作者:孙文逵
重症COVID-19相关肺曲霉病(CAPA)的发病率及病死率均较高,而新型冠状病毒感染相关肺毛霉病(CAPM)虽然相对少见,但病死率亦居高不下。目前,重症CAPA及CAPM的诊断及治疗均面临巨大挑战。如何早期诊断并规范治疗是救治成功的关键。为了提高重症CAPA及CAPM患者的临床救治水平,2024年初,詹庆元和苏欣两位教授牵头编写了《重症新型冠状病毒感染合并侵袭性肺曲霉病和肺毛霉病诊治专家共识》。在2021年欧洲血液病指南就已经将重症流感和COVID-19纳入侵袭性肺曲霉病临床诊断的宿主因素。研究报道的重症COVID-19患者CAPA患病率为2.4%~34.3%,而重症CAPA预后差,病死率高达22.2%~71.4%。
印度一项多中心回顾性研究显示住院COVID-19患者毛霉病的患病率为0.27%,重症COVID-19患者毛霉病的患病率为1.6%。印度报道毛霉病病例中主要以鼻-眶毛霉病为主,病死率为13%,播散性毛霉病、CAPM、脑毛霉病均为个案报道,临床结局差异较大,甚至有报道病死率高达49%;法国、德国、墨西哥、土耳其报道ICU中毛霉病患病率为0.3%~0.8%。
侵袭性肺曲霉病(IPA)的常见临床表现是干咳、胸膜性胸痛、发热、咯血和呼吸困难等,而肺毛霉病患者常表现为持续高热、咳嗽、可伴咯血和胸痛、抗细菌治疗无效,早期呈进行性非特异性支气管炎表现。由于临床表现缺乏特异性,因此CT的连续评估就成为疗效评估的重要手段。但临床中需要重视不同患者的影像学变化(如: 中性粒细胞减少患者中CT检测病变可能随粒细胞恢复而增加), 及由其他伴随感染或非感染疾病导致的非特异性改变。另外, 曲霉GM试验也是比较有效的评估抗真菌治疗效果的方法。《重症新型冠状病毒感染合并侵袭性肺曲霉病和肺毛霉病诊治专家共识》推荐根据患者的临床症状/体征、影像学及微生物学检查综合评估治疗反应,CAPA可结合血清GM的动态变化进行评估。CAPA患者中,血清GM下降提示治疗有效,血清GM升高提示治疗失败可能。有研究在接受骨髓移植的67例患者的986份血清样本中检测了GM免疫分析法的性能,其中4例感染存活患者在开始抗真菌治疗后,GM指数明显下降,5例感染死亡患者中有4例GM水平持续上升。血清GM会受到抗真菌药物的影响,导致出现假阳性和假阴性。不能独立作为判断疗效的指标。假阳性与半合成青霉素、复方电解质溶液、交叉反应、标本器皿污染、摄入含大豆蛋白类食物、双歧杆菌肠道内定植有关。用药后血清GM水平显著降低,导致诊断阳性率降低。临床数据显示,接受抗真菌治疗患者的血GM阳性率为16.7%~20%,未接受抗真菌治疗患者的血GM阳性率可以达到80%以上。接受抗真菌治疗患者GM介值大多<0.5,而没有接受抗真菌治疗患者的GM介值并不统一,这与其本身检测的敏感性也有一定的关系。抗真菌治疗确实会极大程度地降低血GM的敏感性,那么其对BALF GM是否有同样的影响?现有研究表明,BALF GM的诊断效能高于血GM,而且不会受到药物治疗的影响。查阅文献却并未发现有利用BALF GM来评估疗效的报道。临床中也有很多重复做气管镜的重症患者,希望此类患者的BALF GM数据能为临床提供更多参考。一项回顾性研究显示:相较于未接受治疗患者,非粒细胞缺乏患者接受抗霉菌治疗后BALF GM滴度水平更低,但对于变化的时间间隔、变化程度与预后之间的关联未进行详细研究。这也提示我们,非粒缺患者可以通过BALF GM水平对抗真菌治疗疗效进行评估。既然BALF GM的诊断效力不受抗真菌药物的影响,临床中是否只送检BALF GM就可以了?当然不可以!血GM、BALF GM、NGS、PCR等每一项检查都有其独立的价值。在2014年Transpl Infect Dis杂志发表的一项研究中,如果只送检BALF GM,会漏掉32例患者;如果BALF和血GM都送但不送培养,会漏掉4例。所以,平行送检在重症感染患者中非常有必要。图源:Transpl Infect Dis, 2014, 16(3):505-10.BALF中曲霉PCR拷贝数量和GM滴度间接反映霉菌负荷,与预后显著相关。相较于血清GM,BALF GM在非粒细胞缺乏患者中具有更好的诊断敏感性,且BALF标本中真菌负荷以及对应的GM滴度值和PCR检测拷贝负荷不受抗真菌药物的影响。在不同研究中证实了患者基线BALG GM高滴度值(ODI≥1.5~2)与IPA患者临床预后之间的关联,与之相似,当非血液肿瘤IPA患者基线BALF PCR >500拷贝时,90天死亡率显著增加。多种临床和免疫学标志物的评分在抗真菌治疗中也具有较好的预测价值。一项针对1841例重症IPA患者的回顾性研究提示:慢阻肺、连续性肾脏替代治疗(CRRT)、大剂量糖皮质激素、广谱抗生素、GM试验阳性及高CRP与白蛋白比值(CAR)是IPA的独立危险因素,可作为评估IPA患者预后的评分指标;且该评分具有良好的区分度,测试集和验证集的受试者工作特征曲线下面积分别为0.816和0.780,校准度良好。可见,基于上述6种临床和新型免疫学标志物的评分对于免疫功能正常的ICU患者抗真菌治疗具有较好的预测价值。《重症新型冠状病毒感染合并侵袭性肺曲霉病和肺毛霉病诊治专家共识》指出,CAPM患者若已行手术切除感染病灶,按标准治疗方案完成疗程即可,并以术后为基点进行治疗反应评估。因为接受肺部手术的肺毛霉病患者具有更高的生存率。此外,共识还建议CAPM患者同时进行肺外感染灶评估。治疗反应评估的具体流程为:治疗开始1周后应进行临床症状评估。但1周可能看不到病灶的稳定,如果病灶机化增厚,也可以看作是治疗有效的证据。2周后可进行第一次胸部CT检查,但胸部X线检查无法替代胸部CT。在随后治疗过程中按照表1进行治疗反应评估。如评估为完全缓解、部分缓解和病情稳定,可在第6周、第12周再次评估,直至治疗结束或患者出现病情变化。如第12周仍未结束治疗,可每4周进行一次评估。CAPM和CAPA疗效评估的差异在于CAPA更强调曲霉的清除;如果能持续分离到毛霉,则必然是病情进展甚至快速进展状态,所以CAPM在疗效评估中没有强调病原体的清除。
表1 治疗反应评估标准
注:影像学改善:病灶直径或直径之和吸收>25%;影像学稳定:病灶直径或直径之和吸收在0~25%;影像学进展:病灶直径或直径之和软前增大。a因重症COVID-19患者病情危重,活检风险高,因此不做常规推荐,但仍为评价疗效的方法之一。CT复查若病灶增加25%或出现新发病灶提示疾病进展。指南和共识均明确指出:开始抗真菌治疗8~14天时,CT影像学发现新发病灶,且与患者临床的恶化相符,排除其他病理因素,提示难治性疾病或突破感染;开始抗真菌治疗15天后,在免疫状态未发生改变的情况下原肺部病灶增加≥25%,提示疾病进展。
影像学(PET/CT)检查有助于精准评估肺真菌病的治疗效果。PET/CT检测已用于中性粒细胞减少、血液系统恶性肿瘤、移植、化疗或先天性免疫缺陷疾病所致免疫功能受损患者侵袭性真菌病的诊断;此外,在临床实践中PET/CT对IPA患者的抗真菌治疗反应进行早期评估有潜在价值。针对45例侵袭性真菌病患者的研究提示:与CT检查相比,FDG PET/CT可显著提高播散性感染的检出率;且FDG PET/CT还可用于CT提示持续存在病灶患者的疗效监测。基于解剖学评估的研究显示:PET/CT使74%的患者提高了治疗价值。
《重症新型冠状病毒感染合并侵袭性肺曲霉病和肺毛霉病诊治专家共识》推荐:CAPA疗程推荐至少6~12周;CAPM总疗程建议至少3~6个月,其中静脉给药4~6周后,根据病情是否稳定选择序贯治疗方案。最终疗程应基于临床、影像学、微生物学检测结果及患者的免疫抑制状态是否改善综合判断;CAPM患者还应考虑是否已行手术清创或切除。国外专家共识对于CAPA和CAPM的疗程推荐基本与国内专家共识一致。CAPA和CAPM诊疗流程参见图1和图2。图源:中华结核和呼吸杂志, 2024, 47(1):10-23.
图2 CAPM诊疗流程
图源:中华结核和呼吸杂志, 2024, 47(1):10-23.
患者男性,76岁,2023年5月13日入院。主诉:反复咳痰喘5年余,加重1月余。
患者5年来因“慢阻肺”反复咳嗽咳痰伴气喘,遇冷时加重,自服药物治疗,症状可控制。1月前患者“感冒”后出现咳嗽、咳痰、气喘症状加重,痰多,白色黏痰,不易咳出,2023年4月17日至扬州医院就诊。胸部CT示:右肺上叶散在炎症伴局部支气管扩张。慢支、肺气肿表现。肺功能检查:重度阻塞性通气功能障碍。支气管舒张试验:阴性。超声心动图:EF 60%,左室舒张功能减退。扬州医院治疗:予以哌拉西林他唑巴坦抗感染、化痰、平喘、激素抗炎等治疗,患者症状稍缓解后出院。患者出院后按时服药:布地格福吸入气雾剂2吸bid,甘氨酸茶碱钠缓释片1片 bid,阿莫西林克拉维酸钾分散片2片bid,泼尼松片1片bid。
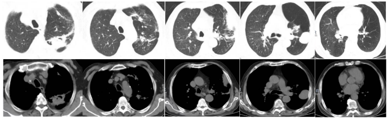
半月前患者气喘症状加重,咳痰困难,伴胸痛头晕,至我院就诊。胸部CT示(2023-05-11):左肺上叶多发类圆形及环形磨玻璃影及结节影,内见厚壁空洞形成,壁尚光整,考虑感染性病变可能大;右肺下叶支气管壁增厚伴条索影,两肺支气管旁多发絮状影及结节影,考虑炎症可能。两肺肺气肿、多发肺大泡。血常规(2023-05-11):白细胞14.04×109/L(↑),中性粒细胞计数11.85×109/L(↑),中性粒细胞百分比84.4%(↑),血小板78×109/L(↓)。CRP 59.3 mg/L(↑);高敏肌钙蛋白T 36.84 ng/L(↑)。
有高血压史20年,规律服用“左旋氨氯地平”1片qd,血压控制不佳。脊髓型颈椎病手术史5年。
体温36.5℃,脉搏106次/分,呼吸19次/分,血压1328/72 mmHg。神志清,精神可,发育正常,营养中等,平车推入病房,自由体位,查体合作。听诊两肺呼吸音增粗,未闻及明显干/湿啰音。无杵状指,双下肢无水肿。
慢性阻塞性肺疾病伴急性加重;肺部感染;高血压;低钾血症;颈椎术后(脊髓型颈椎病);腰椎间盘突出。
血气(吸氧3 L/min):pH 7.49,PaCO2 38 mmHg,PaO2 64 mmHg,Lac 0.8 mmol/L。炎症指标:WBC 11.12×109/L,LYM 1.06×109/L(↓),LYM% 9.5%(↓),NEU% 84.4%(↑),IL-6 9.62 pg/ml(↑),PCT 0.0256 ng/ml,CRP>90 mg/L(↑)。心功能:高敏肌钙蛋白T 27.28 ng/L(↑),BNP正常。病原学检查:血结核感染T细胞检测、结核杆菌DNA、肺炎链球菌抗原、隐球菌荚膜抗原均阴性。痰液一般细菌及真菌培养未见明显异常。肿瘤标志物6项:CEA 5.94 ng/ml(↑);CYFRA211 4.77 ng/ml(↑);NSE 16.82 ng/ml(↑)。支气管镜检查(2023-05-17):大气道黏膜充血水肿,见大量白色脓性分泌物;左右主支气管及各段支气管黏膜纵行、充血水肿,见大量白色分泌物。于左肺上叶尖后段灌洗,灌洗液送mNGS、病原学检查。肺泡灌洗液GM 6.554(↑)。BALF mNG回报的主要病原体:肺炎链球菌(序列数36576);白色念珠菌(序列数79269),光滑念珠菌(序列数17574),聚多曲霉(序列数22);小孢根霉(序列数7)。根据以上结果考虑曲霉、毛霉感染,查血糖21.8 mmol/L。
2023年5月17日,暂无毛霉感染证据,予比阿培南0.3 g q8h+伏立康唑300 mg q12h+两性霉素B 12.5 mg bid雾化;辅以降血糖、雾化、祛痰、扩张支气管、护胃、维持电解质平衡等对症支持治疗。
2023年5月24日多排CT胸部平扫CT所见:左肺上叶多发空洞,较前明显进展;右肺下叶支气管壁增厚伴条索影,两肺支气管旁多发絮状影及结节影,局部较前稍明显;左侧少许胸腔积液,伴左肺膨胀不全(图3)。
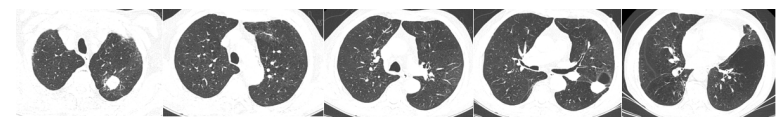
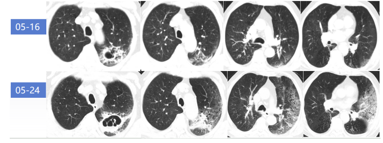
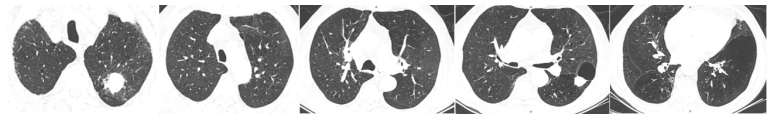
2023年5月26日NGS回报毛霉,经过讨论,建议艾沙康唑、两性霉素B雾化+静脉滴注、奥马环素200 mg ivd首剂,100 mg qd治疗。艾沙康唑200 mg qd+两性霉素B静滴(5月26日两性霉素B胆固醇硫酸酯复合物100 mg qd,5月27日换用两性霉素B脂质体150 mg→250 mg→350 mg qd)+两性霉素B 12.5 mg bid雾化+奥马环素100 mg qd(200 mg ivd首剂)。2023年6月5日复查胸部CT:弥漫性病变明显吸收,左上肺病灶明显呈现机化限制,病灶体积没有扩大;左肺出现新的实变影(图4)。从病灶性质上看,似乎是机化的过程,加之患者临床症状明显改善,经过讨论认为该方案是有效的,所以继续使用该治疗方案。慢性阻塞性肺疾病伴急性加重;肺真菌病(曲霉、毛霉);呼吸衰竭;糖尿病;高血压;低蛋白血症;低钾血症;颈椎术后(脊髓型颈椎病);腰椎间盘突出。①奥玛环素片300 mg/片,每日一次。②两性霉素B每日两次,每次25 mg雾化吸入。2~3月后改每天雾化一次,一次半支(12.5 mg)。③艾沙康唑20 0mg qd,维持30 min。④两性霉素B脂质体350 mg qd 60 min以上滴完。易低钾,注意监测血钾。2023年6月25日出院后复查胸部CT:病灶基本吸收,左下叶出现新病灶,边缘光滑,考虑原有肺大泡内充填了一些渗出性病变(图5)。但并未将其定义为一个新的病变,因为它不像典型的曲霉或毛霉感染的新发病变特征,并且患者症状非常逍遥,所以仍沿用原方案继续治疗。
2023年7月21日胸部CT可见病灶较前进一步吸收(图6),停两性霉素B脂质体,艾沙康唑由静脉序贯为口服,两性霉素B雾化qd。
图6 出院后复查胸部CT(2023-07-21)
2023年10月10日随访胸部CT病灶仍在继续吸收(图7)。艾沙康唑口服两性霉素B雾化qd。11月13日胸部CT示左下肺病灶基本稳定(图8)。


家属对手术有顾虑,没有选择手术方案。后续治疗仅保留两性霉素B雾化。因为考虑患者肺部病灶内有菌丝或活性真菌存在,所以不能定义为完全缓解,只能定义为部分缓解。如果穿刺可获得病原学证据。
丝状真菌感染的高危群体在不断增加,在病毒感染、血液恶性肿瘤、呼吸系统疾病、重症患者中,侵袭性曲霉/毛霉病的发病率也逐年升高,且患者预后较差。根据患者的临床症状/体征、影像学及微生物学检查综合评估治疗反应,目前还没有单一的生物标志物检查可以覆盖其他综合评估方法。CAPM患者若已行手术切除感染病灶,按照标准治疗方案完成疗程即可。治疗开始1周后应进行临床症状评估,2周后可进行胸部CT检查,间隔4周动态评估。

[1]中国医师协会呼吸医师分会危重症学组, 中华医学会呼吸病学分会. 重症新型冠状病毒感染合并侵袭性肺曲霉病和肺毛霉病诊治专家共识[J]. 中华结核和呼吸杂志, 2024, 47(1):10-23.[2]中国医药教育协会真菌病专业委员会, 中国毛霉病专家共识工作组. 中国毛霉病临床诊疗专家共识(2022)[J]. 中华内科杂志, 2023, 62(6):597-605. [3]Bassetti M, Giacobbe DR, Berruti M, et al. Adequate duration of therapy in severe fungal infections[J]. Curr Opin Crit Care, 2020, 26(5):466-472. [4]Slavin MA, Chen YC, Cordonnier C, et al. When to change treatment of acute invasive aspergillosis: an expert viewpoint[J]. J Antimicrob Chemother, 2021, 77(1):16-23. [5]Patterson TF, Thompson GR 3rd, Denning DW, et al. Practice Guidelines for the Diagnosis and Management of Aspergillosis: 2016 Update by the Infectious Diseases Society of America[J]. Clin Infect Dis, 2016, 63(4):e1-e60. [6]Marr KA, Balajee SA, McLaughlin L, et al. Detection of galactomannan antigenemia by enzyme immunoassay for the diagnosis of invasive aspergillosis: variables that affect performance[J]. J Infect Dis, 2004, 190(3):641-649. [7]Markowitz S. Erratum to: Asbestos-Related Lung Cancer and Malignant Mesothelioma of the Pleura: Selected Current Issues (Semin Respir Crit Care Med 2015;36(3):334-346)[J]. Semin Respir Crit Care Med, 2016, 37(1):143-144. [8]Zhang XB, Chen GP, Lin QC, et al. Bronchoalveolar lavage fluid galactomannan detection for diagnosis of invasive pulmonary aspergillosis in chronic obstructive pulmonary disease[J]. Med Mycol, 2013, 51(7):688-695.[9]Wu Z, Wang L, Tan L, et al. Diagnostic value of galactomannan in serum and bronchoalveolar lavage fluid for invasive pulmonary aspergillosis in non-neutropenic patients[J]. Diagn Microbiol Infect Dis, 2021, 99(4):115274. [10]Imbert S, Meyer I, Palous M, et al. Aspergillus PCR in Bronchoalveolar Lavage Fluid for the Diagnosis and Prognosis of Aspergillosis in Patients With Hematological and Non-hematological Conditions[J]. Front Microbiol, 2018, 9:1877. [11]Russo A, Giuliano S, Vena A, et al. Predictors of mortality in non-neutropenic patients with invasive pulmonary aspergillosis: does galactomannan have a role?[J]. Diagn Microbiol Infect Dis, 2014, 80(1):83-86. [12]Li W, Chen G, Lin F, et al. A score for predicting invasive pulmonary aspergillosis in immunocompetent critically ill patients[J]. Eur J Clin Invest, 2023, 53(7):e13985. [13]Fisher CE, Stevens AM, Leisenring W, et al. Independent contribution of bronchoalveolar lavage and serum galactomannan in the diagnosis of invasive pulmonary aspergillosis[J]. Transpl Infect Dis, 2014, 16(3):505-510. [14]Choi H, Lee H, Jeon K, et al. Factors affecting surgical resection and treatment outcomes in patients with pulmonary mucormycosis[J]. J Thorac Dis, 2019, 11(3):892-900. [15]Slavin MA, Chen YC, Cordonnier C, et al. When to change treatment of acute invasive aspergillosis: an expert viewpoint[J]. J Antimicrob Chemother, 2021, 77(1):16-23. [16]Ankrah AO, Lawal IO, Dierckx RAJO, et al. Imaging of Invasive Fungal Infections-The Role of PET/CT[J]. Semin Nucl Med, 2023, 53(1):57-69. [17]Douglas AP, Thursky KA, Worth LJ, et al. FDG PET/CT imaging in detecting and guiding management of invasive fungal infections: a retrospective comparison to conventional CT imaging[J]. Eur J Nucl Med Mol Imaging, 2019, 46(1):166-173. [18]Ankrah AO, Creemers-Schild D, de Keizer B, et al. The Added Value of [18F]FDG PET/CT in the Management of Invasive Fungal Infections[J]. Diagnostics (Basel), 2021, 11(1):137. [19]Koehler P, Bassetti M, Chakrabarti A, et al. Defining and managing COVID-19-associated pulmonary aspergillosis: the 2020 ECMM/ISHAM consensus criteria for research and clinical guidance[J]. Lancet Infect Dis, 2021, 21(6):e149-e162.[20]Muthu V, Agarwal R, Patel A, et al. Definition, diagnosis, and management of COVID-19-associated pulmonary mucormycosis: Delphi consensus statement from the Fungal Infection Study Forum and Academy of Pulmonary Sciences, India[J]. Lancet Infect Dis, 2022, 22(9):e240-e253.[21]Rudramurthy SM, Hoenigl M, Meis JF, et al. ECMM/ISHAM recommendations for clinical management of COVID-19 associated mucormycosis in low- and middle-income countries[J]. Mycoses, 2021, 64(9):1028-1037. 
南京医科大学第一附属医院呼吸与危重症医学科
主任医师,副教授,硕士研究生导师
中华医学会呼吸病学分会感染学组委员
中国卫健委抗菌药物专委会国际交流合作工作组委员
中国医药教育协会感染专业委员会青年委员
中国老年医学会呼吸病学分会青年委员
中国研究型医院学会微生物感染与转化专业委员会委员
江苏省社会办医协会呼吸病学专委会副主任委员
江苏省呼吸病学分会青年委员会副主任委员