登录方式

方式一:
PC端网页:www.rccrc.cn
输入账号密码登录,可将此网址收藏并保存密码方便下次登录

方式二:
手机端网页:www.rccrc.cn
输入账号密码登录,可将此网址添加至手机桌面并保存密码方便下次登录

方式三:
【重症肺言】微信公众号
输入账号密码登录

注:账号具有唯一性,即同一个账号不能在两个地方同时登录。

登录
方式

为重症救治赋能

为患者康复加速

当前位置:首页 重症实战 空中大查房

病例:沉疴难起,双肺空洞为何如此反复?

杨敏 中南大学湘雅二医院 发布于2025-05-09 浏览 856 收藏

作者:杨敏

单位中南大学湘雅二医院呼吸与危重症医学科

病情介绍

基本信息

患者男性,66岁,工人,退休后在家养猪养鸭。主诉:咳嗽咳痰气促10年,加重20天。入院日期:2023年5月7日。患者住院79天,期间三次进出RICU。

现病史

10年来,患者反复咳嗽、咳痰,活动后气促,冬春季好发。自服镇咳、解痉、抗生素等药物后症状稍改善,但症状反复。20234月13日,感冒后再发,当地诊断慢阻肺急性加重(AECOPD)、肺炎,予哌拉西林他唑巴坦,甲强龙120 mg/d×4 d+80 mg/d×3 d,及对症支持治疗。4月19日,患者气促、呼吸衰竭加重,改头孢美唑+左氧氟沙星抗感染,甲强龙40 mg/d×7 d抗炎,并予无创通气。4月28日,肺CT示“双肺多发结节伴空洞”,深痰NGS示“烟曲霉”,改为头孢哌酮舒巴坦、伏立康唑(进口)抗感染症状无好转。5月6日,患者仍反复咳嗽、咳痰,痰液难以咳出,并出现低热,遂转入我院。患者自发病以来,精神睡眠差,食欲差,小便滴沥不尽(前列腺增生),大便正常,近1个月明显消瘦(未测体重)。

既往史

高血压20余年,服用“氨氯地平片”血压控制尚可;前列腺增生6年,服用“坦索罗辛”治疗;发现血糖升高1月余(使用激素治疗后),服用阿卡波糖治疗;曾行“阑尾切除术”(具体不详)。

个人史及其他

久居湖南怀化,2年余,每天1~2支,戒烟30余年无饮酒史,否认毒物接触史。已婚,育有1女,体健。母亲患有高血压,父亲、哥哥患有慢阻肺(COPD

体格检查

体温37.0℃,脉搏108次/分,呼吸27次/分,血压149/92 mmHg。营养中等,急性病容,全身浅表淋巴结未触及肿大。鼻翼稍煽动,唇无发绀,咽稍充血,颈静脉无怒张,双肺叩诊清音,听诊呼吸音低,可闻及弥漫湿啰音及哮鸣音,未闻及胸膜摩擦音。心尖搏动位于第五肋间左锁骨中线内0.5 cm,心界无扩大,心律齐,心音可。腹部平软,肠鸣音正常。双下肢无浮肿,神经反射无异常。

门诊相关检查

  • 腹部彩超: 轻度脂肪肝, 肝囊肿, 肝内结石或钙化, 胆囊增生性病变, 前列腺增大并囊肿。

  • 心脏彩超:未见明显室壁运动异常,左室舒张功能减退,收缩功能测值正常。

  • 肺部CT(2023-04-13):肺气肿,左肺上叶前段小结节,升主动脉增宽。

  • 胸部CT+CTPA(2023-04-28):双肺多发结节影,部分结节可见空洞形成,考虑感染性病变可能,结核?真菌?脓肿?转移瘤?肺气肿,肺动脉主干、左右肺动脉及主要分支显影良好,未见充盈缺损,未见明显扩张及狭窄。

  • 深部痰液NGS(2023-05-01):烟曲霉(序列数3,置信度99%)。

  • 血药浓度(2023-05-06):伏立康唑2.1 μg/ml。

入院诊断

①AECOPD,Ⅱ型呼吸衰竭;②医院获得性肺炎;③侵袭性肺真菌病;④高血压病2级,很高危组;⑤糖尿病?⑥脂肪肝;⑦肝囊肿;⑧前列腺增生。

入院检查

  • 炎症指标:WBC 13.78×109/L(↑),Hb 132 g/L,PLT 376×109/L,NEU% 89.1%(↑);LYM 0.71×109/L(↓);PCT 0.30 ng/ml(↑),ESR 45 mm/h(↑),CRP 35.1 mg/L(↑)。

  • 生化指标:ALB 31.3 g/L(↓),LDH 266 U/L(↑),D-D 0.52 ng/ml(↑),HbA1c 7.2%。

  • 血气分析:BIPAP,FiO2 40%,pH 7.28(↓),PaCO2 98 mmHg(↑),PaO2 87 mmHg,HCO3- 46 mmol/L(↑)。

  • 免疫相关:T淋巴细胞计数442个/μl(↓),CD4+T细胞271个/μl(↓),CD8+T细胞166个/μl;免疫球蛋白全套阴性。

  • 病原学:新冠ORF1ab基因检测CT值18.53,N基因检测CT值19.53;甲/乙流病毒核酸检测阴性;痰中发现真菌孢子;γ干扰素释放试验阴性,GM试验阴性;G试验1341.1 pg/ml(↑)。血清tNGS:巨细胞病毒(序列数37),人类疱疹病毒6型(序列数23),EB病毒(序列8),人类疱疹病毒Ⅰ型(序列数5)。

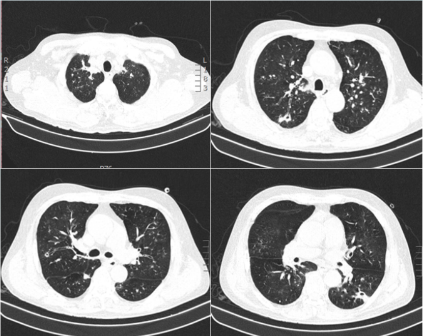
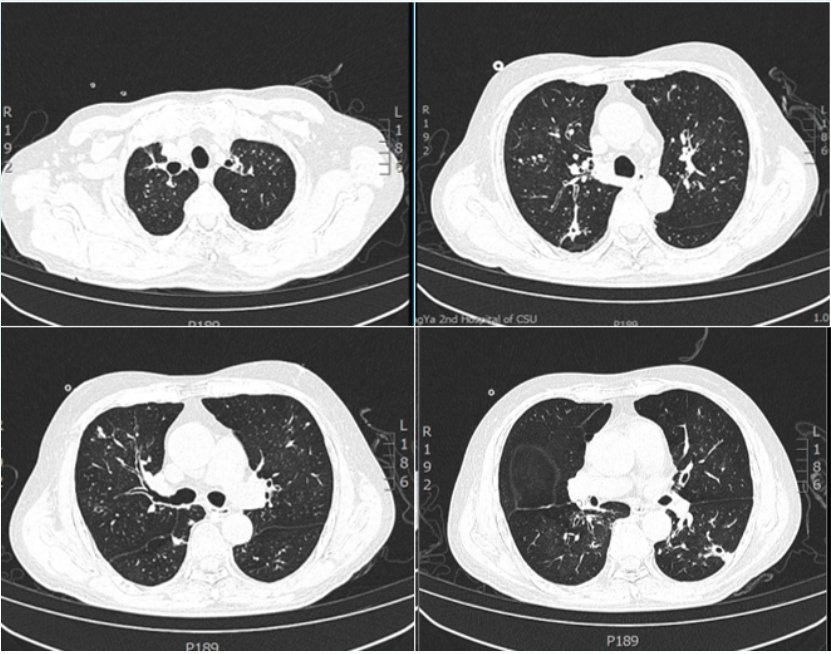
  • 胸部CT: 双肺空洞, 结节, 部分伴晕征(图1)

图片

1  患者入院后胸部CT(2023-05-08)

  • 纤支镜:支气管化脓性炎症(右中下、左下为甚);BALF-GM试验阴性。

  • BALF-tNGS:EBV(序列数480),HSV-1(序列数48),烟曲霉(序列数2),黄曲霉(序列数1),SARS-CoV-2(序列数68176)。

  • 心脏彩超:三尖瓣反流(轻度),左室收缩功能测值正常。

  • 下肢彩超:右侧小隐静脉腘窝段及双侧小腿肌间静脉血栓形成。

诊治经过

一进RICU(5月7日-5月16日)

患者入科后予奈玛特韦/利托那韦抗新冠病毒,两性霉素B胆固醇硫酸酯复合物抗真菌,美罗培南抗细菌,同时予无创通气+湿化氧疗,化痰、解痉及对症支持治疗,病情有所好转(图2)

图片

2  患者一进RICU治疗方案及体温变化情况

复查新冠ORF1ab基因(CT值36.4),N基因(CT值38.03),痰培养示鲍曼不动杆菌。患者呼吸平稳,间断无创通气及湿化氧疗,PaCO2波动于60 mmHg左右;炎症指标下降(图3)

图片

3  患者一进RICU炎症指标变化情况

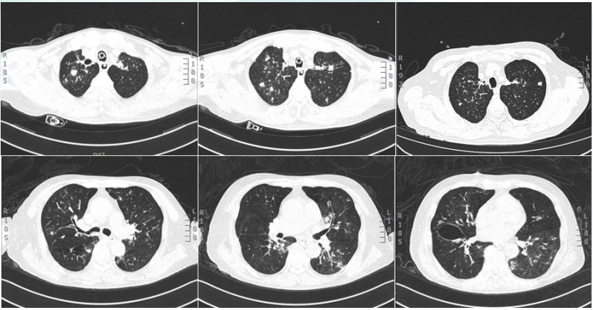
5月16日复查胸部CT:肺部病变明显好转空洞变薄,部分结节消失(图4)

图片

4  复查胸部CT(2023-05-16)

一出RICU至普通病房(5月16日-5月25日)

2023年5月16日, 患者病情好转,转入呼吸科普通病房, 抗细菌方案调整为头孢哌酮舒巴坦3 g q8h+米诺环素0.2 g qd, 抗真菌为伏立康唑; 继续雾化抗炎、解痉、间断无创通气支持。

5月18日, 患者出现间断胸闷并有痰中带血, 出现双侧肘关节疼痛, 症状进行性加重, 予对症治疗无好转。监测PaCO2 70~80 mmHg; 复查新冠病毒核酸阳性(CT值24.98/25.25);伏立康唑血药浓度1.73 μg/ml。监测炎症指标尚可, 无明显升高趋势(图5)

图片

5  患者出RICU后炎症指标变化情况

注:红线右侧为普通病房监测指标变化情况。

二进RICU(5月25日-6月6日)

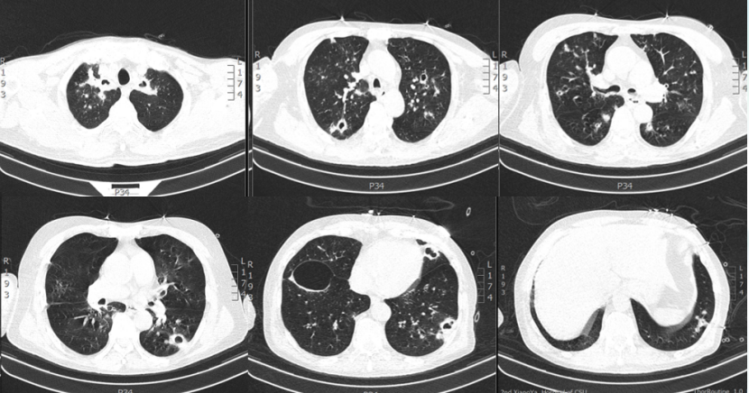
5月25日,患者仍感气促,血气分析(鼻导管吸氧5 L/min)pH 7.29PaCO2 88 mmHgPaO2 53 mmHgSaO2 83 %HCO3- 42.3 mmol/L,再次转入RICU。复查胸部CT:病灶部分较前吸收变小,但空洞内部变实,另有新增空洞及结节(图6)考虑除了基础疾病,感染也未得到很好的控制。

图片

6  复查胸部CT(2023-05-25)

患者仍气促,痰稠难咳出;监测PaCO2 60~70 mmg。纤支镜:气道少量稠分泌物甲流病毒阳性CT值36.24);新冠病毒阳性CT值29.61/29.92)BALF培养结果:耐碳青霉烯鲍曼不动杆菌CRAB多药敏感肺炎克雷伯菌

治疗方案调整为:两性霉素B胆固醇酯复合物静滴+两性霉素B雾化;头孢哌酮舒巴坦+替加环素;以及帕拉米韦+阿米卡星雾化(图7)

图片

7  患者二进RICU治疗方案及体温变化情况

注:红线右侧为再次入RICU后治疗方案及体温变化情况。

治疗后,患者气促、关节痛缓解,炎症指标有所好转(图8)但仍有咽痛,诉咳痰不出但纤支镜下仅见极少量痰,经评估后考虑患者焦虑。6月6日再次转出至普通病房家人陪伴转出时复查胸部CT提示空洞和结节较5月25日显著改善(图9)

图片

8  患者二进RICU炎症指标变化情况

图片

9  复查胸部CT(2023-06-06)

二出RICU至普通病房(6月6日-6月16日)

患者在普通病房期间仍反复低热, 可自行退热。6月9日全院大会诊后更换为艾沙康唑抗真菌治疗, 继续呼吸支持、加强康复锻炼。心理科会诊考虑抑郁状态, 予舍曲林治疗。6月13日患者肺部湿啰音增加,PaCO2增高达到102 mmHg, 继续无创通气及湿化氧疗交替。复查G试验、GM试验均阴性; BALF检查提示CRAB(++++)、肺炎克雷伯菌(++++); 曲霉阴性。

6月16日,药师会诊后予以多黏菌素B静滴+雾化。患者当天气促加重伴氧合下降,血气分析:pH 7.31(↓),PaCO2 92 mmHg(↑),PaO2 51 mmHg(↓),HCO3- 46.3 mmol/L(↑),SaO2 82 %(↓)。患者第三次转入RICU。

患者第二次在普通病房住院期间的治疗方案如图10所示,将两性霉素B胆固醇酯质复合物更换为艾沙康唑,其余方案同前。期间监测炎症指标有升高趋势(图11)

图片

10  患者第二次在普通病房治疗方案及体温变化情况

图片

11  患者第二次在普通病房期间炎症指标变化情况

三进RICU(6月16日-7月3日)

调整治疗方案:头孢哌酮舒巴坦+多黏菌素B(静脉+雾化)抗细菌,艾沙康唑抗真菌。持续无创呼吸支持,ST模式,IPAP 16 cmH2O,EPAP 5 cmH2O,FiO2 35%,患者仍气促,PaCO2波动于80~90 mmHg(↑),PaO2波动于90~120 mmHg。

6月19日,患者雾化多黏菌素B后气促加重,测血气pH 7.07(↓),PaCO2高于上限未测出,PaO2 83.0 mmHg,予甲泼尼龙解痉治疗后仍呼之不应,予气管插管治疗。经治疗后,患者血气指标较前改善。

6月20日,待患者情况稳定后复查胸部CT:较6月6日出现新的病变(图12)。再次启动两性霉素B胆固醇酯质复合物(50~100~150 mg/d)抗真菌,同时予头孢哌酮舒巴坦+多黏菌素B(静脉+雾化)抗细菌治疗。

图片

12  患者胸部CT(2023-06-20)

6月26日,患者顺利脱机拔管,病情恢复可,于7月3日第三次转至普通病房。

第三次RICU期间治疗方案及体温变化如图13所示。

图片

13  患者三进RICU治疗方案及体温变化情况

注:红线右侧为第三次入住RICU后治疗方案及体温变化情况。

三出RICU至普通病房(7月3日-7月25日)

患者期间多次痰培养:多药敏感肺炎克雷伯菌(+++),嗜麦芽窄食单胞菌(++)。

7月5日,改用美罗培南抗感染,两性霉素B胆固醇硫酸酯复合物200 mg ivgtt qd抗真菌治疗,建议外购泊沙康唑300 mg qd po重叠两性霉素B胆固醇硫酸酯复合物抗真菌治疗(图14)

7月16日,患者再次出现发热,黄痰,痰量稍增加,痰培养示CRAB(+++),停用美罗培南,改用替加环素50 mg ivgtt q12h+左氧氟沙星0.5 g ivgtt qd抗感染;继续口服泊沙康唑300 mg qd,停用两性霉素B胆固醇硫酸酯复合物(图14)。患者后体温较前下降,偶有低热,气促较前稳定,多次复查血气指标较前好转。

外送泊沙康唑血药浓度谷浓度为0.79 μg/ml,服药后半小时为1.06 μg/ml,泊沙康唑加量为400 mg po qd。

图片

14  患者三出RICU后治疗方案及体温变化情况

患者咳嗽、咳痰、气促均好转,未发热。复查血气:PaCO2波动于50~60 mmHg,炎症指标较前好转(图15)

图片

15  患者三出RICU后炎症指标变化情况

注:红线右侧为第三次在普通病房住院期间监测指标变化情况。

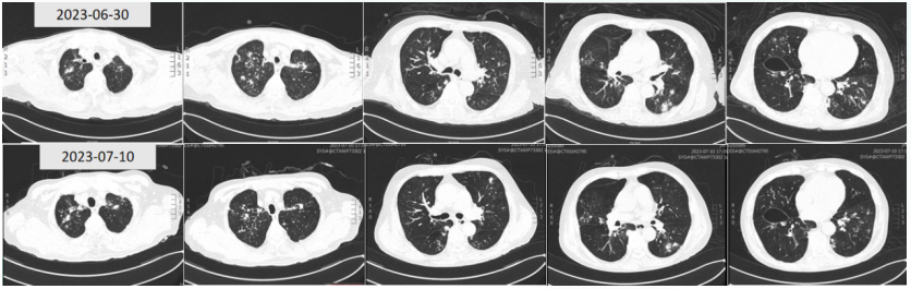
复查胸部CT示病变较前吸收(图16)

图片

16  复查胸部CT

出院诊断

①AECOPD, Ⅱ型呼吸衰竭, 气管插管术后; ②侵袭性肺曲霉病, 脓毒症;③新型冠状病毒感染, 中型; ④甲型流感病毒感染; ⑤高血压病2级, 很高危组; ⑥糖尿病待排; ⑦脂肪肝; ⑧肝囊肿; ⑨前列腺增生; ⑩电解质紊乱(低钾、高钠); ⑪低蛋白血症; ⑫下肢肌间静脉血栓。

出院后治疗与随访

出院后建议:泊沙康唑片400 mg/d口服(1周后复查血药浓度,酌情调整剂量,直至复查胸部CT示病变大部吸收);其他治疗药物有百令片富马酸比索洛尔片苯磺酸左氨氯地平片盐酸坦索罗辛缓释胶囊乙酰半胱氨酸泡腾片倍氯福格2喷bid经储物罐吸入自备无创呼吸机辅助通气,定期复查肺部CT明确肺部病变吸收情况。

2023年12月随访,患者症状好转CT肺部病变略有反复,抗真菌治疗1年左右停药。

患者病程中治疗方案及时间跨度见图17。

图片

17  患者病程中治疗方案

文献学习

在侵袭性肺曲霉病(IPA高危人群,血液系统疾病无疑占比最高。而在非血液系统肿瘤患者中,合并肺部基础疾病患者IPA发生率高。此例患者所患COPD等慢性肺病流感/新冠等重症病毒感染均为IPA发病的危险因素

曲霉有细胞壁和细胞膜结构,增加了药物杀灭病原的难度。在治疗药物中,首伏立康唑和艾沙康唑,其他药物(如两性霉素B和泊沙康唑可以作为替代挽救或联合治疗的选择棘白菌素类作用偏弱。每种药物通过作用靶点发挥作用也都存在潜在的耐药风险

1两性霉素B作用靶点真菌细胞膜的麦角固醇, 其通过改变真菌细胞膜的通透性, 使细胞内容物持续流出, 最终使真菌细胞破裂而亡。其主要耐药机制: 麦角固醇生物合成基因功能缺失突变; 细胞膜应激影响HSP90调节剂

2伏立康唑等三唑类药物的作用靶点是合成麦角固醇的CYP-450酶, 其通过抑制负责麦角固醇合成的CYP-450酶而破坏真菌细胞膜。主要耐药机制:药物从真菌细胞外排的增加(尤其是念珠菌);CYP51A(烟曲霉)点突变和启动子插入引起的麦角固醇合成途径的修饰。

3)卡泊芬净等棘白菌素类的作用靶点是(1,3)-β-葡聚糖合成酶, 其通过抑制ꞵ(1,3)-β-葡聚糖合成酶而破坏真菌细胞壁。作用缺陷: 杀菌作用不直接; 靶点窄, 一旦酶型突变就容易产生耐药; 仅针对合成期真菌细胞, 抑菌剂, 起效慢。

检索相关文献发现,曲霉唑类耐药的发生率尚低机制可能包括:麦角固醇合成所涉及的基因突变,如cyp51A等;外排泵;生物被膜;共感染问题,等本文所述患者在家饲养禽畜是否通过接触饲料存在先期唑类药物暴露尚不清楚此次治疗过程中使用两性霉素B胆固醇硫酸酯复合物、泊沙康唑治疗有效,伏立康唑、艾沙康唑无效,一度怀疑唑类耐药但因检验科未能完成药敏试验仍不明确

此外抗真菌治疗同样可参考药代动力学/药效学(PK/PD)治疗药物监测TDM)等进行优化2019年发表的一项研究比较了1498株真菌分离株(2016—2017年)和7种抗真菌药物的EUCAST MICs,并进行EUCAST药敏试验。采用皮尔逊相关分析比较抗真菌药物的活性。分离株中曲霉占霉菌的90%,念珠菌占酵母菌的97%。结果显示:泊沙康唑对曲霉的MIC值普遍低于艾沙康唑。2022年广州医科大学附属第一医院发表的一项回顾性队列研究纳入了2017年6月至2020年12月期间接受肺移植的182例成年受者,伏立康唑组142例和泊沙康唑组40例。使用液相色谱-质谱法检测BALF和血浆中的药物浓度,该研究旨在比较伏立康唑与泊沙康唑在肺移植受者中的抗真菌预防疗效、肺内和血浆浓度。研究显示:泊沙康唑在BALF中的浓度是伏立康唑的31.2倍。还有研究采用高效液相色谱测定在不同浓度的抗真菌药物作用下肺上皮细胞内伏立康唑和泊沙康唑的浓度,发现肺上皮细胞中泊沙康唑的浓度是血浆浓度的40~50倍。2017年发表的一项动物实验在雄性大鼠上通过定量全身放射自显影(QWBA)在指定时间点测定放射性艾沙康唑的组织浓度/血浆浓度比,结果表明多次给药后艾沙康唑的肺组织浓度/血浆浓度比均<3。 

总结体会

近年来,IPA的发病率呈显著上升态势,对于COPD以及呼吸道病毒感染后的患者,需高度警惕IPA的发生。由于该病的病原学诊断存在一定难度,单一检测方法的阳性检出率往往较低,因此临床中常采用多种检测手段联合应用,以提高诊断敏感性。虽然目前临床尚未将曲霉药敏检测纳入常规检查项目,但值得注意的是,曲霉对唑类抗真菌药物的耐药现象已逐渐显现。对于接受抗真菌治疗后临床疗效欠佳的患者,建议及时开展血药浓度监测,并依据PK/PD原理优化用药方案。若经上述调整后病情仍无改善,可考虑更换其他替代药物进行治疗。此外,在积极开展抗真菌治疗的同时,针对COPD等基础疾病的规范化治疗及免疫支持治疗同样不可或缺,对改善患者预后具有重要意义。

图片


   参考文献    

上下滑动阅览

[1] De Francesco MA. Drug-Resistant Aspergillus spp.: A Literature Review of Its Resistance Mechanisms and Its Prevalence in Europe[J]. Pathogens, 2023, 12(11):1305. 

[2] Jørgensen KM, Astvad KMT, Hare RK, et al. EUCAST Susceptibility Testing of Isavuconazole: MIC Data for Contemporary Clinical Mold and Yeast Isolates[J]. Antimicrob Agents Chemother, 2019, 63(6):e00073-19. 

[3] Ju C, Lian Q, Chen A, et al. Antifungal prophylactic effectiveness and intrapulmonary concentrations of voriconazole versus posaconazole in lung transplant recipients[J]. Med Mycol, 2022, 60(9):myac041. 

[4] Campoli P, Al Abdallah Q, Robitaille R, et al. Concentration of antifungal agents within host cell membranes: a new paradigm governing the efficacy of prophylaxis[J]. Antimicrob Agents Chemother, 2011, 55(12):5732-5739.

[5] Schmitt-Hoffmann AH, Kato K, Townsend R, et al. Tissue Distribution and Elimination of Isavuconazole following Single and Repeat Oral-Dose Administration of Isavuconazonium Sulfate to Rats[J]. Antimicrob Agents Chemother, 2017, 61(12):e01292-17. 


    作者介绍    

图片

杨敏

中南大学湘雅二医院呼吸与危重症医学科,副主任医师,内科学博士;中国医师协会呼吸医师分会青年委员会委员,湖南省健康管理学会呼吸重症管理专业委员会副主任委员,湖南省慢阻肺联盟委员,湖南省医学教育科技学会新技术专业委员会委员,湖南省中医药和中西医结合学会重症医学专业委员会呼吸学组委员,湖南省健康管理学会肺血管病专业委员会委员;主持国家自然科学基金项目1项、省级课题1项,参与多项国家自然科学基金项目;参编著作5部,参译著作1部。在国内外权威杂志发表论文数篇。


全部评论 0

名院大查房「30」病例汇报

杨敏  中南大学湘雅二医院

名院大查房「30」学术专题

贺航咏  中日友好医院

Copyright©2020-2026 北京医麦斯科技有限公司 版权所有 京ICP备2020034400号-1 京公网安备11010502043983号