登录方式

方式一:
PC端网页:www.rccrc.cn
输入账号密码登录,可将此网址收藏并保存密码方便下次登录

方式二:
手机端网页:www.rccrc.cn
输入账号密码登录,可将此网址添加至手机桌面并保存密码方便下次登录

方式三:
【重症肺言】微信公众号
输入账号密码登录

注:账号具有唯一性,即同一个账号不能在两个地方同时登录。

登录
方式

为重症救治赋能

为患者康复加速

当前位置:首页 重症实战 空中大查房

病例:千呼万唤始出来—一例重症NTM感染患者的救治

李娜 重庆医科大学附属第二医院 发布于2025-05-06 浏览 882 收藏

汇报李娜

单位:重庆医科大学附属第二医院呼吸与危重症医学科

病情介绍

一般情况

患者女性,51岁,入院日期:2024-09-20。主诉:反复咳嗽、咯血20余年,发热7个月,加重5天

现病史

入院前20余年,患者无明显诱因出现咳嗽、咯血,少量鲜红色血液,伴咳痰、活动后气促,当地医院确诊“支气管扩张症”,予以对症治疗(具体不详)后好转出院。病程中咳嗽咳痰、咯血反复发作,反复因“支扩伴感染”于重庆医科大学附属第一医院、重庆市公共卫生医疗救治中心当地诊所住院治疗10余年前因“大咯血”于重庆医科大学附属第一医院行支气管动脉栓塞术4年前确诊肺非结核分枝杆菌(NTM)病(具体诊疗不详)。

7月前(20242)因发热就诊于重庆市公共卫生医疗救治中心,最高体温39℃,伴咳嗽咳痰,偶有痰中带血,伴活动后气促2024222完善肺泡灌洗液结核分枝杆菌(MTB)-NTM鉴定及耐药检查提示:脓肿分枝杆菌脓肿亚种(序列数30318),予以抗感染(头孢西丁+阿奇霉素)及对症治疗后好转出院。出院后发热、咳嗽咳痰仍反复发作,继续于当地医院持续予“头孢西丁+阿奇霉素”抗感染治疗1个月。

5月前(20244月)再次因反复发热、咳嗽、咳痰、偶有痰中带血、活动后气促于重庆市公共卫生医疗救治中心就诊,予以阿米卡星+利奈唑胺+阿奇霉素+头孢西丁+替加环素NTM治疗,期间发热、咳嗽咳痰好转,但胃肠道反应重,纳差,20244月14复查胸部CT平扫:双肺下叶病变部分增多,余肺病变无明显变化;签字后出院,于当地医院多次对症治疗及自服中药治疗。

5天前,患者再次出现发热,体温最高39℃,伴畏寒寒战、咳嗽、痰中带血,伴气促,不能平卧,平卧气促加重,伴腹部疼痛、里急后重为进一步诊治,我院门诊以“支气管扩张伴感染”收治入院。

既往史及其他

既往10余年前因支扩行支气管动脉栓塞术具体不详。其余无特殊。个人史、婚育史、月经史、家族史无特殊

入院查体

体温37.0℃,脉搏138次/分,呼吸38次/分,血压89/72 mmHg,体重35 kg,身高160 cm,SpO2 90%(吸氧3 L/min)。神志清醒,呼吸急促,对答切题,口齿清晰,查体合作。体型消瘦,营养不良。全身皮肤黏膜无黄染,无全身浅表淋巴结肿大,颈软,无抵抗感,无静脉充盈,气管位置居中,胸廓外形正常,无肋间隙增宽,叩诊双肺呈清音,双下肺可闻及粗湿啰音,未闻及哮鸣音,心界叩诊无扩大,心率138次/分,节律齐,无杂音,腹部凹陷,有左下腹轻压痛,无反跳痛、肌紧张,肝脾未触及,肝颈静脉回流征阴性,双下肢无凹陷性水肿。

外院辅助检查

2024年3月27日重庆市公共卫生医疗救治中心胸部CT平扫:考虑双肺感染,伴支气管扩张,符合NTM肺病改变;纵隔淋巴结肿大;肝脏钙化灶。

2024年4月12日重庆市公共卫生医疗救治中心分枝杆菌鉴定+药敏提示:NTM,利福平、亚胺培南-西司他丁、阿奇霉素、头孢西丁、加替沙星、异烟肼、磺胺、乙胺丁醇均耐药;克拉霉素、妥布霉素、莫西沙星、米诺环素中介;利奈唑胺、阿米卡星、利福布丁敏感。

2024年4月14日重庆市公共卫生医疗救治中心胸部CT平扫:NTM治疗后复查,合并其他感染待排,与2024年3月27日比较双肺下叶病变部分增多,余肺病变无明显变化。

本院辅助检查(2024-09-20)

临检(血气分析,未吸氧状态下):pH 7.540(↑),PaO2 66.0 mmHg,PaCO2 30.0 mmHg(↓),氧合指数314 mmHg,SaO2 94.1%(↓)。

肝肾功能、凝血象、D-二聚体均未见明显异常。电解质:钾3.11 mmol/L。

感染指标:PCT 4.15 ng/ml。血常规:WBC 40.98×109/L,NEU% 97.1%,CRP<5 mg/L。心电图提示窦性心动过速。

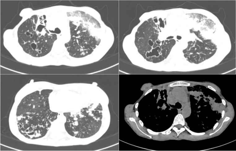
入院胸部CT:双肺多发支气管囊、柱状扩张,管壁增厚,部分管腔内见密度增高影充填,周围多发斑片状、结节状密度增高影,左肺上叶部分肺实变,边缘模糊,右肺中上叶肺体积缩小;双肺门及纵隔多发增大淋巴结;双侧胸膜增厚,左侧胸腔少量积液;心包少量积液。肺动脉稍增宽(图1)。考虑为双肺多发支气管扩张伴黏液栓及周围感染,其中左肺上叶部分肺实变,右肺中上叶慢性肺不张;双肺门及纵隔多发增大淋巴结;双侧胸膜增厚;左侧胸腔少量积液;心包少量积液;肺动脉高压改变。

图片

1  患者入院胸部CT(2024-09-20)

入院诊断

脓毒血症社区获得性肺炎,重症Ⅰ型呼吸衰竭支气管扩张伴感染肺非结核分枝杆菌病低钾血症窦性心动过速低血压待查:分布性休克?其他?

第一阶段(9月20-29日):RICU,持续无创通气

查找病原学

患者转入RICU即采血进行血培养,结果回报肺炎链球菌(图2)。入院当天行气管镜检查,肺泡灌洗液培养结果提示黏液性铜绿假单胞菌(图3)

图片

2  血培养及药敏试验结果

图片

3  肺泡灌洗液培养及药敏试验结果

呼吸道8项(痰):肺炎链球菌阳性,铜绿假单胞菌阳性,肺炎克雷伯菌阳性。TB-DNA PCR检测结果为脓肿分枝杆菌。G试验、GM试验、曲霉抗体IgG、念珠菌抗体IgG均阴性。后续痰培养提示耐碳青霉烯类肺炎克雷伯菌(CRKP)。

mNGS检查提示:肺炎链球菌(序列数275072),铜绿假单胞菌(序列数87878),脓肿分枝杆菌(序列数17358)。

病情分析及处理策略

患者入院后检出支扩合并脓肿分枝杆菌感染,经验性给予亚胺培南西司他丁+利奈唑胺+阿米卡星抗感染治疗,后续检出CRKP后将亚胺培南西司他丁换为头孢他啶阿维巴坦抗感染,同时予以营养支持等治疗。

血培养提示肺炎链球菌, 继续原方案抗感染治疗, 停用利奈唑胺, 加用莫西沙星口服。大便查见大量真菌, 加用制霉素片抗感染治疗, 同时加强营养支持、重症监护、特级护理等措施。

痰培养提示白念珠菌,mNGS结果提示疑似微生态列表中亦发现念珠菌,加用卡泊芬净50 mg qd抗真菌治疗。

期间予多次床旁气管镜灌洗清除气道分泌物、促进痰液引流,积极补充营养素、酌情补充电解质、维持出入量平衡等对症支持治疗。

9月26日床旁胸片提示:左上肺实变较前吸收(图4)

图片

4  患者床旁胸片(2024-09-26)

回溯病情:患者入院当天下午出现高热,予经验性抗感染治疗后第3天,体温基本降至正常,后续体温仍有波动,热峰下降(图5)。心率随体温波动而变化,后续趋于稳定。治疗期间,患者降钙素原、白细胞和中性粒细胞比例逐渐下降并趋于稳定(图6)

图片

5  治疗第一阶段患者体温变化情况

图片

6  治疗第一阶段患者感染指标变化情况

患者影像学较前好转,呼吸道症状明显减轻,体温呈下降趋势,感染指标及氧合较稳定,遂于9月29日转至普通病房继续治疗。

问题1:该患者初始抗感染治疗是否恰当,需要如何调整及完善其他检查?

第二阶段(9月30日-10月10日):呼吸科,无创通气

病情变化

患者在普通病房住院观察,并拟出院。但在2024年10月10日晚,患者突发喘累,呼吸急促,大汗淋漓,端坐呼吸,急查血气分析提示PaCO2 88.0 mmHg。

问题2:患者病情变化,可能的原因是什么?如何调整治疗方案?

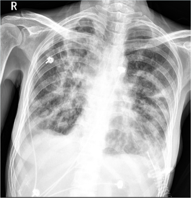
2024年10月10日普通病房床旁胸片示:双肺透光度不均匀,双肺纹理增多、紊乱,双肺见散在斑片影及絮状影,双肺门影显示不清;膈面显示欠清,双侧肋膈角变钝。病灶较前(2024-09-26)增多;双侧胸腔少-中量积液可能,较前增多(图7)

图片

7  床旁胸片(2024-10-10)

10月10日床旁彩超检查:左房饱满;二尖瓣中度关闭不全;三尖辦轻-中度关闭不全;肺动脉高压(轻度)。急查心衰指标:B型钠尿肽前体16902.2 pg/ml(↑),肌酸激酶同工酶8.10 ng/ml(↑),肌红蛋白37.20 ng/ml,肌钙蛋白I 0.723 ng/ml(↑)。

考虑急性心衰,予强心、利尿等对症处理后,患者喘累等症状无明显好转,于1010转入RICU(APACHEⅡ评分15分,SOFA评分3分,Geneva评分3分)予无创辅助通气(模式: AVAPSFiO2 60%VT 410 mlTi 0.9, R 22次/分, PEEP/EPAP 6 cmH2O),患者血氧饱和度波动在92%左右, 呼吸频率40次/分左右, 烦躁复查血气分析: PaO2 83.0 mmHg, PaCO2 88.0 mmHg

第三阶段(10月11-28日):RICU,气管插管+无创通气
2024年1011经鼻气管插管有创呼吸机辅助通气, VC-AC模式,FiO2 100%, VT 260 ml, R 22次/分, PEEP/EPAP cmH2O, HR波动在107~129次/分, 氧饱和度93%以上, 去甲肾上腺素泵入升压中血压波动在80/50 mmHg左右,加用多巴胺泵入升压,后血压逐渐升至130/80 mmHg。10月12日患者再次出现发热热峰有增高趋势,降钙素原进行性升高,白细胞和中性粒细胞较前亦有所升高。
患者插管后抗感染方案:亚胺培南西司他丁+阿米卡星+卡泊芬净+制霉素。

10月13日痰培养提示嗜麦芽窄食单胞菌,对磺胺和左氧氟沙星敏感,米诺环素中介。于是加用复方磺胺甲噁唑3 co tid抗感染。然而患者在10月12日至10月24日仍然反复发热。患者在治疗第三阶段体温动态如图8所示。患者体温最高达39.8℃,调整用药后有所下降,但仍有反复。

图片

8  治疗第三阶段患者体温变化情况

问题3:患者再次出现发热,可能的原因是什么?需要进一步完善哪些检查?

患者10月12日至10月24日期间出现间断发热,考虑:①导管相关感染,予以更换导管、导管尖端培养未找到新增病原菌;②反复血培养、尿培养未找到病原菌;③考虑长期禁食禁饮,胆汁淤积,腹隐痛,腹胀明显,自10月10日转入RICU后即未解大便,考虑腹腔感染、麻痹性肠梗阻不除外,予以灌肠、中药外敷、口服石蜡油等促进胃肠蠕动。10月23日予以碘海醇30 ml胃注后,于当日解2700 ml大便。

10月11日至10月18日胸片可见,患者肺门周围渗出影有所吸收。10月18日胸片提示左上肺有不张表现(图9)

图片

9  患者病程中胸片变化

10月21日复查胸部+全腹部CT:右上肺支扩伴感染病灶较刚入院时明显增多,左上肺病灶较前吸收;下肺渗出性病灶,包括右中叶、左上舌段、右下叶基底段实变增多;腹腔有不全性肠梗阻表现。

10月24-26日痰培养和尿培养均提示多重耐药鲍曼不动杆菌。

10月24日加用多黏菌素E甲磺酸钠150 mg q12h雾化,黏菌素粉针50万单位q12h静滴抗感染,随访感染指标。

10月25日再次加用莫西沙星0.4 g qd加强抗NTM治疗。

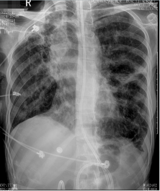
10月28日脱机拔管, 复查胸片: 双肺渗出和实变影、双侧胸腔积液较前明显吸收(图10)

图片

10  复查床旁胸片(2024-10-28)

第四阶段(10月28-11月8日):突出重围
2024年1028日,患者脱机拔管序贯无创呼吸机治疗,1030日出现谵妄、幻觉、被害妄想。考虑与ICU综合征、代谢性脑病、心理因素等相关,间断予以右美托咪定清醒镇静,以及间断经鼻高流量湿化氧疗
115患者病情平稳,肺部感染症状较前明显减轻,无发热,鼻导管吸氧3 L/min下氧饱和度维持可,血气及氧合可,转出RICU(APACHEⅡ评分10分,SOFA评分4分,Geneva评分1分)。增加家属陪伴时间,调整睡眠作息等治疗后,患者谵妄症状自行缓解。

后续患者病情平稳,神志逐渐恢复,各项指标逐渐好转,症状缓解,118出院。

新型抗CRO药物带来的挑战

目前针对CRO感染,涌现出很多药物,例如:头孢地尔、美罗培南/法硼巴坦、亚胺培南-西司他丁/雷利巴坦、依拉环素、奥马环素、普拉佐米星、氨曲南/阿维巴坦、头孢吡肟/他尼硼巴坦、舒巴坦/杜洛巴坦、头孢洛扎/他唑巴坦、头孢吡肟/齐特巴坦,其中有些药物的研究结果已经发布,国内也有部分药物上市,有些药物的3期研究还在进行中。这些新型抗菌药物的出现为患者带来获益的同时,也可能会增加耐药风险,这也是临床医师需要关注的问题。

问题4:新型抗菌药物的出现对今后耐药菌抗感染治疗会带来哪些挑战?如何应对?

病情回顾与思考

本例患者在治疗过程中,感染指标(NEU、PCT、CRP)波动都较大(图11),期间根据病原学结果积极调整抗感染方案,最终使各项指标恢复正常。患者入院时营养状况欠佳,在营养支持下,白蛋白和前白蛋白均明显升高(图12)。患者病情好转也与其全身营养状况的改善有密切关系。

图片

11  患者病程中感染指标变化情况

图片

12  患者病程中营养指标变化情况

临床诊疗过程中,早期明确病原学是感染控制的核心环节。该病例在入院初期即通过多维度检测手段(血培养、痰培养、呼吸道病原体核酸检测、支气管肺泡灌洗液mNGS)快速锁定致病微生物,为后续实施精准化抗感染治疗奠定了科学基础。患者基于支气管扩张症基础病,继发脓肿分枝杆菌感染,本次住院期间新检出肺炎链球菌、铜绿假单胞菌、白念珠菌、嗜麦芽窄食单胞菌及多重耐药鲍曼不动杆菌等多重病原体混合感染。值得注意的是,病程中反复交替的感染进程,叠加普通病房治疗阶段出入量监测的精细度不足,导致容量负荷失衡,诱发了急性心衰,同时存在的进行性营养耗竭等多重因素致使患者两次转入RICU。医疗团队迅速启动病原学导向的强化抗感染策略,并行阶梯式呼吸支持(气管插管机械通气过渡至无创通气)、精细化电解质管理、床旁支气管镜肺泡灌洗术、个体化营养支持方案及免疫调节治疗,通过多学科协作的精准干预使患者成功脱离生命危险。

拓展学习

根据伯杰系统细菌学手册(Bergy′s manual of systematic bacteriology)分类该患者感染的脓肿分枝杆菌分类属于Ⅳ组快速生长型分枝杆菌(rapidly growing mycobacteria,RGM)3~5 d内有肉眼可见的菌落,多数1周内即生长很旺盛。本组包括:脓肿分枝杆菌复合群(M. abscessus complexMABC)、偶发分枝杆菌(M.f ortuitum)、龟分枝杆菌(M. chelonae)等。

NTM危险因素

NTM的危险因素包括宿主因素、药物因素和环境因素。

1)宿主因素:有肺部基础疾病的人群易患NTM肺病,如肺结核、支扩、慢阻肺、尘肺、营养不良等均是NTM病的危险因素;免疫受损人群如HIV感染、艾滋病、肿瘤患者等。

2)药物因素:免疫抑制剂(如ICS、TNF-α)、器官移植后使用的免疫抑制剂、肿瘤化疗药物等]、阿奇霉素、某些吸入性抗生素、质子泵抑制剂。

3)环境因素:在土壤(酸性松林、海岸沼泽土)、室内游泳池、热水浴缸、室内加湿器和淋浴器的气溶胶以及农村、花园、盆栽土壤扬起的灰尘中均可能含有NTM。

NTM的影像学表现

NTM的影像学表现多种多样,且缺乏特异性,主要有两种类型:纤维空洞型和结节性支气管扩张型,但两者的表现可以相互重叠。

1)胸部X线表现以片状炎性阴影、单发或多发薄壁空洞、纤维硬结灶、轨道征、蜂窝状阴影等多见。

2)高分辨率CT(HRCT)可清楚显示NTM肺病的肺部、支气管、胸膜、淋巴结等病灶。NTM肺病的CT多表现为结节影、斑片及小斑片样实变影、空洞影、支气管扩张影、树芽征、磨玻璃影、线状及纤维条索影、肺气肿、肺体积缩小等,胸膜肥厚粘连、心包受累、纵隔淋巴结肿大少见,且通常多种病变形态混杂存在。支气管扩张可呈柱状及囊状,呈多发性、多灶性,以右肺中叶、左肺舌叶多见;小叶中心结节影与支气管扩张影混合存在是NTM病较为常见的典型影像学表现。

3)肺外NTM病的影像学表现文献报道较少, 播散性NTM病可累及颈部、纵隔、腋窝及腹股沟等部位的淋巴结。播散性鸟-胞内分枝杆菌复合群(MAC)病累及脑部时可形成脑脓肿。播散性MAC病还可累及肝脏和脾脏, 腹部CT早期表现为肝脾肿大,腹腔淋巴结轻度肿大等。

NTM的治疗原则

由于大多数NTM对常用的抗分枝杆菌药物耐药,考虑其临床治疗效果多不确切以及治疗所需费用和药物不良反应,临床医生在决定是否治疗时应权衡利弊、综合判断。

常见NTM的治疗

1)克拉霉素:新型大环内酯类药物中的克拉霉素和阿奇霉素是近20年来治疗NTM病尤其是MAC病最为重要的药物,尤其是MAC、戈登分枝杆菌、脓肿分枝杆菌等。

2)阿奇霉素:阿奇霉素对MAC、堪萨斯分枝杆菌、戈登分枝杆菌、蟾分枝杆菌、脓肿分枝杆菌、龟分枝杆菌等具有较强的抗菌活性,但对偶发分枝杆菌的抗菌活性弱。其不易诱导大环内酯类erm基因的表达,因此,脓肿分枝杆菌对其不容易产生耐药。

3)乙胺丁醇:乙胺丁醇是治疗NTM病的一种最常用且基本的药物,可阻碍结核分枝杆菌细胞壁的合成。

4)阿米卡星:阿米卡星是治疗NTM病常用且有效的药物,可抑制分枝杆菌蛋白质合成,为杀菌药。阿米卡星对MAC具有较强的抗菌活性,MIC为2.4~6.2 μg/ml,大多数MAC菌株对血清中阿米卡星所达到的浓度敏感。

5)喹诺酮类:环丙沙星,莫西沙星等。

(6)部分常规抗结核药物: 利福平, 异烟肼。

7)利奈唑胺:利奈唑胺对快速生长NTM中的龟分枝杆菌具有较强的抗菌活性,对脓肿分枝杆菌和偶发分枝杆菌具有一定的抗菌活性。

8)亚胺培南/西司他丁:亚胺培南/西司他丁对缓慢生长NTM的作用较弱,而对快速生长NTM如脓肿分枝杆菌、龟分枝杆菌和偶发分枝杆菌则具有较强的抗菌活性。

9)复方磺胺甲噁唑:对缓慢生长分枝杆菌如MAC及堪萨斯分枝杆菌等的抗菌活性弱;对蟾分枝杆菌和戈登分枝杆菌有一定的抗菌作用。对快速生长NTM中的偶发分枝杆菌有较强的抗菌活性;绝大多数脓肿分枝杆菌和龟分枝杆菌对其耐药。

总结

RICU,感染控制与院感防控是医生始终坚守的重要职责。面对复杂多变的病情,合理使用抗生素、精准选择药物是临床工作的重中之重。滥用抗生素不仅可能导致细菌耐药性的增加,还可能引发一系列不良反应,给患者带来更大的健康风险。因此,医生们必须严格遵循用药原则,综合考量宿主病理状态、致病微生物特性及药物的药代动力学特点,制定个体化、精准化、动态化的治疗方案。此外,RICU医生还要密切关注患者的各项生命体征和实验室指标的变化,及时捕捉并准确掌握患者的病情变化,从而优化调整用药方案,确保治疗的有效性和安全性。同时,合理控制疗程也至关重要,这不仅能够最大限度地减少药物过度使用,更有助于切实减轻患者的经济负担。

图片
图片
  主席  江德鹏教授
  重庆医科大学附属第二医院
图片
  主席  潘蕾教授
  空军军医大学唐都医院
图片
  讨论嘉宾  刘昱教授
  西安交通大学第一附属医院
图片
  讨论嘉宾  韦卫琴教授
  贵州医科大学附属医院
图片
  讨论嘉宾  杨姣教授
  昆明医科大学第一附属医院
图片
  讨论嘉宾  Doctor X
  
图片
  汇报者  李娜
  重庆医科大学附属第二医院



  作者介绍    

图片

李娜

重庆医科大学附属第二医院呼吸与危重症医学科,医学博士、主任医师、副教授、硕士研究生导师,英国剑桥大学访问学者,重庆市中青年医学高端人才,重庆市医学会结核病学分会青年委员会主任委员,重庆市中西医结合学会危重症呼吸学组副主任委员,重庆市生物信息学会呼吸病专委会副主任委员,重庆市防痨协会青年专业委员会副主任委员,中国中药协会呼吸病药物研究专委会委员,重庆肺癌防治联盟青年委员会委员;主持国家自然科学基金、重庆市自然科学基金、重庆市卫健委面上项目各1项,发表多篇SCI文章,最高影响因子为19.6分。

  • 本文根据“重症肺言·空中大查房”第五十五期视频整理。


全部评论 0

空中大查房「55」病例汇报

李娜  重庆医科大学附属第二医院

空中大查房「55」学术专题

杨婧  四川大学华西医院

Copyright©2020-2025 北京医麦斯科技有限公司 版权所有 京ICP备2020034400号-1 京公网安备11010502043983号