登录方式

方式一:
PC端网页:www.rccrc.cn
输入账号密码登录,可将此网址收藏并保存密码方便下次登录

方式二:
手机端网页:www.rccrc.cn
输入账号密码登录,可将此网址添加至手机桌面并保存密码方便下次登录

方式三:
【重症肺言】微信公众号
输入账号密码登录

注:账号具有唯一性,即同一个账号不能在两个地方同时登录。

登录
方式

为重症救治赋能

为患者康复加速

当前位置:首页 重症实战 空中大查房

病例:胆大心细,突破禁忌:一例终末期慢阻肺患者的救治启示

吕行 空军军医大学第一附属医院呼吸与危重症医学科 发布于2024-03-27 浏览 4290 收藏

作者:吕行

单位:空军军医大学第一附属医院呼吸与危重症医学科



一、病情介绍

一般情况

患者,男性,60岁,鄂尔多斯人。主因“反复咳嗽、咳痰10余年,加重8月余” 于2019年4月26日入住我院呼吸监护室。

现病史

10余年前逐渐出现活动后气短,外院诊断慢阻肺,长期吸入药物治疗,症状控制不佳,每年需多次住院治疗。3年前,因肺性脑病在外院行气管插管、呼吸机辅助通气,气短进行性加重,生活不能自理。2周前,气短再次加重,外院内科药物治疗无效,需要无创呼吸机持续通气。家属担心再次出现插管情况,于是无创呼吸机支持下转至我科ICU。

入院诊断

慢性阻塞性肺疾病(终末期),Ⅱ型呼吸衰竭,呼吸机依赖状态。

入院时情况

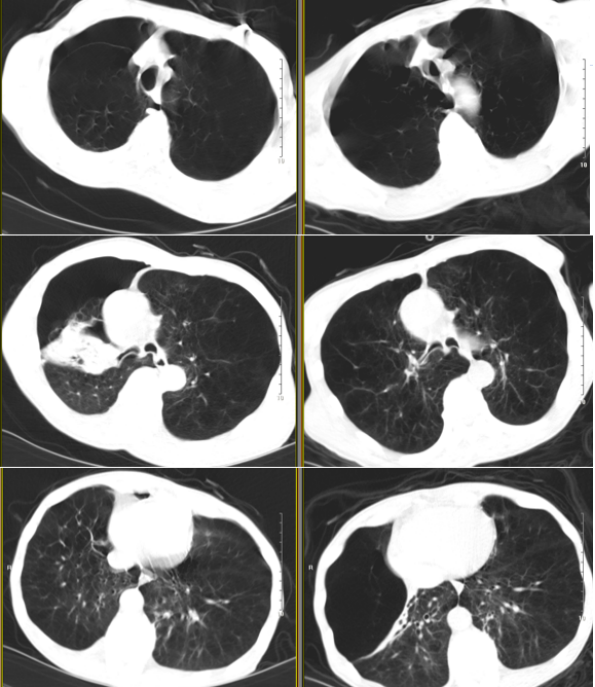
①呼吸困难:转运呼吸机辅助下呼吸频率26次/分,三凹征(脱机后加重);②Ⅱ型呼吸衰竭:血气分析提示pH 7.305,PaO2 96 mmHg,PaCO2 85.8 mmHg。③极重度阻塞性通气功能障碍:肺功能(外院1年前)提示FEV1/FVC 39.02%,FEV1/pre 14%,FVC/pre 28.3%。④全程管理:已戒烟10年,既往接受呼吸康复治疗。⑤极重度肺气肿:HRCT提示双肺不均质性肺气肿、右肺上叶巨大肺大疱(图1)


图片

图1  患者入我科后HRCT


实验室检查
  • 血常规:WBC 8.37×109/L,NEU 6.18×109/L(73.8%),LYM 1.54×109/L,Hb 149 g/L,PLT 239×109/L。

  • 肝肾功能:AST 31 U/L,ALT 29 U/L,Cr 58 μmol/L,BUN 5.83 mmol/L。

  • 炎症指标:PCT 0.057 ng/mlIL-6 13.93 pg/ml,hs-CRP 11.6 mg/L。

  • 痰涂片:少量G-杆菌。

  • 其他:G试验、GM试验、痰培养均阴性。
初步治疗方案
  • 舒张支气管:布地奈德/福莫特罗1吸bid。

  • 抗炎:甲泼尼龙40 mg qd。

  • 抗感染:比阿培南0.3 g tid,莫西沙星20 ml qd。

  • 化痰:多索茶碱0.2 g bid。

  • 预防性抗凝治疗:那曲肝素0.4 ml qd。
疗效评估

患者入院当天(4月26日)病情稳定后换用科室的无创呼吸机(无创通气,S/T,EPAP 4 cmH2O,IPAP 12 cmH2O,FiO2 40%):pH 7.407,PaO2 92.2 mmHg,PaCO2 52.1 mmHg,HCO3- 32.1 mmol/L。

治疗一段时间后患者症状未见明显好转。住院第5天(4月30日)无创通气,S/T模式,EPAP 4 cmH2O,IPAP 17 cmH2O,FiO2 40%):pH 7.19,PaO2 94.6 mmHg,PaCO2 76.8 mmHg,HCO3-  28.8 mmol/L。

药物治疗无效,下一步该如何处理?

有文献推荐,对于经过药物(无论是短效还是长效药物)治疗,或者经过戒烟、注射疫苗、肺康复等非药物治疗后,仍无效的慢阻肺患者,推荐肺减容手术(lung volume reduction surgery,LVRS)或肺移植。2019版GOLD指南对外科LVRS进行了推荐:LVRS可改善肺康复治疗后运动耐量仍差的存在一侧上肺肺气肿的重度肺气肿患者的生存率(A级证据)。然而,国外文献统计发现,在2011—2013年9365例肺气肿病例中仅有42例采用了LVRS治疗,说明这种治疗方式可能并不适用于绝大部分肺气肿患者。肺移植虽然是比较有效的治疗手段,但找到移植的肺源非常困难,而且移植后的各种问题也会影响患者的生活质量甚至生存时间。因此,我们将目光聚焦于GOLD指南推荐的另外一种治疗方式——经支气管镜干预,即我们常说的内科肺减容术(ELVR)。指南推荐:经挑选适合的晚期肺气肿患者,经纤支镜干预治疗6个月后,可降低呼气末肺容量,改善运动耐量、健康状况及肺功能,干预方式包括支气管内活瓣(B级证据),肺内合金圈(B级证据),热蒸气消融(B级证据)。


图片


2015年发表的一项荟萃分析显示:通过优选的慢阻肺患者进行ELVR,其肺功能和活动耐量(6MWT)均可显著改善,FEV1平均增加77.5 ml,提高13.7%,6MWT平均增加40.8米。还有研究对比了几种减容方式【包括EBV、SVS(即IBV)、金属线圈和热蒸汽消融】的治疗效果,结果发现:在这几种减容方式中,EBV的效果最佳,尤其在FEV1和残气量的改善方面,EBV获益明显。另外一项荟萃分析筛选了15项EBV研究,结果显示:EBV组在FEV1、6MWT、负荷试验和生活质量方面半年后都明显改善,并且差异具有显著性。因此,在ELVR中,EBV可能是一种优选方式。

EBV术的原理是释放一个单向活瓣,从而形成单向的通气,使大疱内的气体只出不进,进而促使大疱逐渐萎缩,最终改善患者的肺功能。其机制是:①提高胸廓内负压,重建肺弹性张力,扩张小气道管径;②改善胸廓与膈肌形态,提高肺顺应性和呼吸泵功能;③改善肺通气/血流比率,增加肺弥散功能;④减轻肺血管阻力及右心负荷。

指南推荐的ELVR的适应证包括:慢阻肺-肺气肿表型;FEV1 20%~45%预计值;RV>175%预计值;RV/TLC>58%;最佳的内科治疗后;未吸烟;康复治疗后;症状学计分(mMRC>1分);6MWT距离100~500 m。禁忌证包括:存在明显的支气管扩张症;既往肺手术史(肺叶切除,全肺切除,肺移植术)严重二氧化碳潴留(PaCO2>8 kPa或60 mmHg)和/或严重低氧血症(PaO2<6 kPa或45 mmHg)[海平面,室温,吸入空气];DLco<20%预计值;显著的肺高压(超声心动图上右室收缩压>50 mmHg);充血性心力衰竭(左室射血分数<40%);严重合并症明显影响生活质量及生存率,等。

本例患者FEV1/pre 14%,PaCO2 76.8 mmHg,不符合肺减容术的指征。这种病例并不少见,国内有大量终末期慢阻肺患者不符合ELVR的适应证,有35.4/10万例慢阻肺患者接受长期家庭无创通气支持,需要ELVR改善生活质量但却错失机会的患者具有巨大的人群基数。由于多种原因(包括患者对呼吸困难症状的耐受性高、医务人员关于ELVR的理念欠缺及经济条件落后等)导致我国很多患者在考虑接受ELVR时肺功能破坏已经非常严重,超出了文献推荐的适应证范围,甚至有禁忌证,患者无法承受ELVR操作过程的风险而被迫放弃,或者操作过程由于氧合不足导致意外发生。

此类患者还有手术介入的机会吗?

经过讨论,我们团队提出了“终末期慢阻肺-无创通气辅助下经支气管镜肺减容术(ESCOPD-NIV-ELVR)”。我们的依据是:①CT评估为叶间裂完整的非均质性肺气肿。既往研究发现叶间裂完整的肺气肿患者行肺减容术后,其在FEV1、6MWT、负荷试验和生活质量方面的获益均明显大于叶间裂不完整的患者。因为叶间裂完整,旁路通气可能会较少,在使用活瓣后,可以很好地消融肺大疱。②我们团队长期钻研肺减容术,有自主知识产权及临床试用的气道封堵器,其稍微有别于鸭嘴型或伞型的气道封堵器。该方式已经过临床验证并于2013年在Respir Care 杂志发表了文章。③我们团队拥有精湛的呼吸支持技术和能力,通过无创正压通气技术保障经支气管镜检查患者的通气与氧合。④强大的呼吸监护室团队,分工合作,保障危重症患者的救治与安全。




二、介入手术

手术环节一:充分的术前准备

向患者及家属充分告知,签署知情同意书;评估患者身体状况;组织讨论患者适应证,制定手术方案。

手术环节二:精细的术中操作

(1)监测团队: 密切监测患者的各项生命体征, 如RR、BP、PR、SpO2等, 持续评估镇静状态。

(2)呼吸支持团队:监测患者的呼吸参数,如潮气量、分钟通气量、频率、呼吸波形等。

(3)操作团队:精细确定靶位,精准放置气道封堵器。

手术环节三:周密的术后观察

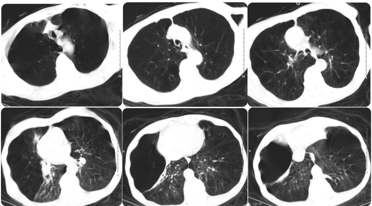
患者术后血气分析(鼻导管2 L/min):pH 7.425,PaO2 61.8 mmHg,PaCO2 46.8 mmHg,HCO3- 30.0 mmol/L。术后当天脱机,术后1天离床站立活动,三凹征明显改善。术后5天复查胸部CT可见右上肺大疱体积明显减小,但右上肺出现肺不张图2

图片
图2  患者肺减容术后5天胸部CT


EBV术后出现肺不张是必需的吗?或者没有肺不张,只是大疱减小就可以?在一项10年生存率的随访研究中有19例患者进行了一代EBV手术,患者分为肺不张组和非肺不张组,结果显示肺不张组的存活率显著高于非肺不张组。

预后
本例患者术后1个月随访,其运动耐力良好,生存质量显著改善。



三、筛选流程

对于终末期慢阻肺患者,已经进行了最佳的药物与非药物治疗(戒烟,饮食管理,接种疫苗,肺康复,长期家庭氧疗,无创通气),如果依然存在肺气肿,且肺功能提示的FEV1<50%或RV>175%,而且RV/TLC>0.58,6MWT为150~450 m,就可以进行入组评估。评估方法有:CT评估叶间裂是否完整,或Chartis评估是否有旁路通气。①如果CT评估叶间裂完整或Chartis评估没有旁路通气,再判断究竟是均质性还是非均质性肺气肿。如果是均质性肺气肿,目前尚无临床试验证实可以采取哪种更优的治疗方式。如果是非均质性肺气肿,目前研究已经证实的方式就是使用活瓣或外科LVRS治疗。②如果CT评估叶间裂不完整或Chartis评估有旁路通气, 研究证实仅有外科LVRS治疗。③如果患者无法进行叶间裂或Chartis评估, 可考虑肺移植。

ELVR,尤其是单向活瓣ELVR,是目前治疗终末期非均质性肺气肿最有效的方法,而且EBV可作为优选。需要注意的是,在筛选患者时对肺功能有一定的要求。肺功能较差的终末期慢阻肺患者可能不具备进行ELVR的条件。我们提出的无创通气辅助的经支气管镜肺减容术(NIV-ELVR),可以使终末期慢阻肺患者获益。



四、总结

EBV是目前全球最常用、最成熟的经支气管镜肺减容装置,但在常规状态下,其对患者的肺功能和6MWT有一定要求。为了给更多终末期慢阻肺患者带来治疗获益,我们团队提出了NIV-ELVR的治疗方式,这一方法拓展了经支气管镜LVRS的适应证,可使肺功能较差的患者得到更好的治疗。值得注意的是,严格选择潜在获益人群和病变部分是手术成功的关键,并非所有的肺气肿患者都可以进行LVRS。首先,通过CT评估叶间裂的完整性,然后评估是均质性还是非均质性肺气肿,临床应有目标的放置活瓣。其次,通过Chartis评估找到没有旁路通气之处放置活瓣,否则无法达到肺减容的效果。最后,术后评估时要尽量看到患者出现一定的肺不张,如此方可获得较好的预后。



参考文献(向下滑动查看全部文献)

[1] Cooper CB, Barjaktarevic I. A new algorithm for the management of COPD[J]. Lancet Respir Med, 2015, 3(4):266-268. 

[1] Cooper CB, Barjaktarevic I. A new algorithm for the management of COPD[J]. Lancet Respir Med, 2015, 3(4):266-268. 

[2] Choi M, Lee WS, Lee M, et al. Effectiveness of bronchoscopic lung volume reduction using unilateral endobronchial valve: a systematic review and meta-analysis[J]. Int J Chron Obstruct Pulmon Dis, 2015, 10:703-710. 

[3] Song L, Zhao F, Ti X, et al. Bronchoscopic lung volume reduction for pulmonary emphysema: preliminary experience with endobronchial occluder[J]. Respir Care, 2013, 58(8):1351-1359. 

[4] Garner J, Kemp SV, Toma TP, et al. Survival after Endobronchial Valve Placement for Emphysema: A 10-Year Follow-up Study[J]. Am J Respir Crit Care Med, 2016, 194(4):519-521.



作者简介

图片

吕  行
  • 空军军医大学第一附属医院呼吸与危重症医学科

  • 空军军医大学临床医学博士,副教授

  • 亚专业方向:呼吸危重症的器官支持和疾病诊治

  • 陕西省预防保健协会呼吸病防治专业委员会常委

  • 陕西省医师协会呼吸医师分会委员

  • 陕西省抗癌协会肿瘤标志物委员会青年委员

  • 空军军医大学十大教学标兵、教学优秀个人、抗疫先进个人

  • 主持并完成省级课题3项、院级课题多项

  • 作为骨干成员参与国家重点研发计划1项、国自然和军队课题多项

  • 作为第一作者发表SCI论文6篇,参与发表论文20余篇



全部评论 0

名院大查房「12」病例汇报

吕 行  空军军医大学西京医院

名院大查房「12」学术专题

吴运福  空军军医大学西京医院

Copyright©2020-2026 北京医麦斯科技有限公司 版权所有 京ICP备2020034400号-1 京公网安备11010502043983号