登录方式

方式一:
PC端网页:www.rccrc.cn
输入账号密码登录,可将此网址收藏并保存密码方便下次登录

方式二:
手机端网页:www.rccrc.cn
输入账号密码登录,可将此网址添加至手机桌面并保存密码方便下次登录

方式三:
【重症肺言】微信公众号
输入账号密码登录

注:账号具有唯一性,即同一个账号不能在两个地方同时登录。

登录
方式

为重症救治赋能

为患者康复加速

当前位置:首页 重症实战 空中大查房

病例:一例ARDS病例的诊疗思考

朱海星,冯耘 上海交通大学医学院附属瑞金医院呼吸与危重症医学科 发布于2024-05-07 浏览 4048 收藏

作者:朱海星,冯耘
单位:
上海交通大学医学院附属瑞金医院呼吸与危重症医学科



一、病情介绍

基本信息
患者女性,79岁。主诉:发热3周,伴进行性活动后胸闷气促。2023年5月4日入ICU
病史情况
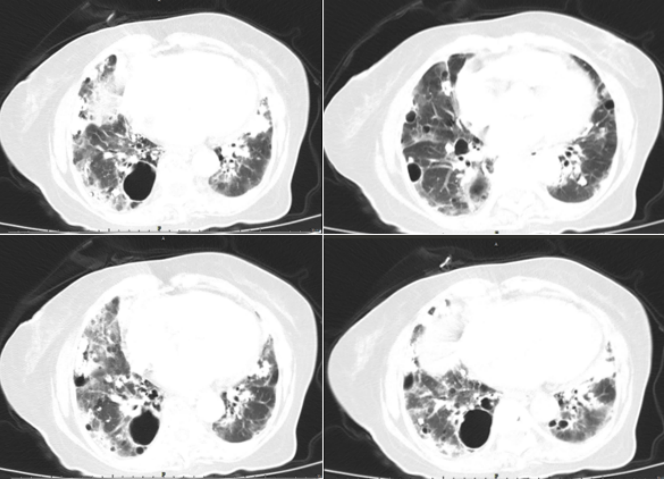
患者入院3周前不慎受凉后出现畏寒、发热,最高体温39.3℃,稍咳嗽,少量白黏痰,近日为黄脓痰,活动后气喘。入院前2周上述症状明显加重。4月21日至我院急诊就诊,胸部CT示两肺明显磨玻璃样渗出,伴多发气囊表现(图1)。予“头孢曲松、左氧氟沙星”静脉滴注1周,发热症状无明显改善。后至上海某医院住院治疗,先后予“比阿培南、左氧氟沙星、万古霉素、氟康唑”抗感染,“甲泼尼龙40 mg”抗炎,“白蛋白”补充蛋白等治疗。既往有“干燥综合征”病史20余年,平时口服“白芍总苷胶囊”。“2型糖尿病”病史1周,未用药。
图片
图1  急诊胸部CT(2023-04-21)
入院时情况


查体:T 36.0℃,P 115次/分,R 32次/分,BP 140/78 mmHg,SpO2 86%(吸氧7 L/min)。神志清,精神萎靡,呼吸促。两肺呼吸音粗,闻及Velcro罗音。心律齐,各瓣膜听诊区未及杂音。

入ICU时血气分析:(吸氧7 L/min),pH 7.47,PaCO2 49 mmHg,PaO2 65 mmHg,Lac 1.3 mmol/L,BE 10.4 mmol/L,氧合指数132 mmHg。

辅助检查

2023年5月3日上海某医院痰培养提示白色念珠菌、溶血葡萄球菌阳性。床边胸片可见两肺渗出,钙化灶。入我院当日完善相关检查:

血常规:WBC 15.12×109/L(↑),NEU% 92.9%(↑),LYM% 3.0%(↓),NEU 14.04×109/L(↑),LYM 0.45×109/L(↓),MON 0.59×109/L,RBC 3.59×1012/L(↓),Hb 97 g/L(↓),PLT 194×109/L,CRP 184 mg/L(↑)。

生化:PAB 47 mg/L(↓),Lac 1.69 mmol/L,ALT 22 IU/L,AST 44 IU/L(↑),ALP 148 IU/L(↑),ALB 32 g/L(↓),Urea 9.9 mmol/L(↑),Cr 35 μmol/L(↓),UA 99 μmol/L(↓),LDH 694 IU/L(↑)。

凝血指标:APTT 30.8 s,PT 11.5 s,INR 0.97,TT 17.60 s,Fg 2.2 g/L,FDP 120 mg/L(↑),D-二聚体定量40 mg/L(↑)。

氨基末端B型利钠肽前体:3710.0 pg/ml(↑)。

5月4日床边胸片:两肺纹理增多、增粗、模糊,两肺多发斑片模糊影,右侧为著,两肺中下野多发斑片结节状钙化灶;两侧胸腔少量积液可能;心影增大,主动脉迂曲伴壁钙化(图2)


图片
图2  床旁胸片(2023-05-04)



二、入院诊疗

入院诊断


①两肺弥漫性病变:感染性?非感染性?②Ⅰ型呼吸衰竭;③急性呼吸窘迫综合征(重度);④干燥综合征;⑤2型糖尿病。


病例特点


  • 老年女性;

  • 干燥综合征基础;

  • 左氧氟沙星等抗感染效果欠佳;

  • 此次入院表现为气促,逐渐加重;

  • 肺部CT示两肺多发云絮状高密度影。


鉴别诊断


非感染性:考虑是否为结缔组织病相关间质性肺疾病(CTD-ILD)急性加重,干燥综合征有关?患者D-二聚体明显升高,呼吸衰竭,考虑是否有急性肺动脉栓塞可能?或其他非感染因素存在?

感染性:辅助检查发现患者感染指标明显升高,是否存存在机会性感染,有无真菌感染可能,或合并病毒等其他病原体感染?


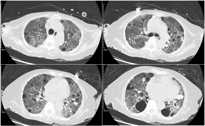
完善CTPA检查


入院后完善CTPA检查:肺动脉稍增宽,所示肺动脉及主要分支未见确切充盈缺损;慢支-肺气肿改变,两肺多发肺大疱及炎症改变,两肺多发结节、斑结及钙化灶,多为陈旧性病变,双侧腋窝及纵隔多发淋巴结,两侧胸膜增厚,主动脉壁部分钙化,心影增大,心包少量积液(图3)


图片
图3  患者CTPA检查结果
入院后治疗
一般治疗:心电监护、计24小时出入量、留置深静脉导管、肠内营养(EN)支持等。
对因治疗:美罗培南1.0 g q8h、万古霉素0.5 g q12h抗感染;醋酸卡泊芬净50 mg qd抗真菌;甲泼尼龙40 mg q12h抗炎;依诺肝素钠4000 IU qd抗凝等治疗。
治疗过程中动态监测血气分析,感染指标,血流动力学,脏器(心、肝、肾)功能,内环境及血药浓度,动态评估病情。
查找病因:送检相关检查,三大常规、生化、免疫功能及病原学检查及心超、双下肢血管B超等检查。
呼吸支持:高流量氧疗与BiPAP交替使用,然而患者氧合改善欠佳,氧合指数波动在80~150 mmHg,高流量氧疗、无创呼吸机参数难以下调。
完善气管镜检查
镜下所见:气管内管腔通畅,隆突锐利,左右主支气管管腔通畅,右下叶基底段远端少量痰栓及淡粉色稀薄分泌物吸出,充分吸引后各叶段支气管管腔通畅(图4)。肺泡灌洗:右肺下叶基底段注入60 ml,回收30 ml。
图片
图4  气管镜检查
5月5日肺泡灌洗液(BALF)NGS回报:白色念珠菌,光滑念珠菌,溶血葡萄球菌。5月9日痰培养回报:鲍曼不动杆菌(++++)。患者再次出现发热,抗生素调整为美罗培南+多黏菌素+万古霉素抗感染,泊沙康唑抗真菌。
补充病史及会诊
患者入院后气促症状明显,WBC升高,LYM偏低,CRP升高明显。影像学主要以两肺多发磨玻璃样渗出和气囊改变为主,且伴有干燥综合征。追问病史,否认皮疹、光敏、雷诺现象、关节肿痛、肌肉酸痛、脱发、口腔及生殖器溃疡、口干、眼干。入院后检查结果回报:抗核抗体(ANA)阴性,类风湿因子(RF)阴性,抗环瓜氨酸肽(CCP)抗体阴性。
5月11日请风湿科会诊意见:干燥综合征,抗合成酶抗体综合征。肺部表现为干燥相关淋巴细胞性间质性肺炎,合并感染可能大。于是完善了免疫球蛋白和补体检测,并外送肌炎抗体全套。结果回报:抗PL-12抗体阳性(++),抗Ro-52抗体阳性(++),抗SSA抗体阳性(++)。
干燥综合征可合并淋巴细胞性间质性肺炎,对激素反应较非继发性间质性肺炎为佳。在当前甲强龙80 mg治疗基础上积极抗感染治疗,余免疫抑制剂暂不考虑抗纤维化治疗。
患者间质性肺炎起病,自身免疫抗体阳性,病程中无肌痛、皮疹、关节痛,肌酶正常;肺部表现为干燥相关淋巴细胞性间质性肺炎。告知患者及家属自身免疫抗体阳性与肺间质病变快速进展相关,预后差。

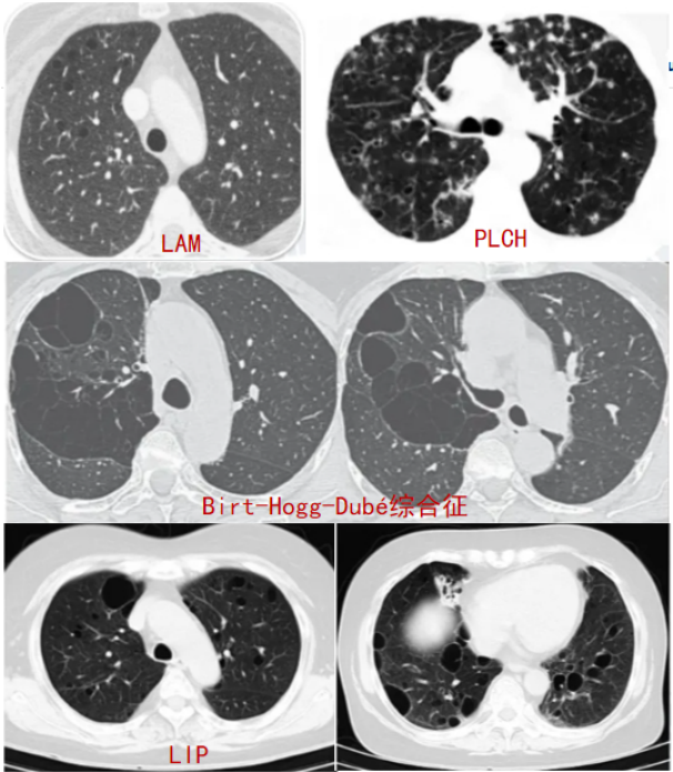
弥漫性肺气囊样病变

患者影像学改变主要为双肺弥漫性气囊样病变,此种改变类似于淋巴管平滑肌瘤病(LAM)、肺朗格汉斯细胞组织细胞增多症(PLCH)、淋巴细胞性间质性肺炎(LIP)。对于LAM而言,患者主要以育龄期女性为主,影像学主要表现为两肺多发小结节以及小叶间隔增厚,并且伴有多发磨玻璃影。

本例患者并无典型的LAM影像学特征。尽管PLCH也会出现弥漫性气囊样病变,但其往往伴有多发小结节,且两上肺多见,肋膈角相对正常。此外,肺囊肿Birt-Hogg-Dubé综合征和神经纤维瘤病通常也会出现肺部多发气囊样病变,但其影像学往往呈单侧多发囊性灶,形态大小不一,且以胸膜下改变为主,多发分隔薄壁囊性灶。LIP患者的气囊样病变为多发薄壁囊性灶,散在分布于肺内和支气管血管束周围。这与我们之前救治的一例干燥综合征患者类似。经过影像学分析讨论,考虑该患者的影像学表现更倾向于LIP改变。

图片
注:几种疾病弥漫肺气囊样病变的表现。LAM为淋巴管平滑肌瘤病,PLCH为肺朗格汉斯细胞组织细胞增多症,LIP为淋巴细胞性间质性肺炎。



三、下一步诊疗计划


对于此类两肺间质性改变明显且合并多发肺气囊样改变患者,其呼吸支持方式仍然存在一定的顾虑。此类气管插管患者的预后通常较差,PEEP不能设置太高。无创呼吸机或高流量氧疗能否坚持到患者氧合改善,这也是令治疗团队比较纠结的问题。


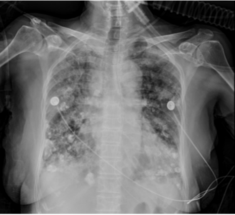
病情进展


5月12日床旁胸片示患者两肺纹理增多、增粗、模糊,两肺多发斑片模糊影,较5月11日胸片明显进展图5。使用多黏菌素后体温未降,胸片示病变继续进展,激素加量至80 mg q12h。5月12日血气分析提示氧合指数为71 mmHg。与患者及家属沟通后行气管插管有创机械通气(先后予A/C-VC模式、A/C-PC模式、PRVC模式)。5月15日甲泼尼龙加量至160 mg。患者体温变化如图6所示。


图片
图5  患者5月11日和12日胸片变化比较
图片
图6   病程中患者体温变化情况
治疗调整
气管插管有创机械通气后,患者氧合指数改善不明显。5月17日氧合指数下降至57.5 mmHg。再次气管镜下肺泡灌洗送检BALF,BALF NGS检出巨细胞病毒序列,抗巨细胞病毒IgM为1.35,遂加用更昔洛韦。加强气道廓清频次,俯卧位通气(5月17-24日,每日16小时)。
通过心脏超声评价心功能:射血分数58%;双房增大伴中度二尖瓣、三尖瓣关闭不全,升主动脉近端增宽,主动脉瓣退行性变伴轻度关闭不全;肺动脉高压(估测肺动脉收缩压42 mmHg),考虑合并肺动脉高压。
随着俯卧位通气的应用,患者氧合指数逐渐升高(图7)。5月18日甲泼尼龙减量至120 mg。5月24日停止俯卧位,甲泼尼龙减量至80 mg。
图片


图7  俯卧位后患者氧合指数变化情况




四、俯卧位期间营养治疗

营养评估
老年女性,干燥综合征基础,入院时消瘦体貌,BMI 19.8 kg/m2,入院时合并低蛋白血症。营养风险筛查评分(NRS 2002)5分,MUST评分3分,存在高营养风险。专家共识推荐,对于血流动力学稳定的高营养风险患者,应早期启动肠内营养(EN)。鉴于当时的情况,患者需要进行俯卧位通气。然而,俯卧位时会增加腹内压,使镇静镇痛药物剂量增加,导致患者意识状态下降,在EN时可能存在胃残余量(GRV)增加、呕吐、误吸等不耐受风险。
EN方案
标准配方EN制剂。鼻胃管应作为初始肠内应用支持治疗的标准途径;使用连续EN,避免单次大量输注。早期应用低热卡营养支持治疗(不超过70%)。
诊疗反思
(1)ARDS患者俯卧位时EN启动和加量速度:查阅文献发现,俯卧位时采用仰卧位相似的EN启动和加量速度,患者的总体耐受性良好;GRV增加、呕吐、反流事件与仰卧位相比无显著差异。EN的启动速度为25~30 ml/h,加量速度为720~1920 ml/d;EN不耐受定义为GRV>250 ml或出现呕吐。本例患者俯卧位时EN速度至50 ml/h时有反流,少量误吸。因此,后续的喂养速度控制在40~45 ml/h。部分研究发现实施俯卧位组患者的不良事件增多;俯卧位患者的氧合更差时,可能会影响EN的耐受性。俯卧位时未采用可能改善EN耐受性的措施,仅在俯卧位时轻度抬高了床头。
(2)ARDS患者俯卧位时EN的耐受性评估。①GRV:总体而言,与仰卧位相比,ARDS患者俯卧位时EN的GRV无明显增加,因GRV停止EN事件也无显著增加。既往研究显示,俯卧位GRV增加(俯卧位30~45 ml vs. 仰卧位10~13 ml),发生因GRV而停止EN事件更多[俯卧位28次(82%)vs. 仰卧位18次(49%)],但俯卧位每6 h回抽GRV平均仅30~45 ml。俯卧位的耐受性良好,同一组患者仰卧位6 h和俯卧位6 h回抽胃液发现GRV分别为95 ml和110 ml,无统计学差异,因GRV停止EN的事件也没有增加。另有4项观察性研究发现ARDS患者俯卧位EN时GRV为80~130 ml,因GRV停止EN的事件波动在14%~59%。②呕吐:ARDS患者俯卧位时EN呕吐的发生率无显著增加;③ARDS患者俯卧位EN时的误吸数据(发生率约为20%);④呼吸机相关性肺炎(VAP):ARDS患者俯卧位时EN VAP发生率无明显增加。
(3)涎液化糖链抗原(KL-6)水平变化:血清KL-6水平有助于监测疾病的存在,评估疾病活动度,并且预测各种类型间质性肺疾病(ILD)的结果。本例患者糖皮质激素加量至160 mg qd后,明显获益,且KL-6水平逐步下降(图8)。研究显示,KL-6水平不仅与患者总体CT评分有关,也与两肺气囊样病变的改善有一定的相关性。
图片


图8  患者KL-6水平变化情况




五、呼吸康复的实施


在该患者插管之初治疗团队就已经开始进行呼吸康复的相关工作。进行患者教育,建立相互信任的关系,告知康复进程及内容。患者体位由前倾位→端坐位→站位→独立短距离步行。在气道廓清方面,前期进行了雾化管理、俯卧位通气联合气管镜下气道廓清;后期进行主动循环呼吸技术(ACBT)、自主排痰锻炼。物理治疗采取了经皮膈神经电刺激和下肢踏车(主动、阻力)。




六、临床转归

5月25日呼吸机模式调整为PSV模式,同时肺康复训练。6月3日甲泼尼龙减量至40 mg。6月5日患者通过自主呼吸试验(SBT),拔除气管插管,双通道鼻导管吸氧-BiPAP(晚)序贯呼吸支持。6月6日复查胸部X线片见病变较前明显好转(图9)
图片
图9  患者胸部X线片变化情况
患者5月30日与6月26日胸部CT可以发现两肺磨玻璃渗出及肺气囊改变依然存在(图10,图11),这也提示后续康复可能要经历较长时间。患者之后转呼吸科普通病房继续康复训练,糖皮质激素逐渐减量,后出院转养老院。
图片
图10  患者胸部CT(2023-05-30)
图片
图11  患者胸部CT(2023-06-26)


参考文献(向下滑动查看全部文献)

[1] 孙仁华, 江荣林, 黄曼, 等. 重症患者早期肠内营养临床实践专家共识[J]. 中华危重病急救医学, 2018, 30(8):715-721.

[2] Compher C, Bingham AL, McCall M, et al. Guidelines for the provision of nutrition support therapy in the adult critically ill patient: The American Society for Parenteral and Enteral Nutrition[J]. JPEN J Parenter Enteral Nutr, 2022, 46(1):12-41.

[3] Singer P, Blaser AR, Berger MM, et al. ESPEN guideline on clinical nutrition in the intensive care unit[J]. Clin Nutr, 2019, 38(1):48-79.

[4] van der Voort P H, Zandstra D F. Enteral feeding in the critically ill: comparison between the supine and prone positions: a prospective crossover study in mechanically ventilated patients[J]. Crit Care, 2001, 5:216-222.

[5] Reignier J, Thenoz-Jost N, Fiancette M, et al. Early enteral nutrition in mechanically ventilated patients in the prone position[J]. Crit Care Med, 2004, 32(1):94-99. 

[6] van der Voort PH, Zandstra DF. Enteral feeding in the critically ill: comparison between the supine and prone positions: a prospective crossover study in mechanically ventilated patients[J]. Crit Care, 2001, 5(4):216-220.



作者简介

图片

朱海星
上海交通大学医学院附属瑞金医院呼吸与危重症医学科
主治医师,博士
中国肺癌防治联盟肺癌内镜筛查与诊治委员会委员
美国Vanderbilt大学访问学者
广慈卓越青年
目前主持国家自然青年基金1项
以第一作者或通讯作者发表SCI论文多篇
相关研究曾获得美国胸科医师大会旅行者奖


图片

冯  耘

上海交通大学医学院附属瑞金医院

主任医师,副研究员,硕士研究生导师

美国杜克大学访问学者

中国老年医学会呼吸病学分会呼吸危重症学术委员会委员

上海市医学会呼吸病学专科分会青年委员会委员

上海市医学会呼吸病学专科分会重症学组副组长

曾荣获上海市人才培养计划、上海市优秀专科医师及上海交通大学医学院“九龙医学优秀青年人才奖”

以第一作者及通讯作者发表SCI论文30余篇,第一完成人获得专利2项,参与编写专著3部



全部评论 0
Copyright©2020-2026 北京医麦斯科技有限公司 版权所有 京ICP备2020034400号-1 京公网安备11010502043983号