登录方式

方式一:
PC端网页:www.rccrc.cn
输入账号密码登录,可将此网址收藏并保存密码方便下次登录

方式二:
手机端网页:www.rccrc.cn
输入账号密码登录,可将此网址添加至手机桌面并保存密码方便下次登录

方式三:
【重症肺言】微信公众号
输入账号密码登录

注:账号具有唯一性,即同一个账号不能在两个地方同时登录。

登录
方式

为重症救治赋能

为患者康复加速

当前位置:首页 重症实战 空中大查房

专题:嗜酸粒细胞增多相关性肺疾病

文戈弋 云南省第一人民医院呼吸与危重症医学科 发布于2024-04-17 浏览 10593 收藏

作者:文戈弋

单位:云南省第一人民医院呼吸与危重症医学科



一、嗜酸粒细胞特点

1. 嗜酸粒细胞的结构

嗜酸粒细胞在外周血中的绝对值为(0.05~0.5)×109/L,占白细胞总数的0.5%~3%。其细胞核常分2叶,排列成“八”字;细胞质充满粗大的、分布均匀的、染成橘红色的、略带折光性的嗜酸性颗粒。电镜下为圆形或椭圆形的膜包颗粒,内见细颗粒状基质和方形或长方形致密结晶体。颗粒中含酸性磷酸酶、过氧化物酶、组胺酶、磷脂酶等,参与一系列免疫反应。

嗜酸粒细胞表面存在诸多分子,包括趋化因子、补体、其他趋化因子受体、黏附分子、免疫球蛋白受体及相关免疫球蛋白家族成员、细胞因子受体等。

2. 嗜酸粒细胞的来源

嗜酸粒细胞谱系在正常人类造血背景下的产生,造血干细胞(HSC)直接产生嗜酸粒细胞/肥大细胞祖细胞(EoMP),IL-5R+嗜酸粒细胞祖细胞(EoP)从中发育并最终分化为成熟的嗜酸粒细胞。

图片
图源:Annu Rev Pathol, 2020, 15:179-209.
3. 嗜酸粒细胞的功能
首先,嗜酸粒细胞具有免疫功能,参与固有免疫和适应性免疫,能够拮抗和调节速发型超敏反应,吞噬作用,抗感染(寄生虫及真菌等),产生炎症介质。其次,嗜酸粒细胞还参与新陈代谢、脂肪沉积和葡萄糖稳态,组织重塑与发育,肝脏和肌肉修复,神经元调控,上皮和微生物群落调控。



二、嗜酸粒细胞增多

1. 有关嗜酸粒细胞增多的定义
血中嗜酸粒细胞计数在(0.5~1.5)×109/L之间,即考虑存在嗜酸粒细胞增多。当外周血2次检查(间隔时间≥2周)嗜酸粒细胞绝对计数>1.5×109/L,即为高嗜酸粒细胞增多症(hypereosinophilia,HE)。组织嗜酸粒细胞增多症是指骨髓切片中嗜酸粒细胞占所有有核细胞20%以上和/或病理医生判定组织中有大量嗜酸粒细胞浸润和/或标记性的嗜酸粒细胞颗粒蛋白在组织中显著沉积。高嗜酸粒细胞增多综合征(hypereosinophilic syndrome,HES)是指伴有血液HE同时有组织器官受累。此外还有组织或器官限制性HE。
2. 嗜酸粒细胞增多的危害
嗜酸粒细胞增多可造成多器官损伤,例如,累及肺,可导致哮喘、嗜酸粒细胞性肺炎、变应性支气管肺曲霉病(ABPA)等。此外,嗜酸粒细胞增多还可累及消化道、皮肤、骨髓等,造成多器官损伤。
器官受累取决于潜在的病因(疾病)、外源性(感染性)因素、分子和免疫学触发因素,以及浸润性嗜酸粒细胞的数量和活化程度。在HES患者中,多个器官可能受累,对于有明确综合征的患者,如Gleich综合征或嗜酸性肉芽肿性多血管炎(EGPA)患者也是如此。然而,也有HES或其他伴有HE的患者,仅涉及单个器官/系统,如嗜酸粒细胞性结肠炎、嗜酸粒细胞性胃炎或嗜酸粒细胞性肺炎。在原发性(肿瘤性)HES患者中,心血管系统经常受累,任何HES都可能出现心血管并发症。
3. 嗜酸粒细胞增多可能的病理生理机制
(1)多克隆扩增:主要是反应性或继发性嗜酸粒细胞增多,指的是IL-5过度生成导致的嗜酸粒细胞多克隆扩增。例如:蠕虫感染、过敏原暴露、EGPA、嗜酸粒细胞性胃肠病、部分恶性肿瘤(腺癌、T细胞淋巴瘤或霍奇金淋巴瘤)等。
(2)克隆扩增:多见于多种髓系肿瘤,如急性或慢性嗜酸粒细胞白血病、慢性粒-单核细胞白血病或系统性肥大细胞病等。
(3)转运改变:正常情况下嗜酸粒细胞转运是骨髓-血液-外周组织,该过程十分复杂,涉及多种趋化因子和黏附分子,干扰这些分子或其配体的药物可导致血液嗜酸粒细胞增多,甚至在组织器官聚集。
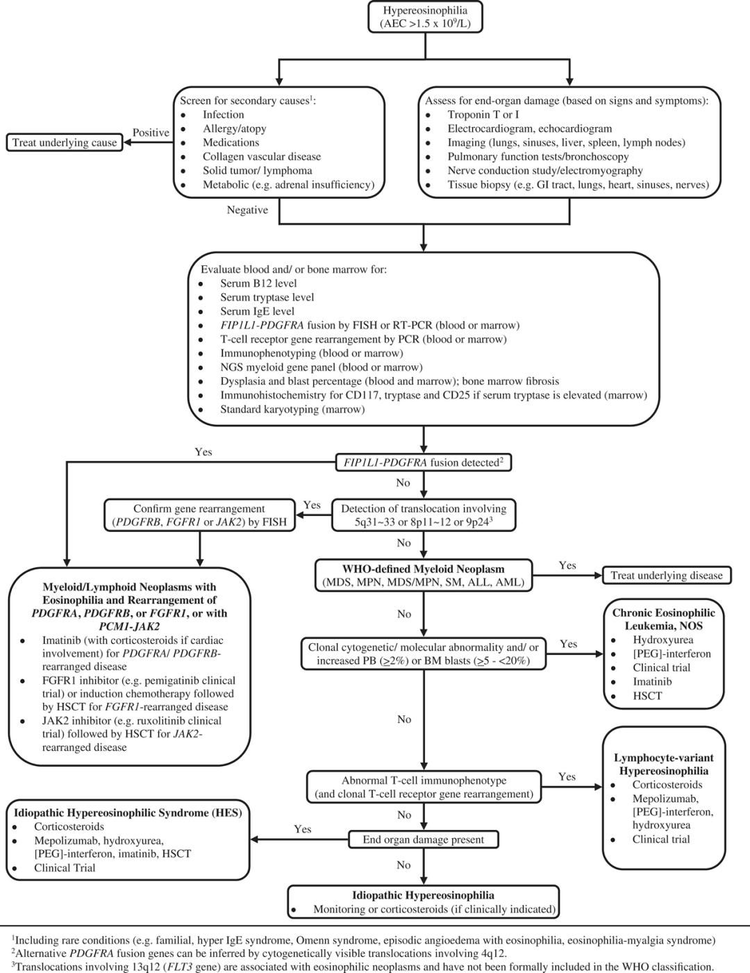
4. 高嗜酸粒细胞增多症诊断流程
对于HE的诊断,分两步走。第一步便是寻找病因,包括寻找继发原因(反应性)及判断是否为克隆性增多(肿瘤性)。若找不到上述两种原因,考虑为特发性。第二步,在寻找病因的同时要注意评估是否存在器官受累/损害。
在继发性病因中,最常见的是感染和过敏/变应性因素,其次分别为药物、结缔组织疾病、实体肿瘤/淋巴瘤、代谢性因素。下表总结了常见引起HE的药物。
图片
除了寻找继发病因,我们还要进行克隆性增多分析,通过骨髓穿刺、基因检测等方法寻找是否存在克隆性增多的问题。
2022年WHO更新的HE诊治流程可供参考。


图片


图源:Am J Hematol. 2022 Jan 1;97(1):129-148.
5. 高嗜酸粒细胞增多症的治疗
来自法国的指南推荐,如果患者嗜酸粒细胞增多(>1.5×109/L)持续超过1个月,但无症状,可严密监测。如果出现HE相关症状,可起始使用糖皮质激素治疗。如果是反应性HES,首先需要处理原发病(或停用致病药物);如果是克隆性HES,需快速停用糖皮质激素, 然后根据患者细胞遗传学和分子检测结果, 使用伊马替尼(100~400 mg/d)或羟基脲(1~2 g/d)治疗, 对于特发性HES或淋巴细胞性HES,可予激素治疗。
图片


图源:Orphanet J Rare Dis, 2023, 18(1):100.


对于一些病情危重但暂时无法明确病因的患者,需要采取紧急治疗。此类患者包括:①心血管系统受累,如嗜酸粒细胞性肌心炎、伴有外周或脑栓塞事件的腔内血栓形成、冠状动脉痉挛、急性心力衰竭;②呼吸系统疾病,例如严重的急性哮喘或缺氧性肺病;③中枢神经系统表现,如典型的双侧分水岭脑卒中;④血栓(动脉或静脉)事件。法国指南推荐的紧急治疗措施包括:糖皮质激素[1 mg/(kg·d)口服或静脉注射]+抗寄生虫治疗+抗凝血。在紧急治疗的同时积极寻找病因。
图片


图源:Orphanet J Rare Dis, 2023, 18(1):100.




三、嗜酸粒细胞增多相关性肺疾病

1. EPD的定义


嗜酸粒细胞增多相关性肺疾病(eosinophilic pulmonary diseases,EPD)是指以气道和/或肺(实质、间质、肺泡)和/或胸膜腔嗜酸粒细胞增多为特征的一组异质性临床疾病,伴或不伴外周血嗜酸粒细胞增多。


2. EPD的诊断标准


符合下列4项中的1项即可诊断EPD:①肺部浸润伴外周血嗜酸粒细胞增多(>0.5×109/L);②支气管肺泡灌洗液中嗜酸粒细胞增多(>10%);③外科活检或经支气管镜活检证实组织嗜酸粒细胞浸润;④胸腔积液中嗜酸粒细胞增多(≥10%)。


3. EPD的发病机制


EPD是体内外多种刺激因素导致机体以嗜酸粒细胞增多为主的炎症细胞浸润肺部的疾病群。机体受到内、外界相关因素刺激时,在粒-单核系集落刺激因子(GM-CSF)、白细胞介素(IL)、嗜酸粒细胞趋化因子-1等多种细胞因子介导下,骨髓中的共同髓系祖细胞(CMP)定向分化为粒-单核系祖细胞(GMP),再分化发育为EOS祖细胞(EoP),最终发育为成熟的嗜酸粒细胞,成熟的嗜酸粒细胞在嗜酸粒细胞趋化因子-1、2、3(分别也称为CCL11、CCL24、CCL26)介导下,穿过血管及气道上皮屏障进入肺组织,通常伴随其他炎性细胞(如淋巴细胞、浆细胞和中性粒细胞等)浸润。


图片


图源:中华医学杂志, 2022, 102(1):21-35.


4. EPD分类


按照病因EPD可分为继发性与特发性两大类。

(1)病因明确的EPD(继发性),包括:①感染相关性疾病:寄生虫、病毒、细菌、结核、真菌等;②变态反应性疾病:嗜酸粒细胞性哮喘、变应性支气管肺曲霉病等;③风湿性疾病:嗜酸性肉芽肿性多血管炎、IgG4相关性疾病、木村病等;④肿瘤性疾病:血液肿瘤、实体肿瘤;⑤其他:嗜酸粒细胞性细支气管炎、支气管中心性肉芽肿病、间质性肺疾病,药物、放疗、移植等。

(2)起因不明的EPD(特发性):①特发性急性嗜酸粒细胞性肺炎(IAEP);②特发性慢性嗜酸粒细胞性肺炎(ICEP);③原发性单纯性肺嗜酸粒细胞增多症;④特发性嗜酸粒细胞性胸腔积液;⑤特发性高啫酸粒细胞增多综合征。

按照起病情况可分为急性EPD和慢性EPD,急性EPD包括我们熟知的IAEP等,慢性EPD包括ICEP等。


5. EPD的诊治原则


EPD的诊断需要结合患者的病史、查体、基本检查结果、受累器官评估以及病因学检查等综合考虑。先覆盖常见病,再考虑少见病;先简单,后复杂;依据患者特征进行个体化病因筛查;特发性EPD必须行全面排查后诊断;病情允许时,先诊断,后治疗。临床中遵循“治疗→随访→再评估→调整”的诊疗顺序。

国内学者总结了EPD的诊断思路(下图)

图片




四、IAEP与ICEP

1. 诊断标准
IAEP诊断标准:①急性起病伴发热的呼吸道表现(≤1个月,尤其是体检前≤7天);②影像学表现为双侧弥漫性阴影;③不吸氧下PaO2<60 mmHg(8 KPa)或吸氧下PaO2/FiO2≤300 mmHg(40 KPa),或不吸氧下血氧饱和度<90%;④肺嗜酸粒细胞增多症伴BALF嗜酸粒细胞计数≥25%(或肺活检提示嗜酸粒细胞性肺炎);⑤IAEP缺乏明确病因(包括感染或暴露于已知可诱发肺嗜酸粒细胞增多症的药物)。
ICEP诊断标准:①影像学表现为弥漫性肺泡实变伴支气管充气征和/或磨玻璃影,尤以周围型为主;②BALF嗜酸粒细胞计数>40%或外周血嗜酸粒细胞>1000/mm3;③呼吸道症状持续至少2~4周;④没有其他已知嗜酸粒细胞性肺病的原因,尤其是暴露于易诱发肺嗜酸粒细胞增多症的药物。
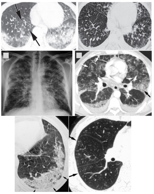
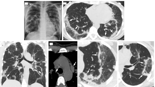
2. 影像学表现
IAEP影像学表现为双肺弥漫的磨玻璃影,可伴有小叶间隔增厚,也可能出现实变和胸水。ICEP影像学表现为经典的反肺水肿征象,外周分布的实变,有机化性肺炎的影像学特点。
图片
IAEP影像学表现


图源:Eur J Radiolm 2008, 65(3):462-467. Radiol Clin North Am, 2016, 54(6):1151-1164. Radiographics, 2007, 27(3):617-37; discussion 637-639.


图片
ICEP影像学表现


图源:Radiol Clin North Am, 2016, 54(6):1151-1164. Radiographics, 2007, 27(3):617-37; discussion 637-639.


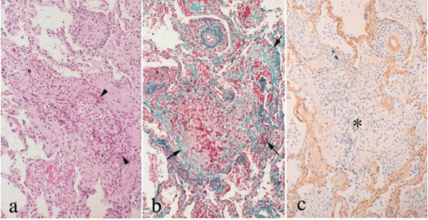
3. 病理表现
IAEP病变程度严重,肺组织标本超过75%的表面积存在异常,急性和机化性弥漫性肺泡损伤(DAD)常见。由DAD机化期典型的水肿、成纤维细胞增生和炎症细胞共同导致的透明膜和间质增宽发生率均为78%。所有标本均发现间质中有大量的嗜酸粒细胞和肺泡中有较少量的嗜酸粒细胞,其他特征包括:Ⅱ型肺泡上皮细胞增生(55%)、间质淋巴细胞(100%)、机化性肺泡内纤维蛋白性渗出物(100%),以及血管周围和管壁内炎症但无坏死(33%)。未发现肉芽肿和肺泡出血。
图片
IAEP的病理表现


图源Am J Respir Crit Care Med, 1997, 155(1):296-302.  Sarcoidosis Vasc Diffuse Lung Dis, 2015, 31(4):325-335.  Respirology, 2005, 10(1):76-85.


间质和肺泡腔内嗜酸粒细胞和组织细胞(包括多核巨细胞)浸润是ICEP的特征性表现。机化性肺炎是常见的相关表现,间质纤维化很轻微,可能见到嗜酸性脓肿。


图片


ICEP的病理表现
图源:Respirology, 2005, 10(1):76-85. Medicine (Baltimore), 1998, 77(5):299-312.
4. IAEP和ICEP临床特点的区别
图片



五、总结


嗜酸粒细胞具有重要的生物学作用。我们要掌握HE、Tissue HE和HES的诊断和治疗策略。寻找病因(继发性、克隆性、特发性)、脏器评估是HE或HES诊治的基本思路,继发性因素包括感染、过敏、药物、自身免疫病、肿瘤、代谢因素等。EPD是气道或肺或胸膜腔嗜酸粒细胞增多,属于Tissue HE。EPD诊治首要的仍然是寻找病因(继发性、克隆性、特发性)。特发性EPD中IAEP及ICEP是较为常见的特殊的一对,需注意鉴别。





参考文献(向下滑动查看全部文献)



[1] Klion AD, Ackerman SJ, Bochner BS. Contributions of Eosinophils to Human Health and Disease[J]. Annu Rev Pathol, 2020, 15:179-209. 

[2] Wechsler ME, Munitz A, Ackerman SJ, et al. Eosinophils in Health and Disease: A State-of-the-Art Review[J]. Mayo Clin Proc, 2021, 96(10):2694-2707.

[3] Valent P, Klion AD, Horny HP, et al. Contemporary consensus proposal on criteria and classification of eosinophilic disorders and related syndromes[J]. J Allergy Clin Immunol, 2012, 130(3):607-612.e9.

[4] Valent P, Klion AD, Roufosse F, et al. Proposed refined diagnostic criteria and classification of eosinophil disorders and related syndromes[J]. Allergy, 2023, 78(1):47-59. 

[5] Groh M, Rohmer J, Etienne N, et al. French guidelines for the etiological workup of eosinophilia and the management of hypereosinophilic syndromes[J]. Orphanet J Rare Dis, 2023, 18(1):100. 

[6] 广州医科大学附属第一医院国家呼吸医学中心, 国家呼吸系统疾病临床医学研究中心, 中华医学会呼吸病学分会哮喘学组. 嗜酸粒细胞增多相关性肺疾病诊疗中国专家共识[J]. 中华医学杂志, 2022, 102(1):21-35. 

[7] Nakagome K, Nagata M. Possible Mechanisms of Eosinophil Accumulation in Eosinophilic Pneumonia[J]. Biomolecules, 2020, 10(4):638.

[8] Cottin V. Eosinophilic Lung Diseases[J]. Immunol Allergy Clin North Am, 2023, 43(2):289-322. 

[9] 马宇雯, 廖永康, 张清玲. 嗜酸粒细胞增多相关性肺疾病的病因分类及诊断思路[J]. 临床内科杂志, 2023, 40(8):505-508. 

[10] Daimon T, Johkoh T, Sumikawa H, et al. Acute eosinophilic pneumonia: Thin-section CT findings in 29 patients[J]. Eur J Radiolm 2008, 65(3):462-467. 

[11] Price M, Gilman MD, Carter BW, et al. Imaging of Eosinophilic Lung Diseases[J]. Radiol Clin North Am, 2016, 54(6):1151-1164. 

[12] Jeong YJ, Kim KI, Seo IJ, et al. Eosinophilic lung diseases: a clinical, radiologic, and pathologic overview[J]. Radiographics, 2007, 27(3):617-37; discussion 637-639. 

[13] Tazelaar HD, Linz LJ, et al. Acute eosinophilic pneumonia: histopathologic findings in nine patients[J]. Am J Respir Crit Care Med, 1997, 155(1):296-302. 

[14] Mochimaru H, Fukuda Y, Azuma A, et al. Reconsideration of discrepancies between clinical and histopathological features in acute eosinophilic pneumonia[J]. Sarcoidosis Vasc Diffuse Lung Dis, 2015, 31(4):325-335.

[15] Mochimaru H, Kawamoto M, Fukuda Y, et al. Clinicopathological differences between acute and chronic eosinophilic pneumonia[J]. Respirology, 2005, 10(1):76-85.

[16] Marchand E, Reynaud-Gaubert M, Lauque D, et al. Idiopathic chronic eosinophilic pneumonia. A clinical and follow-up study of 62 cases. The Groupe d'Etudes et de Recherche sur les Maladies "Orphelines" Pulmonaires (GERM"O"P)[J]. Medicine (Baltimore), 1998, 77(5):299-312. 

[17] Allen J, Wert M. Eosinophilic Pneumonias[J]. J Allergy Clin Immunol Pract, 2018, 6(5):1455-1461. 





作者简介

图片

文戈弋
  • 云南省第一人民医院呼吸与危重症医学科
  • PCCM Fellow,呼吸康复小组组长
  • 云南省呼吸系统疾病质量控制中心秘书
  • 云南省慢阻肺病高危人群早期筛查项目办公室项目组组长
  • 云南省基层呼吸规建项目专家委员会办公室秘书
  • 中国医师协会呼吸医师分会危重症专委会青年委员
  • 北京市整合医学会呼吸共病研究与转化分会委员



全部评论 0

名院大查房「14」病例汇报

秦 剑  云南省第一人民医院

名院大查房「14」学术专题

文戈弋  云南省第一人民医院

Copyright©2020-2026 北京医麦斯科技有限公司 版权所有 京ICP备2020034400号-1 京公网安备11010502043983号