登录方式

方式一:
PC端网页:www.rccrc.cn
输入账号密码登录,可将此网址收藏并保存密码方便下次登录

方式二:
手机端网页:www.rccrc.cn
输入账号密码登录,可将此网址添加至手机桌面并保存密码方便下次登录

方式三:
【重症肺言】微信公众号
输入账号密码登录

注:账号具有唯一性,即同一个账号不能在两个地方同时登录。

登录
方式

为重症救治赋能

为患者康复加速

当前位置:首页 重症实战 空中大查房

专题:mNGS在抗合成酶综合征合并间质性肺病诊治中的应用

冯耘 上海交通大学医学院附属瑞金医院呼吸与危重症医学科 发布于2024-05-07 浏览 4033 收藏

作者:冯耘
单位:
上海交通大学医学院附属瑞金医院呼吸与危重症医学科





一、概述

近年来,高通量测序技术(NGS)已被多部临床指南及专家共识所推荐。2016年美国FDA发表了NGS在感染性疾病中的诊断指南;2018年NGS被写入《中国成人医院获得性肺炎与呼吸机相关性肺炎诊断和治疗指南》;2019年《中华急诊医学杂志》发表《宏基因组分析和诊断技术在急危重症感染应用的专家共识》;2020年《中华传染病杂志》发表《中国宏基因组学第二代测序技术检测感染病原体的临床应用专家共识》;2021年《中华检验医学杂志》发表《宏基因组高通量测序技术应用于感染性疾病病原检测中国专家共识》。
中南大学湘雅医院曾对3例初始治疗失败的危急重症肺炎患者进行宏基因组二代测序(mNGS)检测,分别检测出链球菌(序列数200)、人类腺病毒7型(序列数467)及鹦鹉热衣原体(序列数216)。治疗团队依据mNGS结果相应调整治疗方案,患者症状迅速改善,治疗效果确切,预后好。研究发现mNGS对初始治疗失败的危急重症患者极为适用。长期服用抗生素,早期难以培养微生物,但mNGS在病原载量较少的情况下仍可检测。在流行病学、临床表现、实验室检查、影像学等方面都没有明显特征性的情况下,mNGS能实现全面覆盖无偏倚。通过mNGS早期明确病原体类型,调整患者治疗方案,患者28天、90天生存率均有所提高,其中90天生存率从57.7%提高到83.3%,能够很好地指导临床用药和治疗。因此,临床医生需要紧密结合患者的临床特征和其他诊断资料,选择最可能、最符合临床实际的结果。我团队收集了我院RCIU中130例急性呼吸衰竭患者的184份mNGS标本,结果发现:对比传统检测技术,使用mNGS检测混合感染的比例增多,结核,非结核分枝杆菌(NTM),耶氏肺孢子菌(PJP),真菌感染检出率较传统检测比例高,可以检测出少见病原体;根据mNGS修改治疗方案的患者占58.5%。



二、抗合成酶综合征

抗合成酶综合征(ASS)是一组以抗氨酰tRNA合成酶抗体阳性为特征的炎性肌病临床亚型,相较于其他炎性肌病,ASS更容易合并间质性肺疾病(ILD),且70%的ASS患者ILD先于肌炎出现,容易漏诊误诊;常表现为肌炎、间质性肺病、雷诺现象、关节炎、技工手、发热等。
ASS合并ILD(ASS-ILD)在中老年女性中多发,临床表现以呼吸道症状、技工手、关节炎常见,患者从出现症状到确诊平均时长约1年,提示该病早期诊断仍是突出问题。研究报道其年发生率约为0.6/10万,男女比列约为1:2。抗合成酶抗体的靶点是氨酰tRNA合成酶,它是促进氨基酸与特定tRNA结合参与蛋白质合成的细胞蛋白质家族。其中临床以抗组氨酰tRNA合成酶(JO-1)抗体(60%~80%)最为常见,其他还包括抗PL-7抗体(10%~15%)、抗PL-12抗体(5%~15%)、抗EJ抗体、抗OJ抗体(5%)、抗MDA5抗体、抗KS抗体、抗Zo抗体等。抗合成酶抗体不同,患者临床表现、疾病严重程度和预后往往也不同。此类患者同时可合并其他抗体阳性,尤其抗Ro52阳性最常见。
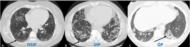
ASS肺部累及以非特异性间质性肺炎(NSIP)、机化性肺炎(OP)最为常见,可占所有ASS患者的78%~100%,部分患者可出现普通型间质性肺炎(UIP)及弥漫性肺损伤(DAD)表现。
图片


图源:Best Pract Res Clin Rheumatol, 2020, 34(4):101503.


ASS-ILD的治疗主要包括以下:①一般治疗:呼吸支持,肺康复,预防肺部感染;②抗炎治疗:糖皮质激素,环磷酰胺,硫唑嘌呤,麦考酚酸酯,甲氨蝶呤,他克莫司,环孢素,免疫球蛋白;③生物制剂:利妥昔单抗;④其他治疗:血浆置换,肺移植。
ASS-ILD在诊断方面存在的主要问题有:①初诊诊断困难:间质性肺炎还是感染?②急性加重原因诊断困难:感染还是单纯间质肺炎加重?NGS在其中能够发挥重要作用,且呼吸与危重症医学科在此类疾病的诊断和鉴别诊断方面具有独特的优势,如气管镜的应用等。



三、病例分析

病例1


病史情况


现病史:患者女性,60岁。2020年8月22日因“腰背部疼痛”于当地医院完善胸腰椎CT检查示T11椎体陈旧性压缩性改变,附见两肺多发感染可能,进一步完善胸部CT平扫示两肺胸膜下多发斑片状磨玻璃影,当时无咳嗽、咳痰、发热等症状。2020年8月24日至当地医院呼吸科治疗,感染和自身免疫指标均无异常,予莫西沙星抗感染治疗后患者出现心悸,随后停药。8月26日患者出现发热,Tmax 39℃,伴寒战、咳嗽、咳痰,痰中带血,完善气管镜检查,留取肺泡灌洗液(BALF)外送NGS提示近平滑念珠菌感染,更改抗感染方案为美罗培南1.0 g q8h+伏立康唑0.2 g q12h,但患者仍反复发热。8月29日患者出现明显胸闷气促,且指脉氧饱和度进行性下降,8月31日予BiPAP辅助通气,并加用甲强龙40 mg q12h抗炎。后至我院就诊。

既往史:追问病史,患者近3个月来有霉变纺织品接触史。30年前曾有“风湿热”病史。5年前曾因运动跌倒致T11椎体压缩性骨折,有青霉素类、头孢类及大环内酯类药物过敏史。

家族史:患者一姐曾患“Goodpasture综合征”并因此去世,另有一姐有“变应性血管炎”病史,目前服用沙利度胺控制。


辅助检查


体格检查:体温36.9℃,脉搏107次/分,呼吸31次/分,血压130/69 mmHg,血氧饱和度97%(BiPAP辅助通气,IPAP 14 cmH2OEPAP 4 cmH2O,氧浓度60%),可闻及双肺Velcro啰音,心律不齐,多发房性早搏,未及杂音,腹平软,无压痛及反跳痛,双手食指桡侧可见皮肤粗糙,四肢肌力可,双下肢无水肿。

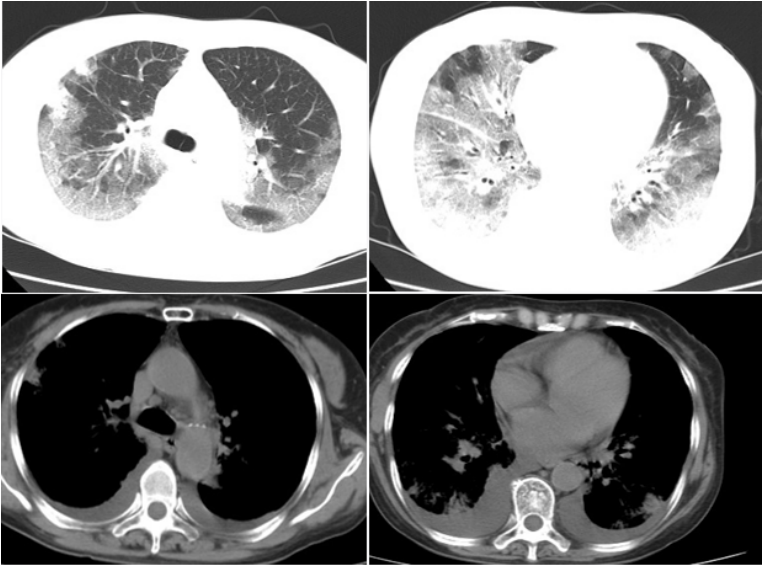
影像学:8月22日胸部CT见少量渗出(图1)。8月31日复查胸部CT可见大量弥漫渗出(图2),病情进展迅速。


图片


图1  患者胸部CT(2020-08-22)


图片


图2  患者胸部CT(2020-08-31)

自身抗体:抗核抗体(IFA)阳性(+),ANA主要核型—胞浆颗粒型,主要核型强度1:80,抗SSA抗体(印迹法)阳性(+),抗Ro-52抗体(印迹法)阳性(++),抗Jo-1抗体(印迹法)阳性(++),抗着丝点蛋白B抗体(印迹法)弱阳性(±),抗心磷脂IgM抗体(ELISA)28.2 MPL(↑),

外送肌炎抗体:Jo-1 IgG(+++);Ro-52 IgG(+++)。

治疗措施及预后

呼吸支持:BiPAP与高流量交替。

抗炎:注射用甲泼尼龙琥珀酸钠500 mg qd,使用3 d → 80 mg q8h,使用3 d → 40 mg q8h,使用3 d → 40 mg q12h,使用3 d → 直至减量为40 mg qd+甲泼尼龙片8 mg qd po,使用12 d → 甲泼尼龙片4 mg qd po。环磷酰胺0.8 g,使用2次(9月3日,9月24日)。静注丙种球蛋白20 g qd,使用5 d。

抗感染:美罗培南+卡泊芬净→伏立康唑+左氧氟沙星→泊沙康唑。

其他支持治疗:奥克护胃,罗盖全预防骨质疏松,曲美他嗪营养心肌。

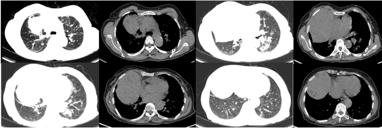
9月1日复查胸部CT可见肺部病灶较前明显改善(图3)


图片


图3 患者胸部CT(2020-09-14)


病例2


病史情况


一般情况:患者老年女性,69岁,农民。主诉:反复咳嗽伴活动后气促2月余,加重15天。2021年10月12日入院。

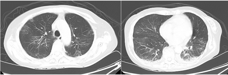
既往史:有高血压10余年,现口服马来酸氨氯地平5 mg qd控制血压,近期因血压偏低已停用。2013年3月因反复咳嗽在我院胸外科住院治疗,胸部CT提示右侧胸腔巨大肿物,行右侧胸腔巨大肿物切除术;胸腔镜下胸膜粘连分解术。术中冰冻示右侧胸腔肿物,送检肿瘤体积较大,冰冻取一块组织制片,镜下见肿瘤呈纤维分隔的多结节状分布, 结节由类似上皮细胞和淋巴细胞构成, 结合影像学及其生长部位, 首先考虑胸腺瘤可能。

现病史:患者于2月前活动后出现胸闷、气促伴间断咳嗽,干咳为主,少许白黏痰。前往当地医院就诊,诊断为“呼吸道感染”,予口服药物及静滴抗炎药物(具体不详),治疗后症状好转。2021年10月4日患者再次出现咳嗽、胸闷、气促症状,于当地医院完善胸部CT示两肺散在炎症,诊断为“肺部感染”。予磺苄西林+左氧氟沙星、比阿培南+莫西沙星抗炎,甲泼尼龙片40 mg口服治疗5天后出院。3天前患者自觉胸闷症状加重,前往我院急诊科就诊。急查头胸腹部CT后诊断为“重症肺炎、胆囊炎、胆囊结石、腔隙性脑梗死”,后转入我科进一步治疗。


当前诊断


①Ⅰ型呼吸衰竭(重症肺炎?间质性肺炎?);②胸腺瘤AB型(术后);③高血压。


辅助检查


  • 心脏超声:轻度三尖瓣关闭不全,肺动脉高压可能。

  • 下肢静脉(VTE专用):双侧下肢深静脉血流通畅。

  • 床边胸片:胸部术后;两肺多发渗出;双侧胸腔积液;纵隔增宽。

  • 心电图:正常心电图。

  • 血气分析:pH 7.46(↑)PaCO2 42 mmHg,PaO2 105 mmHg。

  • 血常规:WBC 14.89x109/L(↑),NEU% 59.9%,LYM% 29.9%,Hb 133 g/L,PLT 319×109/L。

  • CRP:7 mg/L,PCT<0.05 ng/ml。

  • 凝血功能:APTT 30.2 s, PT 11.8 s,INR 1.00,TT 18.00 s,Fg 2.5 g/L,纤维蛋白降解产物2.5 mg/L,D-二聚体定量0.32 mg/L。

  • 肿瘤标志物:癌胚抗原6.57 ng/ml(↑),神经元特异性烯醇化酶32.09 ng/ml(↑),细胞角蛋白19 5.09 ng/ml(↑)。

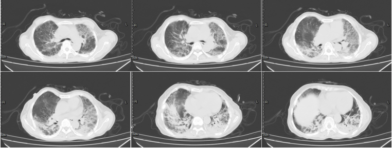
2021年10月9日胸部CT:两肺渗出,类似间质性改变(图4)


图片


图4  患者胸部CT(2021-09-14)


治疗措施


患者入院后予高流量吸氧(FiO2 60%),氧饱和度93%~95%,低热。抗感染:利奈唑胺0.6 g bid,美罗培南0.5 g q8h,卡泊芬净50 mg qd。甲强龙120 mg qd;静脉丙种球蛋白20 g。

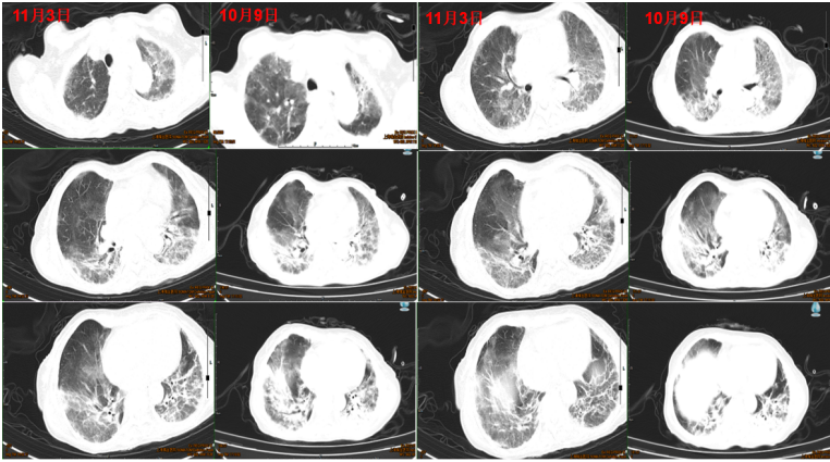
10月15日外送肌炎抗体结果显示PL-7(+++);送检血NGS,结果回报巨细胞病毒(序列数3),肺孢子菌(序列数16)。

根据上述结果调整治疗方案:加用复方磺胺甲噁唑1.44 g q8h,更昔洛韦0.25 g q12h;停用利奈唑胺,改为万古霉素0.5 g q12h。将美罗培南改为头孢哌酮舒巴坦。根据风湿科会诊意见,使用他克莫司1 mg qd,10天后改为1 mg q12h。甲强龙调整剂量为80 mg qd→ 60 mg qd→ 40 mg qd。

11月3日复查胸部CT见病变较前明显改善(图5)。11月4日,患者改为鼻导管吸氧。


图片
图5  患者胸部CT对比


回顾患者病程,2021年3月12日我院PET-CT结果显示肺部已有少许渗出影(图6),至10月患者病情加重,因此考虑皮肌炎可能与胸腺瘤有一定的相关性。


图片


图6  患者PET-CT表现


病例3


病史情况


患者,女,56岁,主诉:咳嗽1月,加重伴胸闷,发热1周。

既往史:有高血压病史5年,血压最高180/100 mmhg,口服“珍菊降压片”1片,1次/日治疗,血压控制可。有“梅毒病史2年”,曾于2019年7月及2020年5月予“苄星青霉素”治疗。否认糖尿病、冠心病、脑梗死等病史。否认有手术、外伤史,否认有肝炎等传染病病史,否认有药物过敏史。无烟酒嗜好。

患者2021年8月发病,无明显诱因出现咳嗽,无明显咳痰、寒战、盗汗、咯血、胸痛、腹痛、腹泻等症状。2021年9月就诊于上海某医院,胸部CT提示“肺炎”。予左氧氟沙星、头孢美唑及中药治疗,症状未见好转。1周前出现咳嗽症状加重,出现胸闷症状,有发热,体温最高37.6℃,遂至另一医院就诊。予“莫西沙星,美洛西林及甲泼尼龙40 mg等”治疗,上述症状缓解不明显。入院1天前至我院急诊,胸部CT示两肺间质性肺炎改变。血常规:WBC 11.52×109/L,CRP 19 mg/L;血气分析:pH 7.45,PaO2 10.14 kPa,PaCO2 4.78 kPa,氧饱和度96.1%。急诊予抗感染、吸氧(氧流量20 L/min)等治疗。


入院查体


神清,精神萎,体温37.4℃,HR 79次/分,呼吸22次/分,血压160/96 mmHg,指脉氧饱和度96%(氧流量20 L/min),技工手,双肺呼吸音粗,右下肺可闻及爆裂音(Velcro啰音),心率79次/分,律齐,未闻及杂音,腹软,无压痛及反跳痛,肝脾肋下未及。双下肢无浮肿。四肢肌力、肌张力可,骶尾部可见5 cm×5 cm I期压疮。


辅助检查


  • 血常规(9月27日):WBC 11.52×109/L,NEU% 88.6%(↑),CRP 19 mg/L。

  • 血气分析(吸氧情况下,9月27日):pH 7.45,PaO10.14 kPa,PaCO2 4.78 kPa;氧饱和度96.1%。

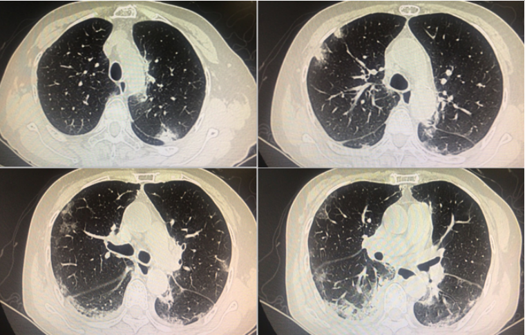
  • 胸部CT(9月27日):两肺间质性肺炎改变(图7)

  • 气管镜(9月28日):两肺支气管慢性炎性病变。

图片

图7  患者入院胸部CT


入院后治疗


一般治疗:心电监护、高流量吸氧(40 L/min,50%)、肠内营养支持治疗等。

对症治疗:雾化、化痰、抑酸护胃、改善低蛋白血症等治疗。

寻因治疗:送检相关检查,三大常规、生化等、免疫功能及病原学检测,送检特发性炎性肌病谱,完善气管镜检查,送检BALF病原学。

抗感染、抗炎治疗:左氧氟沙星(0.5 g qd)+哌拉西林他唑巴坦(4.5 g q8h)抗细菌感染;甲强龙40 mg q12h。


完善检查


BALF NGS检测全阴性。我院免疫系统检查抗RO-52(+)。外送检查提示:抗MDA5抗体IgG阳性(++),抗RO-52抗体IgG阳性(+)。


调整治疗方案


甲强龙剂量调整为120 mg qd,患者氧合指数逐渐改善;口服吡非尼酮(1片tid)。后甲强龙剂量调整为80 mg qd → 60 mg qd → 48 mg qd。


治疗后转归


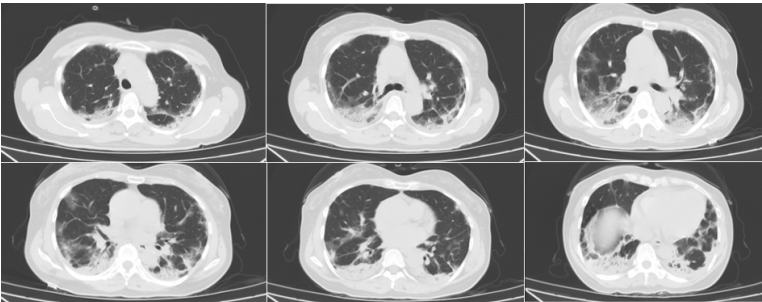
复查胸部CT可见病灶明显吸收(图8)


图片
图8  患者治疗前后胸部CT比较



四、小结


NGS适应证主要包括:①疑难病例:如不明原因发热、肺部阴影;②危重病例:包括重症肺炎、脑膜炎、脓毒症等;③特殊病例:免疫抑制人群(器官移植,HIV感染,使用激素等免疫抑制剂)。ASS-ILD以中老年女性多发,临床表现以呼吸道症状、技工手、关节炎常见,确诊时间长,临床医生应增强对此类疾病的诊断意识。NGS在ASS-ILD排除病原体感染及诊断ASS-ILD合并感染方面具有重要作用。


参考文献(向下滑动查看全部文献)

[1] 中华医学会呼吸病学分会感染学组. 中国成人医院获得性肺炎与呼吸机相关性肺炎诊断和治疗指南(2018年版)[J]. 中华结核和呼吸杂志, 2018, 41(4):255-280. 

[2] 宏基因组分析和诊断技术在急危重症感染应用专家共识组. 宏基因组分析和诊断技术在急危重症感染应用的专家共识[J]. 中华急诊医学杂志, 2019, 28(2):151-155.

[3] 《中华传染病杂志》编辑委员会. 中国宏基因组学第二代测序技术检测感染病原体的临床应用专家共识[J]. 中华传染病杂志, 2020, 38(11):681-689.

[4] 中华医学会检验医学分会临床微生物学组,中华医学会微生物学与免疫学分会临床微生物学组,中国医疗保健国际交流促进会临床微生物与感染分会. 宏基因组高通量测序技术应用于感染性疾病病原检测中国专家共识[J]. 中华检验医学杂志, 2021, 44(2):107-120.

[5] Marco J L, Collins B F. Clinical manifestations and treatment of antisynthetase syndrome[J]. Best Pract Res Clin Rheumatol, 2020, 34(4):101503.





作者简介


图片

冯  耘
上海交通大学医学院附属瑞金医院呼吸与危重症医学科
主任医师,副研究员,硕士研究生导师
美国杜克大学访问学者
中国老年医学会呼吸病学分会呼吸危重症学术委员会委员
上海市医学会呼吸病学专科分会青年委员会委员
上海市医学会呼吸病学专科分会重症学组副组长
曾荣获上海市人才培养计划、上海市优秀专科医师及上海交通大学医学院“九龙医学优秀青年人才奖”
以第一作者及通讯作者发表SCI论文30余篇,第一完成人获得专利2项,参与编写专著3部



全部评论 0
Copyright©2020-2026 北京医麦斯科技有限公司 版权所有 京ICP备2020034400号-1 京公网安备11010502043983号