] Schauwvlieghe AFAD, Rijnders BJA, Philips N, et al. Invasive aspergillosis in patients admitted to the intensive care unit with severe influenza: a retrospective cohort study[J]. Lancet Respir Med, 2018, 6(10):782-792.

[9] Vanderbeke L, Spriet I, Breynaert C, et al. Invasive pulmonary aspergillsis complicating severe influenza:epidemiology, diagnosis and treatment[J]. Curr Opin Infect Dis, 2018, 31(6):471-480.

[10] Verweij PE, Rijnders BJA, Brüggemann RJM, et al. Review of influenza-associated pulmonary aspergillosis in ICU patients and proposal for a case definition: an expert opinion[J]. Intensive Care Med, 2020, 46(8):1524-1535. 


    作者介绍    

图片
段智梅
 解放军总医院呼吸与危重症科副主任医师;PCCM毕业学员;呼吸专业委员会肺间质病学组成员;长期在呼吸与危重症医学部ICU工作;主持课题一项,参与课题多项;主编专著一部,参编专著五部;主持国家发明专利一项,参与国家发明专利及实用专利多项;在间质性肺疾病、呼吸慢病与呼吸危重症、肺部感染、呼吸康复等方面撰写论文10余篇。

全部评论 0

名院大查房「32」病例汇报

段智梅  解放军总医院第一医学中心

名院大查房「32」学术专题

孔旭东  中日友好医院

Copyright©2020-2026 北京医麦斯科技有限公司 版权所有 京ICP备2020034400号-1 京公网安备11010502043983号