登录方式

方式一:
PC端网页:www.rccrc.cn
输入账号密码登录,可将此网址收藏并保存密码方便下次登录

方式二:
手机端网页:www.rccrc.cn
输入账号密码登录,可将此网址添加至手机桌面并保存密码方便下次登录

方式三:
【重症肺言】微信公众号
输入账号密码登录

注:账号具有唯一性,即同一个账号不能在两个地方同时登录。

登录
方式

为重症救治赋能

为患者康复加速

当前位置:首页 重症实战 空中大查房

病例:一例肺部空洞性病变的诊治

王凡 解放军总医院第六医学中心呼吸与危重症医学科 发布于2022-03-08 浏览 2829 收藏

病情简介

一般情况

患者,男性,46岁,离异,科研人员。入院日期:2020年4月5日。

主诉
咳嗽咳痰9天,间断发热5天,憋喘1天。

现病史
  • 受凉后于2020年3月27日出现咳嗽、咳痰,为白色黏痰,量不多,无异味,日间明显,夜间无明显加重,未监测体温,无胸痛、咯血、夜间盗汗等症状。
  • 3月30日左右自觉痰量增多,为黄色脓性痰,伴有恶臭气味。
  • 4月1日就诊于社区医院,测体温37.5℃,予以“头孢地尼”口服治疗4天,效果不佳,期间未监测体温。
  • 4月4日出现喘憋,并逐渐加重,夜间无法平卧。
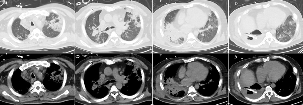
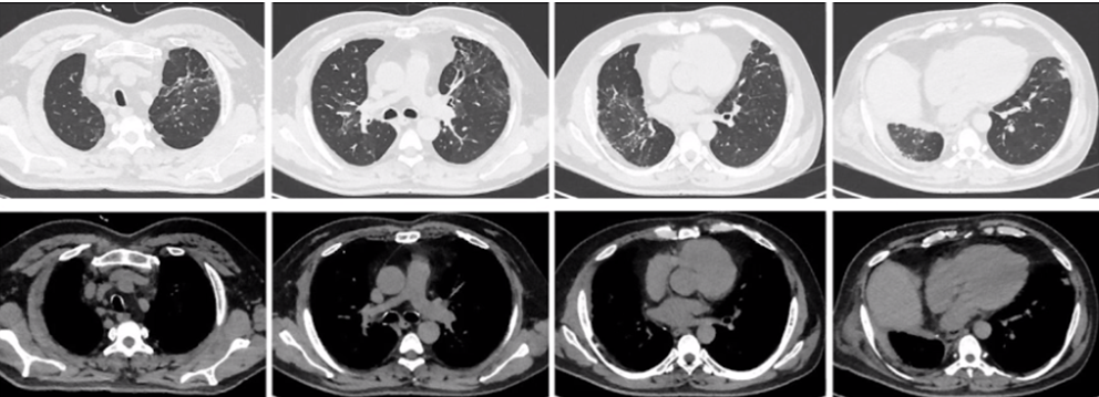
  • 4月5日于我院急诊就诊,测体温38.5℃。动脉血气分析(FiO2 0.29):pH 7.473,PaO2 57.2 mmHg,PaCO2 34.6 mmHg。急诊化验:WBC 14.99×109/L,NEU% 91.8%,LYM 0.61×109/L,血钠127 mmol/L,D-二聚体7470 ng/ml,C反应蛋白(CRP)350.7 mg/L,白介素-6(IL-6) 283.1 pg/ml,降钙素原(PCT)<0.5 ng/ml。胸部CT:右肺多发感染、实变,空洞影伴液平形成,伴右侧少量胸腔积液、部分包裹,左肺下舌段炎性灶(图1)。胸腔超声:右侧胸腔可见液性暗区,最深约6.0 cm,内可见大量分隔,部分区域呈蜂窝状。急诊以“重症肺炎(右侧)肺脓肿”收入我科。


图片

图1  患者胸部CT(2020年4月5日)

既往史

因“先心病”于1980年在阜外医院行房间隔缺损修补术。既往青霉素皮试阳性。


个人史

吸烟30余年,每日20支,无酗酒史。


家族史

父母健在,哥哥体健,否认家族遗传病史。


入院查体

  • 体温38.1℃,脉搏126次/min,呼吸22次/min,血压165/66 mmHg,末梢血氧饱和度95%(HFNC,流量40 L/min,氧浓度85%),BMI 29.4 kg/m2
  • 急性面容,烦躁不安,端坐位,胸廓无畸形,呼吸急促,双侧呼吸动度对称,无胸膜摩擦感,右肺叩诊浊音,可闻及湿啰音,左肺未闻及干/湿啰音及胸膜摩擦音。


胸部CT

  • 血常规:WBC 14.92×109/L,NEU% 93.4%,LYM 0.49×109/L,Hb 102 g/L,PLT 286×109/L。
  • ESR 85 mm/h,CRP 263.1 mg/L,IL-6>1540 pg/ml,PCT 1.22 ng/ml。
  • 肝、肾功能:ALT 30.8 U/L,AST 24.4 U/L,TBIL 20.2 μmol/L,DBIL 16.8 μmol/L,BUN 4.4 mmol/L,Cr 69.4 μmol/L,Na+ 127 mmol/L。
  • 凝血:PT 14.3 s,APTT 27.2 s,D-二聚体3010 ng/ml。
  • 心功能:cTnI 0.042 μg/L,BNP 42 pg/ml。
  • 动脉血气(HFNC FiO2 0.85):pH 7.406,PaO2 78.8 mmHg,PaCO2 39.5 mmHg,Lac 1.08 mmol/L。
  • 风湿免疫相关抗体:阴性。
  • 免疫球蛋白+C3+C4:IgE 481 IU/ml,余无异常。
  • 肿瘤标志物:无异常。
  • 血G试验(-),GM试验(-)。
  • 结核相关化验:结核抗体、TB-SPOT、PPD试验阴性。
  • 呼吸道病原抗体11项(-)。
  • 流感病毒核酸检测(-)。
  • 心脏超声:右心增大,下腔静脉增宽(肝段26 mm)。
  • 腹部超声:肝大,肝静脉增宽,脾大,胆、胰、双肾未见明显异常。
  • 下肢静脉B超:双侧下肢深静脉未见明显异常。
  • 头颅CT平扫:未见明确病变。


初步诊断
重症社区获得性肺炎(右侧):肺脓肿(右侧),胸腔包裹性积液(右侧),Ⅰ型呼吸衰竭,脓毒症;急性肝损伤;低蛋白血症;低钠血症;胆囊结石;房间隔缺损修补术后。

讨论一:

可能的病原体?如何给初始经验性抗感染方案?


专家讨论


侯刚教授:
该患者是青年男性,社区获得性肺炎。从宿主方面分析,患者有重度吸烟史,口腔牙菌斑可能存在一定的危险因素。患者的影像学特点是肺化脓症,胸腔积液中似乎存在少许气体。考虑从口腔至肺部,与吸入相关的可能是厌氧菌及放线菌。患者还有低钠血症,还需注意军团菌问题,但患者并无水源的接触。除了经验性抗感染之外,能否从痰液、BALF、胸膜腔隙等获得标本,通过涂片、培养、NGS等方法获取病原学证据。经验性抗感染方面,我个人认为还是应该覆盖常见的病原体,可以选择哌拉西林他唑巴坦联合莫西沙星,然后再根据患者的治疗反应进行调整。

蔡绍曦教授:
患者右下肺脓肿伴液平形成,此种情况以细菌性居多。患者从起病至咳大量脓臭痰的时间较短,应为急性肺脓肿。右上肺有树芽征,左肺未见,除了考虑吸入的可能,还有几点需要关注。第一,患者46岁,肥胖,未见误吸、饮酒等病史,右下肺膨胀不全,D-二聚体高,急性肺脓肿,氧合指数下降明显,急性感染与患者肺功能基础并不对称,需要考虑房间隔缺损修补术放置的夹子继发血栓,进而导致肺动脉栓塞,使右肺膨胀不全,右心负荷增高,下腔静脉扩张。但为何出现肺脓肿,是否为栓塞继发的感染,仍存在疑问。第二,患者右下基底段支气管狭窄,有支气管充气征,但下肺膨胀不全。考虑右下肺的肺脓肿及右中叶的肺炎是否为吸入性病原微生物所致,如口腔的葡萄球菌、链球菌、化脓性链球菌等,放线菌的反应一般不会如此强烈。

曾勉教授:
咳嗽、咳脓痰,病情进展快,初始D-二聚体水平很高,肥胖,低钠血症,PCT升高,考虑是否存在栓子或菌栓,其来源可能是口腔吸入病原微生物,最终导致出现脓毒症表现和化脓性病灶。病原学方面不排除MRSA、坏死性梭状杆菌等合并厌氧菌感染。

牟向东教授:

社区获得性肺炎并不能完全涵盖肺脓肿和脓胸,可以明确的是,该患者存在社区获得性的肺脓肿/肺脓疡,对于此种情况,厌氧菌感染的可能性更大。目前的检查方法对于厌氧菌的诊断仍存在困难,但NGS在此方面具有一定优势。可行支气管肺泡灌洗并送BALF NGS检测,结合常规检查和检测,有助于尽快明确病原学。考虑该患者的右肺病变仍与吸入有关。一些来源于其他部位的脓毒血症可引起肺部菌栓/脓栓,此类患者往往伴有明显的低氧血症,如果在治疗过程中忽视了这方面的问题,患者病情可迅速进展,出现呼吸衰竭。针对该患者,需要结合其心脏病病史、手术史、血培养及心脏检查结果综合考虑。


诊疗经过


治疗措施
  • 抗感染:美罗培南1.0 g q8h+莫西沙星0.4 g qd+奥硝唑0.5 g q12h。
  • 呼吸支持:HFNC(Flow 50 L/min,FiO2 0.85)。
  • 循环支持:液体复苏+血管活性药物维持MAP>65 mmHg。
  • 气道管理:大量脓臭痰,药物祛痰+机械辅助排痰。

患者情况
  • 入院后2小时,患者呼吸急促,HR 145次/min,R 35~45次/min,BP 170/80 mmHg。动脉血气(分析FiO2 0.85):pH 7.203,PaO2 87.4 mmHg,PaCO2 71.8 mmHg,Lac 1.19 mmol/L。

  • 气管插管→呼吸机辅助呼吸(ASV模式,Minvol 100%,PEEP 6 cmH2O,FiO2 100%),气管插管内涌出大量恶臭黄色脓性痰液。

  • 呼吸频数,血压下降→镇静、肌松、血管活性药。

  • 俯卧位→改善通气,引流出大量黄色脓痰。

  • 气管镜下表现:气管黏膜充血,管腔内较多黄色黏稠分泌物,双侧主支气管及各叶段支气管开口黏膜略水肿充血,均可见较多黏黄色分泌物流出。

  • 气管镜下痰标本涂片:G+球菌呈链状排列,偶见G-杆菌。

  • 痰培养:(-)。

  • BALF GM试验(-)。

  • 血培养:(-)。

  • 调整方案:美罗培南+奥硝唑+利奈唑胺,同时予丙球、胸腺法新、血浆等支持治疗。

  • 肌钙蛋白升高→脓毒症性心肌损伤;胆红素升高→急性肝损伤;凝血异常→凝血功能异常;尿量减少,BUN、Cr升高→急性肾损伤。

  • 气管镜下痰液NGS回报(4月8日):消化链球菌、微小微单胞菌、中间普氏菌等(图2)


图片
图2  患者NGS检测结果(2020年4月8日)


讨论二:NGS结果为疑似人体呼吸道微生态菌群,如何解读此结果?


专家讨论


牟向东教授:
该患者行气管镜检查时并未通过口腔,而是通过气管插管途径,这在一定程度上减少了口腔污染的可能。对于肺脓肿和脓胸而言,可检出多种病原微生物,NGS结果与患者目前的病原学相吻合。

蔡绍曦教授:
该患者NGS检出病原菌的序列数非常高,我个人认为其中链球菌的可能性较大。NGS的出现使我们又重新认识了很多的病原微生物。患者在WBC和CRP水平均很高的情况下,PCT水平升高与之相比并不明显,革兰阴性杆菌更多。第二,患者BMI为29.4 kg/m2,加之可能有口腔吸入,所以考虑链球菌的可能,但是否为消化链球菌,另当考虑。为什么患者短期就出现了多器官功能障碍表现?最应该引起注意的是链球菌属引发的TSS综合征,当其坏死释放毒素后会导致脏器损伤。所以我考虑该患者的病原菌可能是某种链球菌属。其他病原菌虽然不能排除,但从患者的整体表现来看,我认为链球菌属还是需要主要考虑的。

侯刚教授:
该患者NGS回报结果可见链球菌的相对丰度和序列数都是最高,所以考虑链球菌感染的可信度较高。

王瑞兰教授:

该患者诊断为急性肝脓疡,但有几点不同之处:①D-二聚体非常高;②低钠血症,可能与患者感染后摄入减少有关,或者与其疾病有关;③肥胖。所以我考虑患者发病是否与其职业有关。


诊断分析

考虑厌氧菌感染可能性大。调整抗感染方案:停用利奈唑胺,继续使用美罗培南+奥硝唑。


病情变化
抗感染治疗后患者体温仍较高,WBC、PCT水平呈升高趋势,IL-6水平呈下降趋势(图3)
图片
图3  患者体温及炎症指标变化情况

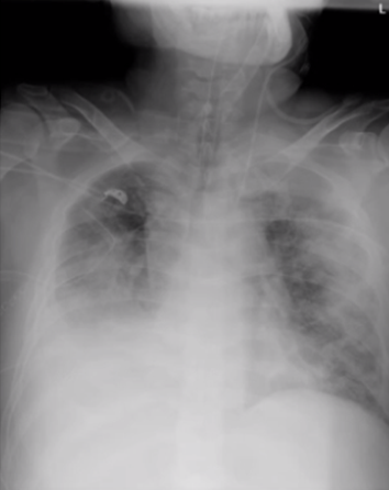
患者胸部X线片可见,除了右肺受累,左肺也可见磨玻璃样渗出影;氧合下降。4月9日胸部X线片可见明显空腔,PaCO2急剧升高,病情加重(图4)
 
图片
图4  患者胸部X线片和氧合变化情况

4月9日床旁胸腔超声可见右侧胸腔包裹性积液,内有蜂窝状分隔,于超声引导下行胸腔穿刺术,进针后无液体流出,反复超声引导下调整穿刺点,均未见液体流出,考虑分隔致密,无法完成穿刺引流。

讨论三:

肺脓肿全身性药物治疗效果不佳,下一步如何调整治疗方案:
  • 继续寻找病原调整抗生素?
  • 手术切除?手术风险与获益的权衡?
  • 引流?如何选择引流方式?


专家讨论


牟向东教授:
我个人认为患者治疗效果不佳可能还是引流不到位。除了气道本身的引流,患者病变破溃至胸膜腔引起脓胸,其进展速度非常快。此时需要通过胸部CT明确肺部病变的状况,另外根据肺部病变特征和肺部超声特征进行有效的气道引流和胸膜腔引流。还需对患者无菌体液标本进行病原学检查。

蔡绍曦教授:
通过X线胸片可见患者右下肺的脓腔进一步增大,而且PaCO2显著升高。另外,胸片显示心脏增大,左房心腰不可见,胸腔积液,心包无积液,说明患者通气动力不足,这是导致PaCO2升高的很大一部分原因。患者除了原有的空洞及张力增高以外,还有脓胸,应该尽快行胸部CT检查,明确心脏与心包、双侧胸腔、脓腔之间的关系。有一个问题是我始终存在疑问的,为什么患者入院时胸部CT显示右下基底段支气管在狭窄?尽管进行了NGS检查,但我们知道,有一种病原体的NGS检测阳性率并不高于X-pert,就是结核或非结核分枝杆菌,所以担心是否存在这样的基础疾病,同时并发感染,而导致患者的通气不佳,痰液不易排出。

曾勉教授:

患者除了链球菌感染,应该还合并了其他病原菌感染,所以还应该进一步明确感染病因。4月9日患者胸部CT可见空腔,考虑是否有产气杆菌等其他病原菌存在。此外,也建议进行胸部CT检查,明确右下肺实变情况。个人认为可以加用能够覆盖阴性菌和球菌的药物。另外,送检BALF NGS,进一步明确病原学。


詹庆元教授:

该患者的感染未能得到控制,双肺逐渐变小。患者出现二氧化碳潴留包括多方面因素:氧耗量增加,二氧化碳排出增多,气道痰液量多,加之患者肥胖,所以其阻塞和通气都存在问题。而且患者循环状态不佳,二氧化碳潴留明显。我考虑患者能否通过胸腔镜将胸腔内的脓液吸出,同时打开分隔,可能会改善抗感染效果,提高患者通气功能。另外一种方法是外科手术,但需要家属充分的配合和理解。此外,患者具备ECMO指征,VV-ECMO能很好地维持患者的氧合和通气,在ECMO条件下,进行介入治疗或外科手术,安全性都会高很多。该患者当前最关键的是引流,同时维持其呼吸和循环。


侯刚教授:
该患者还是需要做一个胸部CT检查,患者右下叶病变处是原有积液产气,还是因为有部分粘连后,随着肺坏死形成了一个瘘,此处的空腔似乎有一定张力。引流时可以用尿激酶,如果是形成了很大的瘘,需要开窗疏解然后引流。通过CT检查可以同时评价是否存在脓毒性栓子或血栓的问题。之前针对厌氧菌的治疗效果并不理想,是否也应考虑覆盖阳性球菌。

蔡绍曦教授:

患者曾行房间隔缺损修补术,房间隔位置不光滑,在感染过程中附着一个菌栓在肺动脉,引起脓肿坏死,血源性的脓毒血栓的菌栓也不能除外。


会  诊  


请胸外科、麻醉科会诊,会诊意见认为最佳的治疗方式还是手术治疗。经与家属充分的沟通后,4月9日于全麻下手术,探查发现右侧胸腔内广泛粘连,纤维板附着于壁层和脏层胸膜,右肺下叶脓肿,部分侵犯右肺中叶,中叶与下叶粘连。行胸腔镜辅助右侧胸腔粘连松解、纤维板剥脱、右肺中下叶切除术。术中指脉氧饱和度80%~85%,术中脓液及胸腔内积液送检培养(需氧+厌氧),未培养出厌氧菌。


讨论四:
怀疑厌氧菌感染时,如何能更快更准确地获取病原结果?


专家讨论


牟向东教授:
在肺部病变中,变化速度最快的就是脓胸,可以说是一日数变,所以对于该患者来说,充分引流是非常重要的。如何更快更准确地获取病原学结果,我认为是早期行NGS检测。无论对于肺脓肿还是脓胸,无菌体液的NGS检测是最好的获取病原学的方法。

蔡绍曦教授:
对于病情进展非常快的重症患者,我认为NGS是首选的获取病原学的方法,特别是通过常规培养无法找到的病原菌,NGS具有独特优势。同时也要考虑费用问题,由于RNA病毒降解更快,需要在4个小时之内提出临床建议并进行检测。对于非典型病原体和厌氧菌也是如此。当我们拿到检测结果后,需要临床分析致病的病原菌。针对该患者,我认为在做NGS的同时还应结合患者的临床特点,厌氧菌的检测并非仅仅依靠NGS。该患者术中脓液及胸腔内积液送检培养未培养出厌氧菌,还可以进一步将切下的病变组织送检NGS,或许能提供一些线索。另外,如果怀疑非结核分枝杆菌,还可以将病变组织进行PCR扩增,或许能找到一些支持的证据。

术后治疗(转回我科)


  • 抗感染:美罗培南+奥硝唑。

  • 呼吸支持:气管插管接呼吸机辅助呼吸,PC模式(PC 22~25 cmH2O,PEEP 5 cmH2O,FiO2 0.4),P/F 137 mmHg,PaCO2 51 mmHg。

  • 气道管理:痰液引流。

  • 循环支持:BP 110~160/60~95 mmHg[去甲肾上腺素0.2~0.7 μg/(kg·min)]。

  • 肾脏:CR 246.1 μmol/L,少尿,CRRT。

  • 营养支持。

  • 输血。


病情变化
4月11日再次发热,Tmax 39.4℃,伴寒战。胸部X线片可见双肺渗出影,心影较前明显回缩(图5)
 
图片
图5  患者胸部X线片(4月11日)

  • 化验:WBC 14.73×109/L,NEU% 88.5%,LYM% 1.02×109/L,CRP 159.8 mg/L,PCT 2~10 ng/ml。

  • 拔除右侧颈内静脉置管,行左侧颈内静脉置管。

  • 血培养:(-)

  • 痰培养:嗜麦芽窄食单胞菌。

  • 胸水培养:革兰阳性菌,可能为人葡萄球菌或木糖氧化无色杆菌。

  • 药敏试验结果如图6所示。


图片
图6  药敏试验结果


讨论五:

是否针对此病原结果调整治疗方案?是否需要再次送检NGS明确病原?


专家讨论


蔡绍曦教授:
我认为此阶段抗生素是需要调整的。患者经历了风险极大的手术,淋巴细胞绝对计数持续下降,我认为不除外继发了院内的获得性感染,也可能与导管相关。既往如果是单纯与导管相关,拔管即可。但该患者CRP快速上升,需要注意。拔除右侧颈内静脉置管后,血培养阴性,PCT升高很快,考虑可能是革兰阴性杆菌感染,因为革兰阳性菌引起PCT如此高的情况比较少见。胸水培养革兰阳性菌,痰培养嗜麦芽窄食单胞菌。抗生素方面考虑停用美罗培南,改为阿维巴坦或多黏菌素,或者头孢哌酮舒巴坦联合替考拉宁或利奈唑胺。

曾勉教授:
对痰培养出的嗜麦芽窄食单胞菌,需要调整抗生素。我考虑可能是存在混合感染,胸水培养出的人葡萄球菌可能与手术或定植有关。

詹庆元教授:

患者术后呼吸和循环情况相对稳定,痰液量较前减少,痰培养出的嗜麦芽窄食单胞菌的致病力不是很强,患者如果能够自主咳嗽咳痰,氧合可以维持,针对该菌可以暂时不考虑给药。此外,可以用生理盐水进行胸腔灌洗,直至引流液清亮。如果是胸腔的MRSA感染,可以考虑停用美罗培南,单用奥硝唑,或加用哌拉西林他唑巴坦。同时要唤醒患者,使其主动咳嗽咳痰。在充分引流的条件下,患者可以不加抗生素,甚至减少抗生素。


调整治疗方案及疾病转归


  • 美罗培南+奥硝唑+万古霉素+复方磺胺甲噁唑。

  • 患者PCT波动于0.5~0.8 ng/ml。

  • 痰培养:嗜麦芽窄食单胞菌+木糖氧化无色杆菌。

  • 4月17日停美罗培南及奥硝唑,4月22日停万古霉素,改为头孢他啶+复方磺胺甲噁唑。

  • 患者体温逐渐下降,期间虽有体温波动,但未调整用药方案,后续体温较为平稳(图7)。WBC、NEU、PCT也逐渐下降。


图片
图7  患者体温变化情况

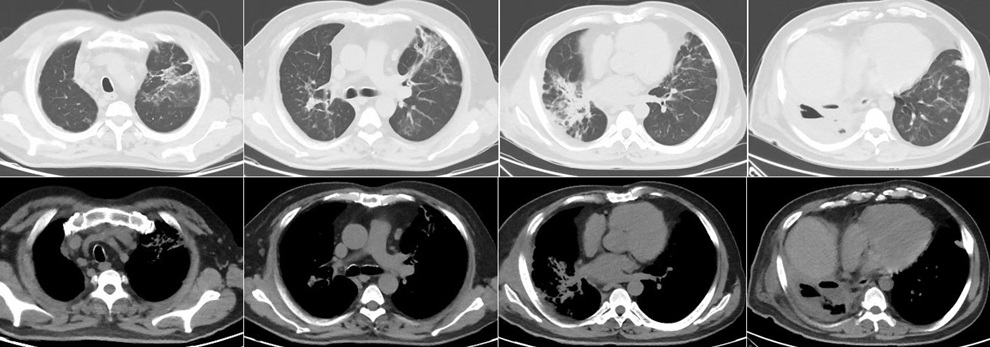
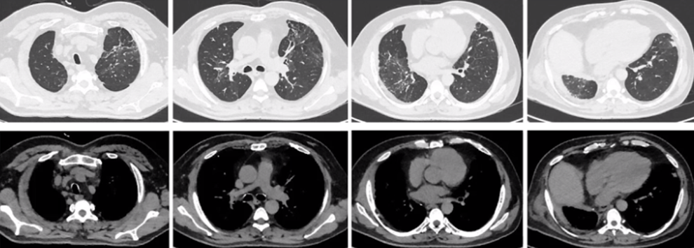
4月20日胸部CT:左上肺大实变渗出影(图8)
 
图片
图8  患者胸部CT(2020年4月20日)

  • 4月21日通过SBT,拔除气管插管,HFNC(流量30 L/min,氧浓度40%)

  • 4月22日自主尿量逐渐恢复,暂停CRRT治疗。

  • 化验检查:WBC 5.74×109/L,NEU% 54.7%,LYM% 1.61×109/L,CRP 15 mg/L,IL-6 12.5 pg/ml,PCT 0.16 ng/ml,CR 134.3 μmol/L,P/F 260~300 mmHg。

  • 心脏超声:右心增大。

  • 腹部B超:未见明显异常。

  • 5月7日停用所有抗生素。

  • 5月15日完全拔除术中留置的胸腔引流管。

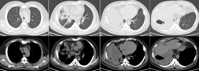
  • 5月17日胸部CT:左肺病灶较前明显吸收,右肺上叶病变较前缩小(图9)。 


图片
图9  患者胸部CT(2020年5月17日)

  • 5月19日患者出院。

  • 7月24日门诊复查胸部CT:病灶基本吸收,残留少许条索影和莫玻璃影(图10)


图片
图10 患者胸部CT(2020年7月24日)

  • 2021年3月24日门诊复查胸部CT:病灶较前进一步吸收好转(图11)


图片
图11  患者胸部CT(2021年3月24日)

回顾总结

  • 患者长期大量吸烟,口腔卫生条件不佳,是吸入性肺脓肿的高危因素。
  • 此例肺脓肿的治疗:全身性药物治疗+手术切除。



图片
主席  韩志海教授
解放军总医院第六医学中心
图片
主席  王瑞兰教授
上海市第一人民医院
图片
主席  詹庆元教授
中日友好医院
图片
讨论嘉宾  蔡绍曦教授
南方医科大学南方医院
图片
讨论嘉宾  侯刚教授
中日友好医院
图片
讨论嘉宾  牟向东教授
清华大学附属北京清华长庚医院
图片
讨论嘉宾  曾勉教授
中山大学附属第一医院
图片
病例汇报  王凡医师
解放军总医院第六医学中心


全部评论 0
Copyright©2020-2026 北京医麦斯科技有限公司 版权所有 京ICP备2020034400号-1 京公网安备11010502043983号