机化性肺炎(organizing pneumonia,OP)是指肺泡和肺泡管中存在肉芽组织栓的一组疾病,由成纤维细胞、肌成纤维细胞、疏松结缔基质、胶原组成,肉芽组织栓可以延伸至细支气管。OP是损伤后肺组织修复的一种模式。OP是少见病,回顾性研究发现,OP的发病率为1.97~7/10万。
OP的描述最早出现在19世纪末20世纪初的医学文献中,详细的组织病理学描述见于20世纪初。作为一种临床疾病,Davison在1983首次描述了隐源性机化性肺炎(cryptogenic organizing pneumonia,COP)。随后Epler等在1985年定义了闭塞性细支气管炎伴机化性肺炎(bronchiolitis obliterans organizing pneumonia,BOOP),并且都强调了特发性和对激素敏感的特点。2002年,ATS/ERS建议使用COP而不是BOOP,并且在2013年更新时仍保持了这一命名方法。
OP根据病因分为COP和继发性机化性肺炎(secondary organizing pneumonia,SOP),COP没有明确的病因,SOP继发于已知原因,包括:①感染:包括细菌、病毒、真菌、寄生虫感染等;②药物:如胺碘酮、呋喃妥因、博来霉素、甲氨蝶呤等;③结缔组织疾病:类风湿关节炎、肌炎、皮肌炎、系统性硬化;④血液系统恶性肿瘤:白血病、淋巴瘤;⑤器官移植:肺、肝、骨髓移植;⑥放射性损伤;⑦免疫缺陷;⑧与其他肺间质疾病相关:嗜酸性粒细胞肺炎、过敏性肺泡炎、弥漫性肺损伤;⑨炎症性肠病:克罗恩病、溃疡性结肠炎;⑨其他:如吸入性肺损伤、气道阻塞等。肺泡上皮细胞(主要是Ⅰ型肺泡上皮细胞)坏死,血浆凝血蛋白进入肺泡腔内,使凝血和纤溶过程失衡,导致纤维蛋白沉积;而成纤维细胞通过基底膜进入肺泡内增殖、活化,大多数成纤维细胞转化为肌成纤维细胞,产生结缔基质蛋白,形成成熟的纤维性肺泡内肉芽组织。OP患者通常无特异的临床特征。也正是由于症状的非特异性,OP通常会延迟6~10周诊断。干咳、流感样表现和劳力性呼吸困难是常见症状,此外还包括发热、疲劳和体重减轻,咯血极为罕见。OP很少发生症状快速进展、呼吸急促恶化而需要机械通气。没有临床特征有助于区分COP和SOP。该病无性别偏好,中位好发年龄为50~60岁,在非吸烟者中更为常见。体检结果通常包括吸气相湿啰音,但在25%的患者中可能是正常的,无杵状指。结缔组织病与SOP相关,因此对结缔组织疾病的相关症状和体征检查极为重要。OP无特异的标志物,白细胞升高可见于50%的病例,全身炎症标志物如C反应蛋白(CRP)和血沉(ESR)通常升高。肺功能检查可表现为弥散功能降低。吸烟者可见阻塞性通气功能障碍。OP影像学可以表现为磨玻璃影,也可以表现为结节影或反晕征,还可以表现为条带影、纤维化影或肺小叶增厚的铺路石征。总体而言,OP影像学主要以下列三种表现为主:以实变为主,以结节为主,以线状或网状为主。
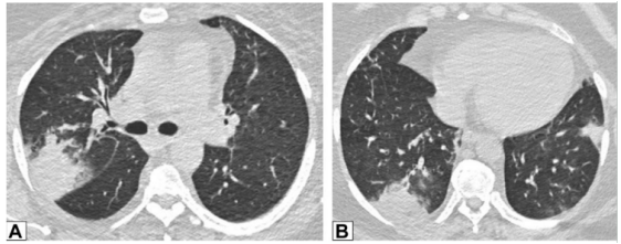
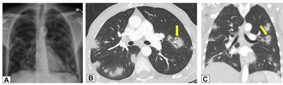
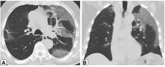
实变是OP病例中最常见的发现,发生于近75%的病例中,病变通常在双基底、支气管血管周围和/或外周。图1A为一名女性患者,右肺上叶周围实变,其曾因乳腺癌接受过放射治疗,并经活检证实为OP。图1B患者左肺下叶和舌叶周围实变,活检证实为继发于淋巴瘤化疗的OP。
图源:Chest, 2022, 162(1):156-178.
在活检证实的OP患者中,中肺(图2A)和下肺(图2B)的增强CT扫描图像显示双侧多灶性支气管血管周围实变灶。

图2 支气管血管周围实变
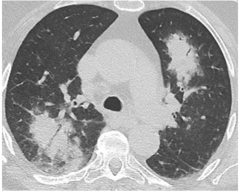
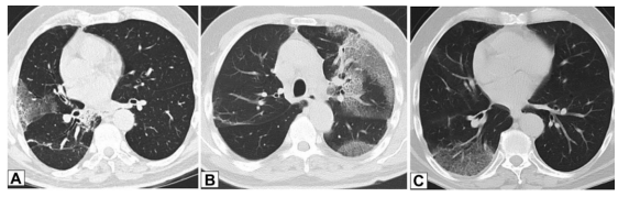
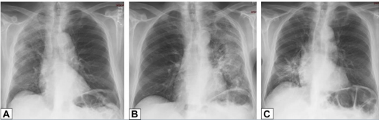
图源:Chest, 2022, 162(1):156-178.图3A为71岁男性,2011年7月因劳力性呼吸困难就诊,胸片显示右肺上叶实变。图3B为2012年6月再次检查显示右肺上叶异常已消失,左肺出现广泛实变。图3C为2013年6月,左肺病变消失,但右肺下叶出现新的实变。这些发现是典型的OP游走性表现。图源:Chest, 2022, 162(1):156-178.图3所示患者胸部CT可见磨玻璃影伴小叶间隔增厚和铺路石征的游走灶(图4)。由此可见,OP的实变可以发生在肺的任何部位,边界清晰或模糊,呈游走性特点。图源:Chest, 2022, 162(1):156-178.OP的实变可以呈局灶性、多发性和弥漫性,也可以表现为结节或肿块。图5所示患者为70岁女性,COVID-19确诊9个月后出现持续气促,CT平扫图像显示支气管血管周围多灶性肿块样实变。在类固醇治疗后症状显著改善,实变消退,推测诊断为OP。图源:Chest, 2022, 162(1):156-178.实变常伴支气管充气征,可伴散在的磨玻璃样低密度或小实质结节。以主要的或完全的磨玻璃低密度为表现者较少见。图6A所示为一名有甲状腺乳头状癌病史的47岁男性患者碘131治疗4个月后的CT平扫图像,可见右肺上叶支气管血管周围磨玻璃影。PET/CT扫描显示磨玻璃影代谢增高(图6B)。CT平扫图像显示左肺上叶新出现的磨玻璃影(图6C)。支气管活检结果与OP相符。图源:Chest, 2022, 162(1):156-178.图7为一名71岁男性患者因使用胺碘酮导致SOP的CT平扫图像,可见左肺广泛磨玻璃影,小叶间隔增厚(铺路石征)。磨玻璃低密度影合并小叶间隔增厚可表现为铺路征。
图7 铺路石征
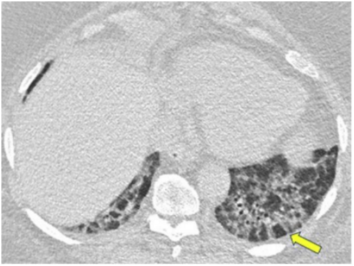
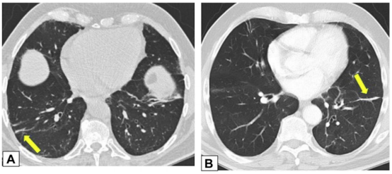
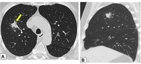
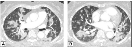
图源:Chest, 2022, 162(1):156-178.CT扫描图像显示双肺多发小实性结节(图8),提示恶性肿瘤或感染可能。CT扫描引导下针吸活检结果与OP诊断一致。图源:Chest, 2022, 162(1):156-178.42岁患者,病态肥胖,有呼吸困难,右肺上叶(图9A)和右肺下叶(图9B)CT平扫图像显示双侧、胸膜下或周围肿块样实变区域。这些发现为非特异性;活检结果提示OP,类固醇治疗后消退。图源:Chest, 2022, 162(1):156-178.OP以结节为主的影像学表现,范围从小的微结节(直径<4 mm)到较大的离散结节(直径通常达1 cm),以及较大的结节或肿块。较大的结节或肿块常被描述为具有不规则或锐利边缘,通常包含支气管充气征。图10所示为一名接受美沙拉嗪治疗的38岁男性溃疡性结肠炎患者出现气促。A为后外侧胸片,显示双肺多发结节。胸部CT增强扫描显示结节为周围型和支气管血管周围型,一些伴有气道扩张(B和C中的箭头)。粗针穿刺活检结果与OP相符。图源:Chest, 2022, 162(1):156-178.此外,结节可以单发或多发,通常为实性结节或部分实性结节。图11为一名73岁男性吸烟者低剂量CT,CT平扫图像显示右肺上叶孤立的不规则结节影,伴有细微的气道扩张(A中箭头)。支气管内超声引导下细针活检结果符合局灶性OP表现。图源:Chest, 2022, 162(1):156-178.临床中遇到影像学表现为结节的情况,需要注意与肿瘤相鉴别。PET扫描对这些病变的评估显示标准化摄取值轻微升高,但结果为非特异性,临床价值有限。图12所示为PET扫描一名无症状、有乳腺癌病史并长期使用呋喃妥因的70岁女性,CT平扫图像显示双肺下叶不规则、实性结节。由于担心转移性疾病,进行了PET扫描(图12C),轴位PET图像显示左肺下叶结节(B、C中箭头)是FDG高摄取。左肺下叶结节的粗针穿刺活检结果与OP相符。图源:Chest, 2022, 162(1):156-178.34岁女性患者因系统性红斑狼疮就诊,表现为气促。胸部CT显示双肺多发大小不等的实性结节,包括左肺基底部微小结节改变(图13A)。FDG-PET扫描的图像显示结节为高代谢(图13B)。两个结节的楔形活检结果符合OP诊断。图源:Chest, 2022, 162(1):156-178.以线状或网状为主的OP影像特点包括表现为线状不透明的实质条带,通常延伸到胸膜表面,先于磨玻璃影或实变。图14所示为条带活检证实为OP的同一患者间隔1年进行的CT扫描,可见患者双肺下叶条带部分消退(A、B中箭头)。
图14 实质条带
图源:Chest, 2022, 162(1):156-178.其他表现还包括小叶周围增厚和具有反晕外观特征的病变(环礁征)。图15所示为一名慢性持续性咳嗽和劳力性呼吸困难1年、体重减轻的32岁男性患者的CT图像,双侧中心磨玻璃样病灶完全被周围致密实变所包围,即反晕征或环礁征(A、B中红色箭头)。也存在不完全晕征(A、B中白色箭头)和小叶周围增厚(B中黄色箭头)。肺活检结果证实为OP。图源:Chest, 2022, 162(1):156-178.当以线性或网状为主的OP进一步发展,在周围实变或磨玻璃影后,基底和胸膜下网状形成,提示间质纤维化的发展。图16为一名73岁男性患者在呼吸困难发作4 d后获得的CT图像,分别在隆突水平(A,C)和以及肺基底水平(B,D)获得胸部CT图像。2019年的增强图像(A和B)显示双侧广泛的磨玻璃影;2021年的图像(C和D)显示磨玻璃影程度改善,但出现网状和牵拉性支气管扩张或细支气管扩张,这一模式与纤维化相符。右肺上、中、下叶的楔形活检结果显示OP。图源:Chest, 2022, 162(1):156-178.OP可导致广泛的双基底牵引性支气管扩张,其结果与非特异性间质性肺炎(NSIP)相似,并经常重叠。图17为51岁女性皮肌炎患者CT平扫图像,下肺基底图像显示双肺下叶实变,双侧胸膜下和磨玻璃影。矢状位图像上支气管明显扩张(B)。这些表现与OP和NSIP重叠一致。图源:Chest, 2022, 162(1):156-178.一名病态肥胖且进行性呼吸困难的67岁男性患者进行了CT扫描(图18)。肺基底部CT显示周围支气管壁增厚,伴有边界不清的磨玻璃密度和小叶周围增厚,特别是在左基底部(箭头),这些表现提示NSIP。外科肺活检结果与OP相符。
图18 非特异性间质性肺炎(NSIP)
图源:Chest, 2022, 162(1):156-178.从病理方面来讲,OP病变呈斑片状分布;肺泡内、肺泡管见疏松胶原样结缔组织增生,形成Masson小体,主要见于肺泡、肺泡管和终末细支气管;病灶区肺泡间隔有时可见轻微的慢性炎症渗出表现(图19)。
图19 OP的组织病理学
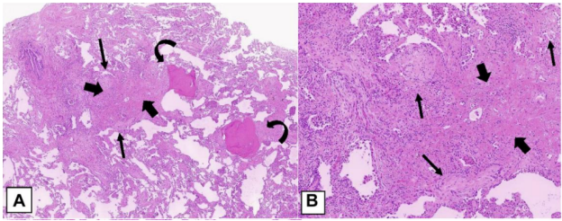
图源:Eur Respir Rev, 2021, 30(161):210094.机化性纤维化包括腔内疏松结缔组织息肉样栓子,突出到远端气腔。肺泡、间隙和肺泡管通常受影响最大,细支气管受影响较小。低倍镜组织学图像(图20A)显示斑片状疏松结缔组织形成的息肉样腔内栓子(粗箭头)区域,突出到远端气道。邻近的肺实质相对正常(细箭头)。图20B示肺泡腔和肺泡管内可见息肉样栓子(粗箭头),但细支气管受累很少(细箭头)。
图20 OP的病理特征
图源:Chest, 2022, 162(1):156-178.
除了上述OP典型的组织病理学表现,还存在一些罕见的组织学模式。(1)瘢痕性OP模式:图21所示活检标本显示远端气道内结缔组织的息肉样栓子,但大部分由嗜酸性致密胶原(粗箭头)组成。这种致密的纤维组织与OP模式中常见的邻近疏松的纤维组织(细箭头)形成对比。此外,还有与远端气腔内息肉样栓子相关的骨状结构,呈树突样骨化(弯曲箭头)。
图21 瘢痕性OP模式
图源:Chest, 2022, 162(1):156-178.
(2)急性纤维素性机化性肺炎(AFOP):图22所示活检标本显示许多气道内(箭头所示)广泛的纤维蛋白和明亮的嗜酸性表现,以及疏松结缔组织息肉样栓子。该活检标本中的大多数肺泡腔显示除OP病变外,远端气腔有嗜酸性纤维蛋白(D中粗箭头)聚集。
图22 AFOP模式
图源:Chest, 2022, 162(1):156-178.
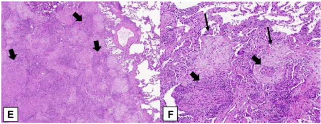
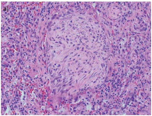
(3)肉芽肿性OP(GOP):图23活检标本显示除了多发性非干酪性肉芽肿(粗箭头)外,还有结节状浸润,提示OP模式。高倍镜显示远端气腔内疏松结缔组织的腔内息肉样栓子(F中细箭头),邻近圆形上皮样组织细胞形成的非干酪性肉芽肿(F中粗箭头)。
图23 肉芽肿性OP
图源:Chest, 2022, 162(1):156-178.OP的诊断主要通过临床表现、影像学及病理表现进行综合判断。如果患者的临床表现、影像学提示OP或病理结果提示OP,并能找到继发因素,可以诊断SOP。如果肺部影像学提示OP(实变、结节或条带/网状OP模式),排除感染或结缔组织病,可行病理检查,如果病理为典型的OP改变,可以诊断COP。(1)多发型片状肺泡渗出影:需与嗜酸性粒细胞肺炎(慢性)、肺泡细泡癌-肺炎型、原发性肺淋巴瘤、吸入性肺炎及其他疾病[如感染性肺炎、结核或非结核性分枝杆菌感染、肉芽肿并血管炎(韦格氏肉芽肿)、弥漫性肺泡出血、多发性肺梗死进行鉴别。(2)孤立性灶性结节或肿块:需与肺癌、炎性假瘤及其他结节或肿块疾病进行鉴别。(3)进行性/致纤维化型COP:与特发性间质性肺炎(尤其是非特异性间质性肺炎和特发性肺纤维化急性加重)以及其他感染、肿瘤性病变进行鉴别。对于COP,目前主要是经验性治疗,因为没有进行前瞻性、随机的治疗试验。<10%的患者(已报道的)可自发缓解,主要见于病情较轻(症状少,病变范围有限)或有禁忌证或已拒绝治疗的患者。SOP需要治疗基础疾病(结缔组织病、感染)或撤除致病药物或暴露,并可能需要更短时间激素治疗(如果疾病病因已经撤除)。
COP主要选择糖皮质激素治疗。通常起始剂量为0.5~1 mg/(kg·d)泼尼松,最高为每天60 mg,早晨单次口服给药;此初始剂量给药2~4周。根据临床反应,逐渐减至0.25 mg/(kg·d),完成4~6个月的治疗。在接下来的6~12个月内,如果患者病情保持稳定或好转,口服糖皮质激素的剂量逐渐减少至零。回顾性研究报道,糖皮质激素在第1个4周用量为0.75 mg/(kg·d),第2个4周为0.5 mg/(kg·d),第3个4周为20 mg/d,接下来的6周为10 mg/d,最后6周为5 mg/d。总疗程约为6个月。结果发现:接受标准方案的患者与接受其他方案的患者相比,结果没有差异,但使用建议的标准方案,泼尼松的累积剂量减少了2倍。部分COP患者在治疗期间会出现复发。主要是指在糖皮质激素治疗期间或治疗后,症状恶化或胸部CT出现特征性的新阴影或残余阴影的恶化。当治疗减量或停药过快时可出现复发;大多数复发发生在泼尼松剂量减至15 mg/d或以下时。复发似乎并不对发病率或死亡率产生重大影响,延长预防复发的治疗时间会增加患者遭受皮质类固醇激素不良反应的风险。如果在COP首次发病后>18个月或使用较高剂量的皮质类固醇(泼尼松≥20 mg/d)时复发,则应重新考虑诊断,并考虑致病因素的可能性,如未诊断的结缔组织病、过敏性肺炎或药物反应。对于复发的治疗,文献推荐:前12周糖皮质激素用量为20 mg/d,随后6周为10 mg/d,最后6周为5 mg/d,总疗程约为6个月。除了糖皮质激素,其他药物治疗OP的文献报道较少。有一些病例报告和小型、回顾性系列研究表明,具有抗炎特性的大环内酯类抗生素(例如红霉素或克拉霉素)可能是COP患者口服糖皮质激素治疗的有益辅助或替代。大环内酯类药物治疗通常持续3~6个月或更长,停药期间密切监测以防止复发。然而,大环内酯类药物似乎不如糖皮质激素有效。COP患者不推荐使用硫唑嘌呤或环磷酰胺,除非在其他方法都失败的情况下。病例报告中,环孢素、利妥昔单抗和静脉免疫球蛋白已被用于治疗快速进展性疾病或糖皮质激素抵抗的OP,但疗效有限。OP是指肺泡和肺泡管中存在肉芽组织栓的一组疾病,可分为COP及SOP。其影像学特征可表现为实变为主、结节为主、线状或网状为主的特点;病理表现为呼吸性细支气管、肺泡管和肺泡内出现明显的纤维组织及纤维母细胞增生,形成Masson小体。OP的诊断依赖于临床、影像、病理多学科讨论。治疗以糖皮质激素为主。
参考文献
[1] King TE Jr, Lee JS. Cryptogenic Organizing Pneumonia[J]. N Engl J Med, 2022, 386(11):1058-1069.
[2] Tiralongo F, Palermo M, Distefano G, et al. Cryptogenic Organizing Pneumonia: Evolution of Morphological Patterns Assessed by HRCT[J]. Diagnostics (Basel), 2020, 10(5):262.
[3] Cherian SV, Patel D, Machnicki S, et al. Algorithmic Approach to the Diagnosis of Organizing Pneumonia: A Correlation of Clinical, Radiologic, and Pathologic Features[J]. Chest, 2022, 162(1):156-178.
[4] Rossi SE, Erasmus JJ, Volpacchio M, et al. "Crazy-paving" pattern at thin-section CT of the lungs: radiologic-pathologic overview[J]. Radiographics, 2003, 23(6):1509-1519.
[5] Raghu G, Meyer KC. Cryptogenic organising pneumonia: current understanding of an enigmatic lung disease[J]. Eur Respir Rev, 2021, 30(161):210094.
[6] Lazor R, Vandevenne A, Pelletier A, et al. Cryptogenic organizing pneumonia. Characteristics of relapses in a series of 48 patients. The Groupe d'Etudes et de Recherche sur les Maladles "Orphelines" Pulmonaires (GERM"O"P)[J]. Am J Respir Crit Care Med, 2000, 162(2 Pt 1):571-577.
[7] Cottin V, Cordier JF. Cryptogenic organizing pneumonia[J]. Semin Respir Crit Care Med, 2012, 33(5):462-475.

- 主持国家自然科学基金课题1项、湖南省自然科学基金课题1项