作者:刘庆华
单位:同济大学附属东方医院呼吸与危重症医学科
1976年,在美国退伍军人大会上出现了一种不明原因的病症,许多退伍军人在这次大会上患病,当时人们对这种疾病一无所知,从而引发了对该病病因的调查,最终发现病因是由军团菌感染引起。第一株军团菌菌株是在豚鼠中采用立克次体分离方法分离出来的。1943年分离出第一株,1947年杰克逊等分离出另一株。1954年,Drozanski从波兰的土壤中分离出一种感染自由生活阿米巴的细菌。1996年,该微生物被归类为军团菌属。军团菌是一种需氧革兰阴性菌,普遍存在于各种水环境和潮湿的土壤中,特别是与日常生活密切相关的自来水、空调、淋浴器、冷却塔等供水系统中,最常见的传播方式是吸入由污染的水源形成的喷雾、喷气或蒸气产生的污染气溶胶。军团菌感染是由军团菌属病原微生物引起的感染,包括一种非肺炎流感样综合征,军团病是一种以肺炎为特征的更为严重的疾病。很少被诊断出来,是一种被低估的疾病,主要是由于临床认知缺乏,其次是由于该微生物不易被检查发现。军团病的发病率较高,与该病相关的卫生费用也较高,被认为是世界各地的一个普遍的公共卫生问题。2002年的一项调查研究发现,从1980年至1998年,每年报告的病例数一直比较多,但相对稳定。军团菌感染除了与免疫力有关,还与季节相关。即使在免疫功能低下人群中,军团菌肺炎也呈季节性发病趋势,夏秋季为发病的高峰季节,但终年有散发流行,男女发病比例约为2:1。
军团菌类型分为:①嗜肺军团菌:尤其1型是最常见的军团菌肺炎菌种;②非嗜肺军团菌:可引起严重免疫抑制患者的肺部感染。采用常规检测方法可能会导致漏诊,因此需要辅以一些新的检测手段。
军团菌肺炎常见的危险因素包括:①男性、高龄、吸烟;②慢性心肺疾病;③糖尿病、肾功能不全;④肿瘤、透析或器官移植等;⑤使用糖皮质激素或免疫抑制剂。军团菌倾向于感染免疫功能低下的患者。研究发现移植受者发生军团菌肺炎的风险最高。军团菌是某些医疗中心移植受者院内肺炎的最常见原因。因此,按照相关规定,移植中心要常规开展军团菌监测和灭消工作。嗜肺军团菌的传播方式可能是移植受者的误吸。
1995—2016年14个国家52个中心对80例(主要来自法国、意大利和西班牙)患者的研究发现,19例(23.8%)患者早期出现军团病(移植后1~30天);从造血干细胞移植(HSCT)到军团病的中位时间为203天(范围0~4099天),异体移植后患者以男性为主(70%),中位年龄为46.6岁(范围7.2~68.2)。27例(33.8%)患者死于军团病(44%);异体HSCT(OR 2.27,95%CI 1.08~4.80,P=0.03)和既往其他感染(OR 2.96,95CI 1.34~6.52,P=0.007)是死亡的独立预测因子。该研究得出结论:军团病是移植后罕见的并发症,主要发生在移植后30天内,并伴有高病死率。HSCT后,在早期(0~15天)可能会有感染的爆发,但随着时间的延长,军团病的发生率会越来越低。
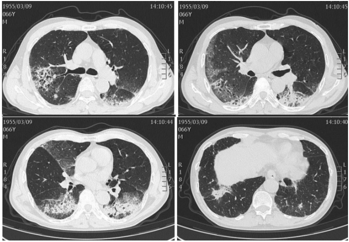
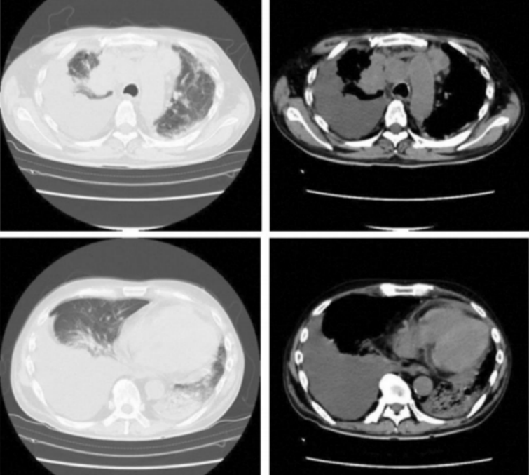
军团菌肺炎的临床表现缺乏特异性,发病缓慢、干咳、疲劳、头痛、喉咙痛、肌痛和不适。症状与肺炎链球菌肺炎或其他细菌性肺炎类似,常伴有肺外表现,包括神经精神症状、消化系统症状、肝肾功能损伤、低钠血症等表现。该病很难诊断,出现下列症状时应高度怀疑军团菌肺炎:①相对缓脉,高热;②不明原因的肺外症状,如伴有腹痛、腹泻等消化道症状或意识障碍等神经系统症状;③急性肝肾功能损伤、低钠血症、低磷血症;④痰涂片或痰培养阴性;⑤使用β-内酰胺类抗生素、氨基糖苷类抗生素治疗无效。当患者肺外表现严重而肺部表现并不明显时,更容易漏诊,延迟治疗则会显著影响患者的预后。关于癌症患者中军团菌肺炎的非典型表现的研究相对较少,大多数关于军团菌肺炎的研究主要集中在一般人群中的典型表现和传播途径,尤其由非嗜肺菌株引起的军团菌感染,特征不典型,包括无症状或轻度临床症状,与其他常见的机会性感染影像学特征难以区分。免疫功能低下尤其是移植受者,尽管临床表现与其他细菌性肺炎相似,但腹泻通常很突出,也可呈急性过程,病情凶险。即使不存在环境因素情况下,也可以发生军团菌肺炎。既往一项研究探讨了癌症患者中军团菌肺炎的非典型表现,该研究回顾性复习了1999年1月1日至2013年12月31日这15年间在一癌症中心(MSKCC)诊断的40例军团菌肺炎患者的临床资料,其中嗜肺军团菌31例(31/40,77.5%),非嗜肺军团菌9例,多数军团菌肺炎发生于血液系统恶性肿瘤患者或干细胞移植(SCT)受者。影像学表现多样,结节性军团菌肺炎均偶然发现或有一惰性临床过程。基于患者的影像学特征的临床特征分为结节性军团菌肺炎和非结节性军团菌肺炎,对于实体肿瘤患者,很多患者可能没有结节样改变,而血液系统肿瘤和器官移植患者以及中性粒细胞减少患者,多出现结节样改变。非结节样改变可能是嗜肺军团菌肺炎,而结节样改变可能为非嗜肺军团菌肺炎。没有症状的患者结节性改变多见,而有症状的患者非结节性改变多见。此外,研究还发现军团菌肺炎在夏季多发。因此,在免疫功能低下患者,特别是血液系统恶性肿瘤患者和SCT患者的肺结节性病变,鉴别诊断时应考虑军团菌肺炎,影像学表现为结节性改变的患者多与非嗜肺菌株有关。病例:男,57岁“发热及呼吸困难”半天。有饮酒史,无心脏疾病和糖尿病。5个月前诊断为右上肺叶腺癌,肿瘤分期为cT4N3M1c IVB,心包、胸膜转移和多发性骨转移。免疫或培美曲塞化疗的第一个周期引起的药物性肺炎,4个月皮质类固醇治疗。强的松龙60 mg/d,然后逐渐减少。入院时每天使用地塞米松2 mg。给予卡铂和紫杉醇作为二线化疗两个周期。最后一次化疗在入院前1个月。入院后查尿抗原军团菌阳性,肺炎链球菌阴性。尽管有上述结果,仍静脉注射哌拉西林/他唑巴坦+地塞米松。患者入院当天意识恶化、插管、房颤、心脏骤停,心肺复苏后给予左氧氟沙星,心率恢复正常,住院后第2天死亡。未尸检。在患者去世后,痰培养分离出嗜肺军团菌血清1组;未检出其他病原体。由此可见,对于嗜肺军团菌,如果没有确切诊断,即使是责任菌,仍然非常凶险。患者的影像学可见胸腔积液,肺内渗出并不多。

军团菌肺炎的影像学表现不具有特异性,实变是其常见的影像学发现,相对特异性的表现为磨玻璃影中混杂着边缘相对清晰的实变影,各个肺叶均可受累,1/3的病例可合并胸腔积液。免疫抑制患者的影像学表现同样不具有特异性。前述研究回顾性复习了某一癌症中心确诊的40例军团菌肺炎病例,其中,8例表现为单发或多发结节【6例实性伴有磨玻璃晕征或空洞,2例实性结节,边界清楚,没有磨玻璃晕或空洞;6例为1~2个大结节,1例双侧随机分布的大量小结节,1例局灶性磨玻璃影伴微小结节。所有CT均显示结节性浸润,仅有4例(50%)在胸部X线检查中显示结节性浸润】,32例表现为混合性非结节性肺异常(包括肺叶实变、磨玻璃影、斑片状浸润),2例发现肺炎旁胸腔积液。下图A为70岁女性,右肺上叶实性结节伴磨玻璃晕;B为41岁女性,右上肺叶有实心结节;C为17岁男性,右中叶结节伴中央空洞,伴磨玻璃晕;D为51岁女性,舌叶结节,中心空洞,周围磨玻璃晕;E为35岁女性,右下肺叶结节和周围的磨玻璃晕;F为7岁女性,舌叶结节,中央有空洞。也有一些患者偶然发现结节状军团菌肺部感染,症状不明显。我科确诊的一例军团菌肺炎患者,男性,66岁,“咳嗽咳痰伴发热2周”,每日游泳,可能与污染水接触有关,影像学以渗出样改变为主。治疗过程中出现实变、多发结节样改变。军团病的诊断需要借助于有效的检测手段。常用的检测方法包括常规培养、尿抗原检测、核酸检测。培养仍然是诊断军团菌肺炎的“金标准”,但该方法具有滞后性,可能会延误诊断。尿抗原是作为一线的诊断测试,能够快速诊断,使患者得到及时治疗。但尿抗原仅能检出嗜肺军团菌1组菌株,敏感性只有75%,容易导致部分患者被漏诊。核酸检测费用比较高,敏感性高达90%。二代测序能为诊断提供更有效、更快捷的手段。1988年,Cunha教授率先提出了WUH评分系统:①体温>39.4℃;②CRP>187 mg/L;③PLT<171×109/L(如正常下限为125×109/L,则建议PLT<200×109/L);④Na<133 ldh="">225 U/L(339 U/L);⑥干咳(包括不咳嗽、少痰,多痰排除)。【注:每项1分,3分可能诊断,4分可能极大,5分以上确诊】
2017年,Cunha教授又对上述6项评分进行了更新:①体温>38.9℃(伴相对缓脉);②ESR>90 mm/h或CRP>180 mg/L;③铁蛋白高于正常值2倍;④低磷血症;⑤磷酸激酶升高>2倍;⑥入院时镜下血尿。【注:如有大于其中3项,则高度怀疑军团菌肺炎】
氟喹诺酮类药物(左氧氟沙星或莫西沙星)或大环内酯类药物(首选阿奇霉素)是针对军团菌肺炎推荐的一线治疗药物。关于不良事件或并发症或抗生素治疗的持续时间及其与临床结果的关系的报道很少。大多数已发表的评估军团菌肺炎抗生素治疗的研究都是观察性的,因此容易出现偏倚和混淆。需要设计良好的研究来评估诊断测试对临床结果的有用性。一项系统评价和荟萃分析纳入了3525例军团菌肺炎患者,比较了氟喹诺酮类药物或大环内酯类药物是否更适合治疗军团菌肺炎。结果显示:氟喹诺酮类药物组与大环内酯类药物组的病死率无显著差异(6.9% vs 7.4%,合并OR 0.94,95%CI 0.71~1.25,P=0.66)。在仅以ICU为基础的研究中,氟喹诺酮类药物和大环内酯类药物的病死率也相似。一项荟萃分析比较了大环内酯类药物与氟喹诺酮类药物对军团菌肺炎的疗效和安全性。结果发现二者的临床治愈率相当,大环内酯类药物组的总病死率和30天病死率均明显高于氟喹诺酮类药物组。与阿奇霉素和克拉霉素相比,左氧氟沙星显著缩短了患者的住院时间。但这些抗生素在某些亚组如免疫功能低下患者中的有效性仍不确定,因此,临床上也会采取具有协同作用的联合治疗方案。既往研究比较了红霉素、克拉霉素和阿奇霉素分别与环丙沙星和左氧氟沙星联合使用对41株军团菌的协同作用。协同作用主要发生在克拉霉素+左氧氟沙星组和阿奇霉素+左氧氟沙星联合组。另一项研究评估了56株嗜肺军团菌对左氧氟沙星、氧氟沙星、红霉素和利福平的敏感性,发现只有左氧氟沙星和利福平表现出协同作用。Varner等研究认为,由于可能存在患者选择偏倚和缺乏一致的比较物,利福平联合治疗的临床优势数据尚不清楚。Descours等研究评估了感染巨噬细胞中几种抗生素组合对嗜肺军团菌的细胞内敏感性,发现大环内酯类药物,特别是阿奇霉素,在体外模型中可与利福平协同作用对抗军团菌。因此,对于免疫功能低下患者,建议考虑联合治疗。抗生素治疗的最佳持续时间尚未确定,可能根据所使用的抗生素、疾病严重程度和对治疗的反应而变化。没有随机研究评估抗生素治疗的持续时间,特别是军团菌肺炎患者。轻度疾病推荐的抗生素治疗总疗程为3~7天,直至患者临床稳定且至少48小时不发热。免疫功能低下患者、有并发症患者(如脓胸或肺外感染)以及有严重肺炎或慢性合并症患者,可延长疗程(10~14天或更长时间,取决于患者的临床反应)。中度至重度军团菌肺炎患者建议服用左氧氟沙星或阿奇霉素7~10天。对于免疫功能低下宿主,通常推荐21天疗程的左氧氟沙星或10天疗程的阿奇霉素。在联合治疗时,克拉霉素治疗军团病的同时接受利福平治疗的患者住院时间延长50%,且有胆红素水平升高的趋势。与克拉霉素单药治疗相比,克拉霉素联合利福平治疗在预后方面没有额外的益处。在一项涉及292例军团菌肺炎患者的前瞻性非随机研究中,虽然与大环内酯类药物相比,左氧氟沙星的使用与更少的并发症和更短的住院时间有关,但在治疗方案中添加利福平并没有带来额外的获益。由于单药治疗的初始失败,使用了联合治疗,所有患者都存活。联合治疗通常被建议用于治疗失败或严重疾病患者,但可用的数据有限。迄今为止进行的研究也没有充分评估不良反应和可能的药物之间的相互作用。不充分或延迟治疗会增加军团菌肺炎的病死率。嗜肺军团菌感染的临床表现复杂多样,很容易误诊,尤其在仅有肺外表现时。在这些病例中,抗生素治疗的延误可能导致更高的病死率。在39例血清学确诊的军团菌肺炎病例中,31例(79%)诊断为重症肺炎,36例(92%)有CAP感染,3例(8%)有院内感染,10例死亡(粗病死率为26%)。与死亡相关的变量为:①前驱症状(P=0.024);②入院后启动红霉素治疗延迟(P<0.001)和红霉素治疗的总延迟(P<0.001)相关。建议将红霉素早期纳入重症社区获得性肺炎(SCAP)的经验性治疗范畴,这对于免疫功能低下宿主同样具有参考性。
免疫功能低下宿主更容易发生重症军团菌肺炎,此类患者的病死率会显著增加。一项研究纳入了43例重症患者,其中14例(33%)死于重症军团菌肺炎,29例存活。38例(88%)接受氟喹诺酮类药物联合大环内酯类药物治疗,2例单独使用红霉素,3例单独使用氧氟沙星。SAPSⅡ评分>46分[OR 8.69;95%CI 1.15~66.7;P=0.036],入院前症状持续时间超过5天(OR 7.46;95%CI 1.17~47.6)是死亡的独立危险因素。到达ICU后8小时内给予氟喹诺酮类药物(OR 0.16;95%CI 0.03~0.96;P=0.035)与死亡率降低有关,也提示我们此类患者应尽可能早覆盖。
军团病和军团菌肺炎是全球的公共卫生问题,其发病率常被低估。免疫功能低下患者,如移植受者、肺癌化疗后等患者是此类感染的高危人群。军团菌肺炎的临床表现不具有特异性,容易误诊、漏诊,尤其对于以肺外症状为主的患者,需要提高对此类感染的临床警惕性。军团菌肺炎的影像学表现同样不具有特异性,仍以实变多见,无症状者可能出现结节样表现。新的方法显示出更高的敏感性和特异性,并具有在流行病学研究中使用的潜力。氟喹诺酮类药物(左氧氟沙星或莫西沙星)或大环内酯类药物(首选阿奇霉素)是治疗军团菌肺炎推荐的一线治疗药物,应尽早将针对军团菌的抗生素纳入经验性治疗,军团菌肺炎的不充分或延迟抗生素治疗与较差的预后有关。目前关于不良事件或并发症,或抗生素治疗的持续时间及其与临床结果之间关系的研究仍然较少。
[1] Fields BS, Benson RF, Besser RE. Legionella and Legionnaires' disease: 25 years of investigation[J]. Clin Microbiol Rev, 2002, 15(3):506-526.
[2] Mikulska M, Tridello G, Hoek J, et al. Legionellosis after hematopoietic stem cell transplantation[J]. Bone Marrow Transplant, 2021, 56(10):2555-2566.
[3] Aga M, Shiba A, Hamakawa Y, et al. Legionella pneumophila pneumonia with rapid clinical course in a lung cancer patient[J]. Respirol Case Rep, 2021, 9(11):e0850
[4] del Castillo M, Lucca A, Plodkowski A, et al. Atypical presentation of Legionella pneumonia among patients with underlying cancer: a fifteen-year review[J]. J Infect, 2016, 72(1):45-51.
[5] Chow JW, Yu VL. Legionella: a major opportunistic pathogen in transplant recipients[J]. Semin Respir Infect, 1998,13(2):132-139.
[6] Viasus D, Gaia V, Manzur-Barbur C, et al. Legionnaires' Disease: Update on Diagnosis and Treatment. Infect Dis Ther, 2022, 11(3):973-986.
[7] Jasper AS, Musuuza JS, Tischendorf JS, et al. Are fluoroquinolones or macrolides better for treating Legionella Pneumonia? A systematic review and meta-analysis[J]. Clin Infect Dis, 2021, 72:1979-1989.
[8] Kato H, Hagihara M, Asai N, et al. Meta-analysis of fluoroquinolones versus macrolides for treatment of Legionella pneumonia[J]. J Infect Chemother, 2021, 27:424-433.
[9] Baltch AL, Smith RP, Ritz W. Inhibitory and bactericidal activities of levofloxacin, ofloxacin, erythromycin, and rifampin used singly and in combination against Legionella pneumophila[J]. Antimicrob Agents Chemother, 1995, 39:1661-1666.
[10] Descours G, Ginevra C, Ader F, et al. Rifampicin-macrolide synergy against Legionella pneumophila serogroup 1 in human macrophages using a quantitative real-time PCR assay[J]. Int J Antimicrob Agents, 2011, 38:188-189.
[11] Varner TR, Bookstaver PB, Rudisill CN, et al. Role of rifampin-based combination therapy for severe community-acquired Legionella pneumophila pneumonia[J]. Ann Pharmacother, 2011, 45:967-976.
[12] Amsden GW. Treatment of Legionnaires' disease[J]. Drugs, 2005, 65:605-614.
[13] Chahin A, Opal SM. Severe pneumonia caused by Legionella pneumophila: differential diagnosis and therapeutic considerations[J]. Infect Dis Clin N Am, 2017, 31:111-121.
[14] Lanternier F, Ader F, Pilmis B, et al. Legionnaires' disease in compromised hosts[J]. Infect Dis Clin N Am, 2017, 31:123-135.
[15] Blázquez-Garrido RM, Espinosa-Parra FJ, Alemany-Francés L, et al. Antimicrobial chemotherapy for Legionnaires disease: levofloxacin versus macrolides[J]. Clin Infect Dis, 2005, 40:800-806.
[16] Heath CH, Grove DI, Looke DF. Delay in appropriate therapy of Legionella pneumonia associated with increased mortality[J]. Eur J Clin Microbiol Infect Dis, 1996, 15(4):286-290.
[17] Gacouin A, Le Tulzo Y, Lavoue S, et al. Severe pneumonia due to Legionella pneumophila: prognostic factors, impact of delayed appropriate antimicrobial therapy[J]. Intensive Care Med, 2002, 28(6):686-691.

- 中华医学会呼吸病学分会第九届感染学组委员、第十届青年委员、第十一届介入呼吸病学学组委员
- 中华医学会呼吸病学分会纵隔与胸膜疾病学组(筹)委员
- 中国医师协会呼吸医师分会危重症专业委员会青年委员、内镜医师分会呼吸内镜专委会委员