登录方式

方式一:
PC端网页:www.rccrc.cn
输入账号密码登录,可将此网址收藏并保存密码方便下次登录

方式二:
手机端网页:www.rccrc.cn
输入账号密码登录,可将此网址添加至手机桌面并保存密码方便下次登录

方式三:
【重症肺言】微信公众号
输入账号密码登录

注:账号具有唯一性,即同一个账号不能在两个地方同时登录。

登录
方式

为重症救治赋能

为患者康复加速

当前位置:首页 重症实战 空中大查房

病例:一例重症流感肺炎何去何从?

周颖 温州医科大学附属第一医院 发布于2024-05-17 浏览 1670 收藏

汇报:周颖


单位:温州医科大学附属第一医院呼吸与危重症医学科
图片
一、病情介绍

病史


患者男性,18岁,既往有高血压病史5年,不规则服用降压药,房间隔缺损5年。2022年6月和11月两次患肺炎,在外院拟细菌性肺炎治疗后好转。无不良嗜好,否认其他病史。发热、咳嗽3天,伴呼吸困难1天。体温最高39℃,伴畏寒,无寒战,伴咳嗽,咳黄绿色痰,当地医院拟“急性上呼吸道感染”,予“阿奇霉素”抗感染,无好转。1天前开始出现呼吸困难,转至我院急诊,查胸部CT提示“两肺渗出性病变”,血气分析提示Ⅰ型呼吸衰竭,拟“社区获得性肺炎(重症)”收住RICU。

我院急诊查体

T 38.7℃,P 114次/分,BP 168/97 mmHg,R 35次/分。两肺可闻及干/湿啰音,心脏无杂音。其他无阳性体征。


急诊辅助检查


血常规:白细胞(WBC)15.79×109/L,中性粒细胞百分比(NEU%)79%淋巴细胞绝对值(LYM)1.47×109/L,血红蛋白(Hb)163 g/L,血小板(PLT)217×109/L。

降钙素原(PCT)0.1 ng/ml(↑),C反应蛋白(CRP)119.6 mg/L(↑),脑钠肽(BNP)21.7 ng/L,血尿素氮(BUN)3.9 mmol/L,Cr 74 μmol/L,肝功能和电解质正常。

血气分析(鼻导管吸氧,FiO2 0.3):pH 7.455,PaO2 68 mmHg,PaCO2 29.6 mmHg,乳酸(Lac)0.8 mmol/L,剩余碱(BE)-1.7 mmol/L。

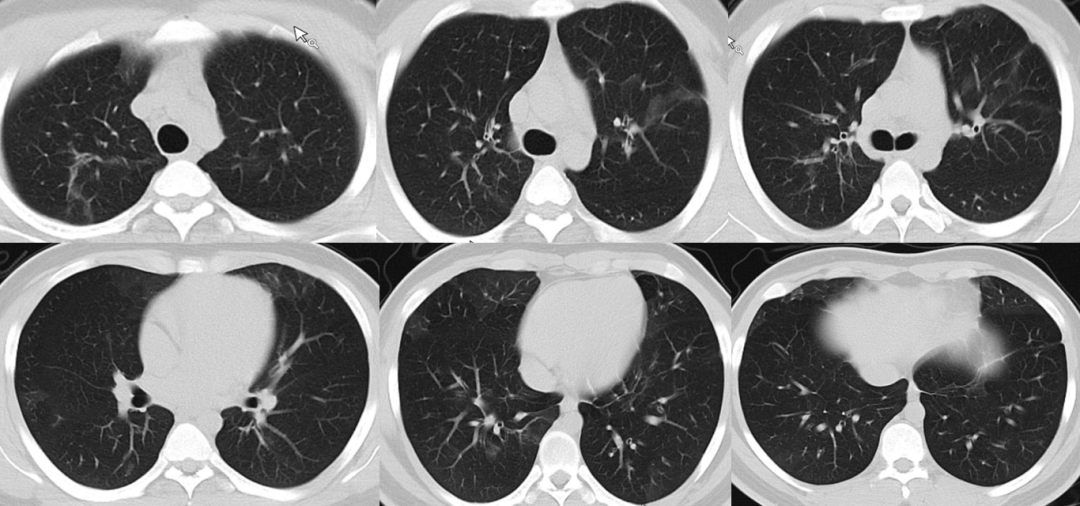
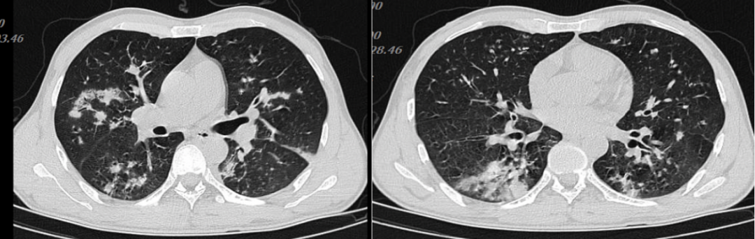
入院前影像学:患者2022年6月15日和11月25日胸部CT显示少量沿肺纹理分布的渗出,病变较轻(图1,图2)。2023年10月24日我院急诊胸部CT可见两肺广泛多发磨玻璃影(图3)


图片


图1  2022年6月15日胸部CT


图片
图2  2022年11月25日胸部CT    
图片


图3  2023年10月24日胸部CT


入院后实验室检查


血常规:WBC 18.82×109/L(↑),NEU% 89.4%(↑), Hb 162 g/L,PLT 237×109/L。

生化:总胆红素(TBil)10 μmol/L,直接胆红素(DBIL)5 μmol/L,白蛋白(ALB)30.1 g/L(↓),天冬氨酸氨基转移酶(AST)62 U/L(↑),丙氨酸氨基转移酶(ALT)38 U/L,BUN 4.9 mmol/L,Cr 62 μmol/L乳酸脱氢酶(LDH)626 U/L(↑)。

血气分析(高流量氧疗,FiO2 0.3):pH 7.4,PaO87 mmHg(↓),PaCO44.2 mmHg,BE 2.0 mmol/L,Lac 0.8 mmol/L。

PCT 0.18 ng/ml,CRP 171 mg/L(↑),BNP 16.3 ng/ml。

凝血酶原时间(PT)14.4 s,活化部分凝血活酶时间(APTT)33 s,D-二聚体0.74 mg/L(↑)。

急诊床旁心超检查,未见明显异常。

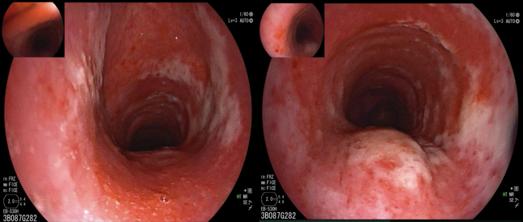
气管镜检查


患者入院后24小时内氧合急剧恶化,呼吸频率38次/分,呼吸窘迫明显。10月26日行气管插管,插管后气管镜下见两侧支气管充血,有黄白色分泌物(图4)
图片
图4  气管镜检查
病原学


  • G试验、GM试验均阴性,隐球菌荚膜抗原阴性。

  • T-spot阴性。

  • 肺炎支原体IgG>300 AU/ml,IgM阴性;肺炎衣原体24.6 AU/ml,IgM阴性。

  • 咽拭子及肺泡灌洗液(BALF)甲型流感病毒:阳性(H3N2)。

  • BALF GM试验测值2.57,3天后再次送检GM试验测值2.73。

  • BALF真菌荧光染色阴性,真菌、细菌培养阴性。

  • BALF mNGS:烟曲霉(序列数27),甲型流感病毒(序列数14)。


初步诊断


①重症社区获得性肺炎(SCAP),甲型流行性感冒伴肺炎,流感病毒相关性肺曲霉病(IAPA)?Ⅰ型呼吸衰竭,急性呼吸窘迫综合征(ARDS);②高血压病;③先天性心脏病,房间隔缺损。


讨论一:IAPA诊断是否成立?


詹以安教授:

流感病毒所致重症肺炎后发生曲霉感染的风险是存在的,主要是由于流感病毒破坏了机体免疫屏障和淋巴细胞功能低下引起。我中心约有1/3的流感患者会出现曲霉感染。判断是否为曲霉感染,影像学是重要的参考依据。该患者目前尚无典型的影像学改变,例如沿气道分布的结节影或斑片征、树芽征、晕征等。BALF mNGS检出的曲霉序列数也不是很高。气管镜没有发现典型的曲霉支气管炎表现,如假膜、溃疡、白斑等。尽管G试验测值偏高,但曲霉感染的证据仍然不是非常充足。因此,对于IAPA的诊断我们不妨暂且打一问号,继续追查。


淦鑫教授:

患者前期胸部CT更符合病毒性肺炎的表现,但在气管插管后影像学可能会有一些变化,但暂无影像学资料。结合当前多项辅助检查结果,个人考虑曲霉感染的可能性较大。首先,患者两次BALF GM试验测值均升高。其次,BALF NGS检出曲霉序列。曲霉的细胞壁比较厚,通常情况下难以被检出。因此,NGS一旦检出曲霉序列,其致病的可能性就比较大。所以IAPA的临床诊断可以成立。


杨莉教授:

我们在临床遇到很多流感相关曲霉感染患者,其影像学不一定能看到侵袭的表现,但BALF GM试验结果会升高,或者痰培养、BALF培养都会有曲霉。此类患者往往需要抗真菌治疗。该患者目前处于插管状态,对于一些小的侵袭性改变,床旁胸片并不明显。而其他影像学线索的获取存在一定困难。个人认为目前IAPA的临床诊断是成立的


Doctor X:

针对该患者,有几个问题:①合并侵袭性肺曲霉病(IPA)的患者,同时存在侵袭性气管支气管曲霉病(ITBA)的比例占多少?②该患者除了BALF GM试验外,真菌培养未出现阳性结果,影像学也没有合并真菌感染的典型表现。相对于新型冠状病毒感染相关肺曲霉病,流感病毒合并曲霉感染患者的影像学大多会呈现曲霉感染的典型特征。但该患者没有典型的影像学特征,主要通过BALF GM和NGS结果进行临床诊断。BALF GM试验对于曲霉的诊断具有较好的效能,但也会存在假阳性结果。如果该患者没有送NGS检测,只有BALF GM试验结果,此种情况应如何解读?


詹以安教授:

患者病变进展很快,没有明确的肺部基础疾病,有心脏病病史,个人认为患者应该是比较容易发生肺部感染,其经历的肺部感染次数可能比其他青少年要多。或许肺部存在一些基础问题,但不是很典型。患者从流感发病到曲霉感染的进展似乎太快了。对于没有肺部基础疾病的患者,通常需要10~15天才会从病毒打击的严重呼吸衰竭状态进展到合并金黄色葡萄球菌或曲霉感染的状态


杨莉教授:

既往流感相关曲霉感染似乎发生都比较晚,但这例患者的发病比我们预想得要早。在普通病房,很多慢阻肺患者流感后出现曲霉感染都比较早。我们近期有一例患者,入院时淋巴细胞绝对值正常,2天后淋巴细胞绝对值快速下降,最终发现是肺孢子菌感染。有基础疾病的患者很容易在短期内出现机会性感染

图片
二、诊治过程

患者发热3天,10月24日入我院急诊就诊,10月26日气管切开并行气管镜检查,病原学检出曲霉,病情进展迅速。但其影像学并无典型的IPA表现,且亦无ITBA表现。对于流感患者而言,如果血GM试验或BALF GM试验测值升高,同时有临床表现和肺部浸润,可以考虑IAPA诊断。根据EORCT/MSGERC有关侵袭性真菌病的诊断标准,血GM试验>0.5或BALF GM试验>0.8,有宿主因素,考虑曲霉感染诊断。本例患者两次BALF GM试验测值均>2.0,且存在高危因素(重症流感),因此考虑IAPA的临床诊断成立。

讨论二:流行性感冒的诊疗方案(2020版)不推荐两种神经氨酸酶抑制剂联合应用。随着新药病毒RNA聚合酶抑制剂进入临床,危重症流感肺炎是否可以联合应用?疗程是多久?


詹以安教授:

目前对于流感比较主流的治疗药物是神经氨酸酶抑制剂,即奥司他韦,该药是将病毒封堵在已经感染的细胞中,使病毒无法扩散。另外一种新药是玛巴洛沙韦,该药主要作用于RNA合成酶,抑制病毒RNA复制。这两种药物的作用机制完全不同。对于氧合较差需要有创机械通气的重症流感患者,个人认为可以考虑联合用药。神经氨酸酶抑制剂疗程通常为5天,具体根据患者的临床情况判断。对于肺部影像学病变严重,但呼吸频率不是很快,高流量吸氧进行呼吸支持的患者,会选择单药治疗


淦鑫教授:

既往的抗病毒药物主要是神经氨酸酶抑制剂,如奥司他韦、帕拉米韦、扎那米韦,近年的新药有病毒RNA聚合酶抑制剂—玛巴洛沙韦,以及血凝素酶抑制剂阿比多尔,但该药在重症患者中的数据有限。对于免疫功能低下、病毒核酸始终无法转阴患者,可能会选择联合用药,一般情况下还是单药治疗为主。目前神经氨酸酶抑制剂和病毒RNA聚合酶抑制剂的联合治疗尚缺乏循证医学证据。神经氨酸酶抑制剂的疗程通常为5天,如果病毒持续复制不转阴,可以适当延长疗程,具体根据病毒核酸转阴情况决定。玛巴洛沙韦对乙流的效果较好,单次给药。如果患者肠道吸收功能欠佳,建议静脉给药


杨莉教授:

2022年发表了一项随机临床试验结果,研究将玛巴洛沙韦与奥司他韦联用,但结果发现联合用药的效果并不优于单用玛巴洛沙韦的效果。目前我们并无联合用药的案例。有些患者初始使用玛巴洛沙韦,由于存在免疫抑制,复查发现病毒依然阳性,可能会再使用奥司他韦


Doctor X:

理论上,只要是作用于病毒复制、合成和释放等阶段的抗病毒药物,应该会有叠加的作用。但目前联合用药的循证医学证据较少。可能在动物实验中会有一些体外的协同效应,但在临床试验中或许无法得出相似的结论。其理论上存在一定的可行性,未来可以开展这方面的研究。我们应该考虑哪类人群更适合联合治疗以及联合治疗时机的把握。目前用药的疗程,包括单药疗程和联合用药疗程,似乎都是我们目前无法准确回答的问题

如果流感病毒核酸始终不转阴,持续复制,对气道上皮细胞、纤毛细胞以及免疫细胞都会产生持续性损伤,因此更易出现继发性感染。个人更倾向于流感患者用药直至病毒核酸转阴为止。我们曾经遇到20余天病毒核酸都不转阴的患者。由此可见,疗程是无法确定的,应该根据流感病毒核酸转阴的情况来决定。当然,未来也需要更多的证据帮我们判断究竟是否需要联合用药。

既往研究显示,与单用奥司他韦相比,法维拉韦联合奥司他韦治疗重症流感,其临床改善率更高。另有研究发现,与单用神经氨酸酶抑制剂比,巴洛沙韦联合神经氨酸酶抑制剂并未显示出临床优越性,二者联用有良好的耐受性。不同研究的用药疗程不同,而且药物也并非单用一次即可。
入院后第1周治疗情况


  • 抗病毒治疗:玛巴洛沙韦+奥司他韦。

  • 伏立康唑0.2 g q12h,奥马环素针第3天改为哌拉西林他唑巴坦。

  • 机械通气,俯卧位,镇痛、镇静、营养支持等。

患者入院后接受相关治疗,氧合指数逐渐升高,淋巴细胞绝对值有所回升,CRP明显下降(表1)。病情有好转趋势。

表1  第一阶段治疗期间患者相关指标变化情况


图片
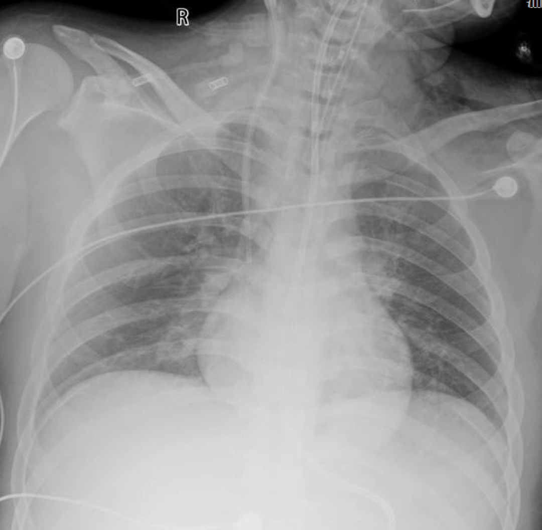
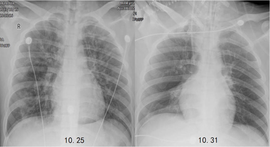
治疗1周后,患者胸部X线片较入院时改善,病变吸收明显(图5)体温也有所下降(图6)   
图片


图5  患者胸部X线片


图片


图6  治疗1周患者体温变化情况

10月27日(入院第3天)出现肾功能恶化,停用伏立康唑,改用艾沙康唑。患者肌酐进一步升高(图7)10月30日行CRRT。   


图片


图7  患者肌酐水平变化情况


入院后第2周治疗情况


继续抗感染治疗:玛巴洛沙韦+奥司他韦,艾沙康唑+哌拉西林他唑巴坦。但患者氧合指数仍波动于140~180 mmHg。11月3日患者开始出现皮下气肿,胸片较前明显进展(图8),氧合较前恶化。11月5日体温升高(图9),下调PEEP后,氧合基本维持在100 mmHg左右,PaCO2没有升高。血压下降至90/50 mmHg,白细胞较入院时没有明显升高,CRP从正常升至22.7 mg/ml,PCT正常。气管镜下分泌物较前增多,黄色黏稠状,培养结果未出。    


图片


图8  患者胸部X线片(2023年11月3日)


图片
图9  入院第2周患者体温变化情况

讨论三:治疗方案怎么调整?抗感染方案的选择?ECMO上还是不上?


詹以安教授:

患者从11月3日开始出现比较大的病情变化,在此之前处于僵持阶段。皮下气肿可能与病毒感染所致顺应性下降以及呼吸机使用过程中的一些操作有关。此类患者很容易出现气压伤。另外,患者氧合明显恶化,此时启动ECMO支持还是有必要的。ECMO除了作为治疗ARDS的挽救性措施,还是一种肺保护性通气策略。启动ECMO后,呼吸机参数往往会下调,肺通气的小潮气量更加容易把握,而且可以解决氧合的问题。该患者病毒感染后10天左右出现体温升高、血压下降,气道分泌物增多,这都提示患者合并了感染,最常见的是合并真菌和耐药阴性菌感染,当然也有部分阳性球菌。抗感染方面需要做的工作:首先,积极利用气管镜寻找病原微生物,气管镜能够观察气道整体情况,气道壁有无出现霉菌或金葡菌感染导致的溃疡、白斑、脱落、出血等情况。其次,引流气道分泌物。再次,获取病原学线索,如BALF NGS、GM试验以及BALF培养等,以便进一步开展精准治疗。在病原学结果出来之前,建议广覆盖包括曲霉、革兰阳性球菌及革兰阴性菌等


Doctor X:

患者除了发生皮下气肿,胸片显示似乎也有纵隔气肿。发生气压伤后,呼吸支持力度无法上调。患者11月5日体温升高、氧合恶化、血压下降以及部分炎症指标升高,考虑为感染加重。需要考虑几个问题:第一,感染部位在哪?从目前提供的信息来看,呼吸道或肺感染的可能性更大,因为气道分泌物在气管镜下表现出颜色变化和量的增多。另外,还需要关注有无其他部位感染,如血流感染等,并且需要进一步区分,是导管相关血流感染,还是肺入血的问题。可能还需要多次采血培养,观察深静脉置管的情况以及维护情况等。其他部位如消化道、泌尿系等感染的可能性较小。第二,病原体是什么?经过抗病毒治疗,11月5日患者流感病毒核酸检测结果为阴性,因此病毒感染可以排除。真菌方面,在诊断为IAPA后,也加用了伏立康唑抗真菌治疗,感染指标较前期显著下降,在第2周又再次升高,考虑真菌感染的可能性相对偏小。但在气管镜下仍然要观察有无气管支气管曲霉病的相关表现。另外,是否在使用伏立康唑过程中出现了耐药。由于患者真菌培养阴性,无法做药敏,判断起来有难度。患者的气道分泌物比较符合细菌感染特点,而且有创通气时间超过1周。先出现皮下气肿,然后出现继发感染。通常在出现气压伤后更容易出现肺上皮和毛细血管内皮之间因肺损伤而引起的细菌和毒素的互通。所以,我个人更倾向于患者发生了院感。院感的致病菌一定要结合本中心ICU内的病原学特点,可以根据涂片结果进一步判断,再根据药敏结果决定使用何种药物。该患者当前的指标暂时未达到启动ECMO的标准,建议再继续观察。对于已经出现气压伤的患者,应给予深镇痛镇静甚至肌松。另外,如果氧合仍不理想,也可以考虑俯卧位   

入院第3周治疗情况
考虑患者继发感染。为了明确感染部位,我们更换了深静脉置管,并送导管血培养和尿培养,结果均为阴性。第二次气管镜后送BALF GM试验结果阴性。涂片提示革兰阴性杆菌,我中心ICU最常见的院感致病菌为鲍曼不动杆菌。在痰培养结果出来之前,予头孢哌酮舒巴坦2 g q8h,替加环素100 mg q12h。2天后痰培养回报鲍曼不动杆菌+肺炎克雷伯菌,遂将抗感染药物改为替加环素100 mg q12h+黏菌素75万U q12h,同时继续使用艾沙康唑。
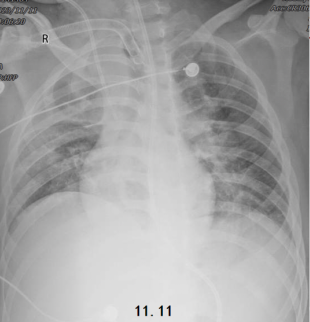
由于患者出现了气压伤,因此加大了镇痛镇静力度,并且予适当的肌松剂,考虑患者痰液排出困难,进行了气管切开,加强痰液引流。患者氧合有所改善,维持在100~200 mmHg,PaCO维持在50 mmHg以内,分钟通气量为6~7 L/min,仍有发热(图10)。11月11日(气管切开后,PEEP下调)胸部X线片可见皮下气肿和气压伤好转,但肺容积较前减少(图11)    
图片


图10  入院第3周患者体温变化情况


图片


图11  患者11月11日胸片


讨论四:患者氧合不佳的原因是什么?


詹以安教授:

患者氧合不佳的原因最主要的是感染导致的肺部病变影响了通气血流比,这也是最常见的原因,此种情况可能需要继续观察。另外还有一种原因可能是肺感染后纤维化,这种情况比较棘手。气道的护理、呼吸机的应用等也可导致氧合不佳


杨莉教授:

个人考虑患者氧合不佳的原因可能有:①痰液引流不彻底。能否通过肺复张改善肺容积。②患者本身有房缺病史,CRRT和容量管理也可能影响患者的氧合。如果条件允许建议做胸部CT检查,以便确认是否存在胸腔积液


Doctor X:

有时床旁胸片不能很好地反映患者的影像学特征。我们曾经遇到两种不同的表现,一种是胸片表现很轻但CT表现很重,另一种是CT表现很重但胸片表现轻。所以,我个人建议做胸部CT检查,一是可以确认是否有胸腔积液,二是可以判断双肺处于炎症状态,还是有纤维化成分,以及有无牵拉、支扩、网格影、索条影等。从胸部X线片可见肺容积显著缩小。无论肺炎还是痰液引流问题,最终的结局都会导致通气血流比失调,我们可以计算死腔还是分流为主,如果死腔和分流都比较明显,有条件可以做俯卧位,再观察患者氧合和PaCO2改善情况。如氧合和果PaCO2有所改善,说明死腔通气比较明显。俯卧位相当于既能改善死腔也能改善分流。其次,患者前期由于气压伤的问题使用了较深的镇静以及肌松剂,此时需要使其恢复自主呼吸,尽量使背侧肺能够张开。第三,改变体位。白天抬高床头30°~45°,甚至更高,使膈肌下移。目前患者已经处于发病后第3周,此阶段高PEEP比较危险,在气压伤时PEEP可能低,例如3~4 cmH2O甚至更低,这一阶段可以在此基础上稍微升高一点。但不建议做肺复张,根据以往经验,此时应该已经出现了纤维化,肺可能变得更硬,所以肺复张的风险可能高于获益

继续俯卧位通气。由于气压伤,患者的PEEP下调为5 cmH2O,之后又上调至8 cmH2O,但吸入氧浓度无法下降。分析原因:①是否存在血栓?下肢深静脉无明显异常,超声心动图也未发现明显异常,D-二聚体在感染最重时升高,之后逐渐下降并趋于稳定(图12)。因此考虑血栓的可能性不大。②再次院内感染?经过替加环素+黏菌素治疗,患者炎症指标下降(CRP,PCT)(图12),虽然仍有发热,但未再出现体温>39℃的情况。再次院内感染可能性不大。③液体负荷过重?治疗期间严格控制患者液体出入量并密切观察,基本维持负平衡。④痰液阻塞?引流不畅?无明确证据。⑤嗜酸粒细胞性肺炎?机化性肺炎?尽管治疗过程中出现嗜酸粒细胞明显升高,但胸部X线片显示患者肺部情况好转。


图片    


图片
图片


图12  患者D-二聚体、CRP和PCT变化


患者当时出现了气压伤,皮下气肿比较明显,而且患者脖子粗短,所以当时请了五官科医师进行气管切开。五官科医师建议使用可调节固定翼气切导管。结合胸部X线片分析,患者肺容积缩小也可能与该气切导管偏小,存在漏气,潮气量不稳有一定关系,所以氧合波动比较明显。此外,可调节固定翼气切导管没有声门下吸引功能,口咽部分泌物容易流到下呼吸道,引起反复吸入,导致感染控制不佳,体温升高。因此我们决定改用管径更粗的8.5号声门下吸引气切导管。    
下图左为可调节固定翼气切导管,适用于颈部组织肿胀或肥胖的患者;下图右为声门下吸引气切导管,吸引孔开口在气囊上方,气囊上方分泌物可被吸出,降低呼吸机相关性肺炎(VAP)的发生率,推荐机械通气较长时间的患者使用。
图片
更换气切导管后漏气明显减少,同时可以引流声门下分泌物,潮气量增加,氧合明显改善。在当时氧合较差的情况下,只要患者稍有清醒,氧饱和度即急剧下降。因此,在氧合好转后停用镇痛镇静,患者咳嗽咳痰能力也随之好转,后续胸部CT明显缓解。
出院诊断
①SCAP:甲型流行性感冒伴肺炎,流感病毒相关肺曲霉病,Ⅰ型呼吸衰竭,ARDS;②脓毒性休克;③导管相关血流感染;④急性肾功能不全;⑤高血压病;⑥症状性癫痫;⑦先天性心脏病,房间隔缺损;⑧脂肪肝。
病程中患者出现抽搐,脑电图提示异常放电,考虑伏立康唑引起的不良反应(测血药浓度正常),停药后好转。患者的抗真菌治疗:伏立康唑针(10月27日-30日),艾沙康唑针(10月30日-11月14日),伏立康唑片(11月14日-20日)。
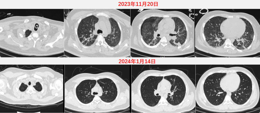
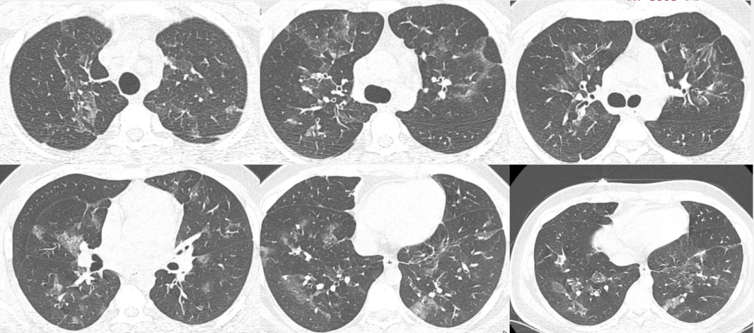
2023年11月20日胸部CT显示窦道形成,2024年1月14日胸部CT可见恢复较好,病变基本吸收(图13)
图片
图13  患者胸部CT
图片
三、相似病例

病例1,男性,42岁,浙江衢州务工,油漆工,既往体健。发热半月,伴全身酸痛,咽痛,体温39℃,咳嗽,咳黄痰,当地医院拟“肺炎”住院,予抗感染治疗后无好转,转至我院,拟“社区获得性肺炎”于2023年4月7日收住。甲型流感合并气管支气管曲霉病。
图片


病例1胸部CT    


图片


病例1气管镜检查

病例2,女性,39岁,肾移植术后7个月。因“发热1周、呼吸费力伴声音嘶哑2天”于2024年1月14日入院。最终诊断为乙型流感合并气管支气管曲霉病。


图片


病例2胸部CT


图片


病例2气管镜检查


讨论五:IAPA不同类型,抗曲霉治疗的疗程?


詹以安教授:

2020年发表的一部多国专家共识认为IAPA有两种类型,一种是气管炎型,另一种是肺曲霉病型。气管炎型IAPA在气管镜下可见明显的白斑、溃疡表现,肺部影像学可不明显,也可以有,合并粒缺或肾移植等有宿主免疫抑制患者更易出现肺部实质空洞、晕征、大片实变等。健康宿主气管炎型IAPA的肺部影像学表现可能不明显。肺曲霉病型IAPA表现为肺组织结节影、空洞影、月牙征。曲霉病的治疗药物和疗程非常关键,但如何发现曲霉感染也是提高救治成功率的重要问题。通常我们的疗程是3个月,第1个月进行静脉诱导,如果诱导成功,之后的2个月序贯口服


杨莉教授:

上述3个病例代表了3种不同的IAPA类型。第一例患者是相对健康的成人,是重症甲流合并气道曲霉感染。第二例患者是正常成人气管支气管曲霉感染。影像学也有曲霉侵袭的表现。第三例患者是免疫抑制宿主,乙流合并侵袭性肺曲霉病。对于免疫抑制宿主,疗程会更长,至少要达到临床症状缓解、肺部吸收基本仅余瘢痕,气管镜检查气道黏膜干净,并且免疫抑制状态得到一定的缓解。对于免疫功能相对正常患者,需要达到肺部/气道病灶缓解。普通病房的慢阻肺患者如果合并IAPA,我们一般会坚持用药1个月,待患者整体症状明显缓解,并且肺内也无侵袭性表现


Doctor X:

后面分享的2个病例的影像学已经具备了非常典型的IPA特点。ITBA和IPA是曲霉侵袭气道然后再到肺的一个连续过程。我个人并不认为患者初始诊断了ITBA,其疗程就与IPA不同,因为患者随时有可能会从ITBA变成IPA或者同时存在。我们需要思考的问题是:伏立康唑在其他情况下的换药指征是什么?如果出现不严重的肝损、皮疹、视觉异常等,会考虑换药吗?如果换药,换什么?考虑联合用药吗?目前为止,从循证医学角度,泊沙康唑、艾沙康唑、两性霉素B脂质体的治疗效果相对都比较确切。抗曲霉治疗的疗程目前没有确切答案,其疗程可能取决于多方面因素:①宿主背景:是免疫抑制宿主,还是非免疫抑制宿主。对于流感后患者,我们也会比较关注其淋巴细胞何时恢复,如果恢复快,抗曲霉治疗的疗程就可以稍微缩短。移植患者是典型的免疫抑制宿主,其影像学吸收非常缓,所以疗程可能比指南推荐更长,至少2~3个月。影像学方面,首先不能出现新的浸润性病灶;其次,病灶向陈旧性趋势发展。这种情况下停药可能更安全。②曲霉感染的严重程度。③治疗效果。停药的指征除了依据患者的临床特征(症状体征缓解),还要结合GM试验结果,尤其是BALF GM试验水平,以及影像学(是否明显吸收),综合考虑是否停药。我中心患者大部分会使用6~8周甚至更长。少数患者,例如持续存在免疫抑制或治疗效果不理想时,也有使用半年的情况。从静脉到口服的序贯也取决于患者的治疗反应。治疗反应好,可能2周序贯为口服。治疗反应不好,如胃肠功能差,静脉用药的时间可能偏长。患者出现院内鲍曼不动给杆菌感染时,会常规使用舒巴坦制剂,无需等待药敏结果。但从治疗角度考虑,我们不建议用舒普深(头孢哌酮舒巴坦),因为其舒巴坦的剂量不足。即使舒普深每天推荐最大剂量,也达不到治疗鲍曼不动杆菌感染所需的舒巴坦剂量。所以我们通常会用单独的舒巴坦针,每天可能用到8 g甚至12 g,再联合替加环素,效果可能会更好

图片
图片
  主席 詹庆元教授
  中日友好医院
图片
  主席  李玉苹教授
  温州医科大学附属第一医院
图片
  讨论嘉宾  淦鑫教授
  南昌大学第一附属医院
图片
  讨论嘉宾  杨莉教授
  温州医科大学附属第一医院
图片
  讨论嘉宾  詹以安教授
  南昌大学第一附属医院
图片
   讨论嘉宾  Doctor X
    秘
图片
   病例汇报  周颖教授
   温州医科大学附属第一医院


    作者介绍    

图片
周颖
温州医科大学附属第一医院呼吸与危重医学科副主任医师
浙江省医师协会呼吸医师分会呼吸危重症学组委员
浙江省医师协会呼吸医师分会间质性肺疾病学组委员
温州市医学会结核病专业委员会委员
美国俄亥俄州立大学医学中心访问学者



全部评论 0

空中大查房「45」病例汇报

周 颖  温州医科大学附属第一医院

空中大查房「45」学术专题

熊伟川  南昌大学第一附属医院

Copyright©2020-2026 北京医麦斯科技有限公司 版权所有 京ICP备2020034400号-1 京公网安备11010502043983号