登录方式

方式一:
PC端网页:www.rccrc.cn
输入账号密码登录,可将此网址收藏并保存密码方便下次登录

方式二:
手机端网页:www.rccrc.cn
输入账号密码登录,可将此网址添加至手机桌面并保存密码方便下次登录

方式三:
【重症肺言】微信公众号
输入账号密码登录

注:账号具有唯一性,即同一个账号不能在两个地方同时登录。

登录
方式

为重症救治赋能

为患者康复加速

当前位置:首页 重症实战 空中大查房

病例:实变、胸水、珍珠样结节——不一般的肺炎

秦剑 云南省第一人民医院呼吸与危重症医学科 发布于2024-04-17 浏览 2773 收藏

作者:秦剑

单位:云南省第一人民医院呼吸与危重症医学科



一、病情介绍

基本信息

患者,男性,汉族,68岁,水泥厂工人。主诉:咳嗽、咳痰、呼吸困难伴胸痛半月余。2024年1月28日入院。

现病史

半月前患者无明显诱因出现咳嗽、咳痰,多为黄白色黏痰,量约15 ml/d,伴活动后呼吸困难,左侧胸痛,自行口服“布洛芬”后疼痛稍缓解。1月26日至当地县医院就诊,胸部CT提示:左侧液气胸、左肺感染,予抗感染治疗(具体药物不详)后症状无好转。1月27日至我院急诊科就诊,予“头孢哌酮舒巴坦”抗感染治疗后症状仍无明显减轻,1月28日收治我科住院治疗。

病程中患者无发热、畏寒,无头痛、乏力、咽痛,无心悸、咳粉红色泡沫痰,无皮疹、关节痛、光过敏、口干、眼干、口腔溃疡及雷诺现象,无腹痛、腹泻等不适。饮食、精神、睡眠尚可,大小便正常,体重无明显变化。

既往史

平素健康状况可。10年前诊断前列腺增生,未予药物治疗。1年前诊断高血压病,血压最高180/100 mmHg,平素规律口服“硝苯地平控释片30 mg qd”,自述血压控制尚可。否认糖尿病及心血管疾病等病史,否认结核、伤寒及肝炎等传染病病史。磺胺过敏,表现为双上肢皮疹伴皮肤瘙痒。否认外伤、手术史及输血史。接种新冠疫苗3针。

个人、婚育、家族史

22岁开始吸烟,平均10支/天,至入院前已戒烟6月余,吸烟指数20包·年。否认饮酒史。在水泥厂工作5年余(从事水泥搬运相关工作,时常接触粉尘),否认放射性物质接触史,否认有毒气体、液体接触史。20岁结婚,配偶体健,育有1子1女,均体健。父母亲均已去世。直系亲属否认呼吸系统疾病史,否认家族遗传病史。

入院查体

T 37.4℃,P 86次/分,R 18次/分,BP 112/74 mmHg,SpO2 97%。一般状况可,神清,口唇、肢端无发绀,颈静脉无充盈。浅表未触及肿大淋巴结。胸廓对称无畸形,左侧语颤减弱,叩诊过清音,左肺呼吸音低,双肺未闻及明显干/湿啰音。心率86次/分,律齐,各瓣膜听诊区未闻及明显杂音或额外心音。腹平软,全腹无压痛,肝脾未触及肿大,肠鸣音4次/分。双下肢无水肿。

辅助检查
(1)常规检查:
  • 血常规:WBC 10.41×109/L,NEU 7.92×109/L,EOS 0.59×109/L,HGB 116 g/L。

  • 血生化:ALT 13.7 U/L,AST 17.2 U/L,ALB 32.3 g/L,Cr 73 μmol/L,NT-proBNP 107.5 pg/ml。

  • 凝血功能:APTT 29.4 s,PT 12.6 s,FIB 8.35 g/L,D-二聚体 1.3 μg/ml(0~0.5 μg/ml)。

  • 动脉血气分析:FiO2 0.29,pH 7.46,PaO58.8 mmHg,PaCO2 40.2 mmHg,HCO3- 28.0 mmol/L,Lac 0.9 mmol/L,P/F 202.8 mmHg。

  • 肿瘤标志物:CA125 221.0 U/ml(0~24 U/ml)。

  • 尿常规、大便常规+隐血、甲状腺功能和术前八项等均未见明显异常。
(2)感染相关检查:
  • hs-CRP 96.98 mg/L(<10 mg/L),PCT 0.09 ng/ml(<0.052 ng/ml),ESR 92 mm/h。

  • 细胞因子:IL-6 92.7 pg/ml(≤20 pg/ml)。

  • 诱导痰细胞学分类计数:中性粒细胞比例65.24%,巨噬细胞比例15.01%,嗜酸粒细胞比例18.15%,淋巴细胞比例1.6%。

  • 一般细菌涂片检查(痰):检出革兰氏阳性球菌和阴性杆菌。

  • 痰涂片查真菌、痰查抗酸杆菌、痰培养均为阴性。

  • 血清G试验:阴性。

  • 结核感染T细胞γ-干扰素释放试验:阴性。
(3)免疫相关检查:免疫球蛋白8项(IgG,IgA,IgM,C3,C4,ASO,RF)均正常,抗核抗体谱中均ANA弱阳性(+),ANA-DD 1:100(<1:100),余均为阴性。
(4)心电图窦性心律,正常心电图。
(5)心脏彩超①主肺动脉内径增宽,肺动脉高压(sPAP 45 mmHg)。②室间隔增厚,升主动脉内径稍宽。③极少量心包积液。④主动脉瓣钙化并少量反流。⑤左室收缩、舒张功能指标正常。
(6)双下肢静脉超声:未见血栓声像。
影像学检查

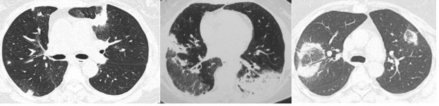
胸部CT(1月27日):左侧液气胸,压缩30%;左肺散在磨玻璃影及实变影;双肺弥漫微小结节,上叶为著;纵膈肺门淋巴结显示并部分钙化(图1)


图片

图1  入院后患者胸部CT表现(1月27日)


病例特点

老年男性,急性起病。

咳嗽、咳黄白色黏痰,伴活动后呼吸困难、左侧胸痛半月。

既往史:水泥厂工作5年余,吸烟40年,吸烟指数20包·年,高血压病史1年。

查体:一般状况尚可,口唇、肢端无发绀,左侧语颤减弱,叩诊过清音,左肺呼吸音低,双肺未闻及湿啰音。

辅助检查:胸部CT提示左侧液气胸,左肺散在磨玻璃影及实变影,双肺弥漫微小结节,纵隔肺门淋巴结显示并部分钙化。白细胞及炎症指标升高,诱导痰嗜酸粒细胞比例升高。
初步诊断
社区获得性肺炎,Ⅰ型呼吸衰竭,液气胸,肺部阴影,肺动脉高压,高血压3级(很高危组),前列腺增生。



二、诊疗经过

治疗措施

  • 氧疗:鼻导管低流量吸氧(2 L/min);
  • 抗感染:哌拉西林他唑巴坦4.5 g q8h;
  • 祛痰:乙酰半胱氨酸胶囊0.2 g tid;
  • 雾化:布地奈德、复方异丙托溴铵雾化吸入bid;
  • 控制血压:硝苯地平控释片30 mg qd。

疗效评价

治疗一段时间后,患者体温有短暂回落(2月1-2日)。2月3日后体温又逐渐攀升,但WBC和PCT有下降趋势(图2)。体温变化与炎症指标变化并不匹配。
图片
图片
图片
图2  患者感染指标变化情况
诊疗思路
(1)感染性疾病:患者有发热、咳嗽、咳黄白色黏痰、左侧胸痛,CT见左侧液气胸、散在磨玻璃影及实变影,化验示白细胞及炎症指标升高,需考虑细菌性肺炎可能。胸部CT见左侧散在磨玻璃影及实变影,合并发热、呼吸衰竭、胸腔积液,β-内酰胺类抗生素治疗效果不佳,不除外非典型肺炎。此外,患者胸部CT见双肺弥漫微小结节,纵隔肺门淋巴结显示并部分钙化,合并胸腔积液及发热,考虑是否结核。
(2)非感染性疾病:患者有吸烟史(吸烟指数20包·年),在水泥厂工作,时常接触粉尘,活动后呼吸困难,诱导痰嗜酸粒细胞比例升高,胸部CT见双肺弥漫微小结节,需考虑职业相关性肺病可能。另外。患者高龄,咳嗽、咳痰、发热,左侧胸痛,合并胸腔积液,考虑是否合并肿瘤相关疾病。
完善检查
鉴于上述诊断思路,进一步完善下列检查:①呼吸道病原体核酸检测;②气管镜+经支气管镜肺活检术(TBLB),完善BALF相关病原学检查、细胞学分类计数、查肿瘤细胞;③胸腔穿刺,完善胸水常规、生化、癌胚抗原(CEA)、查肿瘤细胞、病原学检查;④肺功能检查:由于患者存在气胸,是肺功能检查的相对禁忌证,故此项检查未做。
支气管镜+TBLB(2月1日):左上叶支气管管腔闭塞,左下叶支气管管腔扭曲、部分管腔狭窄,支气管炎性改变(图3)。取左肺下叶背段、外基底段行支气管活检。
图片


图3  患者支气管镜检查(2月1日)


BALF化验结果:①细胞学分类计数:中性粒细胞比例85.42%,巨噬细胞比例6.57%,嗜酸粒细胞比例0.81%,淋巴细胞比例7.2%;②细菌及真菌培养:阴性;③细菌八联检测:阴性;④GM试验:灰区(0.772);⑤结核分枝杆菌复合群核酸检测:阴性;⑥查抗酸菌检测:阴性;⑦mNGS:阴性;⑧查肿瘤细胞:未见;⑨13种呼吸道病原体核酸检测:阴性。

2月4日行胸腔穿刺,胸水化验结果:①常规:淡黄色,浑浊,浆膜黏蛋白定性试验(+),有核细胞总数9772×106/L,红细胞计数4000×106/L,间皮细胞分类1%,淋巴细胞分类25%,巨噬细胞分类22%,嗜酸细胞分类50%,嗜碱细胞分类2%;②生化:LDH 174.33 U/L,TP 28.7 g/L,ADA 7.9 U/L,GLU 9.1 mmol/L,Cl 109 mmol/L;③CEA 2.39 ng/ml;④细菌八联检测:阴性;⑤培养:阴性;⑥mNGS:阴性。

嗜酸粒细胞增多相关性肺疾病
嗜酸粒细胞增多相关性肺疾病(eosinophilic pulmonary diseases,EPD)是指以气道和/或肺(实质、间质、肺泡)和/或胸膜腔嗜酸粒细胞增多为特征的一组异质性临床疾病,伴或不伴外周血嗜酸粒细胞增多。
EPD的诊断标准:EPD作为一类疾病的总称,满足以下4项标准中任意一项即可诊断:①肺部浸润伴外周血嗜酸粒细胞增多(>0.5×109/L);②支气管肺泡灌洗液中嗜酸粒细胞增多(>10%);③外科活检或经支气管镜活检证实组织嗜酸粒细胞浸润;④胸腔积液中嗜酸粒细胞增多(≥10%)。
嗜酸粒细胞性胸腔积液(eosinophilic pleural effusions,EPE)是一组胸腔积液中嗜酸粒细胞比例≥10%的临床综合征,可伴或不伴血嗜酸粒细胞增多。EPE可单发于胸腔或其他EPD的胸膜腔的表现,多为渗出性胸腔积液。EPE临床表现主要为胸痛、呼吸困难、咳嗽、发热或其他原发病症状。
EPE诊断后需进一步明确病因,进一步完善寄生虫抗体、大便寄生虫镜检、骨髓穿刺、胸腔镜检查、CTPA等。导致EPE的病因包括感染性原因和非感染性原因。治疗主要包括对症治疗和原发病治疗,全身性糖皮质激素对特发性EPE及创伤相关EPE有效。
图片

诊断分析:

感染方面,该患者尚未有特殊病原学结果回报,故需要重点考虑非感染原因。本例患者肺部有受累,外周血嗜酸粒细胞0.59×109/L,胸腔积液中嗜酸粒细胞占比50%,满足EPD的诊断标准。该患者同时存在EPE。根据EPD的诊治思路,需进一步寻找原因。
2月6日行胸腔镜+胸膜活检,结果显示:左侧胸膜腔可见前、后胸壁壁层胸膜表面充血、色素沉着,后胸壁多个蓝色大小不等圆形结节,质地韧(图4,图5)
图片

图4  患者胸腔镜检查(2月6日)


图片

图5  胸膜结节活检标本(2月6日)


此外,患者CT肺动脉造影(CTPA)示肺动脉主干,左右肺动脉干及各叶、段、亚段肺动脉走行未见异常,未见充盈缺损病灶。抗中性粒细胞胞浆抗体谱阴性。骨髓穿刺提示骨髓象仅见三系增生,嗜酸粒细胞占比正常。大便寄生虫卵及寄生虫镜检阴性。寄生虫抗体阴性。血清总IgE阴性。
2月8日TBLB病理学(左下肺外基底段左下叶背段)诊断:肺泡上皮无异型,肺泡间隔增宽,纤维组织增生炎细胞浸润,伴碳沫沉着,肺泡腔内见Masson小体及泡沫细胞聚集,呈机化性肺炎改变(图6)
图片

图6  TBLB病理结果(2月8日)


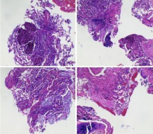
2月9日右侧胸膜结节病理学:镜下见增生间皮样细胞,急、慢性炎细胞浸润,较多嗜酸性粒细胞聚集,胶原化小结节形成(图7)。免疫组化结果支持为间皮增生,灶性呈乳头状增生,较多啫酸性粒细胞聚集、浸润,炎症重(图8)
图片

图7  胸膜结节病理结果(2月9日)


图片
图8  免疫组化结果
图片

再次分析:

该患者存在EPD及EPE,胸膜活检提示嗜酸粒细胞浸润,在病因方面,该患者无寄生虫感染证据、无过敏性/变应性因素、无结缔组织疾病及肿瘤证据、无血液系统肿瘤证据、发病前未使用特殊药物,故初步考虑特发性EPD。该患者TBLB活检提示机化性肺炎改变,继发因素方面暂未寻找到原因。因此该患者有使用激素治疗的指征。
根据上述分析调整治疗方案,2月9日开始加用甲泼尼龙40 mg qd,同时将哌拉西林他唑巴坦调整为左氧氟沙星0.5 g qd。随着治疗方案的调整,患者体温明显下降,并趋于稳定(图9)


图片

图9  调整治疗方案后患者体温变化


疗效评价


  • 症状:患者无发热,咳嗽、咳痰、呼吸困难较入院前改善。

  • 影像:肺部实变较前吸收。

  • 化验:诱导痰细胞学分类计数中嗜酸粒细胞比例13.04%较前下降;胸水细胞分类示嗜酸粒细胞3%较前下降;血常规示嗜酸粒细胞0.02×109/L较前下降。


出院及随访


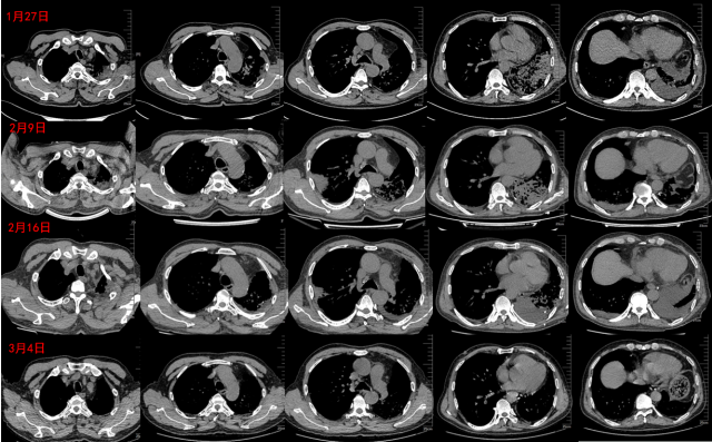
出院后,嘱患者口服泼尼松50 mg qd,并于2周后复查。3月4日患者门诊复诊,自诉呼吸困难、咳嗽咳痰症状明显减轻,复查胸部CT示双侧病灶明显吸收。

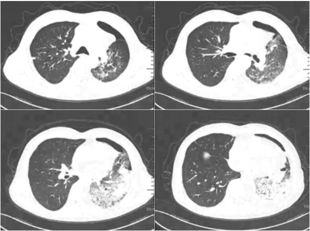
回顾患者影像学情况:1月27日患者入院,胸部CT以左肺病变为主,有液气胸表现。2月9日胸部CT可见右肺有大片新发病灶。经过甲泼尼龙治疗,2月16日胸部CT示左肺病灶明显吸收,3月4日门诊复查时可见胸部CT示双肺病灶均明显吸收(图10)


图片
图片

图10  病程中患者影像学变化

最终诊断


机化性肺炎;Ⅰ型呼吸衰竭;嗜酸性粒细胞增多相关性肺疾病;嗜酸粒细胞性胸腔积液;液气胸;肺动脉高压;高血压3级,很高危组;前列腺增生。
机化性肺炎
机化性肺炎(organizing pneumonia,OP)是一组以由肉芽组织在细支气管、肺泡管、肺泡腔内填充、延伸为病理特征的疾病,肉芽组织多由疏松的结缔组织将成纤维细胞和肌成纤维细胞包埋构成,伴有轻度间质性慢性炎症。
OP根据病因分为隐源性机化性肺炎(cryptogenic organizing pneumonia,COP)和继发性机化性肺炎(secondary organizing pneumonia,SOP),COP是一种病因不明的OP,是一种特发性间质性肺炎,由各种不明损伤的肺部反应引起。
OP通常为亚急性发病,干咳、流感样表现和劳力性呼吸困难是常见症状,还包括发热、运动耐量降低、体重减轻、胸痛。少数病例出现咯血或气胸。肺部听诊可闻及局限性的爆裂音,肺实变区可闻及湿啰音。
高分辨率CT(HRCT)是评估OP的重要检查手段,通常显示外周和多灶性实变,常伴有支气管充气征。此外,双肺可能存在斑片状实变、结节影、磨玻璃影、小叶周围浸润、支气管壁增厚和网状纤维化改变。磨玻璃影周围有实性密度的线状影形状如新月形或环状影称为“环礁征”。少数患者可见肺门和纵隔淋巴结增大,有时还可以观察到肺气肿或胸腔积液。
图片

图源:Front Med (Lausanne), 2023, 10:1146782.

组织病理学检查是诊断OP金标准。OP的组织病理学检查显示肺泡腔中富含纤维渗出物,累及肺泡管和呼吸性细支气管;可形成特征性息肉样病变(Masson小体),伴巨噬细胞、浆细胞、淋巴细胞和嗜酸粒细胞组成的炎症细胞浸润。
图片
图源:Eur Respir Rev, 2021, 30(161):210094.



参考文献(向下滑动查看全部文献)

[1] 广州医科大学附属第一医院国家呼吸医学中心, 国家呼吸系统疾病临床医学研究中心, 中华医学会呼吸病学分会哮喘学组. 嗜酸粒细胞增多相关性肺疾病诊疗中国专家共识[J]. 中华医学杂志, 2022, 102(1):21-35.

[2] Li M, Zeng Y, Li Y, et al. Incidence, aetiology and clinical features of eosinophilic pleural effusion: a retrospective study[J]. BMC Pulm Med, 2021, 21(1):402.

[3] King TE Jr, Lee JS. Cryptogenic Organizing Pneumonia[J]. N Engl J Med, 2022, 386(11):1058-1069. 

[4] Radzikowska E, Fijolek J. Update on cryptogenic organizing pneumonia[J]. Front Med (Lausanne), 2023, 10:1146782. 

[5] Raghu G, Meyer KC. Cryptogenic organising pneumonia: current understanding of an enigmatic lung disease[J]. Eur Respir Rev, 2021, 30(161):210094.



作者简介


图片

秦  剑
  • 云南省第一人民医院呼吸与危重症医学科
  • 住院医师,硕士



全部评论 0

名院大查房「14」病例汇报

秦 剑  云南省第一人民医院

名院大查房「14」学术专题

文戈弋  云南省第一人民医院

Copyright©2020-2026 北京医麦斯科技有限公司 版权所有 京ICP备2020034400号-1 京公网安备11010502043983号